The Utility of 68Ga-PSMA PET/CT in Decisions Regarding Administering Salvage Radiotherapy to Men with Prostate Cancer
Abstract
1. Introduction
2. Materials and Methods
2.1. Ethics
2.2. Study Design
2.3. PET/CT Image Acquisition
2.4. Image Interpretation
2.5. Design of the Radiotherapy Protocol
2.6. Extraction of Demographic and Clinical Data
2.7. Evaluation of Toxicities
2.8. Statistical Analysis
3. Results
3.1. Baseline Characteristics
3.1.1. Study Participants
3.1.2. Disease Characteristics
3.1.3. Baseline Treatments
3.2. Initial Radiotherapy
Radiation Type and Dose
3.3. Response to the Initial Round of Radiation Therapy
3.3.1. Biochemical Recurrence
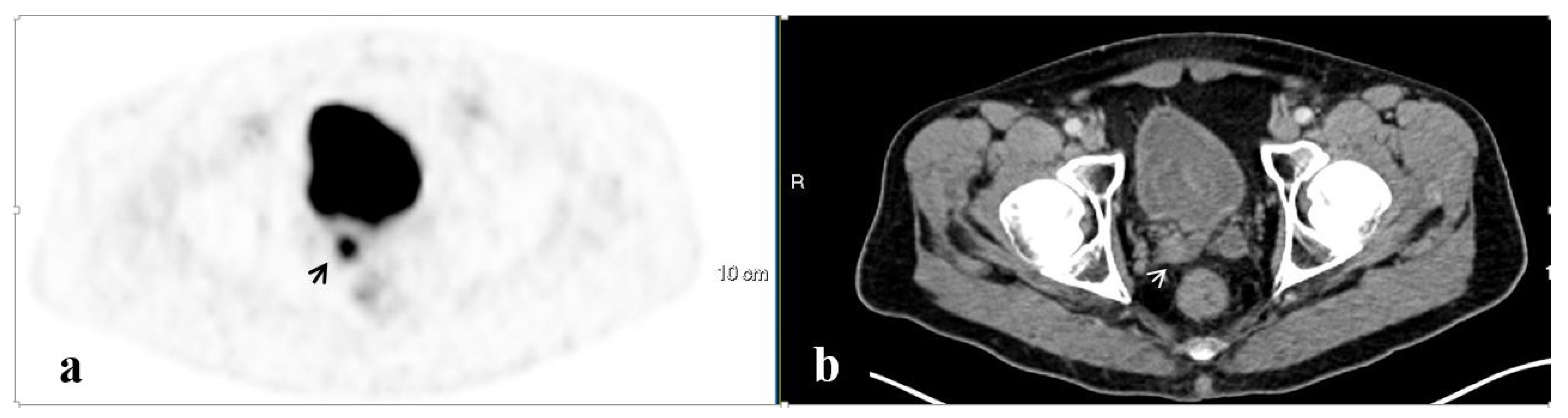
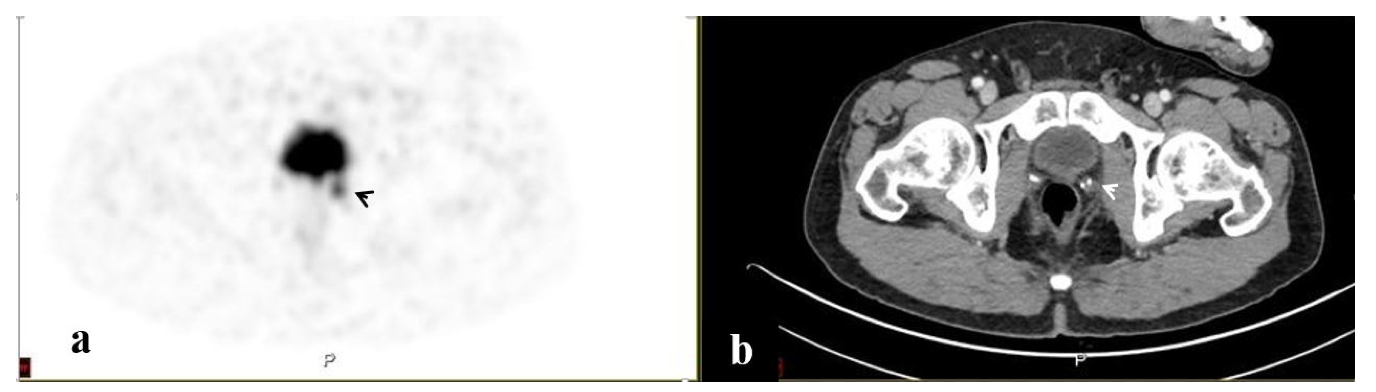
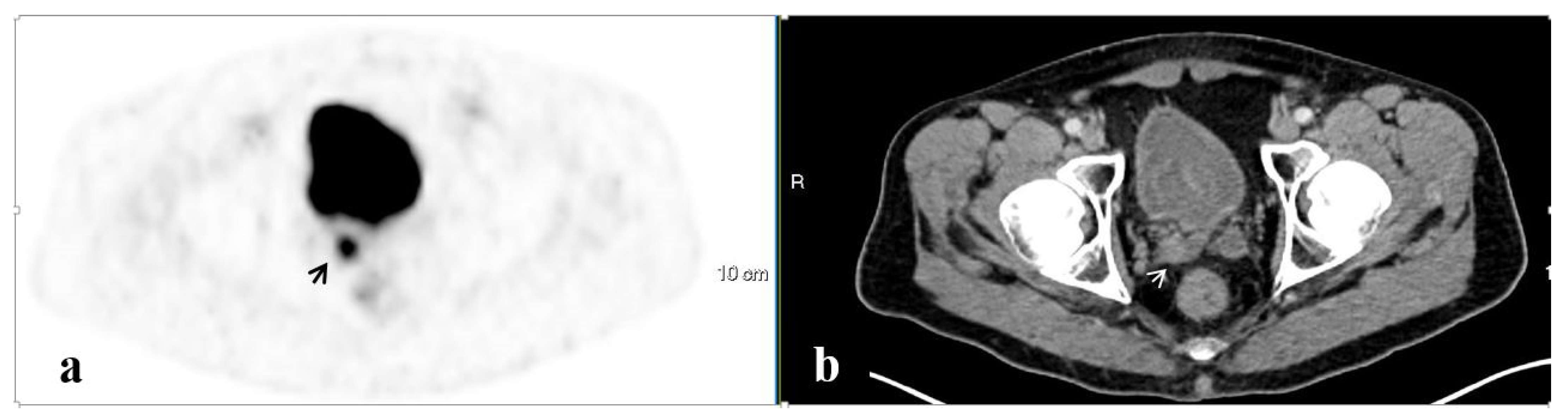
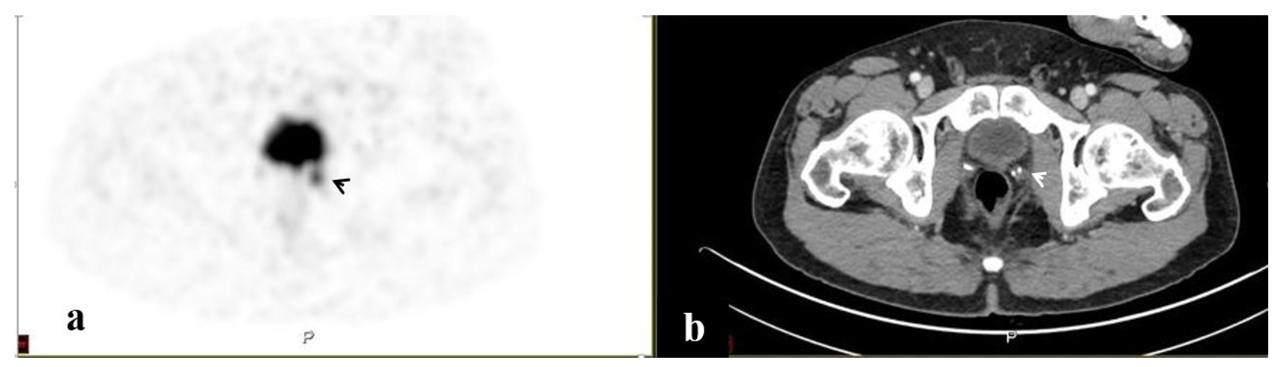
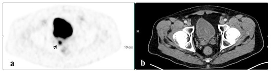
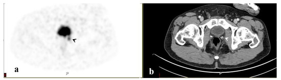
3.3.2. 68Ga-PSMA PET/CT Findings at Recurrence
3.4. Salvage Radiation Therapy
3.4.1. Type, Dosage, and Number of Rounds of Radiation
3.4.2. The Site of Salvage Radiotherapy
3.5. Follow-Up and Toxicities after Salvage Radiation
3.5.1. Length of Follow-Up and Survival Rates
3.5.2. Acute Toxicities
3.5.3. Late Toxicities
4. Discussion
5. Conclusions
Author Contributions
Funding
Institutional Review Board Statement
Informed Consent Statement
Data Availability Statement
Conflicts of Interest
References
- Parikh, N.R.; Kishan, A.U. Stereotactic Body Radiotherapy for Prostate Cancer. Am. J. Mens. Health 2020, 14, 3. [Google Scholar] [CrossRef] [PubMed]
- Morgan, S.C.; Hoffman, K.; Loblaw, D.A.; Buyyounouski, M.; Patton, C.; Barocas, D.; Bentzen, S.; Chang, M.; Efstathiou, J.; Greany, P.; et al. Hypofractionated Radiation Therapy for Localized Prostate Cancer: Executive Summary of an ASTRO, ASCO, and AUA Evidence-Based Guideline. Pract. Radiat. Oncol. 2018, 8, 354–360. [Google Scholar] [CrossRef] [PubMed]
- Widmark, A.; Gunnlaugsson, A.; Beckman, L.; Thellenberg-Karlsson, C.; Hoyer, M.; Lagerlund, M.; Kindblom, J.; Ginman, C.; Johansson, B.; Björnlinger, K.; et al. Ultra-hypofractionated versus conventionally fractionated radiotherapy for prostate cancer: 5-year outcomes of the HYPO-RT-PC randomised, non-inferiority, phase 3 trial. Lancet 2019, 394, 385–395. [Google Scholar] [CrossRef] [PubMed]
- Phillips, R.L.; Shi, W.Y.; Deek, M.; Radwan, N.; Lim, S.J.; Antonarakis, E.S.; Rowe, S.P.; Ross, A.E.; Gorin, M.A.; Deville, C.; et al. Outcomes of observation vs stereotactic ablative radiation for oligometastatic prostate cancer: The ORIOLE phase 2 randomized clinical trial. JAMA. Oncol. 2020, 6, 650–659. [Google Scholar] [CrossRef] [PubMed]
- Jackson, W.C.; Silva, J.; Hartman, H.E.; Dess, R.T.; Kishan, A.U.; Beeler, W.H.; Gharzai, L.A.; Jaworski, E.M.; Mehra, R.; Hearn, J.; et al. Stereotactic Body Radiation Therapy for Localized Prostate Cancer: A Systematic Review and Meta-Analysis of Over 6000 Patients Treated On Prospective Studies. Int. J. Radiat. Oncol. Biol. Phys. 2019, 104, 778–789. [Google Scholar] [CrossRef]
- Dang, A.; Kupelian, P.A.; Cao, M.; Agazaryan, N.; Kishan, A.U. Image-guided radiotherapy for prostate cancer. Transl. Androl. Urol. 2018, 7, 308–320. [Google Scholar] [CrossRef]
- Yu, J.B.; Cramer, L.D.; Herrin, J.; Soulos, P.R.; Potosky, A.L.; Gross, C.P. Stereotactic body radiation therapy versus intensity-modulated radiation therapy for prostate cancer: Comparison of toxicity. J. Clin. Oncol. 2014, 32, 1195–1201. [Google Scholar] [CrossRef]
- Combes, A.D.; Palma, C.A.; Calopedos, R.; Wen, L.; Woo, H.; Fulham, M.; Leslie, S. PSMA PET-CT in the Diagnosis and Staging of Prostate Cancer. Diagnostics 2022, 12, 2594. [Google Scholar] [CrossRef]
- Kuten, J.; Mabjeesh, N.J.; Lerman, H.; Levine, C.; Barnes, S.; Even-Sapir, E. Ga-PSMA PET/CT Staging of Newly Diagnosed Intermediate- and High-Risk Prostate Cancer. Isr. Med. Assoc. J. 2019, 21, 100–104. [Google Scholar]
- Lievens, Y.; Guckenberger, M.; Gomez, D.; Hoyer, M.; Iyengar, P.; Kindts, I.; Méndez Romero, A.; Nevens, D.; Palma, D.; Park, C.; et al. Defining oligometastatic disease from a radiation oncology perspective: An ESTRO-ASTRO consensus document. Radiother. Oncol. 2020, 148, 157–166. [Google Scholar] [CrossRef]
- Davidson, T.; Kedmi, M.; Avigdor, A.; Komisar, O.; Chikman, B.; Lidar, M.; Goshen, E.; Tzila Zwas, S.; Ben-Haim, S. FDG PET-CT evaluation in neurolymphomatosis: Imaging characteristics and clinical outcomes. Leuk. Lymphoma 2018, 59, 348–356. [Google Scholar] [CrossRef] [PubMed]
- Davidson, T.; Lotan, E.; Klang, E.; Nissan, J.; Goldstein, J.; Goshen, E.; Ben-Haim, S.; Apter, S.; Chikman, B. Fat necrosis after abdominal surgery: A pitfall in interpretation of FDG-PET/CT. Eur. Radiol. 2018, 28, 2264–2272. [Google Scholar] [CrossRef] [PubMed]
- Davidson, T.; Priel, E.; Schiby, G.; Raskin, S.; Chikman, B.; Nissan, E.; Benjamini, O.; Nissan, J.; Goshen, E.; Ben-Haim, S.; et al. Low rate of spleen involvement in sporadic Burkitt lymphoma at staging on PET-CT. Abdom. Radiol. 2018, 43, 2369–2374. [Google Scholar] [CrossRef] [PubMed]
- Mao, Y.; Hedgire, S.; Prapruttam, D.; Harisinghani, M. Imaging of Pelvic Lymph Nodes. Curr. Radiol. Rep. 2014, 2, 1–13. [Google Scholar] [CrossRef][Green Version]
- Perera, M.; Papa, N.; Christidis, D.; Wetherell, D.; Hofman, M.S.; Murphy, D.G.; Bolton, D.; Lawrentschuk, N. Sensitivity, specificity, and predictors of positive 68Ga-prostate-specific membrane antigen positron emission tomography in advanced prostate cancer: A systematic review and meta-analysis. Eur. Urol. 2016, 70, 926–937. [Google Scholar] [CrossRef] [PubMed]
- Hofman, M.S.; Lawrentschuk, N.; Francis, R.J.; Tang, C.; Vela, I.; Thomas, P.; Rutherford, N.; Martin, J.M.; Frydenberg, M.; Shakher, R.; et al. Prostate-specific membrane antigen PET-CT in patients with high-risk prostate cancer before curative-intent surgery or radiotherapy (proPSMA): A prospective, randomised, multicentre study. Lancet 2020, 395, 1208–1216. [Google Scholar] [CrossRef] [PubMed]
- Keidar, Z.; Gill, R.; Goshen, E.; Israel, O.; Davidson, T.; Morgulis, M.; Pirmisashvili, N.; Ben-Haim, S. 68Ga-PSMA PET/CT in prostate cancer patients-patterns of disease, benign findings and pitfalls. Cancer Imaging 2018, 18, 39. [Google Scholar] [CrossRef]
- Emmett, L.; van Leeuwen, P.J.; Nandurkar, R.; Scheltema, M.J.; Cusick, T.; Hruby, G.; Kneebone, A.; Eade, T.; Fogarty, G.; Jagavkar, R.; et al. Treatment Outcomes from 68Ga-PSMA PET/CT-Informed Salvage Radiation Treatment in Men with Rising PSA After Radical Prostatectomy: Prognostic Value of a Negative PSMA PET. J. Nucl. Med. 2017, 58, 1972–1976. [Google Scholar] [CrossRef]
- Fendler, W.P.; Calais, J.; Eiber, M.; Flavell, R.R.; Mishoe, A.; Feng, F.Y.; Nguyen, H.G.; Reiter, R.E.; Rettig, M.B.; Okamoto, S.; et al. Assessment of 68Ga-PSMA-11 PET Accuracy in Localizing Recurrent Prostate Cancer: A Prospective Single-Arm Clinical Trial. JAMA. Oncol. 2019, 5, 856–863. [Google Scholar] [CrossRef]
- Kranzbühler, B.; Müller, J.; Becker, A.S.; Garcia Schüler, H.I.; Muehlematter, U.; Fankhauser, C.D.; Kedzia, S.; Guckenberger, M.; Kaufmann, P.A.; Eberli, D.; et al. Detection Rate and Localization of Prostate Cancer Recurrence Using 68Ga-PSMA-11 PET/MRI in Patients with Low PSA Values ≤ 0.5 ng/mL. J. Nucl. Med. 2020, 61, 194–201. [Google Scholar] [CrossRef]
- Donswijk, M.L.; van Leeuwen, P.J.; Vegt, E.; Cheung, Z.; Heijmink, S.; van der Poel, H.G.; Stokkel, M. Clinical impact of PSMA PET/CT in primary prostate cancer compared to conventional nodal and distant staging: A retrospective single center study. BMC Cancer 2020, 20, 723. [Google Scholar] [CrossRef] [PubMed]
- Demirci, E.; Kabasakal, L.; Şahin, O.E.; Akgün, E.; Gültekin, M.H.; Doğanca, T.; Tuna, M.B.; Öbek, C.; Kiliç, M.; Esen, T.; et al. Can SUVmax values of Ga-68-PSMA PET/CT scan predict the clinically significant prostate cancer? Nucl. Med. Commun. 2019, 40, 86–91. [Google Scholar] [CrossRef] [PubMed]
- Oehus, A.K.; Kroeze, S.G.C.; Schmidt-Hegemann, N.S.; Vogel, M.; Kirste, S.; Becker, J.; Burger, I.A.; Derlin, T.; Bartenstein, P.; Eiber, M.; et al. Efficacy of PSMA ligand PET-based radiotherapy for recurrent prostate cancer after radical prostatectomy and salvage radiotherapy. BMC Cancer 2020, 20, 362. [Google Scholar] [CrossRef]
- Maurer, T.; Gschwend, J.E.; Rauscher, I.; Souvatzoglou, M.; Haller, B.; Weirich, G.; Wester, H.J.; Heck, M.; Kübler, H.; Beer, A.J.; et al. Diagnostic efficacy of gallium-PSMA positron emission tomography compared to conventional imaging in lymph node staging of 130 consecutive patients with intermediate to high risk prostate cancer. J. Urol. 2016, 195, 1436–1443. [Google Scholar] [CrossRef] [PubMed]
- Van Leeuwen, P.J.; Emmett, L.; Ho, B.; Delprado, W.; Ting, F.; Nguyen, Q.; Stricker, P.D. Prospective evaluation of 68Gallium-prostate-specific membrane antigen positron emission tomography/computed tomography for preoperative lymph node staging in prostate cancer. BJU Int. 2017, 119, 209–215. [Google Scholar] [CrossRef]
- Calais, J.; Czernin, J.; Cao, M.; Kishan, A.U.; Hegde, J.V.; Shaverdian, N.; Sandler, K.; Chu, F.I.; King, C.R.; Steinberg, M.L.; et al. 68Ga-PSMA-11 PET/CT mapping of prostate Cancer biochemical recurrence after radical prostatectomy in 270 patients with a PSA level of less than 1.0 ng/mL: Impact on salvage radiotherapy planning. J. Nucl. Med. 2018, 59, 230–237. [Google Scholar] [CrossRef] [PubMed]
- Brand, D.H.; Parker, J.I.; Dearnaley, D.P.; Eeles, R.; Huddart, R.; Khoo, V.; Murray, J.; Suh, Y.E.; Tree, A.C.; van As, N.; et al. Patterns of recurrence after prostate bed radiotherapy. Radiother. Oncol. 2019, 141, 174–180. [Google Scholar] [CrossRef]
- Van Leeuwen, P.J.; Stricker, P.; Hruby, G.; Kneebone, A.; Ting, F.; Thompson, B.; Nguyen, Q.; Ho, B.; Emmett, L. (68) Ga-PSMA has a high detection rate of prostate cancer recurrence outside the prostatic fossa in patients being considered for salvage radiation treatment. BJU Int. 2016, 117, 732–739. [Google Scholar] [CrossRef]
- Bergamin, S.; Eade, T.; Kneebone, A.; Booth, J.; Hsiao, E.; Schembri, G.P.; Szymura, K.; Le, A.; Kwong, C.; Brown, C.; et al. Interim Results of a Prospective Prostate-Specific Membrane Antigen-Directed Focal Stereotactic Reirradiation Trial for Locally Recurrent Prostate Cancer. Int. J. Radiat. Oncol. Biol. Phys. 2020, 108, 1172–1178. [Google Scholar] [CrossRef]
- Pesce, G.A.; Clivio, A.; Cozzi, L.; Nicolini, G.; Richetti, A.; Salati, E.; Valli, M.; Vanetti, E.; Fogliata, A. Early clinical experience of radiotherapy of prostate cancer with volumetric modulated arc therapy. Radiat. Oncol. 2010, 5, 54. [Google Scholar] [CrossRef]
- Beckendorf, V.; Guerif, S.; Le Prisé, E.; Cosset, J.M.; Bougnoux, A.; Chauvet, B.; Salem, N.; Chapet, O.; Bourdain, S.; Bachaud, J.M.; et al. 70 Gy versus 80 Gy in localized prostate cancer: 5-year results of GETUG 06 randomized trial. Int. J. Radiat. Oncol. Biol. Phys. 2011, 80, 1056–1063. [Google Scholar] [CrossRef] [PubMed]
- Decaestecker, K.; De Meerleer, G.; Lambert, B.; Delrue, L.; Fonteyne, V.; Claeys, T.; De Vos, F.; Huysse, W.; Hautekiet, A.; Maes, G.; et al. Repeated stereotactic body radiotherapy for oligometastatic prostate cancer recurrence. Radiat. Oncol. 2014, 9, 135. [Google Scholar] [CrossRef] [PubMed]
- Koerber, S.A.; Sprute, K.; Kratochwil, C.; Winter, E.; Haefner, M.F.; Katayama, S.; Schlampp, I.; Herfarth, K.; Kopka, K.; Afshar-Oromieh, A.; et al. Clinical outcome of PSMA-guided radiotherapy for patients with oligorecurrent prostate cancer. Eur. J. Nucl. Med. Mol. Imaging 2021, 48, 143–151. [Google Scholar] [CrossRef] [PubMed]






| Mean Age at Diagnosis (y) | 70.7 ± 7.1 | ||||
| No. (%) who Underwent Prostatectomy | 43 (48.1%) | ||||
| Mean Gleason Score | 7.4 ± 1.1 | ||||
| Grade Group | 1 | 2 | 3 | 4 | 5 |
| No. (%) | 27 (23.8) | 25 (22.1) | 18 (15.9) | 19 (16.8) | 24 (21.2) |
| Initial RT Type 1 | RA | 3D-CRT | IMRT | SBRT 2 | BT |
| No. (%) | 48 (45.3) | 13 (12.2) | 10 (9.4) | 25 (23.6) | 10 (9.4) |
| Mean PSA at Relapse 3 | 3.7 ± 9.5 | ||||
| Site | No. of Men | Mean SUVmax 1 | Mean Lesion Size (mm) 1 | No. Accompanied by LN |
|---|---|---|---|---|
| Isolated pelvic LAD | 43 | 11.0 ± 11.5 | 1.0 ± 0.3 | n/a |
| Prostate | 37 | 10.0 ± 6.4 | 2.1 ± 1.1 | 11 |
| SV | 23 | 8.6 ± 5.9 | 0.5 ± 0.5 | 7 |
| Pelvic bones | 16 | 14.2 ± 18.2 | 2.0 ± 1.0 | 2 |
| PF | 7 | 5.8 ± 5.6 | 1.4 ± 0.4 | 2 |
| SVF | 3 | 6.0 ± 1.6 | 1.3 ± 0.4 | 1 |
| Other 2 | 6 | 8.0 ± 3.2 | 1.3 ± 0.4 | 2 |
Disclaimer/Publisher’s Note: The statements, opinions and data contained in all publications are solely those of the individual author(s) and contributor(s) and not of MDPI and/or the editor(s). MDPI and/or the editor(s) disclaim responsibility for any injury to people or property resulting from any ideas, methods, instructions or products referred to in the content. |
© 2022 by the authors. Licensee MDPI, Basel, Switzerland. This article is an open access article distributed under the terms and conditions of the Creative Commons Attribution (CC BY) license (https://creativecommons.org/licenses/by/4.0/).
Share and Cite
Ben Shimol, J.; Lewin, R.; Symon, Z.; Rosenzweig, B.; Leibowitz-Amit, R.; Eshet, Y.; Domachevsky, L.; Davidson, T. The Utility of 68Ga-PSMA PET/CT in Decisions Regarding Administering Salvage Radiotherapy to Men with Prostate Cancer. Int. J. Environ. Res. Public Health 2023, 20, 537. https://doi.org/10.3390/ijerph20010537
Ben Shimol J, Lewin R, Symon Z, Rosenzweig B, Leibowitz-Amit R, Eshet Y, Domachevsky L, Davidson T. The Utility of 68Ga-PSMA PET/CT in Decisions Regarding Administering Salvage Radiotherapy to Men with Prostate Cancer. International Journal of Environmental Research and Public Health. 2023; 20(1):537. https://doi.org/10.3390/ijerph20010537
Chicago/Turabian StyleBen Shimol, Jennifer, Ron Lewin, Zvi Symon, Barak Rosenzweig, Raya Leibowitz-Amit, Yael Eshet, Liran Domachevsky, and Tima Davidson. 2023. "The Utility of 68Ga-PSMA PET/CT in Decisions Regarding Administering Salvage Radiotherapy to Men with Prostate Cancer" International Journal of Environmental Research and Public Health 20, no. 1: 537. https://doi.org/10.3390/ijerph20010537
APA StyleBen Shimol, J., Lewin, R., Symon, Z., Rosenzweig, B., Leibowitz-Amit, R., Eshet, Y., Domachevsky, L., & Davidson, T. (2023). The Utility of 68Ga-PSMA PET/CT in Decisions Regarding Administering Salvage Radiotherapy to Men with Prostate Cancer. International Journal of Environmental Research and Public Health, 20(1), 537. https://doi.org/10.3390/ijerph20010537

