A Case of ALK-Rearranged Combined Lung Adenocarcinoma and Neuroendocrine Carcinoma with Diffuse Bone Metastasis and Partial Response to Alectinib
Abstract
:1. Introduction
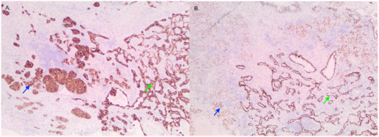
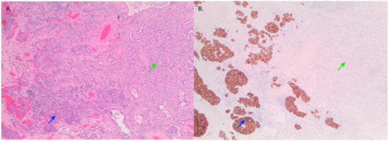
2. Case Report
3. Discussion
4. Conclusions
Author Contributions
Funding
Institutional Review Board Statement
Informed Consent Statement
Data Availability Statement
Conflicts of Interest
References
- Travis, W.D.; Linnoila, R.I.; Tsokos, M.G.; Hitchcock, C.L.; Cutler, G.B., Jr.; Nieman, L.; Chrousos, G.; Pass, H.; Doppman, J. Neuroendocrine tumors of the lung with proposed criteria for large-cell neuroendocrine carcinoma. An ultrastructural, immunohistochemical, and flow cytometric study of 35 cases. Am. J. Surg. Pathol. 1991, 15, 529–553. [Google Scholar] [CrossRef]
- Rossi, G.; Cavazza, A.; Marchioni, A.; Longo, L.; Migaldi, M.; Sartori, G.; Bigiani, N.; Schirosi, L.; Casali, C.; Morandi, U.; et al. Role of chemotherapy and the receptor tyrosine kinases KIT, PDGFRalpha, PDGFRbeta, and Met in large-cell neuroendocrine carcinoma of the lung. J. Clin. Oncol. 2005, 23, 8774–8785. [Google Scholar] [CrossRef] [Green Version]
- Iyoda, A.; Hiroshima, K.; Moriya, Y.; Takiguchi, Y.; Sekine, Y.; Shibuya, K.; Iizasa, T.; Kimura, H.; Nakatani, Y.; Fujisawa, T. Prospective study of adjuvant chemotherapy for pulmonary large cell neuroendocrine carcinoma. Ann. Thorac. Surg. 2006, 82, 1802–1807. [Google Scholar] [CrossRef]
- Soda, M.; Choi, Y.L.; Enomoto, M.; Takada, S.; Yamashita, Y.; Ishikawa, S.; Fujiwara, S.; Watanabe, H.; Kurashina, K.; Hatanaka, H.; et al. Identification of the transforming EML4-ALK fusion gene in non-small-cell lung cancer. Nature 2007, 448, 561–566. [Google Scholar] [CrossRef]
- Omachi, N.; Shimizu, S.; Kawaguchi, T.; Tezuka, K.; Kanazu, M.; Tamiya, A.; Asami, K.; Okishio, K.; Kitaichi, M.; Atagi, S. A case of large-cell neuroendocrine carcinoma harboring an EML4-ALK rearrangement with resistance to the ALK inhibitor crizotinib. J. Thorac. Oncol. 2014, 9, e40–e42. [Google Scholar] [CrossRef] [PubMed] [Green Version]
- Hayashi, N.; Fujita, A.; Saikai, T.; Takabatake, H.; Sotoshiro, M.; Sekine, K.; Kawana, A. Large Cell Neuroendocrine Carcinoma Harboring an Anaplastic Lymphoma Kinase (ALK) Rearrangement with Response to Alectinib. Intern. Med. 2018, 57, 713–716. [Google Scholar] [CrossRef] [PubMed] [Green Version]
- Caumont, C.; Veillon, R.; Gros, A.; Laharanne, E.; Bégueret, H.; Merlio, J.P. Neuroendocrine phenotype as an acquired resistance mechanism in ALK-rearranged lung adenocarcinoma. Lung Cancer 2016, 92, 15–18. [Google Scholar] [CrossRef] [PubMed]
- Rekhtman, N.; Pietanza, M.C.; Hellmann, M.D.; Naidoo, J.; Arora, A.; Won, H.; Halpenny, D.F.; Wang, H.; Tian, S.K.; Litvak, A.M.; et al. Next-Generation Sequencing of Pulmonary Large Cell Neuroendocrine Carcinoma Reveals Small Cell Carcinoma–like and Non–Small Cell Carcinoma–like Subsets. Clin. Cancer Res. 2016, 22, 3618–3629. [Google Scholar] [CrossRef] [PubMed] [Green Version]
- Litière, S.; Isaac, G.; De Vries, E.G.E.; Bogaerts, J.; Chen, A.; Dancey, J.; Ford, R.; Gwyther, S.; Hoekstra, O.; Huang, E.; et al. RECIST 1.1 for Response Evaluation Apply Not Only to Chemotherapy-Treated Patients But Also to Targeted Cancer Agents: A Pooled Database Analysis. J. Clin. Oncol. 2019, 37, 1102–1110. [Google Scholar] [CrossRef] [PubMed]
- Kenmotsu, H.; Niho, S.; Tsuboi, M.; Wakabayashi, M.; Ishii, G.; Nakagawa, K.; Daga, H.; Tanaka, H.; Saito, H.; Aokage, K.; et al. Randomized Phase III Study of Irinotecan Plus Cisplatin Versus Etoposide Plus Cisplatin for Completely Resected High-Grade Neuroendocrine Carcinoma of the Lung: JCOG1205/1206. J. Clin. Oncol. 2020, 38, 4292–4301. [Google Scholar] [CrossRef] [PubMed]
- Le Treut, J.; Sault, M.C.; Lena, H.; Souquet, P.J.; Vergnenegre, A.; Le Caer, H.; Berard, H.; Boffa, S.; Monnet, I.; Damotte, D.; et al. Multicentre phase II study of cisplatin-etoposide chemotherapy for advanced large-cell neuroendocrine lung carcinoma: The GFPC 0302 study. Ann. Oncol. 2013, 24, 1548–1552. [Google Scholar] [CrossRef] [PubMed]
- Nakamura, H.; Tsuta, K.; Yoshida, A.; Shibata, T.; Wakai, S.; Asamura, H.; Furuta, K.; Tsuda, H. Aberrant anaplastic lymphoma kinase expression in high-grade pulmonary neuroendocrine carcinoma. J. Clin. Pathol. 2013, 66, 705–707. [Google Scholar] [CrossRef] [PubMed]
- Hoton, D.; Humblet, Y.; Libbrecht, L. Phenotypic variation of an ALK-positive large-cell neuroendocrine lung carcinoma with carcinoid morphology during treatment with ALK inhibitors. Histopathology 2018, 72, 707–710. [Google Scholar] [CrossRef] [PubMed] [Green Version]
- Shimizu, N.; Akashi, Y.; Fujii, T.; Shiono, H.; Yane, K.; Kitahara, T.; Ohta, Y.; Kakudo, K.; Wakasa, T. Use of ALK Immunohistochemistry for Optimal Therapeutic Strategy of Pulmonary Large-cell Neuroendocrine Carcinoma and Identification of a Novel KIF5B-ALK Fusion Oncokinase. Anticancer Res. 2019, 39, 413–420. [Google Scholar] [CrossRef] [PubMed]
- Parsons, B.L. Multiclonal tumor origin: Evidence and implications. Mutat. Res. Rev. Mutat. Res. 2018, 777, 1–18. [Google Scholar] [CrossRef] [PubMed]
- Fares, A.F.; Lok, B.H.; Zhang, T.; Cabanero, M.; Lau, S.C.M.; Stockley, T.; Patel, D.; Bradbury, P.A.; Sacher, A.; Yasufuku, K.; et al. ALK-rearranged lung adenocarcinoma transformation into high-grade large cell neuroendocrine carcinoma: Clinical and molecular description of two cases. Lung Cancer 2020, 146, 350–354. [Google Scholar] [CrossRef] [PubMed]
- Zheng, Q.; Zheng, M.; Jin, Y.; Shen, X.; Shan, L.; Shen, L.; Sun, Y.; Chen, H.; Li, Y. ALK-rearrangement neuroendocrine carcinoma of the lung: A comprehensive study of a rare case series and review of literature. Onco Targets Ther. 2018, 11, 4991–4998. [Google Scholar] [CrossRef] [PubMed] [Green Version]



Publisher’s Note: MDPI stays neutral with regard to jurisdictional claims in published maps and institutional affiliations. |
© 2022 by the authors. Licensee MDPI, Basel, Switzerland. This article is an open access article distributed under the terms and conditions of the Creative Commons Attribution (CC BY) license (https://creativecommons.org/licenses/by/4.0/).
Share and Cite
Lim, C.A.; Banyi, N.; Tucker, T.; Ionescu, D.N.; Melosky, B. A Case of ALK-Rearranged Combined Lung Adenocarcinoma and Neuroendocrine Carcinoma with Diffuse Bone Metastasis and Partial Response to Alectinib. Curr. Oncol. 2022, 29, 848-852. https://doi.org/10.3390/curroncol29020072
Lim CA, Banyi N, Tucker T, Ionescu DN, Melosky B. A Case of ALK-Rearranged Combined Lung Adenocarcinoma and Neuroendocrine Carcinoma with Diffuse Bone Metastasis and Partial Response to Alectinib. Current Oncology. 2022; 29(2):848-852. https://doi.org/10.3390/curroncol29020072
Chicago/Turabian StyleLim, Chloe A., Norbert Banyi, Tracy Tucker, Diana N. Ionescu, and Barbara Melosky. 2022. "A Case of ALK-Rearranged Combined Lung Adenocarcinoma and Neuroendocrine Carcinoma with Diffuse Bone Metastasis and Partial Response to Alectinib" Current Oncology 29, no. 2: 848-852. https://doi.org/10.3390/curroncol29020072
APA StyleLim, C. A., Banyi, N., Tucker, T., Ionescu, D. N., & Melosky, B. (2022). A Case of ALK-Rearranged Combined Lung Adenocarcinoma and Neuroendocrine Carcinoma with Diffuse Bone Metastasis and Partial Response to Alectinib. Current Oncology, 29(2), 848-852. https://doi.org/10.3390/curroncol29020072

