Heat Stroke in the Work Environment: Case Report of an Underestimated Phenomenon
Abstract
1. Introduction
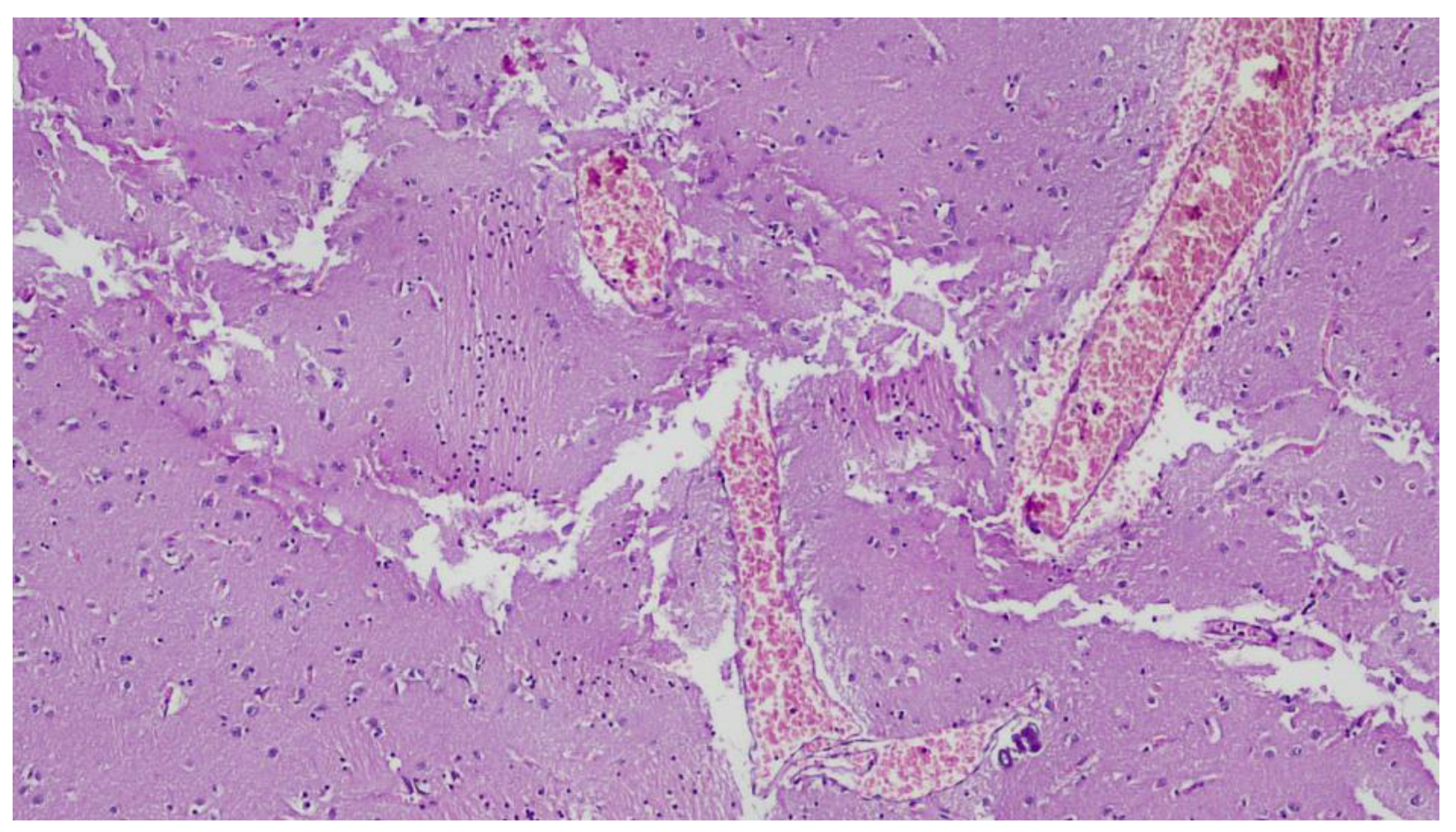
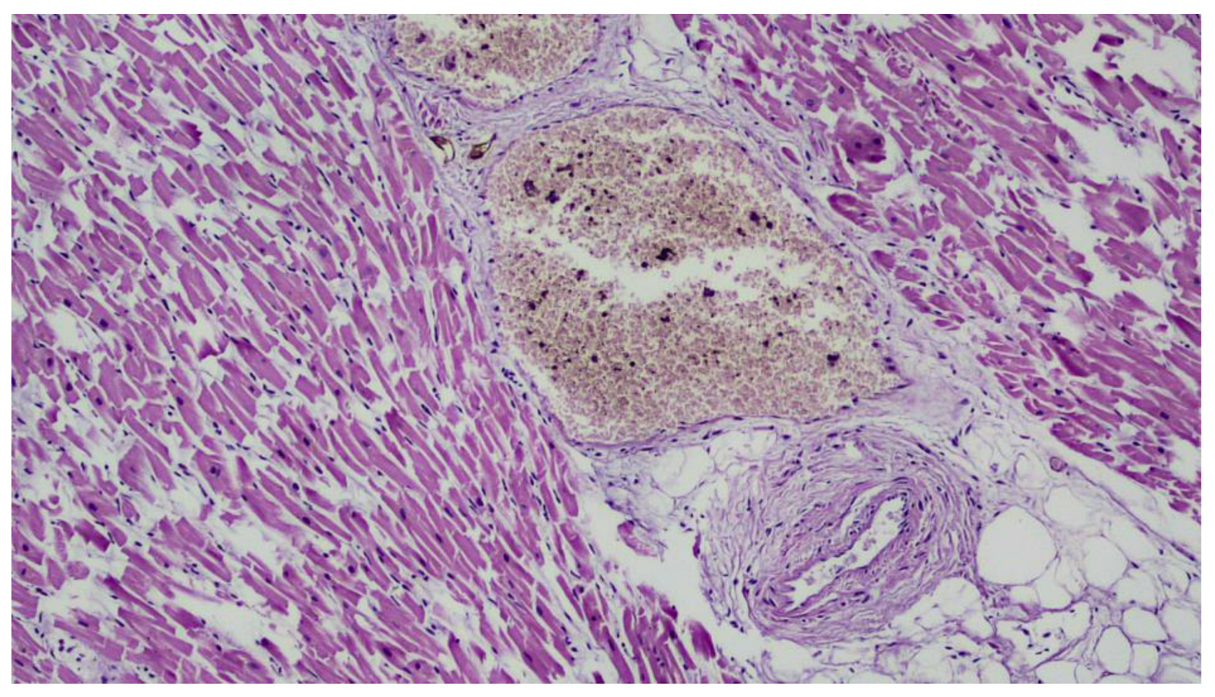
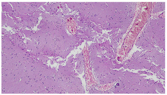
2. Case Presentation
3. Discussion
4. Conclusions
Author Contributions
Funding
Institutional Review Board Statement
Informed Consent Statement
Data Availability Statement
Conflicts of Interest
References
- Romanello, M.; McGushin, A.; Di Napoli, C.; Drummond, P.; Hughes, N.; Jamart, L.; Kennard, H.; Lampard, P.; Rodriguez, B.S.; Arnell, N.; et al. The 2021 report of the Lancet Countdown on health and climate change: Code red for a healthy future. Lancet 2021, 398, 1619–1662. [Google Scholar] [CrossRef] [PubMed]
- ISTAT-Istituto Nazionale di Statistica [Online], “I Cambiamenti Climatici: Misure Statistiche”. Available online: https://www.istat.it/it/archivio/268615 (accessed on 14 September 2022).
- Hansen, J.; Sato, M.; Ruedy, R.; Lo, K.; Lea, D.W.; Medina-Elizade, M. Global temperature change. Proc. Natl. Acad. Sci. USA 2006, 103, 14288–14293. [Google Scholar] [CrossRef] [PubMed]
- Lieber, M.; Chin-Hong, P.; Kelly, K.; Dandu, M.; Weiser, S.D. A systematic review and meta-analysis assessing the impact of droughts, flooding, and climate variability on malnutrition. Glob. Public Health 2020, 17, 68. [Google Scholar] [CrossRef] [PubMed]
- Rossati, A. Global Warming and Its Health Impact. Int. J. Occup. Environ. Med. 2017, 8, 7. [Google Scholar] [CrossRef]
- Franchini, M.; Mannucci, P.M. Impact on human health of climate changes. Eur. J. Intern. Med. 2015, 26, 1–5. [Google Scholar] [CrossRef] [PubMed]
- Liu, J.; Varghese, B.M.; Hansen, A.; Xiang, J.; Zhang, Y.; Dear, K.; Gourley, M.; Driscoll, T.; Morgan, G.; Capon, A.; et al. Is there an association between hot weather and poor mental health outcomes? A systematic review and meta-analysis. Environ. Int. 2021, 153, 106533. [Google Scholar] [CrossRef] [PubMed]
- Park, C.; Yang, J.; Lee, W.; Kang, C.; Song, I.-K.; Kim, H. Excess out-of-hospital cardiac arrests due to ambient temperatures in South Korea from 2008 to 2018. Environ. Res. 2022, 212, 113130. [Google Scholar] [CrossRef]
- Liu, J.; Varghese, B.M.; Hansen, A.; Zhang, Y.; Driscoll, T.; Morgan, G.; Dear, K.; Gourley, M.; Capon, A.; Bi, P. Heat exposure and cardiovascular health outcomes: A systematic review and meta-analysis. Lancet Planet. Health 2022, 6, e484–e495. [Google Scholar] [CrossRef]
- Douma, M.J.; Aves, T.; Allan, K.S.; Bendall, J.C.; Berry, D.C.; Chang, W.-T.; Epstein, J.; Hood, N.; Singletary, E.M.; Zideman, D.; et al. First aid cooling techniques for heat stroke and exertional hyperthermia: A systematic review and meta-analysis. Resuscitation 2020, 148, 173–190. [Google Scholar] [CrossRef]
- Conti, S.; Meli, P.; Minelli, G.; Solimini, R.; Toccaceli, V.; Vichi, M.; Beltrano, C.; Perini, L. Epidemiologic study of mortality during the Summer 2003 heat wave in Italy. Environ. Res. 2005, 98, 390–399. [Google Scholar] [CrossRef]
- Hajat, S.; Kosatky, T. Heat-related mortality: A review and exploration of heterogeneity. J. Epidemiol. Community Health 2010, 64, 753–760. [Google Scholar] [CrossRef] [PubMed]
- Riccò, M. Air temperature exposure and agricultural occupational injuries in the Autonomous Province of Trento (2000–2013, North-Eastern Italy). Int. J. Occup. Med. Environ. Health 2017, 31, 317–331. [Google Scholar] [CrossRef] [PubMed]
- Bonafede, M.; Marinaccio, A.; Asta, F.; Schifano, P.; Michelozzi, P.; Vecchi, S. The association between extreme weather conditions and work-related injuries and diseases. A systematic review of epidemiological studies. Ann. Ist. Super Sanita 2016, 52, 357–367. [Google Scholar] [PubMed]
- Marinaccio, A.; Scortichini, M.; Gariazzo, C.; Leva, A.; Bonafede, M.; De’Donato, F.K.; Stafoggia, M.; Viegi, G.; Michelozzi, P.; Carla, A.; et al. Nationwide epidemiological study for estimating the effect of extreme outdoor temperature on occupational injuries in Italy. Environ. Int. 2019, 133, 105176. [Google Scholar] [CrossRef]
- Gasparrini, A.; Guo, Y.; Hashizume, M.; Lavigne, E.; Zanobetti, A.; Schwartz, J.; Tobias, A.; Tong, S.; Rocklöv, J.; Forsberg, B.; et al. Mortality risk attributable to high and low ambient temperature: A multicountry observational study. Lancet 2015, 386, 464–465. [Google Scholar] [CrossRef] [PubMed]
- Pudpong, N.; Hajat, S. High temperature effects on out-patient visits and hospital admissions in Chiang Mai, Thailand. Sci. Total Environ. 2011, 409, 5260–5267. [Google Scholar] [CrossRef] [PubMed]
- Madrigano, J.; Mittleman, M.; Baccarelli, A.; Goldberg, R.; Melly, S.; Von Klot, S.; Schwartz, J. Temperature, myocardial infarction, and mortality: Effect modification by individual- and area-level characteristics. Epidemiology 2013, 24, 439–446. [Google Scholar] [CrossRef]
- Petitti, D.B.; Harlan, S.L.; Chowell-Puente, G.; Ruddell, D. Occupation and Environmental Heat-Associated Deaths in Maricopa County, Arizona: A Case-Control Study. PLoS ONE 2013, 8, e62596. [Google Scholar] [CrossRef]
- Liu, C.; Yavar, Z.; Sun, Q. Cardiovascular response to thermoregulatory challenges. Am. J. Physiol. Circ. Physiol. 2015, 309, H1793–H1812. [Google Scholar] [CrossRef]
- An, S.; Yu, W.; Feng, F.; Liu, Q. Oxygen inhalation of heart disease patients at home. Eur. J. Prev. Cardiol. 2018, 25, 1341. [Google Scholar] [CrossRef]
- Shi, Y.; Wan, Y.; Wang, K.; Zhang, Y.; Liu, Q. Can acetic acid substitute ethanol for the reduction of cardiovascular disease risks? Eur. J. Prev. Cardiol. 2017, 24, 1889–1890. [Google Scholar] [CrossRef] [PubMed]
- Aimo, A.; Lupon, J.; Spitaleri, G.; Domingo, M.; Codina, P.; Santiago-Vacas, E.; Cediel, G.; Zamora, E.; Troya, M.; Santesmases, J.; et al. Global warming, renal function and heart failure over 20 years. Int. J. Cardiol. 2022, 365, 100–105. [Google Scholar] [CrossRef] [PubMed]
- Agbaraolorunpo, F.; Oloyo, A.K.; Anigbogu, C.N.; Sofola, O. Effect of Angiotensin receptor blockade on Plasma Osmolality and Neurohumoral Responses to High Environmental Temperature in Rats Fed a High Salt Diet. Niger. J. Physiol. Sci. 2021, 36, 149–157. [Google Scholar] [CrossRef] [PubMed]
- INAIL. Nota informativa. Esposizione a Temperature Estreme e Impatti Sulla Salute e Sicurezza sul Lavoro. Il Progetto Worklimate e la Piattaforma Previsionale di Allerta [Informative Note. Exposure to Extreme Temperatures and Impacts on Occupational Health and Safety. The Workli-Mate Project and the Warning Forecast Platform]. 11 July 2022. Available online: https://www.agripat.it/info-tecniche/esposizione-a-temperature-estreme-e-impatti-sulla-salute-e-sicurezza-sul-lavoro-il-progetto-worklimate-e-la-piattaforma-previsionale-di-allerta/ (accessed on 15 January 2023).
- Marrone, M.; Angeletti, C.; Cazzato, G.; Sebastiani, G.; Buongiorno, L.; Caricato, P.; Pititto, F.; Cascardi, E.; Stellacci, A.; De Luca, B.P. The Job that Kills the Worker: Analysis of Two Case Reports on Work-Related Stress Deaths in the COVID-19 Era. Int. J. Environ. Res. Public Health 2023, 20, 884. [Google Scholar] [CrossRef] [PubMed]
- Ma, R.; Zhong, S.; Morabito, M.; Hajat, S.; Xu, Z.; He, Y.; Bao, J.; Sheng, R.; Li, C.; Fu, C.; et al. Estimation of work-related injury and economic burden attributable to heat stress in Guangzhou, China. Sci. Total Environ. 2019, 666, 147–154. [Google Scholar] [CrossRef]
- Spector, J.T.; Masuda, Y.J.; Wolff, N.H.; Calkins, M.; Seixas, N. Heat Exposure and Occupational Injuries: Review of the Literature and Implications. Curr. Environ. Health Rep. 2019, 6, 286–296. [Google Scholar] [CrossRef] [PubMed]
- Yazdanpanah, M.; Wheeler, S.A.; Zuo, A.; Zobeidi, T. Understanding the influence of Iranian farmers’ climate change beliefs on their adaptation strategies and mitigation intentions. Clim. Dev. 2022, 1–13. [Google Scholar] [CrossRef]









Disclaimer/Publisher’s Note: The statements, opinions and data contained in all publications are solely those of the individual author(s) and contributor(s) and not of MDPI and/or the editor(s). MDPI and/or the editor(s) disclaim responsibility for any injury to people or property resulting from any ideas, methods, instructions or products referred to in the content. |
© 2023 by the authors. Licensee MDPI, Basel, Switzerland. This article is an open access article distributed under the terms and conditions of the Creative Commons Attribution (CC BY) license (https://creativecommons.org/licenses/by/4.0/).
Share and Cite
Marrone, M.; Buongiorno, L.; Caricato, P.; Pititto, F.; De Luca, B.P.; Angeletti, C.; Sebastiani, G.; Cascardi, E.; Ingravallo, G.; Stellacci, A.; et al. Heat Stroke in the Work Environment: Case Report of an Underestimated Phenomenon. Int. J. Environ. Res. Public Health 2023, 20, 4028. https://doi.org/10.3390/ijerph20054028
Marrone M, Buongiorno L, Caricato P, Pititto F, De Luca BP, Angeletti C, Sebastiani G, Cascardi E, Ingravallo G, Stellacci A, et al. Heat Stroke in the Work Environment: Case Report of an Underestimated Phenomenon. International Journal of Environmental Research and Public Health. 2023; 20(5):4028. https://doi.org/10.3390/ijerph20054028
Chicago/Turabian StyleMarrone, Maricla, Luigi Buongiorno, Pierluigi Caricato, Fortunato Pititto, Benedetta Pia De Luca, Carlo Angeletti, Gabriele Sebastiani, Eliano Cascardi, Giuseppe Ingravallo, Alessandra Stellacci, and et al. 2023. "Heat Stroke in the Work Environment: Case Report of an Underestimated Phenomenon" International Journal of Environmental Research and Public Health 20, no. 5: 4028. https://doi.org/10.3390/ijerph20054028
APA StyleMarrone, M., Buongiorno, L., Caricato, P., Pititto, F., De Luca, B. P., Angeletti, C., Sebastiani, G., Cascardi, E., Ingravallo, G., Stellacci, A., & Cazzato, G. (2023). Heat Stroke in the Work Environment: Case Report of an Underestimated Phenomenon. International Journal of Environmental Research and Public Health, 20(5), 4028. https://doi.org/10.3390/ijerph20054028

