Morphometric Analysis of the Mandibular Canal, Anterior Loop, and Mental Foramen: A Cone-Beam Computed Tomography Evaluation
Abstract
1. Introduction
2. Materials and Methods
2.1. Subjects
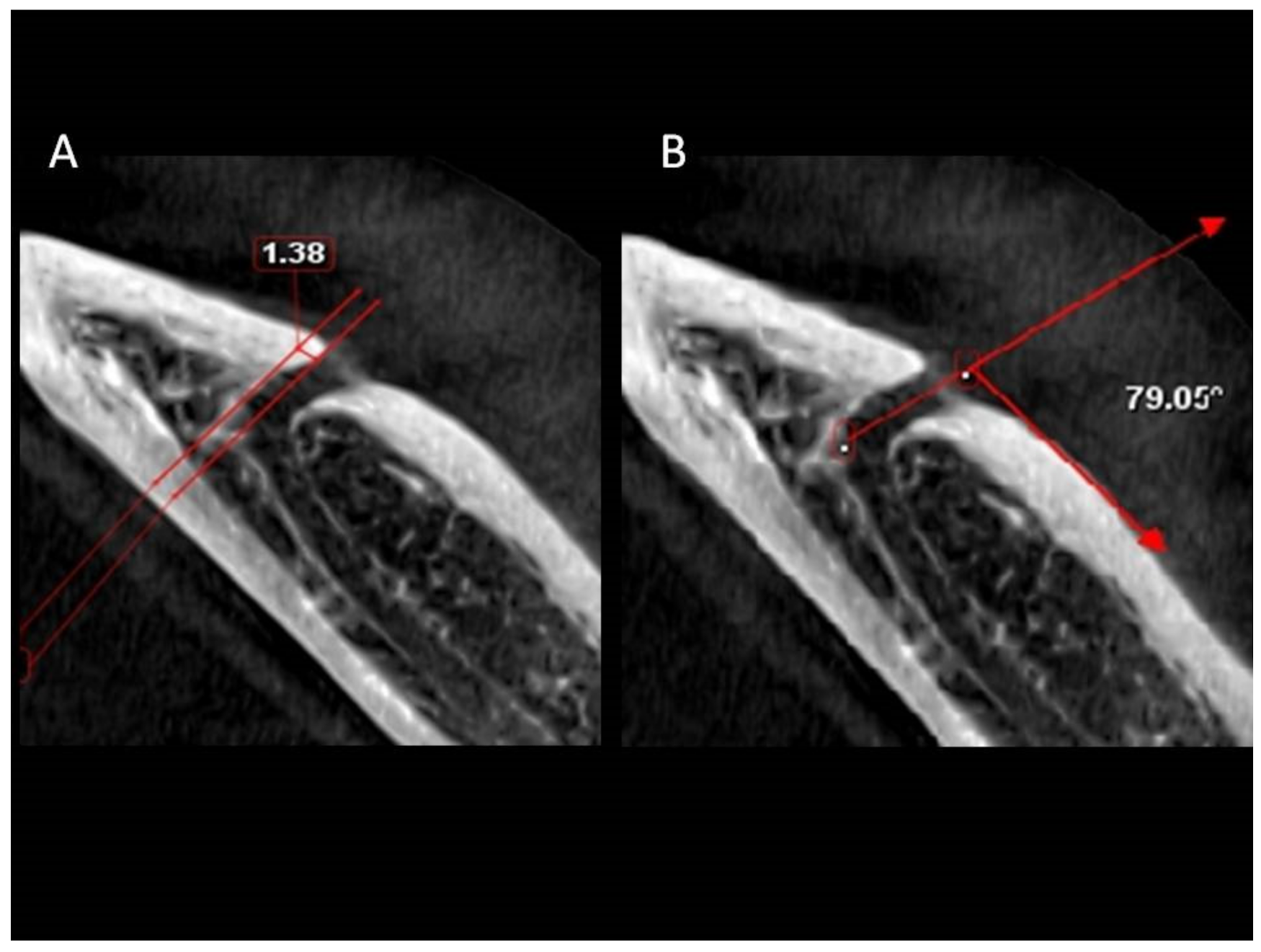
2.2. Data Collection, Image Reconstruction, and Assessments
2.3. Statistical Analysis
3. Results
4. Discussion
5. Conclusions
Author Contributions
Funding
Institutional Review Board Statement
Informed Consent Statement
Data Availability Statement
Acknowledgments
Conflicts of Interest
References
- Al-Siweedi, S.Y.A.; Nambiar, P.; Shanmuhasuntharam, P.; Ngeow, W.C. Gaining surgical access for repositioning the inferior alveolar neurovascular bundle. Sci. World J. 2014, 2014, 1–11. [Google Scholar] [CrossRef] [PubMed]
- Velasco-Torres, M.; Padial-Molina, M.; Avila-Ortiz, G.; García-Delgado, R.; Catena, A.; Galindo-Moreno, P. Inferior alveolar nerve trajectory, mental foramen location and incidence of mental nerve anterior loop. Med. Oral Patol. Oral Cir. Bucal 2017, 22, e630–e635. [Google Scholar] [CrossRef]
- Vieira, C.L.; Veloso, S.; Lopes, F.F. Location of the course of the mandibular canal, anterior loop and accessory mental foramen through cone-beam computed tomography. Surg. Radiol. Anat. 2018, 40, 1411–1417. [Google Scholar] [CrossRef] [PubMed]
- Apostolakis, D.; Brown, J.E. The anterior loop of the inferior alveolar nerve: Prevalence, measurement of its length and a recommendation for interforaminal implant installation based on cone beam CT imaging. Clin. Oral Implant. Res. 2012, 23, 1022–1030. [Google Scholar] [CrossRef]
- Neiva, R.F.; Gapski, R.; Wang, H.-L. Morphometric analysis of implant-related anatomy in Caucasian skulls. J. Periodontol. 2004, 75, 1061–1067. [Google Scholar] [CrossRef] [PubMed]
- von Arx, T.; Friedli, M.; Sendi, P.; Lozanoff, S.; Bornstein, M.M. Location and dimensions of the mental foramen: A radiographic analysis by using cone-beam computed tomography. J. Endod. 2013, 39, 1522–1528. [Google Scholar] [CrossRef]
- Al-Mahalawy, H.; Al-Aithan, H.; Al-Kari, B.; Al-Jandan, B.; Shujaat, S. Determination of the position of mental foramen and frequency of anterior loop in Saudi population. A retrospective CBCT study. Saudi Dent. J. 2017, 29, 29–35. [Google Scholar] [CrossRef]
- Arzouman, M.J.; Otis, L.; Kipnis, V.; Levine, D. Observations of the anterior loop of the inferior alveolar canal. Int. J. Oral Maxillofac. Implant. 1993, 8, 295–300. [Google Scholar]
- Li, X.; Jin, Z.-K.; Zhao, H.; Yang, K.; Duan, J.-M.; Wang, W.-J. The prevalence, length and position of the anterior loop of the inferior alveolar nerve in Chinese, assessed by spiral computed tomography. Surg. Radiol. Anat. 2013, 35, 823–830. [Google Scholar] [CrossRef]
- Rosa, M.B.; Sotto-Maior, B.S.; Machado, V.; Francischone, C.E. Retrospective study of the anterior loop of the inferior alveolar nerve and the incisive canal using cone beam computed tomography. Int. J. Oral. Maxillofac. Implant. 2013, 28, 388–392. [Google Scholar] [CrossRef] [PubMed]
- Naitoh, M.; Hiraiwa, Y.; Aimiya, H.; Gotoh, K.; Ariji, E. Accessory mental foramen assessment using cone-beam computed tomography. Oral Surg. Oral Med. Oral Pathol. Oral Radiol. Endodontol. 2009, 107, 289–294. [Google Scholar] [CrossRef]
- Iwanaga, J.; Watanabe, K.; Saga, T.; Tabira, Y.; Kitashima, S.; Kusukawa, J.; Yamaki, K.-I. Accessory mental foramina and nerves: Application to periodontal, periapical, and implant surgery. Clin. Anat. 2015, 29, 493–501. [Google Scholar] [CrossRef]
- Katakami, K.; Mishima, A.; Shiozaki, K.; Shimoda, S.; Hamada, Y.; Kobayashi, K. Characteristics of accessory mental foramina observed on limited cone-beam computed tomography images. J. Endod. 2008, 34, 1441–1445. [Google Scholar] [CrossRef]
- Sawyer, D.R.; Kiely, M.L.; Pyle, M.A. The frequency of accessory mental foramina in four ethnic groups. Arch. Oral Biol. 1998, 43, 417–420. [Google Scholar] [CrossRef]
- Al-Khateeb, T.; Hamasha, A.A.-H.; Ababneh, K.T. Position of the mental foramen in a northern regional Jordanian population. Surg. Radiol. Anat. 2007, 29, 231–237. [Google Scholar] [CrossRef]
- Kalender, A.; Orhan, K.; Aksoy, U. Evaluation of the mental foramen and accessory mental foramen in Turkish patients using cone-beam computed tomography images reconstructed from a volumetric rendering program. Clin. Anat. 2012, 25, 584–592. [Google Scholar] [CrossRef] [PubMed]
- Orhan, A.I.; Orhan, K.; Aksoy, S.; Ozgul, O.; Horasan, S.; Arslan, A.; Kocyigit, D. Evaluation of perimandibular neurovascularization with accessory mental foramina using cone-beam computed tomography in children. J. Craniofac. Surg. 2013, 24, e365–e369. [Google Scholar] [CrossRef] [PubMed]
- Alam, M.K.; Alhabib, S.; Alzarea, B.K.; Irshad, M.; Faruqi, S.; Sghaireen, M.G.; Patil, S.; Basri, R. 3D CBCT morphometric assessment of mental foramen in Arabic population and global comparison: Imperative for invasive and non-invasive procedures in mandible. Acta Odontol. Scand. 2018, 76, 98–104. [Google Scholar] [CrossRef] [PubMed]
- Gümüsok, M.; Akarslan, Z.; Başman, A.; Üçok, Ö. Evaluation of accessory mental foramina morphology with cone-beam computed tomography. Niger. J. Clin. Pr. 2016, 20, 1550–1554. [Google Scholar] [CrossRef]
- Wei, X.; Gu, P.; Hao, Y.; Wang, J. Detection and characterization of anterior loop, accessory mental foramen, and lateral lingual foramen by using cone beam computed tomography. J. Prosthet. Dent. 2020, 124, 365–371. [Google Scholar] [CrossRef] [PubMed]
- Greenstein, G.; Tarnow, D. The mental foramen and nerve: Clinical and anatomical factors related to dental implant placement: A literature review. J. Periodontol. 2006, 77, 1933–1943. [Google Scholar] [CrossRef]
- Nagadia, R.; Tay, A.; Chan, L.; Chan, E.-Y. The spatial location of the mandibular canal in Chinese: A CT study. Int. J. Oral Maxillofac. Surg. 2011, 40, 1401–1405. [Google Scholar] [CrossRef]
- Mirbeigi, S.; Safaee, A.; Ezoddini, F.; Khojastepour, L.; Navab-Azam, A. Buccolingual course of the inferior alveolar canal in different mental foramen locations: A cone beam computed tomography study of an Iranian population. Int. J. Appl. Basic Med. Res. 2016, 6, 262. [Google Scholar] [CrossRef]
- Ngeow, W.C.; Yuzawati, Y. The location of the mental foramen in a selected Malay population. J. Oral Sci. 2003, 45, 171–175. [Google Scholar] [CrossRef] [PubMed]
- Sankar, D.K.; Bhanu, S.P.; Susan, P. Morphometrical and morphological study of mental foramen in dry dentulous mandibles of South Andhra population of India. Indian J. Dent. Res. 2011, 22, 542–546. [Google Scholar] [CrossRef] [PubMed]
- Bello, S.A.; Adeoye, J.A.; Ighile, N.; Ikimi, N.U. Mental foramen size, position and symmetry in a multi-ethnic, urban black population: Radiographic evidence. J. Oral Maxillofac. Res. 2018, 9, e1. [Google Scholar] [CrossRef]
- Fabian, F.M. Position, shape and direction of opening of the mental foramen in dry mandibles of Tanzanian adult black males. Ital. J. Anat. Embryol. 2007, 112, 169–177. [Google Scholar] [PubMed]
- Igbigbi, P.S.; Lebona, S. The position and dimensions of the mental foramen in adult Malawian mandibles. West Afr. J. Med. 2006, 24, 184–189. [Google Scholar] [CrossRef]
- Ukoha, U.U.; Umeasalugo, K.E.; Ofoego, U.C.; Ejimofor, O.C.; Nzeako, H.C.; Edokwe, C.G. Position, shape and direction of the mental foramen in mandibles in South-Eastern Nigeria. Int. J. Biomed. Res. 2013, 4, 499. [Google Scholar] [CrossRef][Green Version]
- Cutright, B.; Quillopa, N.; Schubert, W. An anthropometric analysis of the key foramina for maxillofacial surgery. J. Oral Maxillofac. Surg. 2003, 61, 354–357. [Google Scholar] [CrossRef]
- Ahmed, A.A.; Omer, N. Estimation of sex from the anthropometric ear measurements of a Sudanese population. Leg. Med. 2015, 17, 313–319. [Google Scholar] [CrossRef]
- Carruth, P.; He, J.; Benson, B.W.; Schneiderman, E.D. Analysis of the size and position of the mental foramen using the CS 9000 cone-beam computed tomographic unit. J. Endod. 2015, 41, 1032–1036. [Google Scholar] [CrossRef] [PubMed]
- Muinelo-Lorenzo, J.; Fernandez-Alonso, A.; Smyth-Chamosa, E.; Suarez-Quintanilla, J.A.; Varela-Mallou, J.; Suarez-Cunqueiro, M.M. Predictive factors of the dimensions and location of mental foramen using cone beam computed tomography. PLoS ONE 2017, 12, e0179704. [Google Scholar] [CrossRef]
- Parnia, F.; Moslehifard, E.; Hafezeqoran, A.; Mahboub, F.; Mojaver-Kahnamoui, H. Characteristics of anatomical landmarks in the mandibular interforaminal region: A cone-beam computed tomography study. Med. Oral Patol. Oral Cir. Bucal 2012, 17, e420–e425. [Google Scholar] [CrossRef]
- Uchida, Y.; Noguchi, N.; Goto, M.; Yamashita, Y.; Hanihara, T.; Takamori, H.; Sato, I.; Kawai, T.; Yosue, T. Measurement of anterior loop length for the mandibular canal and diameter of the mandibular incisive canal to avoid nerve damage when installing endosseous implants in the interforaminal region: A second attempt introducing cone beam computed tomography. J. Oral. Maxillofac. Surg. 2009, 67, 744–750. [Google Scholar] [CrossRef] [PubMed]
- Rouas, P.; Delbos, Y.; Nancy, J. Pseudo multiple and enlarged mandibular canals: The evidence-based response of cone beam computed tomography. Dentomaxillofac. Radiol. 2006, 35, 217–218. [Google Scholar] [CrossRef] [PubMed]
- Kamburoğlu, K. Use of dentomaxillofacial cone beam computed tomography in dentistry. World J. Radiol. 2015, 7, 128–130. [Google Scholar] [CrossRef] [PubMed]
- Nikeghbal, K.; Zamanian, Z.; Shahidi, S.; Spagnuolo, G.; Soltani, P. Designing and fabricating nano-structured and micro-structured radiation shields for protection against CBCT exposure. Materials 2020, 13, 4371. [Google Scholar] [CrossRef]
- Jacobs, R.; Salmon, B.; Codari, M.; Hassan, B.; Bornstein, M.M. Cone beam computed tomography in implant dentistry: Recommendations for clinical use. BMC Oral Health 2018, 18, 1–16. [Google Scholar] [CrossRef] [PubMed]
- Sghaireen, M.G.; Srivastava, K.C.; Shrivastava, D.; Ganji, K.K.; Patil, S.R.; Abuonq, A.; Mousa, M.A.; Dar-Odeh, N.; Sghaireen, G.M.; Kamal, M.A.; et al. A CBCT based three-dimensional assessment of mandibular posterior region for evaluating the possibility of bypassing the inferior alveolar nerve while placing dental implants. Diagnostics 2020, 10, 406. [Google Scholar] [CrossRef] [PubMed]
- Kochhar, A.S.; Sidhu, M.S.; Prabhakar, M.; Bhasin, R.; Kochhar, G.K.; Dadlani, H.; Spagnuolo, G. Frontal and axial evaluation of craniofacial morphology in repaired unilateral cleft lip and palate patients utilizing cone beam computed tomography; an observational study. Int. J. Environ. Res. Public Health 2020, 17, 7786. [Google Scholar] [CrossRef] [PubMed]
- Abdelkarim, A.A. Appropriate use of ionizing radiation in orthodontic practice and research. Am. J. Orthod. Dentofac. Orthop. 2015, 147, 166–168. [Google Scholar] [CrossRef] [PubMed]



| Variable | Male | Female | p-Value | ||
|---|---|---|---|---|---|
| Mean | Range | Mean | Range | ||
| SPM-B | 3.57 ± 1.33 | 1.00–8.00 | 3.32 ± 0.96 | 1.00–6.00 | 0.222 |
| SPM-L | 3.47 ± 1.31 | 1.28–6.56 | 3.80 ± 1.40 | 1.28–7.36 | 0.149 |
| SPM-I | 8.06 ± 1.55 | 4.48–11.52 | 6.92 ± 1.68 | 3.52–10.72 | 0.000 * |
| FM-B | 4.51 ± 1.51 | 1.60–14.16 | 4.26 ± 1.13 | 2.24–6.88 | 0.105 |
| FM-L | 2.41 ± 1.13 | 0.64–6.09 | 2.49 ± 0.94 | 0.91–5.77 | 0.529 |
| FM-I | 7.51 ± 1.69 | 3.52–12.80 | 6.09 ± 1.61 | 2.72–10.88 | 0.000 * |
| SM-B | 5.48 ± 1.56 | 1.76–10.56 | 5.26 ± 1.33 | 2.25–9.13 | 0.170 |
| SM-L | 2.04 ± 0.97 | 0.32–7.06 | 2.21 ± 0.92 | 0.64–5.77 | 0.111 |
| SM-I | 6.71 ± 1.66 | 3.20–11.36 | 5.57 ± 1.56 | 2.12–10.24 | 0.000 * |
| Location | Number | Percentage (%) |
|---|---|---|
| Apical to the first premolar | 6 | 2 |
| Between the premolars | 60 | 19.6 |
| Just mesial to the second premolar | 49 | 16 |
| Apical to the second premolar | 124 | 40.5 |
| Between second premolar and first molar | 56 | 18.3 |
| Apical to the mesial root of the first molar | 11 | 3.6 |
| Total | 306 | 100 |
| Variable | Male (n = 136) | Female (n = 170) | Independent t-Test | |||||||
|---|---|---|---|---|---|---|---|---|---|---|
| Min | Max | Mean | SD | Min | Max | Mean | SD | t-Test | p-Value | |
| Sagittal view | ||||||||||
| Height of MF | 1.66 | 5.44 | 3.14 | 0.72 | 1.06 | 4.48 | 1.64 | 0.70 | 4.463 | 0.000 * |
| Length of MF | 1.60 | 6.40 | 3.57 | 0.96 | 1.12 | 5.65 | 1.19 | 0.78 | 5.358 | 0.000 * |
| Coronal view | ||||||||||
| Angulations of MeC | 17.51 | 87.39 | 46.67 | 14.82 | 1.06 | 4.48 | 42.38 | 13.82 | 2.616 | 0.009 * |
| Distance from MF to crestal bone | 8.96 | 20.81 | 14.21 | 2.46 | 1.12 | 5.65 | 13.48 | 2.20 | 2.759 | 0.006 * |
| Distance from MF to lower border of mandible | 9.28 | 19.36 | 13.58 | 1.78 | 1.06 | 4.48 | 12.06 | 1.35 | 8.231 | 0.000 * |
| Axial view | ||||||||||
| Angulations of MeC in axial view | 39.63 | 127.76 | 76.40 | 16.64 | 30.79 | 128.18 | 77.65 | 17.67 | 0.631 | 0.528 |
| Mesial extension of AL | 0.00 | 7.03 | 1.28 | 1.19 | 0.00 | 4.98 | 1.09 | 1.08 | 1.462 | 0.145 |
| Variable | Age (Years) | ≤25 | 26–40 | 41–55 | ≥56 | F Statistics | p-Value |
|---|---|---|---|---|---|---|---|
| (n = 86) | (n = 123) | (n = 65) | (n = 32) | ||||
| Sagittal view | |||||||
| Height of MF | Mean (SD) | 3.02 (0.69) | 2.81 (0.78) | 3.05 (0.70) | 3.03 (0.76) | 2.351 | 0.072 |
| Range | 1.68–4.80 | 1.06–5.44 | 1.66–4.96 | 1.92–4.80 | |||
| Length of MF | Mean (SD) | 3.36 (0.78) | 3.09 (0.89) | 3.62 (0.98) | 3.10 (0.90) | 5.798 | 0.001 * |
| Range | 1.92–5.03 | 1.12–6.25 | 1.67–6.40 | 1.95–5.44 | |||
| Coronal view | |||||||
| Angulations of MeC | Mean (SD) | 42.28 (13.53) | 42.65 (15.10) | 49.44 (13.76) | 45.49 (13.20) | 4.038 | 0.008 * |
| Range | 10.46–87.39 | 16.08–88.48 | 21.22–84.93 | 21.64–78.54 | |||
| Distance from MF to crestal bone | Mean (SD) | 13.70 (2.21) | 14.04 (2.34) | 13.51 (2.59) | 13.77 (2.19) | 0.825 | 0.481 |
| Range | 9.61–21.61 | 8.80–20.81 | 8.96–20.55 | 9.61–17.77 | |||
| Distance from MF to lower border of mandible | Mean (SD) | 12.19 (1.62) | 12.86 (1.63) | 12.99 (1.83) | 13.18 (1.73) | 4.414 | 0.005 * |
| Range | 9.28–17.31 | 8.96–18.56 | 9.28–19.36 | 9.44–17.12 | |||
| Axial view | |||||||
| Angulations of MeC in axial view | Mean (SD) | 74.59 (17.77) | 78.32 (19.02) | 77.10 (14.72) | 79.13 (12.16) | 0.965 | 0.410 |
| Range | 35.69–127.76 | 30.79–128.18 | 45.67–116.85 | 58.74–107.87 | |||
| Mesial extension of AL | Mean (SD) | 1.28 (1.28) | 1.16 (1.17) | 1.16 (0.98) | 0.99 (0.83) | 0.555 | 0.645 |
| Range | 0.00–7.03 | 0.00–5.60 | 0.00–3.85 | 0.00–2.36 | |||
| Variables | Right Side | Left Side | p-Value | ||||
|---|---|---|---|---|---|---|---|
| Mean | Median | Range | Mean | Median | Range | ||
| Sagittal view | |||||||
| Height of MF | 2.93 | 2.88 | 1.66–4.96 | 2.89 | 2.99 | 1.44–5.44 | 0.353 |
| Length of MF | 3.23 | 3.2 | 1.60–5.95 | 3.22 | 3.39 | 1.76–6.25 | 0.061 |
| Coronal view | |||||||
| Angulations of MeC | 44.84 | 45.15 | 14.6–87.39 | 41.26 | 42.62 | 10.46–73.01 | 0.065 |
| Distance from MF to the crestal bone | 13.73 | 13.44 | 9.44–20.55 | 13.35 | 13.78 | 8.80–21.61 | 0.958 |
| Distance from MF to lower border of the mandible | 12.59 | 12.48 | 9.28–18.4 | 12.48 | 12.69 | 8.96–19.36 | 0.462 |
| Axial view | |||||||
| Angulations of MeC | 78.43 | 76.26 | 39.63–128.18 | 76.48 | 76.68 | 36.94–127.76 | 0.766 |
| Mesial extension of AL | 1.19 | 1.13 | 0.00–7.03 | 1.15 | 1.09 | 0.00–5.60 | 0.570 |
Publisher’s Note: MDPI stays neutral with regard to jurisdictional claims in published maps and institutional affiliations. |
© 2021 by the authors. Licensee MDPI, Basel, Switzerland. This article is an open access article distributed under the terms and conditions of the Creative Commons Attribution (CC BY) license (http://creativecommons.org/licenses/by/4.0/).
Share and Cite
Ahmed, A.A.; Ahmed, R.M.; Jamleh, A.; Spagnuolo, G. Morphometric Analysis of the Mandibular Canal, Anterior Loop, and Mental Foramen: A Cone-Beam Computed Tomography Evaluation. Int. J. Environ. Res. Public Health 2021, 18, 3365. https://doi.org/10.3390/ijerph18073365
Ahmed AA, Ahmed RM, Jamleh A, Spagnuolo G. Morphometric Analysis of the Mandibular Canal, Anterior Loop, and Mental Foramen: A Cone-Beam Computed Tomography Evaluation. International Journal of Environmental Research and Public Health. 2021; 18(7):3365. https://doi.org/10.3390/ijerph18073365
Chicago/Turabian StyleAhmed, Altayeb Abdalla, Rawia Mohamed Ahmed, Ahmed Jamleh, and Gianrico Spagnuolo. 2021. "Morphometric Analysis of the Mandibular Canal, Anterior Loop, and Mental Foramen: A Cone-Beam Computed Tomography Evaluation" International Journal of Environmental Research and Public Health 18, no. 7: 3365. https://doi.org/10.3390/ijerph18073365
APA StyleAhmed, A. A., Ahmed, R. M., Jamleh, A., & Spagnuolo, G. (2021). Morphometric Analysis of the Mandibular Canal, Anterior Loop, and Mental Foramen: A Cone-Beam Computed Tomography Evaluation. International Journal of Environmental Research and Public Health, 18(7), 3365. https://doi.org/10.3390/ijerph18073365

