The Transaxillary Route as a Second Access Option in TAVI Procedures: Experience of a Single Centre
Abstract
:1. Introduction
2. Materials and Methods
2.1. Patient Population
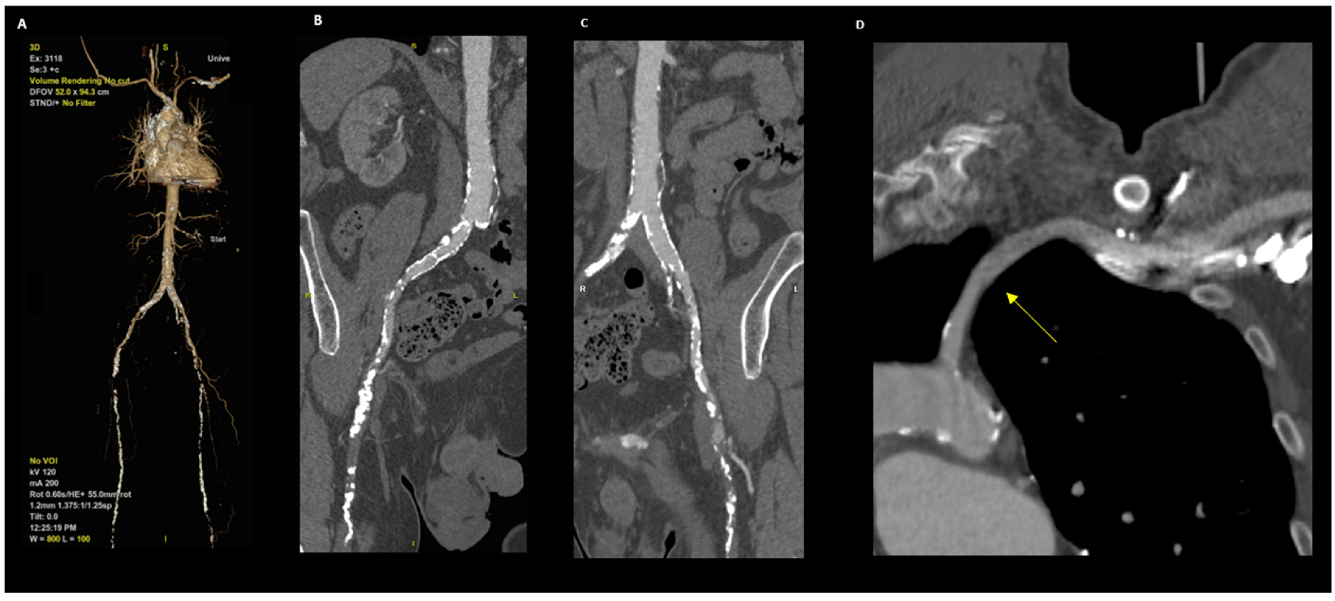
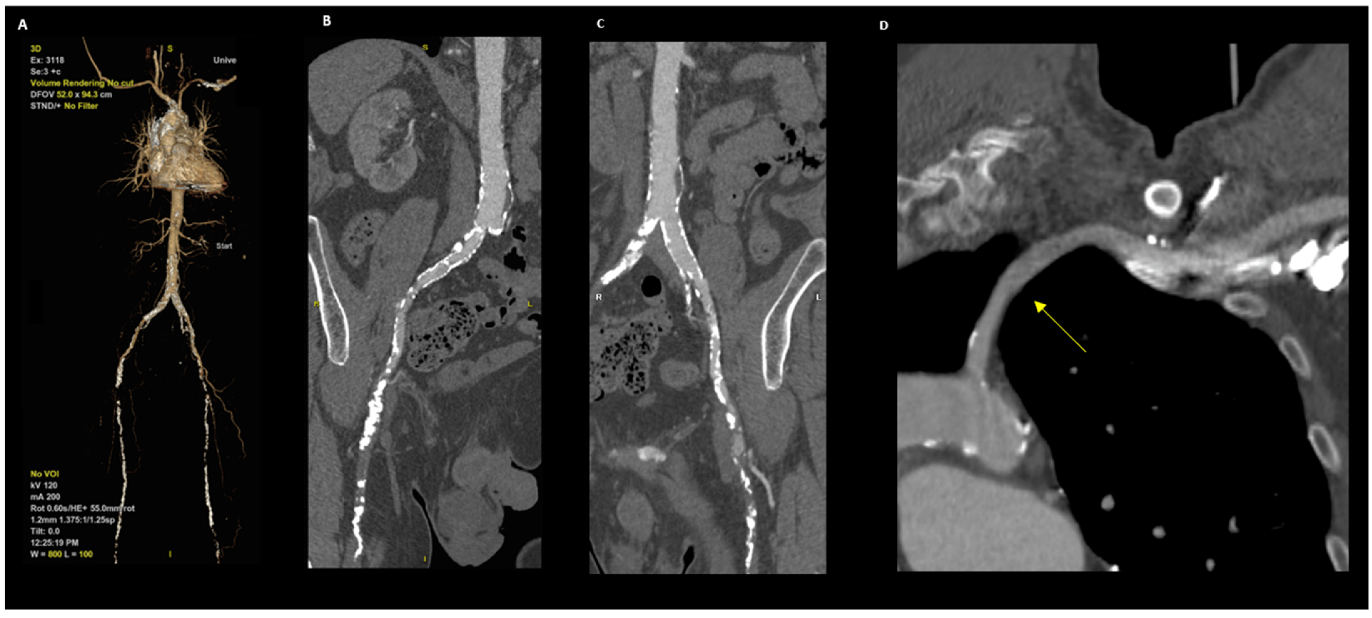
2.2. Transaxillary Technique
2.3. Anesthetic Management
2.4. Statistical Analysis
3. Results
3.1. Study Population
3.2. Intraprocedural Management and Outcomes
3.3. Postprocedural and Thirty-Day Outcomes
4. Discussion
5. Conclusion
Author Contributions
Funding
Institutional Review Board Statement
Informed Consent Statement
Data Availability Statement
Conflicts of Interest
References
- Baumgartner, H.; Falk, V.; Bax, J.J.; De Bonis, M.; Hamm, C.; Holm, P.J.; Iung, B.; Lancellotti, P.; Lansac, E.; Rodriguez Muñoz, D.; et al. 2017 ESC/EACTS Guidelines for the management of valvular heart disease. Eur. Heart J. 2017, 38, 2739–2791. [Google Scholar] [CrossRef] [PubMed]
- Ussia, G.P.; Sarkar, K.; Cammalleri, V.; Marchei, M.; Muscoli, S.; De Vico, P.; Rubino, D.; De Persis, F.; Macrini, M.; Romeo, F. Clinical results with the 31 mm CoreValvea in large aortic annuli: The importance of implantation technique. EuroIntervention 2015, 10, e1–e8. [Google Scholar] [CrossRef] [PubMed] [Green Version]
- Mack, M.J.; Leon, M.B.; Thourani, V.H.; Makkar, R.; Kodali, S.K.; Russo, M.; Kapadia, S.R.; Malaisrie, S.C.; Cohen, D.J.; Pibarot, P.; et al. Transcatheter Aortic-Valve Replacement with a Balloon-Expandable Valve in Low-Risk Patients. N. Engl. J. Med. 2019, 380, 1695–1705. [Google Scholar] [CrossRef]
- Popma, J.J.; Deeb, G.M.; Yakubov, S.J.; Mumtaz, M.; Gada, H.; O’Hair, D.; Bajwa, T.; Heiser, J.C.; Merhi, W.; Kleiman, N.S.; et al. Transcatheter Aortic-Valve Replacement with a Self-Expanding Valve in Low-Risk Patients. N. Engl. J. Med. 2019, 380, 1706–1715. [Google Scholar] [CrossRef] [PubMed]
- Sergi, D.; Acconcia, M.C.; Muscoli, S.; A Perrone, M.; Cammalleri, V.; Di Luozzo, M.; Marchei, M.; Giannoni, M.F.; Barillà, F.; Gaudio, C.; et al. Meta-analysis of the impact on early and late mortality of TAVI compared to surgical aortic valve replacement in high and low-intermediate surgical risk patients. Eur. Rev. Med. Pharmacol. Sci. 2019, 23, 5402–5412. [Google Scholar] [CrossRef] [PubMed]
- Marano, R.; Pontone, G.; Agricola, E.; Alushi, B.; Bartorelli, A.; Cameli, M.; Carrabba, N.; Esposito, A.; Faletti, R.; Francone, M.; et al. Recommendations in pre-procedural imaging assessment for TAVI intervention: SIC-SIRM position paper part 2 (CT and MR angiography, standard medical reporting, future perspectives). Radiol. Med. 2022, 127, 277–293. [Google Scholar] [CrossRef] [PubMed]
- Chiocchi, M.; Pugliese, L.; D’Errico, F.; Di Tosto, F.; Cerimele, C.; Pasqualetto, M.; De Stasio, V.; Presicce, M.; Spiritigliozzi, L.; Di Donna, C.; et al. Transcatheter aortic valve implantation in patients with unruptured aortic root pseudoaneurysm: An observational study. J. Cardiovasc. Med. 2022, 23, 185–190. [Google Scholar] [CrossRef]
- Latsios, G.; Gerckens, U.; Grube, E. Transaortic transcatheter aortic valve implantation: A novel approach for the truly “no-access option” patients. Catheter. Cardiovasc. Interv. 2010, 75, 1129–1136. [Google Scholar] [CrossRef]
- Walther, T.; Simon, P.; Dewey, T.; Wimmer-Greinecker, G.; Falk, V.; Kasimir, M.T.; Doss, M.; Borger, M.A.; Schuler, G.; Glogar, D.; et al. Transapical minimally invasive aortic valve implantation: Multicenter experience. Circulation 2007, 116, I240–I245. [Google Scholar] [CrossRef] [Green Version]
- Modine, T.; Sudre, A.; Delhaye, C.; Fayad, G.; Lemesle, G.; Collet, F.; Koussa, M. Transcutaneous aortic valve implantation using the left carotid access: Feasibility and early clinical outcomes. Ann. Thorac. Surg. 2012, 93, 1489–1494. [Google Scholar] [CrossRef]
- Ussia, G.P.; Cammalleri, V.; Marchetti, A.A.; Sarkar, K.; De Vico, P.; Muscoli, S.; Sergi, D.; Marchei, M.; Ippoliti, A.; Romeo, F. Transcatheter aortic valve implantation through distal axillary artery: Novel option for vascular access. J. Cardiovasc. Med. 2015, 16, 271–278. [Google Scholar] [CrossRef] [PubMed]
- Overtchouk, P.; Prendergast, B.; Modine, T. Why should we extend transcatheter aortic valve implantation to low-risk patients? A comprehensive review. Arch. Cardiovasc. Dis. 2019, 112, 354–362. [Google Scholar] [CrossRef] [PubMed]
- Pravda, N.S.; Codner, P.; Assa, H.V.; Witberg, G.; Assali, A.; Orvin, K.; Hamdan, A.; Belosesky, Y.; Barsheshet, A.; Sharoni, R.; et al. Long Term Outcomes of Patients Treated With Transcatheter Aortic Valve Implantation. Am. J. Cardiol. 2021, 141, 72–78. [Google Scholar] [CrossRef]
- Taramasso, M.; Maisano, F.; Cioni, M.; Denti, P.; Godino, C.; Montorfano, M.; Colombo, A.; Alfieri, O. Trans-apical and trans-axillary percutaneous aortic valve implantation as alternatives to the femoral route: Short- and middle-term results. Eur. J. Cardiothorac. Surg. 2011, 40, 49–55. [Google Scholar] [CrossRef]
- Joint Task Force on the Management of Valvular Heart Disease of the European Society of Cardiology (ESC); European Association for Cardio-Thoracic Surgery (EACTS); Vahanian, A.; Alfieri, O.; Andreotti, F.; Antunes, M.J.; Barón-Esquivias, G.; Baumgartner, H.; Borger, M.; Carrel, T.P.; et al. Guidelines on the management of valvular heart disease (version 2012). Eur. Heart J. 2012, 33, 2451–2496. [Google Scholar] [CrossRef] [Green Version]
- KKappetein, A.P.; Head, S.J.; Généreux, P.; Piazza, N.; van Mieghem, N.M.; Blackstone, E.H.; Brott, T.G.; Cohen, D.J.; Cutlip, D.E.; van Es, G.-A.; et al. Updated standardized endpoint definitions for transcatheter aortic valve implantation: The Valve Academic Research Consortium-2 consensus document. J. Am. Coll. Cardiol. 2012, 60, 1438–1454. [Google Scholar] [CrossRef] [Green Version]
- ZZhan, Y.; Toomey, N.; Ortoleva, J.; Kawabori, M.; Weintraub, A.; Chen, F.Y. Safety and efficacy of transaxillary transcatheter aortic valve replacement using a current-generation balloon-expandable valve. J. Cardiothorac. Surg. 2020, 15, 244. [Google Scholar] [CrossRef]
- Cammalleri, V.; Idone, G.; Cosma, J.; Marino, M.M.; Mauceri, A.; Stifano, G.; Muscoli, S.; Boffi, F.; DE Persis, F.; DE Vico, P.; et al. Lambl’s excrescence in transcatheter aortic valve implantation: Prevalence and risk of embolic events. Minerva. Cardiol. Angiol. 2022, 70, 8–15. [Google Scholar] [CrossRef]
- Cammalleri, V.; Muscoli, S.; Versaci, F.; Romeo, F. Periprocedural anemia management in severe aortic stenosis patients undergoing transcatheter aortic valve implantation. J. Cardiol. 2020, 75, 117–123. [Google Scholar] [CrossRef]
- Gleason, T.G.; Schindler, J.T.; Hagberg, R.C.; Deeb, G.M.; Adams, D.H.; Conte, J.V.; Zorn, G.L.; Hughes, G.C.; Guo, J.; Popma, J.J.; et al. Subclavian/Axillary Access for Self-Expanding Transcatheter Aortic Valve Replacement Renders Equivalent Outcomes as Transfemoral. Ann. Thorac. Surg. 2018, 105, 477–483. [Google Scholar] [CrossRef] [Green Version]
- Schäfer, U.; Ho, Y.; Frerker, C.; Schewel, D.; Sanchez-Quintana, D.; Schofer, J.; Bijuklic, K.; Meincke, F.; Thielsen, T.; Kreidel, F.; et al. Direct Percutaneous Access Technique for Transaxillary Transcatheter Aortic Valve Implantation. JACC Cardiovasc. Interv. 2012, 5, 477–486. [Google Scholar] [CrossRef] [PubMed] [Green Version]
- Guarracino, F.; Covello, R.D.; Landoni, G.; Baldassarri, R.; Stefani, M.; Cariello, C.; Ruggeri, L.; Franco, A.; Gerli, C.; Pappalardo, F.; et al. Anesthetic management of transcatheter aortic valve implantation with transaxillary approach. J. Cardiothorac. Vasc. Anesth. 2011, 25, 437–443. [Google Scholar] [CrossRef] [PubMed]


| TF Group | TAX Group | p Value | |
|---|---|---|---|
| n = 245 | n = 17 | ||
| Characteristics of the population | |||
| Age (years), mean ± SD | 81.81 ± 6.66 | 80.35 ± 9.52 | 0.394 |
| Men, n (%) | 112 (45.7) | 15 (88.2) | 0.001 |
| Body surface area (m2), mean ± SD | 26.34 ± 4.29 | 24.74 ± 6.31 | 0.152 |
| Dyslipidemia, n (%) | 143 (58.4) | 12 (70.6) | 0.322 |
| Arterial hypertension, n (%) | 205 (83.7) | 16 (94.1) | 0.252 |
| Diabetes, n (%) | 79 (32.2) | 3 (17.6) | 0.209 |
| Current smoker, n (%) | 88 (35.9) | 11 (64.7) | 0.001 |
| Familiarity, n (%) | 50 (20.4) | 5 (29.4) | 0.566 |
| History of CAD, n (%) | 75 (30.6) | 10 (58.8) | 0.033 |
| CKD | 168 (69.49) | 6 (35.3) | 0.004 |
| COPD | 111 (45.3) | 9 (52.9) | 0.541 |
| CND | 21 (8.6) | 3 (17.6) | 0.210 |
| CABG | 31 (12.7) | 4 (23.5) | 0.202 |
| PTCA | 51 (20.8) | 7 (41.2) | 0.051 |
| Prior MI | 46 (18.8) | 6 (35.3) | 0.099 |
| Prior TIA | 11 (4.5) | 4 (23.5) | 0.001 |
| Prior stroke | 11 (4.5) | 3 (17.3) | 0.020 |
| EF, mean ± SD | 49.86 ± 10.86 | 48.87 ± 9.39 | 0.611 |
| EUROSCORE II% ± SD | 6.83 | 11.27 (7.33–17.5) | 0.014 |
| STS mortality | 5.56 (3.42–15.05) | 7.59 (5.74–8.85) | 0.372 |
| STS mortality and morbidity | 23.67 (15.09–45.56) | 29.48 (25.81–35.41) | 0.237 |
| TF Group | TAX Group | p Value | |
|---|---|---|---|
| n = 245 | n = 17 | ||
| Procedural data | |||
| Device success, n (%) | 238 (97.1) | 17 (100) | 0.480 |
| Procedural time, min | 71 (60–86) | 150 (114.5–165.5) | 0.001 |
| Fluoroscopy time, min | 19.9 (34.5–60) | 21(17–25) | 0.718 |
| Device time, min | 3.35 (1–11) | 2.5 (1–7) | 0.034 |
| Valve-in-valve, n | 10 (4.1) | 0 (0) | 0.845 |
| Balloon postdilation, mean ± SD | 24 (9.8) | 1 (5.9) | 0.917 |
| Overall intraprocedural complication,% | 71 (29) | 7 (41.2) | 0.304 |
| CPR | 12 (4.9) | 1 (5.9) | 0.857 |
| Intraprocedural arrhythmia complications | 75 (30.6) | 4 (23.5) | 0.525 |
| In-hospital data | |||
| In-CCU stay, days mean ± SD | 3 (2–4) | 3 (2–5) | 0.442 |
| In-hospital stay, days | 5 (4–7) | 7 (6–9) | 0.005 |
| Overall postprocedural complication, n, (%) | 73 (29.8) | 7 (41.2) | 0.330 |
| Overall vascular complication, n (%) | 20 (8.2) | 1 (5.9) | 0.731 |
| Overall bleeding (>2 blood unit), n (%) | 23 (9.4) | 6 (35.3) | 0.001 |
| Neurological complications | 1 (0.4) | 3 (17.6) | 0.001 |
| Post-procedural arrhythmia complications | 72 (29.4) | 4 (23.5) | 0.6 |
| Acute kidney injury, n (%) | 10 (4.1) | 1 (5.9) | 0.789 |
| Pacemaker implantation, n (%) | 77 (31.4) | 4 (23.5) | 0.682 |
| TF Group | TAX Group | p Value | |
|---|---|---|---|
| n = 245 | n = 17 | ||
| All-cause mortality, n (%) | 4 (1.6) | 0 (0) | 0.595 |
| All stroke, n (%) | 0 (0) | 0 (0) | 0.708 |
| Life-threating bleeding, n (%) | 2 (0.8) | 0 (0) | 0.708 |
| AKI, n (%) | 2 (0.8) | 0 (0) | |
| Coronary artery obstruction, n (%) | 0 (0) | 0 (0) | |
| Major vascular complication, n (%) | 4 (1.6) | 0 (0) | 0.595 |
| Repeated procedure for valve dysfunction, n (%) | 0 (0) | 0 (0) | 0 |
| Hospitalizations for valve-related symptoms or HF, n (%) | 2 (0.8) | 0 (0) | 0.708 |
| NYHA III/IV, n (%) | 2 (0.8) | 0 (0) | 0.708 |
| Valve dysfunction, n (%) | 2 (0.8) | 0 (0) | 0.708 |
Publisher’s Note: MDPI stays neutral with regard to jurisdictional claims in published maps and institutional affiliations. |
© 2022 by the authors. Licensee MDPI, Basel, Switzerland. This article is an open access article distributed under the terms and conditions of the Creative Commons Attribution (CC BY) license (https://creativecommons.org/licenses/by/4.0/).
Share and Cite
Muscoli, S.; Cammalleri, V.; Bonanni, M.; Prandi, F.R.; Sanseviero, A.; Massaro, G.; Di Luozzo, M.; Chiocchi, M.; Ascoli Marchetti, A.; Ippoliti, A.; et al. The Transaxillary Route as a Second Access Option in TAVI Procedures: Experience of a Single Centre. Int. J. Environ. Res. Public Health 2022, 19, 8649. https://doi.org/10.3390/ijerph19148649
Muscoli S, Cammalleri V, Bonanni M, Prandi FR, Sanseviero A, Massaro G, Di Luozzo M, Chiocchi M, Ascoli Marchetti A, Ippoliti A, et al. The Transaxillary Route as a Second Access Option in TAVI Procedures: Experience of a Single Centre. International Journal of Environmental Research and Public Health. 2022; 19(14):8649. https://doi.org/10.3390/ijerph19148649
Chicago/Turabian StyleMuscoli, Saverio, Valeria Cammalleri, Michela Bonanni, Francesca Romana Prandi, Angela Sanseviero, Gianluca Massaro, Marco Di Luozzo, Marcello Chiocchi, Andrea Ascoli Marchetti, Arnaldo Ippoliti, and et al. 2022. "The Transaxillary Route as a Second Access Option in TAVI Procedures: Experience of a Single Centre" International Journal of Environmental Research and Public Health 19, no. 14: 8649. https://doi.org/10.3390/ijerph19148649
APA StyleMuscoli, S., Cammalleri, V., Bonanni, M., Prandi, F. R., Sanseviero, A., Massaro, G., Di Luozzo, M., Chiocchi, M., Ascoli Marchetti, A., Ippoliti, A., Zingaro, A., Ussia, G. P., Romeo, F., & De Vico, P. (2022). The Transaxillary Route as a Second Access Option in TAVI Procedures: Experience of a Single Centre. International Journal of Environmental Research and Public Health, 19(14), 8649. https://doi.org/10.3390/ijerph19148649

