Spanish Paediatricians’ Knowledge, Attitudes and Practices Regarding Oral Health of Children under 6 Years of Age: A Cross-Sectional Study
Abstract
:1. Introduction
2. Material and Methods
2.1. Sample and Procedure
2.2. Study Instrument
- Section I. Socio-demographic characteristics.
- Section II. Knowledge and attitudes regarding primary dentition.
- Section III. Paediatrician’s knowledge and attitudes towards oral health and early childhood caries.
- Section IV. Enamel lesion identification.
- Section V. Training.
2.3. Data Analysis
3. Results
3.1. Descriptive Analysis
3.2. Inferencial Analysis
4. Discussion
5. Conclusions
Author Contributions
Funding
Institutional Review Board Statement
Informed Consent Statement
Data Availability Statement
Acknowledgments
Conflicts of Interest
References
- World Health Organization. Ending Childhood Dental Caries: WHO Implementation Manual. 2019. Available online: https://apps.who.int/iris/bitstream/handle/10665/330643/9789240000056-eng.pdf?sequence=1&isAllowed=y (accessed on 25 April 2021).
- Tinanoff, N.; Baez, R.J.; Guillory, C.D.; Donly, K.J.; Feldens, C.A.; McGrath, C.; Phantumvanit, P.; Pitts, N.B.; Seow, W.K.; Sharkov, N.; et al. Early childhood caries epidemiology, aetiology, risk assessment, societal burden, management, education, and policy: Global perspective. Int. J. Paediatr. Dent. 2019, 29, 238–248. [Google Scholar] [CrossRef] [PubMed]
- Pitts, N.B.; Zero, D.T.; Marsh, P.D.; Ekstrand, K.; Weintraub, J.A.; Ramos-Gomez, F.; Ismail, A. Dental caries. Nat. Rev. Dis. Primers 2017, 3, 17030. [Google Scholar] [CrossRef] [PubMed] [Green Version]
- Martignon, S.; Pitts, N.B.; Goffin, G.; Mazevet, M.; Douglas, G.V.A.; Newton, J.T.; Twetman, S.; Deery, C.; Doméjean, S.; Jablonski-Momeni, A.; et al. CariesCare practice guide: Consensus on evidence into practice. Br. Dent. J. 2019, 227, 353–362. [Google Scholar] [CrossRef] [PubMed] [Green Version]
- Machiulskiene, V.; Campus, G.; Carvalho, J.C.; Dige, I.; Ekstrand, K.R.; Jablonski-Momeni, A.; Maltz, M.; Manton, D.J.; Martignon, S.; Martinez-Mier, E.A.; et al. Terminology of Dental Caries and Dental Caries Management: Consensus Report of a Workshop Organized by ORCA and Cariology Research Group of IADR. Caries Res. 2020, 54, 7–14. [Google Scholar] [CrossRef] [PubMed]
- Vos, T.; Lim, S.S.; Abbafati, C.; Abbas, K.M.; Abbasi, M.; Abbasifard, M.; Abbasi-Kangevari, M.; Abbastabar, H.; Abd-Allah, F.; Abdelalim, A.; et al. Global burden of 369 diseases and injuries in 204 countries and territories, 1990–2019: A systematic analysis for the Global Burden of Disease Study 2019. Lancet 2020, 396, 1204–1222. [Google Scholar] [CrossRef]
- Encuesta de Salud Oral en España 2020|Revista del Ilustre Consejo General de Colegios de Odontólogos y Estomatólogos de España|RCOE. Available online: https://rcoe.es/articulo/115/encuesta-de-salud-oral-en-espaa-2020 (accessed on 13 May 2021).
- Al-Bluwi, G.S.M. Epidemiology of dental caries in children in the United Arab Emirates. Int. Dent. J. 2014, 64, 219–228. [Google Scholar] [CrossRef]
- Alazmah, A.; Patil, S. Early Childhood Caries: A Review. J. Contemp. Dent. Pract. 2017, 18, 732–737. [Google Scholar] [CrossRef]
- Singh, N.; Dubey, N.; Rathore, M.; Pandey, P. Impact of early childhood caries on quality of life: Child and parent perspectives. J. Oral Biol. Craniofacial Res. 2020, 10, 83–86. [Google Scholar] [CrossRef]
- Sanz, M.; Beighton, D.; Curtis, M.A.; Cury, J.A.; Dige, I.; Dommisch, H.; Ellwood, R.; Giacaman, R.A.; Herrera, D.; Herzberg, M.C.; et al. Role of microbial biofilms in the maintenance of oral health and in the development of dental caries and periodontal diseases. Consensus report of group 1 of the Joint EFP/ORCA workshop on the boundaries between caries and periodontal disease. J. Clin. Periodontol. 2017, 44 (Suppl. 18), S5–S11. [Google Scholar] [CrossRef]
- Kavitha, M.; Prathima, G.; Kayalvizhi, G.; Sanguida, A.; Suganya, M.; Arumugam, S. Awareness, attitude, and practice of pediatricians regarding early childhood caries and infant oral healthcare of children in Puducherry- A cross-sectional survey. Indian J. Dent. Res. 2020, 31, 439–443. [Google Scholar] [CrossRef]
- Gupta, S.K.; Gupta, S.; Gojanur, S.; Kour, G.; Singh, K.; Rani, P. Pediatricians’ view on early childhood caries and oral health in a north region of India: A cross-sectional study. J. Fam. Med. Prim. Care 2019, 8, 220–224. [Google Scholar] [CrossRef] [PubMed]
- Ramroop, V.; Kowlessar, A.; Ramcharitar-Maharaj, V.; Morris, L.; Naidu, R. Knowledge, attitudes and behaviour towards preventive oral care in early childhood among paediatricians in Trinidad and Tobago: Findings of a national survey. Int. Dent. J. 2018, 69, 67–76. [Google Scholar] [CrossRef] [PubMed] [Green Version]
- Nancy, J.; Barsby, T.; Theillaud, M.; Barbey-Massin, C.; Thébaud, N.-B. Early childhood caries prevention: Non-dental health professionals’ viewpoint. Br. J. Nurs. 2020, 29, 884–890. [Google Scholar] [CrossRef] [PubMed]
- STROBE—Strengthening the Reporting of Observational Studies in Epidemiology. Available online: https://www.strobe-statement.org (accessed on 16 January 2022).
- Caspary, G.; Krol, D.M.; Boulter, S.; Keels, M.A.; Romano-Clarke, G. Perceptions of Oral Health Training and Attitudes Toward Performing Oral Health Screenings Among Graduating Pediatric Residents. Pediatrics 2008, 122, e465–e471. [Google Scholar] [CrossRef]
- Subramaniam, P.; Babu, K.G.; Babu, P.S.; Naidu, P. Oral Health Care of Children: Gynecologists and Pediatricians’Perspective. J. Clin. Pediatr. Dent. 2008, 32, 253–258. [Google Scholar] [CrossRef] [PubMed]
- Balaban, R.; Aguiar, C.M.; Araújo, A.C.D.S.; Filho, E.B.R.D. Knowledge of paediatricians regarding child oral health. Int. J. Paediatr. Dent. 2011, 22, 286–291. [Google Scholar] [CrossRef] [PubMed]
- Kalkani, M.; Ashley, P. The role of paediatricians in oral health of preschool children in the United Kingdom: A national survey of paediatric postgraduate specialty trainees. Eur. Arch. Paediatr. Dent. 2013, 14, 319–324. [Google Scholar] [CrossRef]
- Alshunaiber, R.; Alzaid, H.; Meaigel, S.; Aldeeri, A.; Adlan, A. Early childhood caries and infant’s oral health; pediatricians’ and family physicians’ practice, knowledge and attitude in Riyadh city, Saudi Arabia. Saudi Dent. J. 2019, 31, S96–S105. [Google Scholar] [CrossRef]
- Serna-Muñoz, C.; Martínez-Beneyto, Y.; Pérez-Silva, A.; Poza-Pascual, A.; Ibáñez-López, F.J.; Ortiz-Ruiz, A.J. Perception, knowledge, and attitudes towards molar incisor hypomineralization among Spanish dentists: A cross-sectional study. BMC Oral Health 2020, 20, 260. [Google Scholar] [CrossRef] [PubMed]
- Berman, D.M.; Tan, L.L.; Cheng, T.L. Surveys and Response Rates. Pediatr. Rev. 2015, 36, 364–366. [Google Scholar] [CrossRef]
- Etikan, I.; Musa, S.A.; Alkassim, R.S. Comparison of Convenience Sampling and Purposive Sampling. Am. J. Theor. Appl. Stat. 2016, 5, 1–4. [Google Scholar] [CrossRef] [Green Version]
- Shetty, R.M.; Dixit, U.B. Paediatricians’ views on dental and oral health and treatment needs in children. Oral Health Prev. Dent. 2011, 9, 315–322. [Google Scholar] [PubMed]
- Lewis, C.W.; Boulter, S.; Keels, M.A.; Krol, D.M.; Mouradian, W.E.; O’Connor, K.G.; Quinonez, R.B. Oral Health and Pediatricians: Results of a National Survey. Acad. Pediatr. 2009, 9, 457–461. [Google Scholar] [CrossRef] [PubMed]
- Branger, B.; Camelot, F.; Droz, D.; Houbiers, B.; Marchalot, A.; Bruel, H.; Laczny, E.; Clement, C. Breastfeeding and early childhood caries. Review of the literature, recommendations, and prevention. Arch. Pediatr. 2019, 26, 497–503. [Google Scholar] [CrossRef] [PubMed]
- Pitts, N.B.; Baez, R.J.; Diaz-Guillory, C.; Donly, K.J.; Feldens, C.A.; McGrath, C.; Phantumvanit, P.; Seow, W.K.; Sharkov, N.; Songpaisan, Y.; et al. Early Childhood Caries: IAPD Bangkok Declaration. Int. J. Paediatr. Dent. 2019, 29, 384–386. [Google Scholar]
- Toumba, K.J.; Twetman, S.; Splieth, C.; Parnell, C.; van Loveren, C.; Lygidakis, N. Guidelines on the use of fluoride for caries prevention in children: An updated EAPD policy document. Eur. Arch. Paediatr. Dent. 2019, 20, 507–516. [Google Scholar] [CrossRef] [Green Version]
- Splieth, C.H.; Banerjee, A.; Bottenberg, P.; Breschi, L.; Campus, G.; Ekstrand, K.R.; Giacaman, R.A.; Haak, R.; Hannig, M.; Hickel, R.; et al. How to Intervene in the Caries Process in Children: A Joint ORCA and EFCD Expert Delphi Consensus Statement. Caries Res. 2020, 54, 297–305. [Google Scholar] [CrossRef]
- Costa, F.S.; Silveira, E.R.; Pinto, G.S.; Nascimento, G.G.; Thomson, W.M.; Demarco, F.F. Developmental defects of enamel and dental caries in the primary dentition: A systematic review and meta-analysis. J. Dent. 2017, 60, 1–7. [Google Scholar] [CrossRef]
- Herndon, J.B.; Tomar, S.L.; Catalanotto, F.A. Effect of Training Pediatricians and Family Physicians in Early Childhood Caries Prevention. J. Pediatr. 2015, 166, 1055–1061.e1. [Google Scholar] [CrossRef] [PubMed]
| Demographics | Total n (%) |
|---|---|
| Gender | |
| Male | 67 (18.7) |
| Female | 292 (81.3) |
| Age group | |
| 21–29 years | 24 (6.7) |
| 30–39 years | 130 (36.2) |
| 40–49 years | 68 (18.9) |
| 50–59 year | 86 (24.0) |
| >60 years | 51 (14.2) |
| Years in practice | |
| <10 years | 112 (31.2) |
| 11–20 years | 101 (28.1) |
| 21–30 years | 85 (23.7) |
| 31–40 years | 52 (14.5) |
| >40 years | 9 (2.5) |
| Regions | |
| Andalucía | 77 (21.4) |
| Comunidad Valenciana | 106 (29.5) |
| País Vasco | 64 (17.8) |
| Region of Murcia | 112 (31.2) |
| Area | |
| Rural | 30 (8.4) |
| Semi-urban | 59 (16.4) |
| Urban | 270 (75.2) |
| Work Sector | |
| Public | 342 (95.3) |
| Private | 17 (4.7) |
| Type of practice | |
| Primary care | 268 (74.6) |
| Hospital | 91 (25.3) |
| Total | 359 (100) |
| Questions | Participants n (%) |
|---|---|
| When does the first primary tooth erupt? | |
| 4–5 months | 29 (8.1) |
| 6–8 months | 326 (90.8) |
| 12 months | 3 (0.8) |
| 15 months | 1 (0.3) |
| Number of primary teeth: | |
| 25 | 6 (1.7) |
| 28 | 18 (5.1) |
| 20 | 301 (83.9) |
| 18 | 34 (9.5) |
| When should you brush your child’s teeth with fluoride toothpaste? | |
| As soon as the first tooth erupts | 206 (57.4) |
| When several teeth have erupted | 27 (7.5) |
| When the child is able to use the brush | 99 (27.6) |
| I am not sure | 27 (7.5) |
| First visit to the dentist: | |
| 6 months of age | 22 (6.1) |
| 1 years old | 158 (440) |
| When the first cavities are pesent | 13 (3.6) |
| 3 years old | 166 (46.2) |
| Do you examine the patient’s teeth from the first year of life? | |
| Always and routinely | 298 (83.0) |
| Only if pain is reported | 5 (1.4) |
| Occasionally | 51 (14.2) |
| Never | 5 (1.4) |
| Do you provide oral health education to parents? | |
| Always and routinely | 274 (76.3) |
| Occasionally | 74 (20.6) |
| Never | 11 (3.1) |
| When do you refer your patients to a paediatric dentist? | |
| Always and routinely | 174 (48.5) |
| When parents indicate dental problems | 181 (50.4) |
| Never | 4 (1.1) |
| Questions | Participants n (%) | |
|---|---|---|
| Is dental caries a transmissible disease? | ||
| Yes | 174 (48.5) | |
| No | 159 (44.3) | |
| I do not know | 26 (7.2) | |
| Aetiological factors: (multiple choice) | Yes | No |
| Diet and bacteria | 354 (98.6) | 5 (1.4) |
| Hereditary factor | 282 (78.5) | 77 (21.5) |
| Fluoride | 263 (73.3) | 96 (26.7) |
| Sugar exposure time | 349 (97.2) | 10 (2.79) |
| Saliva | 261 (72.7) | 98 (27.3) |
| Restrictions on sugary foods: (multiple choice) | Yes | No |
| No snacking | 216 (60.2) | 143 (39.8) |
| Do not drink non-natural juices | 290 (80.8) | 69 (19.2) |
| Avoid sugary drinks | 335 (93.3) | 24 (6.7) |
| Avoid sweets | 326 (90.8) | 33 (9.2) |
| No | 1 (0.3) | 358 (99.7) |
| Do you remark on the cariogenic effects of going to bed with a bottle? | ||
| Always and routinely | 228 (63.5) | |
| Occasionally | 115 (32.0) | |
| Never | 16 (4.5) | |
| Do you believe that breastfeeding is an aetiological factor in tooth decay? | ||
| Yes | 81 (22.6) | |
| No | 243 (67.7) | |
| I do not know | 35 (9.7) | |
| Questions | Participants n (%) |
|---|---|
| Do you indicate how to brush your patients’ teeth? | |
| Always and routinely | 128 (35.6) |
| Occasionally | 171 (47.6) |
| Never | 60 (16.7) |
| Up to what age should parents supervise brushing? | |
| Until the child can do it alone | 123 (34.3) |
| Up to 3 years of age | 13 (3.6) |
| Up to 7–8 years of age | 217 (60.4) |
| Never | 6 (1.7) |
| Do you recommend the use of dental floss? | |
| Always and routinely | 30 (8.4) |
| Occasionally | 102 (28.4) |
| Never | 117 (32.6) |
| Depends on age | 110 (30.6) |
| Do you recommend fluoride toothpaste? | |
| Always and routinely | 231 (64.3) |
| Occasionally | 29 (8.1) |
| Never | 8 (2.2) |
| Depends on age | 91 (25.3) |
| For children under 6 years of age, do you recommend the use of fluoride mouth rinses? | |
| Always and routinely | 10 (2.8) |
| Occasionally | 73 (20.3) |
| Never | 241 (67.1) |
| Depends on age | 35 (9.7) |
| For children under 6 years of age, what concentration of fluoride toothpaste do you recommend? | |
| 1450 ppm F | 36 (10.0) |
| 1000 ppm F | 190 (52.9) |
| 500 ppm F | 41 (11.4) |
| I do not know | 92 (25.6) |
| Do you prescribe fluoride tablets or drops for children under 3 years of age? | |
| Always | 0 (0.0) |
| Occasionally | 21 (5.8) |
| Never | 338 (94.1) |
| N (%) | ||
|---|---|---|
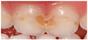
IMAGE 1![]() | Caries | 69 (19.2) |
| Enamel defect | 249 (69.4) | |
| No dental lesions | 15 (4.2) | |
| I do not know | 26 (7.2) | |
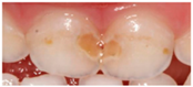
IMAGE 2![]() | Dental caries | 244 (68.0) |
| Enamel defects | 86 (24.0) | |
| No dental lesions | 8 (2.2) | |
| I do not know | 21 (5.8) | |
IMAGE 3![]() | Dental caries | 294 (81.9) |
| Enamel defects | 53 (14.8) | |
| No dental lesions | 12 (3.3) | |
| I do not know | 0 (0.0) | |
IMAGE 4![]() | Dental caries | 40 (11.1) |
| Enamel defects | 284 (79.1) | |
| No dental lesions | 13 (3.6) | |
| I do not know | 22 (6.1) |
| Years of Professional Experience n (%) | ||||||
|---|---|---|---|---|---|---|
| Questions | ≤10 Years | 11–20 Years | 21–30 Years | 31–40 Years | ≥40 Years | p Value * |
| Brushing with fluoride toothpaste: | ||||||
| First tooth eruption | 86 (24.0) | 66 (18.4) | 34 (9.5) | 19 (5.3) | 1 (0.3) | p < 0.05 |
| First visit to the dentist: | ||||||
| 1 year | 8 (2.2) | 10 (2.8) | 4 (1.1) | 0 | 0 | p < 0.05 |
| 3 years | 64 (17.8) | 40 (11.1) | 33 (9.2) | 18 (5.0) | 3 (0.8) | |
| Do you examine the patient’s teeth from the first year of life? | ||||||
| Always and routinely | 82 (22.8) | 81 (22.6) | 77 (21.4) | 50 (14.0) | 8 (2.2) | p < 0.05 |
| Do you provide oral health education to parents? | ||||||
| Always and routinely | 72 (20.1) | 75 (20.9) | 75 (20.9) | 46 (12.0) | 6 (1.7) | p < 0.05 |
| When do you refer your patients to a paediatric dentist? | ||||||
| Always and routinely | 38 (10.6) | 54 (15.0) | 49 (13.6) | 30 (8.4) | 3 (0.8) | p < 0.05 |
| Dental problems | 73 (20.3) | 47 (13.1) | 35 (9.7) | 21 (5.8) | 5 (1.4) | |
| Is dental caries a communicable disease? | ||||||
| Yes | 55 (15.3) | 60 (16.7) | 33 (9.2) | 25 (7.0) | 1 (0.3) | p < 0.05 |
| No | 47 (13.1) | 33 (9.2) | 46 (12.8) | 27 (7.5) | 6 (1.7) | |
| Aetiological factors: (multiple choice) | ||||||
| Diet and bacteria | 112 (31.2) | 100 (27.9) | 84 (23.4) | 50 (13.9) | 8 (2.2) | p < 0.05 |
| Fluoride | 92 (25.6) | 80 (22.3) | 51 (14.2) | 35 (9.7) | 5 (1.4) | |
| Saliva | 86 (24.0) | 84 (23.4) | 60 (16.7) | 29 (8.1) | 2 (0.6) | |
| Do you remark on the cariogenic effects of going to bed with a bottle? | ||||||
| Always and routinely | 50 (13.93) | 64 (17.8) | 66 (18.4) | 42 (11.7) | 6 (1.7) | p < 0.05 |
| Do you recommend fluoride toothpaste? | ||||||
| Always and routinely | 84 (23.4) | 70 (19.5) | 48 (13.4) | 26 (7.2) | 3 (0.8) | p < 0.05 |
| For children under 6, do you recommend the use of fluoride mouth rinses? | ||||||
| Never | 79 (22.0) | 71 (19.8) | 52 (14.5) | 34 (9.5) | 5 (1.4) | p < 0.05 |
| For children under 6, what concentration of fluoride toothpaste do you recommend? | ||||||
| 1000 ppm F | 70 (19.5) | 58 (16.2) | 39 (10.9) | 21 (5.8) | 2 (0.6) | p < 0.05 |
| Do you prescribe fluoride tablets or drops for children under 3 years of age? | ||||||
| Never | 107 (29.8) | 99 (27.6) | 77 (21.4) | 49 (13.6) | 6 (1.7) | p < 0.05 |
| IMAGE 3 | ||||||
| Caries | 102 (28.4) | 83 (23.1) | 66 (18.4) | 37 (10.3) | 6 (1.7) | p < 0.05 |
| IMAGE 4 | ||||||
| Enamel defects | 92 (25.6) | 83 (23.1) | 60 (16.7) | 43 (12.0) | 6 (1.7) | p < 0.05 |
Publisher’s Note: MDPI stays neutral with regard to jurisdictional claims in published maps and institutional affiliations. |
© 2022 by the authors. Licensee MDPI, Basel, Switzerland. This article is an open access article distributed under the terms and conditions of the Creative Commons Attribution (CC BY) license (https://creativecommons.org/licenses/by/4.0/).
Share and Cite
Martínez-Beneyto, Y.; Navarrete-García, C.; Serna-Muñoz, C.; Ausina-Márquez, V.; Poza-Pascual, A.; Expósito-Delgado, A.J.; Vicente, A.; Ortiz-Ruiz, A.J. Spanish Paediatricians’ Knowledge, Attitudes and Practices Regarding Oral Health of Children under 6 Years of Age: A Cross-Sectional Study. Int. J. Environ. Res. Public Health 2022, 19, 9550. https://doi.org/10.3390/ijerph19159550
Martínez-Beneyto Y, Navarrete-García C, Serna-Muñoz C, Ausina-Márquez V, Poza-Pascual A, Expósito-Delgado AJ, Vicente A, Ortiz-Ruiz AJ. Spanish Paediatricians’ Knowledge, Attitudes and Practices Regarding Oral Health of Children under 6 Years of Age: A Cross-Sectional Study. International Journal of Environmental Research and Public Health. 2022; 19(15):9550. https://doi.org/10.3390/ijerph19159550
Chicago/Turabian StyleMartínez-Beneyto, Yolanda, Celia Navarrete-García, Clara Serna-Muñoz, Veronica Ausina-Márquez, Andrea Poza-Pascual, Antonio Javier Expósito-Delgado, Ascensión Vicente, and Antonio J. Ortiz-Ruiz. 2022. "Spanish Paediatricians’ Knowledge, Attitudes and Practices Regarding Oral Health of Children under 6 Years of Age: A Cross-Sectional Study" International Journal of Environmental Research and Public Health 19, no. 15: 9550. https://doi.org/10.3390/ijerph19159550
APA StyleMartínez-Beneyto, Y., Navarrete-García, C., Serna-Muñoz, C., Ausina-Márquez, V., Poza-Pascual, A., Expósito-Delgado, A. J., Vicente, A., & Ortiz-Ruiz, A. J. (2022). Spanish Paediatricians’ Knowledge, Attitudes and Practices Regarding Oral Health of Children under 6 Years of Age: A Cross-Sectional Study. International Journal of Environmental Research and Public Health, 19(15), 9550. https://doi.org/10.3390/ijerph19159550





