An Exaggerated Rise in Pulmonary Artery Pressure in a High-Altitude Dweller during the Cold Season
Abstract
1. Introduction
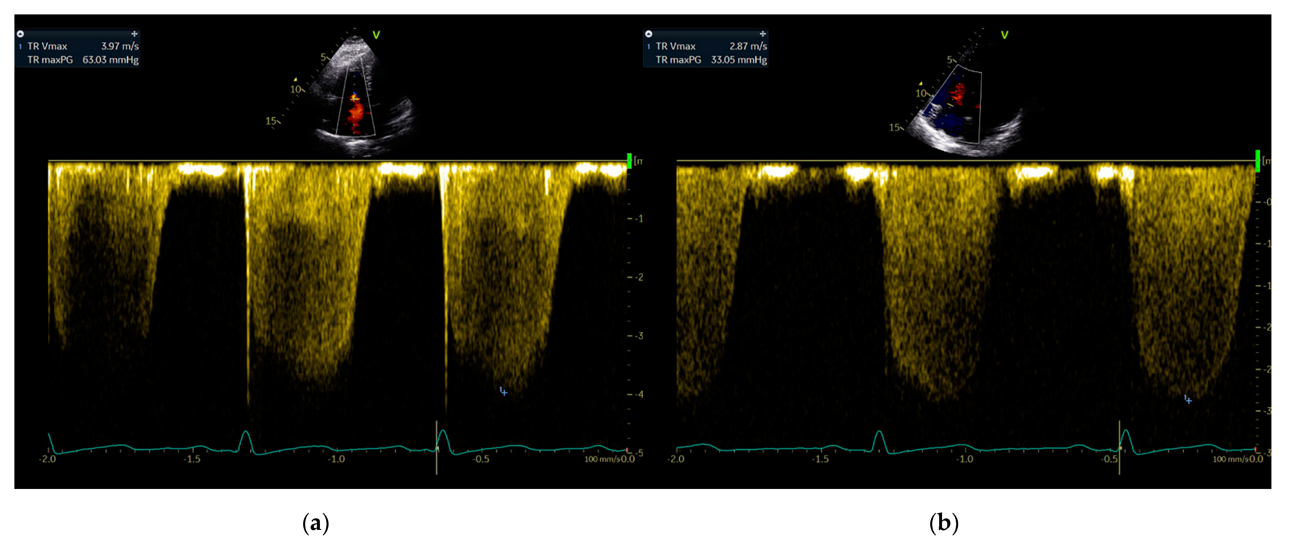
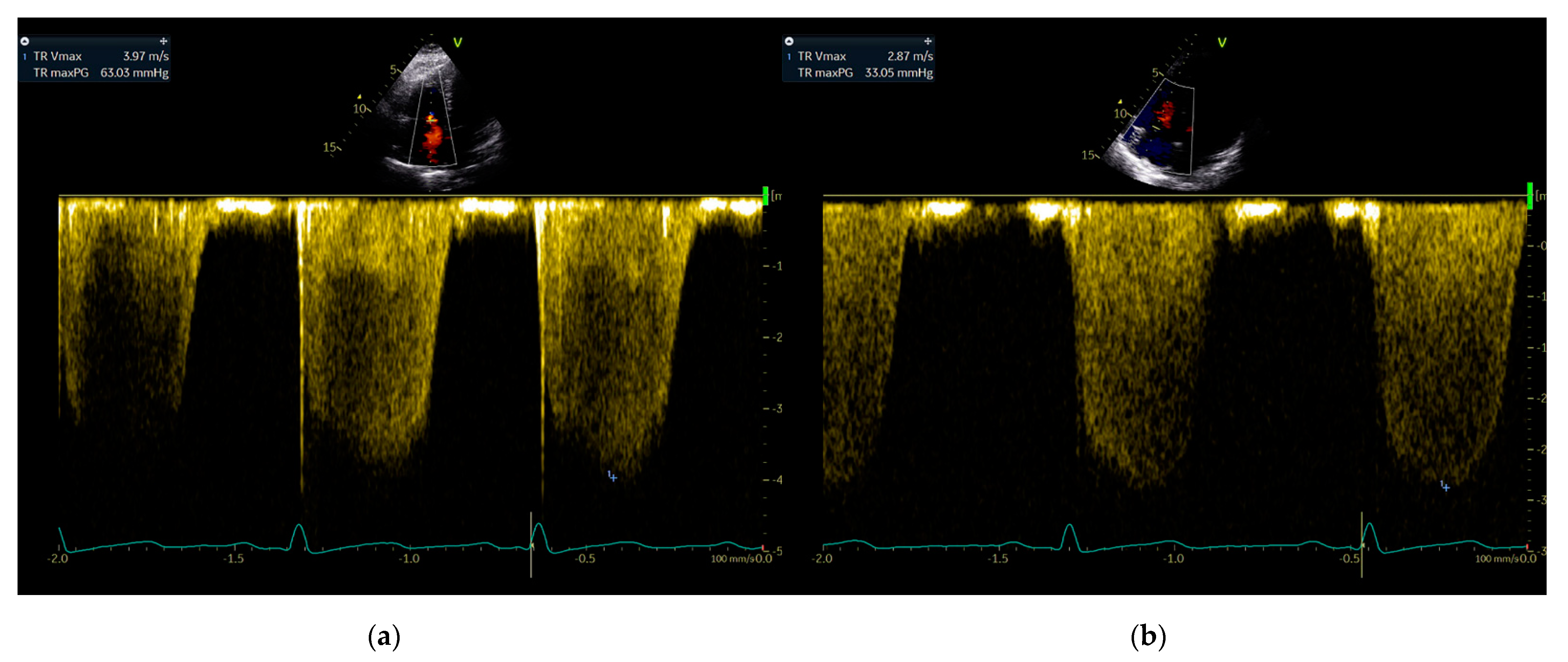
2. Case Report
3. Discussion
4. Conclusions
Author Contributions
Funding
Institutional Review Board Statement
Informed Consent Statement
Data Availability Statement
Conflicts of Interest
References
- Sydykov, A.; Mamazhakypov, A.; Maripov, A.; Kosanovic, D.; Weissmann, N.; Ghofrani, H.A.; Sarybaev, A.S.; Schermuly, R.T. Pulmonary Hypertension in Acute and Chronic High Altitude Maladaptation Disorders. Int. J. Environ. Res. Public Health 2021, 18, 1692. [Google Scholar] [CrossRef] [PubMed]
- Hasan, B.; Hansmann, G.; Budts, W.; Heath, A.; Hoodbhoy, Z.; Jing, Z.C.; Koestenberger, M.; Meinel, K.; Mocumbi, A.O.; Radchenko, G.D.; et al. Challenges and Special Aspects of Pulmonary Hypertension in Middle- to Low-Income Regions: JACC State-of-the-Art Review. J. Am. Coll. Cardiol. 2020, 75, 2463–2477. [Google Scholar] [CrossRef] [PubMed]
- Stuber, T.; Sartori, C.; Schwab, M.; Jayet, P.Y.; Rimoldi, S.F.; Garcin, S.; Thalmann, S.; Spielvogel, H.; Salmon, C.S.; Villena, M.; et al. Exaggerated pulmonary hypertension during mild exercise in chronic mountain sickness. Chest 2010, 137, 388–392. [Google Scholar] [CrossRef]
- Soria, R.; Egger, M.; Scherrer, U.; Bender, N.; Rimoldi, S.F. Pulmonary arterial pressure at rest and during exercise in chronic mountain sickness: A meta-analysis. Eur. Respir. J. 2019, 53, 1802040. [Google Scholar] [CrossRef] [PubMed]
- Hultgren, H.N.; Grover, R.F.; Hartley, L.H. Abnormal circulatory responses to high altitude in subjects with a previous history of high-altitude pulmonary edema. Circulation 1971, 44, 759–770. [Google Scholar] [CrossRef]
- Yagi, H.; Yamada, H.; Kobayashi, T.; Sekiguchi, M. Doppler assessment of pulmonary hypertension induced by hypoxic breathing in subjects susceptible to high altitude pulmonary edema. Am. Rev. Respir. Dis. 1990, 142, 796–801. [Google Scholar] [CrossRef]
- Kawashima, A.; Kubo, K.; Kobayashi, T.; Sekiguchi, M. Hemodynamic responses to acute hypoxia, hypobaria, and exercise in subjects susceptible to high-altitude pulmonary edema. J. Appl. Physiol. 1989, 67, 1982–1989. [Google Scholar] [CrossRef]
- Grunig, E.; Mereles, D.; Hildebrandt, W.; Swenson, E.R.; Kubler, W.; Kuecherer, H.; Bartsch, P. Stress Doppler echocardiography for identification of susceptibility to high altitude pulmonary edema. J. Am. Coll. Cardiol. 2000, 35, 980–987. [Google Scholar] [CrossRef]
- Masud ul Hasan Nuri, M.; Khan, M.Z.; Quraishi, M.S. High altitude pulmonary oedema--response to exercise and cold on systemic and pulmonary vascular beds. JPMA J. Pak. Med. Assoc. 1988, 38, 211–217. [Google Scholar] [PubMed]
- Soria, R.; Egger, M.; Scherrer, U.; Bender, N.; Rimoldi, S.F. Pulmonary artery pressure and arterial oxygen saturation in people living at high or low altitude: Systematic review and meta-analysis. J. Appl. Physiol. 2016, 121, 1151–1159. [Google Scholar] [CrossRef] [PubMed]
- Greiner, S.; Jud, A.; Aurich, M.; Hess, A.; Hilbel, T.; Hardt, S.; Katus, H.A.; Mereles, D. Reliability of Noninvasive Assessment of Systolic Pulmonary Artery Pressure by Doppler Echocardiography Compared to Right Heart Catheterization: Analysis in a Large Patient Population. J. Am. Heart Assoc. 2014, 3. [Google Scholar] [CrossRef]
- Maripov, A.; Mamazhakypov, A.; Karagulova, G.; Sydykov, A.; Sarybaev, A. High altitude pulmonary hypertension with severe right ventricular dysfunction. Int. J. Cardiol. 2013, 168, e89–e90. [Google Scholar] [CrossRef]
- Narayan, J.; Ghildiyal, A.; Goyal, M.; Verma, D.; Singh, S.; Tiwari, S. Cold pressor response in high landers versus low landers. J. Clin. Diagn. Res. JCDR 2014, 8, Bc08–Bc11. [Google Scholar] [CrossRef]
- Tipton, M. A case for combined environmental stressor studies. Extrem. Physiol. Med. 2012, 1, 7. [Google Scholar] [CrossRef]
- Glover, G.H.; Newsom, I.E. Brisket Disease (Dropsy of High Altitudes); Agricultural Experiment Station of the Agricultural College of Colorado: Fort Collins, CO, USA, 1915; Volume 204. [Google Scholar]
- Jensen, R.; Pierson, R.E.; Braddy, P.M.; Saari, D.A.; Benitez, A.; Horton, D.P.; Lauerman, L.H.; McChesney, A.E.; Alexander, A.F.; Will, D.H. Brisket disease in yearling feedlot cattle. J. Am. Vet. Med. Assoc. 1976, 169, 515–517. [Google Scholar] [PubMed]
- Will, D.H.; McMurtry, I.F.; Reeves, J.T.; Grover, R.F. Cold-induced pulmonary hypertension in cattle. J. Appl. Physiol. Respir. Environ. Exerc. Physiol. 1978, 45, 469–473. [Google Scholar] [CrossRef] [PubMed]
- Busch, M.A.; Tucker, A.; Robertshaw, D. Interaction between cold and altitude exposure on pulmonary circulation of cattle. J. Appl. Physiol. 1985, 58, 948–953. [Google Scholar] [CrossRef]
- McMurtry, I.F.; Reeves, J.T.; Will, D.H.; Grover, R.F. Hemodynamic and ventilatory effects of skin-cooling in cattle. Experientia 1975, 31, 1303–1304. [Google Scholar] [CrossRef] [PubMed]
- Petrovic, A.; Seimetz, M.; Sydykov, A.; Pak, O.; Veit, F.; Luitel, H.; Weissmann, N.; Schermuly, R.T.; Kosanovic, D. Cold-induced pulmonary hypertension: A distinctive pathological entity of the pulmonary circulation? PVRI Chron. 2015, 2, 14–17. [Google Scholar]
- Kuhn, L.A.; Turner, J.K. Alterations in pulmonary and peripheral vascular resistance in immersion hypothermia. Circ. Res. 1959, 7, 366–374. [Google Scholar] [CrossRef] [PubMed]
- Galletti, P.M.; Salisbury, P.F.; Rieben, A. Influence of Blood Temperature on the Pulmonary Circulation. Circ. Res. 1958, 6, 275–282. [Google Scholar] [CrossRef]
- Kashimura, O. Effects of acute exposure to cold on pulmonary arterial blood pressure in awake rats. Nihon Eiseigaku Zasshi. Jpn. J. Hyg. 1993, 48, 859–863. [Google Scholar] [CrossRef] [PubMed][Green Version]
- Watanabe, K.; Koizumi, T.; Ruan, Z.; Kubo, K.; Sakai, A.; Shibamoto, T. Reduced pulmonary vascular reactivity after cold exposure to acute hypoxia: A role of nitric oxide (NO). High. Alt. Med. Biol. 2007, 8, 43–49. [Google Scholar] [CrossRef]
- Crosswhite, P.; Sun, Z. Inhibition of phosphodiesterase-1 attenuates cold-induced pulmonary hypertension. Hypertension 2013, 61, 585–592. [Google Scholar] [CrossRef] [PubMed]
- Crosswhite, P.; Chen, K.; Sun, Z. AAV delivery of tumor necrosis factor-alpha short hairpin RNA attenuates cold-Induced pulmonary hypertension and pulmonary arterial remodeling. Hypertension 2014. [Google Scholar] [CrossRef]
- Van Bui, M.; Banchero, N. Effects of chronic exposure to cold or hypoxia on ventricular weights and ventricular myoglobin concentrations in guinea pigs during growth. Pflug. Archiv. Eur. J. Physiol. 1980, 385, 155–160. [Google Scholar] [CrossRef]
- Banchero, N.; Van Bui, M.; Smith, S.L. Ventricular weights in guinea pigs acclimated to cold plus hypoxia. Proc. Soc. Exp. Biol. Med. Soc. Exp. Biol. Med. 1987, 186, 36–40. [Google Scholar] [CrossRef]
- Sakai, A.; Takeshi, I.; Tomonobu, K.; Takayuki, M. Pulmonary Adaptation To High Altitude In Wild Mammals; Springer: Dordrecht, The Netherland, 2007; pp. 101–117. [Google Scholar]
- Chauca, D.; Bligh, J. An additive effect of cold exposure and hypoxia on pulmonary artery pressure in sheep. Res. Vet. Sci. 1976, 21, 123–124. [Google Scholar] [CrossRef]
- Sato, T.; Tezuka, K.; Shibuya, H.; Watanabe, T.; Kamata, H.; Shirai, W. Cold-induced ascites in broiler chickens and its improvement by temperature-controlled rearing. Avian Dis. 2002, 46, 989–996. [Google Scholar] [CrossRef]
- Wideman, R.F.; Rhoads, D.D.; Erf, G.F.; Anthony, N.B. Pulmonary arterial hypertension (ascites syndrome) in broilers: A review. Poult. Sci. 2013, 92, 64–83. [Google Scholar] [CrossRef]
- Li, J.C.; Pan, J.Q.; Huang, G.Q.; Tan, X.; Sun, W.D.; Liu, Y.J.; Wang, X.L. Expression of PDGF-beta receptor in broilers with pulmonary hypertension induced by cold temperature and its association with pulmonary vascular remodeling. Res. Vet. Sci. 2010, 88, 116–121. [Google Scholar] [CrossRef] [PubMed]
- Sakai, A. Hematocrit and right ventricular weight. I. Seasonal and latitudinal changes in hematocrit and right ventricular weights of wood mice, Apodemus argenteus (author’s transl). Nihon Seirigaku Zasshi. J. Physiol. Soc. Japan 1974, 36, 8–16. [Google Scholar]
- Giesbrecht, G.G. The respiratory system in a cold environment. Aviat. Space Environ. Med. 1995, 66, 890–902. [Google Scholar]
- Rozenbaum, Z.; Topilsky, Y.; Khoury, S.; Assi, M.; Balchyunayte, A.; Laufer-Perl, M.; Berliner, S.; Pereg, D.; Entin-Meer, M.; Havakuk, O. Relationship between climate and hemodynamics according to echocardiography. J. Appl. Physiol. 2018. [Google Scholar] [CrossRef]
- Milovanov, A.P. Functional morphology of vessels in the distribution of the pulmonary circulation of people adapted to the Northeast USSR. Arkhiv Patol. 1976, 38, 57–61. [Google Scholar]
- Milovanov, A.P.; Noreiko, B.V.; Miroshnichenko, G.I. Arctic pulmonary arterial hypertension. Hum. Physiol. 1981, 7, 428–434. [Google Scholar] [PubMed]
- Sydykov, A.; Maripov, A.; Muratali Uulu, K.; Kushubakova, N.; Petrovic, A.; Vroom, C.; Cholponbaeva, M.; Duishobaev, M.; Satybaldyev, S.; Satieva, N.; et al. Pulmonary Vascular Pressure Response to Acute Cold Exposure in Kyrgyz Highlanders. High Alt. Med. Biol. 2019. [Google Scholar] [CrossRef]
- Lockhart, A.; Saiag, B. Altitude and the human pulmonary circulation. Clin. Sci. 1981, 60, 599–605. [Google Scholar] [CrossRef]
- Huicho, L.; Niermeyer, S. Cardiopulmonary pathology among children resident at high altitude in Tintaya, Peru: A cross-sectional study. High Alt. Med. Biol. 2006, 7, 168–179. [Google Scholar] [CrossRef] [PubMed]
- Vargas, E.; Spielvogel, H. Chronic mountain sickness, optimal hemoglobin, and heart disease. High Alt. Med. Biol. 2006, 7, 138–149. [Google Scholar] [CrossRef] [PubMed]
- Wu, T. The Qinghai-Tibetan plateau: How high do Tibetans live? High Alt. Med. Biol. 2001, 2, 489–499. [Google Scholar] [CrossRef] [PubMed]

Publisher’s Note: MDPI stays neutral with regard to jurisdictional claims in published maps and institutional affiliations. |
© 2021 by the authors. Licensee MDPI, Basel, Switzerland. This article is an open access article distributed under the terms and conditions of the Creative Commons Attribution (CC BY) license (https://creativecommons.org/licenses/by/4.0/).
Share and Cite
Sydykov, A.; Maripov, A.; Kushubakova, N.; Muratali Uulu, K.; Satybaldyev, S.; Kulchoroeva, C.; Kosanovic, D.; Sarybaev, A. An Exaggerated Rise in Pulmonary Artery Pressure in a High-Altitude Dweller during the Cold Season. Int. J. Environ. Res. Public Health 2021, 18, 3984. https://doi.org/10.3390/ijerph18083984
Sydykov A, Maripov A, Kushubakova N, Muratali Uulu K, Satybaldyev S, Kulchoroeva C, Kosanovic D, Sarybaev A. An Exaggerated Rise in Pulmonary Artery Pressure in a High-Altitude Dweller during the Cold Season. International Journal of Environmental Research and Public Health. 2021; 18(8):3984. https://doi.org/10.3390/ijerph18083984
Chicago/Turabian StyleSydykov, Akylbek, Abdirashit Maripov, Nadira Kushubakova, Kubatbek Muratali Uulu, Samatbek Satybaldyev, Cholpon Kulchoroeva, Djuro Kosanovic, and Akpay Sarybaev. 2021. "An Exaggerated Rise in Pulmonary Artery Pressure in a High-Altitude Dweller during the Cold Season" International Journal of Environmental Research and Public Health 18, no. 8: 3984. https://doi.org/10.3390/ijerph18083984
APA StyleSydykov, A., Maripov, A., Kushubakova, N., Muratali Uulu, K., Satybaldyev, S., Kulchoroeva, C., Kosanovic, D., & Sarybaev, A. (2021). An Exaggerated Rise in Pulmonary Artery Pressure in a High-Altitude Dweller during the Cold Season. International Journal of Environmental Research and Public Health, 18(8), 3984. https://doi.org/10.3390/ijerph18083984

