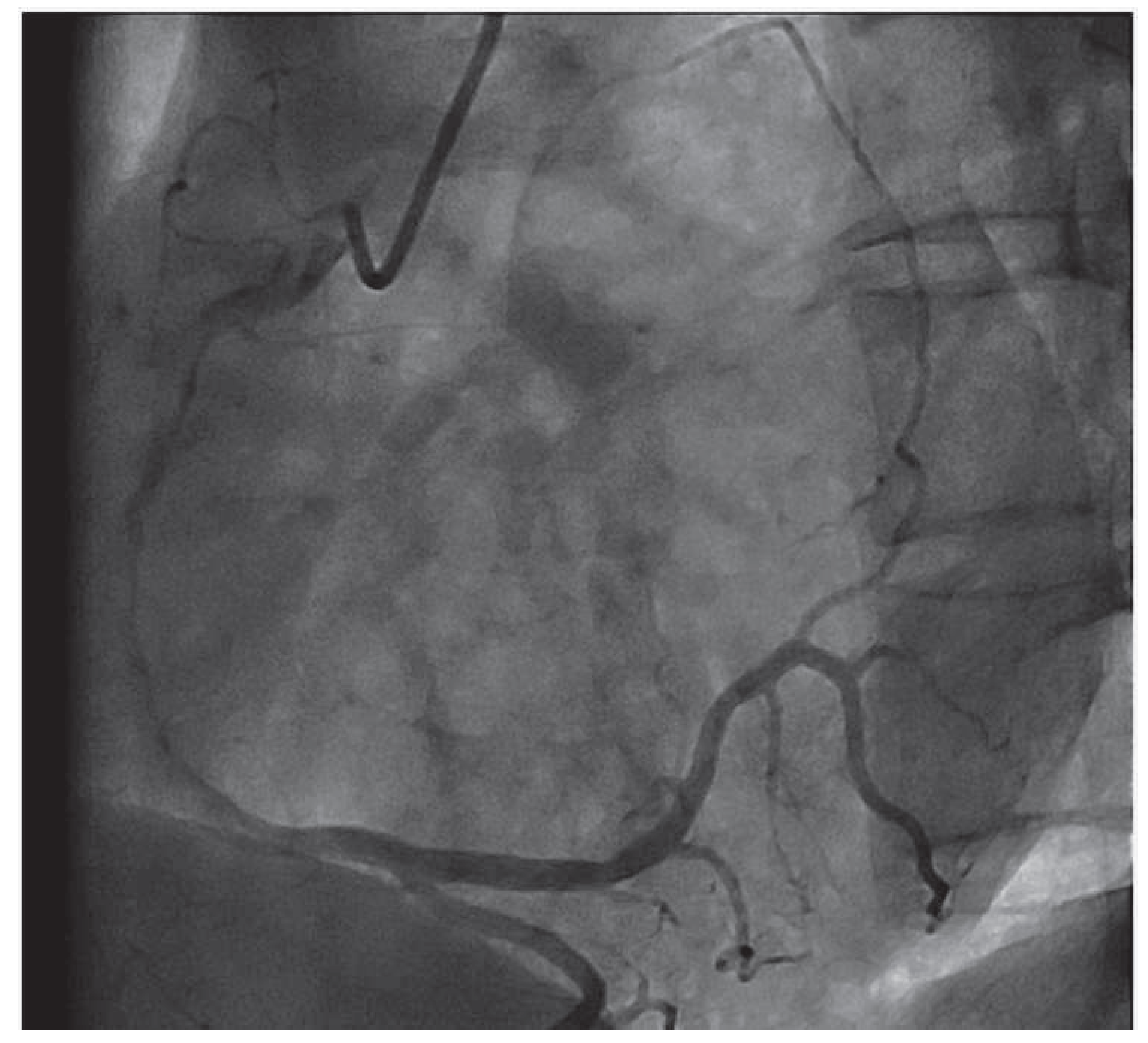
Valentine in the Heart
Case Report
Funding/Potential Competing Interests
References
- Gavaliatsis, I.P. “Right posterior” sinus node artery. Int J Cardiol. 2000, 75, 301–303. [Google Scholar] [CrossRef] [PubMed]

© 2012 by the author. Attribution-Non-Commercial-NoDerivatives 4.0.
Share and Cite
Arunkumar, P.; Palanimuthu, R. Valentine in the Heart. Cardiovasc. Med. 2012, 15, 295. https://doi.org/10.4414/cvm.2012.00108
Arunkumar P, Palanimuthu R. Valentine in the Heart. Cardiovascular Medicine. 2012; 15(10):295. https://doi.org/10.4414/cvm.2012.00108
Chicago/Turabian StyleArunkumar, Panneerselvam, and Ramasamy Palanimuthu. 2012. "Valentine in the Heart" Cardiovascular Medicine 15, no. 10: 295. https://doi.org/10.4414/cvm.2012.00108
APA StyleArunkumar, P., & Palanimuthu, R. (2012). Valentine in the Heart. Cardiovascular Medicine, 15(10), 295. https://doi.org/10.4414/cvm.2012.00108
