Internal Jugular Vein Tumor Thrombus: A Tricky Question for the Thyroid Surgeon
Abstract
1. Introduction
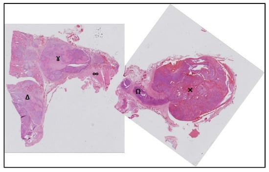
2. Case Report
3. Discussion
4. Conclusions
Author Contributions
Funding
Institutional Review Board Statement
Informed Consent Statement
Data Availability Statement
Conflicts of Interest
References
- Sobrinho-Simões, J.M.C.E.M. New WHO classification of thyroid tumors: A pragmatic categorization of thyroid gland neoplasms. Endocrinol. Diabetes Nutr. 2018, 65, 133–135. [Google Scholar] [CrossRef]
- Ordookhani, A.; Motazedi, A.; Burman, E.K.D. Thrombosis in Thyroid Cancer. Int. J. Endocrinol. Metab. 2018, 16, e57897. [Google Scholar] [CrossRef] [PubMed]
- Hyer, S.L.; Dandekar, P.; Newbold, K.; Haq, M.; Wechalakar, K.; Harmer, C. Thyroid cancer causing obstruction of the great veins in the neck. World J. Surg. Oncol. 2008, 6, 36. [Google Scholar] [CrossRef] [PubMed]
- Bhargav, P.R.K. Tumor thromboembolization into the internal jugular vein through its draining vein: A preoperative radiologic feature of high-risk thyroid cancer. Surgery 2014, 155, 196–197. [Google Scholar] [CrossRef] [PubMed]
- Carrier, S.N.E.M. Prevention and treatment of cancer-associated thrombosis. Curr. Oncol. Tor. Ont. 2020, 27, 275–278. [Google Scholar] [CrossRef]
- Lee, E.Y.P.; Khong, P.-L. The value of 18F-FDG PET/contrast-enhanced CT in detection of tumor thrombus. Clin. Nucl. Med. 2013, 38, e60–e65. [Google Scholar] [CrossRef]
- Gui, Y.; Wang, J.-Y.; Wei, X.-D. Middle thyroid vein tumor thrombus in metastatic papillary thyroid microcarcinoma: A case report and review of literature. World J. Clin. Cases 2022, 10, 3213–3221. [Google Scholar] [CrossRef]
- Mihmanlı, I.; Dikici, A.S.; Yıldırım, O.; Er, M.E.; Kılıç, F.; Tutar, O.; Kantarcı, F. A Rare Complication of the Thyroid Malignancies: Jugular Vein Invasion. Pol. J. Radiol. 2015, 80, 360–363. [Google Scholar] [CrossRef][Green Version]
- Cibas, E.S.; Ali, S.Z. The 2017 Bethesda System for Reporting Thyroid Cytopathology. Thyroid Off. J. Am. Thyroid Assoc. 2017, 27, 1341–1346. [Google Scholar] [CrossRef]
- Niederle, B.; Hausmaninger, C.; Kretschmer, G.; Polterauer, P.; Neuhold, N.; Mirza, D.F.; Roka, R. Intraatrial extension of thyroid cancer: Technique and results of a radical surgical approach. Surgery 1990, 108, 951–956, discussion 956–957. [Google Scholar]
- Banerjee, A.K.; Chopra, J.S. Cerebral embolism from a thyroid carcinoma. Report of a case. Arch. Neurol. 1972, 27, 186–187. [Google Scholar] [CrossRef]
- Ingle, S.A.; Karnik, N.D.; Pradhan, N.N.; Ranadive, N.U.; Dhurde, A.; Kotalwar, M. Papillary carcinoma of thyroid presenting as posterior mediastinal mass with superior vena cava syndrome. J. Assoc. Physicians India 2004, 52, 004–1005. [Google Scholar]
- Marcy, P.-Y.R.; Thariat, J.; Bozec, A.; Poissonnet, G.; Benisvy, D.; Dassonville, O. Venous obstruction of thyroid malignancy origin: The Antoine Lacassagne Institute experience. World J. Surg. Oncol. 2009, 7, 40. [Google Scholar] [CrossRef]
- Strobel, K.; Steinert, H.C.; Bhure, U.; Koma, A.Y.; Gassmann, N.; Stöckli, S.J. Tumour thrombus in the superior vena cava from anaplastic carcinoma of the thyroid: FDG-PET/CT imaging findings. Eur. J. Nucl. Med. Mol. Imaging 2007, 34, 813. [Google Scholar] [CrossRef]
- Chigurupati, M.V.; Madiraju, V.; Chigurupati, N.; Shinkar, P.G.; Dhagam, S.; Rao, V.V.S.P. Great cervical venous tumoral thrombosis of melanotic medullary carcinoma thyroid: Fluorine-18 fluorodeoxyglucose positron emission tomography/computed tomography enabled diagnosis and radiotherapy planning. Indian J. Nucl. Med. IJNM Off. J. Soc. Nucl. Med. India 2016, 31, 45–48. [Google Scholar] [CrossRef]
- Wang, Y.; Jiang, L.; Zhang, X.; Xu, Y.; Liu, B. Intravenous Tumor Thrombus from Papillary Carcinoma of Thyroid Demonstrated by 18F-FDG PET/CT. Clin. Nucl. Med. 2022, 47, 541–542. [Google Scholar] [CrossRef]
- Kobayashi, K.; Hirokawa, M.; Yabuta, T.; Fukushima, M.; Kihara, M.; Higashiyama, T.; Tomoda, C.; Takamura, Y.; Ito, Y.; Miya, A.; et al. Tumor thrombus of thyroid malignancies in veins: Importance of detection by ultrasonography. Thyroid Off. J. Am. Thyroid Assoc. 2011, 21, 527–531. [Google Scholar] [CrossRef]
- Pickhardt, P.J.; Pickard, R.H. Sonography of delayed thyroid metastasis from renal cell carcinoma with jugular vein extension. AJR Am. J. Roentgenol. 2003, 181, 272–274. [Google Scholar] [CrossRef]
- Marcy, P.Y.; Thariat, J.; Chevenet, C.; Lacout, A. Jugular Vein Invasion Diagnosis and Prognosis in Thyroid Carcinomas. Pol. J. Radiol. 2016, 81, 268–269. [Google Scholar] [CrossRef]
- Gross, M.; Mintz, Y.; Maly, B.; Pinchas, R.; Muggia-Sullam, M. Internal jugular vein tumor thrombus associated with thyroid carcinoma. Ann. Otol. Rhinol. Laryngol. 2004, 113, 738–740. [Google Scholar] [CrossRef]
- Enomoto, K.; Inohara, H. Surgical strategy of locally advanced differentiated thyroid cancer. Auris. Nasus. Larynx 2022, in press. [Google Scholar] [CrossRef] [PubMed]
- Gardner, R.E.; Tuttle, R.M.; Burman, K.D.; Haddady, S.; Truman, C.; Sparling, Y.H.; Wartofsky, L.; Sessions, R.B.; Ringel, M.D. Prognostic importance of vascular invasion in papillary thyroid carcinoma. Arch. Otolaryngol. Head Neck Surg. 2000, 126, 309–312. [Google Scholar] [CrossRef] [PubMed]




Publisher’s Note: MDPI stays neutral with regard to jurisdictional claims in published maps and institutional affiliations. |
© 2022 by the authors. Licensee MDPI, Basel, Switzerland. This article is an open access article distributed under the terms and conditions of the Creative Commons Attribution (CC BY) license (https://creativecommons.org/licenses/by/4.0/).
Share and Cite
Morvan, J.-B.; Boudin, L.; Metivier, D.; Delarbre, D.; Bouquillon, E.; Thariat, J.; Pascaud, D.; Marcy, P.-Y. Internal Jugular Vein Tumor Thrombus: A Tricky Question for the Thyroid Surgeon. Curr. Oncol. 2022, 29, 9235-9241. https://doi.org/10.3390/curroncol29120723
Morvan J-B, Boudin L, Metivier D, Delarbre D, Bouquillon E, Thariat J, Pascaud D, Marcy P-Y. Internal Jugular Vein Tumor Thrombus: A Tricky Question for the Thyroid Surgeon. Current Oncology. 2022; 29(12):9235-9241. https://doi.org/10.3390/curroncol29120723
Chicago/Turabian StyleMorvan, Jean-Baptiste, Laurys Boudin, Denis Metivier, David Delarbre, Edouard Bouquillon, Juliette Thariat, Damien Pascaud, and Pierre-Yves Marcy. 2022. "Internal Jugular Vein Tumor Thrombus: A Tricky Question for the Thyroid Surgeon" Current Oncology 29, no. 12: 9235-9241. https://doi.org/10.3390/curroncol29120723
APA StyleMorvan, J.-B., Boudin, L., Metivier, D., Delarbre, D., Bouquillon, E., Thariat, J., Pascaud, D., & Marcy, P.-Y. (2022). Internal Jugular Vein Tumor Thrombus: A Tricky Question for the Thyroid Surgeon. Current Oncology, 29(12), 9235-9241. https://doi.org/10.3390/curroncol29120723

