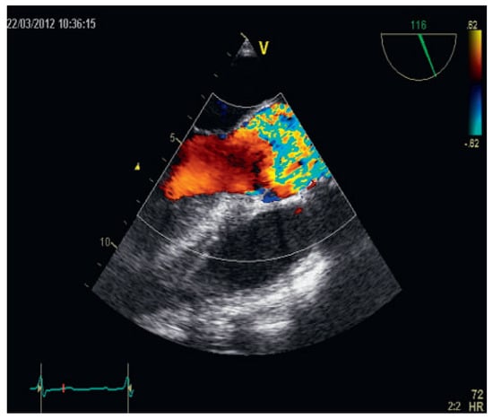
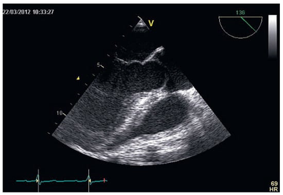
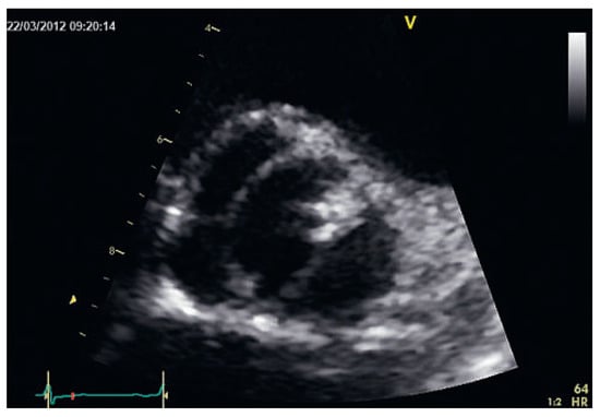
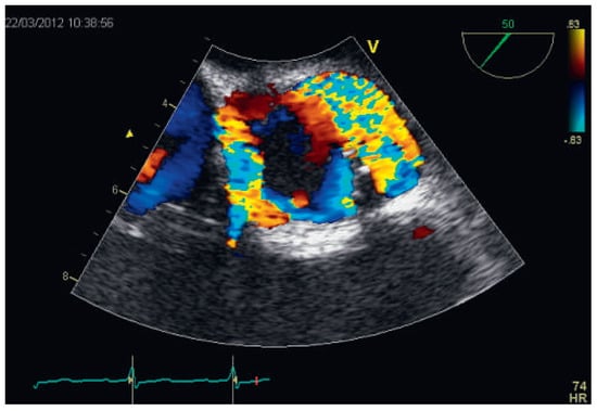
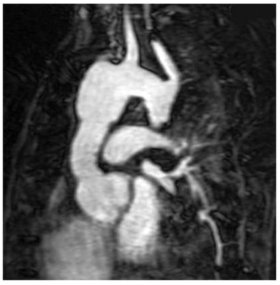
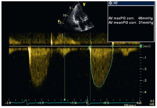
High Doppler-Derived Gradients Across the Aortic Valve May Be Misleading: Potential Causes of Valve Gradient Overestimation
Author Contributions
Funding / potential competing interests
References
- Garcia, D.; Pibarot, P.; Dumesnil, J.G.; Sakr, F.; Durand, L.G. Assessment of aortic valve stenosis severity: a new index based on the energy loss concept. Circulation 2000, 101, 765–771. [Google Scholar] [CrossRef] [PubMed]
- Bahlmann, E.; Cramariuc, D.; Gerdts, E.; Gohlke-Baerwolf, C.; Nienaber, C.A.; et al. Impact of pressure recovery on echocardiographic assessment of asymptomatic aortic stenosis: a SEAS substudy. JACC Cardiovasc Imaging. 2010, 3, 555–562. [Google Scholar] [CrossRef] [PubMed]






© 2013 by the author. Attribution - Non-Commercial - NoDerivatives 4.0.
Share and Cite
Franzini, C.; Hansi, C.; Bernheim, A.M. High Doppler-Derived Gradients Across the Aortic Valve May Be Misleading: Potential Causes of Valve Gradient Overestimation. Cardiovasc. Med. 2013, 16, 218. https://doi.org/10.4414/cvm.2013.00165
Franzini C, Hansi C, Bernheim AM. High Doppler-Derived Gradients Across the Aortic Valve May Be Misleading: Potential Causes of Valve Gradient Overestimation. Cardiovascular Medicine. 2013; 16(7-8):218. https://doi.org/10.4414/cvm.2013.00165
Chicago/Turabian StyleFranzini, Christine, Christopher Hansi, and Alain M. Bernheim. 2013. "High Doppler-Derived Gradients Across the Aortic Valve May Be Misleading: Potential Causes of Valve Gradient Overestimation" Cardiovascular Medicine 16, no. 7-8: 218. https://doi.org/10.4414/cvm.2013.00165
APA StyleFranzini, C., Hansi, C., & Bernheim, A. M. (2013). High Doppler-Derived Gradients Across the Aortic Valve May Be Misleading: Potential Causes of Valve Gradient Overestimation. Cardiovascular Medicine, 16(7-8), 218. https://doi.org/10.4414/cvm.2013.00165
