A Review on Splenic Diffuse Red Pulp Small B-Cell Lymphoma
Abstract
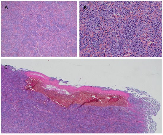
:1. Introduction
2. Epidemiology
3. Diagnosis
4. Differential Diagnosis
5. Clinical Features
6. Treatment
7. Clinical Vignette
8. Summary
Author Contributions
Funding
Conflicts of Interest
References
- International Agency for Research on Cancer; World Health Organization. WHO Classification of Tumours of Haematopoietic and Lymphoid Tissues; International Agency for Research on Cancer: Lyon, France, 2008. [Google Scholar]
- Swerdlow, S.H.; Campo, E.; Pileri, S.A.; Harris, N.L.; Stein, H.; Siebert, R.; Advani, R.; Ghielmini, M.; Salles, G.A.; Zelenetz, A.D.; et al. The 2016 revision of the World Health Organization classification of lymphoid neoplasms. Blood 2016, 127, 2375–2390. [Google Scholar] [CrossRef] [Green Version]
- Saboo, S.S.; Krajewski, K.M.; O’Regan, K.N.; Giardino, A.; Brown, J.R.; Ramaiya, N.; Jagannathan, J.P. Spleen in haematological malignancies: Spectrum of imaging findings. Br. J. Radiol. 2012, 85, 81–92. [Google Scholar] [CrossRef] [PubMed] [Green Version]
- Shimizu-Kohno, K.; Kimura, Y.; Kiyasu, J.; Miyoshi, H.; Yoshida, M.; Ichikawa, R.; Niino, D.; Ohshima, K. Malignant lymphoma of the spleen in Japan: A clinicopathological analysis of 115 cases. Pathol. Int. 2012, 62, 577–582. [Google Scholar] [CrossRef]
- Li, M.; Zhang, L.; Wu, N.; Huang, W.; Lv, N. Imaging Findings of Primary Splenic Lymphoma: A Review of 17 Cases in Which Diagnosis Was Made at Splenectomy. PLoS ONE 2013, 8, e80264. [Google Scholar] [CrossRef] [PubMed]
- Traverse-Glehen, A.; Baseggio, L.; Callet-Bauchu, E.; Morel, D.; Gazzo, S.; Ffrench, M.; Verney, A.; Rolland, D.; Thieblemont, C.; Magaud, J.; et al. Splenic red pulp lymphoma with numerous basophilic villous lymphocytes: A distinct clinicopathologic and molecular entity? Blood 2008, 111, 2253–2260. [Google Scholar] [CrossRef] [PubMed] [Green Version]
- Kanellis, G.; Mollejo, M.; Montes-Moreno, S.; Rodriguez-Pinilla, S.-M.; Cigudosa, J.C.; Algara, P.; Montalban, C.; Matutes, E.; Wotherspoon, A.; Piris, M.A. Splenic diffuse red pulp small B-cell lymphoma: Revision of a series of cases reveals characteristic clinico-pathological features. Haematologica 2010, 95, 1122–1129. [Google Scholar] [CrossRef] [PubMed] [Green Version]
- Medeiros, L.J.; Miranda, R.N. Splenic Diffuse Red Pulp Small B-Cell Lymphoma. In Diagnostic Pathology: Lymph Nodes and Extranodal Lymphomas, 2nd ed.; Elsevier: Amsterdam, The Netherlands, 2018; pp. 574–581. [Google Scholar]
- Martinez, D.; Navarro, A.; Martinez-Trillos, A.; Molina-Urra, R.; Gonzalez-Farre, B.; Salaverria, I.; Nadeu, F.; Enjuanes, A.; Clot, G.; Costa, D.; et al. NOTCH1, TP53, and MAP2K1 Mutations in Splenic Diffuse Red Pulp Small B-cell Lymphoma Are Associated with Progressive Disease. Am. J. Surg. Pathol. 2016, 40, 192–201. [Google Scholar] [CrossRef] [PubMed]
- Ponzoni, M.; Kanellis, G.; Pouliou, E.; Baliakas, P.; Scarfò, L.; Ferreri, A.J.; Doglioni, C.; Bikos, V.; Dagklis, A.; Anagnostopoulos, A.; et al. Bone Marrow Histopathology in the Diagnostic Evaluation of Splenic Marginal-zone and Splenic Diffuse Red Pulp Small B-cell Lymphoma. Am. J. Surg. Pathol. 2012, 36, 1609–1618. [Google Scholar] [CrossRef] [PubMed]
- Curiel-Olmo, S.; Mondéjar, R.; Almaraz, C.; Mollejo, M.; Cereceda, L.; Marès, R.; Derdak, S.; Campos-Martín, Y.; Batlle, A.; De Villambrosía, S.G.; et al. Splenic diffuse red pulp small B-cell lymphoma displays increased expression of cyclin D3 and recurrent CCND3 mutations. Blood 2017, 129, 1042–1045. [Google Scholar] [CrossRef] [PubMed] [Green Version]
- Baseggio, L.; Traverse-Glehen, A.; Callet-Bauchu, E.; Morel, D.; Magaud, J.; Berger, F.; Salles, G.; Felman, P. Relevance of a scoring system including CD11c expression in the identification of splenic diffuse red pulp small B-cell lymphoma (SRPL). Hematol. Oncol. 2011, 29, 47–51. [Google Scholar] [CrossRef] [PubMed]
- Jallades, L.; Baseggio, L.; Sujobert, P.; Huet, S.; Chabane, K.; Callet-Bauchu, E.; Verney, A.; Hayette, S.; Desvignes, J.-P.; Salgado, D.; et al. Exome sequencing identifies recurrent BCOR alterations and the absence of KLF2, TNFAIP3 and MYD88 mutations in splenic diffuse red pulp small B-cell lymphoma. Haematologica 2017, 102, 1758–1766. [Google Scholar] [CrossRef] [PubMed] [Green Version]
- Dufresne, S.D.; Felgar, R.E.; Sargent, R.L.; Surti, U.; Gollin, S.; McPhail, E.; Cook, J.R.; Swerdlow, S.H. Defining the borders of splenic marginal zone lymphoma: A multiparameter study. Hum. Pathol. 2010, 41, 540–551. [Google Scholar] [CrossRef] [PubMed] [Green Version]
- Waterfall, J.; Arons, E.; Walker, R.L.; Pineda, M.; Roth, L.; Killian, J.K.; Abaan, O.D.; Davis, S.; Kreitman, R.J.; Meltzer, P.S. High prevalence of MAP2K1 mutations in variant and IGHV4-34–expressing hairy-cell leukemias. Nat. Genet. 2013, 46, 8–10. [Google Scholar] [CrossRef] [PubMed]
- Kerbauy, M.N.; Fernandes, C.M.; Bezerra, E.D.; Lage, L.A.; Siqueira, S.A.C.; Pereira, J. Splenic diffuse red-pulp small B-cell lymphoma associated with hepatitis B virus: A report of two cases. Sao Paulo Med. J. 2016, 134, 359–365. [Google Scholar] [CrossRef] [Green Version]
- Wang, R.-C.; Medeiros, L.J.; Chang, K.-C. Villous lymphocytes in splenic large B-cell lymphoma with diffuse red pulp infiltration. Int. J. Hematol. 2018, 109, 133–134. [Google Scholar] [CrossRef] [PubMed]
- Hoehn, D.; Miranda, R.; Kanagal-Shamanna, R.; Lin, P.; Medeiros, L.J. Splenic B-cell lymphomas with more than 55% prolymphocytes in blood: Evidence for prolymphocytoid transformation. Hum. Pathol. 2012, 43, 1828–1838. [Google Scholar] [CrossRef]
- Cheng, W.-Y.; Zhu, Y.-M.; Cheng, S.; Chen, Y.-S.; Shen, Y. Development of B-cell prolymphocytic leukemia in a patient with splenic diffuse red pulp small B-cell lymphoma. Leuk. Lymphoma 2017, 59, 1990–1993. [Google Scholar] [CrossRef] [PubMed]


| Character | SDRPL | SMZL | HCL | HCL-v |
|---|---|---|---|---|
| Clinical features | ||||
| Splenomegaly | Present | Present | Present | Present |
| B symptoms | ∼1/3 | ∼1/4 | Rare | Rare |
| Laboratory findings | ||||
| Pancytopenia | Rare | + | ++ | + |
| Lymphocytosis | + | + | Rare | ++ |
| Histology | ||||
| Spleen | Red pulp with blood lakes | White pulp | Red pulp with blood lakes | Red pulp with blood lakes |
| Bone marrow | Sinusoidal +/− interstitial, rarely nodular | Para-trabecular and sinusoidal | Interstitial to nodular/diffuse fibrosis | Interstitial and sinusoidal |
| Peripheral blood | Small, broad based villi | Small unevenly distributed villi | Abundant, long villi | Polar villi, prominent nucleoli |
| Immunohistochemistry | ||||
| CD20 | ++ | ++ | ++ | ++ |
| CD5 | − | −/+ | − | − |
| CD10 | − | − | − | − |
| CD23 | − | − | − | − |
| Cyclin D3 | ++ | − | − | − |
| Annexin I | − | − | ++ | − |
| DBA.44 | +/− | +/− | ++ | ++ |
| IgG | + | +/− | +/− | +/− |
| CD11c | − | + | ++ | ++ |
| IgD | − | +/− | +/− | +/− |
| CD25 | − | + | ++ | − |
| CD103 | − | +/− | ++ | + |
| CD123 | − | − | ++ | − |
| Molecular studies | ||||
| FISH | 7q del, trisomy 18 and 3q | Trisomy 3, del 7q | Trisomy 5, del 5q | 17p del |
| Genetic mutations | CCND3, BCOR | NOTCH2, KLF2 | BRAF V600E | MAP2K1 |
Publisher’s Note: MDPI stays neutral with regard to jurisdictional claims in published maps and institutional affiliations. |
© 2021 by the authors. Licensee MDPI, Basel, Switzerland. This article is an open access article distributed under the terms and conditions of the Creative Commons Attribution (CC BY) license (https://creativecommons.org/licenses/by/4.0/).
Share and Cite
Yilmaz, E.; Chhina, A.; Nava, V.E.; Aggarwal, A. A Review on Splenic Diffuse Red Pulp Small B-Cell Lymphoma. Curr. Oncol. 2021, 28, 5148-5154. https://doi.org/10.3390/curroncol28060431
Yilmaz E, Chhina A, Nava VE, Aggarwal A. A Review on Splenic Diffuse Red Pulp Small B-Cell Lymphoma. Current Oncology. 2021; 28(6):5148-5154. https://doi.org/10.3390/curroncol28060431
Chicago/Turabian StyleYilmaz, Elif, Arashpreet Chhina, Victor E. Nava, and Anita Aggarwal. 2021. "A Review on Splenic Diffuse Red Pulp Small B-Cell Lymphoma" Current Oncology 28, no. 6: 5148-5154. https://doi.org/10.3390/curroncol28060431
APA StyleYilmaz, E., Chhina, A., Nava, V. E., & Aggarwal, A. (2021). A Review on Splenic Diffuse Red Pulp Small B-Cell Lymphoma. Current Oncology, 28(6), 5148-5154. https://doi.org/10.3390/curroncol28060431

