Tibial Spine Height Measured by Radiograph Is a Risk Factor for Non-Contact Anterior Cruciate Ligament Injury in Males: A Retrospective Case-Control Study
Abstract
1. Introduction
2. Materials and Methods
2.1. Study Population
2.2. Radiograph Technique
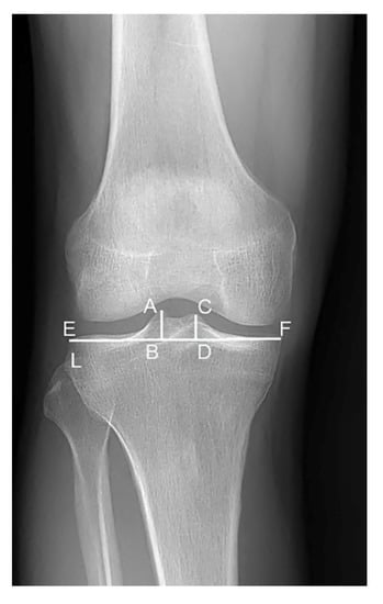
2.3. Measurements
2.4. Statistical Analysis
3. Results
4. Discussion
5. Conclusions
Author Contributions
Funding
Institutional Review Board Statement
Informed Consent Statement
Data Availability Statement
Conflicts of Interest
References
- Gans, I.; Retzky, J.S.; Jones, L.C.; Tanaka, M.J. Epidemiology of Recurrent Anterior Cruciate Ligament Injuries in National Collegiate Athletic Association Sports: The Injury Surveillance Program, 2004–2014. Orthop. J. Sports Med. 2018, 6, 2325967118777823. [Google Scholar] [CrossRef] [PubMed]
- Janssen, K.W.; Orchard, J.W.; Driscoll, T.R.; van Mechelen, W. High incidence and costs for anterior cruciate ligament reconstructions performed in Australia from 2003–2004 to 2007–2008: Time for an anterior cruciate ligament register by Scandinavian model? Scand. J. Med. Sci. Sports 2012, 22, 495–501. [Google Scholar] [CrossRef]
- Nordenvall, R.; Bahmanyar, S.; Adami, J.; Stenros, C.; Wredmark, T.; Fellander-Tsai, L. A population-based nationwide study of cruciate ligament injury in Sweden, 2001–2009: Incidence, treatment, and sex differences. Am. J. Sports Med. 2012, 40, 1808–1813. [Google Scholar] [CrossRef] [PubMed]
- Joseph, A.M.; Collins, C.L.; Henke, N.M.; Yard, E.E.; Fields, S.K.; Comstock, R.D. A multisport epidemiologic comparison of anterior cruciate ligament injuries in high school athletics. J. Athl. Train. 2013, 48, 810–817. [Google Scholar] [CrossRef] [PubMed]
- Bisciotti, G.N.; Chamari, K.; Cena, E.; Bisciotti, A.; Bisciotti, A.; Corsini, A.; Volpi, P. Anterior cruciate ligament injury risk factors in football. J. Sports Med. Phys. Fit. 2019, 59, 1724–1738. [Google Scholar] [CrossRef] [PubMed]
- Davey, A.P.; Vacek, P.M.; Caldwell, R.A.; Slauterbeck, J.R.; Gardner-Morse, M.G.; Tourville, T.W.; Beynnon, B.D. Risk Factors Associated With a Noncontact Anterior Cruciate Ligament Injury to the Contralateral Knee After Unilateral Anterior Cruciate Ligament Injury in High School and College Female Athletes: A Prospective Study. Am. J. Sports Med. 2019, 47, 3347–3355. [Google Scholar] [CrossRef] [PubMed]
- Bayer, S.; Meredith, S.J.; Wilson, K.W.; de Sa, D.; Pauyo, T.; Byrne, K.; McDonough, C.M.; Musahl, V. Knee Morphological Risk Factors for Anterior Cruciate Ligament Injury: A Systematic Review. J. Bone Jt. Surg. Am. 2020, 102, 703–718. [Google Scholar] [CrossRef]
- Micicoi, G.; Jacquet, C.; Khakha, R.; LiArno, S.; Faizan, A.; Seil, R.; Kocaoglu, B.; Cerciello, S.; Martz, P.; Ollivier, M. Femoral and Tibial Bony Risk Factors for Anterior Cruciate Ligament Injuries Are Present in More Than 50% of Healthy Individuals. Am. J. Sports Med. 2021, 49, 3816–3824. [Google Scholar] [CrossRef] [PubMed]
- Pfeiffer, T.R.; Burnham, J.M.; Hughes, J.D.; Kanakamedala, A.C.; Herbst, E.; Popchak, A.; Shafizadeh, S.; Irrgang, J.J.; Debski, R.E.; Musahl, V. An Increased Lateral Femoral Condyle Ratio Is a Risk Factor for Anterior Cruciate Ligament Injury. J. Bone Jt. Surg. Am. 2018, 100, 857–864. [Google Scholar] [CrossRef]
- Li, K.; Zheng, X.; Li, J.; Seeley, R.A.; Marot, V.; Murgier, J.; Liang, X.; Huang, W.; Cavaignac, E. Increased lateral femoral condyle ratio is associated with greater risk of ALC injury in non-contact anterior cruciate ligament injury. Knee Surg. Sports Traumatol. Arthrosc. 2021, 29, 3077–3084. [Google Scholar] [CrossRef]
- Hashemi, J.; Chandrashekar, N.; Gill, B.; Beynnon, B.D.; Slauterbeck, J.R.; Schutt, R.C., Jr.; Mansouri, H.; Dabezies, E. The geometry of the tibial plateau and its influence on the biomechanics of the tibiofemoral joint. J. Bone Jt. Surg. Am. 2008, 90, 2724–2734. [Google Scholar] [CrossRef] [PubMed]
- Hashemi, J.; Chandrashekar, N.; Mansouri, H.; Gill, B.; Slauterbeck, J.R.; Schutt, R.C., Jr.; Dabezies, E.; Beynnon, B.D. Shallow medial tibial plateau and steep medial and lateral tibial slopes: New risk factors for anterior cruciate ligament injuries. Am. J. Sports Med. 2010, 38, 54–62. [Google Scholar] [CrossRef] [PubMed]
- Lansdown, D.; Ma, C.B. The Influence of Tibial and Femoral Bone Morphology on Knee Kinematics in the Anterior Cruciate Ligament Injured Knee. Clin. Sports Med. 2018, 37, 127–136. [Google Scholar] [CrossRef] [PubMed]
- Levins, J.G.; Sturnick, D.R.; Argentieri, E.C.; Gardner-Morse, M.; Vacek, P.M.; Desarno, M.J.; Tourville, T.W.; Slauterbeck, J.R.; Beynnon, B.D. Geometric Risk Factors Associated With Noncontact Anterior Cruciate Ligament Graft Rupture. Am. J. Sports Med. 2016, 44, 2537–2545. [Google Scholar] [CrossRef] [PubMed]
- Sturnick, D.R.; Argentieri, E.C.; Vacek, P.M.; DeSarno, M.J.; Gardner-Morse, M.G.; Tourville, T.W.; Slauterbeck, J.R.; Johnson, R.J.; Shultz, S.J.; Beynnon, B.D. A decreased volume of the medial tibial spine is associated with an increased risk of suffering an anterior cruciate ligament injury for males but not females. J. Orthop. Res. 2014, 32, 1451–1457. [Google Scholar] [CrossRef] [PubMed]
- Brandon, M.L.; Haynes, P.T.; Bonamo, J.R.; Flynn, M.I.; Barrett, G.R.; Sherman, M.F. The association between posterior-inferior tibial slope and anterior cruciate ligament insufficiency. Arthroscopy 2006, 22, 894–899. [Google Scholar] [CrossRef]
- Todd, M.S.; Lalliss, S.; Garcia, E.; DeBerardino, T.M.; Cameron, K.L. The relationship between posterior tibial slope and anterior cruciate ligament injuries. Am. J. Sports Med. 2010, 38, 63–67. [Google Scholar] [CrossRef]
- Song, G.Y.; Zhang, H.; Zhang, J.; Liu, X.; Xue, Z.; Qian, Y.; Feng, H. Greater Static Anterior Tibial Subluxation of the Lateral Compartment After an Acute Anterior Cruciate Ligament Injury Is Associated With an Increased Posterior Tibial Slope. Am. J. Sports Med. 2018, 46, 1617–1623. [Google Scholar] [CrossRef]
- Beynnon, B.D.; Hall, J.S.; Sturnick, D.R.; Desarno, M.J.; Gardner-Morse, M.; Tourville, T.W.; Smith, H.C.; Slauterbeck, J.R.; Shultz, S.J.; Johnson, R.J.; et al. Increased slope of the lateral tibial plateau subchondral bone is associated with greater risk of noncontact ACL injury in females but not in males: A prospective cohort study with a nested, matched case-control analysis. Am. J. Sports Med. 2014, 42, 1039–1048. [Google Scholar] [CrossRef]
- Oka, S.; Schuhmacher, P.; Brehmer, A.; Traut, U.; Kirsch, J.; Siebold, R. Histological analysis of the tibial anterior cruciate ligament insertion. Knee Surg. Sports Traumatol. Arthrosc. 2016, 24, 747–753. [Google Scholar] [CrossRef] [PubMed]
- Tensho, K.; Shimodaira, H.; Aoki, T.; Narita, N.; Kato, H.; Kakegawa, A.; Fukushima, N.; Moriizumi, T.; Fujii, M.; Fujinaga, Y.; et al. Bony Landmarks of the Anterior Cruciate Ligament Tibial Footprint: A Detailed Analysis Comparing 3-Dimensional Computed Tomography Images to Visual and Histological Evaluations. Am. J. Sports Med. 2014, 42, 1433–1440. [Google Scholar] [CrossRef] [PubMed]
- Iriuchishima, T.; Goto, B.; Fu, F.H. The occurrence of ACL injury influenced by the variance in width between the tibial spine and the femoral intercondylar notch. Knee Surg. Sports Traumatol. Arthrosc. 2020, 28, 3625–3630. [Google Scholar] [CrossRef] [PubMed]
- Iriuchishima, T.; Shirakura, K.; Fu, F.H. Graft impingement in anterior cruciate ligament reconstruction. Knee Surg. Sports Traumatol. Arthrosc. 2013, 21, 664–670. [Google Scholar] [CrossRef] [PubMed]
- Flint, J.H.; Wade, A.M.; Giuliani, J.; Rue, J.P. Defining the terms acute and chronic in orthopaedic sports injuries: A systematic review. Am. J. Sports Med. 2014, 42, 235–241. [Google Scholar] [CrossRef]
- Trofa, D.P.; Graham, W.C.; McCullough, K.A.; Lattermann, C.; Flanigan, D.C.; Corpus, K.T.; Saltzman, B.M.; Fleischli, J.E.; Piasecki, D.P. A Radiographic Sizing Algorithm for Tibial Plateau Osteochondral Allografts. Cartilage 2021, 12, 175–180. [Google Scholar] [CrossRef] [PubMed]
- Baker, B.S.; Chen, Z.; Larson, R.D.; Bemben, M.G.; Bemben, D.A. Sex differences in bone density, geometry, and bone strength of competitive soccer players. J. Musculoskelet. Neuronal. Interact. 2020, 20, 62–76. [Google Scholar]
- Sturnick, D.R.; Vacek, P.M.; DeSarno, M.J.; Gardner-Morse, M.G.; Tourville, T.W.; Slauterbeck, J.R.; Johnson, R.J.; Shultz, S.J.; Beynnon, B.D. Combined anatomic factors predicting risk of anterior cruciate ligament injury for males and females. Am. J. Sports Med. 2015, 43, 839–847. [Google Scholar] [CrossRef]
- Sturnick, D.R.; Van Gorder, R.; Vacek, P.M.; DeSarno, M.J.; Gardner-Morse, M.G.; Tourville, T.W.; Slauterbeck, J.R.; Johnson, R.J.; Shultz, S.J.; Beynnon, B.D. Tibial articular cartilage and meniscus geometries combine to influence female risk of anterior cruciate ligament injury. J. Orthop. Res. 2014, 32, 1487–1494. [Google Scholar] [CrossRef]
- Whitney, D.C.; Sturnick, D.R.; Vacek, P.M.; DeSarno, M.J.; Gardner-Morse, M.; Tourville, T.W.; Smith, H.C.; Slauterbeck, J.R.; Johnson, R.J.; Shultz, S.J.; et al. Relationship Between the Risk of Suffering a First-Time Noncontact ACL Injury and Geometry of the Femoral Notch and ACL: A Prospective Cohort Study With a Nested Case-Control Analysis. Am. J. Sports Med. 2014, 42, 1796–1805. [Google Scholar] [CrossRef]
- Li, G.; DeFrate, L.E.; Park, S.E.; Gill, T.J.; Rubash, H.E. In vivo articular cartilage contact kinematics of the knee: An investigation using dual-orthogonal fluoroscopy and magnetic resonance image-based computer models. Am. J. Sports Med. 2005, 33, 102–107. [Google Scholar] [CrossRef]
- Paterno, M.V. Incidence and Predictors of Second Anterior Cruciate Ligament Injury After Primary Reconstruction and Return to Sport. J. Athl. Train. 2015, 50, 1097–1099. [Google Scholar] [CrossRef] [PubMed]




| Study Group (n = 96) | Control Group (n = 96) | p Value | |
|---|---|---|---|
| Age, mean ± SD, years | 29.5 ± 8.3 | 31.4 ± 7.9 | 0.093 |
| Sex, Male/Female, n | 59/37 | 56/40 | 0.659 a |
| Side, Left/Right, n | 50/46 | 46/50 | 0.564 a |
| BMI | 0.901 b | ||
| Median | 23.44 | 23.49 | |
| IQR | 4.86 (21.22–26.08) | 4.11 (21.46–25.57) | |
| Interval Time, days | 0.361 b | ||
| Median | 16.50 | 16.50 | |
| IQR | 24.75 (7.25–32.00) | 21.00 (10.00–31.00) |
| Variables | Study Group | Control Group | ||||
|---|---|---|---|---|---|---|
| Observer 1 | Observer 2 | ICC (95% CI) | Observer 1 | Observer 2 | ICC (95% CI) | |
| Tibial Spine Height | ||||||
| Lateral, mm | 8.4 ± 1.4 | 8.6 ± 1.5 | 0.873 (0.815, 0.913) | 8.1 ± 1.6 | 8.3 ± 1.7 | 0.922 (0.885, 0.947) |
| Medial, mm | 9.0 ± 1.5 | 9.1 ± 1.5 | 0.901 (0.856, 0.933) | 9.0 ± 1.6 | 9.1 ± 1.7 | 0.930 (0.897, 0.953) |
| Tibial Plateau Width, mm | 70.2 ± 5.8 | 69.9 ± 5.6 | 0.930 (0.897, 0.953) | 71.5 ± 6.7 | 71.9 ± 6.8 | 0.960 (0.940, 0.973) |
| Tibial Spine Width, mm | 10.6 ± 1.8 | 10.6 ± 1.6 | 0.891 (0.841, 0.926) | 12.7 ± 2.3 | 12.6 ± 2.2 | 0.899 (0.853, 0.932) |
| Variables | Study Group (n = 96) | Control Group (n = 96) | p Value a | ||||||
|---|---|---|---|---|---|---|---|---|---|
| Male (n = 59) | Female (n = 37) | p Value | Total | Male (n = 56) | Female (n = 40) | p Value | Total | ||
| LTSH, mm | 9.2 ± 1.2 | 7.5 ± 1.0 | <0.001 | 8.5 ± 1.4 | 8.9 ± 1.5 | 7.2 ± 1.2 | <0.001 | 8.2 ± 1.6 | 0.172 |
| MTSH, mm | 9.8 ± 1.2 | 7.8 ± 1.1 | <0.001 | 9.0 ± 1.5 | 9.7 ± 1.4 | 8.1 ± 1.3 | <0.001 | 9.1 ± 1.6 | 0.929 |
| TSW, mm | 11.1 ± 1.5 | 9.8 ± 1.6 | <0.001 | 10.6 ± 1.7 | 13.2 ± 2.1 | 11.9 ± 2.1 | 0.003 | 12.7 ± 2.2 | <0.001 |
| TPW, mm | <0.001 | <0.001 | 0.055 b | ||||||
| Median | 73.8 | 63.9 | 71.1 | 76.1 | 65.3 | 73.2 | |||
| IQR | 5.5 (71.3–76.8) | 5.0 (61.9–66.9) | 9.5 (65.2–74.7) | 4.3 (74.2–78.5) | 4.7 (62.9–67.6) | 10.0 (66.5–76.5) | |||
| TSW/TPW, % | 0.839 | 0.220 | <0.001b | ||||||
| Median | 15.2 | 15.1 | 15.2 | 17.1 | 17.4 | 17.3 | |||
| IQR | 2.3 (14.0–16.3) | 3.6 (13.1–16.7) | 3.0 (13.5–16.5) | 4.3 (15.2–19.5) | 4.2 (15.9–20.1) | 4.0 (15.6–19.6) | |||
| LTSH/TPW, % | 0.007 | 0.015b | |||||||
| Median | 12.3 | 11.6 | 12.0 | 11.7 | 11.0 | 0.081 | 11.6 | ||
| IQR | 1.8 (11.5–13.3) | 1.7 (10.6–12.3) | 1.9 (11.0–12.9) | 2.1 (10.6–12.7) | 1.9 (10.3–12.2) | 2.0 (10.4–12.4) | |||
| MTSH/TPW, % | 0.002 | 0.409 b | |||||||
| Median | 12.9 | 11.9 | 12.6 | 12.6 | 12.4 | 0.336 | 12.5 | ||
| IQR | 2.5 (11.9–14.4) | 2.0 (11.0–13.0) | 2.5 (11.6–14.1) | 2.2 (11.5–13.7) | 2.3 (11.1–13.4) | 2.2 (11.4–13.6) | |||
Publisher’s Note: MDPI stays neutral with regard to jurisdictional claims in published maps and institutional affiliations. |
© 2022 by the authors. Licensee MDPI, Basel, Switzerland. This article is an open access article distributed under the terms and conditions of the Creative Commons Attribution (CC BY) license (https://creativecommons.org/licenses/by/4.0/).
Share and Cite
Nie, S.; Chen, J.; Zhang, H.; Zhao, P.; Huang, W. Tibial Spine Height Measured by Radiograph Is a Risk Factor for Non-Contact Anterior Cruciate Ligament Injury in Males: A Retrospective Case-Control Study. Int. J. Environ. Res. Public Health 2022, 19, 15589. https://doi.org/10.3390/ijerph192315589
Nie S, Chen J, Zhang H, Zhao P, Huang W. Tibial Spine Height Measured by Radiograph Is a Risk Factor for Non-Contact Anterior Cruciate Ligament Injury in Males: A Retrospective Case-Control Study. International Journal of Environmental Research and Public Health. 2022; 19(23):15589. https://doi.org/10.3390/ijerph192315589
Chicago/Turabian StyleNie, Shixin, Jiaxing Chen, Hua Zhang, Pei Zhao, and Wei Huang. 2022. "Tibial Spine Height Measured by Radiograph Is a Risk Factor for Non-Contact Anterior Cruciate Ligament Injury in Males: A Retrospective Case-Control Study" International Journal of Environmental Research and Public Health 19, no. 23: 15589. https://doi.org/10.3390/ijerph192315589
APA StyleNie, S., Chen, J., Zhang, H., Zhao, P., & Huang, W. (2022). Tibial Spine Height Measured by Radiograph Is a Risk Factor for Non-Contact Anterior Cruciate Ligament Injury in Males: A Retrospective Case-Control Study. International Journal of Environmental Research and Public Health, 19(23), 15589. https://doi.org/10.3390/ijerph192315589
