Next Article in Journal
Relapsing Terlipressin-Induced Acute Pulmonary Oedema in a Patient with Hepatorenal Syndrome
Previous Article in Journal
Impact of a Structured Institutional Lead Management Programme at a High Volume Centre for Transvenous Lead Extractions in Switzerland
 
 
Cardiovascular Medicine is published by MDPI from Volume 28 Issue 1 (2025). Previous articles were published by another publisher in Open Access under a CC-BY (or CC-BY-NC-ND) licence, and they are hosted by MDPI on mdpi.com as a courtesy and upon agreement with Editores Medicorum Helveticorum (EMH).
Font Type:
Arial Georgia Verdana
Font Size:
Aa Aa Aa
Line Spacing:
Column Width:
Background:
Case Report

Uncommon Cause for Hemorrhagic Tamponade in a 26-Year Old Male

by
Alexandra-Maria Neagoe
1,*,
David Reineke
2,
Attila Kollár
3,
Yara Banz
4 and
Kerstin Wustmann
1
1
Department of Cardiology, Inselspital, Bern University Hospital, University of Bern, Bern, Switzerland
2
Department of Cardiovascular Surgery, Inselspital, Bern University Hospital, University of Bern, Bern, Switzerland
3
Department of Oncology, Inselspital, Bern University Hospital, University of Bern, Bern, Switzerland
4
Department of Pathology, University of Bern, Bern, Switzerland
*
Author to whom correspondence should be addressed.
Cardiovasc. Med. 2023, 26(5), 2223; https://doi.org/10.4414/cvm.2022.02223 (registering DOI)
Submission received: 20 June 2023 / Revised: 20 July 2023 / Accepted: 20 August 2023 / Published: 20 September 2023

Summary

By our case report, we want to bring to light the necessity of further workup in young patients with syncope, chest pain and dyspnea.
A 26-year-old male was admitted due to syncope after complaining of chest pain and breathing difficulties. Transthoracic echocardiography showed cardiac tamponade and pericardiocentesis was performed with removal of hemorrhagic fluid. Cardiac magnetic resonance showed a heterogeneous, highly perfused mass located in the right atrium (RA) with necrotic areas. Histopathology during cardiac surgery determined a high grade angiosarcoma in the RA and R0 margins. Adjuvant chemotherapy was started but a local relapse occurred followed by multiple metastases and death.
Haemorrhagic pericardial effusion is highly suspicious of cardiac malignancies and warrants further workup by a multidisciplinary team.

Introduction

A common cause for chest pain in young patients is pericarditis, which can be accompanied by pericardial effusion. The following case brings to public attention a young patient with cardiac haemorrhagic tamponade and an unusual diagnosis.

Case description

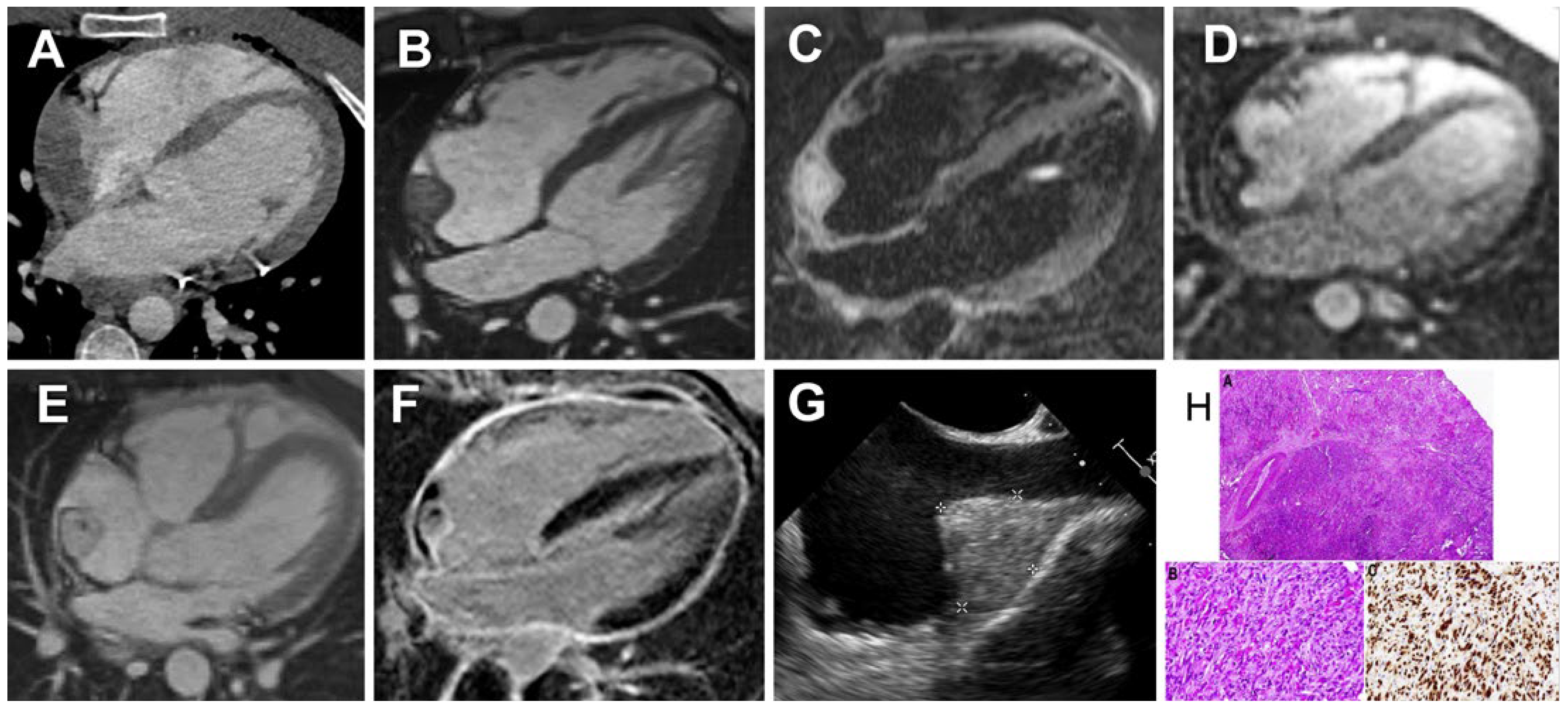
A previous healthy 26-year-old male was admitted by ambulance after he suffered a syncope during his work in a supermarket and an ambulance was called. In the past 6 days, he had complained of dyspnoea and chest pain, mostly during inspiration, and his general practitioner started inhalation therapy, which was unsuccessful. Before the syncope, he described no exacerbation of chest pain or dyspnoea. After arriving in the hospital the patient showed signs of bradycardia and had a second syncope during mobilisation. On telemetry asystole for 5 seconds was noticed and one dose of atropine 0.5 mg was given. Initial blood pressure was 95/60 mm Hg and after it dropped to 60/45 mm Hg in the first minutes, noradrenaline and adrenaline were administrated for a short time. Transthoracic echocardiography (TTE), performed in the emergency department, revealed cardiac tamponade. The ECG showed sinus tachycardia (after noradrenaline and adrenaline administration) with an S1Q3 pattern and diffuse ST-elevations in II, aVF, V2-V3, V5-V6, but no low voltage. Emergency pericardiocentesis was conducted. Cytological analysis of the pericardial fluid showed activated mesothelial cells but no malignant cells. By thoracic computed tomography (CT) an aortic dissection was ruled out, but a heterogeneous mass within the right atrium (RA) was seen in an otherwise unremarkable scan (Figure 1A). Cardiac magnetic resonance imaging (CMR) 2 days later revealed a 23 × 25 × 39 mm broad-based tumour, located at the roof of the RA and near the entrance of the superior vena cava (SVC), with inhomogeneous appearance and oedema in the native sequences, quick contrast enhancement during first-pass perfusion and inhomogeneous late gadolinium enhancement with central necrosis, very suspicious of a highly vascularised malignant tumor (Figure 1B–F). No other evidence of malignancy was found in a whole-body positron emission tomography (PET)-CT.
Because of the high risk of haematogenous tumour dissemination and bleeding, a CT guided biopsy or an endomyocardial biopsy of the RA tumor were considered inappropriate. An urgent heart transplant listing was also discussed for a short time, but due highly suspicious malignancy with unknown outcome and possibly extended disease we decided against it. After interdisciplinary discussion (cardiac surgeons, cardiologists, radiologists) and with regard to the young age of the patient as well as haemodynamic instability at presentation, the decision for exploratory cardiac surgery and resection of tumour was made.
Intraoperatively, extended tumour excision up to the sinus node and SVC, pulmonary veins and inferior vena cava, as well as pericardectomy and excision and reconstruction of the phrenic nerve were performed. The right atrial wall was completely reconstructed by a pericardial patch. Histopathology identified a high grade angiosarcoma of the RA with clear margins of resection (Figure 1H). After 18 days of hospitalisation, the patient was discharged in a good condition for rehabilitation. Planed follow-up CT 4 weeks after the resection and before the start of chemotherapy showed no signs of local complications or relapse. The oncology board decided on four cycles of adjuvant chemotherapy with epirubicin and ifosfamidecycles.
Unfortunately, transthoracic echocardiography 6 months after tumour resection again showed a thickened RA wall near the entrance of the SVC. Repeated CMR confirmed a new 36 × 9 × 41 mm mass with a central core without contrast uptake and a 10 mm thick irregular rim with late enhancement, suspicious of a local relapse of the angiosarcoma (size of the cystic area 28 × 17 × 31 mm). Results of a repeated PET-CT scan also raised suspicion of a local early relapse 7 months after initial in toto resection, without any signs of extended disease. Because of the patient›s young age, we aimed for maximal treatment and redo surgery for an otherwise infaust prognosis. In order to prevent tumour-associated acute cardiac deterioration and to maximise treatment response, neoadjuvant radiotherapy (25 × 2 Gy, 50 Gy GD) was started with concomitant chemotherapy with paclitaxel (seven cycles) (Figure 2A–F). Surgical exploration was performed a couple of weeks after the end of radiation therapy.
Histopathological examination of the suspected lesion demonstrated only necrotic tissue and scarce atypical cells. Nevertheless, 21 months after the initial diagnosis and 8 months after the second surgical exploration, a bone metastasis of the ninth rib on the left side was diagnosed. A second radiotherapy cycle and palliative chemotherapy with pazopanib were started. Despite treatment, the patient developed further hepatic, pulmonary, spleenic and bone metastases. Chemotherapy with pazopanib was changed to gemcitabine and dacarbazine. Nonetheless, the patient suffered from an intrahepatic haemorrhage due to progressive hepatic metastases. Although successful coiling of the arterial branch supplying the bleeding hepatic metastasis was performed, recurrent intrahepatic bleedings as well as progression of the metastases were noticed on CT and palliative therapy was initiated. Unfortunately, the patient died 35 months after the initial diagnosis owing to extensive disease progression.

Discussion

Acute chest pain with syncope is a common clinical presentation and can be seen in different settings. In the emergency room, myocardial infarction, pulmonary embolism and pericardial syndromes with haemodynamically relevant pericardial effusion are among most important life-threatening emergencies and further workup for a rule in / rule out is necessary. In myocardial infarction, typical ECG signs, existence of cardiovascular risk factors and biomarkers lead to diagnosis, and in pulmonary embolism acute dyspnoea with or without chest pain are most often the main symptoms, but the diagnosis of pericardial syndromes (acute pericarditis, pericardial effusion, cardiac tamponade and constrictive pericarditis) with haemodynamically relevant pericardial effusion is clinically not always easy and requires echocardiography or is diagnosed by a thoracic CT performed to rule in / rule out pulmonary embolism. Acute pericarditisis (AP) diagnosed by the presence of at least two of the following criteria: typical chest pain, pericardial friction, typical ECG changes and pericardial effusion. The most common cause for pericardial disease is infection, with viruses the most common pathogen agents. Since 2020, special attention has been given to SARS-CoV-2 induced acute pericarditis or perimyocarditis. Non-infectious causes of acute pericarditis include autoimmune diseases (common), adverse effects of medication, metabolic disorders or traumatic/iatrogen events. Of note are also the described cases of AP or (peri)myocarditis after the application of mRNA vaccines against SARS-CoV-2 infection. Cardiac tamponade is also caused by acute aortic dissection and left ventricular free wall rupture after myocardial infarction. Malignant cardiac tumours, even though not often met in the clinical setting, belong also to the known causes of pericardial effusion or tamponade.
Primary cardiac tumours are rare, with a reported incidence of 0.002–0.3% and prevalence of 0.001%–0.03% [1,2,3]. The prevalence of primary malignant cardiac tumours among primary cardiac tumours is 10% [4]. Primary malignant cardiac tumours usually appear in adults between 40–60 years of age and the most common are angiosarcomas [4,5]. Symptoms are usually related to the localisation of the tumour and can present with dyspnoea, chest discomfort, syncope due to heart failure, pericardial effusion or arryhthmia, but sometimes systemic symptoms (fever, weight loss, fatigue) or symptoms due to embolisation (pulmonary or systemic) may appear [6]. Sudden cardiac death as a first manifestation of primary malignant cardiac tumours is very rare [7]. TTE is most often the first imaging modality but complementary examinations for further characterisation of the tumour as well as evaluation of the extent of disease have to be performed (CT, CMR or PET-CT). CMR offers the possibility for tissue characterisation and is especially useful to diagnose or rule out a cardiac thrombus. Furthermore, CMR can help to establish a near correct diagnosis of the tumour by T1- and T2-related characteristics, tumour location, signs of infiltration (and pericardial effusion), as well as the appearance during first-pass perfusion and late enhancement.
In our patient, CMR was critical for further differentiation of the findings. The RA tumour was broad-based, inhomogeneous, with quick contrast uptake in the first-pass perfusion and and inhomogeneous late gadolinium enhancement with central cores of contrast deficiency suggestive of cystic or necrotic areas. Based on tumour localisation, morphology (inhomogeneous tumour with necrotic/cystic areas), infiltration with haemorrhagic pericardial effusion and perfusion (very well vascularised), a malignant tumour was strongly suspected (angio-, rhabdo-, leioor undifferentiated sarcoma). Ultimately, histopathology established the diagnosis of an angiosarcoma. Unfortunately, only limited data on optimal treatment and prognosis of cardiac angiosarcomas are available. Complete resection should be the mainstay of treatment. Patients who undergo surgery have a better outcome than those without surgery. Surgery may also be considered to relieve symptoms [6]. But even with complete surgical resection, the 5-year survival rate is low. The impact of adjuvant, anthracycline-containing chemotherapy in soft tissue sarcoma in general and in its subtypes is not clear.
However, a benefit in terms of overall survival as well as recurrence risk was shown in a former meta-analysis [6,9]. Additional chemotherapy and radiotherapy seem to improve survival in some patients [5], but the use of radiotherapy in the adjuvant setting presents several challenges. First, it is difficult to target beams to the tumour without harming adjacent normal tissue. In addition, when combined with anthracycline-based chemotherapy, the cumulative potential for cardiotoxicity can be very high [10]. The presence of tumour necrosis and metastasis is associated with a poor prognosis, as is the presence of a right-sided cardiac sarcoma [11]. Sarcomas other than angiosarcomas seem to have a better prognosis [5]. Newer cancer therapies such as checkpoint inhibitor immunotherapy might be helpful in further therapy of soft tissue sarcomas, but more data are needed [12,13,14]. In our particular case, our patient was extremely young and without any additional diseases prior to the start of the symptoms. The relapse after in toto resection and adjuvant chemotherapy without any initial signs of extended disease on PET-CT shows the high aggressness of angiosarcomas and confirms that more data are necessary for adequate therapy.
The particularity of this case is the young age of our patient presenting with tamponade as first manifestation of cardiac angiosarcoma and its poignant evolution despite the R0 margins. In addition, histopathology after the second operation showed no evidence of a relapse despite the intense metabolic activity noticed in PET-CT. Possibly, the discrepancy between positive PET-CT and negative histopathology can be explained by either successful radio-/chemotherapy before redo surgery or enhanced metabolic activity due to tissue regeneration/remodelling after the first surgery and chemotherapy.

Conclusions

Although primary cardiac tumours are rare, among the malignant forms, angiosarcoma is the most common type. Syncope, haemorrhagic pericardial effusion and tamponade are known possible manifestations of malignant cardiac tumours. Haemorrhagic pericardial effusion in young patients with no clinical history may indicate an underlying malignant process and thorough diagnostic workup is warranted. Diagnostic and therapeutic decisions for patients with malignant cardiac tumours require an interdisciplinary specialist team and should be best discussed and planned by interdisciplinary tumour boards. We intend to add this unique case to the shallow pool of knowledge.

Disclosure Statement

No financial support and no other potential conflict of interest relevant to this article was reported.

References

  1. Prevalence and pathology of primary cardiac tumors. Cardiovasc. Med. 2012, 15, 18–28. [CrossRef]
  2. Paraskevaidis, I.A.; Michalakeas, C.A.; Papadopoulos, C.H.; Anastasiou-Nana, M. Cardiac Tumors. ISRN Oncol. 2011, 2011, 208929. [Google Scholar] [CrossRef] [PubMed]
  3. Frequency of primary tumors of the heart. Am. J. Cardiol. 1996, 77, 107. [CrossRef] [PubMed]
  4. Rahouma, M.; Arisha, M.J.; Elmously, A.; Ahmed, M.M.E.-S.; Spadaccio, C.; Mehta, K.; Baudo, M.; Kamel, M.; Mansor, E.; Ruan, Y.; et al. Cardiac tumors prevalence and mortality: A systematic review and meta-analysis. Int. J. Surg. 2020, 76, 178–189. [Google Scholar] [CrossRef] [PubMed]
  5. Sultan, I.; Bianco, V.; Habertheuer, A.; Kilic, A.; Gleason, T.G.; Aranda-Michel, E.; Harinstein, M.E.; Martinez-Meehan, D.; Arnaoutakis, G.; Okusanya, O. Long-Term Outcomes of Primary Cardiac Malignancies. JACC 2020, 75, 2338–2347. [Google Scholar] [CrossRef] [PubMed]
  6. Tyebally, S.; Chen, D.; Bhattacharyya, S.; Mughrabi, A.; Hussain, Z.; Manisty, C.; Westwood, M.; Ghosh, A.K.; Guha, A. Cardiac Tumors. JACC CardioOncology 2020, 2, 293–311. [Google Scholar] [CrossRef] [PubMed]
  7. Cina, S.J.; Smialek, J.E.; Burke, A.P.; Virmani, R.; Hutchins, G.M. Primary Cardiac Tumors Causing Sudden Death: A Review of the Literature. Am. J. Forensic Med. Pathol. 1996, 17, 271–281. [Google Scholar] [CrossRef] [PubMed]
  8. Lestuzzi, C. Primary tumors of the heart. Curr. Opin. Cardiol. 2016, 31, 593–598. [Google Scholar] [CrossRef] [PubMed]
  9. Pervaiz, N.; Colterjohn, N.; Farrokhyar, F.; Tozer, R.; Figueredo, A.; Ghert, M. A systematic meta-analysis of randomized controlled trials of adjuvant chemotherapy for localized resectable soft-tissue sarcoma. Cancer 2008, 113, 573–581. [Google Scholar] [CrossRef] [PubMed]
  10. Hong, N.J.L.; Pandalai, P.K.; Hornick, J.L.; Shekar, P.S.; Harmon, D.C.; Chen, Y.-L.; Butrynski, J.E.; Baldini, E.H.; Raut, C.P. Cardiac Angiosarcoma Management and Outcomes: 20-Year Single-institution Experience. Ann. Surg. Oncol. 2012, 19, 2707–2715. [Google Scholar] [CrossRef] [PubMed]
  11. Burke, A.P.; Cowan, D.; Virmani, R. Primary sarcomas of the heart. Cancer 1992, 69, 387–395. [Google Scholar] [CrossRef] [PubMed]
  12. Wilky, B.A.; Trucco, M.M.; Subhawong, T.K.; Florou, V.; Park, W.; Kwon, D.; Wieder, E.D.; Kolonias, D.; Rosenberg, A.E.; Kerr, D.A.; et al. Axitinib plus pembrolizumab in patients with advanced sarcomas including alveolar soft-part sarcoma: A single-centre, single-arm, phase 2 trial. Lancet Oncol. 2019, 20, 837–848. [Google Scholar] [CrossRef] [PubMed]
  13. Tawbi, H.A.; Burgess, M.; Bolejack, V.; Van Tine, B.A.; Schuetze, S.M.; Hu, J.; D'Angelo, S.; Attia, S.; Riedel, R.F.; Priebat, D.A.; et al. Pembrolizumab in advanced soft-tissue sarcoma and bone sarcoma (SARC028): A multicentre, two-cohort, single-arm, open-label, phase 2 trial. Lancet Oncol. 2017, 18, 1493–1501. [Google Scholar] [CrossRef] [PubMed]
  14. D’Angelo, S.P.; Lazar, A.J.; Zhi-Yun Keung, E.; Reinke, D.K.; Baker, L.H.; Maki, R.G.; Patel, S.; Tawbi, H.A.H. Clinical activity of pem-brolizumab (P) in undifferentiated pleo- morphic sarcoma (UPS) and dedifferentiated/pleomor- phic liposarcoma (LPS): Final results of SARC028 expansion cohorts. J. Clin. Oncol. 2019, 37 (Suppl. 15), 11015. [Google Scholar] [CrossRef]
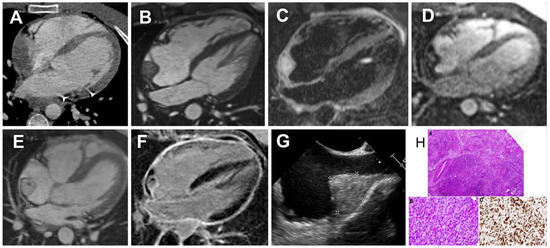
Figure 1. Multimodality imaging and histologic images of the right atrial angiosarcomaat first presentation. (A) CT scan demonstrating a right atrial mass, (BF) cardiac magnetic resonance imaging (CMR): (B) SSFP still frame, (C) TIRM, T2-weighted image, (D) first pass perfusion indicating a highly vascularized tumor, (E) post-contrast SSFP still frame showing high uptake of contrast medium but also central hypointenseareas without contrast uptake, (F) late enhancement sequences demonstrate inhomogeneous late gadolinium enhancement with a central area without contrast medium uptake, suggestive for cystic or necrotic areas and very small residual pericardial effusion, (G) transesophageal still frame of the right atrial mass located at the entrance of the superior vena cava, (H) histological images of the angiosarcomawith upper and lower left picture showing atypical proliferation of endothelial cells with presence of abortive erythrocyte-filled vascular lumina, the lower right picture confirms the vascular nature of the neoplastic cells.
Figure 1. Multimodality imaging and histologic images of the right atrial angiosarcomaat first presentation. (A) CT scan demonstrating a right atrial mass, (BF) cardiac magnetic resonance imaging (CMR): (B) SSFP still frame, (C) TIRM, T2-weighted image, (D) first pass perfusion indicating a highly vascularized tumor, (E) post-contrast SSFP still frame showing high uptake of contrast medium but also central hypointenseareas without contrast uptake, (F) late enhancement sequences demonstrate inhomogeneous late gadolinium enhancement with a central area without contrast medium uptake, suggestive for cystic or necrotic areas and very small residual pericardial effusion, (G) transesophageal still frame of the right atrial mass located at the entrance of the superior vena cava, (H) histological images of the angiosarcomawith upper and lower left picture showing atypical proliferation of endothelial cells with presence of abortive erythrocyte-filled vascular lumina, the lower right picture confirms the vascular nature of the neoplastic cells.
Cardiovascmed 26 02223 g001
Figure 2. Echocardiography, CMR and PET images 6 months after tumor resection suggestive for a local relapse. (A) transthoracic echocardiography showing new a thickened right atrial wall, (BE) repeated CMR demonstrating again a right atrial cystic mass near the entrance of the superior vena cava with irregular contrast medium uptake and a large cystic or necrotic central area, (F) PET-CT revealed abnormal high uptake in this area suggestive for a tumor relapse.
Figure 2. Echocardiography, CMR and PET images 6 months after tumor resection suggestive for a local relapse. (A) transthoracic echocardiography showing new a thickened right atrial wall, (BE) repeated CMR demonstrating again a right atrial cystic mass near the entrance of the superior vena cava with irregular contrast medium uptake and a large cystic or necrotic central area, (F) PET-CT revealed abnormal high uptake in this area suggestive for a tumor relapse.
Cardiovascmed 26 02223 g002

Share and Cite

MDPI and ACS Style

Neagoe, A.-M.; Reineke, D.; Kollár, A.; Banz, Y.; Wustmann, K. Uncommon Cause for Hemorrhagic Tamponade in a 26-Year Old Male. Cardiovasc. Med. 2023, 26, 2223. https://doi.org/10.4414/cvm.2022.02223

AMA Style

Neagoe A-M, Reineke D, Kollár A, Banz Y, Wustmann K. Uncommon Cause for Hemorrhagic Tamponade in a 26-Year Old Male. Cardiovascular Medicine. 2023; 26(5):2223. https://doi.org/10.4414/cvm.2022.02223

Chicago/Turabian Style

Neagoe, Alexandra-Maria, David Reineke, Attila Kollár, Yara Banz, and Kerstin Wustmann. 2023. "Uncommon Cause for Hemorrhagic Tamponade in a 26-Year Old Male" Cardiovascular Medicine 26, no. 5: 2223. https://doi.org/10.4414/cvm.2022.02223

APA Style

Neagoe, A.-M., Reineke, D., Kollár, A., Banz, Y., & Wustmann, K. (2023). Uncommon Cause for Hemorrhagic Tamponade in a 26-Year Old Male. Cardiovascular Medicine, 26(5), 2223. https://doi.org/10.4414/cvm.2022.02223

Article Metrics

Back to TopTop