Placental Cyclophilin A Expression in Pregnancies Complicated with Hypertension
Abstract
:1. Introduction
2. Materials and Methods
2.1. CyPA Immunohistochemistry
2.2. CyPA Immunostaining Analysis
2.3. Statistical Analysis
3. Results
3.1. Maternal Clinical Characteristics
3.2. Adverse Perinatal Outcomes between Hypertensive and Normotensive Mothers
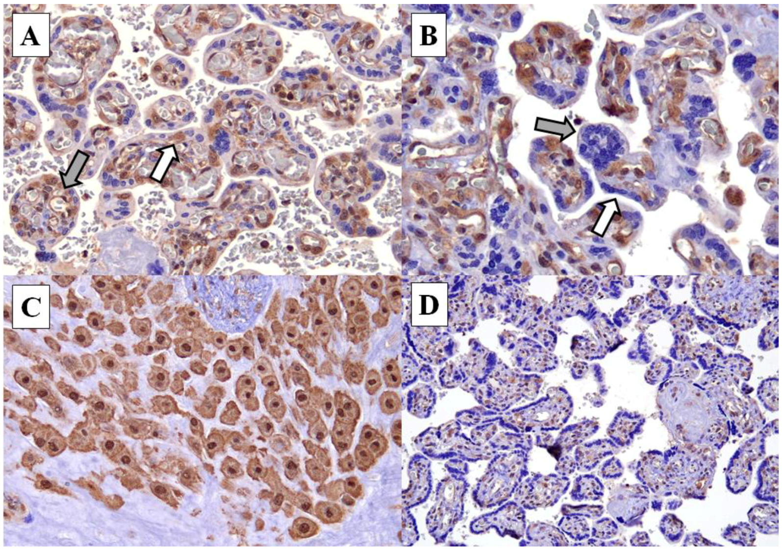
3.3. Cyclophilin A Expression in Different Types of Placental Cells
3.4. Cyclophilin A Expression with Maternal Complications and Adverse Perinatal Outcomes in Hypertensive Disorders of Pregnancy
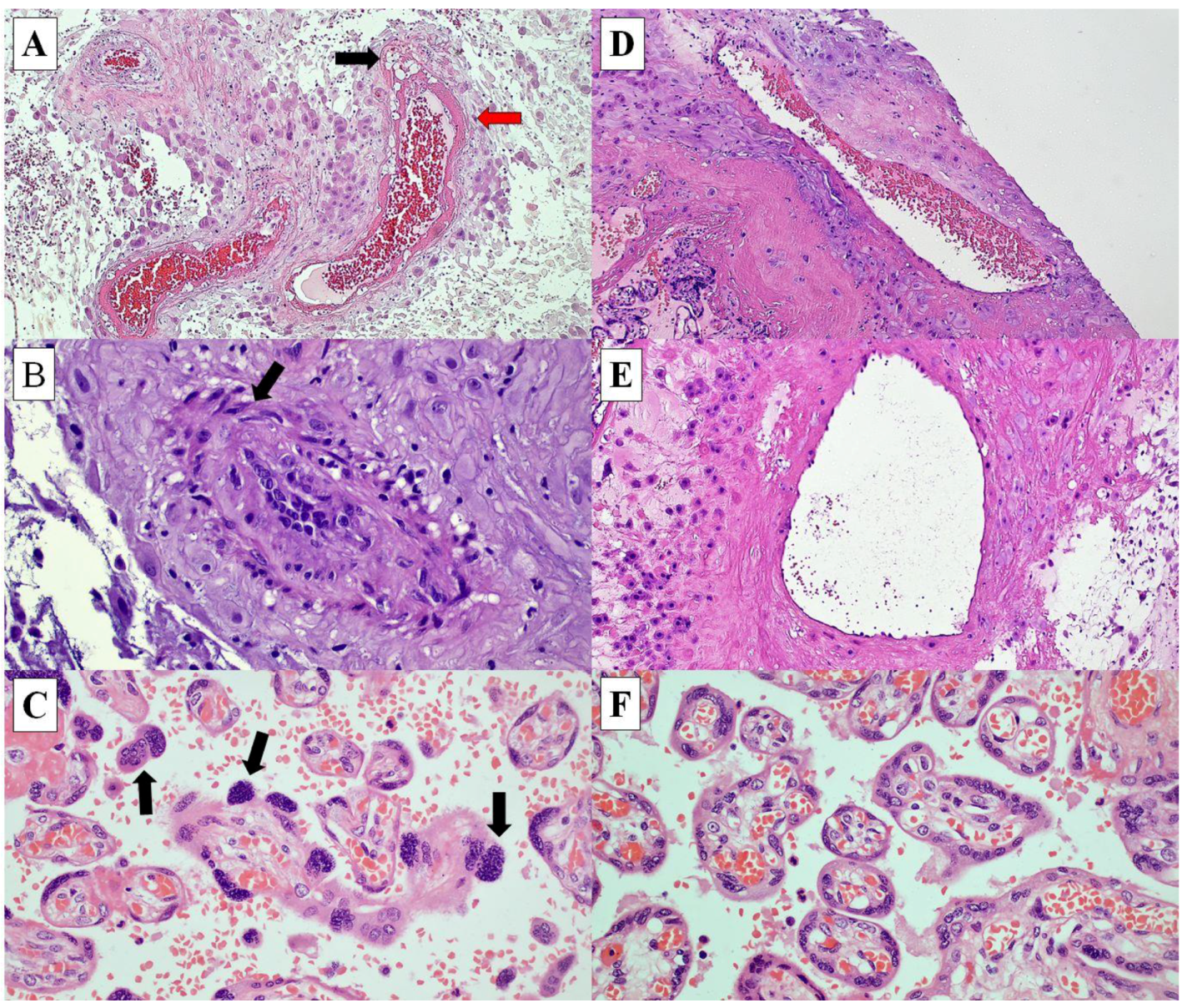
3.5. Cyclophilin A and Placental Histological Changes Related to Hypertension
4. Discussion
5. Conclusions
Supplementary Materials
Author Contributions
Funding
Institutional Review Board Statement
Informed Consent Statement
Data Availability Statement
Acknowledgments
Conflicts of Interest
References
- Bello, N.A.; Zhou, H.; Cheetham, T.C.; Miller, E.; Getahun, D.T.; Fassett, M.J.; Reynolds, K. Prevalence of Hypertension Among Pregnant Women When Using the 2017 American College of Cardiology/American Heart Association Blood Pressure Guidelines and Association With Maternal and Fetal Outcomes. JAMA Netw. Open 2021, 4, e213808. [Google Scholar] [CrossRef] [PubMed]
- Webster, K.; Fishburn, S.; Maresh, M.; Findlay, S.C.; Chappell, L.C.; Guideline Committee. Diagnosis and management of hypertension in pregnancy: Summary of updated NICE guidance. BMJ 2019, 366, l5119. [Google Scholar] [CrossRef] [PubMed]
- Gestational Hypertension and Preeclampsia: ACOG Practice Bulletin, Number 222. Obs. Gynecol 2020, 135, e237–e260. [CrossRef] [PubMed]
- Rana, S.; Lemoine, E.; Granger, J.P.; Karumanchi, S.A. Preeclampsia: Pathophysiology, Challenges, and Perspectives. Circ. Res. 2019, 124, 1094–1112. [Google Scholar] [CrossRef]
- Braunthal, S.; Brateanu, A. Hypertension in pregnancy: Pathophysiology and treatment. SAGE Open Med. 2019, 7, 2050312119843700. [Google Scholar] [CrossRef] [Green Version]
- Azliana, A.F.; Zainul-Rashid, M.R.; Chandramaya, S.F.; Farouk, W.I.; Nurwardah, A.; Wong, Y.P.; Tan, G.C. Vascular endothelial growth factor expression in placenta of hypertensive disorder in pregnancy. Indian J. Pathol. Microbiol. 2017, 60, 515–520. [Google Scholar]
- Chew, B.S.; Ghazali, R.; Othman, H.; Ismail, N.; Othman, A.S.; Laim, N.; Wong, Y.P.; Tan, G.C. Endocan expression in placenta of women with hypertension. J. Obs. Gynaecol Res. 2019, 45, 345–351. [Google Scholar] [CrossRef]
- Hu, H.; Jiang, J.; Chen, Q.; Wei, S.; Liu, M.; Chen, X.; Fan, C.; Ma, J.; Chen, W.; Wang, X.; et al. Cyclophilin A inhibits trophoblast migration and invasion in vitro and vivo through p38/ERK/JNK pathways and causes features of preeclampsia in mice. Life Sci. 2020, 261, 118351. [Google Scholar] [CrossRef]
- Xue, C.; Sowden, M.P.; Berk, B.C. Extracellular and Intracellular Cyclophilin A, Native and Post-Translationally Modified, Show Diverse and Specific Pathological Roles in Diseases. Arterioscler. Thromb. Vasc. Biol. 2018, 38, 986–993. [Google Scholar] [CrossRef] [Green Version]
- Chang, C.S.; Su, S.L.; Chang, C.C.; Lee, K.W.; Kuo, C.L.; Huang, C.S.; Tseng, W.M.; Liu, C.S. Cyclophilin-A: A novel biomarker for untreated male essential hypertension. Biomarkers 2013, 18, 716–720. [Google Scholar] [CrossRef]
- Heinzmann, D.; Bangert, A.; Müller, A.M.; von Ungern-Sternberg, S.N.; Emschermann, F.; Schönberger, T.; Chatterjee, M.; Mack, A.F.; Klingel, K.; Kandolf, R.; et al. The Novel Extracellular Cyclophilin A (CyPA)—Inhibitor MM284 Reduces Myocardial Inflammation and Remodeling in a Mouse Model of Troponin I -Induced Myocarditis. PLoS ONE 2015, 10, e0124606. [Google Scholar] [CrossRef] [PubMed] [Green Version]
- Satoh, K.; Shimokawa, H.; Berk, B.C. Cyclophilin A: Promising new target in cardiovascular therapy. Circ. J. 2010, 74, 2249–2256. [Google Scholar] [CrossRef] [PubMed] [Green Version]
- Wang, Z.H.; Sun, S.Y.; Chen, Q.N.; Li, Y.Y.; Cai, X.H. The first-trimester maternal serum cyclophilin A concentrations in women with complicated pregnancy as preeeclampsia. Clin. Chim. Acta 2018, 484, 105–110. [Google Scholar] [CrossRef] [PubMed]
- Celik, S.; Soyer Çalışkan, C. Predictive value of early second trimester maternal serum cyclophilin A concentrations in women complicated with preeclampsia: A preliminary case-control study. Hypertens. Pregnancy 2020, 39, 387–392. [Google Scholar] [CrossRef]
- Wibowo, N.; Kurniawan, R.H.; Irwinda, R.; Prameswari, N. Maternal and cord blood cyclophilin A in severe preeclampsia and normal pregnancy and its correlation with vitamin D and zinc. Hypertens. Pregnancy 2017, 36, 283–287. [Google Scholar] [CrossRef]
- Sun, W.; Xu, Y.; Xin, Q.; Zhang, Y.; Cui, B.; Hong, F. Association between polymorphism in Cyclophilin A gene and its serum and placental expression in Han Chinese women with severe preeclampsia. Hypertens. Pregnancy 2019, 15, 84–92. [Google Scholar] [CrossRef]
- Meier, U.; Beier-Hellwig, K.; Klug, J.; Linder, D.; Beier, H.M. Identification of cyclophilin A from human decidual and placental tissue in the first trimester of pregnancy. Hum. Reprod. 1995, 10, 1305–1310. [Google Scholar] [CrossRef]
- Wong, Y.P.; Khong, T.Y.; Tan, G.C. The Effects of COVID-19 on Placenta and Pregnancy: What Do We Know So Far? Diagnostics 2021, 11, 94. [Google Scholar] [CrossRef]
- Wong, Y.P.; Cheah, F.C.; Wong, K.K.; Shah, S.A.; Phon, S.E.; Ng, B.K.; Lim, P.S.; Khong, T.Y.; Tan, G.C. Gardnerella vaginalis infection in pregnancy: Effects on placental development and neonatal outcomes. Placenta 2022, 120, 79–87. [Google Scholar] [CrossRef]
- Wong, Y.P.; Wagiman, N.; Tan, J.W.D.; Hanim, B.S.; Rashidan, M.S.H.; Fong, K.M.; Norhazli, N.N.; Qrisha, Y.; Shah, R.N.R.A.; Mustangin, M.; et al. Loss of CXC-Chemokine Receptor 1 Expression in Chorioamnionitis Is Associated with Adverse Perinatal Outcomes. Diagnostics 2022, 12, 882. [Google Scholar] [CrossRef]
- Kim, Y.M.; Chaemsaithong, P.; Romero, R.; Shaman, M.; Kim, C.J.; Kim, J.S.; Qureshi, F.; Jacques, S.M.; Ahmed, A.I.; Chaiworapongsa, T.; et al. The frequency of acute atherosis in normal pregnancy and preterm labor, preeclampsia, small-for-gestational age, fetal death and midtrimester spontaneous abortion. J. Matern.-Fetal Neonatal Med. 2015, 28, 2001–2009. [Google Scholar] [CrossRef] [Green Version]


| Maternal Clinical Parameters | Hypertensive n (%) | Normotensive n (%) | p Value |
|---|---|---|---|
| Age | |||
| <35 years old | 26 (74.3) | 29 (82.9) | 0.56 |
| >35 years old | 9 (25.7) | 6 (17.1) | |
| Gestational age ⸸ | |||
| Range (weeks) | 26–40 | 37–41 | |
| Mean (weeks) | 35.1 | 38.8 | <0.0001 * |
| Median (weeks) | 36 | 39 | |
| SD | 4.0 | 1.2 | |
| Hypertension in previous pregnancy | |||
| Yes | 4 (11.4) | 0 (0) | 0.11 |
| No | 31 (88.6) | 35 (100) | |
| Type of delivery | |||
| SVD | 5 (14.3) | 28 (80.0) | <0.0001 * |
| Lower segment caesarean section | 30 (85.7) | 6 (17.1) | |
| Instrumental (forceps/vacuum) | 0 (0.0) | 1 (2.9) | |
| Adverse perinatal outcomes | |||
| Stillbirth | |||
| Yes | 34 (97.1) | 35 (100) | 0.314 |
| No | 1 (2.9) | 0 (0) | |
| Prematurity | |||
| Yes | 20 (57.1) | 1 (2.9) | <0.001 * |
| No | 15 (42.9) | 34 (97.1) | |
| APGAR score at 1 min | |||
| ≥7 | 26 (74.3) | 35 (100) | 0.001 * |
| <7 | 9 (25.7) | 0 (0) | |
| APGAR score at 5 min | |||
| ≥7 | 31(88.6) | 35 (100) | 0.039 * |
| <7 | 4 (11.4) | 0 (0) | |
| Admission to nicu | |||
| Yes | 17 (48.6) | 0 (0) | <0.001 * |
| No | 18 (51.4) | 35 (100) |
| Placental Cell Types | Cyclophilin A Expression | Hypertensive (n = 35) (%) | Normotensive (n = 35) (%) | p Value |
|---|---|---|---|---|
| Fetal endothelial cells | Positive | 18 (51.4) | 10 (28.6) | 0.0869 |
| Negative | 17 (48.6) | 25 (71.4) | ||
| Cytotrophoblast | Positive | 18 (51.4) | 10 (28.6) | 0.0869 |
| Negative | 17 (48.6) | 25 (71.4) | ||
| Maternal endothelial cells | Positive | 22 (62.9) | 20 (57.1) | 0.235 |
| Negative | 10 (28.4) | 7 (20.0) | ||
| NA | 3 (8.6) | 8 (22.9) | ||
| Syncytiotrophoblast | Positive | 0 | 0 | 1.0 |
| Negative | 35 | 35 | ||
| Decidual cells | Positive | 35 | 35 | 1.0 |
| Negative | 0 | 0 |
| Cyclophilin A Expression | ||||||||||
|---|---|---|---|---|---|---|---|---|---|---|
| Maternal Complications | Fetal Endothelial Cells | p Value | Cytotrophoblasts | p Value | Maternal Endothelial Cells | p Value | ||||
| Positive n (%) | Negative n (%) | Positive n (%) | Negative n (%) | Positive n (%) | Negative n (%) | NA | ||||
| Eclampsia | ||||||||||
| Yes | 1 (50) | 1 (50) | 0.4101 | 1 (50) | 1 (50) | 0.4101 | 2 (100) | 0 (0) | 0 (0) | 1.0 |
| No | 26 (78.8) | 7 (21.2) | 26 (78.8) | 7 (21,2) | 26 (78.8) | 4 (12.2) | 3 (10.0) | |||
| Acute kidney injury | ||||||||||
| Yes | 0 (0.0) | 1 (100) | 0.2286 | 0 (0.0) | 1 (100) | 0.2286 | 1 (100) | 0 (0) | 0 (0) | 1.0 |
| No | 27 (79.4) | 7 (20.6) | 27 (79.4) | 7 (20.6) | 27 (79.4) | 4 (11.8) | 3 (8.8) | |||
| HELPP | ||||||||||
| Yes | 2 (100) | 0 (0.0) | 1.0 | 2 (100) | 0 (0.0) | 1.0 | 1 (50.0) | 0 (0) | 1 (50.0) | 1.0 |
| No | 25 (75.8) | 8 (24.2) | 25 (75.8) | 8 (24.2) | 27 (81.8) | 4 (12.1) | 2 (6.1) | |||
| Maternal mortality | ||||||||||
| Yes | 1 (100) | 0 (0.0) | 1.0 | 1 (100) | 0 (0.0) | 1.0 | 1 (100) | 0 (0) | 0 (0) | 1.0 |
| No | 26 (76.5) | 8 (23.5) | 26 (76.5) | 8 (23.5) | 27 (79.4) | 4 (11.8) | 3 (8.8) | |||
| Adverse perinatal outcomes | ||||||||||
| Stillbirth | ||||||||||
| Yes | 1 (3.7) | 0 (0.0) | 1.0 | 1 (3.7) | 0 (0.0) | 1.0 | 1 (3.6) | 0 (0.0) | 0 (0.0) | 1.0 |
| No | 26 (76.5) | 8 (23.5) | 26 (76.5) | 8 (23.5) | 27 (79.4) | 4 (11.8) | 3 (8.8) | |||
| Prematurity | ||||||||||
| Yes | 15 (75.0) | 5 (25.0) | 1.0 | 15 (75.0) | 5 (25.0) | 1.0 | 16 (80.0) | 3 (15.0) | 1 (5.0) | 0.545 |
| No | 12 (80.0) | 3 (20.0) | 12 (80.0) | 3 (20.0) | 12 (80.0) | 1 (6.7) | 2 (13.3) | |||
| APGAR score at 1 min | ||||||||||
| ≥7 | 18 (69.2) | 8 (30.8) | 0.0815 | 18 (69.2) | 8 (30.8) | 0.0815 | 22 (84.6) | 3 (11.5) | 1 (3.9) | 1.0 |
| <7 | 9 (100) | 0 (0) | 9 (100) | 0 (0) | 6 (66.7) | 1 (11.1) | 2 (22.2) | |||
| APGAR score at 5 min | ||||||||||
| ≥7 | 23 (74.2) | 8 (34.8) | 0.5531 | 23 (74.2) | 8 (34.8) | 0.5531 | 26 (83.9) | 3 (9.7) | 2 (6.5) | 0.3395 |
| <7 | 4 (100) | 0 (0) | 4 (100) | 0 (0) | 2 (50.0) | 1 (25.0) | 1 (25.0) | |||
| Admission to nicu | ||||||||||
| Yes | 12 (70.6) | 5 (29.4) | 0.4430 | 12 (70.6) | 5 (29.4) | 0.4430 | 14 (82.4) | 2 (11.8) | 1 (5.8) | 1.0 |
| No | 15 (83.3) | 3 (16.7) | 15 (83.3) | 3 (16.7) | 14 (77.8) | 2 (11.1) | 2 (11.1) | |||
| Cyclophilin A Expression | ||||||||||
|---|---|---|---|---|---|---|---|---|---|---|
| Fetal Endothelial Cells | p Value | Cytotrophoblasts | p Value | Maternal Endothelial Cells | p Value | |||||
| Positive n (%) | Negative n (%) | Positive n (%) | Negative n (%) | Positive n (%) | Negative n (%) | NA | ||||
| Acute atherosis | ||||||||||
| Yes | 8 (80.0) | 2 (20.0) | 1.0 | 8 (80.0) | 2 (20.0) | 1.0 | 8 (80.0) | 1 (10.0) | 1 (10.0) | 1.0 |
| No | 19 (76.0) | 6 (24.0) | 19 (76.0) | 6 (24.0) | 20 (71.4) | 3 (75.0) | 2 (66.7) | |||
| Retention of smooth muscles in the maternal wall | ||||||||||
| Yes | 6 (85.7) | 1 (14.2) | 1.0 | 6 (85.7) | 1 (14.2) | 1.0 | 4 (57.1) | 1 (14.3) | 2 (28.6) | 0.512 |
| No | 21 (75.0) | 7 (25.0) | 21 (75.0) | 7 (25.0) | 24 (85.7) | 3 (10.7) | 1 (3.6) | |||
| Increased syncytial knot formations | ||||||||||
| Yes | 19 (86.4) | 3 (13.6) | 0.1163 | 19 (86.4) | 3 (13.6) | 0.1163 | 16 (72.8) | 3 (13.6) | 3 (13.6) | 0.6291 |
| No | 8 (61.5) | 5 (38.5) | 8 (61.5) | 5 (38.5) | 12 (92.3) | 1 (7.7) | 0 | |||
Publisher’s Note: MDPI stays neutral with regard to jurisdictional claims in published maps and institutional affiliations. |
© 2022 by the authors. Licensee MDPI, Basel, Switzerland. This article is an open access article distributed under the terms and conditions of the Creative Commons Attribution (CC BY) license (https://creativecommons.org/licenses/by/4.0/).
Share and Cite
Shaaya, E.S.; Yahaya, A.; Mustangin, M.; Alfian, N.; Aizuddin, A.N.; Wong, Y.P.; Tan, G.C. Placental Cyclophilin A Expression in Pregnancies Complicated with Hypertension. Int. J. Environ. Res. Public Health 2022, 19, 5448. https://doi.org/10.3390/ijerph19095448
Shaaya ES, Yahaya A, Mustangin M, Alfian N, Aizuddin AN, Wong YP, Tan GC. Placental Cyclophilin A Expression in Pregnancies Complicated with Hypertension. International Journal of Environmental Research and Public Health. 2022; 19(9):5448. https://doi.org/10.3390/ijerph19095448
Chicago/Turabian StyleShaaya, Elia Shazniza, Azyani Yahaya, Muaatamarulain Mustangin, Nurwardah Alfian, Azimatun Noor Aizuddin, Yin Ping Wong, and Geok Chin Tan. 2022. "Placental Cyclophilin A Expression in Pregnancies Complicated with Hypertension" International Journal of Environmental Research and Public Health 19, no. 9: 5448. https://doi.org/10.3390/ijerph19095448
APA StyleShaaya, E. S., Yahaya, A., Mustangin, M., Alfian, N., Aizuddin, A. N., Wong, Y. P., & Tan, G. C. (2022). Placental Cyclophilin A Expression in Pregnancies Complicated with Hypertension. International Journal of Environmental Research and Public Health, 19(9), 5448. https://doi.org/10.3390/ijerph19095448

