An Exploratory Study of the Relationships Between Diesel Engine Exhaust Particle Inhalation, Pulmonary Inflammation and Anxious Behavior
Abstract
1. Introduction
2. Materials and Methods
2.1. Animal Treatments
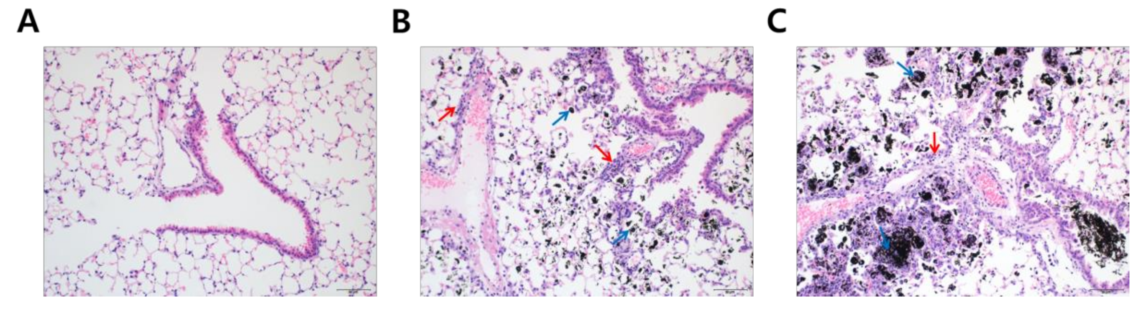
2.2. Histological Analysis
2.3. Collection of BALF (Broncho-Alveolar Lavage Fluid)
2.4. Measurements of H2O2 and Cytokines
2.5. Quantitative RT-PCR Analysis
2.6. Open Field Test
2.7. Statistical Analysis
3. Results
3.1. Physiological Changes of Body and Organ Weights
3.2. Histological Analysis
3.3. Cell Contents in Bronchial Alveolar Lavage Fluids (BALF)
3.4. Pro-Inflammatory Cytokines and H2O2 in BALF and Liver
3.5. Open Field Test (Distance and Time)
3.6. Open Field Test (Velocity)
4. Discussion
Author Contributions
Funding
Institutional Review Board Statement
Informed Consent Statement
Data Availability Statement
Acknowledgments
Conflicts of Interest
References
- Scheepers, P.T.; Bos, R.P. Combustion of diesel fuel from a toxicological perspective. I. Origin of incomplete combustion products. Int. Arch. Occup. Environ. Health 1992, 64, 149–161. [Google Scholar] [CrossRef] [PubMed]
- Laroo, C.A.; Schenk, C.R.; Sanchez, L.J.; McDonald, J. Emissions of PCDD/Fs, PCBs, and PAHs from a modern diesel engine equipped with catalyzed emission control systems. Environ. Sci. Technol. 2011, 45, 6420–6428. [Google Scholar] [CrossRef]
- Reif, K. (Ed.) Dieselmotor-Management im Überblick, 2nd ed.; Springer Fachmedien: Wiesbaden, Germany, 2014; p. 171. ISBN 978-3-658-06554-6. [Google Scholar]
- Merker, G.P.; Teichmann, R. (Eds.) Grundlagen Verbrennungsmotoren, 7th ed.; Springer Fachmedien: Wiesbaden, Germany, 2014; Chapter 7.1, Fig. 7.1; ISBN 978-3-658-03194-7. [Google Scholar]
- Sass, F. Geschichte des Deutschen Verbrennungsmotorenbaus von 1860 bis 1918; Springer: Berlin/Heidelberg, Germany, 1962; p. 466. ISBN 978-3-662-11843-6. (In German) [Google Scholar]
- Resitoglu, I.A.; Altinisik, K.; Keskin, A. The pollutant emissions from diesel-engine vehicles and exhaust aftertreatment systems. Clean Technol. Environ. Policy 2015, 17, 15–27. [Google Scholar] [CrossRef]
- Grenier, M. Measurement of Carbon Monoxide in Diesel Engine Exhaust. 2015. Available online: https://www.irsst.qc.ca/media/documents/PubIRSST/R-436.pdf?v=2021-01-26 (accessed on 27 January 2021).
- Tschanz, F.; Amstutz, A.; Onder, C.H.; Guzzella, L. A Real-Time Soot Model for Emission Control of a Diesel Engine. In Proceedings of the 6th IFAC Symposium Advances in Automotive Control, Munich, Germany, 12–14 July 2010; pp. 222–227. [Google Scholar]
- US EPA. Health Assessment Document for Diesel Engine Exhaust; US EPA: Washington, DC, USA, 2002; p. 113. [Google Scholar]
- Benbrahim-Tallaa, L.; Baan, R.A.; Grosse, Y.; Lauby-Secretan, B.; El Ghissassi, F.; Bouvard, V.; Guha, N.; Loomis, D.; Straif, K.; International Agency for Research on Cancer Monograph Working Group. Carcinogenicity of diesel-engine and gasoline-engine exhausts and some nitroarenes. Lancet Oncol. 2012, 13, 663–664. [Google Scholar] [CrossRef]
- Nawrot, T.S.; Perez, L.; Künzli, N.; Munters, E.; Nemery, B. Public health importance of triggers of myocardial infarction: A comparative risk assessment. Lancet 2011, 377, 732–740. [Google Scholar] [CrossRef]
- Power, M.C.; Weisskopf, M.G.; Alexeeff, S.E.; Coull, B.A.; Spiro, A.; Schwartz, J. Traffic-related air pollution and cognitive function in a cohort of older men. Environ. Health Perspect. 2011, 119, 682–687. [Google Scholar] [CrossRef]
- Kim, D.I.; Song, M.K.; Kim, S.H.; Park, C.Y.; Lee, K. TF-343 Alleviates Diesel Exhaust Particulate-Induced Lung Inflammation via Modulation of Nuclear Factor-kB signaling. J. Immunol. Res. 2019, 2019, 8315845. [Google Scholar] [CrossRef]
- Ichinose, T.; Furuyama, A.; Sagai, M. Biological effects of diesel exhaust particles (DEP). II. Acute toxicity of DEP introduced into lung by intratracheal instillation. Toxicology 1995, 99, 153–167. [Google Scholar] [CrossRef]
- Provoost, S.; Maes, T.; Pauwels, N.S.; Berghe, T.V.; Vandenabeele, P.; Lambrecht, B.N.; Joos, G.F.; Tournoy, K.G. NLRP3/caspase-1-independent IL-1beta production mediates diesel exhaust particle-induced pulmonary inflammation. J. Immunol. 2011, 187, 3331–3337. [Google Scholar] [CrossRef]
- Kumar, S.; Joos, G.; Boon, L.; Tournoy, K.; Provoost, S.; Maes, T. Role of tumor necrosis factor-α and its receptors in diesel exhaust particle-induced pulmonary inflammation. Sci. Rep. 2017, 7, 11508. [Google Scholar] [CrossRef]
- Rao, K.M.; Ma, J.Y.; Meighan, T.; Barger, M.W.; Pack, D.; Vallyathan, V. Time course of gene expression of inflammatory mediators in rat lung after diesel exhaust particle exposure. Environ. Health Perspect. 2005, 113, 612–617. [Google Scholar] [CrossRef] [PubMed][Green Version]
- Chung, J.; Demers, P.A.; Kalenge, S.; Kirkham, T.L. Career fire hall exposures to diesel engine exhaust in Ontario, Canada. J. Occup. Environ. Hyg. 2020, 17, 38–46. [Google Scholar] [CrossRef] [PubMed]
- Banks, A.P.W.; Thai, P.; Engelsman, M.; Wang, X.; Osorio, A.F.; Mueller, J.F. Characterising the exposure of Australian firefighters to polycyclic aromatic hydrocarbons generated in simulated compartment fires. Int. J. Hyg. Environ. Health 2020, 231, 113637. [Google Scholar] [CrossRef] [PubMed]
- Baris, D.; Garrity, T.J.; Telles, J.L.; Heineman, E.F.; Olshan, A.; Zahm, S.H. Cohort mortality study of Philadelphia firefighters. Am. J. Ind. Med. 2001, 39, 463–476. [Google Scholar] [CrossRef] [PubMed]
- Lee, J.K.; Lee, J.J.; Kim, Y.K.; Lee, Y.; Ha, J.H. Stachys sieboldii Miq. Root Attenuates Weight Gain and Dyslipidemia in Rats on a High-Fat and High-Cholesterol Diet. Nutrients 2020, 12, 2063. [Google Scholar] [CrossRef]
- Park, Y.H.; Lee, J.J.; Son, H.K.; Kim, B.H.; Byun, J.; Ha, J.H. Antiobesity Effects of Extract from Spergularia marina Griseb in Adipocytes and High-Fat Diet-Induced Obese Rats. Nutrients 2020, 12, 336. [Google Scholar] [CrossRef]
- Wang, H.; Adamcakova-Dodd, A.; Flor, S.; Gosse, L.; Klenov, V.E.; Stolwijk, J.M.; Lehmler, H.J.; Hornbuckle, K.C.; Ludewig, G.; Robertson, L.W.; et al. Comprehensive subchronic inhalation toxicity assessment of an indoor school air mixture of PCBs. Environ. Sci. Technol. 2020, 54, 15976–15985. [Google Scholar] [CrossRef]
- Parizek, N.J.; Steines, B.R.; Haque, E.; Altmaier, R.; Adamcakova-Dodd, A.; O’Shaughnessy, P.T.; Thorne, P.S. Acute in vivo pulmonary toxicity assessment of occupationally relevant particulate matter from a cellulose nanofiber board. NanoImpact 2020, 17, 100210. [Google Scholar] [CrossRef]
- Bystritsky, A.; Khalsa, S.S.; Cameron, E.M.; Schiffman, J. Current diagnosis and treatment of anxiety disorders. Pharm. Ther. 2013, 38, 30–57. [Google Scholar]
- Cui, J.; Fu, Y.; Lu, R.; Bi, Y.; Zhang, L.; Zhang, C.; Aschner, M.; Li, X.; Chen, R. Metabolomics analysis explores the rescue to neurobehavioral disorder induced by maternal PM. Ecotoxicol. Environ. Saf. 2019, 169, 687–695. [Google Scholar] [CrossRef]
- Ehsanifar, M.; Tameh, A.A.; Farzadkia, M.; Kalantari, R.R.; Zavareh, M.S.; Nikzaad, H.; Jafari, A.J. Exposure to nanoscale diesel exhaust particles: Oxidative stress, neuroinflammation, anxiety and depression on adult male mice. Ecotoxicol. Environ. Saf. 2019, 168, 338–347. [Google Scholar] [CrossRef] [PubMed]
- Zhang, C.; Meng, Q.; Zhang, X.; Wu, S.; Wang, S.; Chen, R.; Li, X. Role of astrocyte activation in fine particulate matter-enhancement of existing ischemic stroke in Sprague-Dawley male rats. J. Toxicol. Environ. Health A 2016, 79, 393–401. [Google Scholar] [CrossRef] [PubMed]
- Qian, Q.; Chowdhury, B.P.; Sun, Z.; Lenberg, J.; Alam, R.; Vivier, E.; Gorska, M.M. Maternal diesel particle exposure promotes offspring asthma through NK cell-derived granzyme B. J. Clin. Investig. 2020, 130, 4133–4151. [Google Scholar] [CrossRef] [PubMed]
- de Homdedeu, M.; Cruz, M.J.; Sánchez-Díez, S.; Gómez-Ollés, S.; Ojanguren, I.; Ma, D.; Muñoz, X. Role of diesel exhaust particles in the induction of allergic asthma to low doses of soybean. Environ. Res. 2020. Available online: https://pubmed.ncbi.nlm.nih.gov/33130171/. (accessed on 28 January 2021). [CrossRef] [PubMed]
- Li, C.H.; Sayeau, K.; Ellis, A.K. Air Pollution and Allergic Rhinitis: Role in Symptom Exacerbation and Strategies for Management. J. Asthma Allergy 2020, 13, 285–292. [Google Scholar] [CrossRef] [PubMed]
- Cattani-Cavalieri, I.; Valença, S.D.S.; Schmidt, M. Nanodomains in cardiopulmonary disorders and the impact of air pollution. Biochem. Soc. Trans. 2020, 48, 799–811. [Google Scholar] [CrossRef]
- Milani, C.; Corsetto, P.A.; Farina, F.; Botto, L.; Lonati, E.; Massimino, L.; Rizzo, A.M.; Bulbarelli, A.; Palestini, P. Early evidence of stress in immortalized neurons exposed to diesel particles: The role of lipid reshaping behind oxidative stress and inflammation. Toxicology 2018, 409, 63–72. [Google Scholar] [CrossRef]
- Levesque, S.; Taetzsch, T.; Lull, M.E.; Kodavanti, U.; Stadler, K.; Wagner, A.; Johnson, J.A.; Duke, L.; Kodavanti, P.; Surace, M.J.; et al. Diesel exhaust activates and primes microglia: Air pollution, neuroinflammation, and regulation of dopaminergic neurotoxicity. Environ. Health Perspect. 2011, 119, 1149–1155. [Google Scholar] [CrossRef]
- Hullmann, M.; Albrecht, C.; van Berlo, D.; Gerlofs-Nijland, M.E.; Wahle, T.; Boots, A.W.; Krutmann, J.; Cassee, F.R.; Bayer, T.A.; Schins, R.P.F. Diesel engine exhaust accelerates plaque formation in a mouse model of Alzheimer’s disease. Part. Fibre Toxicol. 2017, 14, 35. [Google Scholar] [CrossRef]
- Cole, T.B.; Coburn, J.; Dao, K.; Roqué, P.; Chang, Y.C.; Kalia, V.; Guilarte, T.R.; Dziedzic, J.; Costa, L.G. Sex and genetic differences in the effects of acute diesel exhaust exposure on inflammation and oxidative stress in mouse brain. Toxicology 2016, 374, 1–9. [Google Scholar] [CrossRef]
- Kilian, J.; Kitazawa, M. The emerging risk of exposure to air pollution on cognitive decline and Alzheimer’s disease—Evidence from epidemiological and animal studies. Biomed. J. 2018, 41, 141–162. [Google Scholar] [CrossRef] [PubMed]








| Transcript | Forward Primer | Reverse Primer |
|---|---|---|
| TNFα | GGCTGCCCCGACTACGT | ACTTTCTCCTGGTATGAGATAGCAAAT |
| IL-6 | CTGCAAGAGACTTCCATCCAGTT | AGGGAAGGCCGTGGTTGT |
| IL-1β | GTCACAAGAAACCATGGCACAT | GCCCATCAGAGGCAAGGA |
| GAPDH | CATGGCCTTCCGTGTTCCTA | GCGGCACGTCAGATCCA |
| Ref. | Age or BW | Strain | DEP Exposure Time | Biological Markers | Results |
|---|---|---|---|---|---|
| [13] | ~16.3 g | balb/c mouse | 7 days | Lung weight BALF | ↑ Cell # ↑ DEP accumulation↑ |
| [14] | 6–7 wks | ICR mouse | Once | Histology in lung BALF | Edema Cell # ↑ |
| [15] | C57BL/6 mouse | 1, 4, 7 days | BALF | Cell # ↑ Cytokine P ↑ | |
| [16] | C57BL/6 mouse | 1, 4, 7 days | BALF | Cell # ↑ Cytokine P ↑ | |
| [17] | ~175 g | SD rat | once and sacrificed after 1, 7 and 30 days | BALF Lung | Cytokine M/P ↑ Cytokine M ↑ LDH activity↑ |
| Ref. | Age | Strain | PM Exposure Time | Biological Markers | Results |
|---|---|---|---|---|---|
| [26] | 4 wks | pregnant ICR mouse | 6 h/day, 14 d (early prenatal exposure) | total distance moved duration in peripheral zone duration in central zone frequencies of zone transition velocity of movement duration of movement hyperactivity | ↑ ↓ ↑ ↑ ↑ ↑ ↑ |
| [27] | 7 wks | NMRI mouse | 3, 6, 8 h, 5 d, 12 wks | Forced swimming test time spent in open arms numbers of entries into open arms | immobility↑ ↓ ↓ |
| [28] | SD rat | 7 d | Total distance Speed of mobility | ↓ ↓ |
Publisher’s Note: MDPI stays neutral with regard to jurisdictional claims in published maps and institutional affiliations. |
© 2021 by the authors. Licensee MDPI, Basel, Switzerland. This article is an open access article distributed under the terms and conditions of the Creative Commons Attribution (CC BY) license (http://creativecommons.org/licenses/by/4.0/).
Share and Cite
Jeong, S.; Lee, J.-H.; Ha, J.-H.; Kim, J.; Kim, I.; Bae, S. An Exploratory Study of the Relationships Between Diesel Engine Exhaust Particle Inhalation, Pulmonary Inflammation and Anxious Behavior. Int. J. Environ. Res. Public Health 2021, 18, 1166. https://doi.org/10.3390/ijerph18031166
Jeong S, Lee J-H, Ha J-H, Kim J, Kim I, Bae S. An Exploratory Study of the Relationships Between Diesel Engine Exhaust Particle Inhalation, Pulmonary Inflammation and Anxious Behavior. International Journal of Environmental Research and Public Health. 2021; 18(3):1166. https://doi.org/10.3390/ijerph18031166
Chicago/Turabian StyleJeong, Sunyoung, Jong-Hwa Lee, Jung-Heun Ha, Jinhee Kim, Inyong Kim, and Sungryong Bae. 2021. "An Exploratory Study of the Relationships Between Diesel Engine Exhaust Particle Inhalation, Pulmonary Inflammation and Anxious Behavior" International Journal of Environmental Research and Public Health 18, no. 3: 1166. https://doi.org/10.3390/ijerph18031166
APA StyleJeong, S., Lee, J.-H., Ha, J.-H., Kim, J., Kim, I., & Bae, S. (2021). An Exploratory Study of the Relationships Between Diesel Engine Exhaust Particle Inhalation, Pulmonary Inflammation and Anxious Behavior. International Journal of Environmental Research and Public Health, 18(3), 1166. https://doi.org/10.3390/ijerph18031166

