Morphological and Morphometric Analysis of Canine Choroidal Layers Using Spectral Domain Optical Coherence Tomography
Abstract
1. Introduction
2. Materials and Methods
2.1. Animals and Procedures
2.2. OCT Scan and Data Analysis
2.3. Statistical Methods
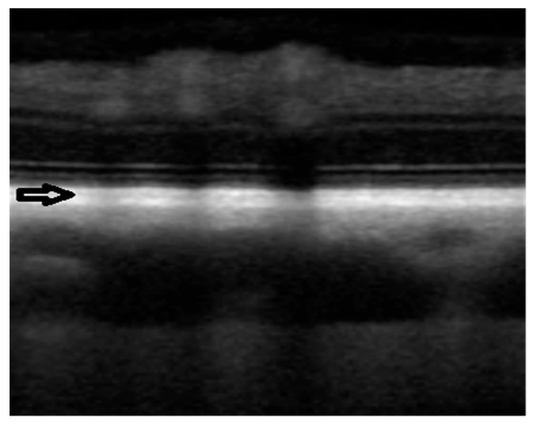
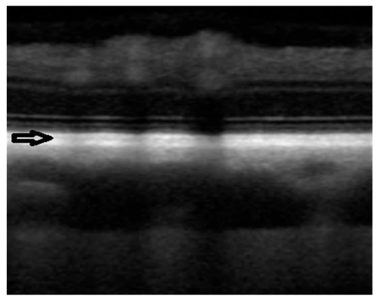
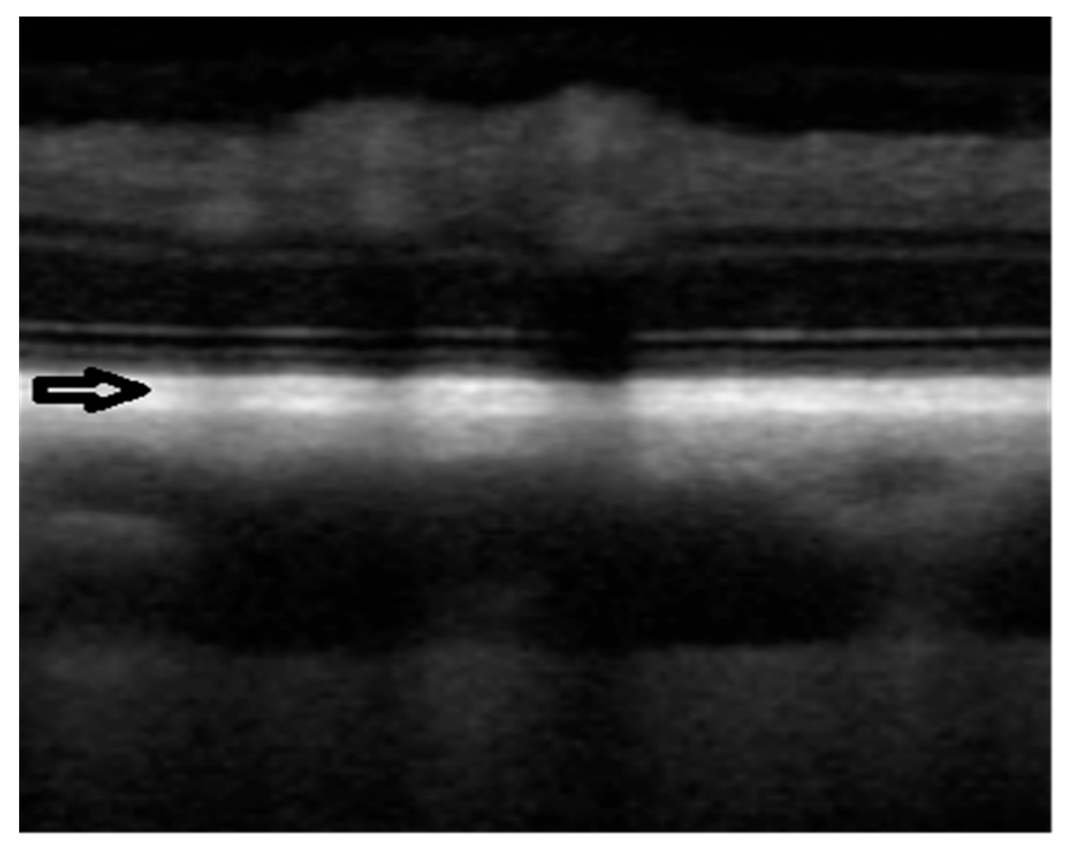
3. Results
4. Discussion
5. Conclusions
Author Contributions
Funding
Institutional Review Board Statement
Informed Consent Statement
Data Availability Statement
Acknowledgments
Conflicts of Interest
References
- Nickla, D.L.; Wallman, J. The Multifunctional Choroid. Prog. Retin. Eye Res. 2010, 29, 144–168. [Google Scholar] [CrossRef] [PubMed]
- van Alphen, G.W. Choroidal Stress and Emmetropization. Vis. Res. 1986, 26, 723–734. [Google Scholar] [CrossRef] [PubMed]
- Nickla, D.L.; Wildsoet, C.; Wallman, J. Visual Influences on Diurnal Rhythms in Ocular Length and Choroidal Thickness in Chick Eyes. Exp. Eye Res. 1998, 66, 163–181. [Google Scholar] [CrossRef] [PubMed]
- Janssen, A.; Hoellenriegel, J.; Fogarasi, M.; Schrewe, H.; Seeliger, M.; Tamm, E.; Ohlmann, A.; May, C.A.; Weber, B.H.F.; Stöhr, H. Abnormal Vessel Formation in the Choroid of Mice Lacking Tissue Inhibitor of Metalloprotease-3. Investig. Ophthalmol. Vis. Sci. 2008, 49, 2812–2822. [Google Scholar] [CrossRef]
- Hu, W.; Criswell, M.H.; Fong, S.-L.; Temm, C.J.; Rajashekhar, G.; Cornell, T.L.; Clauss, M.A. Differences in the Temporal Expression of Regulatory Growth Factors during Choroidal Neovascular Development. Exp. Eye Res. 2009, 88, 79–91. [Google Scholar] [CrossRef]
- Wentzek, L.A.; Bowers, C.W.; Khairallah, L.; Pilar, G. Choroid Tissue Supports the Survival of Ciliary Ganglion Neurons in Vitro. J. Neurosci. Off. J. Soc. Neurosci. 1993, 13, 3143–3154. [Google Scholar] [CrossRef]
- Miller, P.E. Uvea. In Slatter’s Fundamentals of Veterinary Ophthalmology; Elsevier Health Sciences: Saint Louis, MO, USA, 2008; pp. 203–229. [Google Scholar]
- Murthy, R.K.; Haji, S.; Sambhav, K.; Grover, S.; Chalam, K.V. Clinical Applications of Spectral Domain Optical Coherence Tomography in Retinal Diseases. Biomed. J. 2016, 39, 107–120. [Google Scholar] [CrossRef]
- Whitmore, S.S.; Sohn, E.H.; Chirco, K.R.; Drack, A.V.; Stone, E.M.; Tucker, B.A.; Mullins, R.F. Complement Activation and Choriocapillaris Loss in Early AMD: Implications for Pathophysiology and Therapy. Prog. Retin. Eye Res. 2015, 45, 1–29. [Google Scholar] [CrossRef]
- Singh, S.R.; Invernizzi, A.; Rasheed, M.A.; Cagini, C.; Goud, A.; Gujar, R.; Pandey, P.; Vupparaboina, K.K.; Cozzi, M.; Lupidi, M.; et al. Wide-Field Individual Retinal Layer Thickness in Healthy Eyes. Eur. J. Ophthalmol. 2021, 31, 1970–1977. [Google Scholar] [CrossRef]
- Hassanpoor, N.; Milani, A.E.; Kordestani, A.; Niyousha, M.R. Analysis of Retinal Layers’ Thickness and Vascular Density after Successful Scleral Buckle Surgery. J. Curr. Ophthalmol. 2021, 33, 304–309. [Google Scholar] [CrossRef]
- Birtel, T.H.; Birtel, J.; Hess, K.; Clemens, A.C.; Lindner, M.; Herrmann, P.; Holz, F.G.; Gliem, M. Analysis of Imaging Biomarkers and Retinal Nerve Fiber Layer Thickness in RPGR-Associated Retinitis Pigmentosa. Graefes Arch. Clin. Exp. Ophthalmol. Albrecht Von Graefes Arch. Klin. Exp. Ophthalmol. 2021, 259, 3597–3604. [Google Scholar] [CrossRef]
- Sohrab, M.; Wu, K.; Fawzi, A.A. A Pilot Study of Morphometric Analysis of Choroidal Vasculature in Vivo, Using En Face Optical Coherence Tomography. PLoS ONE 2012, 7, e48631. [Google Scholar] [CrossRef]
- Chen, Q.; Niu, S.; Fang, W.; Shuai, Y.; Fan, W.; Yuan, S.; Liu, Q. Automated Choroid Segmentation of Three-Dimensional SD-OCT Images by Incorporating EDI-OCT Images. Comput. Methods Programs Biomed. 2018, 158, 161–171. [Google Scholar] [CrossRef]
- Alizadeh Eghtedar, R.; Esmaeili, M.; Peyman, A.; Akhlaghi, M.; Rasta, S.H. An Update on Choroidal Layer Segmentation Methods in Optical Coherence Tomography Images: A Review. J. Biomed. Phys. Eng. 2022, 12, 1–20. [Google Scholar] [CrossRef]
- Masood, S.; Fang, R.; Li, P.; Li, H.; Sheng, B.; Mathavan, A.; Wang, X.; Yang, P.; Wu, Q.; Qin, J.; et al. Publisher Correction: Automatic Choroid Layer Segmentation from Optical Coherence Tomography Images Using Deep Learning. Sci. Rep. 2019, 9, 19381. [Google Scholar] [CrossRef]
- Kim, S.-W.; Oh, J.; Kwon, S.-S.; Yoo, J.; Huh, K. Comparison of Choroidal Thickness among Patients with Healthy Eyes, Early Age-Related Maculopathy, Neovascular Age-Related Macular Degeneration, Central Serous Chorioretinopathy, and Polypoidal Choroidal Vasculopathy. Retina 2011, 31, 1904–1911. [Google Scholar] [CrossRef]
- Shao, L.; Xu, L.; Zhang, J.S.; You, Q.S.; Chen, C.X.; Wang, Y.X.; Jonas, J.B.; Wei, W.B. Subfoveal Choroidal Thickness and Cataract: The Beijing Eye Study 2011. Investig. Ophthalmol. Vis. Sci. 2015, 56, 810–815. [Google Scholar] [CrossRef]
- Li, X.Q.; Jeppesen, P.; Larsen, M.; Munch, I.C. Subfoveal Choroidal Thickness in 1323 Children Aged 11 to 12 Years and Association with Puberty: The Copenhagen Child Cohort 2000 Eye Study. Investig. Ophthalmol. Vis. Sci. 2014, 55, 550–555. [Google Scholar] [CrossRef]
- Zhu, D.; Wang, Y.; Zheng, Y.F.; Yang, D.Y.; Guo, K.; Yang, X.R.; Jing, X.X.; Wong, I.Y.; You, Q.S.; Tao, Y.; et al. Choroidal Thickness in School Children: The Gobi Desert Children Eye Study. PLoS ONE 2017, 12, e0179579. [Google Scholar] [CrossRef]
- Roy, R.; Saurabh, K.; Vyas, C.; Deshmukh, K.; Sharma, P.; Chandrasekharan, D.P.; Bansal, A. Choroidal Haller’s and Sattler’s Layers Thickness in Normal Indian Eyes. Middle East Afr. J. Ophthalmol. 2018, 25, 19–24. [Google Scholar] [CrossRef]
- Xu, J.; Wang, Y.X.; Jiang, R.; Wei, W.B.; Xu, L.; Jonas, J.B. Peripapillary Choroidal Vascular Layers: The Beijing Eye Study. Acta Ophthalmol. 2017, 95, 619–628. [Google Scholar] [CrossRef] [PubMed]
- Zhao, J.; Wang, Y.X.; Zhang, Q.; Wei, W.B.; Xu, L.; Jonas, J.B. Macular Choroidal Small-Vessel Layer, Sattler’s Layer and Haller’s Layer Thicknesses: The Beijing Eye Study. Sci. Rep. 2018, 8, 4411. [Google Scholar] [CrossRef] [PubMed]
- Borrelli, E.; Sarraf, D.; Freund, K.B.; Sadda, S.R. OCT Angiography and Evaluation of the Choroid and Choroidal Vascular Disorders. Prog. Retin. Eye Res. 2018, 67, 30–55. [Google Scholar] [CrossRef] [PubMed]
- Mano, F.; Dispenzieri, A.; Kusaka, S.; Pavesio, C.; Khalid, H.; Keane, P.A.; Pulido, J.S. Association between choroidal characteristics and systemic severity in amyloidosis. Retina 2021, 41, 1037–1046. [Google Scholar] [CrossRef] [PubMed]
- Chen, W.; Li, Z.; Wang, Q.; Wang, Y.; Zhang, Y. The Role of C-Jun N-Terminal Kinase-1 in Controlling Aquaporin-1 and Choroidal Thickness during Recovery from Form-Deprivation Myopia in Guinea Pigs. Curr. Eye Res. 2021, 46, 885–894. [Google Scholar] [CrossRef] [PubMed]
- Jnawali, A.; Beach, K.M.; Ostrin, L.A. In Vivo Imaging of the Retina, Choroid, and Optic Nerve Head in Guinea Pigs. Curr. Eye Res. 2018, 43, 1006–1018. [Google Scholar] [CrossRef] [PubMed]
- Li, T.; Zhou, X.D.; Luo, X.; Jiang, B. Optical Coherence Tomography and Histologic Measurements of Retinal and Choroidal Thicknesses in Guinea Pig Eyes. Int. J. Clin. Exp. Med. 2016, 9, 7080–7087. [Google Scholar]
- Yu, T.; Xie, X.; Wei, H.; Shen, H.; Wu, Q.; Zhang, X.; Ji, H.; Tian, Q.; Song, J.; Bi, H. Choroidal Changes in Lens-Induced Myopia in Guinea Pigs. Microvasc. Res. 2021, 138, 104213. [Google Scholar] [CrossRef]
- Zhang, S.; Zhang, G.; Zhou, X.; Xu, R.; Wang, S.; Guan, Z.; Lu, J.; Srinivasalu, N.; Shen, M.; Jin, Z.; et al. Changes in Choroidal Thickness and Choroidal Blood Perfusion in Guinea Pig Myopia. Investig. Ophthalmol. Vis. Sci. 2019, 60, 3074–3083. [Google Scholar] [CrossRef]
- Zwolska, J.; Szadkowski, M.; Balicka, A.; Balicki, I. Morphometrical Analysis of the Canine Choroid in Relation to Age and Sex Using Spectral Domain Optical Coherence Tomography. Acta Vet. Hung. 2021, 69, 266–273. [Google Scholar] [CrossRef]
- Fortney, W.D. Implementing a Successful Senior/Geriatric Health Care Program for Veterinarians, Veterinary Technicians, and Office Managers. Vet. Clin. N. Am. Small Anim. Pract. 2012, 42, 823–834. [Google Scholar] [CrossRef]
- Povazay, B.; Hermann, B.; Hofer, B.; Kajić, V.; Simpson, E.; Bridgford, T.; Drexler, W. Wide-Field Optical Coherence Tomography of the Choroid in Vivo. Investig. Ophthalmol. Vis. Sci. 2009, 50, 1856–1863. [Google Scholar] [CrossRef]
- Branchini, L.A.; Adhi, M.; Regatieri, C.V.; Nandakumar, N.; Liu, J.J.; Laver, N.; Fujimoto, J.G.; Duker, J.S. Analysis of Choroidal Morphologic Features and Vasculature in Healthy Eyes Using Spectral-Domain Optical Coherence Tomography. Ophthalmology 2013, 120, 1901–1908. [Google Scholar] [CrossRef]
- Wei, W.B.; Xu, L.; Jonas, J.B.; Shao, L.; Du, K.F.; Wang, S.; Chen, C.X.; Xu, J.; Wang, Y.X.; Zhou, J.Q.; et al. Subfoveal Choroidal Thickness: The Beijing Eye Study. Ophthalmology 2013, 120, 175–180. [Google Scholar] [CrossRef]
- Hanumunthadu, D.; van Dijk, E.H.C.; Dumpala, S.; Rajesh, B.; Jabeen, A.; Jabeen, A.; Ansari, M.; Mehta, P.; Shah, S.; Sarvaiya, C.; et al. Evaluation of Choroidal Layer Thickness in Central Serous Chorioretinopathy. J. Ophthalmic Vis. Res. 2019, 14, 164–170. [Google Scholar] [CrossRef]
- Baek, J.; Cheung, C.M.G.; Jeon, S.; Lee, J.H.; Lee, W.K. Polypoidal Choroidal Vasculopathy: Outer Retinal and Choroidal Changes and Neovascularization Development in the Fellow Eye. Investig. Ophthalmol. Vis. Sci. 2019, 60, 590–598. [Google Scholar] [CrossRef]
- Staurenghi, G.; Sadda, S.; Chakravarthy, U.; Spaide, R.F.; International Nomenclature for Optical Coherence Tomography (IN•OCT) Panel. Proposed Lexicon for Anatomic Landmarks in Normal Posterior Segment Spectral-Domain Optical Coherence Tomography: The IN•OCT Consensus. Ophthalmology 2014, 121, 1572–1578. [Google Scholar] [CrossRef]
- Carpenter, C.L.; Kim, A.Y.; Kashani, A.H. Normative Retinal Thicknesses in Common Animal Models of Eye Disease Using Spectral Domain Optical Coherence Tomography. Adv. Exp. Med. Biol. 2018, 1074, 157–166. [Google Scholar] [CrossRef]
- Occelli, L.M.; Pasmanter, N.; Ayoub, E.E.; Petersen-Jones, S.M. Changes in Retinal Layer Thickness with Maturation in the Dog: An in Vivo Spectral Domain—Optical Coherence Tomography Imaging Study. BMC Vet. Res. 2020, 16, 225. [Google Scholar] [CrossRef]
- Grozdanic, S.D.; Lazic, T.; Kecova, H.; Mohan, K.; Kuehn, M.H. Optical Coherence Tomography and Molecular Analysis of Sudden Acquired Retinal Degeneration Syndrome (SARDS) Eyes Suggests the Immune-Mediated Nature of Retinal Damage. Vet. Ophthalmol. 2019, 22, 305–327. [Google Scholar] [CrossRef]
- Graham, K.L.; McCowan, C.I.; Caruso, K.; Billson, F.M.; Whittaker, C.J.G.; White, A. Optical Coherence Tomography of the Retina, Nerve Fiber Layer, and Optic Nerve Head in Dogs with Glaucoma. Vet. Ophthalmol. 2020, 23, 97–112. [Google Scholar] [CrossRef] [PubMed]
- Osinchuk, S.C.; Leis, M.L.; Salpeter, E.M.; Sandmeyer, L.S.; Grahn, B.H. Evaluation of Retinal Morphology of Canine Sudden Acquired Retinal Degeneration Syndrome Using Optical Coherence Tomography and Fluorescein Angiography. Vet. Ophthalmol. 2019, 22, 398–406. [Google Scholar] [CrossRef] [PubMed]
- Kotb, A.M.; Ibrahim, I.A.-A.; Aly, K.H.; Zayed, A.E. Histomorphometric Analysis of the Choroid of Donkeys, Buffalos, Camels and Dogs. Int. Ophthalmol. 2019, 39, 1239–1247. [Google Scholar] [CrossRef]
- Abadia, B.; Suñen, I.; Calvo, P.; Bartol, F.; Verdes, G.; Ferreras, A. Choroidal Thickness Measured Using Swept-Source Optical Coherence Tomography Is Reduced in Patients with Type 2 Diabetes. PLoS ONE 2018, 13, e0191977. [Google Scholar] [CrossRef] [PubMed]
- Steiner, M.; Esteban-Ortega, M.D.M.; Muñoz-Fernández, S. Choroidal and Retinal Thickness in Systemic Autoimmune and Inflammatory Diseases: A Review. Surv. Ophthalmol. 2019, 64, 757–769. [Google Scholar] [CrossRef]
- Jin, P.; Zou, H.; Zhu, J.; Xu, X.; Jin, J.; Chang, T.C.; Lu, L.; Yuan, H.; Sun, S.; Yan, B.; et al. Choroidal and Retinal Thickness in Children With Different Refractive Status Measured by Swept-Source Optical Coherence Tomography. Am. J. Ophthalmol. 2016, 168, 164–176. [Google Scholar] [CrossRef]
- Sahinoglu-Keskek, N.; Canan, H. Effect of Latanoprost on Choroidal Thickness. J. Glaucoma 2018, 27, 635–637. [Google Scholar] [CrossRef]
- Zhao, M.; Alonso-Caneiro, D.; Lee, R.; Cheong, A.M.Y.; Yu, W.-Y.; Wong, H.-Y.; Lam, A.K.C. Comparison of Choroidal Thickness Measurements Using Semiautomated and Manual Segmentation Methods. Optom. Vis. Sci. Off. Publ. Am. Acad. Optom. 2020, 97, 121–127. [Google Scholar] [CrossRef]
- Uyar, E.; Dogan, U.; Ulas, F.; Celebi, S. Effect of Fasting on Choroidal Thickness and Its Diurnal Variation. Curr. Eye Res. 2019, 44, 695–700. [Google Scholar] [CrossRef]
- Pinheiro-Costa, J.; Correia, P.J.; Pinto, J.V.; Alves, H.; Torrão, L.; Moreira, R.; Falcão, M.; Carneiro, Â.; Madeira, M.D.; Falcão-Reis, F. Increased Choroidal Thickness Is Not a Disease Progression Marker in Keratoconus. Sci. Rep. 2020, 10, 19938. [Google Scholar] [CrossRef]
- Yamaue, Y.; Hosaka, Y.Z.; Uehara, M. Macroscopic and Histological Variations in the Cellular Tapetum in Dogs. J. Vet. Med. Sci. 2014, 76, 1099–1103. [Google Scholar] [CrossRef]
- Lesiuk, T.P.; Braekevelt, C.R. Fine Structure of the Canine Tapetum Lucidum. J. Anat. 1983, 136, 157–164. [Google Scholar]
- Soukup, P.; Maloca, P.; Altmann, B.; Festag, M.; Atzpodien, E.-A.; Pot, S. Interspecies Variation of Outer Retina and Choriocapillaris Imaged With Optical Coherence Tomography. Investig. Ophthalmol. Vis. Sci. 2019, 60, 3332–3342. [Google Scholar] [CrossRef]
- Mischi, E.; Soukup, P.; Harman, C.D.; Oikawa, K.; Kowalska, M.E.; Hartnack, S.; McLellan, G.J.; Komáromy, A.M.; Pot, S.A. Outer retinal thickness and visibility of the choriocapillaris in four distinct retinal regions imaged with spectral domain optical coherence tomography in dogs and cats. Vet. Ophthalmol. 2022, 25, 122–135. [Google Scholar] [CrossRef]
- Ruiz-Medrano, J.; Flores-Moreno, I.; Peña-García, P.; Montero, J.A.; García-Feijóo, J.; Duker, J.S.; Ruiz-Moreno, J.M. Analysis of age-related choroidal layers thinning in healthy eyes using swept-source optical coherence tomography. Retina 2017, 37, 1305–1313. [Google Scholar] [CrossRef]
- Kamal Abdellatif, M.; Abdelmaguid Mohamed Elzankalony, Y.; Abdelmonsef Abdelhamid Ebeid, A.; Mohamed Ebeid, W. Outer Retinal Layers’ Thickness Changes in Relation to Age and Choroidal Thickness in Normal Eyes. J. Ophthalmol. 2019, 2019, 1698967. [Google Scholar] [CrossRef]
- Mowat, F.M.; Petersen-Jones, S.M.; Williamson, H.; Williams, D.L.; Luthert, P.J.; Ali, R.R.; Bainbridge, J.W. Topographical characterization of cone photoreceptors and the area centralis of the canine retina. Mol. Vis. 2008, 14, 2518–2527. [Google Scholar]
- Yamaue, Y.; Hosaka, Y.Z.; Uehara, M. Spatial relationships among the cellular tapetum, visual streak and rod density in dogs. J. Vet. Med. Sci. 2015, 77, 175–179. [Google Scholar] [CrossRef]
- Papastergiou, G.I.; Schmid, G.F.; Riva, C.E.; Mendel, M.J.; Stone, R.A.; Laties, A.M. Ocular Axial Length and Choroidal Thickness in Newly Hatched Chicks and One-Year-Old Chickens Fluctuate in a Diurnal Pattern That Is Influenced by Visual Experience and Intraocular Pressure Changes. Exp. Eye Res. 1998, 66, 195–205. [Google Scholar] [CrossRef]
- Chakraborty, R.; Read, S.A.; Collins, M.J. Diurnal Variations in Axial Length, Choroidal Thickness, Intraocular Pressure, and Ocular Biometrics. Investig. Ophthalmol. Vis. Sci. 2011, 52, 5121–5129. [Google Scholar] [CrossRef]
- Ko, J.C.; Fox, S.M.; Mandsager, R.E. Sedative and Cardiorespiratory Effects of Medetomidine, Medetomidine-Butorphanol, and Medetomidine-Ketamine in Dogs. J. Am. Vet. Med. Assoc. 2000, 216, 1578–1583. [Google Scholar] [CrossRef] [PubMed]
- Heller, A.R.; van der Woerdt, A.; Gaarder, J.E.; Sapienza, J.S.; Hernandez-Merino, E.; Abrams, K.; Church, M.L.; La Croix, N. Sudden Acquired Retinal Degeneration in Dogs: Breed Distribution of 495 Canines. Vet. Ophthalmol. 2017, 20, 103–106. [Google Scholar] [CrossRef] [PubMed]




| RPE-BmCc | MSVL | LVLS | WCT | |
|---|---|---|---|---|
| D | ||||
| MA | 28.7 ± 7.49 | 32.59 ± 7.83 | 121.72 ± 24.58 | 183.02 ± 30.15 |
| SN | 26.44 ± 5.04 | 31.62 ± 7.62 | 124.87 ± 28.32 | 182.93 ± 32.01 |
| V | ||||
| MA | 7.71 ± 0.96 | 24.43 ± 8.07 | 78.21 ± 19.22 | 110.24 ± 23.50 |
| SN | 8.13 ± 0.50 | 24.33 ± 6.21 | 75.39 ± 14.28 | 107.84 ± 17.68 |
| TempT | ||||
| MA | 10.76 ± 2.17 | 38.15 ± 7.64 | 126.78 ± 35.78 | 175.69 ± 38.58 |
| SN | 10.90 ± 2.38 | 45.43 ± 10.29 | 125.67 ± 19.96 | 182.00 ± 23.54 |
| TempNT | ||||
| MA | 8.12 ± 0.91 | 27.11 ± 9.87 | 84.45 ± 17.24 | 119.68 ± 24.81 |
| SN | 8.25 ± 0.68 | 30.86 ± 6.94 | 99.59 ± 22.98 | 138.62 ± 26.81 |
| NasT | ||||
| MA | 9.83 ± 1.43 | 32.90 ± 10.02 | 96.78 ± 12.56 | 139.52 ± 15.67 |
| SN | 9.33 ± 1.47 | 33.03 ± 5.40 | 102.33 ± 24.48 | 144.69 ± 24.06 |
| NasNT | ||||
| MA | 8.05 ± 0.86 | 26.34 ± 8.90 | 89.72 ± 14.19 | 124.12 ± 19.40 |
| SN | 8.44 ± 0.69 | 29.74 ± 7.50 | 90.59 ± 12.43 | 128.77 ± 16.89 |
| Layer | Region | Mean ± SD | Statistical Significance | Layer | Region | Mean ± SD | Statistical Significance |
| RPE-BmCc | D vs. V | 27.42 ± 6.28 vs. 7.99 ± 0.70 | p < 0.001 | MSVL | D vs. V | 27.42 ± 6.28 vs. 7.99 ± 0.70 | p < 0.001 |
| D vs. TempT | 27.42 ± 6.28 vs. 10.84 ± 2.24 | p < 0.001 | D vs. TempT | 27.42 ± 6.28 vs. 10.84 ± 2.24 | p < 0.001 | ||
| D vs. TempNT | 27.42 ± 6.28 vs. 8.21 ± 0.75 | p < 0.001 | D vs. TempNT | 27.42 ± 6.28 vs. 8.21 ± 0.75 | p = 0.67 | ||
| D vs. NasT | 27.42 ± 6.28 vs. 9.56 ± 1.44 | p < 0.001 | D vs. NasT | 27.42 ± 6.28 vs. 9.56 ± 1.44 | p = 1.00 | ||
| D vs. NasNT | 27.42 ± 6.28 vs. 8.24 ± 0.79 | p < 0.001 | D vs. NasNT | 27.42 ± 6.28 vs. 8.24 ± 0.79 | p < 0.05 | ||
| V vs. TempT | 7.99 ± 0.70 vs. 10.84 ± 2.24 | p < 0.05 | V vs. TempT | 7.99 ± 0.70 vs. 10.84 ± 2.24 | p < 0.001 | ||
| V vs. TempNT | 7.99 ± 0.70 vs. 8.21 ± 0.75 | p = 1.00 | V vs. TempNT | 7.99 ± 0.70 vs. 8.21 ± 0.75 | p < 0.05 | ||
| V vs. NasT | 7.99 ± 0.70 vs. 9.56 ± 1.44 | p = 0.47 | V vs. NasT | 7.99 ± 0.70 vs. 9.56 ± 1.44 | p < 0.001 | ||
| V vs. NasNT | 7.99 ± 0.70 vs. 8.24 ± 0.79 | p = 1.00 | V vs. NasNT | 7.99 ± 0.70 vs. 8.24 ± 0.79 | p = 0.11 | ||
| TempT vs. TempNT | 10.84 ± 2.24 vs. 8.21 ± 0.75 | p = 0.08 | TempT vs. TempNT | 10.84 ± 2.24 vs. 8.21 ± 0.75 | p < 0.001 | ||
| TempT vs. NasT | 10.84 ± 2.24 vs. 9.56 ± 1.44 | p = 0.85 | TempT vs. NasT | 10.84 ± 2.24 vs. 9.56 ± 1.44 | p < 0.005 | ||
| TempT+ vs. NasNT | 10.84 ± 2.24 vs. 8.24 ± 0.79 | p = 0.05 | TempT vs. NasNT | 10.84 ± 2.24 vs. 8.24 ± 0.79 | p < 0.001 | ||
| TempNT vs. NasT | 8.21 ± 0.75 vs. 9.56 ± 1.44 | p = 0.73 | TempNT vs. NasT | 8.21 ± 0.75 vs. 9.56 ± 1.44 | p = 0.64 | ||
| TempNT vs. NasNT | 8.21 ± 0.75 vs. 8.24 ± 0.79 | p = 1.00 | TempNT vs. NasNT | 8.21 ± 0.75 vs. 8.24 ± 0.79 | p = 0.92 | ||
| NasT vs. NasNT | 9.56 ± 1.44 vs. 8.24 ± 0.79 | p = 0.69 | NasT vs. NasNT | 9.56 ± 1.44 vs. 8.24 ± 0.79 | p = 0.13 | ||
| Layer | Region | Mean ± SD | Statistical Significance | Layer | Region | Mean ± SD | Statistical Significance |
| LVLS | D vs. V | 27.42 ± 6.28 vs. 7.99 ± 0.70 | p < 0.001 | WCT | D vs. V | 27.42 ± 6.28 vs. 7.99 ± 0.70 | p < 0.001 |
| D vs. TempT | 27.42 ± 6.28 vs. 10.84 ± 2.24 | p = 1,00 | D vs. TempT | 27.42 ± 6.28 vs. 10.84 ± 2.24 | p = 0.99 | ||
| D vs. TempNT | 27.42 ± 6.28 vs. 8.21 ± 0.75 | p < 0.001 | D vs. TempNT | 27.42 ± 6.28 vs. 8.21 ± 0.75 | p < 0.001 | ||
| D vs. NasT | 27.42 ± 6.28 vs. 9.56 ± 1.44 | p < 0.001 | D vs. NasT | 27.42 ± 6.28 vs. 9.56 ± 1.44 | p < 0.001 | ||
| D vs. NasNT | 27.42 ± 6.28 vs. 8.24 ± 0.79 | p < 0.001 | D vs. NasNT | 27.42 ± 6.28 vs. 8.24 ± 0.79 | p < 0.001 | ||
| V vs. TempT | 7.99 ± 0.70 vs. 10.84 ± 2.24 | p < 0.001 | V vs. TempT | 7.99 ± 0.70 vs. 10.84 ± 2.24 | p < 0.001 | ||
| V vs. TempNT | 7.99 ± 0.70 vs. 8.21 ± 0.75 | p < 0.001 | V vs. TempNT | 7.99 ± 0.70 vs. 8.21 ± 0.75 | p < 0.001 | ||
| V vs. NasT | 7.99 ± 0.70 vs. 9.56 ± 1.44 | p < 0.001 | V vs. NasT | 7.99 ± 0.70 vs. 9.56 ± 1.44 | p < 0.001 | ||
| V vs. NasNT | 7.99 ± 0.70 vs. 8.24 ± 0.79 | p < 0.05 | V vs. NasNT | 7.99 ± 0.70 vs. 8.24 ± 0.79 | p < 0.005 | ||
| TempT vs. TempNT | 10.84 ± 2.24 vs. 8.21 ± 0.75 | p < 0.001 | TempT vs. TempNT | 10.84 ± 2.24 vs. 8.21 ± 0.75 | p < 0.001 | ||
| TempT vs. NasT | 10.84 ± 2.24 vs. 9.56 ± 1.44 | p < 0.001 | TempT vs. NasT | 10.84 ± 2.24 vs. 9.56 ± 1.44 | p < 0.001 | ||
| TempT vs. NasNT | 10.84 ± 2.24 vs. 8.24 ± 0.79 | p < 0.001 | TempT vs. NasNT | 10.84 ± 2.24 vs. 8.24 ± 0.79 | p < 0.001 | ||
| TempNT vs. NasT | 8.21 ± 0.75 vs. 9.56 ± 1.44 | p = 0.96 | TempNT vs. NasT | 8.21 ± 0.75 vs. 9.56 ± 1.44 | p = 0.73 | ||
| TempNT vs. NasNT | 8.21 ± 0.75 vs. 8.24 ± 0.79 | p = 0.90 | TempNT vs. NasNT | 8.21 ± 0.75 vs. 8.24 ± 0.79 | p = 0.85 | ||
| NasT vs. NasNT | 9.56 ± 1.44 vs. 8.24 ± 0.79 | p = 0.47 | NasT vs. NasNT | 9.56 ± 1.44 vs. 8.24 ± 0.79 | p = 0.13 |
| MA | Mean ± SD | SN | Mean ± SD | |
|---|---|---|---|---|
| D2:D3 | 0.28 | 32.59 ± 7.83:121.72 ± 24.58 | 0.26 | 31.62 ± 7.62:124.87 ± 28.32 |
| V2:V3 | 0.32 | 24.43 ± 8.07:78.21 ± 19.22 | 0.33 | 24.33 ± 6.21:75.39 ± 14.28 |
| TempT2:TempT3 | 0.32 | 38.15 ± 7.64:126.78 ± 35.78 | 0.37 | 45.43 ± 10.29:125.67 ± 19.96 |
| TempNT2:TempNT3 | 0.32 | 27.11 ± 9.87:84.45 ± 17.24 | 0.32 | 30.86 ± 6.94:99.59 ± 22.98 |
| NasT2:NasNT3 | 0.35 | 32.90 ± 10.02:96.78 ± 12.56 | 0.34 | 33.03 ± 5.40:102.33 ± 24.48 |
| NasNT2:NasNT3 | 0.29 | 26.34 ± 8.90:89.72 ± 14.19 | 0.33 | 29.74 ± 7.50:90.59 ± 12.43 |
Disclaimer/Publisher’s Note: The statements, opinions and data contained in all publications are solely those of the individual author(s) and contributor(s) and not of MDPI and/or the editor(s). MDPI and/or the editor(s) disclaim responsibility for any injury to people or property resulting from any ideas, methods, instructions or products referred to in the content. |
© 2023 by the authors. Licensee MDPI, Basel, Switzerland. This article is an open access article distributed under the terms and conditions of the Creative Commons Attribution (CC BY) license (https://creativecommons.org/licenses/by/4.0/).
Share and Cite
Zwolska, J.; Balicki, I.; Balicka, A. Morphological and Morphometric Analysis of Canine Choroidal Layers Using Spectral Domain Optical Coherence Tomography. Int. J. Environ. Res. Public Health 2023, 20, 3121. https://doi.org/10.3390/ijerph20043121
Zwolska J, Balicki I, Balicka A. Morphological and Morphometric Analysis of Canine Choroidal Layers Using Spectral Domain Optical Coherence Tomography. International Journal of Environmental Research and Public Health. 2023; 20(4):3121. https://doi.org/10.3390/ijerph20043121
Chicago/Turabian StyleZwolska, Jowita, Ireneusz Balicki, and Agnieszka Balicka. 2023. "Morphological and Morphometric Analysis of Canine Choroidal Layers Using Spectral Domain Optical Coherence Tomography" International Journal of Environmental Research and Public Health 20, no. 4: 3121. https://doi.org/10.3390/ijerph20043121
APA StyleZwolska, J., Balicki, I., & Balicka, A. (2023). Morphological and Morphometric Analysis of Canine Choroidal Layers Using Spectral Domain Optical Coherence Tomography. International Journal of Environmental Research and Public Health, 20(4), 3121. https://doi.org/10.3390/ijerph20043121

