Prognostic Value of Preoperative Echocardiographic Findings in Patients Undergoing Transvenous Lead Extraction
Abstract
1. Introduction
2. Methods
2.1. Study Population
2.2. Factors Potentially Affecting Long-Term Survival after TLE
2.3. Lead Extraction Procedure
2.4. Preoperative TEE
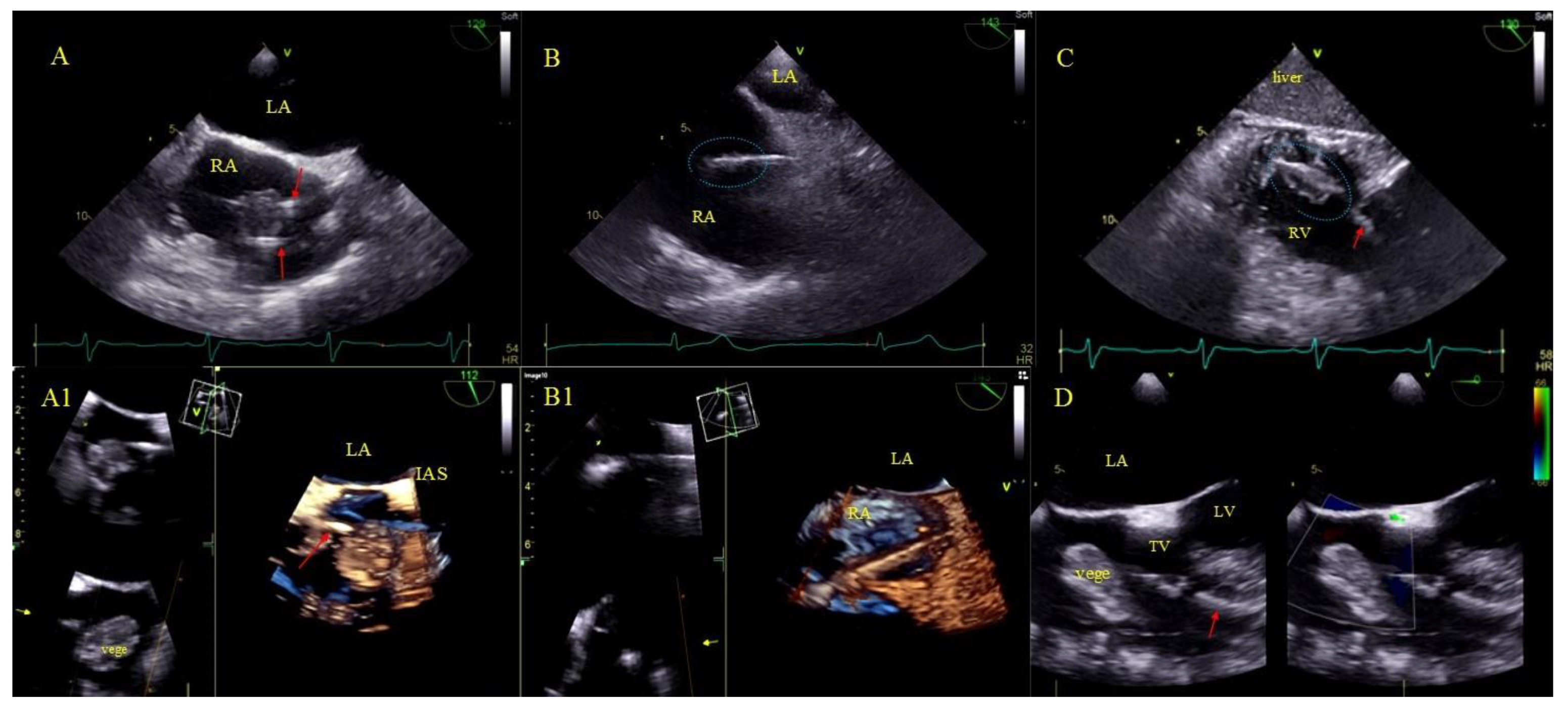
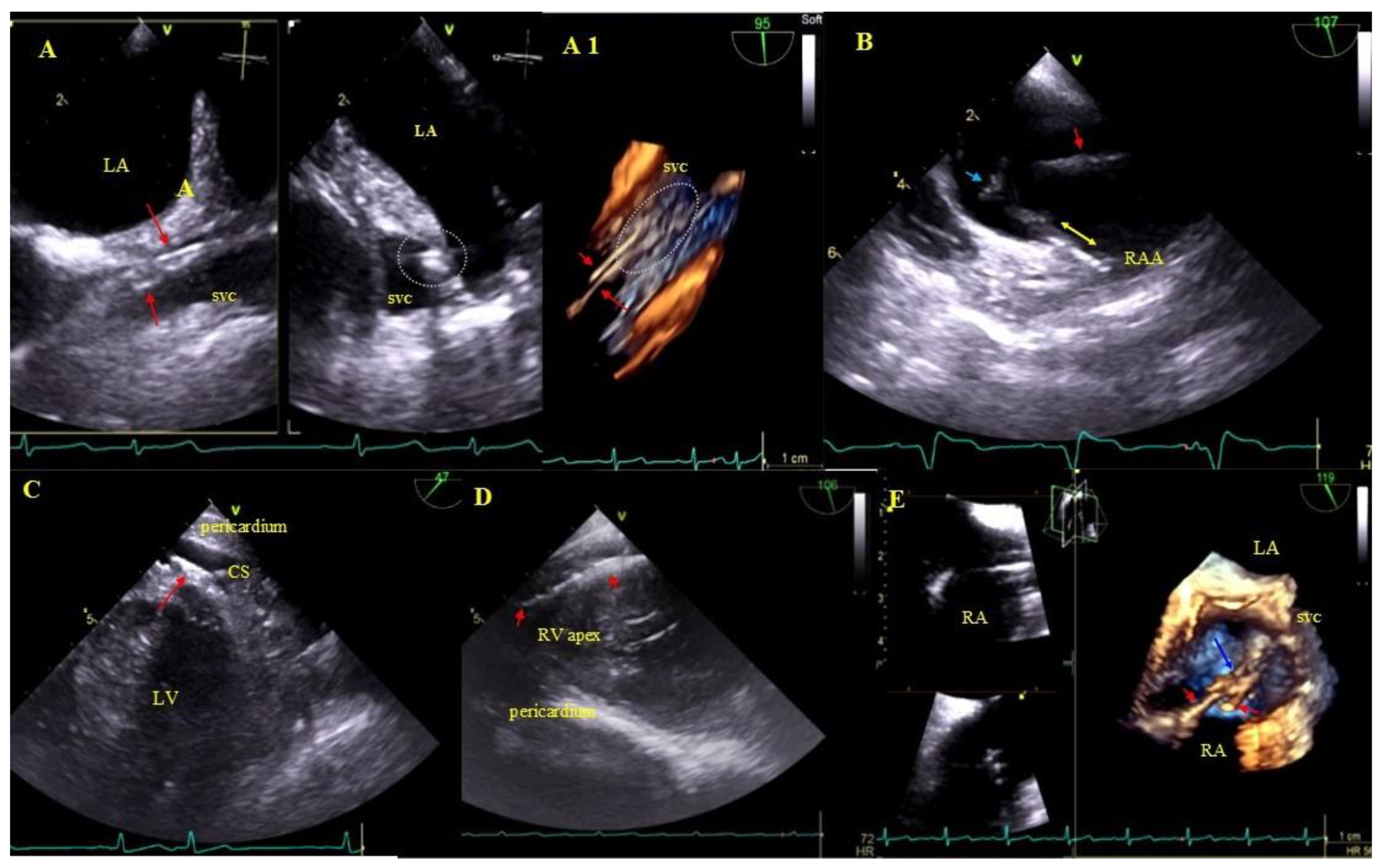
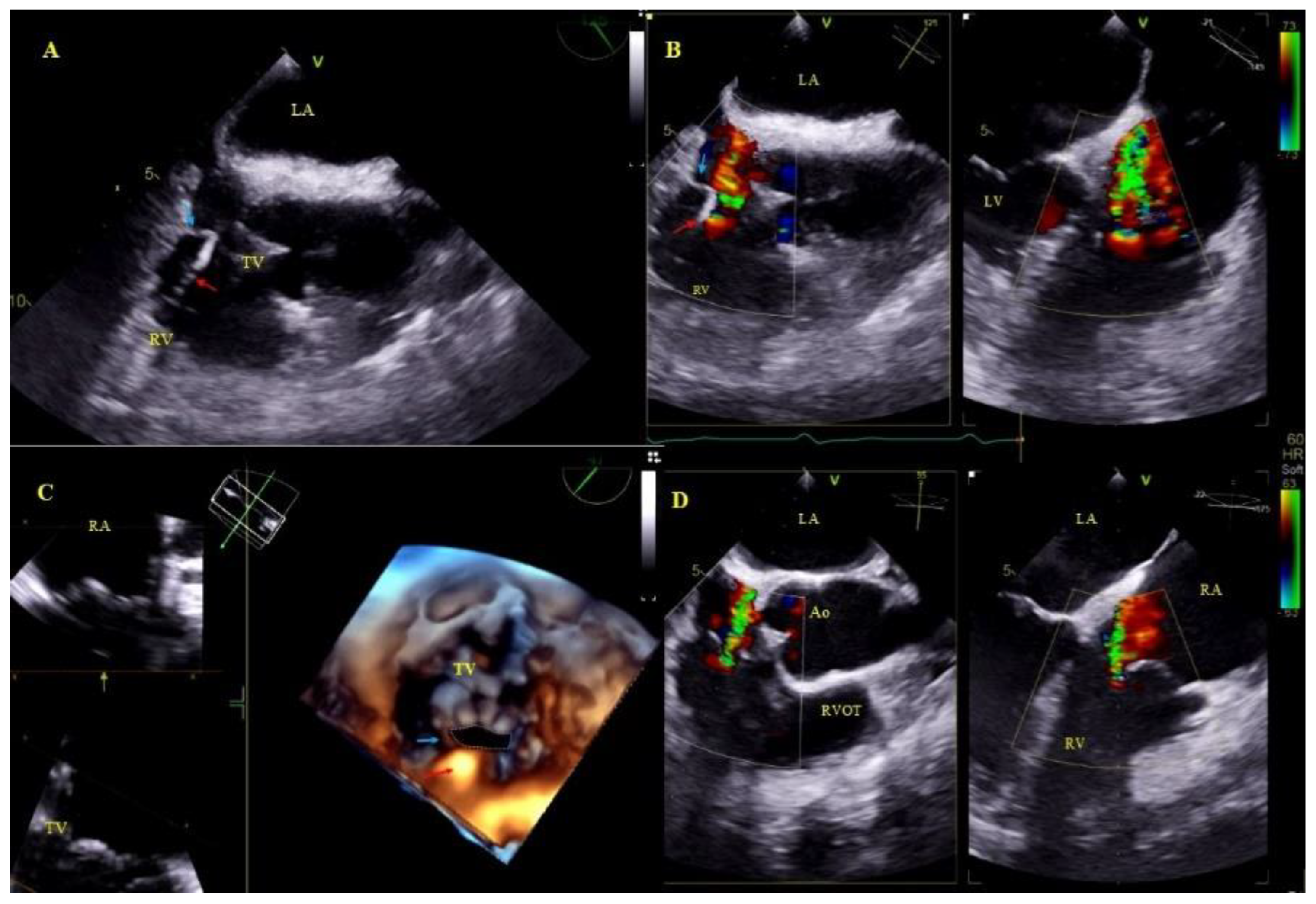
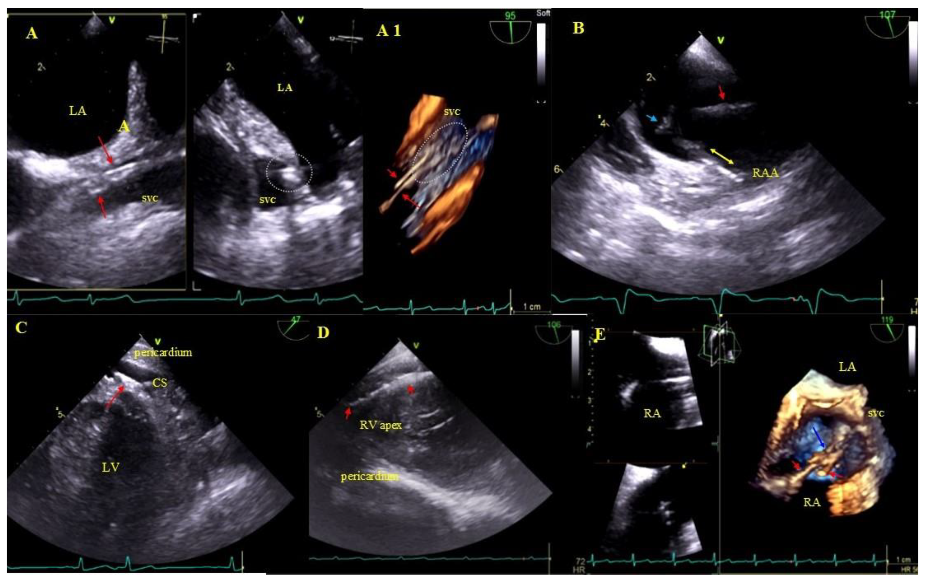
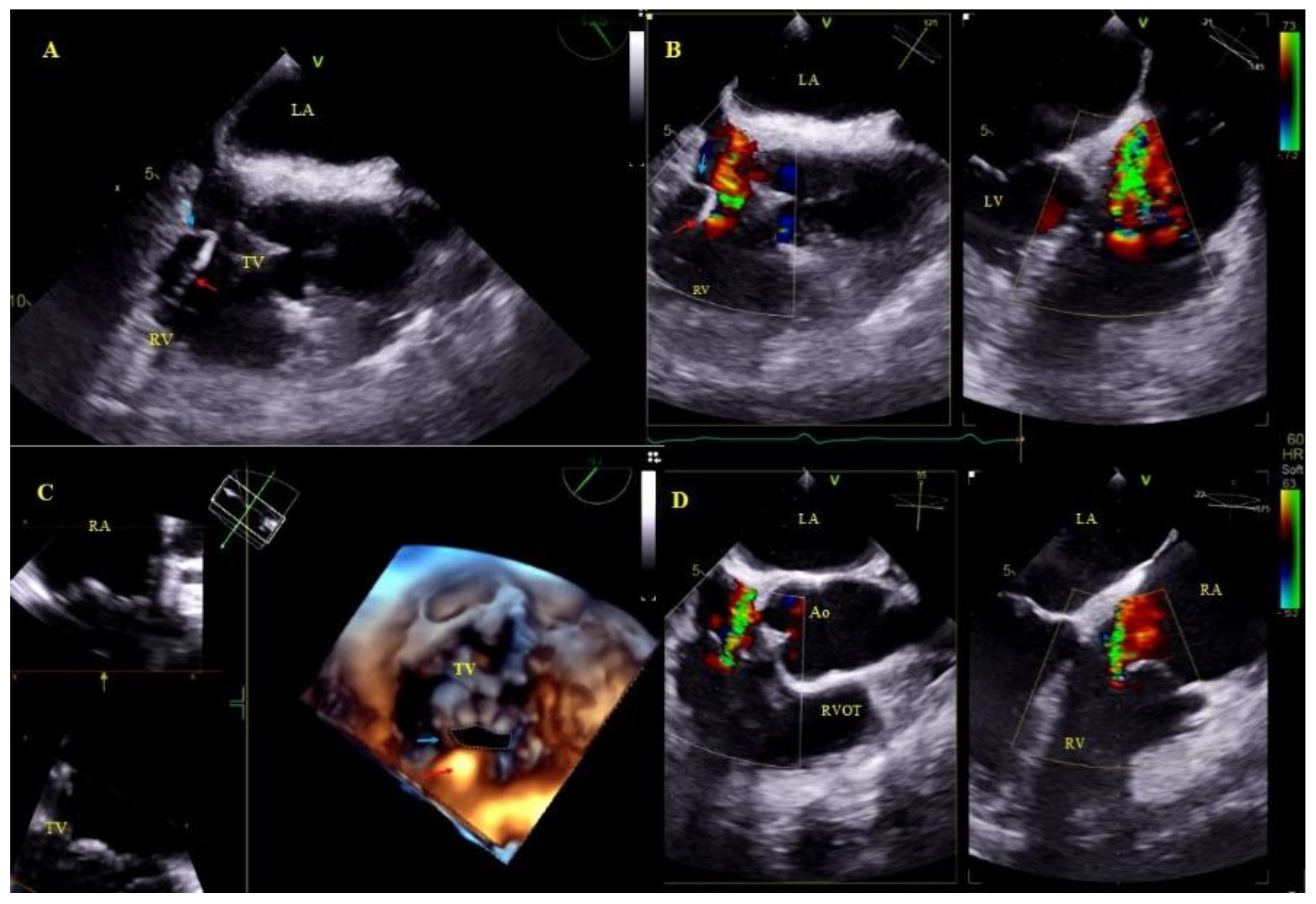
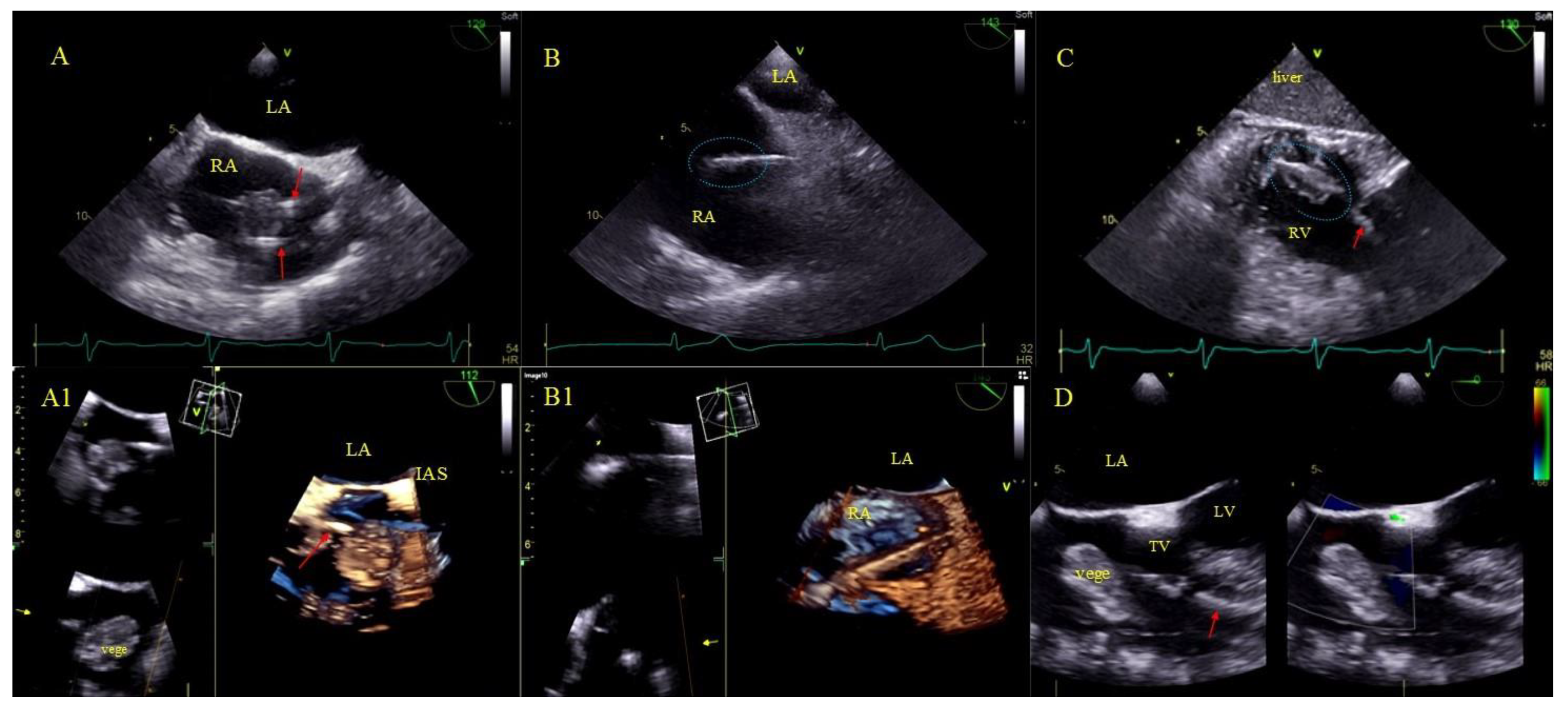
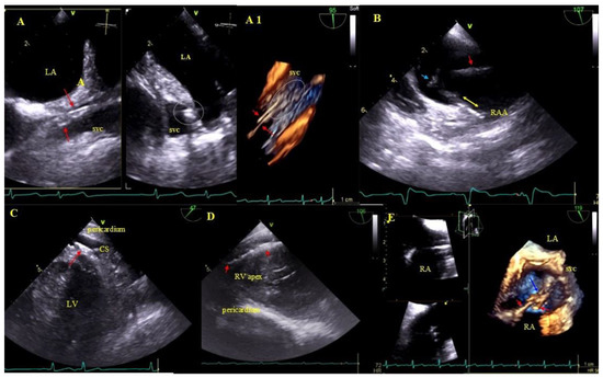
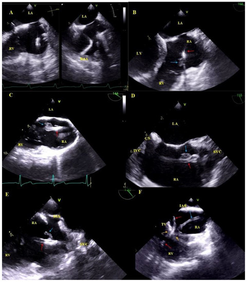
2.5. Echocardiographic Findings Associated with Endocardial Leads: Definition and Classification According to the Anatomy and Characteristic Features
3. Statistical Analysis
4. Results
4.1. Prognostic Factors
4.1.1. Prognostic Factors Not Related to TEE Findings and TLE Procedure
4.1.2. Prognostic Factors Related to Implanted Devices
4.1.3. Prognostic Factors Related to TLE Procedure
4.1.4. Prognostic Factors Related to TEE Findings
4.2. Cox’s Regression Analysis Results (Model-1; Echocardiographic Data)
4.3. Cox’s Regression Analysis Results (Model-2; Echocardiographic Data Adjusted with Recognized Clinical Risk Factors)
5. Discussion
- Non-modifiable factors related to the patient’s general condition:Tricuspid valve regurgitation (TVR), excluding LDTD, was associated with worse long-term survival in multivariate analysis, but after adjustment for common risk factors for poor prognosis this variable lost its prognostic value. In patients referred for lead extraction TVR is a non-modifiable factor because of right ventricular status.
- Non-modifiable factors related to the underlying disease (indication-dependent):Vegetations and LRIE have always been (in all previous analyses, including ours) one of the most potent factors decreasing chances of long-term survival [5,6,7,8,9,10,11,12,13,14,15,16,17,18,19,20,21,22]. Unfortunately, despite the improving standards [2,3,4] long-term mortality among patients after TLE performed due to LRIE does not improve as desired.
- Factors that have no effect on the procedure course and chances of long-term survival: AMEL (clots, vegetation-like masses) had no influence on chances of long-term survival in our analysis.
- Factors that may increase the complexity of the extraction procedure and the development of complications but which, per se, do not decrease chances of long-term survival: fibrous tissue binding the lead to the heart structures, lead-to-lead adhesion. The degree of connective tissue overgrowth in response of the endothelium to long-term irritation by the lead depends on implant duration, stiffness and the number of leads, but first of all on patient age (inverse relationship). This phenomenon has been better documented in papers describing lead removal in children and young patients and in adults with leads implanted in childhood [17]. Surprisingly, the current study found that various forms of connective tissue overgrowth (fibrous tissue binding the lead to the heart structures, lead-to-lead adhesion, lead thickening, scar tissue surrounding the lead) were associated with better long-term survival, although based on previous observations [31,32], connective tissue overgrowth was a predictor of TLE technical difficulty and major complications. This proves that the course of the procedure does not affect prognosis after TLE.
- Abnormalities that can be corrected during the extraction procedure:
- Lead-dependent tricuspid dysfunction was not significantly associated with the length of survival. This can be attributed to the fact that most patients with LDTD were referred for the intervention because of the lead propping one of the leaflets open, which was corrected to varying extent during TLE.
- Excessive lead loops (loop in the right atrium, loop crossing the TV, loop in the right ventricle or pulmonary artery) in univariate and multivariate Cox analysis were significantly associated with better survival odds. The reason was that this abnormality was the indication (main or accompanying) for lead replacement and no patient left our facility with abandoned leads.
- Perforation, penetration—as was the case of lead loops, perforation/penetration was the main or accompanying indication for lead extraction (most of them were “dry” and caused lead dysfunction or, less frequently, it was an incidental finding or the cause of fluid accumulation in the epicardial space). All perforating/penetrating leads were replaced, thus eliminating their influence on survival and future quality of life. Similar to lead loops, perforations in univariate and multivariate Cox analysis of Model 1 were significantly related to better survival odds.
6. Limitations
7. Conclusions
Supplementary Materials
Author Contributions
Funding
Institutional Review Board Statement
Informed Consent Statement
Data Availability Statement
Conflicts of Interest
References
- Poole, J.E.; Gleva, M.J.; Mela, T.; Chung, M.K.; Uslan, D.Z.; Borge, R.; Gottipaty, V.; Shinn, T.; Dan, D.; Feldman, L.A.; et al. Complication rates associated with pacemaker or implantable cardioverter-defibrillator generator replacements and upgrade procedures: Results from the RE-PLACE registry. Circulation 2010, 122, 1553–1561. [Google Scholar] [CrossRef] [PubMed]
- Kusumoto, F.M.; Schoenfeld, M.H.; Wilkoff, B.L.; Berul, C.I.; Birgersdotter-Green, U.M.; Carrillo, R.; Cha, Y.-M.; Clancy, J.; Deharo, J.-C.; Ellenbogen, K.A.; et al. 2017 HRS expert consensus statement on cardiovascular implantable electronic device lead management and extraction. Heart Rhythm. 2017, 14, e503–e551. [Google Scholar] [CrossRef]
- Bongiorni, M.G.; Kennergren, C.; Butter, C.; Deharo, J.C.; Kutarski, A.; Rinaldi, C.A.; Romano, S.L.; Maggioni, A.P.; Andarala, M.; Auricchio, A.; et al. The European Lead Extraction ConTRolled (ELECTRa) study: A European Heart Rhythm Association (EHRA) Registry of Transvenous Lead Extraction Outcomes. Eur. Heart J. 2017, 38, 2995–3005. [Google Scholar] [CrossRef]
- Blomström-Lundqvist, C.; Traykov, V.; Erba, P.A.; Burri, H.; Nielsen, J.C.; Bongiorni, M.G.; Poole, J.; Boriani, G.; Costa, R.; Deharo, J.C.; et al. European Heart Rhythm Association (EHRA) in-ternational consensus document on how to prevent, diagnose, and treat cardiac implantable electronic device infec-tions-endorsed by the Heart Rhythm Society (HRS), the Asia Pacific Heart Rhythm Society (APHRS), the Latin American Heart Rhythm Society (LAHRS), International Society for Cardiovascular Infectious Diseases (ISCVID), and the European Society of Clinical Microbiology and Infectious Diseases (ESCMID) in collaboration with the European Association for Car-dio-Thoracic Surgery (EACTS). Eur. Heart J. 2020, 57, e1–e31. [Google Scholar]
- Maytin, M.; Jones, S.O.; Epstein, L.M. Long-Term Mortality after Transvenous Lead Extraction. Circ. Arrhythmia Electrophysiol. 2012, 5, 252–257. [Google Scholar] [CrossRef] [PubMed]
- Deharo, J.-C.; Quatre, A.; Mancini, J.; Khairy, P.; Le Dolley, Y.; Casalta, J.-P.; Peyrouse, E.; Prévôt, S.; Thuny, F.; Collart, F.; et al. Long-term outcomes following infection of cardiac implantable electronic devices: A prospective matched cohort study. Heart 2012, 98, 724–731. [Google Scholar] [CrossRef]
- Habib, A.; Le, K.Y.; Baddour, L.M.; Friedman, P.A.; Hayes, D.L.; Lohse, C.M.; Wilson, W.R.; Steckelberg, J.M.; Sohail, M.R.; Mayo Cardio-vascular Infections Study Group. Predictors of mortality in patients with cardiovascular implantable electronic device infec-tions. Am. J. Cardiol. 2013, 111, 874–879. [Google Scholar] [CrossRef] [PubMed]
- Deckx, S.; Marynissen, T.; Rega, F.; Ector, J.; Nuyens, D.; Heidbuchel, H.; Willems, R. Predictors of 30-day and 1-year mortality after transvenous lead extraction: A single-centre experience. Europace 2014, 16, 1218–1225. [Google Scholar] [CrossRef]
- Kim, D.H.; Tate, J.; Dresen, W.F.; Papa FCJr Bloch, K.C.; Kalams, S.A.; Ellis, C.R.; Baker, M.T.; Lenihan, D.J.; Mendes, L.A. Cardiac im-planted electronic device-related infective endocarditis: Clinical features, management, and outcomes of 80 consecutive pa-tients. Pacing Clin. Electrophysiol. 2014, 37, 978–985. [Google Scholar] [CrossRef]
- Tarakji, K.G.; Wazni, O.M.; Harb, S.; Hsu, A.; Saliba, W.; Wilkoff, B.L. Risk factors for 1-year mortality among patients with cardiac implantable electronic device infection undergoing transvenous lead extraction: The impact of the infection type and the presence of vegetation on survival. Europace 2014, 16, 1490–1495. [Google Scholar] [CrossRef]
- Fu, H.-X.; Huang, X.-M.; Zhong, L.; Osborn, M.J.; Asirvatham, S.J.; Espinosa, R.E.; Brady, P.A.; Lee, H.-C.; Greason, K.L.; Baddour, L.M.; et al. Outcomes and Complications of Lead Removal: Can We Establish a Risk Stratification Schema for a Collaborative and Effective Approach? Pacing Clin. Electrophysiol. 2015, 38, 1439–1447. [Google Scholar] [CrossRef] [PubMed]
- Merchant, F.M.; Levy, M.R.; Kelli, H.M.; Hoskins, M.H.; Lloyd, M.S.; Delurgio, D.B.; Langberg, J.J.; Leon, A.R.; El-Chami, M.F. Predictors of Long-Term Survival Following Transvenous Extraction of Defibrillator Leads. Pacing Clin. Electrophysiol. 2015, 38, 1297–1303. [Google Scholar] [CrossRef] [PubMed]
- Gomes, S.; Cranney, G.; Bennett, M.; Giles, R. Long-Term Outcomes Following Transvenous Lead Extraction. Pacing Clin. Electrophysiol. 2016, 39, 345–351. [Google Scholar] [CrossRef] [PubMed]
- Gomes, S.; Cranney, G.; Bennett, M.; Giles, R. Lead Extraction for Treatment of Cardiac Device Infection: A 20-Year Single Centre Experience. Heart Lung Circ. 2017, 26, 240–245. [Google Scholar] [CrossRef]
- Narducci, M.L.; Di Monaco, A.; Pelargonio, G.; Leoncini, E.; Boccia, S.; Mollo, R.; Perna, F.; Bencardino, G.; Pennestrí, F.; Scoppettuolo, G.; et al. Presence of ‘ghosts’ and mortality after transvenous lead extraction. Europace 2016, 19, 432–440. [Google Scholar] [CrossRef][Green Version]
- Kutarski, A.; Czajkowski, M.; Pietura, R.; Obszanski, B.; Polewczyk, A.; Jachec, W.; Polewczyk, M.; Mlynarczyk, K.; Grabowski, M.; Opolski, G. Effectiveness, safety, and long-term outcomes of non-powered mechanical sheaths for transvenous lead extrac-tion. Europace 2018, 20, 1324–1333. [Google Scholar] [CrossRef]
- Diemberger, I.; Migliore, F.; Biffi, M.; Cipriani, A.; Bertaglia, E.; Lorenzetti, S.; Massaro, G.; Tanzarella, G.; Boriani, G. The “Subtle” con-nection between development of cardiac implantable electrical device infection and survival after complete system removal: An observational prospective multicenter study. Int. J. Cardiol. 2018, 250, 146–149. [Google Scholar] [CrossRef]
- Diemberger, I.; Bonfiglioli, R.; Martignani, C.; Graziosi, M.; Biffi, M.; Lorenzetti, S.; Ziacchi, M.; Nanni, C.; Fanti, S.; Boriani, G. Contribu-tion of PET imaging to mortality risk stratification in candidates to lead extraction for pacemaker or defibrillator infection: A prospective single center study. Eur. J. Nucl. Med. Mol. Imaging 2019, 46, 194–205. [Google Scholar] [CrossRef] [PubMed]
- Polewczyk, A.; JacheĆ, W.; Tomaszewski, A.; Brzozowski, W.; Czajkowski, M.; Opolski, G.; Grabowski, M.; Janion, M.; Kutarski, A. Lead-related infective endocarditis: Factors influencing early and long-term survival in patients undergoing transvenous lead extraction. Heart Rhythm. 2017, 14, 43–49. [Google Scholar] [CrossRef]
- Diemberger, I.; Biffi, M.; Lorenzetti, S.; Martignani, C.; Raffaelli, E.; Ziacchi, M.; Rapezzi, C.; Pacini, D.; Boriani, G. Predictors of long-term survival free from relapses after extraction of infected CIED. Europace 2018, 20, 1018–1027. [Google Scholar] [CrossRef]
- Jacheć, W.; Tomasik, A.; Polewczyk, A.; Kutarski, A. Impact of ICD lead on the system durability, predictors of long-term surviv-al following ICD system extraction. Pacing Clin. Electrophysiol. 2017, 40, 1139–1146. [Google Scholar] [CrossRef]
- Seifert, M.; Moeller, V.; Arya, A.; Schau, T.; Hoelschermann, F.; Butter, C. Prognosis associated with redo cardiac resynchronization therapy following complete device and lead extraction due to device-related infection. Europace 2017, 20, 808–815. [Google Scholar] [CrossRef]
- Yakish, S.J.; Narula, A.; Foley, R.; Kohut, A.; Kutalek, S.J. Superior Vena Cava Echocardiography as a Screening Tool to Predict Cardiovascular Implantable Electronic Device Lead Fibrosis Cardiovasc. Ultrasound 2015, 23, 27–31. [Google Scholar]
- Lo, R.; D’Anca, M.; Cohen, T.; Kerwin, T. Incidence and prognosis of pacemaker lead-associated masses: A study of 1569 transesophageal echocardiograms. J. Invasive Cardiol. 2006, 18, 599–601. [Google Scholar] [PubMed]
- Downey, B.C.; Juselius, W.E.; Pandian, N.G.; Mark Estes, I.I.I.N.A.; Link, M.S. Incidence and significance of pacemaker and implant-able cardioverter-defibrillator lead masses discovered during transesophageal echocardiography. Pacing Clin. Electrophysiol. 2011, 34, 679–683. [Google Scholar] [CrossRef] [PubMed]
- Strachinaru, M.; Kievit, C.M.; Yap, S.C.; Hirsch, A.; Geleijnse, M.L.; Szili-Torok, T. Multiplane/3D transesophageal echocardiography monitoring to improve the safety and outcome of complex transvenous lead extractions. Echocardiography 2019, 36, 980–986. [Google Scholar] [CrossRef]
- Golzio, P.G.; Errigo, D.; Peyracchia, M.; Gallo, E.; Frea, S.; Castagno, D.; Budano, C.; Giustetto, C.; Rinaldi, M. Prevalence and progno-sis of lead masses in patients with cardiac implantable electronic devices without infection. J. Cardiovasc. Med. 2019, 20, 372–378. [Google Scholar] [CrossRef]
- Robinson, J.; Wang, W.Y.S.; Kaye, G. Mobile echodensities on intracardiac device leads: Is it always a cause for concern? Pacing Clin. Electrophysiol. 2020, 43, 388–393. [Google Scholar] [CrossRef] [PubMed]
- Dundar, C.; Tigen, K.; Tanalp, C.; Izgi, A.; Karaahmet, T.; Cevik, C.; Erkol, A.; Oduncu, V.; Kirma, C. The prevalence of echocardio-graphic accretions on the leads of patients with permanent pacemakers. J. Am. Soc. Echocardiogr. 2011, 24, 803–807. [Google Scholar] [CrossRef]
- Bongiorni, M.G.; Burri, H.; Deharo, J.C.; Starck, C.; Kennergren, C.; Saghy, L.; Rao, A.; Tascini, C.; Lever, N.; Kutarski, A.; et al. 2018 EHRA expert consensus statement on lead extraction: Recommendations on definitions, endpoints, research trial design, and data collection requirements for clinical scientific studies and registries: Endorsed by APHRS/HRS/LAHRS. Europace 2018, 20, 1217. [Google Scholar] [CrossRef]
- Nowosielecka, D.; Polewczyk, A.; JacheĆ, W.; Tułecki, Ł.; Kleinrok, A.; Kutarski, A. Echocardiographic findings in patients with cardiac implantable electronic devices—analysis of factors predisposing to lead-associated changes. Clin. Physiol. Funct. Imaging 2021, 41, 25–41. [Google Scholar] [CrossRef] [PubMed]
- Nowosielecka, D.; JacheĆ, W.; Polewczyk, A.; Tułecki, Ł.; Tomków, K.; Stefańczyk, P.; Tomaszewski, A.; Brzozowski, W.; Szcześniak-Stańczyk, D.; Kleinrok, A.; et al. Transesophageal Echocardiography as a Monitoring Tool during Transvenous Lead Extraction—Does It Improve Procedure Effectiveness? J. Clin. Med. 2020, 9, 1382. [Google Scholar] [CrossRef] [PubMed]
- Nowosielecka, D.; Polewczyk, A.; Jacheć, W.; Tułecki, Ł.; Tomków, K.; Stefańczyk, P.; Kleinrok, A.; Kutarski, A. A new approach to the continuous monitoring of transvenous lead extraction using transesophageal echocardiography-Analysis of 936 proce-dures. Echocardiography 2020, 37, 601–611. [Google Scholar] [CrossRef] [PubMed]
- Zucchelli, G.; Di Cori, A.; Segreti, L.; Laroche, C.; Blomstrom-Lundqvist, C.; Kutarski, A.; Regoli, F.; Butter, C.; Defaye, P.; Pasquié, J.L.; et al. Major cardiac and vascular complications after trans-venous lead extraction: Acute outcome and predictive factors from the ESC-EHRA ELECTRa (European Lead Extraction ConTRolled) registry. Europace 2019, 1, 771–780. [Google Scholar] [CrossRef] [PubMed]
- Segreti, L.; Rinaldi, C.A.; Claridge, S.; Svendsen, J.H.; Blomstrom-Lundqvist, C.; Auricchio, A.; Butter, C.; Dagres, N.; Deharo, J.-C.; Maggioni, A.P.; et al. Procedural outcomes associated with transvenous lead extraction in patients with abandoned leads: An ESC-EHRA ELECTRa (European Lead Extraction ConTRolled) Registry Sub-Analysis. Europace 2019, 21, 645–654. [Google Scholar] [CrossRef]







| All Group n = 936 | Alive n = 824 | Death n = 112 | “U” Mann–Whitney/ Χ2 Test | |
|---|---|---|---|---|
| Follow-up (days); mean ± SD; (min.-max.); median, [Q1; Q3] | 566.2 ± 224.5 (2–730) 730.0 [397.0; 730.0] | 604.4 ± 196.0 (64–730) 730.0 [505.0; 730.0] | 285.3 ± 221.6 (2–725) 242.0 [75.0; 450.5] | p < 0.001 |
| Demographic and clinical data | ||||
| Patient age during TLE (years); mean ± SD; median, [Q1; Q3] | 67.08 ± 14.50 69.20 [61.10; 77.80] | 66.07 ± 4.79 69.40 [60.60; 77.40] | 73.29 ± 10.54 73.30 [66.70–82.20] | p < 0.001 |
| Patient age at first CIED implantation (years); mean ± SD; median, [Q1; Q3] | 57.28 ± 16.09 60.40 [50.20; 68.10] | 56.32 ± 16.45 60.80 [49.90; 68.20] | 64.38 ± 10.85 65.30 [59.10; 72.80] | p < 0.001 |
| Sex (female); n (%) | 355 (37.927) | 327 (39.684) | 28 (25.000) | p = 0.004 |
| NYHA class; (mean ± SD) | 2.029 ± 0.574 | 1.985 ± 0.560 | 2.348 ± 0.581 | p < 0.001 |
| LVEF (%); (mean ± SD); median, [Q1; Q3] | 47.89 ± 15.56 53.00 [34.50; 60.20] | 48.97 ± 15.05 55,40 [35.00; 60.10] | 39.94 ± 16.96 37.00 [25.70; 55.30] | p < 0.001 |
| Atrial Fibrillation; n (%) | 219 (23.397) | 177 (21.279) | 42 (37.500) | p < 0.001 |
| Chronic kidney disease (creatinine concentration >1.3 mg/dL); n (%) | 230 (24.892) | 173 (21.297) | 57 (51.351) | p < 0.001 |
| Diabetes (any); n (%) | 198 (21.154) | 167 (20.267) | 31 (27.679) | p = 0.093 |
| CABG history; n (%) | 74 (7.906) | 65 (7.888) | 9 (8.036) | p = 0.895 |
| Previous sternotomy; n (%) | 132 (14.103) | 116 (14.078) | 16 14.286) | p = 0.932 |
| Arterial hypertension; n (%) | 482 (51.496) | 433 (52.549) | 49 (43.750) | p = 0.100 |
| CHA2DS2-VAsc; mean ± SD | 3.005 ± 1.487 | 2.914 ± 1.763 | 3.682 ± 1.502 | p < 0.001 |
| Charlson comorbidity index; mean ± SD | 4.886 ± 3.764 | 4.674 ± 3.751 | 6.555 ± 3.557 | p < 0.001 |
| Need for long-term anticoagulation; n (%) | 389 (41.560) | 323 (39.199) | 66 (58.929) | p < 0.001 |
| Need for long-term antiplatelet therapy; n (%) | 424 (45.299) | 365 (44.296) | 59 (52.679) | p = 0.116 |
| CIED-related data | ||||
| Number of leads in the system before TLE; mean ± SD | 1.834 ± 0.639 | 1.817 ± 0.611 | 1.946 ± 0.745 | p = 0.122 |
| Presence of abandoned lead before TLE; n (%) | 86 (9.188) | 74 (8.981) | 11 (9.821) | p = 0.908 |
| Presence of HV therapy (ICD) lead; n (%) | 296 (31.624) | 249 (30.218) | 47 (41.964) | p = 0.016 |
| Presence of CS (LV pacing) lead; n (%) | 153 (16.346) | 120 (14.563) | 33 (29.464) | p < 0.001 |
| Number of leads in the patient before TLE; mean ± SD | 1.954 ± 0.729 | 1.934 ± 0.718 | 2.098 ± 0.718 | p = 0.040 |
| Dwell time of the oldest lead in the patient (months); mean ± SD; median, [Q1; Q3] | 115.80 ± 77.6 99.00 [62.00; 156.00] | 117.01 ± 77.75 99.00 [64.00; 156.00] | 107.24 ± 76.77 84.00 [49.00; 152.00] | p = 0.066 |
| Number of procedures before lead extraction; mean ± SD | 1.837 ± 0.990 | 1.840 ± 0.997 | 1.795 ± 0.922 | p = 0.766 |
| LRIE certain or probable with or without pocket infection; n (%) | 151 (16.132) | 108 (13.107) | 43 (38.393) | p < 0.001 |
| Local (pocket) infection (only); n (%) | 58 (6.196) | 52 (6.311) | 6 (5.357) | p = 0.854 |
| TLE efficacy and complications | ||||
| Major complications (any); n (%) | 18 (1.923) | 17 (2.063) | 1 (0.893) | p = 0.632 |
| Hemopericardium; n (%) | 12 (1.282) | 11 (1.353) | 1 (0.893) | p = 0.954 |
| Tricuspid severe valve damage during TLE; n (%) | 6 (0.641) | 5 (0.607) | 1 (0.893) | p = 0.783 |
| Rescue cardiac surgery; n (%) | 11 (1.175) | 10 (1.214) | 1 (0.893) | p = 0.864 |
| Lack of radiological success; n (%) | 6 (0.641) | 5 (0.607) | 1 (0.893 | p = 0.783 |
| Complete clinical success; (%) | 916 (97.863) | 805 (97.694) | 111 (99.107) | p = 0.534 |
| Complete procedural success; n (%) | 917 (97.761) | 808 (98.058) | 109 (97.321) | p = 0.872 |
| Echocardiographic Findings before Transvenous Lead Extraction | All Group | Alive | Death | “U” Mann–Whitney/Χ2 Test | |
|---|---|---|---|---|---|
| 936 | 824 | 112 | |||
| Tricuspid valve dysfunction (degree of regurgitation)—excluding patients with lead-dependent TV dysfunction | Average tricuspid valve regurgitation (0–4 degree) mean ± SD | 1.454 ± 0.956 | 1.413 ± 0.910 | 1.759 ± 1.210 | p < 0.001 |
| Patients with severe tricuspid regurgitation (3–4) n (%) | 162 (18.493) | 127 (15.423) | 35 (31.250) | p < 0.001 | |
| Lead-dependent tricuspid dysfunction (LDTD) | Average LDTD (0–4) mean ± SD | 3.541 ± 0.594 | 3.500 ± 0.580 | 3.727 ± 0.647 | p = 0.212 |
| Patients with LDTD (any) n (%) | 60 (6.410) | 49 (5.947) | 11 (9.821) | p = 0.172 | |
| Patients with severe LDTD (3–4) n (%) | 58 (96.667) | 48 (5.825) | 10 (8.929) | p = 0.285 | |
| Any shadows on leads | Patients with any shadows on leads before TLE n (%) | 607 (64.850) | 528 (64.078) | 79 (70.536) | p = 0.216 |
| Patients with fibrous tissue binding the lead to the SVC and heart structures n (%) | 236 (25.214) | 218 (26.456) | 18 (16.071) | p = 0.024 | |
| Fibrous tissue binding the lead to the superior vena cava and heart structures | Fibrous tissue binding the lead to the heart structures (all) n (%) | 317 (33.868) | 292 (35.436) | 25 (22.231) | p = 0.008 |
| Fibrous tissue binding the lead to the SVC n (%) | 56 (5.983) | 53 (6.432) | 3 (2.679) | p = 0.174 | |
| Fibrous tissue binding the lead to the RA wall n (%) | 65 (6.944) | 65 (7.888) | 0 (0.000) | p < 0.001 | |
| Fibrous tissue binding the lead to the tricuspid apparatus n (%) | 90 (9.615) | 80 (9.709) | 10 (8.929) | p = 0.927 | |
| Fibrous tissue binding the lead to the RV wall n (%) | 106 (11.325) | 94 (11.408) | 12 (10.714) | p = 0.953 | |
| Lead-to-lead adhesion n (%) | 172 (18.377) | 162 (19.660) | 10 (8.929) | p = 0.009 | |
| Patients with asymptomatic masses on endocardial leads (AMEL) (patient analysis) n (%) | 437 (46.688) | 391 (47.451) | 46 (41.071) | p = 0.243 | |
| Asymptomatic masses on endocardial leads (AMEL) (analysis) | Lead mass (AMEL) (all) n (%) | 549 (58.654) | 495 (60.007) | 54 (48.214) | p = 0.022 |
| Fibrous tissue encasing the lead n (% of all AMEL/% of all pts) | 160 (29.144/17.094) | 150 (30.303/18.204) | 10 (18.519/8.929) | p = 0.021 | |
| Lead thickening n (% of all AMEL/% of all pts) | 277 (50.455/29.594) | 247 (49.899/29.976) | 30 (55.556/26.786) | p = 0.560 | |
| Clot on the lead n (% of all AMEL/% of all pts) | 75 (13.661/8.013) | 67 (13.535/8.131) | 8 (14.815/7.143) | p = 0.860 | |
| Vegetation-like masses n (% of all AMEL/% of all pts) | 37 (6.740/3.953) | 31 (6.263/3.762) | 6 (11.111/5.357) | p = 0.579 | |
| Presence of vegetations (TTE or and TEE) | Patients with vegetations n (%) | 119 (12.727) | 86 (10.450) | 33 (29.464) | p < 0.001 |
| Excessive lead loops | Patients with lead loops in the heart (any) n (%) | 181 (19.338) | 169 (20.510) | 12 (1.7147) | p = 0.037 |
| Lead loops in the RA n (%) | 138 (14.744) | 128 (25.859) | 10 (8.929) | p = 0.088 | |
| Lead loops in the TV n (%) | 35 (3.793) | 34 (4.126) | 1 (0.893) | p = 0.154 | |
| Lead loops in the RV or PA n (%) | 28 (2.991) | 27 (3.277) | 1 (0.893) | p = 0.274 | |
| Perforation or penetration of the lead through the cardiac wall up to the epicardium n (%) | 151 (16.132) | 141 (17.112) | 10 (8.929) | p = 0.038 | |
| Univariate Cox Regression | Multivariate Cox Regression | |||||
|---|---|---|---|---|---|---|
| HR | 95% CI | p | HR | 95% CI | p | |
| Lead-dependent TV dysfunction (LDTD) (yes/no) | 1.630 | 0.875–3.037 | 0.124 | |||
| TV dysfunction unrelated to lead presence (all) (by one degree) | 1.528 | 1.296–1.801 | <0.001 | 1.481 | 1.261–1.740 | <0.001 |
| Asymptomatic masses on endocardial leads (AMEL) (yes/no) | 0.821 | 0.563–1.196 | 0.304 | |||
| Fibrous tissue encasing the lead (yes/no) | 0.442 | 0.231–0.847 | 0.014 | 0.587 | 0.304–1.132 | 0.112 |
| Lead thickening (yes/no) | 0.911 | 0.600–1.385 | 0.664 | |||
| Clot on the lead (yes/no) | 1.017 | 0.496–2.089 | 0.962 | |||
| Vegetation-like masses (yes/no) | 1.495 | 0.657–3.404 | 0.338 | |||
| Strong connective tissue scar binding the lead to heart structures (any) (yes/no) | 0.624 | 0.381–1.022 | 0.061 | |||
| Fibrous tissue binding the lead to the SVC (yes/no) | 0.414 | 0.131–1.303 | 0.132 | |||
| Fibrous tissue binding the lead to the SVC or/and RA wall (yes/no) | 0.208 | 0.066–0.655 | 0.007 | 0.285 | 0.088–0.919 | 0.036 |
| Fibrous tissue binding the lead to the tricuspid apparatus (yes/no) | 0.944 | 0.493–1.807 | 0.861 | |||
| Fibrous tissue binding the lead to the RV wall (yes/no) | 0.952 | 0.523–1.733 | 0.872 | |||
| Fibrous tissue binding the lead to the tricuspid apparatus or/and RV wall (yes/no) | 0.886 | 0.529–1.485 | 0.646 | |||
| Lead-to-lead adhesion (yes/no) | 0.484 | 0.260–0.901 | 0.022 | 0.653 | 0.345–1.235 | 0.190 |
| Perforation or penetration of the lead through the cardiac wall up to the epicardium (yes/no) | 0.474 | 0.247–0.907 | 0.024 | 0.496 | 0.259–0.953 | 0.035 |
| Excessive lead loops in the heart (yes/no) | 0.543 | 0.310–0.956 | 0.033 | 0.528 | 0.301–0.928 | 0.026 |
| Presence of vegetations (yes/no) | 3.078 | 2.042–4.639 | <0.001 | 2.631 | 1.738–3.983 | <0.001 |
| Univariable Cox Regression | Multivariable Cox Regression | |||||
|---|---|---|---|---|---|---|
| HR | 95% CI | p | HR | 95% CI | p | |
| Lead-dependent TV dysfunction (LDTD) (yes/no) | 1.630 | 0.875–3.037 | 0.124 | |||
| TV dysfunction unrelated to lead presence (all) (by one degree) | 1.528 | 1.296–1.801 | <0.001 | 1.128 | 0.937–1.357 | 0.202 |
| Asymptomatic masses on endocardial leads AMEL (yes/no) | 0.821 | 0.563–1.196 | 0.304 | |||
| Fibrous tissue encasing the lead (yes/no) | 0.442 | 0.231–0.847 | 0.014 | 0.629 | 0.323–1.226 | 0.174 |
| Lead thickening (yes/no) | 0.911 | 0.600–1.385 | 0.664 | |||
| Clot on the lead (yes/no) | 1.017 | 0.496–2.089 | 0.962 | |||
| Vegetation-like masses (yes/no) | 1.495 | 0.657–3.404 | 0.338 | |||
| Strong connective tissue scar binding the lead to heart structures (any) (yes/no) | 0.624 | 0.381–1.022 | 0.061 | 1.531 | 0.841–2.787 | 0.164 |
| Fibrous tissue binding the lead to the SVC (yes/no) | 0.414 | 0.131–1.303 | 0.132 | |||
| Fibrous tissue binding the lead to the SVC or/and RA wall (yes/no) | 0.208 | 0.066–0.655 | 0.007 | 0.270 | 0.077–0.944 | 0.040 |
| Fibrous tissue binding the lead to the tricuspid apparatus (yes/no) | 0.944 | 0.493–1.807 | 0.861 | |||
| Fibrous tissue binding the lead to the RV wall (yes/no) | 0.952 | 0.523–1.733 | 0.872 | |||
| Fibrous tissue binding the lead to the tricuspid apparatus or/and RV wall (yes/no) | 0.886 | 0.529–1.485 | 0.646 | |||
| Lead-to-lead adhesion (yes/no) | 0.484 | 0.260–0.901 | 0.022 | 0.607 | 0.313–1.175 | 0.138 |
| Perforation or penetration of the lead through the cardiac wall up to the epicardium (yes/no) | 0.474 | 0.247–0.907 | 0.024 | 0.562 | 0.289–1.093 | 0.090 |
| Excessive lead loops in the heart (yes/no) | 0.543 | 0.310–0.956 | 0.033 | 0.632 | 0.350–1.139 | 0.127 |
| Presence of vegetations (LRIE with vegetations) (yes/no) | 3.078 | 2.042–4.639 | <0.001 | 2.613 | 1.635–4.176 | <0.001 |
| Female gender (yes/no) | 0.542 | 0.355–0.826 | 0.004 | 0.812 | 0.511–1.289 | 0.376 |
| Patient age at first CIED implantation (↑ by 1 year) | 1.040 | 1.023–1.056 | 0.000 | 0.997 | 0.964–1.031 | 0.871 |
| Patient age during TLE (↑ by 1 year) | 1.044 | 1.026–1.062 | 0.000 | 1.037 | 0.999–1.076 | 0.057 |
| Need for long-term anticoagulation (yes/no) | 2.172 | 1.490–3.165 | 0.000 | 1.472 | 0.979–2.214 | 0.063 |
| LVEF (↓by 10%p) | 1.420 | 1.261–1.597 | 0.000 | 1.168 | 0.999–1.360 | 0.051 |
| NYHA class (↑by one class) | 2.852 | 2.120–3.838 | 0.000 | 1.340 | 0.909–1.975 | 0.139 |
| Chronic renal failure (yes/no) | 3.528 | 2.435–5.111 | 0.000 | 1.811 | 1.213–2.704 | 0.004 |
| Diabetes t. 2 (yes/no) | 1.522 | 1.006–2.303 | 0.047 | 1.209 | 0.780–1.874 | 0.397 |
| Presence of CS lead before TLE (yes/no) | 2.342 | 1.560–3.516 | 0.000 | 1.610 | 1.045–2.482 | 0.031 |
| Presence of ICD lead before TLE (yes/no) | 1.649 | 1.133–2.401 | 0.009 | 0.930 | 0.573–1.509 | 0.768 |
| Arterial hypertension (yes/no) | 0.727 | 0.500–1.056 | 0.094 | 0.569 | 0.381–0.849 | 0.006 |
| Lead-related infective endocarditis (LRIE) without vegetations (yes/no) | 2.289 | 1.196–4.383 | 0.012 | 2.371 | 1.166–4.821 | 0.017 |
| Isolated local pocket infection without general infection (yes/no) | 0.842 | 0.370–1.915 | 0.681 | |||
| Sources | Potential Patient- and Co-Morbidity-Related Risk Factors (Normal Type) | |||||
|---|---|---|---|---|---|---|
| Potential Infection-Related Risk Factors (Italics) | ||||||
| POTENTIAL CIED-, PREVIOUS PROCEDURE- AND TLE-RELATED RISK FACTORS (Capital Letters) | ||||||
| Author | Year | Patients | Most Important Factor | Important Factor | New Observation | No. of Refer. |
| Maytin | 2012 | 985 | Elderly pts, Infections | Diabetes, renal failure | SYSTEM UPGRADE | [5] |
| Deharo | 2012 | 197 Inf | Age, Infection, disease-related factors | Renal failure | Thrombocytopenia, CRT | [6] |
| Habib | 2013 | 415 | Endocarditis, heart failure | Renal failure | Co-morbidities | [7] |
| Deckx | 2014 | 176 Inf | Systemic infection, female sex | Renal failure | Low hemoglobin | [8] |
| Kim | 2014 | 80 IE | Valvular endocarditis & MRSA infection | MRSA infection | [9] | |
| Tarakji | 2014 | 502 | Systemic infection, concurrent infection | Renal failure | NYHA III/IV | [10] |
| Fu | 2015 | 652 | Endocarditis | “will be reported” | ABANDONED LEAD(?) | [11] |
| Merchant | 2015 | 508 | LVEF, LEAD NUMBER | Renal failure | PROCEDURAL FAILURE | [12] |
| Gomes | 2016 | 510 | Systemic infection, advanced age | Renal failure | RETAINED LEAD FRAGMENT, MC | [13] |
| Gomes | 2016 | 348 | Endocarditis | RETAINED LEAD FRAGMENT | [14] | |
| Narducci | 2016 | 217 | Endocarditis, systemic infection | “Ghost” presence | [15] | |
| Kutarski | 2016 | 2049 | EF, NYHA class, AF | Renal failure, diabetes | LACK OF CLINICAL SUCCESS, CRT-P | [16] |
| Diemberger | 2018 | 169 | Infection | Presence of vegetations (TEE!!!) | Risk factors for development of CIEDI (Shariff score ≥3) | [17] |
| Diemberger | 2019 | 105 CIEDI | Endocarditis | 18F-FDG PET/CT imaging | Endocarditis without pocket infection | [18] |
| Polewczyk | 2016 | 500 IE | Vegetation size, ICD LEAD | Renal failure, AF | Vegetation remnant, hemoglobin | [19] |
| Diemberger | 2018 | 121 | Renal failure | “Ghost” presence & closed pocket & modified Duke criteria fulfilled | [20] | |
| Jacheć | 2017 | 1884 | CIEDI & pocket infection | Renal failure, age, diabetes, infection (any) | ICD LEAD | [21] |
| Seifert | 2018 | 537 | Staph aureus | Renal failure, age, | N-terminal pro B-type natriuretic peptide level ≥3000 pg/mL, AF | [22] |
| Zucchelli | 2019 | 3555 | RIATA LEAD OCCLUSION OF SUPERIOR VENOUS ACCESS UTILITY OF POWERED ONES | Notice: only for acute outcome and intrahospital mortality | [34] | |
| Segreti | 2019 | 3555 | ABANDONED LEADS | Notice: only for acute outcome | [35] | |
Publisher’s Note: MDPI stays neutral with regard to jurisdictional claims in published maps and institutional affiliations. |
© 2021 by the authors. Licensee MDPI, Basel, Switzerland. This article is an open access article distributed under the terms and conditions of the Creative Commons Attribution (CC BY) license (http://creativecommons.org/licenses/by/4.0/).
Share and Cite
Nowosielecka, D.; Jacheć, W.; Polewczyk, A.; Tułecki, Ł.; Kleinrok, A.; Kutarski, A. Prognostic Value of Preoperative Echocardiographic Findings in Patients Undergoing Transvenous Lead Extraction. Int. J. Environ. Res. Public Health 2021, 18, 1862. https://doi.org/10.3390/ijerph18041862
Nowosielecka D, Jacheć W, Polewczyk A, Tułecki Ł, Kleinrok A, Kutarski A. Prognostic Value of Preoperative Echocardiographic Findings in Patients Undergoing Transvenous Lead Extraction. International Journal of Environmental Research and Public Health. 2021; 18(4):1862. https://doi.org/10.3390/ijerph18041862
Chicago/Turabian StyleNowosielecka, Dorota, Wojciech Jacheć, Anna Polewczyk, Łukasz Tułecki, Andrzej Kleinrok, and Andrzej Kutarski. 2021. "Prognostic Value of Preoperative Echocardiographic Findings in Patients Undergoing Transvenous Lead Extraction" International Journal of Environmental Research and Public Health 18, no. 4: 1862. https://doi.org/10.3390/ijerph18041862
APA StyleNowosielecka, D., Jacheć, W., Polewczyk, A., Tułecki, Ł., Kleinrok, A., & Kutarski, A. (2021). Prognostic Value of Preoperative Echocardiographic Findings in Patients Undergoing Transvenous Lead Extraction. International Journal of Environmental Research and Public Health, 18(4), 1862. https://doi.org/10.3390/ijerph18041862

