Effectiveness and Student Perceptions of Haptic Virtual Reality Simulation Training as an Instructional Tool in Pre-Clinical Paediatric Dentistry: A Pilot Pedagogical Study
Abstract
1. Introduction
2. Materials and Methods
2.1. Ethics Approval
2.2. Settings
2.3. Study Design
2.4. Participants
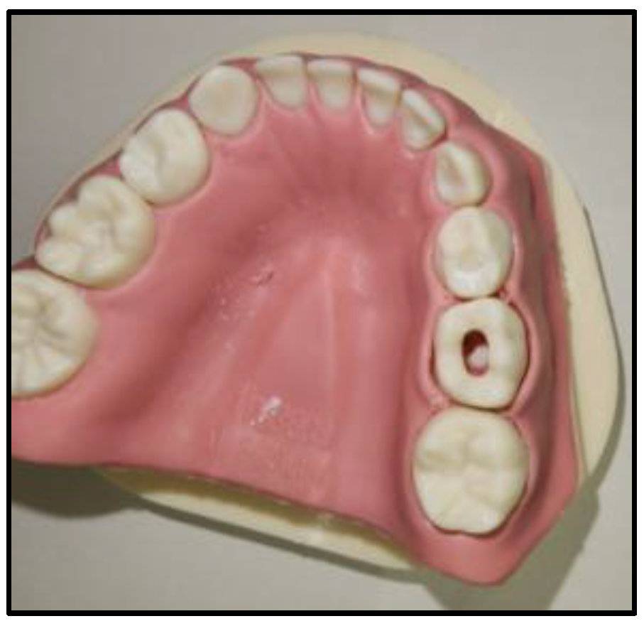
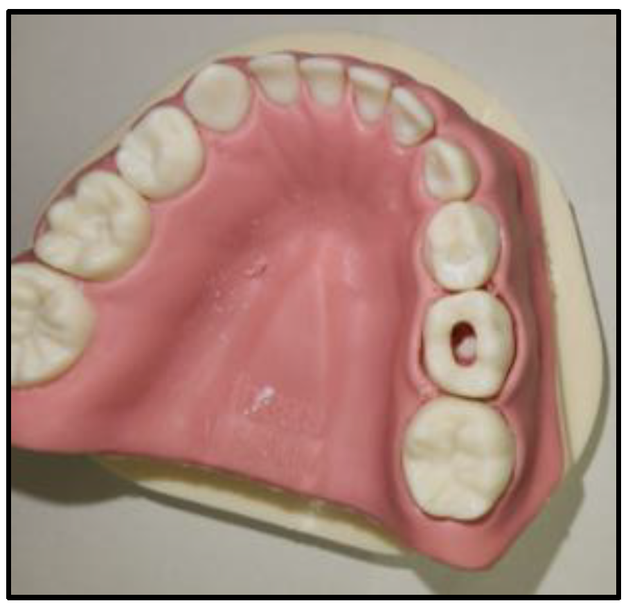
2.5. Study Protocol
2.6. Data Collection
2.7. Data Analyses
3. Results
3.1. Student Performance Scores
3.2. Student Perceptions
4. Discussion
5. Conclusions
Supplementary Materials
Author Contributions
Funding
Institutional Review Board Statement
Informed Consent Statement
Data Availability Statement
Acknowledgments
Conflicts of Interest
References
- San Diego, J.P.; Newton, T.J.; Sagoo, A.K.; Aston, T.A.; Banerjee, A.; Quinn, B.F.A.; Cox, M.J. Learning clinical skills using haptic vs. Phantom head dental chair simulators in removal of artificial caries: Cluster-randomized trials with two cohorts’ cavity preparation. Dent. J. 2022, 10, 198. [Google Scholar] [CrossRef] [PubMed]
- Koo, S.; Kim, A.; Donoff, R.B.; Karimbux, N.Y. An initial assessment of haptics in preclinical operative dentistry training. J. Investig. Clin. Dent. 2013, 6, 69–76. [Google Scholar] [CrossRef] [PubMed]
- Dzyuba, N.; Jandu, J.; Yates, J.; Kushnerev, E. Virtual and augmented reality in dental education: The good, the bad and the better. Eur. J. Dent. Educ. 2022. [Google Scholar] [CrossRef]
- Al-Saud, L.M.; Mushtaq, F.; Allsop, M.; Culmer, P.C.; Mirghani, I.; Yates, E.; Keeling, A.; Mon-Williams, M.A.; Manogue, M. Feedback and motor skill acquisition using a haptic dental simulator. Eur. J. Dent. Educ. 2016, 21, 240–247. [Google Scholar] [CrossRef] [PubMed]
- Plessas, A. Computerized Virtual Reality Simulation in Preclinical Dentistry: Can a Computerized Simulator Replace the Conventional Phantom Heads and Human Instruction? Simul. Healthc. 2017, 12, 332–338. [Google Scholar] [CrossRef] [PubMed]
- Suebnukarn, S.; Hataidechadusadee, R.; Suwannasri, N.; Suprasert, N.; Rhienmora, P.; Haddawy, P. Access cavity preparation training using haptic virtual reality and microcomputed tomography tooth models. Int. Endod. J. 2011, 44, 983–989. [Google Scholar] [CrossRef]
- Perry, S.; Bridges, S.M.; Burrow, M.F. A Review of the Use of Simulation in Dental Education. Simul. Health J. Soc. Simul. Health 2015, 10, 31–37. [Google Scholar] [CrossRef]
- Farag, A.; Hashem, D. Impact of the Haptic Virtual Reality Simulator on Dental Students’ Psychomotor Skills in Preclinical Operative Dentistry. Clin. Pract. 2021, 12, 17–26. [Google Scholar] [CrossRef]
- Suebnukarn, S.; Chaisombat, M.; Kongpunwijit, T.; Rhienmora, P. Construct validity and expert benchmarking of the haptic virtual reality dental simulator. J. Dent. Educ. 2014, 78, 1442–1450. [Google Scholar] [CrossRef] [PubMed]
- Al-Saud, L.M.; Mushtaq, F.; Mann, R.; Mirghani, I.; Balkhoyor, A.; Harris, R.; Osnes, C.; Keeling, A.; Mon-Williams, M.A.; Manogue, M. Early assessment with a virtual reality haptic simulator predicts performance in clinical practice. BMJ Simul. Technol. Enhanc. Learn. 2019, 6, 274–278. [Google Scholar] [CrossRef]
- Dwisaptarini, A.; Suebnukarn, S.; Rhienmora, P.; Haddawy, P.; Koontongkaew, S. Effectiveness of the Multilayered Caries Model and Visuo-tactile Virtual Reality Simulator for Minimally Invasive Caries Removal: A Randomized Controlled Trial. Oper. Dent. 2018, 43, E110–E118. [Google Scholar] [CrossRef] [PubMed]
- Vincent, M.; Joseph, D.; Amory, C.; Paoli, N.; Ambrosini, P.; Mortier, É.; Tran, N. Contribution of Haptic Simulation to Analogic Training Environment in Restorative Dentistry. J. Dent. Educ. 2020, 84, 367–376. [Google Scholar] [CrossRef] [PubMed]
- Bakker, D.; Lagerweij, M.; Wesselink, P.; Vervoorn, M. Transfer of manual dexterity skills acquired on the Simodont, a dental haptic trainer with a virtual environment, to reality. A pilot study. Bio-Algorithms Med.-Syst. 2010, 6, 21–24. [Google Scholar]
- Buchanan, J.A. Experience with virtual reality-based technology in teaching restorative dental procedures. J. Dent. Educ. 2004, 68, 1258–1265. [Google Scholar] [CrossRef]
- Jasinevicius, T.R.; Landers, M.; Nelson, S.; Urbankova, A. An evaluation of two dental simulation systems: Virtual reality versus contemporary non-computer-assisted. J. Dent. Educ. 2004, 68, 1151–1162. [Google Scholar] [CrossRef]
- Quinn, F.; Keogh, P.; McDonald, A.; Hussey, D. A study comparing the effectiveness of conventional training and virtual reality simulation in the skills acquisition of junior dental students. Eur. J. Dent. Educ. 2003, 7, 164–169. [Google Scholar] [CrossRef] [PubMed]
- Hu, S.; Lai, B.W.P. Increasing empathy for children in dental students using virtual reality. Int. J. Paediatr. Dent. 2022, 32, 793–800. [Google Scholar] [CrossRef]
- Papadopoulos, L.; Pentzou, A.-E.; Louloudiadis, K.; Tsiatsos, T.-K. Design and evaluation of a simulation for pediatric dentistry in virtual worlds. J. Med. Internet Res. 2013, 15, e268. [Google Scholar] [CrossRef]
- Zafar, S.; Siddiqi, A.; Yasir, M.; Zachar, J.J. Pedagogical development in local anaesthetic training in paediatric dentistry using virtual reality simulator. Eur. Arch. Paediatr. Dent. 2021, 22, 667–674. [Google Scholar] [CrossRef]
- Philip, N.; Bandara, H.; Leishman, S.J.; Walsh, L.J. Effect of polyphenol-rich cranberry extracts on cariogenic biofilm properties and microbial composition of polymicrobial biofilms. Arch. Oral Biol. 2019, 102, 1–6. [Google Scholar] [CrossRef]
- Zafar, S.; Lai, Y.; Sexton, C.; Siddiqi, A. Virtual Reality as a novel educational tool in pre-clinical paediatric dentistry training: Students’ perceptions. Int. J. Paediatr. Dent. 2020, 30, 791–797. [Google Scholar] [CrossRef]
- Ericsson, K.A.; Krampe, R.T.; Tesch-Römer, C. The role of deliberate practice in the acquisition of expert performance. Psychol. Rev. 1993, 100, 363–406. [Google Scholar] [CrossRef]
- Higgins, D.; Hayes, M.J.; Taylor, J.A.; Wallace, J.P. How do we teach simulation-based dental education? Time for an evidence-based, best-practice framework. Eur. J. Dent. Educ. 2020, 24, 815–821. [Google Scholar] [CrossRef] [PubMed]
- Ali, K.; Slade, A.; Kay, E.J.; Zahra, D.; Chatterjee, A.; Tredwin, C. Application of Rasch analysis in the development and psychometric evaluation of dental undergraduates preparedness assessment scale. Eur. J. Dent. Educ. 2016, 21, e135–e141. [Google Scholar] [CrossRef]
- Ali, K.; Slade, A.; Kay, E.; Zahra, D.; Tredwin, C. Preparedness of undergraduate dental students in the United Kingdom: A national study. Br. Dent. J. 2017, 222, 472–477. [Google Scholar] [CrossRef] [PubMed]
- Ali, K.; Cockerill, J.; Zahra, D.; Qazi, H.S.; Raja, U.; Ataullah, K. Self-perceived preparedness of final year dental students in a developing country-A multi-institution study. Eur. J. Dent. Educ. 2018, 22, e745–e750. [Google Scholar] [CrossRef] [PubMed]
- Kaur, H.; Mohanasundaram, D.; Hossain, N.; Calache, H.; Zafar, S. Understanding the building blocks of the paediatric dentistry curriculum for undergraduate students in an Australian University. Eur. Arch. Paediatr. Dent. 2022, 23, 317–324. [Google Scholar] [CrossRef] [PubMed]
- Murbay, S.; Chang, J.W.W.; Yeung, S.; Neelakantan, P. Evaluation of the introduction of a dental virtual simulator on the performance of undergraduate dental students in the pre-clinical operative dentistry course. Eur. J. Dent. Educ. 2019, 24, 5–16. [Google Scholar] [CrossRef]
- Leung, A.L.-S.; Yeung, C.; Chu, S.; Wong, A.W.-Y.; Yu, O.Y.; Chu, C.-H. Use of Computer Simulation in Dental Training with Special Reference to Simodont. Dent. J. 2021, 9, 125. [Google Scholar] [CrossRef]




| Evaluation Criteria | |||||
|---|---|---|---|---|---|
| Access Outline Scores | Deroofing Scores | Access Outline Prompts | Deroofing Prompts | Procedural Time (min) | |
| Test Group (CSE + HVRS) (n = 7) | 2.1 ± 1.1 | 2.7 ± 0.8 | 0.4 ± 0.5 | 0.1 ± 0.4 | 23.7 ± 1 (7.1%) |
| Control Group (CSE) (n = 7) | 2.0 ± 0.8 | 2.3 ± 0.9 | 0.4 ± 0.8 | 0.1 ± 0.4 | 25.9 ± 8.9 |
| p-value | 0.67 | 0.37 | 1.0 | 1.0 | 0.63 |
| Responses n (%) | |||||
|---|---|---|---|---|---|
| Statement | Strongly Agree | Agree | Neutral | Disagree | Strongly Disagree |
| Pulpotomy demonstration on the HVRS device allowed me to clearly comprehend the tasks expected from me | 2 (14.3%) | 5 (35.7%) | 4 (28.6%) | 1 (7.1%) | 2 (14.3%) |
| Images of the teeth, pulp chamber, and instruments displayed on the HVRS monitor looked realistic | 4 (28.6%) | 6 (42.9%) | 3 (21.4%) | 1 (7.1%) | 0 |
| I could differentiate between the texture and hardness of enamel and dentine in the HVRS device | 4 (28.6%) | 2 (14.3%) | 1 (7.1%) | 3 (21.4%) | 4 (28.6%) |
| Tactile force feedback given by the HVRS device felt realistic | 1 (7.1%) | 5 (35.7%) | 5 (35.7%) | 1 (7.1%) | 2 (14.3%) |
| Deroofing the pulp chamber on the HVRS device felt similar to that on plastic teeth mounted on mannequins | 0 | 0 | 3 (21.4%) | 6 (42.9%) | 5 (35.7%) |
| Training on the HVRS device improved my fine motor dental skills | 1 (7.1%) | 8 (57.1%) | 3 (21.4%) | 2 (14.3%) | 0 |
| Training on the HVRS device improved my confidence in performing the pulpotomy procedure | 1 (7.1%) | 8 (57.1%) | 2 (14.3%) | 3 (21.4%) | 0 |
| HVRS can replace conventional pre-clinical training on plastic teeth for the pulpotomy procedure | 0 | 1 (7.1%) | 1 (7.1%) | 6 (42.9%) | 6 (42.9%) |
| HVRS can supplement conventional pre-clinical training on plastic teeth for the pulpotomy procedure | 4 (28.6%) | 7 (50%) | 2 (14.3%) | 0 | 1 (7.1%) |
| I would like to have more HVRS sessions for paediatric pre-clinical pulp therapy procedures | 3 (21.4%) | 5 (35.7%) | 5 (35.7%) | 1 (7.1%) | 1 (7.1%) |
Disclaimer/Publisher’s Note: The statements, opinions and data contained in all publications are solely those of the individual author(s) and contributor(s) and not of MDPI and/or the editor(s). MDPI and/or the editor(s) disclaim responsibility for any injury to people or property resulting from any ideas, methods, instructions or products referred to in the content. |
© 2023 by the authors. Licensee MDPI, Basel, Switzerland. This article is an open access article distributed under the terms and conditions of the Creative Commons Attribution (CC BY) license (https://creativecommons.org/licenses/by/4.0/).
Share and Cite
Philip, N.; Ali, K.; Duggal, M.; Daas, H.; Nazzal, H. Effectiveness and Student Perceptions of Haptic Virtual Reality Simulation Training as an Instructional Tool in Pre-Clinical Paediatric Dentistry: A Pilot Pedagogical Study. Int. J. Environ. Res. Public Health 2023, 20, 4226. https://doi.org/10.3390/ijerph20054226
Philip N, Ali K, Duggal M, Daas H, Nazzal H. Effectiveness and Student Perceptions of Haptic Virtual Reality Simulation Training as an Instructional Tool in Pre-Clinical Paediatric Dentistry: A Pilot Pedagogical Study. International Journal of Environmental Research and Public Health. 2023; 20(5):4226. https://doi.org/10.3390/ijerph20054226
Chicago/Turabian StylePhilip, Nebu, Kamran Ali, Monty Duggal, Hanin Daas, and Hani Nazzal. 2023. "Effectiveness and Student Perceptions of Haptic Virtual Reality Simulation Training as an Instructional Tool in Pre-Clinical Paediatric Dentistry: A Pilot Pedagogical Study" International Journal of Environmental Research and Public Health 20, no. 5: 4226. https://doi.org/10.3390/ijerph20054226
APA StylePhilip, N., Ali, K., Duggal, M., Daas, H., & Nazzal, H. (2023). Effectiveness and Student Perceptions of Haptic Virtual Reality Simulation Training as an Instructional Tool in Pre-Clinical Paediatric Dentistry: A Pilot Pedagogical Study. International Journal of Environmental Research and Public Health, 20(5), 4226. https://doi.org/10.3390/ijerph20054226

