Relapsing Terlipressin-Induced Acute Pulmonary Oedema in a Patient with Hepatorenal Syndrome
Abstract
Introduction
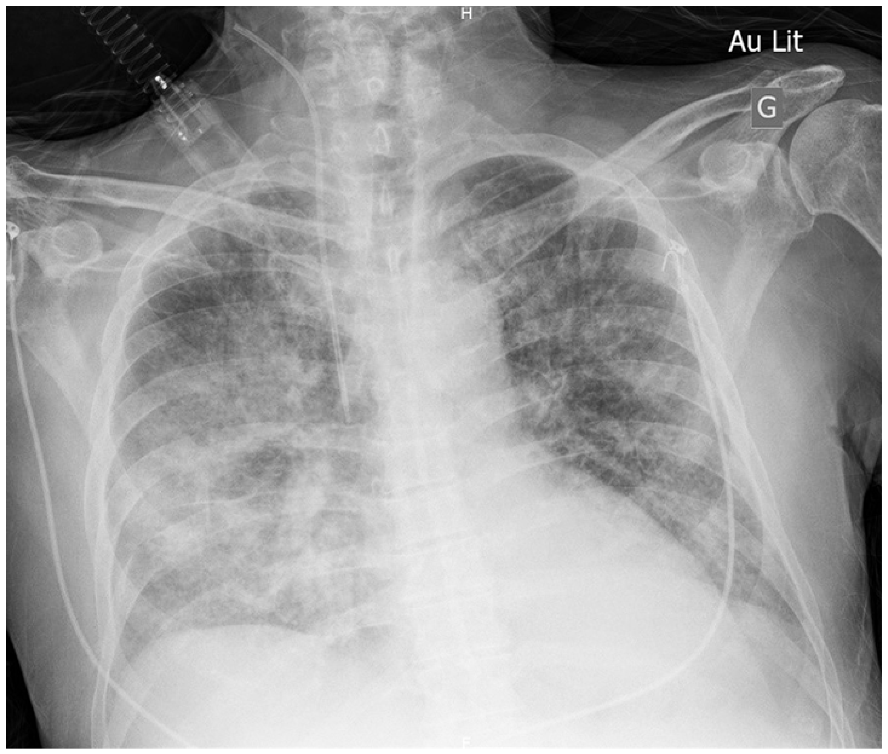
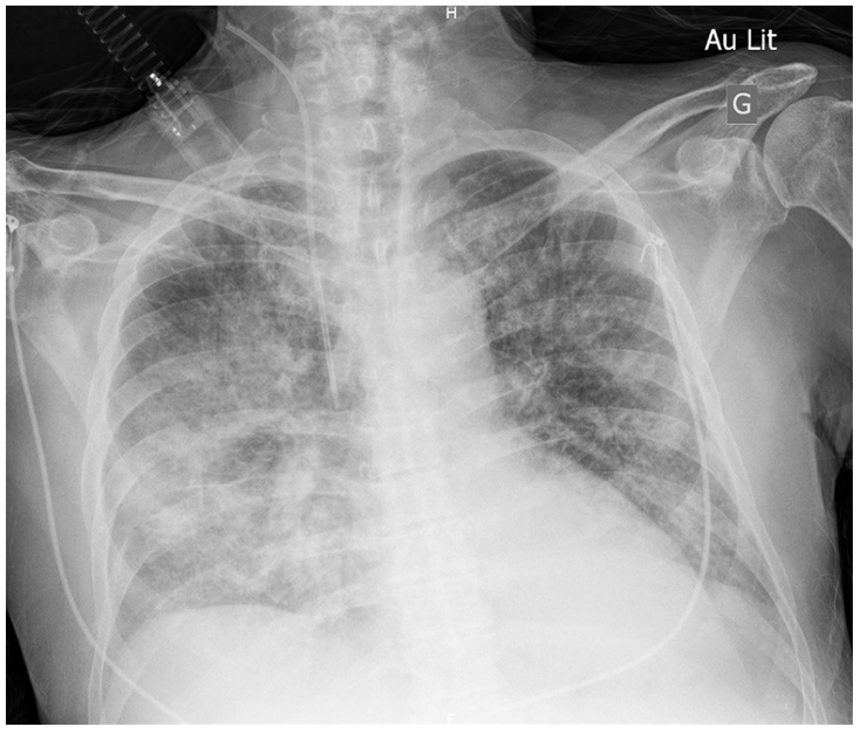
Case description
Discussion
Conclusions
Disclosure Statement
References
- Garcia-Tsao, G.; Sanyal, A.J.; Grace, N.D.; Carey, W.D.; the Practice Guidelines Committee of the American Association for the Study of Liver Diseases; the Practice Parameters Committee of the American College of Gastroenterology. Prevention and Management of Gastroesophageal Varices and Variceal Hemorrhage in Cirrhosis. Am. J. Gastroenterol. 2007, 102, 2086–2102. [Google Scholar] [CrossRef]
- Elzouki, A.-N.; El-Menyar, A.; Ahmed, E.; Elbadri, M.E.; Imam, Y.Z.; Gurbanna, B.A. Terlipressin-induced severe left and right ventricular dysfunction in patient presented with upper gastrointestinal bleeding: case report and literature review. Am. J. Emerg. Med. 2010, 28, 540.e1–540.e6. [Google Scholar] [CrossRef] [PubMed]
- Lee, M.; Chu, C.; Lee, K.; Lee, H.; Su, H.; Cheng, K.; Sheu, S.; Lai, W. Terlipressin-Related Acute Myocardial Infarction: A Case Report and Literature Review. Kaohsiung J. Med Sci. 2004, 20, 604–608. [Google Scholar] [CrossRef]
- Ghatak, T.; Poddar, B.; Mahindra, S. Left ventricular failure and left ventricular inferior wall hypokinesia following terlipressin injection. Ann. Card. Anaesth. 2014, 17, 257–9. [Google Scholar] [CrossRef]
- Medel, J.; Boccara, G.; Van de Steen, E.; Bertrand, M.; Godet, G.; Coriat, P. Terlipressin for Treating Intraoperative Hypotension: Can it Unmask Myocardial Ischemia? Anesthesia Analg. 2001, 93, 53–55. [Google Scholar] [CrossRef]
- Rosario, R.; Lalanne, B.; Lebre, P.; Lepesan, D.; Martelet, J.P.; Dupont, M.; Camatte, R.; Lambot, G.; Bourlière, M. Myocardial infarction after injection of terlipressin for digestive hemorrhage. Gastroenterol. Clin. Biol. 1996, 20, 712–713. [Google Scholar]
- Gielen, S.; Delwaide, J.; Detry, O.; Honoré, P.; De Roover, A.; Meurisse, M.; Belaiche, J. Diagnostic et traitement du syndrome hepatorenal. Rev. Med. Suisse 2002, 2, 22403. [Google Scholar]
- Wong, F. Recent advances in our understanding of hepatorenal syndrome. Nat. Rev. Gastroenterol. Hepatol. 2012, 9, 382–391. [Google Scholar] [CrossRef]
- Salerno, F.; Gerbes, A.; Ginès, P.; Wong, F.; Arroyo, V. Diagnosis, prevention and treatment of hepatorenal syndrome in cirrhosis. Gut 2007, 56, 1310–1318. [Google Scholar] [CrossRef] [PubMed]
- Biggins, S.W.; Angeli, P.; Garcia-Tsao, G.; Ginès, P.; Ling, S.C.; Nadim, M.K.; Wong, F.; Kim, W.R. Diagnosis, Evaluation, and Management of Ascites, Spontaneous Bacterial Peritonitis and Hepatorenal Syndrome: 2021 Practice Guidance by the American Association for the Study of Liver Diseases. Hepatology 2021, 74, 1014–1048. [Google Scholar] [CrossRef] [PubMed]
- Cavallin, M.; Kamath, P.S.; Merli, M.; Fasolato, S.; Toniutto, P.; Salerno, F.; Bernardi, M.; Romanelli, R.G.; Colletta, C.; Salinas, F.; et al. Terlipressin plus albumin versus midodrine and octreotide plus albumin in the treatment of hepatorenal syndrome: A randomized trial. Hepatology 2015, 62, 567–574. [Google Scholar] [CrossRef]
- Wong, F.; Pappas, S.C.; Curry, M.P.; Reddy, K.R.; Rubin, R.A.; Porayko, M.K.; Gonzalez, S.A.; Mumtaz, K.; Lim, N.; Simonetto, D.A.; et al. Terlipressin plus Albumin for the Treatment of Type 1 Hepatorenal Syndrome. N. Engl. J. Med. 2021, 384, 818–828. [Google Scholar] [CrossRef] [PubMed]
- Wong, F.; Pappas, S.C.; Curry, M.P.; Reddy, K.R.; Rubin, R.A.; Porayko, M.K.; Gonzalez, S.A.; Mumtaz, K.; Lim, N.; Simonetto, D.A.; et al. Terlipressin plus Albumin for the Treatment of Type 1 Hepatorenal Syndrome. N. Engl. J. Med. 2021, 384, 818–828. [Google Scholar] [CrossRef]
- Biggins, S.W.; Angeli, P.; Garcia-Tsao, G.; Ginès, P.; Ling, S.C.; Nadim, M.K.; Wong, F.; Kim, W.R. Diagnosis, Evaluation, and Management of Ascites, Spontaneous Bacterial Peritonitis and Hepatorenal Syndrome: 2021 Practice Guidance by the American Association for the Study of Liver Diseases. Hepatology 2021, 74, 1014–1048. [Google Scholar] [CrossRef] [PubMed]
- Wang, H.; Liu, A.; Bo, W.; Feng, X.; Hu, Y. Terlipressin in the treatment of hepatorenal syndrome: A systematic review and me-ta-analysis. Medicine 2018, 97, e0431. [Google Scholar] [CrossRef] [PubMed]
- Singh, V.; Ghosh, S.; Singh, B.; Kumar, P.; Sharma, N.; Bhalla, A.; Sharma, A.; Choudhary, N.; Chawla, Y.; Nain, C. Noradrenaline vs. terlipressin in the treatment of hepatorenal syndrome: A randomized study. J. Hepatol. 2012, 56, 1293–1298. [Google Scholar] [CrossRef]
- Sarma, P.; Muktesh, G.; Singh, R.S.; Mishra, A.; Singh, A.; Ruhela, R.K. Terlipressin-Induced ischemic complications: A systematic review of published case reports. J. Pharmacol. Pharmacother. 2018, 9, 76–85. [Google Scholar] [CrossRef]
- Sarma, P.; Muktesh, G.; Dhaka, N.; Ruhela, R.; Mishra, A.; Singh, R. Terlipressin-induced Peripheral Ischemic Gangrene in a Diabetic Patient. J. Pharmacol. Pharmacother. 2017, 8, 148–150. [Google Scholar]
- Kulkarni, A.V.; Kumar, P.; Rao, N.P.; Reddy, N. Terlipressin-induced ischaemic skin necrosis. BMJ Case Rep. 2020, 13, e233089. [Google Scholar] [CrossRef]
- Rosario, R.; Lalanne, B.; Lèbre, P.; Lepesan, D.; Martelet, J.P.; Dupont, M. Infarctus du myocarde après injection de terlipressine pour hémorragie digestive [Myocardial infarction after injection of terlipressin for digestive hemorrhage] [French]. Gastroenterol. Clin. Biol. 1996, 20, 712–713. [Google Scholar]
- Krag, A.; Borup, T.; Møller, S.; Bendtsen, F. Efficacy and safety of terlipressin in cirrhotic patients with variceal bleeding or hepa-torenal syndrome. Adv. Ther. 2008, 25, 1105–1140. [Google Scholar] [CrossRef] [PubMed]
- Møller, S.; Hansen, E.F.; Becker, U.; Brinch, K.; Henriksen, J.H.; Bendtsen, F. Central and systemic haemodynamic effects of terlipressin in portal hypertensive patients. Liver Int. 2000, 20, 51–59. [Google Scholar] [CrossRef] [PubMed]




© 2023 by the author. Attribution - Non-Commercial - NoDerivatives 4.0.
Share and Cite
Bourlond, B.; Dogné, J.-M.; Urbano, L.; Marchetti, O. Relapsing Terlipressin-Induced Acute Pulmonary Oedema in a Patient with Hepatorenal Syndrome. Cardiovasc. Med. 2023, 26, 20. https://doi.org/10.4414/cvm.2022.02222
Bourlond B, Dogné J-M, Urbano L, Marchetti O. Relapsing Terlipressin-Induced Acute Pulmonary Oedema in a Patient with Hepatorenal Syndrome. Cardiovascular Medicine. 2023; 26(5):20. https://doi.org/10.4414/cvm.2022.02222
Chicago/Turabian StyleBourlond, Baudouin, Jean-Michel Dogné, Luis Urbano, and Oscar Marchetti. 2023. "Relapsing Terlipressin-Induced Acute Pulmonary Oedema in a Patient with Hepatorenal Syndrome" Cardiovascular Medicine 26, no. 5: 20. https://doi.org/10.4414/cvm.2022.02222
APA StyleBourlond, B., Dogné, J.-M., Urbano, L., & Marchetti, O. (2023). Relapsing Terlipressin-Induced Acute Pulmonary Oedema in a Patient with Hepatorenal Syndrome. Cardiovascular Medicine, 26(5), 20. https://doi.org/10.4414/cvm.2022.02222
