Advances in Radiation Oncology for the Treatment of Cervical Cancer
Abstract
:1. Introduction
2. Material and Methods
2.1. Advances in External Beam Radiotherapy
2.1.1. From 2D Radiotherapy to 3D-Conformal Radiotherapy (3DCRT)
2.1.2. Intensity Modulated Radiotherapy (IMRT) for the Treatment of Locally Advanced Cervical Cancer
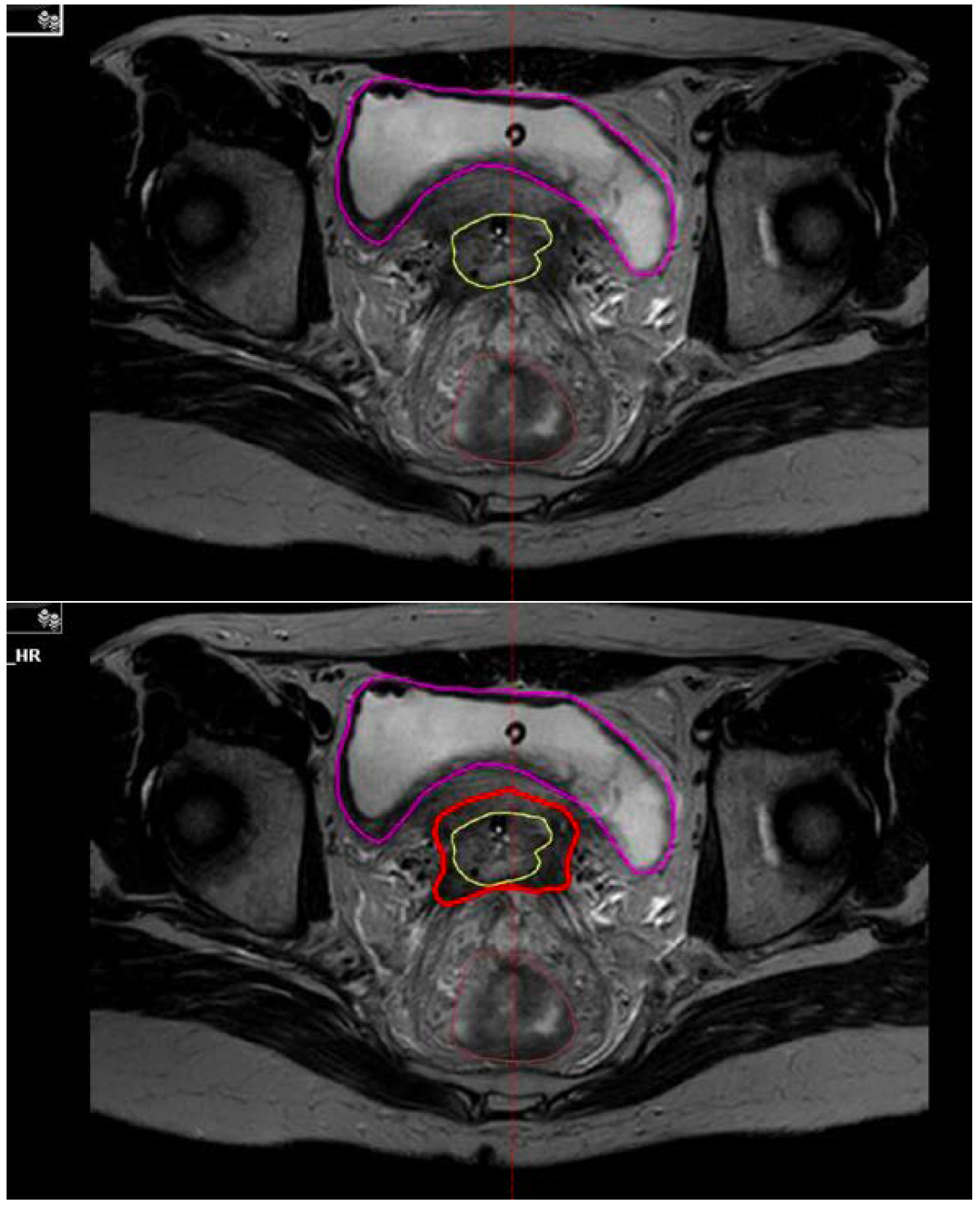
2.1.3. Adaptive External Beam Radiotherapy
2.2. Advances in Brachytherapy for the Treatment of Locally Advanced Cervical Cancer
2.2.1. From 2D-Brachytherapy (2D-BT) to 3D Image Guided Adaptive Brachytherapy (3D-IGABT)
2.2.2. Outcomes of 3D Image-Guided Brachytherapy (3D-IGABT)
2.3. Stereotactic Body Radiotherapy in the Treatment of Locally Advanced Cervical Cancer
2.4. Immunotherapy as an Adjunct to Chemoradiation
3. Conclusions and Perspectives
Author Contributions
Funding
Conflicts of Interest
References
- Bray, F.; Ferlay, J.; Soerjomataram, I.; Siegel, R.L.; Torre, L.A.; Jemal, A. Global cancer statistics 2018: GLOBOCAN estimates of incidence and mortality worldwide for 36 cancers in 185 countries. CA Cancer J. Clin. 2018, 68, 394–424. [Google Scholar] [CrossRef] [PubMed] [Green Version]
- Brenner, D.R.; Weir, H.K.; Demers, A.A.; Ellison, L.F.; Louzado, C.; Shaw, A.; Turner, D.; Woods, R.R.; Smith, L.M.; Canadian Cancer Statistics Advisory Committee. Projected estimates of cancer in Canada in 2020. CMAJ 2020, 192, E199–E205. [Google Scholar] [CrossRef] [PubMed] [Green Version]
- Benard, V.B.; Watson, M.; Saraiya, M.; Harewood, R.; Townsend, J.S.; Stroup, A.M.; Weir, H.K.; Allemani, C. Cervical cancer survival in the United States by race and stage (2001–2009): Findings from the CONCORD-2 study. Cancer 2017, 123 (Suppl. 24), 5119–5137. [Google Scholar] [CrossRef] [PubMed] [Green Version]
- Canadian Cancer Society’s Advisory Committee on Cancer Statistics. Canadian Cancer Statistics 2017. Available online: http://www.cancer.ca/en/cancer-information/cancer-type/cervical/statistics/?region=on#ixzz5cntbaO3P (accessed on 8 February 2021).
- Han, K.; Milosevic, M.; Fyles, A.; Pintilie, M.; Viswanathan, A.N. Trends in the utilization of brachytherapy in cervical cancer in the United States. Int. J. Radiat. Oncol. Biol. Phys. 2013, 87, 111–119. [Google Scholar] [CrossRef]
- Chemoradiotherapy for Cervical Cancer Meta-Analysis Collaboration. Reducing uncertainties about the effects of chemoradiotherapy for cervical cancer: A systematic review and meta-analysis of individual patient data from 18 randomized trials. J. Clin. Oncol. 2008, 26, 5802. [Google Scholar] [CrossRef] [Green Version]
- National Comprehensive Cancer Network. Cervical Cancer Version 4.2019. Available online: https://www2.tri-kobe.org/nccn/guideline/gynecological/english/cervical.pdf (accessed on 8 February 2021).
- Morris, M.; Eifel, P.J.; Lu, J.; Grigsby, P.W.; Levenback, C.; Stevens, R.E.; Rotman, M.; Gershenson, D.M.; Mutch, D.G. Pelvic radiation with concurrent chemotherapy compared with pelvic and para-aortic radiation for high-risk cervical cancer. N. Engl. J. Med. 1999, 340, 1137–1143. [Google Scholar] [CrossRef]
- Keys, H.M.; Bundy, B.N.; Stehman, F.B.; Muderspach, L.I.; Chafe, W.E.; Suggs, C.L., 3rd; Walker, J.L.; Gersell, D. Cisplatin, radiation, and adjuvant hysterectomy compared with radiation and adjuvant hysterectomy for bulky stage IB cervical carcinoma. N Engl J. Med. 1999, 340, 1154–1161. [Google Scholar] [CrossRef]
- Whitney, C.W.; Sause, W.; Bundy, B.N.; Malfetano, J.H.; Hannigan, E.V.; Fowler, W.C., Jr.; Clarke-Pearson, D.L.; Liao, S.Y. Randomized comparison of fluorouracil plus cisplatin versus hydroxyurea as an adjunct to radiation therapy in stage IIB-IVA carcinoma of the cervix with negative para-aortic lymph nodes: A Gynecologic Oncology Group and Southwest Oncology Group study. J. Clin. Oncol. 1999, 17, 1339–1348. [Google Scholar] [CrossRef] [Green Version]
- Peters, W.A., 3rd; Liu, P.Y.; Barrett, R.J., 2nd; Stock, R.J.; Monk, B.J.; Berek, J.S.; Souhami, L.; Grigsby, P.; Gordon, W., Jr.; Alberts, D.S. Concurrent chemotherapy and pelvic radiation therapy compared with pelvic radiation therapy alone as adjuvant therapy after radical surgery in high-risk early-stage cancer of the cervix. J. Clin. Oncol. 2000, 18, 1606–1613. [Google Scholar] [CrossRef]
- Rose, P.G.; Bundy, B.N.; Watkins, E.B.; Thigpen, J.T.; Deppe, G.; Maiman, M.A.; Clarke-Pearson, D.L.; Insalaco, S. Concurrent cisplatin-based radiotherapy and chemotherapy for locally advanced cervical cancer. N. Engl. J. Med. 1999, 340, 1144–1153. [Google Scholar] [CrossRef]
- Husstedt, W.; Oberheuser, F. Results of irradiation in recurrent collum carcinoma. Fortschr. Med. 1977, 95, 355–357. [Google Scholar] [PubMed]
- Kim, R.Y.; McGinnis, L.S.; Spencer, S.A.; Meredith, R.F.; Jennelle, R.L.; Salter, M.M. Conventional four-field pelvic radiotherapy technique without computed tomography-treatment planning in cancer of the cervix: Potential geographic miss and its impact on pelvic control. Int. J. Radiat. Oncol. Biol. Phys. 1995, 31, 109–112. [Google Scholar] [CrossRef]
- Bonin, S.R.; Lanciano, R.M.; Corn, B.W.; Hogan, W.M.; Hartz, W.H.; Hanks, G.E. Bony landmarks are not an adequate substitute for lymphangiography in defining pelvic lymph node location for the treatment of cervical cancer with radiotherapy. Int. J. Radiat. Oncol. Biol. Phys. 1996, 34, 167–172. [Google Scholar] [CrossRef]
- Ambrose, J.; Hounsfield, G. Computerized transverse axial tomography. Br. J. Radiol. 1973, 46, 148–149. [Google Scholar] [CrossRef]
- International Commission on Radiation Units and Measurements. ICRU Report 50 Prescribing, Recording, and Reporting Photon Beam Therapy; International Commission on Radiation Units and Measurements: Bethesda, MD, USA, 1993; Volume 21. [Google Scholar]
- International Commission on Radiation Units and Measurments. Prescribing, Recording, and Reporting Photon Beam Therapy; ICRU Report. Volume 62; Supplement to ICRU report 50, 1956; International Commission on Radioation Units and Measurements: Bethesda, MD, USA, 1999; Volume 21. [Google Scholar]
- Gerstner, N.; Wachter, S.; Knocke, T.H.; Fellner, C.; Wambersie, A.; Pötter, R. The benefit of Beam’s eye view based 3D treatment planning for cervical cancer. Radiother. Oncol. 1999, 51, 71–78. [Google Scholar] [CrossRef]
- Olofsen-van Acht, M.J.; Quint, S.; Seven, M.; van Santvoort, J.P.; van den Berg, H.A.; Logmans, A.; Levendag, P.C. Three-Dimensional Treatment Planning for Postoperative Radiotherapy in Patients with Node-Positive Cervical Cancer Comparison between a Conventional and a Conformal Technique. Strahlenther. Und Onkol. 1999, 175, 462–469. [Google Scholar] [CrossRef]
- Vargo, J.A.; Kim, H.; Choi, S.; Sukumvanich, P.; Olawaiye, A.B.; Kelley, J.L.; Edwards, R.P.; Comerci, J.T.; Beriwal, S. Extended field intensity modulated radiation therapy with concomitant boost for lymph node-positive cervical cancer: Analysis of regional control and recurrence patterns in the positron emission tomography/computed tomography era. Int. J. Radiat. Oncol. Biol. Phys. 2014, 90, 1091–1098. [Google Scholar] [CrossRef]
- Lim, K.; Small, W., Jr.; Portelance, L.; Creutzberg, C.; Jürgenliemk-Schulz, I.M.; Mundt, A.; Mell, L.K.; Mayr, N.; Viswanathan, A.; Jhingran, A.; et al. Consensus guidelines for delineation of clinical target volume for intensity-modulated pelvic radiotherapy for the definitive treatment of cervix cancer. Int. J. Radiat. Oncol. Biol. Phys. 2011, 79, 348–355. [Google Scholar] [CrossRef]
- Small, W., Jr.; Bosch, W.R.; Harkenrider, M.M.; Strauss, J.B.; Abu-Rustum, N.; Albuquerque, K.V.; Beriwal, S.; Creutzberg, C.L.; Eifel, P.J.; Erickson, B.A.; et al. NRG Oncology/RTOG Consensus Guidelines for Delineation of Clinical Target Volume for Intensity Modulated Pelvic Radiation Therapy in Postoperative Treatment of Endometrial and Cervical Cancer: An Update. Int. J. Radiat. Oncol. Biol. Phys. 2021, 109, 413–424. [Google Scholar] [CrossRef]
- Williamson, C.; Liu, H.; Mayadev, J.; Mell, L. Advances in external beam radiation therapy and brachytherapy for cervical cancer. Clin. Oncol. 2021, 33, 567–578. [Google Scholar] [CrossRef]
- Portelance, L.; Chao, K.S.; Grigsby, P.W.; Bennet, H.; Low, D. Intensity-modulated radiation therapy (IMRT) reduces small bowel, rectum, and bladder doses in patients with cervical cancer receiving pelvic and para-aortic irradiation. Int. J. Radiat. Oncol. Biol. Phys. 2001, 51, 261–266. [Google Scholar] [CrossRef]
- Mundt, A.J.; Lujan, A.E.; Rotmensch, J.; Waggoner, S.E.; Yamada, S.D.; Fleming, G.; Roeske, J.C. Intensity-modulated whole pelvic radiotherapy in women with gynecologic malignancies. Int. J. Radiat. Oncol. Biol. Phys. 2002, 52, 1330–1337. [Google Scholar] [CrossRef]
- Rose, B.S.; Aydogan, B.; Liang, Y.; Yeginer, M.; Hasselle, M.D.; Dandekar, V.; Bafana, R.; Yashar, C.M.; Mundt, A.J.; Roeske, J.C.; et al. Normal tissue complication probability modeling of acute hematologic toxicity in cervical cancer patients treated with chemoradiotherapy. Int. J. Radiat. Oncol. Biol. Phys. 2011, 79, 800–807. [Google Scholar] [CrossRef] [PubMed]
- Simpson, D.R.; Song, W.Y.; Moiseenko, V.; Rose, B.S.; Yashar, C.M.; Mundt, A.J.; Mell, L.K. Normal tissue complication probability analysis of acute gastrointestinal toxicity in cervical cancer patients undergoing intensity modulated radiation therapy and concurrent cisplatin. Int. J. Radiat. Oncol. Biol. Phys. 2012, 83, e81-6. [Google Scholar] [CrossRef] [PubMed]
- Huang, J.; Gu, F.; Ji, T.; Zhao, J.; Li, G. Pelvic bone marrow sparing intensity modulated radiotherapy reduces the incidence of the hematologic toxicity of patients with cervical cancer receiving concurrent chemoradiotherapy: A single-center prospective randomized controlled trial. Radiat. Oncol. 2020, 15, 180. [Google Scholar] [CrossRef]
- Gandhi, A.K.; Sharma, D.N.; Rath, G.K.; Julka, P.K.; Subramani, V.; Sharma, S.; Manigandan, D.; Laviraj, M.A.; Kumar, S.; Thulkar, S. Early clinical outcomes and toxicity of intensity modulated versus conventional pelvic radiation therapy for locally advanced cervix carcinoma: A prospective randomized study. Int. J. Radiat. Oncol. Biol. Phys. 2013, 87, 542–548. [Google Scholar] [CrossRef]
- Gandhi, A.K.; Sharma, D.N.; Rath, G.K.; Julka, P.K.; Subramani, V.; Sharma, S.; Manigandan, D.; Kumar, S. Long Term Clinical Outcome and Late Toxicity of Intensity Modulated Versus Conventional Pelvic Radiation Therapy for Locally Advanced Cervix Carcinoma. J. Clin. Diagn. Res. 2019, 13, XC09–XC13. [Google Scholar] [CrossRef]
- Lin, Y.; Chen, K.; Lu, Z.; Zhao, L.; Tao, Y.; Ouyang, Y.; Cao, X. Intensity-modulated radiation therapy for definitive treatment of cervical cancer: A meta-analysis. Radiat. Oncol. 2018, 13, 177. [Google Scholar] [CrossRef]
- Klopp, A.H.; Moughan, J.; Portelance, L.; Miller, B.E.; Salehpour, M.R.; Hildebrandt, E.; Nuanjing, J.; D’Souza, D.; Souhami, L.; Small, W., Jr. Hematologic toxicity in RTOG 0418: A phase 2 study of postoperative IMRT for gynecologic cancer. Int. J. Radiat. Oncol. Biol. Phys. 2013, 86, 83–90. [Google Scholar] [CrossRef] [Green Version]
- Klopp, A.H.; Yeung, A.R.; Deshmukh, S.; Gil, K.M.; Wenzel, L.; Westin, S.N.; Gifford, K.; Gaffney, D.K.; Small, W., Jr.; Thompson, S. Patient-reported toxicity during pelvic intensity-modulated radiation therapy: NRG Oncology–RTOG 1203. J. Clin. Oncol. 2018, 36, 2538. [Google Scholar] [CrossRef]
- Chan, P.; Dinniwell, R.; Haider, M.A.; Cho, Y.B.; Jaffray, D.; Lockwood, G.; Levin, W.; Manchul, L.; Fyles, A.; Milosevic, M. Inter- and intrafractional tumor and organ movement in patients with cervical cancer undergoing radiotherapy: A cinematic-MRI point-of-interest study. Int. J. Radiat. Oncol. Biol. Phys. 2008, 70, 1507–1515. [Google Scholar] [CrossRef] [PubMed]
- Jadon, R.; Pembroke, C.A.; Hanna, C.L.; Palaniappan, N.; Evans, M.; Cleves, A.E.; Staffurth, J. A systematic review of organ motion and image-guided strategies in external beam radiotherapy for cervical cancer. Clin. Oncol. (R. Coll. Radiol.) 2014, 26, 185–196. [Google Scholar] [CrossRef] [PubMed]
- Bondar, L.; Hoogeman, M.; Mens, J.W.; Dhawtal, G.; de Pree, I.; Ahmad, R.; Quint, S.; Heijmen, B. Toward an individualized target motion management for IMRT of cervical cancer based on model-predicted cervix-uterus shape and position. Radiother. Oncol. 2011, 99, 240–245. [Google Scholar] [CrossRef] [PubMed]
- Liang, Y.; Bydder, M.; Yashar, C.M.; Rose, B.S.; Cornell, M.; Hoh, C.K.; Lawson, J.D.; Einck, J.; Saenz, C.; Fanta, P.; et al. Prospective study of functional bone marrow-sparing intensity modulated radiation therapy with concurrent chemotherapy for pelvic malignancies. Int. J. Radiat. Oncol. Biol. Phys. 2013, 85, 406–414. [Google Scholar] [CrossRef]
- Shelley, C.E.; Barraclough, L.H.; Nelder, C.L.; Otter, S.J.; Stewart, A.J. Adaptive Radiotherapy in the Management of Cervical Cancer: Review of Strategies and Clinical Implementation. Clin. Oncol. (R. Coll. Radiol.) 2021, 33, 579–590. [Google Scholar] [CrossRef]
- Tod, M.C.; Meredith, W.J. A dosage system for use in the treatment of cancer of the uterine cervix. Br. J. Radiol. 1938, 11, 809–824. [Google Scholar] [CrossRef]
- Tod, M.; Meredith, W. Treatment of cancer of the cervix uteri—A revised “Manchester method”. Br. J. Radiol. 1953, 26, 252–257. [Google Scholar] [CrossRef]
- Haie-Meder, C.; Pötter, R.; Van Limbergen, E.; Briot, E.; De Brabandere, M.; Dimopoulos, J.; Dumas, I.; Hellebust, T.P.; Kirisits, C.; Lang, S. Recommendations from Gynaecological (GYN) GEC-ESTRO Working Group(I): Concepts and terms in 3D image based 3D treatment planning in cervix cancer brachytherapy with emphasis on MRI assessment of GTV and CTV. Radiother. Oncol. 2005, 74, 235–245. [Google Scholar] [CrossRef]
- Pötter, R.; Haie-Meder, C.; Van Limbergen, E.; Barillot, I.; De Brabandere, M.; Dimopoulos, J.; Dumas, I.; Erickson, B.; Lang, S.; Nulens, A. Recommendations from gynaecological (GYN) GEC ESTRO working group (II): Concepts and terms in 3D image-based treatment planning in cervix cancer brachytherapy—3D dose volume parameters and aspects of 3D image-based anatomy, radiation physics, radiobiology. Radiother. Oncol. 2006, 78, 67–77. [Google Scholar] [CrossRef]
- Hellebust, T.P.; Kirisits, C.; Berger, D.; Pérez-Calatayud, J.; De Brabandere, M.; De Leeuw, A.; Dumas, I.; Hudej, R.; Lowe, G.; Wills, R. Recommendations from Gynaecological (GYN) GEC-ESTRO Working Group: Considerations and pitfalls in commissioning and applicator reconstruction in 3D image-based treatment planning of cervix cancer brachytherapy. Radiother. Oncol. 2010, 96, 153–160. [Google Scholar] [CrossRef]
- Viswanathan, A.N.; Erickson, B.; Gaffney, D.K.; Beriwal, S.; Bhatia, S.K.; Burnett, O.L., III; D’Souza, D.P.; Patil, N.; Haddock, M.G.; Jhingran, A. Comparison and consensus guidelines for delineation of clinical target volume for CT-and MR-based brachytherapy in locally advanced cervical cancer. Int. J. Radiat. Oncol. Biol. Phys. 2014, 90, 320–328. [Google Scholar] [CrossRef] [PubMed]
- Image Guided Intensity Modulated External Beam Radiochemotherapy and MRI Based Adaptive Brachytherapy in Locally Advanced Cervical Cancer (EMBRACE-II) Study Protocol v.1.0. Rumpold. 2016. Available online: https://www.embracestudy.dk/UserUpload/PublicDocuments/EMBRACE%20II%20Protocol.pdf (accessed on 19 October 2021).
- Dimopoulos, J.C.; Kirisits, C.; Petric, P.; Georg, P.; Lang, S.; Berger, D.; Pötter, R. The Vienna applicator for combined intracavitary and interstitial brachytherapy of cervical cancer: Clinical feasibility and preliminary results. Int. J. Radiat. Oncol. Biol. Phys. 2006, 66, 83–90. [Google Scholar] [CrossRef] [PubMed]
- Tanderup, K.; Nielsen, S.K.; Nyvang, G.-B.; Pedersen, E.M.; Røhl, L.; Aagaard, T.; Fokdal, L.; Lindegaard, J.C. From point A to the sculpted pear: MR image guidance significantly improves tumour dose and sparing of organs at risk in brachytherapy of cervical cancer. Radiother. Oncol. 2010, 94, 173–180. [Google Scholar] [CrossRef] [PubMed]
- Fokdal, L.; Sturdza, A.; Mazeron, R.; Haie-Meder, C.; Tan, L.T.; Gillham, C.; Segedin, B.; Jurgenliemk-Schultz, I.; Kirisits, C.; Hoskin, P.; et al. Image guided adaptive brachytherapy with combined intracavitary and interstitial technique improves the therapeutic ratio in locally advanced cervical cancer: Analysis from the retroEMBRACE study. Radiother. Oncol. 2016, 120, 434–440. [Google Scholar] [CrossRef]
- Serban, M.; Kirisits, C.; de Leeuw, A.; Pötter, R.; Jürgenliemk-Schulz, I.; Nesvacil, N.; Swamidas, J.; Hudej, R.; Lowe, G.; Hellebust, T.P. Ring versus ovoids and intracavitary versus intracavitary-interstitial applicators in cervical cancer brachytherapy: Results from the EMBRACE I study. Int. J. Radiat. Oncol. Biol. Phys. 2020, 106, 1052–1062. [Google Scholar] [CrossRef]
- Charra-Brunaud, C.; Harter, V.; Delannes, M.; Haie-Meder, C.; Quetin, P.; Kerr, C.; Castelain, B.; Thomas, L.; Peiffert, D. Impact of 3D image-based PDR brachytherapy on outcome of patients treated for cervix carcinoma in France: Results of the French STIC prospective study. Radiother. Oncol. 2012, 103, 305–313. [Google Scholar] [CrossRef]
- Sturdza, A.; Potter, R.; Fokdal, L.U.; Haie-Meder, C.; Tan, L.T.; Mazeron, R.; Petric, P.; Segedin, B.; Jurgenliemk-Schulz, I.M.; Nomden, C.; et al. Image guided brachytherapy in locally advanced cervical cancer: Improved pelvic control and survival in RetroEMBRACE, a multicenter cohort study. Radiother. Oncol. 2016, 120, 428–433. [Google Scholar] [CrossRef]
- Potter, R.; Tanderup, K.; Schmid, M.P.; Jurgenliemk-Schulz, I.; Haie-Meder, C.; Fokdal, L.U.; Sturdza, A.E.; Hoskin, P.; Mahantshetty, U.; Segedin, B.; et al. MRI-guided adaptive brachytherapy in locally advanced cervical cancer (EMBRACE-I): A multicentre prospective cohort study. Lancet Oncol. 2021, 22, 538–547. [Google Scholar] [CrossRef]
- Jensen, N.B.K.; Pötter, R.; Kirchheiner, K.; Fokdal, L.; Lindegaard, J.C.; Kirisits, C.; Mazeron, R.; Mahantshetty, U.; Jürgenliemk-Schulz, I.M.; Segedin, B. Bowel morbidity following radiochemotherapy and image-guided adaptive brachytherapy for cervical cancer: Physician-and patient reported outcome from the EMBRACE study. Radiother. Oncol. 2018, 127, 431–439. [Google Scholar] [CrossRef]
- Fokdal, L.; Pötter, R.; Kirchheiner, K.; Lindegaard, J.C.; Jensen, N.B.K.; Kirisits, C.; Chargari, C.; Mahantshetty, U.; Jürgenliemk-Schulz, I.M.; Segedin, B. Physician assessed and patient reported urinary morbidity after radio-chemotherapy and image guided adaptive brachytherapy for locally advanced cervical cancer. Radiother. Oncol. 2018, 127, 423–430. [Google Scholar] [CrossRef]
- Kim, Y.J.; Kang, H.C.; Kim, Y.S. Impact of intracavitary brachytherapy technique (2D versus 3D) on outcomes of cervical cancer: A systematic review and meta-analysis. Strahlenther Onkol. 2020, 196, 973–982. [Google Scholar] [CrossRef] [PubMed]
- Kim, H.; Rajagopalan, M.S.; Beriwal, S.; Huq, M.S.; Smith, K.J. Cost-effectiveness analysis of 3D image-guided brachytherapy compared with 2D brachytherapy in the treatment of locally advanced cervical cancer. Brachytherapy 2015, 14, 29–36. [Google Scholar] [CrossRef] [PubMed]
- Gill, B.S.; Lin, J.F.; Krivak, T.C.; Sukumvanich, P.; Laskey, R.A.; Ross, M.S.; Lesnock, J.L.; Beriwal, S. National Cancer Data Base analysis of radiation therapy consolidation modality for cervical cancer: The impact of new technological advancements. Int. J. Radiat. Oncol. Biol. Phys. 2014, 90, 1083–1090. [Google Scholar] [CrossRef] [PubMed]
- O’Donnell, B.; Shiao, J.C.; Pezzi, T.A.; Waheed, N.; Sharma, S.; Bonnen, M.D.; Ludwig, M.S. Stereotactic Body Radiation Therapy, Intensity-Modulated Radiation Therapy, and Brachytherapy Boost Modalities in Invasive Cervical Cancer: A Study of the National Cancer Data Base. Int. J. Gynecol. Cancer 2018, 28, 563–574. [Google Scholar] [CrossRef] [PubMed]
- Albuquerque, K.; Tumati, V.; Lea, J.; Ahn, C.; Richardson, D.; Miller, D.; Timmerman, R. A Phase II Trial of Stereotactic Ablative Radiation Therapy as a Boost for Locally Advanced Cervical Cancer. Int. J. Radiat. Oncol. Biol. Phys. 2020, 106, 464–471. [Google Scholar] [CrossRef] [PubMed]
- Cheng, H.Y.; Liang, J.A.; Hung, Y.C.; Yeh, L.S.; Chang, W.C.; Lin, W.C.; Chen, S.W. Stereotactic body radiotherapy for pelvic boost in gynecological cancer patients with local recurrence or unsuitable for intracavitary brachytherapy. Taiwan J. Obs. Gynecol. 2021, 60, 111–118. [Google Scholar] [CrossRef]
- Yegya-Raman, N.; Cao, C.D.; Hathout, L.; Girda, E.; Richard, S.D.; Rosenblum, N.G.; Taunk, N.K.; Jabbour, S.K. Stereotactic body radiation therapy for oligometastatic gynecologic malignancies: A systematic review. Gynecol. Oncol. 2020, 159, 573–580. [Google Scholar] [CrossRef]
- Alexandrov, L.B.; Nik-Zainal, S.; Wedge, D.C.; Aparicio, S.A.; Behjati, S.; Biankin, A.V.; Bignell, G.R.; Bolli, N.; Borg, A.; Børresen-Dale, A.-L. Signatures of mutational processes in human cancer. Nature 2013, 500, 415–421. [Google Scholar] [CrossRef] [Green Version]
- Wang, J.; Li, Z.; Gao, A.; Wen, Q.; Sun, Y. The prognostic landscape of tumor-infiltrating immune cells in cervical cancer. Biomed. Pharmacother. 2019, 120, 109444. [Google Scholar] [CrossRef]
- The Cancer Genome Atlas Research Network; Albert Einstein College of Medicine; Analytical Biological Service; Barretos Cancer Hospital; Baylor College of Medicine; Beckman Research Institute of City of Hope; Buck Institute for Research on Aging; Canada’s Michael Smith Genom e Sciences Centre; Harvard Medical School; Helen, F. Graham Cancer Centre and Research Institute at Christiana Care Health Services; et al. Integrated genomic and molecular characterization of cervical cancer. Nature 2017, 543, 378–384. [Google Scholar]
- Liu, C.; Lu, J.; Tian, H.; Du, W.; Zhao, L.; Feng, J.; Yuan, D.; Li, Z. Increased expression of PD-L1 by the human papillomavirus 16 E7 oncoprotein inhibits anticancer immunity. Mol. Med. Rep. 2017, 15, 1063–1070. [Google Scholar] [CrossRef] [PubMed] [Green Version]
- Mezache, L.; Paniccia, B.; Nyinawabera, A.; Nuovo, G.J. Enhanced expression of PD L1 in cervical intraepithelial neoplasia and cervical cancers. Mod. Pathol. 2015, 28, 1594–1602. [Google Scholar] [CrossRef] [PubMed]
- Frenel, J.S.; Le Tourneau, C.; O’Neil, B.; Ott, P.A.; Piha-Paul, S.A.; Gomez-Roca, C.; van Brummelen, E.M.J.; Rugo, H.S.; Thomas, S.; Saraf, S.; et al. Safety and Efficacy of Pembrolizumab in Advanced, Programmed Death Ligand 1-Positive Cervical Cancer: Results From the Phase Ib KEYNOTE-028 Trial. J. Clin. Oncol. 2017, 35, 4035–4041. [Google Scholar] [CrossRef] [PubMed]
- Chung, H.C.; Ros, W.; Delord, J.P.; Perets, R.; Italiano, A.; Shapira-Frommer, R.; Manzuk, L.; Piha-Paul, S.A.; Xu, L.; Zeigenfuss, S.; et al. Efficacy and Safety of Pembrolizumab in Previously Treated Advanced Cervical Cancer: Results from the Phase II KEYNOTE-158 Study. J. Clin. Oncol. 2019, 37, 1470–1478. [Google Scholar] [CrossRef] [PubMed]
- Naumann, R.W.; Hollebecque, A.; Meyer, T.; Devlin, M.-J.; Oaknin, A.; Kerger, J.; López-Picazo, J.M.; Machiels, J.-P.; Delord, J.-P.; Evans, T.R.J.; et al. Safety and Efficacy of Nivolumab Monotherapy in Recurrent or Metastatic Cervical, Vaginal, or Vulvar Carcinoma: Results from the Phase I/II CheckMate 358 Trial. J. Clin. Oncol. 2019, 37, 2825–2834. [Google Scholar] [CrossRef]
- Colombo, N.; Dubot, C.; Lorusso, D.; Caceres, M.V.; Hasegawa, K.; Shapira-Frommer, R.; Tewari, K.S.; Salman, P.; Hoyos Usta, E.; Yañez, E.; et al. Pembrolizumab for Persistent, Recurrent, or Metastatic Cervical Cancer. N. Engl. J. Med. 2021, 385, 1856–1867. [Google Scholar] [CrossRef]
- Lorusso, D.; Colombo, N.; Coleman, R.L.; Randall, L.M.; Duska, L.R.; Xiang, Y.; Hasegawa, K.; Rodrigues, A.N.; Cibula, D.; Mirza, M.R.; et al. ENGOT-cx11/KEYNOTE-A18: A phase III, randomized, double-blind study of pembrolizumab with chemoradiotherapy in patients with high-risk locally advanced cervical cancer. J. Clin. Oncol. 2020, 38, TPS6096. [Google Scholar] [CrossRef]

| Trial ID | Design | Eligibility | Intervention | Details | Outcome Measures | Status |
|---|---|---|---|---|---|---|
| NCT04221945 (KEYNOTE-A18/ENGOT-cx11/GOG-3047) | Randomized Phase III | FIGO 2014 Stage IB2–IIB (with N+ disease) or FIGO 2014 Stages III–IVA cervical cancer | Pembrolizumab + CRT + BT vs. Placebo + CRT + BT | Pembrolizumab 200 mg IV vs. placebo q3 weeks × 5 cycles, followed by Pembrolizumab 400 mg IV vs. placebo q6 weeks × 15 cycles + Cisplatin qweek during EBRT + BT (to a total RT dose of 80 Gy for volume directed and 75 Gy for point directed | Primary: PFS (RECIST 1.1), OS Secondary: 2-year PFS, 3-year OS, CR at 12 weeks, ORR, PFS and OS in PD-L1+ patients, PFS after next line treatment, EORTC QLQ-C30, QLQ-CX24, and safety | Recruiting |
| NCT02635360 | Randomized Phase II | Confirmed cervical Cancer (excluded: distant metastases) | Pembrolizumab following CRT vs. Pembrolizumab concurrent with CRT | CRT followed by Pembrolizumab 200 mg IV q21 days × 3 months Vs Pembrolizumab 200 mg IV q21 days at the same time as CRT | Primary: Change in immunologic markers, Incidence of DLTs Secondary: Metabolic Response Rate on PET/CT, Incidence of distant metastases, PFS, OS | Active, not recruiting |
| NCT03738228 | Multi-arm Phase I | Stage IB2, II, IIIB, or IVA cervical cancer | Atezolizumab + CRT + BT | Arm A: Atezolizumab IV on days -21, 0, and 21 + Cisplatin qweek concurrent with EBRT (Monday–Friday) × 5 weeks + IGBT at week 4 or 5 Arm B: Atezolizumab IV on days -21, 0, and 42 + Cisplatin qweek concurrent with EBRT (Monday-Friday) × 5 weeks + IGBT at week 4 or 5 | Primary: T cell receptor beta (TCRB) clonal expansion in peripheral blood Secondary: Incidence of DLTs, Frequency and severity of AEs as per CTCAE v5, TCR clonality, diversity, and frequency in peripheral blood and tissue, PD-L1 expression in tissue | Active, not recruiting |
| NCT03612791 (ATEZOLACC) | Randomized Phase II | FIGO 2009 stage IB1–IIA (N+) or stage IIB–IVA cervical cancer | Atezolizumab + SoC CRT + BT vs. SoC CRT + BT | Atezolizumab 1200 mg IV q3 week starting on week1 and continued as adjuvant treatment for a max of 20 cycles + Cisplatin qweek concurrent with pelvic +/− para-aortic EBRT by IMRT (45Gy/25Fx) + BT starting at week 7 (85 Gy EQD2 to HR-CTV) vs concurrent CRT +BT alone as above | Primary: PFS (RECIST 1.1) | Recruiting |
| NCT03527264 (BrUOG 355) | Non-randomized Phase II | Cervical cancer | Nivolumab induction + Nivolumab concurrent with chemoradiation + Nivolumab maintenance | Cohort 1A: Nivolumab induction (240 mg IV × 2 doses) + Nivolumab 240 mg IV q14 days for 3 doses concurrent on day 1 with Cisplatin qweek and EBRT (45 Gy/25 Fx) Cohort 1B: As above but with EFRT Cohort 2: Nivolumab induction as above + CRT w/o Nivolumba + Maintenance Nivolumab (480 mg IV q4weeks × 2 years) Cohort 3: Nivolumab induction + Nivolumab with CRT + Maintenance Nivolumab | Primary: Feasibility of the incorporation of nivolumab with weekly cisplatin and EFRT or WPRT in women with cervical cancer (acute toxicities as per CTCAE v4.0), PFS | Active, not recruiting |
| NCT03298893 (NiCOL) | Single arm Phase I/II | Stage IB2–IVA squamous-cell carcinoma or adenocarcinoma of the cervix | Nivolumab + CRT followed by 5 months of Nivolumab alone | Nivolumab IV q2 weeks + Cisplastin + EBRT (45Gy/25Fx by IMRT/VMAT +/− SIB to 54Gy/25Fx) | Primary: rate of DLT Secondary: ORR, PFS, DFS, Incidence of SAEs and AEs, molecular alterations, ctDNA heterogeneity, tumour microenvironment description, tumour PD-L1 IHC | Active, not recruiting |
| NCT03830866 (CALLA) | Phase III RCT | FIGO (2009) Stages IB2 to IIB N+ or FIGO (2009) IIIA–IVA any node cervical adenoCa or SCC | Durvalumab + SoC CRT + BT followed by Durvalumab monotherapy up to 24 months or until progression of disease, vs. Placebo + SoC CRT + BT | Durvalumab IV q4 weeks + Cisplatin (or Carboplatin) qweek concurrent with EBRT + BT | Primary: PFS (RECIST 1.1) Secondary: OS, CR (RECIST 1.1), duration of response, QoL (EORTC QLQ-C30, EORTC CX24), 3-year PFS, PFS and OS in PD-L1+ patients | Active, not recruiting |
| NCT01711515 | Single arm Phase I | Stage IB2–IIA with positive PA LNs, IIB/IIB/IVA with positive pelvic or PA LNs cervical cancer | CRT + BT+ adjuvant Ipilimumab | Cisplatin qweek + EBRT × 6 weeks + BT followed by Ipilimumab IV q3weeks for 12 weeks | Primary: DLTs occurring during adjuvant ipilimumab in the dose escalation phase, DLTs occurring in the feasibility phase, AEs Secondary: Response rate (RECIST 1.1), PFS, OS, location of recurrence (locoregional versus distant), chronic toxicities | Completed |
| NCT01158248 | Phase II | Stage IB–IIIB cervical cancer with no PA LNs | Panitumumab + CRT + BT | Panitumumab + CRT+ BT | Primary: PFS at 4 months by MRI according to RECIST, Rate of skin and/or gastrointestinal toxicity CTCAE grade 4 at 4 months Secondary: ORR at 4 months according to RECIST criteria, PFS and OS at 12 and 24 months, rate of SAEs at 4, 12, 24 months, Rate of SAEs of panitumumab monotherapy at day 14 | Unknown |
| NCT04580771 (IMMUNOCERV) | Single arm Phase II | Stage IB3–IVA cervical cancer | Liposomal HPV-16 E6/E7 Multipeptide Vaccine (PDS0101) + SoC CRT (Cisplatin + RT) | RT (Monday–Friday) for 5–7 weeks _ Cisplatin IV qweek during the 5 weeks of RT + PDS0101 SC on days -10, 7, 28, 49, and 170 in the absence of disease progression or unacceptable toxicity. | Primary: Rate of grade ≥ 3 acute toxicity Secondary: complete metabolic response rate of ≥ 90% GTV reduction, LC, PFS, OS at 12 and 18 months, Long term safety (rate of grade ≥3 chronic toxicity) | Recruiting |
Publisher’s Note: MDPI stays neutral with regard to jurisdictional claims in published maps and institutional affiliations. |
© 2022 by the authors. Licensee MDPI, Basel, Switzerland. This article is an open access article distributed under the terms and conditions of the Creative Commons Attribution (CC BY) license (https://creativecommons.org/licenses/by/4.0/).
Share and Cite
Faye, M.D.; Alfieri, J. Advances in Radiation Oncology for the Treatment of Cervical Cancer. Curr. Oncol. 2022, 29, 928-944. https://doi.org/10.3390/curroncol29020079
Faye MD, Alfieri J. Advances in Radiation Oncology for the Treatment of Cervical Cancer. Current Oncology. 2022; 29(2):928-944. https://doi.org/10.3390/curroncol29020079
Chicago/Turabian StyleFaye, Mame Daro, and Joanne Alfieri. 2022. "Advances in Radiation Oncology for the Treatment of Cervical Cancer" Current Oncology 29, no. 2: 928-944. https://doi.org/10.3390/curroncol29020079
APA StyleFaye, M. D., & Alfieri, J. (2022). Advances in Radiation Oncology for the Treatment of Cervical Cancer. Current Oncology, 29(2), 928-944. https://doi.org/10.3390/curroncol29020079

