Next Article in Journal
Myocardial Infarction due to Obstruction of the Left Main Coronary
Previous Article in Journal
Political Correctness Oder das Ende der Aufklärung
 
 
Cardiovascular Medicine is published by MDPI from Volume 28 Issue 1 (2025). Previous articles were published by another publisher in Open Access under a CC-BY (or CC-BY-NC-ND) licence, and they are hosted by MDPI on mdpi.com as a courtesy and upon agreement with Editores Medicorum Helveticorum (EMH).
Font Type:
Arial Georgia Verdana
Font Size:
Aa Aa Aa
Line Spacing:
Column Width:
Background:
Article

Direct His Bundle Pacing in Routine Clinical Practice

Cardiac Pacing Unit, Cardiology Department, University Hospital of Geneva, Geneve, Switzerland
*
Author to whom correspondence should be addressed.
Cardiovasc. Med. 2018, 21(10), 249; https://doi.org/10.4414/cvm.2018.00586
Submission received: 17 July 2018 / Revised: 17 August 2018 / Accepted: 17 September 2018 / Published: 17 October 2018

Abstract

Direct His bundle pacing has recently attracted interest as a more physiological alternative to right ventricular or biventricular stimulation. The advent of new tools has facilitated the implantation procedure. This report relates our initial experience with this technique in our first 50 patients.

Introduction

It is well established that chronic right ventricular (RV) apical pacing may have an adverse effect on leh ventricular systolic function [1,2], leading in the long term to adverse clinical outcomes such as heart failure [3], atrial fibrillation [4,5] and even death [6]. In order to avoid these adverse effects, the interventricular septum or right ventricular outflow tract have been proposed as alternatives to RV apical pacing, , but results have been equivocal [7,8]. In the quest for more physiological alternatives, His bundle pacing (HBP) was first performed by Desmukh et al. in 2000 [9]. This technique has the advantage of avoiding the electrical (and thereby mechanical) dyssychrony induced by myocardial pacing by recruiting the intrinsic conduction tissue to activate the ventricles, resulting in a narrow QRS complex. Furthermore, it was shown by Narula in 1977 that pacing of the His bundle can correct bundle branch block (BBB), implying a proximal site of conduction disturbance with longitudinal dissociation within the His bundle [10]. HBP may therefore be used in lieu of cardiac resynchronisation therapy (CRT), for example in patients with failed coronary sinus lead implantation
Despite its virtues, the technique was not readily adopted because of the complexity of the procedure, which required mapping of the His bundle using a diagnostic electrophysiology catheter, and positioning of a standard pacing lead with a manually curved stylet. Procedures lasted hours and resulted in high capture thresholds. The advent of a steerable sheath to deliver a 4.1 F lumenless lead, the Select Secure 3830 model (Medtronic, MN) facilitated the procedure (Figure 1), but capture thresholds remained high (on average 2.3 ± 1.0 V/0.5 ms) [11]. We have been using this lead for pacemaker implantation in paediatric patients for over a decade [12]. More recently, a sheath with a fixed curve specifically designed for locating the His bundle (Medtronic Select Site C315 catheter – see Figure 1) has further facilitated the procedure by obviating the need for a diagnostic catheter, and with improved thresholds (mean 1.35 ± 0.9 V/0.5 ms) [13].
In a nonrandomised comparison of 304 patients with HBP and 433 patient with right ventricular pacing, the former group had significantly fewer heart failure hospitalisations and a trend towards reduced mortality [14]. Two small randomised cross-over studies (combining a total of 50 patients) showed that HBP was safe, with a tendency to better leh ventricular ejection fraction (LVEF) compared with right ventricular pacing [15,16]. In a randomised cross-over study in 21 patients (12 with complete data) HBP performed similarly in terms of LVEF, New York Heart Association (NYHA) class, quality of life and 6-minute walk distance compared with biventricular pacing [17].
Following these encouraging developments, and magnetic resonance imaging (MRI)-conditional labelling of the 3830 lead in May 2017, the first patients were implanted with HBP at our institution. This article reports our experience in our first 50 patients.

Material and methods

Patient population

Consecutive patients with a standard indication for pacing according to current guidelines [18], in whom frequent ventricular pacing was anticipated and in whom HBP was attempted by a single operator (H.B.), were included. Patients were recruited from the cardiology department of the University Hospital of Geneva. The protocol was approved by the institutional ethics committee, and patients gave informed consent to participate in the study.

Implantation technique

HBP was performed according to implantation techniques previously described [19,20], using the Medtronic 3830 lead with the C315 His delivery catheter (or optionally, if unsuccessful, the C304 deflectable catheter). The His lead was implanted first (this allowed the 3830 lead to be used for RV or right atrial pacing instead, if HBP was unsuccessful), unless the patient was scheduled for CRT implantation (in this case, the coronary sinus lead was implanted first). In all cases, the His bundle was mapped in the right anterior oblique (RAO) 30° view using the pacing lead, in a unipolar sensing configuration (as the ring electrode was usually covered by the guiding catheter during mapping). The lead was connected to the atrial channel of the pulse sense analyser (PSA) at 50 mm/s sweep speed and maximum amplification (0.05 mV/mm). With experience, it was noticed that His potentials were more readily mapped on the atrial aspect of the annulus, and we avoided crossing the tricuspid valve (observed as a “jump” of the catheter). If no His potentials were visible on the programmer screen, a printout was obtained as this occasionally allowed visualisation. The Medtronic PSA was replaced by the Abbot programmer (using unfiltered signals) for the last 10 cases, as the display is larger (Figure 2), and having two PSAs facilitated backup pacing with continued mapping in the event of atrioventricular block. The Medtronic PSA was, however, always used for measuring sensing thresholds using the “new” filter settings, which reflect those of the corresponding channel of the implanted generator. If no His potentials were visible, pace-mapping was performed. The lead was fixated by twisting the body until a slight buildup of resistance was felt. To improve tactile feedback, a transvalvular introducer tool was inserted in the guiding catheter valve. A standard 12-lead ECG was recorded during lead testing in all instances to confirm His capture, starting at 10 V/0.5 ms output and at 1 V decrements to evaluate transitions in QRS morphology, for example from nonselective HBP (with a “pseudo-delta” wave corresponding to local myocardial capture, see Figure 3), to selective HBP (with an isoelectric interval in all 12 leads between the pacing spike and QRS onset) as well as correction of BBB (Figure 4). In the event of HBP without correction of BBB, the lead was repositioned in a slightly more distal (cranial and more ventricular) position. “Para-Hissian” pacing without evidence of capture of conduction tissue (i.e., no transition in QRS morphology with decreasing output) and selective HBP without correction of LBBB, were considered failures. Backup ventricular pacing was provided in all cases. In patients with chronic atrial fibrillation (AF), the His bundle lead was connected to the atrial port of the pacemaker / implantable cardioverter defibrillator (ICD). The device was programmed to a DDDR mode with a paced atrioventricular delay of 140 ms and inactivation of ventricular safety pacing aher checking for crosstalk. In patients in sinus rhythm, the His bundle electrode was connected to the leh ventricular (LV) port of a CRT pacemaker/ICD (Figure 5). The device was programmed to a DDD mode with sequential biventricular pacing and the maximum delay of 80 ms (leh ventricle first).
A maximum of 30 minutes was allocated for mapping the His. If no His potential was found, or pace-mapping was unsuccessful, His lead implantation was abandoned, as was also the case if thresholds were unacceptably high (based upon clinical judgment for each patient individually). In these instances, the 3830 lead was implanted in the right ventricle or the right atrium, as required.
Details on His lead positioning (e.g., material used, numbers of attempts, visualisation of the His potential and a current of injury, thresholds, etc.) were recorded. Electrical parameters at routine follow-up were also captured.

Statistical analysis

The IBM SPSS v24 program (Armonk, NY, USA) was used for calculations. Data are expressed as mean ± standard deviation unless specified otherwise. Fisher’s exact test was used for comparing proportions. A p-value <0.05 was considered significant.

Results

A total of 50 patients were recruited over a 1-year period (between 8 May 2017 and 4 June 2018). Patient demographics are shown in Table 1. The youngest patient was 32 years old and had congenital atrioventricular (AV) block, and the oldest was aged 91 years and required device implantation for an “ablate and pace” strategy for rapidly-conducted AF with heart failure and systolic dysfunction.

Procedural success

Overall, 33/50 (66%) had successful HBP implantation (Figure 6). All procedures were performed using leh-sided access, apart from four cases, of which one failed (handling of the C315 guiding catheter from the right side was not difficult). A His potential was recorded by the pacing lead in 39/50 (78%) of cases, and pace-mapping led to successful location of the His bundle in 5/11 (45%) of the remaining patients. HBP was successful in 21/25 (84%) of patients with a normal baseline QRS, compared with 12/24 (50%) of patients with BBB (p = 0.016). A patient in AF with paced ventricular rhythm had failed HBP due to unsuccessful localisation of the His bundle – all six other patients who were in complete AV block at the time of the procedure had successful HBP implantation. The C304 deflectable catheter was used in five patients and led to successful implantation of the lead in one of these patients.
The average time taken to locate the His (in cases where this was possible) was 6.3 ± 5.9 minutes, and the total implantation duration attributed to the His lead (in all procedures – also those with failed implantation, and including the time required for lead testing, which is considerably longer than for standard leads owing to ECG analysis) was 26.6 ± 17.0 minutes.
The His lead was connected to the atrial port in 20 patients (all in AF/flutter) and to the LV port in the remaining 13 patients (all in sinus rhythm). Of the 33 patients with successful HBP implantation, a pacemaker was implanted in 26 patients and an ICD in seven subjects.
The only complications noted were transient complete AV block in three patients who had leh bundle branch block (LBBB), and new right bundle branch block (RBBB) aher the His lead was fixed in one patient with a normal baseline QRS.

Electrocardiographic parameters

Overall, capture of the His was possible in 40 (80%) patients, of whom 21 showed selective capture and 19 nonselective capture. Of the 23 patients with BBB in whom His capture was possible, 10 (43%) had correction of the QRS duration by at least 20 ms. Of these patients, 5/11 had RBBB and 5/11 patients had LBBB (p = 1.0 for the comparison). The patient with nonspecific intraventricular conduction delay did not have correction of the BBB. Of note, three of the four patients with Medtronic CoreValves had LBBB (one had normal QRS morphology), and none had correction of intraventricular conduction delay by HBP (only selective His capture without correction). Localisation of the His bundle was very easy (within 5 minutes) in all four patients and landmarked by the inferior corner of the valve cage in the RAO view.
Overall, the paced QRS duration in the 33 patients with successful HBP was 108 ± 18 ms.

Electrical parameters

His bundle current of injury aher lead fixation, associated with reduced capture thresholds [21], was observed in 11/39 (28%) of patients with a visible His potential. The capture threshold of the His bundle with unipolar pacing was 1.7 ± 1.1 V/0.5 ms (range 0.3– 4.6 V/0.5 ms). Bipolar sensing was 4.2 ± 4.4 mV (range 0.5–8.7 mV). Unipolar impedance was 567 ± 173 Ohms. Follow-up was available for 25 patients aher a duration of 3.1 ± 2.8 months. Pacing polarity was programmed to unipolar or extended bipolar (except if the His lead was connected to the atrial port of CRT-Ds, as only bipolar pacing is available in these devices). In patients with the His lead connected to the atrial port, sensitivity was programmed to 4 mV as ventricular sensing was ensured by the backup right ventricular lead (and to avoid oversensing of atrial or His potentials). HBP capture thresholds were 1.2 V ± 1.1 V at a pulse width of 0.5 ± 0.2 ms; sensing was 3.2 ± 3.3 mV and impedance was 385 ± 110 Ohms.

Discussion

The main findings of this report are that (1) HBP is successful in two thirds of patients with a higher success rate in patients with normal baseline QRS (84%) than in those with BBB (50%), (2) Correction of QRS by >20 ms in patients with BBB is possible in almost half of the patients and (3) Electrical parameters are acceptable and stable over short-term follow-up.
Reported success with HBP in experienced hands was initially reported as 80% using current tools [13] and is now >90% [14,22], which is considerably higher than the 66% in this report. Reasons for this are that (1) this is our initial experience, including the learning curve, (2) a maximum of 30 minutes was allowed for positioning the His lead and success rates are likely to have been higher with more allocated time, (3) strict criteria were used for defining success (e.g., “para-Hissian” pacing, included in some reports, was considered as failed implantation), (4) the setup in the operating room was not optimal (e.g., an electrophysiology bay and large-screen display were not available, and would have greatly facilitated mapping of His potentials), (5) no diagnostic catheters were used for locating the His bundle, contrary to some practice [23], and (6) the patient population was relatively complex (a high proportion with conduction disorders and comorbidities, which may have affected success rates).
It is interesting to note that patients with BBB had a lower success rate than those with a normal baseline QRS. One reason for failed implantation was His capture without correction of LBBB. The proportion of patients in whom this can be achieved is as yet not well defined. In 1977, Narula et al. [10] reported for the first time correction of LBBB by distal His pacing, with correction in 25/80 (31%) patients, but only temporary pacing with diagnostic catheters (as opposed to screw-in leads) were used. Ajijola et al. [23] studied 21 patients who received HBP in lieu of biventricular pacing, of whom 15 (71%) had QRS narrowing by >20%. In our series, the proportion of patients with BBB correction by >20 ms was only 10/23 (43%), but might have been higher with more experience. The three patients with transcatheter aortic valve implantation (TAVI) and LBBB who all had failed implantation due to selective HBP without correction are an interesting group because conduction disease may be more distal in this setting than with degenerative disease. A recent publication on HBP in 30 patients with prosthetic valves reported a success rate of 93% [24]. This series included four patients with TAVI (all Edwards Sapien valves), in two of whom HBP was successful. Our series reports for the first time HBP in patients with Corevalves, which extend lower and may result in a more distal block, explaining the failure to correct LBBB, but this warrants further study.
Capture thresholds were acceptable and comparable to previous reports [25,26], and remained stable at shortterm follow-up. We chose to implant a backup ventricular lead in all patients, as this was our initial experience, and also because increase in capture threshold and requirement for lead revision has been reported in 6.6% of patients [25]. Furthermore, sensing amplitudes were sometimes as low as 0.5 mV, and the backup ventricular lead also served to avoid sensing issues. However, this comes at an extra cost (of an additional lead, and of a dual-chamber instead of a single-chamber generator or a biventricular instead of a dual-chamber device). Since our first 50 patients, we have started implanting HBP without backup ventricular pacing in cases with good capture and sensing thresholds, and if atrioventricular nodal ablation is not planned. It should be noted that in the case of CRT implantation in patients in chronic AF, the atrial port is usually plugged, and HBP is an option that comes with the marginal extra cost of an additional lead.
The recent surge in interest in HBP is spurring the development of new tools in this field. A deflectable delivery catheter with a posterior angled tip will facilitate mapping of the His bundle and should be available in the near future (in the meantime, we have started using the deflectable catheter for coronary sinus access, coupled with a foreshortened Attain Select II 90° inner catheter). Delivery catheters to accommodate standard 6 F stylet-driven leads with extendible screws are also being developed by competitors. Hopefully, further developments in lead design (e.g., with a longer helix) will further facilitate implantation and lower capture thresholds.
Study limitations: The number of patients and follow-up duration are relatively limited, and the full scope of issues encountered with HBP is not covered by this report.

Conclusions

HBP has been performed at our centre for over a year with good results and has now become routine clinical practise in patients requiring frequent ventricular pacing or in the case of CRT and chronic AF (in whom a His lead is connected to the atrial port). The technique has also been adopted this year by several other Swiss centres. Much as with CRT over a decade ago, the advent of new tools has facilitated the procedure and allowed it to enter mainstream clinical practise. The tools will no doubt continue to evolve and further facilitate implantation, and future research will determine which patients benefit the most.

Acknowledgments

In memory of Dr Clara Hoffmann.

Disclosure statement

Additional costs of the study were covered by the GECOR foundation. H.B. has received institutional fellowship support/research grants, or consultancy/speaker fees from Abbot, Biotronik, Boston Scientific, Medtronic and Microport.

References

  1. Leclercq, C.; Gras, D.; Le Helloco, A.; Nicol, L.; Mabo, P.; Daubert, C. Hemodynamic importance of preserving the normal sequence of ventricular activation in permanent cardiac pacing. Am Heart J. 1995, 129, 1133–1141. [Google Scholar] [CrossRef] [PubMed]
  2. Yu, C.M.; Chan, J.Y.; Zhang, Q.; Omar, R.; Yip, G.W.; Hussin, A.; et al. Biventricular pacing in patients with bradycardia and normal ejection fraction. N Engl J Med. 2009, 361, 2123–2134. [Google Scholar] [CrossRef] [PubMed]
  3. Sweeney, M.O.; Hellkamp, A.S. Heart Failure During Cardiac Pacing. Circulation. 2006, 113, 2082–2088. [Google Scholar] [PubMed]
  4. Sweeney, M.O.; Bank, A.J.; Nsah, E.; Koullick, M.; Zeng, Q.C.; Hettrick, D.; et al. Minimizing Ventricular Pacing to Reduce Atrial Fibrillation in Sinus-Node Disease. N Engl J Med. 2007, 357, 1000–1008. [Google Scholar]
  5. Sweeney, M.O.; Hellkamp, A.S.; Ellenbogen, K.A.; Greenspon, A.J.; Freedman, R.A.; Lee, K.L.; et al. Adverse effect of ventricular pacing on heart failure and atrial fibrillation among patients with normal baseline QRS duration in a clinical trial of pacemaker therapy for sinus node dysfunction. Circulation. 2003, 107, 2932–2937. [Google Scholar] [CrossRef]
  6. Andersen, H.R.; Thuesen, L.; Bagger, J.P.; Vesterlund, T.; Thomsen, P.E. Prospective randomised trial of atrial versus ventricular pacing in sick-sinus syndrome. Lancet. 1994, 344, 1523–1528. [Google Scholar]
  7. Barold, S.S.; Herweg, B. Right Ventricular Outflow Tract Pacing: Not Ready for Prime-Time. J Interv Card Electrophysiol. 2005, 13, 39–46. [Google Scholar] [CrossRef]
  8. Domenichini, G.; Sunthorn, H.; Fleury, E.; Stettler, C.; Foulkes, H.; Shah, D.; et al. Pacing from the right ventricular apex versus the interventricular septum: a prospective randomized study. Eur J Intern Med. 2012, 23, 621–627. [Google Scholar] [CrossRef]
  9. Deshmukh, P.; Casavant, D.A.; Romanyshyn, M.; Anderson, K. Permanent, direct His-bundle pacing: a novel approach to cardiac pacing in patients with normal His-Purkinje activation. Circulation. 2000, 101, 869–877. [Google Scholar] [CrossRef]
  10. Narula, O.S. Longitudinal dissociation in the His bundle. Bundle branch block due to asynchronous conduction within the His bundle in man. Circulation. 1977, 56, 996–1006. [Google Scholar]
  11. Zanon, F.; Baracca, E.; Aggio, S.; Pastore, G.; Boaretto, G.; Cardano, P.; et al. A feasible approach for direct his-bundle pacing using a new steerable catheter to facilitate precise lead placement. J Cardiovasc Electrophysiol. 2006, 17, 29–33. [Google Scholar] [CrossRef]
  12. Burgan, H.; Sunthorn, H.; Burri, H. Axillary vein puncture for device implantation and use of 4F catheter delivered pacing leads in children. Cardiovasc Med. 2015, 18, 134–138. [Google Scholar]
  13. Sharma, P.S.; Dandamudi, G.; Naperkowski, A.; Oren, J.W.; Storm, R.H.; Ellenbogen, K.A.; et al. Permanent His-bundle pacing is feasible, safe, and superior to right ventricular pacing in routine clinical practice. Heart Rhythm. 2015, 12, 305–312. [Google Scholar] [CrossRef]
  14. Abdelrahman, M.; Subzposh, F.A.; Beer, D.; Durr, B.; Naperkowski, A.; Sun, H.; et al. Clinical Outcomes of His Bundle Pacing Compared to Right Ventricular Pacing. Journal of the American College of Cardiology. 2018, 71, 2319–2330. [Google Scholar] [CrossRef]
  15. Occhetta, E.; Bortnik, M.; Magnani, A.; Francalacci, G.; Piccinino, C.; Plebani, L.; et al. Prevention of Ventricular Desynchronization by Permanent Para-Hisian Pacing After Atrioventricular Node Ablation in Chronic Atrial Fibrillation: A Crossover, Blinded, Randomized Study Versus Apical Right Ventricular Pacing. Journal of the American College of Cardiology. 2006, 47, 1938–1945. [Google Scholar] [CrossRef]
  16. Kronborg, M.B.; Mortensen, P.T.; Poulsen, S.H.; Gerdes, J.C.; Jensen, H.K.; Nielsen, J.C. His or para-His pacing preserves left ventricular function in atrioventricular block: a double-blind, randomized, crossover study. Europace. 2014, 16, 1189–1196. [Google Scholar] [CrossRef]
  17. Lustgarten, D.L.; Crespo, E.M.; Arkhipova-Jenkins, I.; Lobel, R.; Winget, J.; Koehler, J.; et al. His-bundle pacing versus biventricular pacing in cardiac resynchronization therapy patients: A crossover design comparison. Heart Rhythm. 2015, 12, 1548–1557. [Google Scholar] [CrossRef] [PubMed]
  18. Brignole, M.; Auricchio, A.; Baron-Esquivias, G.; Bordachar, P.; Boriani, G.; Breithardt, O.A.; et al. 2013 ESC guidelines on cardiac pacing and cardiac resynchronization therapy: the task force on cardiac pacing and resynchronization therapy of the European Society of Cardiology (ESC). Developed in collaboration with the European Heart Rhythm Association (EHRA). Europace. 2013, 15, 1070–1118. [Google Scholar] [PubMed]
  19. Vijayaraman, P.; Dandamudi, G. How to Perform Permanent His Bundle Pacing: Tips and Tricks. Pacing and clinical electrophysiology: PACE. 2016, 39, 1298–1304. [Google Scholar] [CrossRef] [PubMed]
  20. Sharma, P.S.; Ellenbogen, K.A.; Trohman, R.G. Permanent His Bundle Pacing: The Past, Present, and Future. J Cardiovasc Electrophysiol. 2017, 28, 458–465. [Google Scholar] [CrossRef]
  21. Vijayaraman, P.; Dandamudi, G.; Worsnick, S.; Ellenbogen, K.A. Acute His-Bundle Injury Current during Permanent His-Bundle Pacing Predicts Excellent Pacing Outcomes. Pacing and clinical electrophysiology: PACE. 2015, 38, 540–546. [Google Scholar] [CrossRef]
  22. Zanon, F.; Ellenbogen, K.A.; Dandamudi, G.; Sharma, P.S.; Huang, W.; Lustgarten, D.L.; et al. Permanent His-bundle pacing: a systematic literature review and meta-analysis. EP Europace, 2018; in press. [Google Scholar]
  23. Ajijola, O.A.; Upadhyay, G.A.; Macias, C.; Shivkumar, K.; Tung, R. Permanent His-bundle pacing for cardiac resynchronization therapy: Initial feasibility study in lieu of left ventricular lead. Heart Rhythm. 2017, 14, 1353–1361. [Google Scholar] [CrossRef] [PubMed]
  24. Sharma, P.S.; Subzposh, F.A.; Ellenbogen, K.A.; Vijayaraman, P. Permanent His-bundle pacing in patients with prosthetic cardiac valves. Heart Rhythm. 2017, 14, 59–64. [Google Scholar] [CrossRef] [PubMed]
  25. Vijayaraman, P.; Naperkowski, A.; Subzposh, F.A.; Abdelrahman, M.; Sharma, P.S.; Oren, J.W.; et al. Permanent His-bundle pacing: Long-term lead performance and clinical outcomes. Heart Rhythm. 2018, 15, 696–702. [Google Scholar] [CrossRef] [PubMed]
  26. Su, L.; Xu, L.; Wu, S.J.; Huang, W.J. Pacing and sensing optimization of permanent His-bundle pacing in cardiac resynchronization therapy/implantable cardioverter defibrillators patients: value of integrated bipolar configuration. Europace. 2016, 18, 1399–1405. [Google Scholar] [CrossRef]
Figure 1. Implantation tools for direct His bundle pacing.
Figure 1. Implantation tools for direct His bundle pacing.
Cardiovascmed 21 00249 g001
Figure 2. Real-time unipolar electrogram recorded by the His pacing lead (top line) connected to an Abbott Merlin programmer. The patient was in 3:1 infra-nodal atrioventricular block (lead II is shown on the bottom line). A: atrial potential, H: His potential, V: ventricular potential.
Figure 2. Real-time unipolar electrogram recorded by the His pacing lead (top line) connected to an Abbott Merlin programmer. The patient was in 3:1 infra-nodal atrioventricular block (lead II is shown on the bottom line). A: atrial potential, H: His potential, V: ventricular potential.
Cardiovascmed 21 00249 g002
Figure 3. His bundle pacing in a patient in atrial fibrillation with normal baseline QRS. The tracing shows nonselective His capture, alternating with selective His capture with disappearance of the pseudo-delta wave (shown by the asterisks in lead aVL).
Figure 3. His bundle pacing in a patient in atrial fibrillation with normal baseline QRS. The tracing shows nonselective His capture, alternating with selective His capture with disappearance of the pseudo-delta wave (shown by the asterisks in lead aVL).
Cardiovascmed 21 00249 g003
Figure 4. Electrocardiogram in a patient with baseline left bundle branch block. Transition (shown by the asterisk) between nonselective His bundle pacing with correction (first four beats) followed by selective His bundle capture without correction and widening of the QRS complex corresponding to left bundle branch block.
Figure 4. Electrocardiogram in a patient with baseline left bundle branch block. Transition (shown by the asterisk) between nonselective His bundle pacing with correction (first four beats) followed by selective His bundle capture without correction and widening of the QRS complex corresponding to left bundle branch block.
Cardiovascmed 21 00249 g004
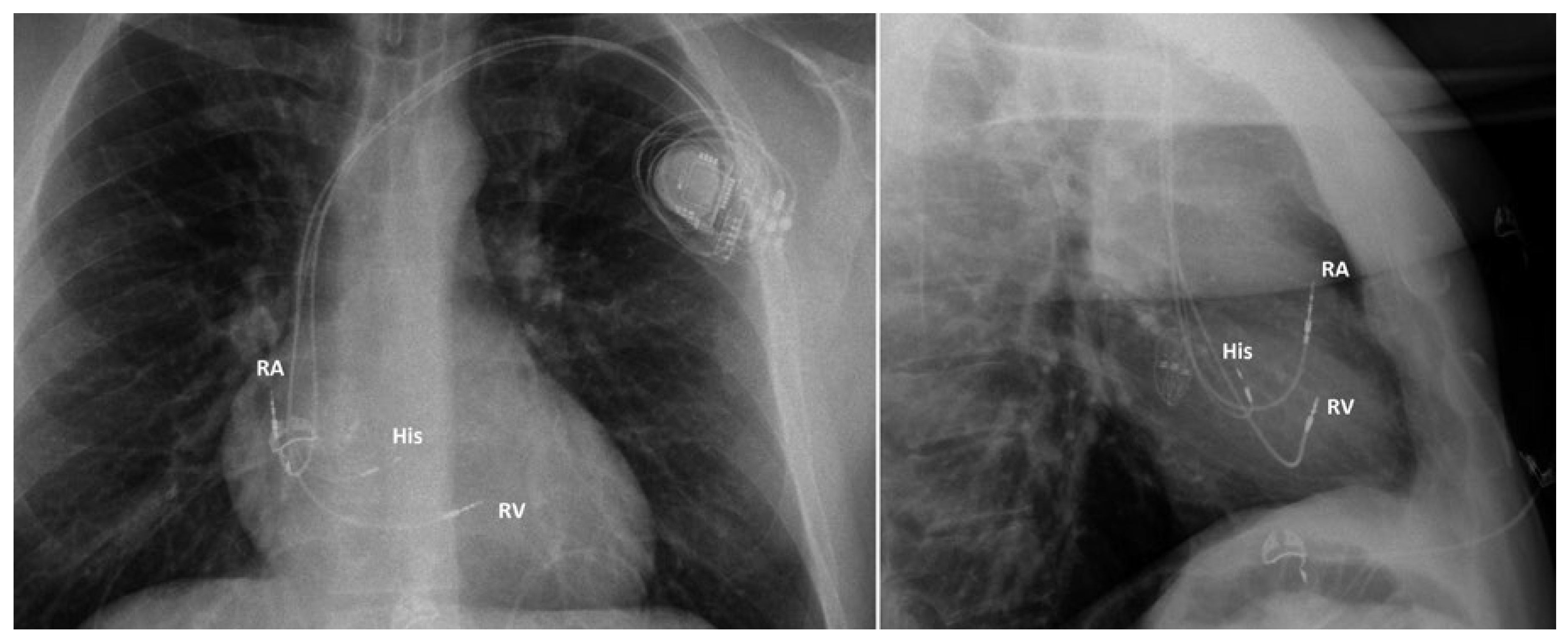
Figure 5. Chest X-ray in a patient implanted with a pacemaker for atrioventricular block. RA: right atrial lead; His: His bundle lead (connected to the left ventricular port of the biventricular pacemaker); RV: right ventricular lead on the interventricular septum (connected to the right ventricular port of the pacemaker).
Figure 5. Chest X-ray in a patient implanted with a pacemaker for atrioventricular block. RA: right atrial lead; His: His bundle lead (connected to the left ventricular port of the biventricular pacemaker); RV: right ventricular lead on the interventricular septum (connected to the right ventricular port of the pacemaker).
Cardiovascmed 21 00249 g005
Figure 6. Summary of procedural success of His bundle pacing. HBP: His bundle pacing, LBBB: left bundle branch block.
Figure 6. Summary of procedural success of His bundle pacing. HBP: His bundle pacing, LBBB: left bundle branch block.
Cardiovascmed 21 00249 g006
Table 1. Patient characteristics.
Table 1. Patient characteristics.
Patient population (n = 50)
Age (years)71.2 ± 12.8
Males/females33/17
Indication
  “Ablate and pace” for atrial fibrillation14
  In addition to CRT12
  In lieu of CRT5
  Atrioventricular block I/II/III2/6/9
  Syncope2
  Painfull LBBB1
Primary implantation / upgrade45/5
Baseline rhythm
  Sinus22
  Atrial fibrillation24
  Flutter4
Intrinsic QRS duration (ms)121 ± 31
Baseline QRS morphology
  Normal25
  LBBB12
  RBBB11
  NIVCD1
  Paced1
Comorbidities
  Ischaemic heart disease22
  Dilated cardiomyopathy5
  TAVI4
  Valve surgery3
  Diabetes11
  Hypertension13
  Renal insufficiency16
  Sarcoidosis2
  Amyloidosis2
CRT: cardiac resynchronisation therapy; LBBB: left bundle branch block; NIVCD: nonspecific intraventricular conduction delay; RBBB: right bundle branch block; TAVI: transcatheter aortic valve implantation. Data shown as mean ± SD.

Share and Cite

MDPI and ACS Style

Burri, H.; Stettler, C. Direct His Bundle Pacing in Routine Clinical Practice. Cardiovasc. Med. 2018, 21, 249. https://doi.org/10.4414/cvm.2018.00586

AMA Style

Burri H, Stettler C. Direct His Bundle Pacing in Routine Clinical Practice. Cardiovascular Medicine. 2018; 21(10):249. https://doi.org/10.4414/cvm.2018.00586

Chicago/Turabian Style

Burri, Haran, and Carine Stettler. 2018. "Direct His Bundle Pacing in Routine Clinical Practice" Cardiovascular Medicine 21, no. 10: 249. https://doi.org/10.4414/cvm.2018.00586

APA Style

Burri, H., & Stettler, C. (2018). Direct His Bundle Pacing in Routine Clinical Practice. Cardiovascular Medicine, 21(10), 249. https://doi.org/10.4414/cvm.2018.00586

Article Metrics

Back to TopTop