Challenges in Diagnosis and Prevention of Iatrogenic Endometriosis as a Long-Term Surgical Complication after C-Section
Abstract
:1. Introduction
2. Materials and Methods
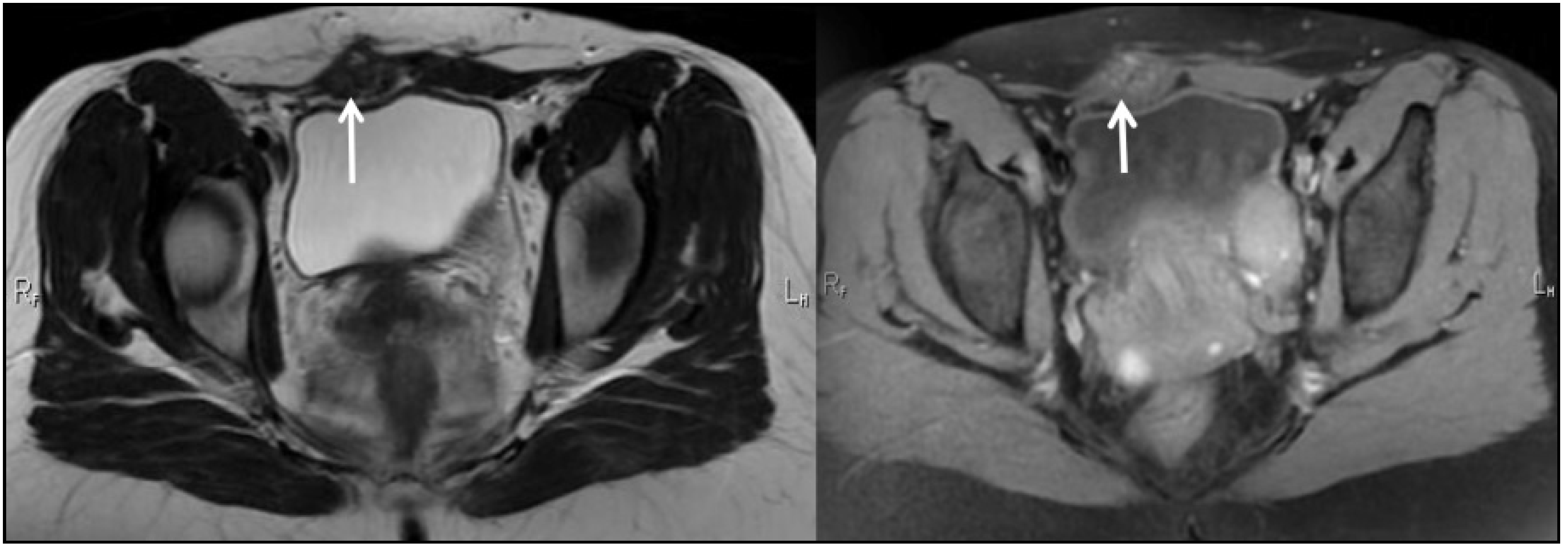
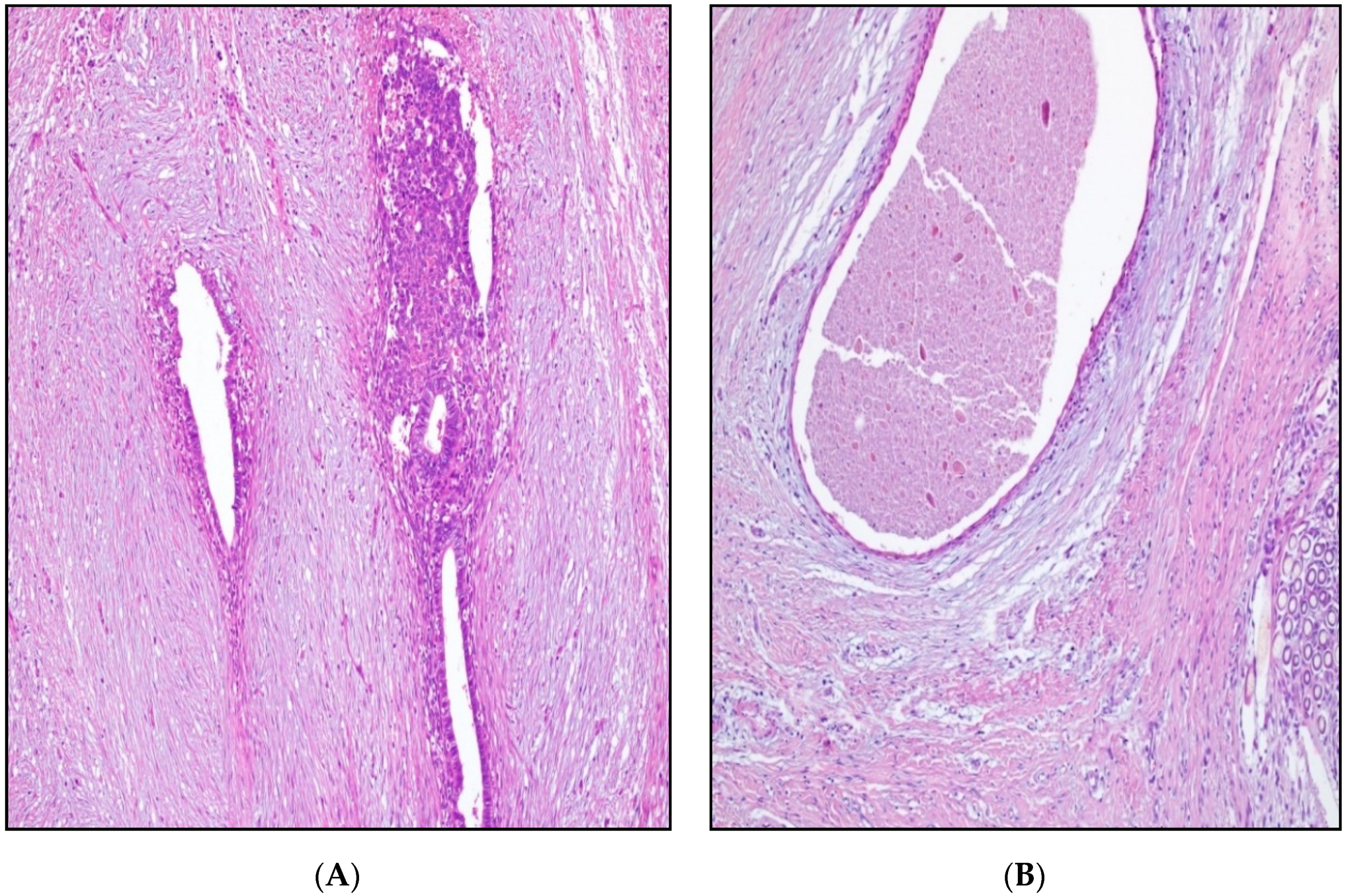
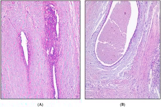
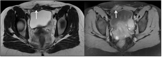
3. Results
4. Discussion
5. Conclusions
Author Contributions
Funding
Institutional Review Board Statement
Informed Consent Statement
Data Availability Statement
Conflicts of Interest
References
- Cubuk, A.; Ozkaptan, O.; Neymeyer, J. Iatrogenic endometriosis following apical pelvic organ prolapse surgery: A case report. J. Med. Case Rep. 2020, 14, 3. [Google Scholar] [CrossRef] [PubMed]
- Zhang, P.; Sun, Y.; Zhang, C.; Yang, Y.; Zhang, L.; Wang, N.; Xu, H. Cesarean scar endometriosis: Presentation of 198 cases and literature review. BMC Women’s Health 2019, 19, 14. [Google Scholar] [CrossRef]
- Kapoor, R.; Stratopoulou, C.A.; Dolmans, M.-M. Pathogenesis of Endometriosis: New Insights into Prospective Therapies. Int. J. Mol. Sci. 2021, 22, 11700. [Google Scholar] [CrossRef] [PubMed]
- Doroftei, B.; Maftei, R.; Ilie, O.-D.; Simionescu, G.; Anton, E.; Armeanu, T.; Dabuleanu, A.-M.; Mihalceanu, E.; Condac, C.; Ilea, C. Transvaginal Ultrasound as a First-Line Approach in Deep Endometriosis: A Pictorial Essay. Diagnostics 2021, 11, 444. [Google Scholar] [CrossRef]
- Hudelist, G.; Ballard, K.; English, J.; Wright, J.; Banerjee, S.; Mastoroudes, H.; Thomas, A.; Singer, C.F.; Keckstein, J. Transvaginal sonography vs. clinical examination in the preoperative diagnosis of deep infiltrating endometriosis. Ultrasound Obstet. Gynecol. 2011, 37, 480–487. [Google Scholar] [CrossRef] [PubMed]
- Practice Committee of the American Society for Reproductive Medicine. Treatment of pelvic pain associated with endometriosis: A committee opinion. Fertil. Steril. 2014, 101, 927–935. [Google Scholar] [CrossRef]
- Nawrocka-Rutkowska, J.; Szydłowska, I.; Rył, A.; Ciećwież, S.; Ptak, M.; Starczewski, A. Evaluation of the Diagnostic Accuracy of the Interview and Physical Examination in the Diagnosis of Endometriosis as the Cause of Chronic Pelvic Pain. Int. J. Environ. Res. Public Health 2021, 18, 6606. [Google Scholar] [CrossRef]
- Brandt, W.E. Genital tract: Radiographic imaging and MR. In Fundamentals of Diagnostic Radiology; Brandt, W.E., Helms, C.A., Eds.; Lippincott Williams and Wilkins: Philadelphia, PA, USA, 2007; Chapter 35; pp. 909–923. [Google Scholar]
- Kawahara, N.; Miyake, R.; Yamanaka, S.; Kobayashi, H. A Novel Predictive Tool for Discriminating Endometriosis Associated Ovarian Cancer from Ovarian Endometrioma: The R2 Predictive Index. Cancers 2021, 13, 3829. [Google Scholar] [CrossRef]
- Arnaoutoglou, C.; Variawa, R.S.; Zarogoulidis, P.; Ioannidis, A.; Machairiotis, N. Advances of Laparoscopy for the Diagnosis of Pelvic Congestion Syndrome. Medicina 2021, 57, 1041. [Google Scholar] [CrossRef]
- Kotowska, M.; Urbaniak, J.; Falęcki, W.J.; Łazarewicz, P.; Masiak, M.; Szymusik, I. Awareness of Endometriosis Symptoms—A Cross Sectional Survey among Polish Women. Int. J. Environ. Res. Public Health 2021, 18, 9919. [Google Scholar] [CrossRef]
- Hensen, J.-H.J.; Adriaan, C.; Van Breda, V.; Julien, B.C.M.P. Abdominal wall endometriosis: Clinical presentation and imaging features with emphasis on sonography. Am. J. Roentgenol. 2006, 186, 616–620. [Google Scholar] [CrossRef]
- Kill, L.M.; Kapetanakis, V.; McCullough, A.E.; Magrina, J.F. Progression of pelvic implants to complex atypical endometrial hyperplasia after uterine morcellation. Obstet. Gynecol. 2011, 117 Pt 2, 447–449. [Google Scholar]
- Schuster, M.W.; Wheeler, T.L.; Richter, H.E. Endometriosis after laparoscopic supracervical hysterectomy with uterine morcellation: A case control study. J. Minim. Invasive Gynecol. 2012, 19, 183–187. [Google Scholar] [CrossRef] [PubMed] [Green Version]
- Anglesio, M.S.; Yong, P.J. Endometriosis-associated ovarian cancers. Clin. Obstet. Gynecol. 2017, 60, 711–727. [Google Scholar] [CrossRef] [PubMed]
- Lac, V.; Verhoef, L.; Aguirre-Hernandez, R.; Nazeran, T.M.; Tessier-Cloutier, B.; Praetorius, T.; Orr, N.L.; Noga, H.; Lum, A.; Khattra, J.; et al. Iatrogenic endometriosis harbors somatic cancer-driver mutations. Hum. Reprod. 2019, 34, 69–78. [Google Scholar] [CrossRef]
- Rindos, N.B.; Mansuria, S. Diagnosis and management of abdominal wall endometriosis: A systematic review and clinical recommendations. Obstet. Gynecol. Surv. 2017, 72, 116–122. [Google Scholar] [CrossRef]
- Guo, S.-W. The Pathogenesis of Adenomyosis vis-à-vis Endometriosis. J. Clin. Med. 2020, 9, 485. [Google Scholar] [CrossRef] [Green Version]
- Yıldırım, D.; Tatar, C.; Doğan, O.; Hut, A.; Dönmez, T.; Akıncı, M.; Toptaş, M.; Bayık, R.N. Post-cesarean scar endometriosis. Turk. J. Obstet. Gynecol. 2018, 15, 33–38. [Google Scholar] [CrossRef]
- Robert, L.; Janet, T.; Elizabeth, S.; Jerry, S.; Christa, H.; Mansoor, N.; Konnie, Z.; Thomas, H.; Shane, K.; Saeid, M.-L. Guide to Specimen Handling in Surgical Pathology; Version 9.0; College of American Pathologists: Northfield, IL, USA, 2020. [Google Scholar]
- Chan, J.K. The wonderful colors of the hematoxylin-eosin stain in diagnostic surgical pathology. Int. J. Surg. Pathol. 2014, 22, 12–32. [Google Scholar] [CrossRef]
- Ostric, S.A.; Martin, W.J.; Kouris, G.J. Abdominal wall endometrioma found during abdominoplasty. Aesthetic Plast. Surg. 2006, 30, 249–250. [Google Scholar] [CrossRef]
- Farace, F.; Gallo, A.; Rubino, C.; Manca, A.; Campus, G.V. Endometriosis in a trocar tract: Is it really a rare condition? A case report. Minerva Chir. 2005, 55, 517–521. [Google Scholar]
- Gunes, M.; Kayikcioglu, F.; Ozturkoglu, E.; Haberal, A. Incisional endometriosis after Cesarean section, episiotomy, and other gynaecologic procedures. J. Obstet. Gynaecol. Res. 2005, 31, 471–475. [Google Scholar] [CrossRef]
- Scott, R.B.; Telinde, R.W. Clinical external endometriosis: Probable viability of menstrually shed fragments of endometrium. Obstet. Gynecol. 1954, 4, 502. [Google Scholar] [CrossRef]
- Fatimah, A.; Shaima, K.D.; Sherif, A. Skin Endometriosis at the Caesarean Section Scar: A Case Report and Review of the Literature. Cureus 2018, 10, e2063. [Google Scholar] [CrossRef] [Green Version]
- Wang, P.H.; Juang, C.M.; Chao, H.T.; Yu, K.J.; Yuan, C.C.; Ng, H.T. Wound endometriosis: Risk factor evaluation and treatment. J. Chin. Med. Assoc. 2003, 66, 113–119. [Google Scholar]
- Marras, S.; Pluchino, N.; Petignat, P.; Wenger, J.-M.; Ris, F.; Buchs, N.; Dubuisson, J. Abdominal wall endometriosis: An 11-year retrospective observational cohort study. Eur. J. Obstet. Gynecol. Reprod. Biol. X 2019, 4, 100096. [Google Scholar] [CrossRef]
- Zayyan, K.S.; Kazmi, N.T. Port site metastasis after laparoscopic assisted vaginal hysterectomy for endometrial cancer: Possible mechanism and prevention. Gynecol. Oncol. 1998, 70, 154. [Google Scholar] [CrossRef]
- Wang, P.H.; Yen, M.S.; Yuan, C.C.; Chao, K.C.; Ng, H.T.; Lee, W.L.; Chao, H.T. Port site metastasis after laparoscopic-assisted vaginal hysterectomy for endometrial cancer: Possible mecanisms and prevention. Gynecol. Oncol. 1997, 66, 151–156. [Google Scholar] [CrossRef]



| Characteristics | n = 71 (Frequency) | Mean ± SD |
|---|---|---|
| Patient age, years | 33.2 ± 5.4 | |
| Age at surgical intervention | 28.4 ± 7.2 | |
| Number of cesarean deliveries | ||
| 1 | 42 (59.2%) | |
| 2 | 18 (25.4%) | |
| >2 | 11 (15.4%) | |
| Type of incision | ||
| Pfannenstiel | 62 (87.3%) | |
| Classic (midline) | 9 (12.7%) | |
| Number of endometriomas | ||
| 1 | 14 (19.7%) | |
| >1 | 57 (80.3%) | |
| Location of the endometrioma | ||
| Abdominal incision site | 30 (42.2%) | |
| Distant from the incision site | 41 (57.8%) | |
| Location of endometrioma in the abdominal wall | ||
| Adipose layer | 9 (12.7%) | |
| Fascia layer | 40 (56.3%) | |
| Muscular layer | 15 (21.1%) | |
| Peritoneum | 4 (5.7%) | |
| Abdominal cavity | 3 (4.2%) | |
| Duration between c-section and symptoms, months | 27.5 ± 17.4 | |
| Duration between symptoms and treatment, months | 30.2 ± 15.9 | |
| Symptoms | ||
| Abdominal mass | 44 (61.9%) | |
| Cyclic pain | 62 (87.3%) | |
| Dysmenorrhea | 49 (69.1%) |
| Variables * | History of C-Section (n = 71) | No History of C-Section (n = 55) | p-Value |
|---|---|---|---|
| Age, mean ± SD | 33.2 ± 5.4 | 31.4 ± 6.4 | 0.089 |
| Gestations | 0.093 | ||
| 1 | 34 (47.9%) | 37 (67.2%) | |
| 2 | 23 (32.4%) | 11 (20.0%) | |
| >2 | 14 (19.7%) | 7 (12.8%) | |
| Pregnancies | 0.050 | ||
| 1 | 39 (54.9%) | 41 (74.5%) | |
| 2 | 25 (35.2%) | 9 (16.4%) | |
| >2 | 7 (9.9%) | 5 (9.1%) | |
| Contraceptive use | 22 (30.9%) | 12 (21.8%) | 0.250 |
| Uterine minimally invasive procedures | |||
| No procedures | 37 (52.1%) | 19 (34.5%) | 0.049 |
| Amniocentesis | 3 (4.2%) | 5 (9.1%) | 0.266 |
| Endometrial biopsy | 6 (8.4%) | 4 (7.2%) | 0.808 |
| Endometrial ablation | 5 (7.0%) | 2 (3.6%) | 0.407 |
| Uterine fibroid embolization | 1 (1.4%) | 2 (3.6%) | 0.415 |
| Hysteroscopy | 9 (12.6%) | 6 (10.9%) | 0.391 |
| Operative vaginal delivery | 10 (14.1%) | 8 (14.5%) | 0.941 |
| Curettage | 18 (25.3%) | 21 (38.2%) | 0.122 |
| Endometriosis foci features | |||
| Size (mm), mean ± SD | 32.2 ± 4.8 | 34.8 ± 5.5 | 0.005 |
| Weight (g), mean ± SD | 48.6 ± 7.0 | 53.1 ± 8.3 | 0.001 |
| Endometriosis foci position | |||
| Ovaries | 22 (30.9%) | 28 (50.9%) | 0.023 |
| Fallopian tubes | 16 (22.5%) | 17 (30.9%) | 0.289 |
| Uterosacral ligaments | 7 (9.9%) | 6 (10.9%) | 0.847 |
| Douglas pouch | 7 (9.9%) | 3 (5.4%) | 0.364 |
| Perimetrium | 6 (8.4%) | 2 (3.6%) | 0.517 |
| Rectum | 3 (4.2%) | - | - |
| Vagina | 3 (4.2%) | - | - |
| Abdominal wall | 30 (42.2%) | 3 (5.4%) | <0.001 |
| Peritoneum | 4 (5.7%) | 5 (9.1%) | 0.454 |
| Intraoperative look | |||
| No adhesions | 38 (53.6%) | 44 (80.0%) | 0.002 |
| Isolated adhesions | 33 (46.4%) | 11 (20.0%) | 0.003 |
| Isolated endometriosis | 34 (47.9%) | 39 (70.9%) | 0.009 |
| Multiple adhesions and/or endometriosis | 37 (52.1%) | 17 (29.1%) | 0.017 |
| Invasive Procedures | Multiple Foci | Abdominal Wall Location | Foci Weight | Age | Foci Size | C-Section | ||
|---|---|---|---|---|---|---|---|---|
| Invasive procedures | Rho | 1 | 0.465 ** | 0.240 * | −0.190 | 0.150 | −0.069 | 0.316 |
| p-value | 0.001 | 0.032 | 0.009 | 0.185 | 0.040 | 0.020 | ||
| Multiple foci | Rho | 0.465 ** | 1 | 0.469 ** | −0.489 ** | 0.486 ** | 0.305 ** | 0.488 ** |
| p-value | 0.001 | 0.001 | 0.001 | 0.001 | 0.001 | 0.001 | ||
| Abdominal wall location | Rho | 0.240 * | 0.469 ** | 1 | −0.315 ** | 0.171 | 0.036 | 0.523 ** |
| p-value | 0.001 | 0.001 | 0.004 | 0.127 | 0.746 | 0.001 | ||
| Foci weight | Rho | −0.190 | −0.489 ** | −0.315 ** | 1 | 0.499 ** | −0.363 ** | −0.194 |
| p-value | 0.090 | 0.001 | 0.004 | 0.001 | 0.009 | 0.081 | ||
| Age | Rho | 0.149 | 0.486 ** | 0.171 | 0.499 ** | 1 | 0.229 * | 0.124 |
| p-value | 0.185 | 0.001 | 0.127 | 0.001 | 0.041 | 0.397 | ||
| Foci size | Rho | −0.069 | 0.305 ** | 0.036 | −0.363 ** | 0.229 * | 1 | −0.258 |
| p-value | 0.040 | 0.005 | 0.746 | 0.009 | 0.041 | 0.003 | ||
| C-section | Rho | 0.316 | 0.488 ** | 0.523 ** | −0.194 | 0.124 | −0.258 | 1 |
| p-value | 0.020 | 0.001 | 0.001 | 0.081 | 0.397 | 0.003 | ||
| Factors | OR | 95% CI | p-Value |
|---|---|---|---|
| Age | |||
| <35 | 1.04 | 0.61–1.25 | 0.462 |
| ≥35 ^ | 0.87 | 0.55–1.01 | 0.528 |
| Number of gestations | |||
| 1 ^ | 1.09 | 0.80–1.24 | 0.409 |
| >1 | 1.16 | 0.84–1.31 | 0.274 |
| Number of pregnancies | |||
| 1 ^ | 1.07 | 0.94–1.01 | 0.230 |
| >1 | 1.32 | 1.01–1.64 | 0.038 |
| Foci size | |||
| <32 mm | 0.89 | 0.66–1.07 | 0.175 |
| ≥32 mm ^ | 0.92 | 0.81–1.05 | 0.097 |
| Foci weight | |||
| <48 g | 0.94 | 0.72–1.24 | 0.229 |
| ≥48 g ^ | 0.98 | 0.79–1.03 | 0.206 |
| Minimally invasive procedures | |||
| Yes | 1.27 | 1.12–1.58 | 0.063 |
| No ^ | 1.08 | 0.92–1.17 | 0.273 |
| C-section | |||
| Yes | 1.85 | 1.34–2.26 | <0.001 |
| No ^ | 1.16 | 1.08–1.33 | 0.162 |
Publisher’s Note: MDPI stays neutral with regard to jurisdictional claims in published maps and institutional affiliations. |
© 2022 by the authors. Licensee MDPI, Basel, Switzerland. This article is an open access article distributed under the terms and conditions of the Creative Commons Attribution (CC BY) license (https://creativecommons.org/licenses/by/4.0/).
Share and Cite
Neamtu, R.; Dahma, G.; Mocanu, A.G.; Bernad, E.; Silaghi, C.-I.; Stelea, L.; Citu, C.; Dobrescu, A.; Bratosin, F.; Grigoras, M.L.; et al. Challenges in Diagnosis and Prevention of Iatrogenic Endometriosis as a Long-Term Surgical Complication after C-Section. Int. J. Environ. Res. Public Health 2022, 19, 2791. https://doi.org/10.3390/ijerph19052791
Neamtu R, Dahma G, Mocanu AG, Bernad E, Silaghi C-I, Stelea L, Citu C, Dobrescu A, Bratosin F, Grigoras ML, et al. Challenges in Diagnosis and Prevention of Iatrogenic Endometriosis as a Long-Term Surgical Complication after C-Section. International Journal of Environmental Research and Public Health. 2022; 19(5):2791. https://doi.org/10.3390/ijerph19052791
Chicago/Turabian StyleNeamtu, Radu, George Dahma, Adelina Geanina Mocanu, Elena Bernad, Carmen-Ioana Silaghi, Lavinia Stelea, Cosmin Citu, Amadeus Dobrescu, Felix Bratosin, Mirela Loredana Grigoras, and et al. 2022. "Challenges in Diagnosis and Prevention of Iatrogenic Endometriosis as a Long-Term Surgical Complication after C-Section" International Journal of Environmental Research and Public Health 19, no. 5: 2791. https://doi.org/10.3390/ijerph19052791
APA StyleNeamtu, R., Dahma, G., Mocanu, A. G., Bernad, E., Silaghi, C.-I., Stelea, L., Citu, C., Dobrescu, A., Bratosin, F., Grigoras, M. L., Motoc, A., Dema, S., Craina, M., Chiriac, V. D., & Gluhovschi, A. (2022). Challenges in Diagnosis and Prevention of Iatrogenic Endometriosis as a Long-Term Surgical Complication after C-Section. International Journal of Environmental Research and Public Health, 19(5), 2791. https://doi.org/10.3390/ijerph19052791

