Photocatalytic Detoxification of Some Insecticides in Aqueous Media Using TiO2 Nanocatalyst
Abstract
:1. Introduction
2. Material and Methods
2.1. Material
2.1.1. Chemicals
2.1.2. Synthesis of TiO2 Nanoparticles
2.1.3. Photochemical Remediation of the Tested Insecticides
2.1.4. HPLC Analysis
2.1.5. Degradation Kinetics
2.2. Toxicity Test
2.2.1. Ethical Statement
2.2.2. Animals
2.2.3. Animal Treatment
2.2.4. Biochemical Assays
2.2.5. Histopathological Examination
2.3. Statistical Analysis
3. Results
3.1. Characterization of the Catalyst
3.2. Photocatalytic Degradation of the Tested Insecticides in Aqueous Media
3.2.1. Biochemical Parameters
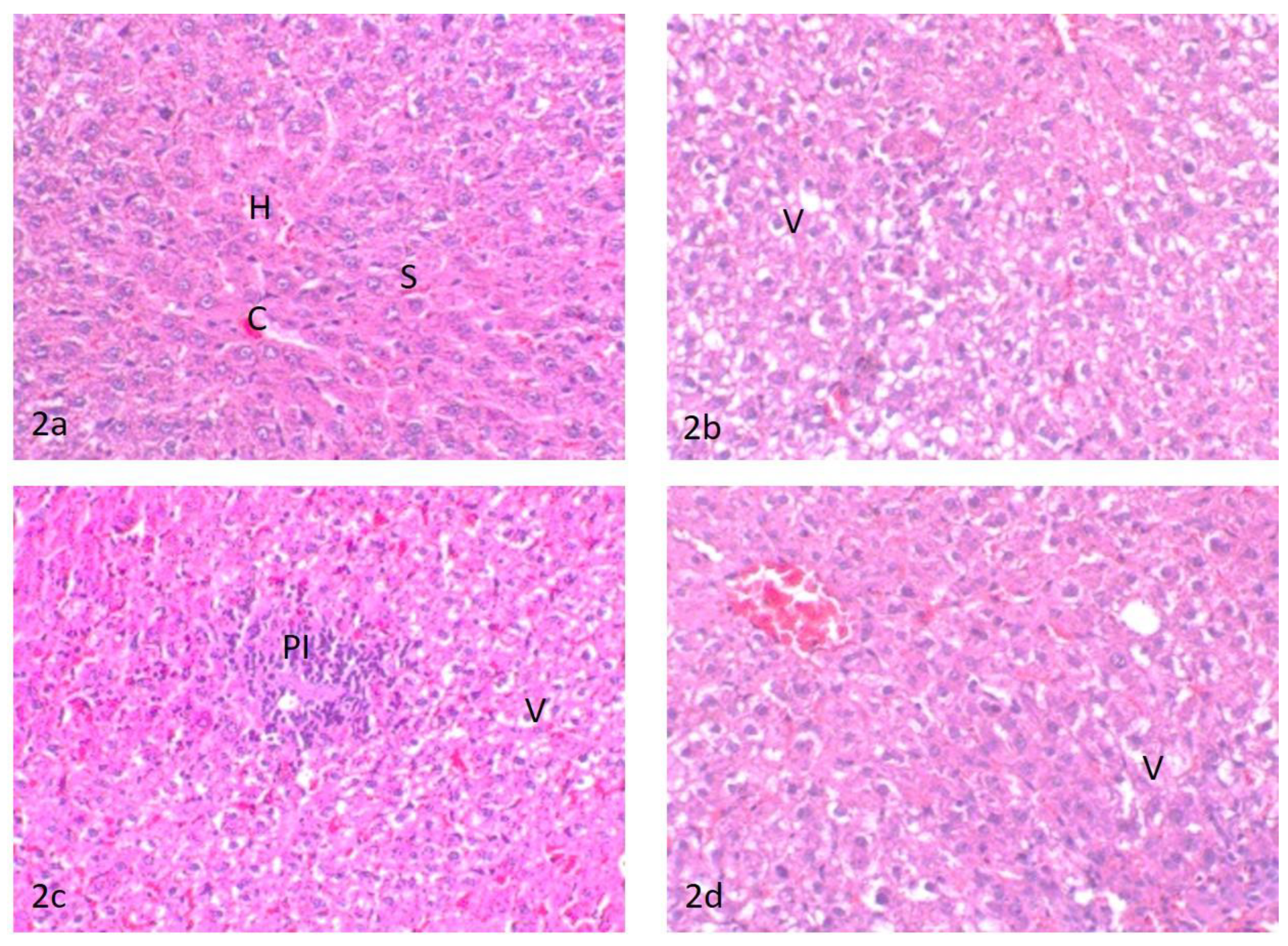
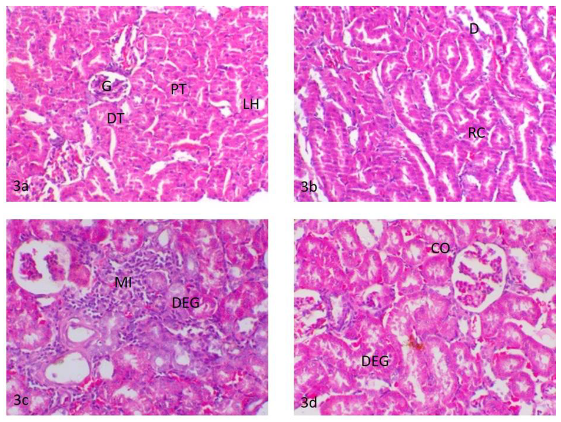
3.2.2. Histopathological Changes
Liver
Kidney
4. Discussion
5. Conclusions
Supplementary Materials
Author Contributions
Funding
Institutional Review Board Statement
Informed Consent Statement
Data Availability Statement
Acknowledgments
Conflicts of Interest
References
- World Health Organization. The World Health Report. Reducing Risks, Promoting Healthy Life; World Health Organization: Geneva, Switzerland, 2002; pp. 1–248. [Google Scholar]
- United Nations Children’s Fund. Unicef Annual Report; United Nations Children’s Fund: New York, NY, USA, 2000; pp. 1–32. [Google Scholar]
- World Health Organization. The State of the World’s Children; World Health Organization: Geneva, Switzerland, 2000. [Google Scholar]
- Hallberg, G.R. The impacts of agricultural chemicals on ground water quality. GeoJournal 1987, 15, 283–295. [Google Scholar] [CrossRef]
- Derbalah, A.; Ismail, A. Remediation technologies of diazinon and malathion residues in aquatic system. Environ. Prot. Eng. 2013, 39, 135–147. [Google Scholar] [CrossRef]
- Derbalah, A.; Ismail, A.; Hamza, A.; Shaheen, S. Monitoring and remediation of organochlorine residues in water. Water Environ. Res. 2014, 86, 584–593. [Google Scholar] [CrossRef]
- Derbalah, A.; Massoud, A.; El-Mehasseb, I.; Allah, M.; Ahmed, M.; Al-Brakati, A.; Elmahallawy, E. microbial detoxification of dimethoate and methomyl residues in aqueous media. Water 2021, 13, 1117. [Google Scholar] [CrossRef]
- Giambò, F.; Teodoro, M.; Costa, C.; Fenga, C. Toxicology and microbiota: How do pesticides influence gut microbiota? A review. Int. J. Environ. Res. Public Health 2021, 18, 5510. [Google Scholar] [CrossRef]
- El-Shafai, N.M.; El-Khouly, M.E.; El-Kemary, M.; Ramadan, M.S.; Derbalah, A.S.; Masoud, M.S. Fabrication and characterization of graphene oxide–titanium dioxide nanocomposite for degradation of some toxic insecticides. J. Ind. Eng. Chem. 2019, 69, 315–323. [Google Scholar] [CrossRef]
- Strathmann, T.J.; Stone, A.T. Reduction of the carbamate pesticides oxamyl and methomyl by dissolved FeII and CuI. Environ. Sci. Technol. 2001, 35, 2461–2469. [Google Scholar] [CrossRef]
- Ferrer, C.; Gómez, M.J.; García-Reyes, J.F.; Ferrer, I.; Thurman, E.M.; Fernández-Alba, A.R. Determination of pesticide residues in olives and olive oil by matrix solid-phase dispersion followed by gas chromatography/mass spectrometry and liquid chromatography/tandem mass spectrometry. J. Chromatogr. A 2005, 1069, 183–194. [Google Scholar] [CrossRef]
- Rastrelli, L.; Totaro, K.; De Simone, F. Determination of organophosphorus pesticide residues in Cilento (Campania, Italy) virgin olive oil by capillary gas chromatography. Food Chem. 2002, 79, 303–305. [Google Scholar] [CrossRef]
- Babina, K.; Dollard, M.F.; Pilotto, L.; Edwards, J.W. Environmental exposure to organophosphorus and pyrethroid pesticides in South Australian preschool children: A cross sectional study. Environ. Int. 2012, 48, 109–120. [Google Scholar] [CrossRef] [PubMed]
- Lozowicka, B.; Mojsak, P.; Jankowska, M.; Kaczynski, P.; Hrynko, I.; Rutkowska, E.; Szabunko, J.; Borusiewicz, A. Toxicological studies for adults and children of insecticide residues with common mode of action (MoA) in pome, stone, berries and other small fruit. Sci. Total. Environ. 2016, 566–567, 144–156. [Google Scholar] [CrossRef]
- Mohamed, M.S. Degradation of methomyl by the novel bacterial strain Stenotrophomonas maltophilia M1. Electron. J. Biotechnol. 2009, 12, 6–7. [Google Scholar] [CrossRef] [Green Version]
- Derbalah, A. Chemical remediation of carbofuran insecticide in aquatic system by advanced oxidation processes. J. Agric. Res. Kafr-El Sheikh Univ. 2009, 35, 308–327. [Google Scholar]
- Derbalah, A.; Sunday, M.; Chidya, R.; Jadoon, W.; Sakugawa, H. Kinetics of photocatalytic removal of imidacloprid from water by advanced oxidation processes with respect to nanotechnology. J. Water Health 2019, 17, 254–265. [Google Scholar] [CrossRef] [Green Version]
- Derbalah, A.; Nakatani, N.; Sakugawa, H. Photocatalytic removal of fenitrothion in pure and natural waters by photo-Fenton reaction. Chemosphere 2004, 57, 635–644. [Google Scholar] [CrossRef] [PubMed]
- Ismail, A.; Derbalah, A.; Shaheen, S. Monitoring and remediation technologies of organochlorine pesticides in drainage water. Pol. J. Chem. Technol. 2015, 17, 115–122. [Google Scholar] [CrossRef] [Green Version]
- Poulios, I.; Kositzi, M.; Pitarakis, K.; Beltsios, S.; Oikonomou, I. Photocatalytic oxidation of methomyl in the presence of semiconducting oxides. Int. J. Environ. Pollut. 2006, 28, 33. [Google Scholar] [CrossRef]
- Tamimi, M.; Qourzal, S.; Barka, N.; Assabbane, A.; Aitichou, Y. Methomyl degradation in aqueous solutions by Fenton’s reagent and the photo-Fenton system. Sep. Purif. Technol. 2008, 61, 103–108. [Google Scholar] [CrossRef]
- Yousef, A.; Barakat, N.; Al-Deyab, S.S.; Nirmala, R.; Pant, B.; Kim, H.Y. Encapsulation of CdO/ZnO NPs in PU electrospun nanofibers as novel strategy for effective immobilization of the photocatalysts. Colloids Surf. A Physicochem. Eng. Asp. 2012, 401, 8–16. [Google Scholar] [CrossRef]
- Mills, A.; Le Hunte, S. An overview of semiconductor photocatalysis. J. Photochem. Photobiol. A Chem. 1997, 108, 1–35. [Google Scholar] [CrossRef]
- Andreozzi, R.; Caprio, V.; Insola, A.; Marotta, R. Advanced oxidation processes (AOP) for water purification and recovery. Catal. Today 1999, 53, 51–59. [Google Scholar] [CrossRef]
- Hyung, H.; Kim, J.-H. Dispersion of C60 in natural water and removal by conventional drinking water treatment processes. Water Res. 2009, 43, 2463–2470. [Google Scholar] [CrossRef]
- Gupta, S.M.; Tripathi, M. A review of TiO2 nanoparticles. Chin. Sci. Bull. 2011, 56, 1639–1657. [Google Scholar] [CrossRef] [Green Version]
- Karunakaran, C.; Abiramasundari, G.; Gomathisankar, P.; Manikandan, G.; Anandi, V. Cu-doped TiO2 nanoparticles for photocatalytic disinfection of bacteria under visible light. J. Colloid Interface Sci. 2010, 352, 68–74. [Google Scholar] [CrossRef]
- Leusch, F.; Chapman, H. The Role of Toxicity Testing in Identifying Toxic Substances: A Framework for Identification of Suspected Toxic Compounds in Water; Griffith University: Brisbane, Australia, 2011. [Google Scholar]
- Addamo, M.; Augugliaro, V.; Di Paola, A.; García-López, E.; Loddo, V.; Marci, G.; Molinari, R.; Palmisano, L.; Schiavello, M. Preparation, characterization, and photoactivity of Polycrystalline Nanostructured TiO2 Catalysts. J. Phys. Chem. B 2004, 108, 3303–3310. [Google Scholar] [CrossRef]
- El-Kemary, M.; Abdel-Moneam, Y.; Madkour, M.; El-Mehasseb, I. Enhanced photocatalytic degradation of Safranin-O by heterogeneous nanoparticles for environmental applications. J. Lumin. 2011, 131, 570–576. [Google Scholar] [CrossRef]
- Laoufi, N.A.B. Photocatalytic oxidation of methomyl on an immobilized particle TiO2 layer. In Proceedings of the 11th International Conference on Environmental Science and Technology, Beijing, China, 19–21 November 2020; pp. 671–687. [Google Scholar]
- Evgenidou, E.; Fytianos, K.; Poulios, I. Photocatalytic oxidation of dimethoate in aqueous solutions. J. Photochem. Photobiol. A Chem. 2005, 175, 29–38. [Google Scholar] [CrossRef]
- Devi, A.; Stiadi, Y.; Jamarun, N.; Arief, S. Preparation, characterization of ZnO/CoFe2O4 magnetic nanocomposites and activity evaluation under solar light irradiation. J. Chem. Pharm. Res. 2015, 7, 139–146. [Google Scholar]
- Monkiedje, A.; Spiteller, M. Degradation of Metalaxyl and Mefenoxam and effects on the microbiological properties of tropical and temperate soils. Int. J. Environ. Res. Public Health 2005, 2, 272–285. [Google Scholar] [CrossRef] [Green Version]
- Korsrud, G.O.; Grice, H.C.; McLaughlan, J. Sensitivity of several serum enzymes in detecting carbon tetrachloride-induced liver damage in rats. Toxicol. Appl. Pharmacol. 1972, 22, 474–483. [Google Scholar] [CrossRef]
- Waber, H.; Dtsch, M. Cholinestrase kinetic colorimetric method. Dtsch. Med. Wschr. 1966, 91, 1927. [Google Scholar]
- Schirmeister, J. Determination of creatinine level. Dtsch. Med. Wochenschr. 1964, 89, 1940–1947. [Google Scholar]
- Reitman, S.F. Glutamic—Pyruvate transaminase assay by colorimetric method. Am. J. Clin. Path. 1957, 28, 56. [Google Scholar] [CrossRef]
- William, H.H.; Michael, J.P.; William, B.J. Glutathione-S-Transferase UV method. J. Biol. Chem. 1974, 249, 7130–7139. [Google Scholar]
- Suvarna, K.S.; Layton, C.; Bancroft, J.D. Bancroft’s Theory and Practice of Histological Techniques, 8th ed.; Elsevier: Amsterdam, The Netherlands, 2008. [Google Scholar]
- Duncan, D.B. Multiple range and multiple F Tests. Biometrics 1955, 11, 1–42. [Google Scholar] [CrossRef]
- Nurmi, J.T.; Tratnyek, P.G.; Sarathy, V.; Baer, D.R.; Amonette, J.E.; Pecher, K.; Wang, C.; Linehan, J.C.; Matson, D.W.; Penn, R.L.; et al. Characterization and properties of metallic iron nanoparticles: Spectroscopy, electrochemistry, and kinetics. Environ. Sci. Technol. 2005, 39, 1221–1230. [Google Scholar] [CrossRef] [Green Version]
- Dhal, J.P.; Mishra, B.G.; Hota, G. Hydrothermal synthesis and enhanced photocatalytic activity of ternary Fe2O3/ZnFe2O4/ZnO nanocomposite through cascade electron transfer. RSC Adv. 2015, 5, 58072–58083. [Google Scholar] [CrossRef]
- Tristão, J.C.; Magalhães, F.; Corio, P.; Sansiviero, M.T.C. Electronic characterization and photocatalytic properties of CdS/TiO2 semiconductor composite. J. Photochem. Photobiol. A Chem. 2006, 181, 152–157. [Google Scholar] [CrossRef]
- Thamaphat, K.; Limsuwan, P.; Ngotawornchai, B. Phase characterization of TiO2 powder by XRD and TEM. Nat. Sci. 2008, 42, 357–361. [Google Scholar]
- Varshneya, R. Biogenic Synthesis of Silver Nanocubes and Nanorods Using Sundried Stevia Rebaudiana Leaves. Adv. Mater. Lett. 2010, 1, 232–237. [Google Scholar] [CrossRef]
- Pattabi, M.; Saraswathi Amma, B. Effect of precursor concentration on the particle size of mercaptopropionic acid capped CdS nanoparticles. J. N. Mater. Electrochem. Syst. 2007, 10, 43. [Google Scholar]
- He, F.; Zhao, D.; Liu, A.J.; Roberts, C.B. Stabilization of Fe−Pd Nanoparticles with Sodium Carboxymethyl Cellulose for enhanced transport and Dechlorination of Trichloroethylene in soil and groundwater. Ind. Eng. Chem. Res. 2007, 46, 29–34. [Google Scholar] [CrossRef]
- Theng, B.K.G.; Yuan, G. Nanoparticles in the Soil Environment. Elements 2008, 4, 395–399. [Google Scholar] [CrossRef]
- Kouloumbos, V.N.; Tsipi, D.F.; Hiskia, A.E.; Nikolic, D.; van Breemen, R.B. Identification of photocatalytic degradation products of diazinon in TiO2 aqueous suspensions using GC/MS/MS and LC/MS with quadrupole time-of-flight mass spectrometry. J. Am. Soc. Mass Spectrom. 2003, 14, 803–817. [Google Scholar] [CrossRef] [Green Version]
- Pare, B.; Jonnalagadda, S.B.; Tomar, H.; Singh, P.; Bhagwat, V. ZnO assisted photocatalytic degradation of acridine orange in aqueous solution using visible irradiation. Desalination 2008, 232, 80–90. [Google Scholar] [CrossRef]
- Benitez, F.J.; Acero, J.L.; Real, F.J. Degradation of carbofuran by using ozone, UV radiation and advanced oxidation processes. J. Hazard. Mater. 2002, 89, 51–65. [Google Scholar] [CrossRef]
- Barakat, N.A.M.; Nassar, M.M.; Farrag, T.E.; Mahmoud, M.S. Effective photodegradation of methomyl pesticide in concentrated solutions by novel enhancement of the photocatalytic activity of TiO2 using CdSO4 nanoparticles. Environ. Sci. Pollut. Res. 2013, 21, 1425–1435. [Google Scholar] [CrossRef]
- El-Fakharany, I.I.; Massoud, A.H.; Derbalah, A.S.; Allah, M.S.S. Toxicological effects of methomyl and remediation technologies of its residues in an aquatic system. J. Environ. Chem. Ecotoxicol. 2011, 3, 332–339. [Google Scholar]
- Tomasevic, A.; Boskovic, G.; Mijin, D.; Kiss, E.E. Decomposition of methomyl over supported iron catalysts. React. Kinet. Catal. Lett. 2007, 91, 53–59. [Google Scholar] [CrossRef]
- Massoud, A.S.D.A.H.; El-Fakhrany, I.I.; Allah, M.S.S. Toxicological effects of organosphorus insecticides and remediation technologies of its residues in aquatic system B. dimethoate. J. Agric. Res. Kafr-El Sheikh Univ. 2011, 37, 516–533. [Google Scholar]
- Pommé, S. Problems with the Uncertainty Budget of Half-Life Measurements. ACS Symp. Ser. 2006, 945, 282–292. [Google Scholar]
- Pommé, S.; Camps, J.; Van Ammel, R.; Paepen, J. Protocol for uncertainty assessment of half-lives. J. Radioanal. Nucl. Chem. 2008, 276, 335–339. [Google Scholar] [CrossRef]
- Kralj, M.B.; Franko, M.; Trebše, P. Photodegradation of organophosphorus insecticides—Investigations of products and their toxicity using gas chromatography–mass spectrometry and AChE-thermal lens spectrometric bioassay. Chemosphere 2007, 67, 99–107. [Google Scholar] [CrossRef]
- Bernet, D.; Schmidt-Posthaus, H.; Meier, W.; Burkhardt-Holm, P.; Wahli, T. Histopathology in fish: Proposal for a protocol to assess aquatic pollution. J. Fish Dis. 1999, 22, 25–34. [Google Scholar] [CrossRef] [Green Version]
- Dutta, H.; Adhikari, S.; Singh, N.; Roy, P.; Munshi, J. Histopathological changes induced by malathion in the liver of a freshwater catfish, Heteropneustes fossilis (Bloch). Bull. Environ. Contam. Toxicol. 1993, 51, 895–900. [Google Scholar] [CrossRef] [PubMed]
- Rodrigues, E.D.L.; Fanta, E. Liver histopathology of the fish Brachydanio rerio Hamilton-Buchman after acute exposure to sublethal levels of the organophosphate Dimethoate 500. Rev. Bras. Zool. 1998, 15, 441–450. [Google Scholar] [CrossRef]
- Wafa, T.; Amel, N.; Issam, C.; Imed, C.; Abdelhedi, M.; Mohamed, H. Subacute effects of 2,4-dichlorophenoxyacetic herbicide on antioxidant defense system and lipid peroxidation in rat erythrocytes. Pestic. Biochem. Physiol. 2011, 99, 256–264. [Google Scholar] [CrossRef]
- El-Demerdash, F.; Dewer, Y.; ElMazoudy, R.H.; Attia, A.A. Kidney antioxidant status, biochemical parameters and histopathological changes induced by methomyl in CD-1 mice. Exp. Toxicol. Pathol. 2013, 65, 897–901. [Google Scholar] [CrossRef]
- Sharma, Y.; Bashir, S.; Irshad, M.; Nag, T.; Dogra, T. Dimethoate-induced effects on antioxidant status of liver and brain of rats following subchronic exposure. Toxicology 2005, 215, 173–181. [Google Scholar] [CrossRef]
- Henics, T.; Wheatley, D.N. Cytoplasmic vacuolation, adaptation and cell death: A view on new perspectives and features. Biol. Cell 1999, 91, 485–498. [Google Scholar] [CrossRef]
- Rahm, M.; Atty, Y.A.; Rahman, M.A.; Sabry, M. Structural changes induced by gibberellic acid in the renal cortex of adult male albino rats. MOJ Anat. Physiol. 2017, 3, 00080. [Google Scholar]
- Mebert, A.M.; Baglole, C.J.; Desimone, M.; Maysinger, D. Nanoengineered silica: Properties, applications and toxicity. Food Chem. Toxicol. 2017, 109, 753–770. [Google Scholar] [CrossRef]
- Massoud, A.; Derbalah, A.; Abd-Elaziz, I.; Sayed Ahmed, M. Oral toxicity of Malathion at low doses in Sprague-Dawley Rats: A biochemical and histopathological study. Menofia Vet. J. 2010, 7, 183–196. [Google Scholar]
- Descotes, G.; Pinard, D.; Gallas, J.-F.; Penacchio, E.; Blot, C.; Moreau, C. Extension of the 4-week safety study for detecting immune system impairment appears not necessary: Example of cyclosporin A in rats. Toxicology 1996, 112, 245–256. [Google Scholar] [CrossRef]
- Sayed Ahmed, M.; Massoud, A.; Derbalah, A.; Ismail, A. Pathological and biochemical assesment of the fungicide (Metalaxyl) on rats Egypt. J. Comp. Path. Clin. Path. 2011, 24, 136–154. [Google Scholar]
- Ahmed, M.S.; Massoud, A.H.; Derbalah, A.S.; Al-Brakati, A.; Al-Abdawani, M.A.; Eltahir, H.A.; Yanai, T.; Elmahallawy, E.K. Biochemical and histopathological alterations in different tissues of rats due to repeated oral dose toxicity of Cymoxanil. Animals 2020, 10, 2205. [Google Scholar] [CrossRef]
- Ng, A.M.C.; Guo, M.Y.; Leung, Y.H.; Chan, C.M.; Wong, S.W.; Yung, M.M.; Ma, A.P.; Djurišić, A.B.; Leung, F.C.; Leung, K.M.; et al. Metal oxide nanoparticles with low toxicity. J. Photochem. Photobiol. B Biol. 2015, 151, 17–24. [Google Scholar] [CrossRef]
- Borm, P.J.; Müller-Schulte, D. Nanoparticles in drug delivery and environmental exposure: Same size, same risks? Nanomedicine 2006, 1, 235–249. [Google Scholar] [CrossRef]



| Treatments | Degradation Rate Constant (day−1) | Half-Life (t1/2) (day) | R2 |
|---|---|---|---|
| Methomyl | |||
| H2O2/TiO2(c)/UV | 0.0191 | 36.28 | 0.98 |
| H2O2/TiO2(s)/UV | 0.0355 | 19.52 | 0.95 |
| Dimethoate | |||
| H2O2/TiO2(c)/UV | 0.0158 | 43.86 | 0.96 |
| H2O2/TiO2(s)/UV | 0.0250 | 27.72 | 0.94 |
| Treatment | AChE | GPT | GOT | GST |
|---|---|---|---|---|
| M + H2O2/TiO2(s)/UV | 0.912 × 10−1 ± 0.001 a | 51.89 ± 0.29 a | 0.0113 ± 0.0011 a | 19.010 ± 0.62 a |
| D + H2O2/TiO2(s)/UV | 0.912 × 10−1 ± 0.001 a | 51.78 ± 0.93 a | 0.0114 ± 0.0012 a | 19.040 ± 0.61 a |
| H2O2/TiO2(s)/UV | 0.912 × 10−1 ± 0.001 a | 51.78 ± 0.93 a | 0.0114 ± 0.0011 a | 19.040 ± 0.61 a |
| Control | 0.911 × 10−1 ± 0.001 a | 51.4 ± 0.013 a | 0.0113 ± 0.008 a | 19.040 ± 0.68 a |
Publisher’s Note: MDPI stays neutral with regard to jurisdictional claims in published maps and institutional affiliations. |
© 2021 by the authors. Licensee MDPI, Basel, Switzerland. This article is an open access article distributed under the terms and conditions of the Creative Commons Attribution (CC BY) license (https://creativecommons.org/licenses/by/4.0/).
Share and Cite
Massoud, A.; Derbalah, A.; El-Mehasseb, I.; Allah, M.S.; Ahmed, M.S.; Albrakati, A.; Elmahallawy, E.K. Photocatalytic Detoxification of Some Insecticides in Aqueous Media Using TiO2 Nanocatalyst. Int. J. Environ. Res. Public Health 2021, 18, 9278. https://doi.org/10.3390/ijerph18179278
Massoud A, Derbalah A, El-Mehasseb I, Allah MS, Ahmed MS, Albrakati A, Elmahallawy EK. Photocatalytic Detoxification of Some Insecticides in Aqueous Media Using TiO2 Nanocatalyst. International Journal of Environmental Research and Public Health. 2021; 18(17):9278. https://doi.org/10.3390/ijerph18179278
Chicago/Turabian StyleMassoud, Ahmed, Aly Derbalah, Ibrahim El-Mehasseb, Moustafa Saad Allah, Mohamed S. Ahmed, Ashraf Albrakati, and Ehab Kotb Elmahallawy. 2021. "Photocatalytic Detoxification of Some Insecticides in Aqueous Media Using TiO2 Nanocatalyst" International Journal of Environmental Research and Public Health 18, no. 17: 9278. https://doi.org/10.3390/ijerph18179278
APA StyleMassoud, A., Derbalah, A., El-Mehasseb, I., Allah, M. S., Ahmed, M. S., Albrakati, A., & Elmahallawy, E. K. (2021). Photocatalytic Detoxification of Some Insecticides in Aqueous Media Using TiO2 Nanocatalyst. International Journal of Environmental Research and Public Health, 18(17), 9278. https://doi.org/10.3390/ijerph18179278

