Next Article in Journal
Computertomographische Koronarangiographie: Teures Spielzeug Oder Diagnostischer Fortschritt?
Previous Article in Journal
Migräne und Offenes Foramen Ovale: Nur ein Vorübergehender Hoffnungsschimmer?
 
 
Cardiovascular Medicine is published by MDPI from Volume 28 Issue 1 (2025). Previous articles were published by another publisher in Open Access under a CC-BY (or CC-BY-NC-ND) licence, and they are hosted by MDPI on mdpi.com as a courtesy and upon agreement with Editores Medicorum Helveticorum (EMH).
Font Type:
Arial Georgia Verdana
Font Size:
Aa Aa Aa
Line Spacing:
Column Width:
Background:
Case Report

Roboter-Assistierte Plazierung Einer Linksventrikulären Elektrode

1
Klinik für Herz- und Gefässchirurgie, Universitätsspital, Zurich, Switzerland
2
Klinik für Kardiologie, Universitätsspital, Zurich, Switzerland
*
Author to whom correspondence should be addressed.
Cardiovasc. Med. 2005, 8(12), 448; https://doi.org/10.4414/cvm.2005.01141
Submission received: 30 September 2005 / Revised: 30 October 2005 / Accepted: 30 November 2005 / Published: 30 December 2005

Summary

Biventricular pacing is an accepted therapy in patients suffering from terminal heart failure. Main obstacle however is the positioning of the left ventricular electrode via coronary sinus as well as its reliable fixation. This article describes in a 77-year-old patient an alternative technique to the interventional procedure using the DaVinci® robot.

Zusammenfassung

Die biventrikuläre Stimulation bei Patienten mit terminaler Herzinsuffizienz ist eine etablierte Therapieform. Hauptschwierigkeit dabei ist die Plazierung der linksventrikulären Elektrode im Sinus coronarius und deren verlässliche Verankerung. Diese Arbeit zeigt anhand eines 77jährigen Patienten eine mögliche Alternative zu dem interventionellen Verfahren unter Zuhilfenahme des DaVinci®Operationsroboters.

Einführung

Verschiedene prospektiv randomisierte Studien haben gezeigt, dass Patienten mit deutlich eingeschränkter linksventrikulärer Funktion und gleichzeitig verlängertem QRS-Komplex (>120 ms) von einer Resynchronisation mittels biventrikulärem Herzschrittmacher profitieren [1,2]. Aufgrund einer grossen anatomischen Variabilität des Sinus coronarius und der Herzvenen kann jedoch in ca. 5–10% der Fälle die linksventrikuläre Elektrode nicht interventionell plaziert werden. Zudem kann es bei 5–10% der Patienten zu einer späteren Elektrodendislokation kommen [3]. Fürsolche Patienten kam bisher ein endokardialer transseptaler oder ein epikardialer Zugang via lateraler Thorakotomie als Therapieoption in Frage [4].
Um das Operationstrauma für den Patienten erträglich halten zu können, konzentriert sich die Entwicklung zukünftiger chirurgischer Alternativmethoden auf minimal-invasive Techniken. Dazu zählt der Einsatz des DaVinci®-Operationsroboters (Intuitive Surgical, Sunnyvale, CA). Wir berichten über den schweizweit ersten erfolgreichen Einsatz dieses Telemanipulators bei einem Patienten mit terminaler Herzinsuffizienz, bedingt durch eine koronare Herzerkrankung. Dem Einsatz ist eine intensive Vorbereitung vorausgegangen, um ein optimales Resultat ermöglichen zu können.

Fallbeschreibung

Der 77jährige Patient wurde nach Reanimation bei Kammerflimmern hospitalisiert. Bereits im Jahre 1989 wurde er chirurgisch revaskularisiert. In der notfallmässigen Koronarangiographie zeigte sich ein gutes Flussmuster im LIMA-RIVA-Bypass sowie im Venenbypass zur RCX. Die Ventrikulographie zeigte eine Kontraktilität (ejection fraction [EF]) von ca. 10%. Im EKG konnte ein QRSKomplex von >200 ms Breite gesehen werden und echokardiographisch ein dilatierter Ventrikel mit einem «pre-ejection delay» von 162 ms und einem «interventricular mechanical delay» von 49 msec diagnostiziert werden. Damit qualifizierte sich der Patient für die Einlage eines 3-Kammer-ICD (Insync Sentry, Medtronic Inc., Minneapolis, MN). Die interventionelle Plazierung der linksventrikulären Elektrode (Medtronic 4193–88) gestaltete sich wegen grossem Infarktgebiet (Reizschwelle 6V) und der ungünstigen Anatomie des venösen Systems schwierig. Da die erhoffte klinische Besserung ausblieb (EF konstant, trotz biventrikulärem Pacing), sich aber grundsätzlich gute linkslaterale Kontraktionen zeigten, wurde die epikardiale Positionierung einer linksventrikulären Elektrode beschlossen.
Abbildung 1. Roboter-unterstützte Fixierung der epikardialen Elektrode (*) mittels U-Clip (+). Die Elektrode wurde bereits an zwei Orten mittels U-Clips fixiert (°).
Abbildung 1. Roboter-unterstützte Fixierung der epikardialen Elektrode (*) mittels U-Clip (+). Die Elektrode wurde bereits an zwei Orten mittels U-Clips fixiert (°).
Cardiovascmed 08 00448 g001
Abbildung 2. A Präoperatives EKG. Deutlich sichtbar ist die rechtsventrikuläre Stimulation. B Postoperatives EKG. Im Unterschied zum präoperativen EKG ist nun die biventrikuläre Stimulation deutlich sichtbar.
Abbildung 2. A Präoperatives EKG. Deutlich sichtbar ist die rechtsventrikuläre Stimulation. B Postoperatives EKG. Im Unterschied zum präoperativen EKG ist nun die biventrikuläre Stimulation deutlich sichtbar.
Cardiovascmed 08 00448 g002
Der Eingriff wurde in Vollnarkose durchgeführt. Der Patient wurde auf dem Rücken liegend mit leicht erhöhtem linken Thorax gelagert. Unter Ein-Lungen-Beatmung konnte zunächst der Trokar für die Optik im linken 5. Interkostalraum (ICR) plaziert werden. Unter optischer Kontrolle wurden daraufhin die beiden Instrumententrokare im 3. bzw. 7. ICR links plaziert. Es zeigten sich ausgedehnte pleurale und epikardiale Verwachsungen, die zunächst mittels Roboter gelöst werden mussten. Für bessere Sichtverhältnisse wurde CO2 bis zu einem intrathorakalen Druck von ca. 11 mm Hg insuffliert. Nach Markierung der geeigneten Implantationsstelle wurde das Perikard mittels Schere, unter Schonung des RCX-Venen-Bypasses, eröffnet. Daraufhin konnte die bipolare epikardiale Elektrode (CapSure Epi 4968, Medtronic, Minneapolis, USA) über eine vierte Inzision eingeführt und der erste Pol mittels U-Clip 105 (Medtronic, Minneapolis, USA) fixiert werden. Danach musste der zweite Pol mehrmals umplaziert werden, bis die gemessenen Werte einwandfrei waren. Auch dieser Pol wurde mit U-Clip 105® (Abb. 1) verankert. Zuletzt wurde die Elektrode durch die Interkostal-Muskulatur in die linkspektoral gelegene ICD-Tasche geführt und mit dem Gerät verbunden.
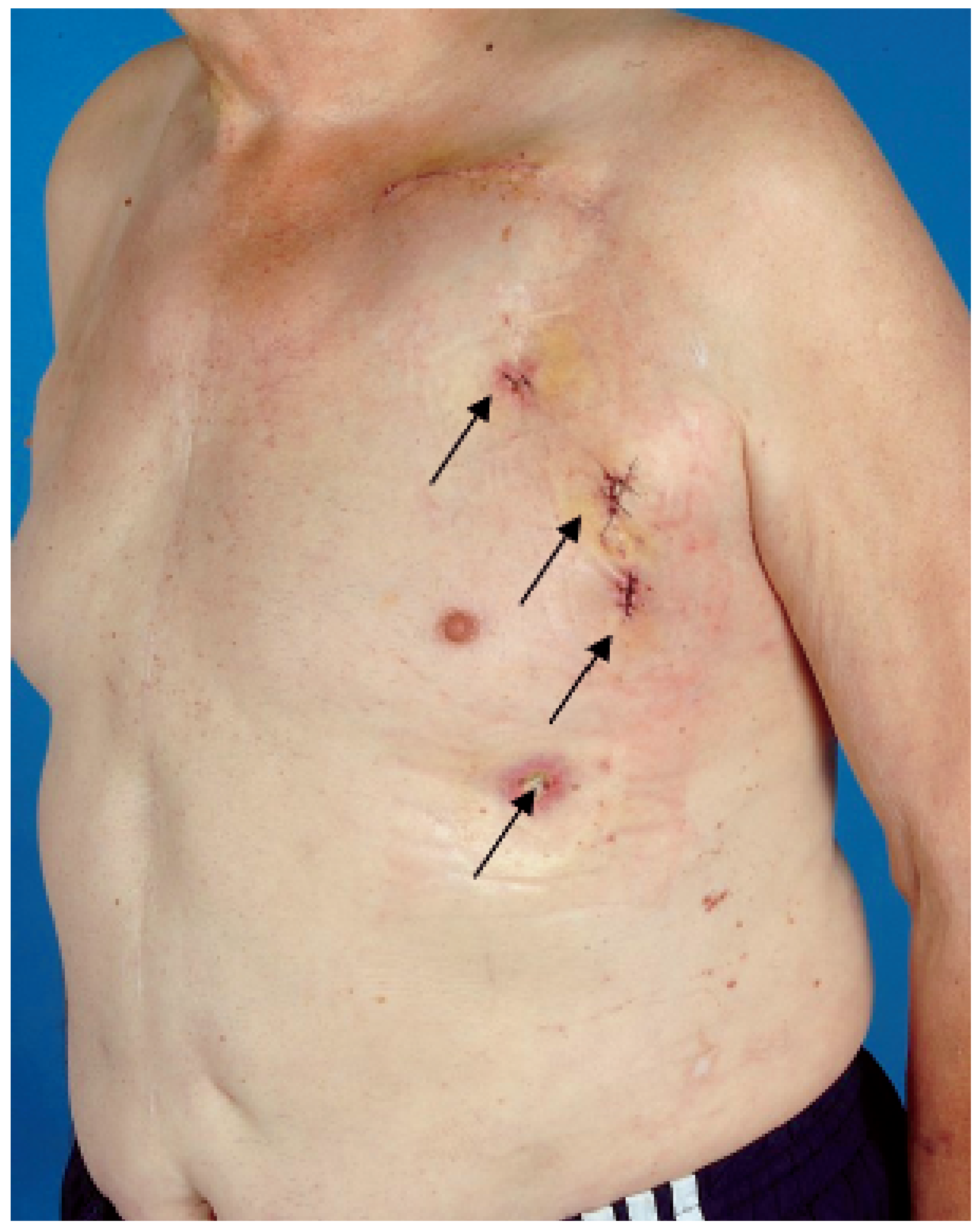
Abbildung 3. 77jähriger Patient nach Roboter-unterstützter Implantation epikardialer Schrittmacherkabel. Zu erkennen sind die 4 jeweils ca. 12 mm messenden Inzisionen (Pfeile).
Abbildung 3. 77jähriger Patient nach Roboter-unterstützter Implantation epikardialer Schrittmacherkabel. Zu erkennen sind die 4 jeweils ca. 12 mm messenden Inzisionen (Pfeile).
Cardiovascmed 08 00448 g003
Der Eingriff dauerte ca. 4,5 Stunden und wurde vom Patienten trotz erhöhtem intrathorakalem Druck und Manipulation am Herzen gut toleriert. Kammertachykardien wurden überstimuliert und dadurch terminiert. Die erreichten Messwerte zeigten eine R-Welle von 2,9 mV, eine Reizschwelle von 1,2 V bei 0,5 ms und eine Impedanz von 720 Ohm. Bereits 3 Stunden postoperativ konnte der Patient problemlos extubiert werden. Im folgenden zeigte sich ein problemloser postoperativer Verlauf mit stabilen ICD-Werten und EKG-Befunden (Abb. 2). Die Inzisionen verheilten reizlos und der Patient wurde am 5. postoperativen Tag entlassen (Abb. 3).

Diskussion

Biventrikuläres Pacing ist bei ca. 20–30% aller ICD-Patienten indiziert [5]. Eine erfolgreiche Resynchronisationstherapie hängt entscheidend von der richtigen Plazierung der linksventrikulären Elektrode und deren sicheren Fixierung ab. Es hat sich gezeigt, dass besonders die Stimulation im posterolateralen Bereich der linken Kammer erfolgversprechend ist [6]. Aufgrund der anatomischen Variabilität des venösen kardialen Systems kann dieses Areal nicht immer über ein perkutanes Vorgehen erreicht werden. Zudem gestaltet sich die sichere Fixierung häufig problematisch, was zu langen Eingriffsund Durchleuchtungszeiten führen kann [7].
Der direkte Zugang zum linken Herzen über eine Thorakotomie ist eine bewährte Alternative. Allerdings ist dieser Eingriff traumatisch, da je nach anatomischen Verhältnissen die Inzision stark verlängert werden muss. Mit dem Einsatz des DaVinci-Roboters kann das chirurgische Trauma deutlich reduziert werden, da nur über 3–4 ca. 12 mm lange Inzisionen gearbeitet wird. Durch die dreidimensionale Sicht und die einer menschlichen Hand vergleichbaren Instrumentenfreiheitsgrade ist eine hohe Präzision erreichbar. Damit kann die gesamte anteriore und posterolaterale Ventrikelwand ausgemessen und die Elektrode am Ort mit den besten Werten verankert werden. Wir haben dafür einen neuentwickelten Nitinol-Clip (U-Clip®) verwendet, der das Knoten von Fäden überflüssig macht: durch den Gedächtniseffekt von Nitinol schliesst sich der zunächst U-förmige Clip nach Aktivierung mittels Druck und umschliesst dadurch die Elektrode und das durchstochene Myokard. Dadurch erreicht man eine feste Verankerung, die gleichzeitig aber auch jederzeit lösbar ist. Das vereinfacht das Umplazieren der Elektrode beim Ausmessen.
Wir glauben mit diesem Verfahren eine gute Alternative zur Thorakotomie anbieten zu können. Es hat sich gezeigt, dass selbst bei diesem Patienten mit erheblichen Verwachsungen der Eingriff mittels Roboter sicher durchführbar war, wenn gleich sich dadurch die Operationszeit verlängerte. Das kosmetische Resultat ist überzeugend. Um das Verfahren abschliessend beurteilen zu können, braucht es nun Studien mit grösseren Patientenzahlen.

References

  1. Cazeu, S.; LeClerq, C.; Lavergne, T.; et al. Effects of multisite biventricular pacing in patients with heart failure and intraventricular conduction delay. N Engl J Med 2001, 344, 873–880. [Google Scholar] [CrossRef] [PubMed]
  2. Gras, D.; Mabo, P.; Tang, T.; et al. Multisite pacing as a supplemental treatment of congestive heart failure: preliminary results of the Medtronic InSync study. PACE 1998, 21, 2249–2255. [Google Scholar] [CrossRef] [PubMed]
  3. Abraham, W.T.; Fischer, W.G.; Smith, A.; et al. Cardiac resynchronisation in chronic heart failure. N Engl J Med 2002, 346, 1845–1853. [Google Scholar] [CrossRef] [PubMed]
  4. Leclerq, F.; Hager, F.X.; Macia, J.C.; et al. Left ventricular lead insertion using a modified transseptal catheterization technique: a totally endocardial approach for permanent biventricular pacing in end-stage heart failure. PACE 1999, 22, 1570–1575. [Google Scholar] [CrossRef] [PubMed]
  5. Stellbrink, C.; Auricchio, A.; Diem, B.; et al. Potential benefit of biventricular pacing in patients with congestive heart failure and ventricular arrhythmia. Am J Cardiol 1999, 83, 143–150. [Google Scholar] [CrossRef] [PubMed]
  6. Butter, C.; Auricchio, A.; Stellbrink, C.; et al. Effect of resynchronization therapy stimulation site on the systolic function of heart failure patients. Circulation 2001, 104, 3026–3029. [Google Scholar] [CrossRef] [PubMed]
  7. Mansourati, J.; Etienne, Y.; Gilard, M.; et al. Left ventricular based pacing in patients with chronic heart failure: comparison of acute hemodynamic benefits according to underlying heart disease. Eur J Heart Fail 2000, 2, 195–199. [Google Scholar] [CrossRef] [PubMed]

Share and Cite

MDPI and ACS Style

Reuthebuch, O.; Grünenfelder, J.; Holzmeister, J.; Rahn, M.; Schurr, U.; Zünd, G.; Genoni, M. Roboter-Assistierte Plazierung Einer Linksventrikulären Elektrode. Cardiovasc. Med. 2005, 8, 448. https://doi.org/10.4414/cvm.2005.01141

AMA Style

Reuthebuch O, Grünenfelder J, Holzmeister J, Rahn M, Schurr U, Zünd G, Genoni M. Roboter-Assistierte Plazierung Einer Linksventrikulären Elektrode. Cardiovascular Medicine. 2005; 8(12):448. https://doi.org/10.4414/cvm.2005.01141

Chicago/Turabian Style

Reuthebuch, O., J. Grünenfelder, J. Holzmeister, M. Rahn, U. Schurr, G. Zünd, and M. Genoni. 2005. "Roboter-Assistierte Plazierung Einer Linksventrikulären Elektrode" Cardiovascular Medicine 8, no. 12: 448. https://doi.org/10.4414/cvm.2005.01141

APA Style

Reuthebuch, O., Grünenfelder, J., Holzmeister, J., Rahn, M., Schurr, U., Zünd, G., & Genoni, M. (2005). Roboter-Assistierte Plazierung Einer Linksventrikulären Elektrode. Cardiovascular Medicine, 8(12), 448. https://doi.org/10.4414/cvm.2005.01141

Article Metrics

Back to TopTop