Surgical Reconstruction of Nonunion after Iatrogenic Scarf Osteotomy
Abstract
1. Introduction
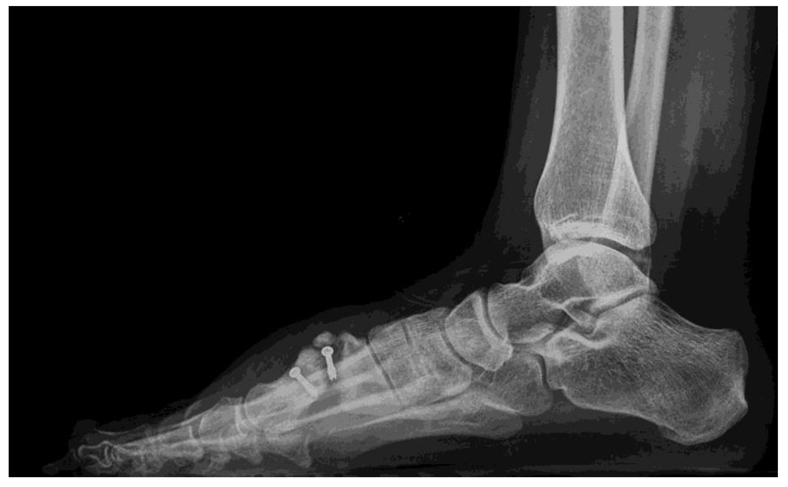
2. Case Report
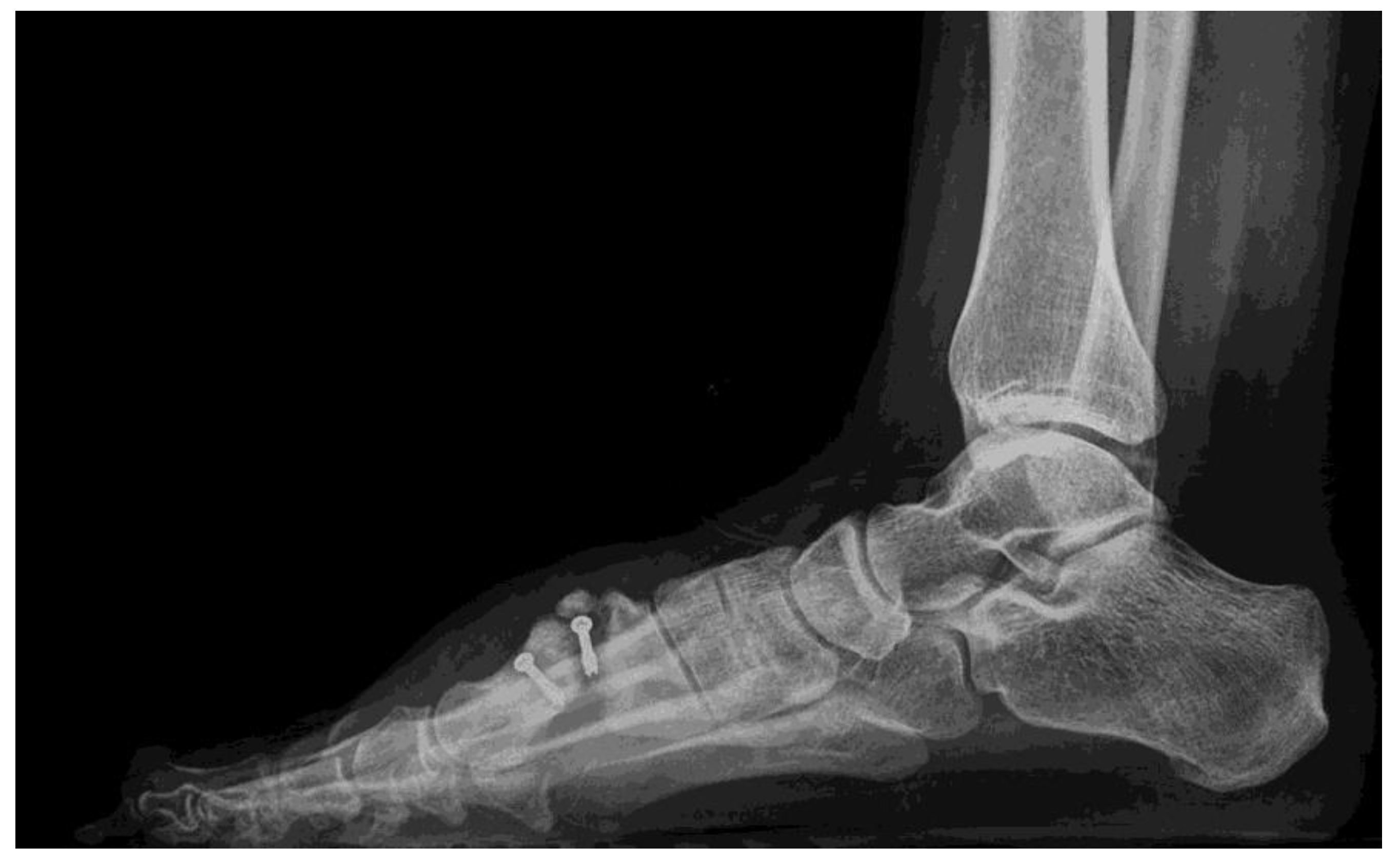
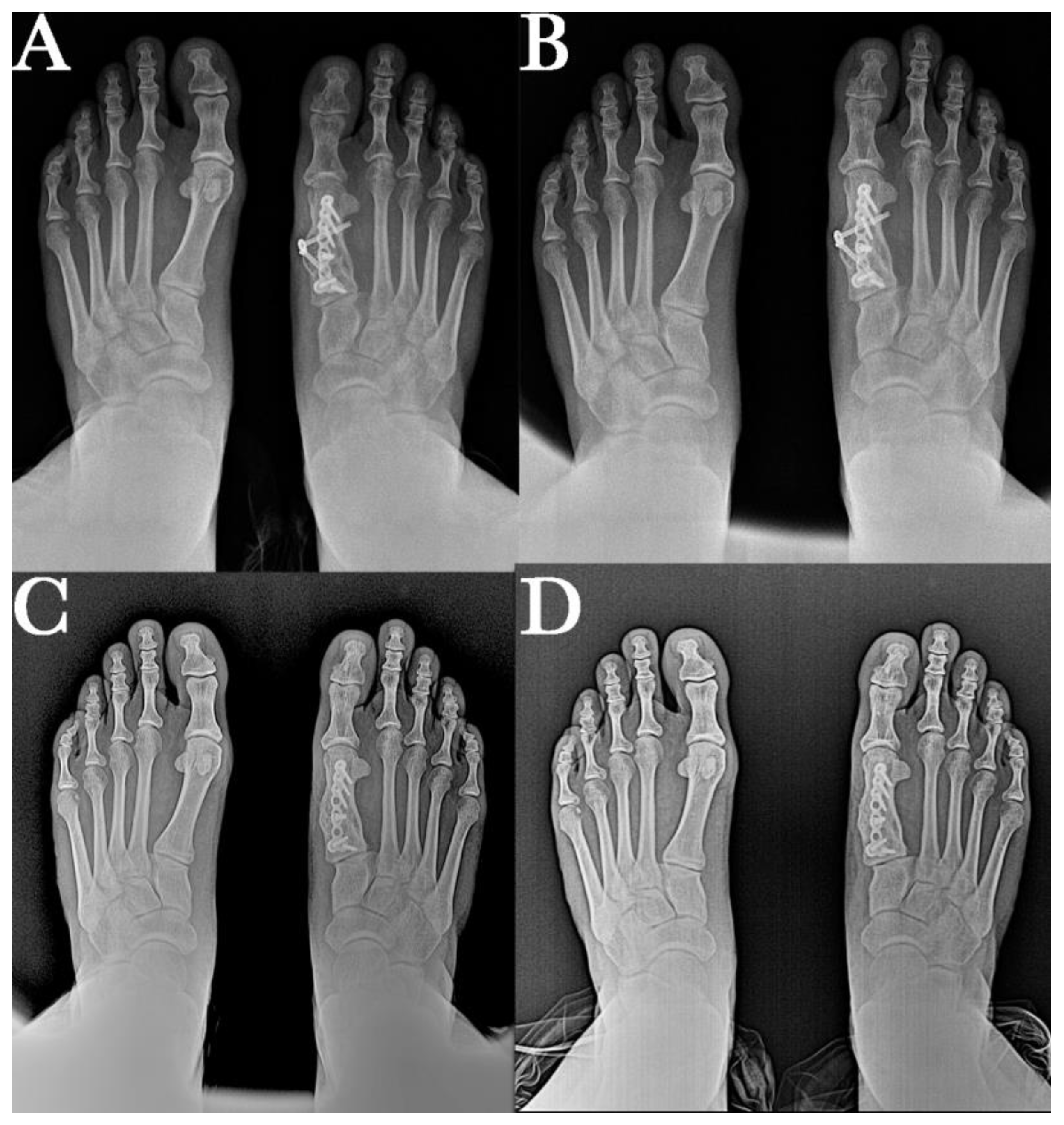
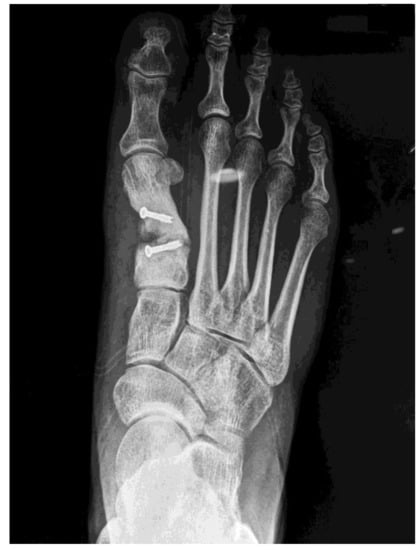
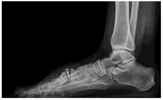
2.1. Surgical Procedure
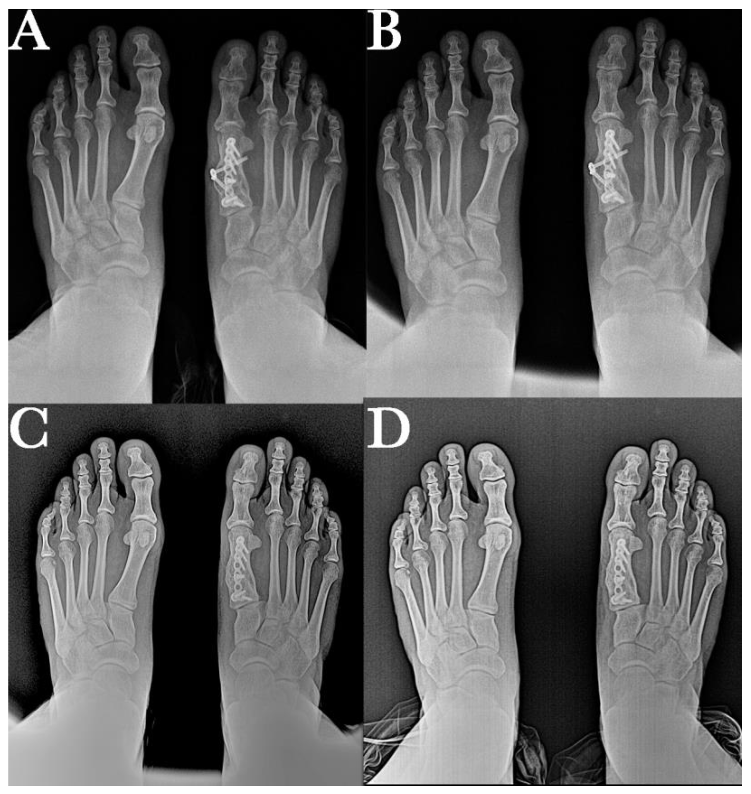
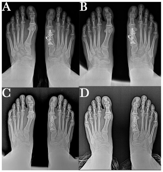
2.2. Postsurgical Procedure and Evolution
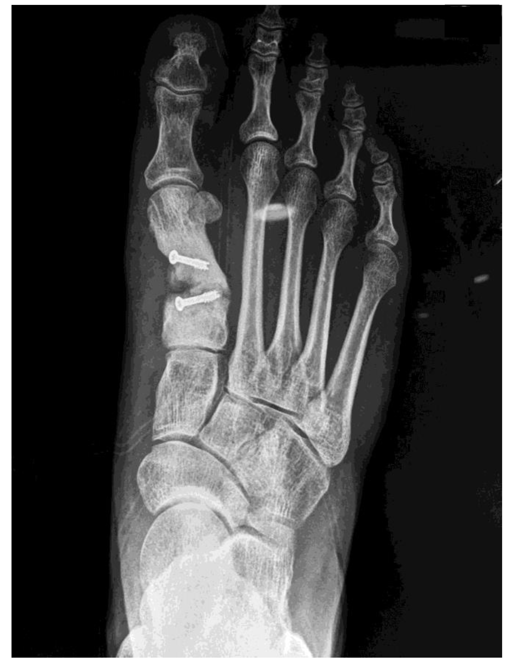
2.3. Results
3. Discussion
4. Conclusions
Author Contributions
Funding
Institutional Review Board Statement
Informed Consent Statement
Data Availability Statement
Acknowledgments
Conflicts of Interest
References
- Nix, S.; Smith, M.; Vicenzino, B. Prevalence of hallux valgus in the general population: A systematic review and meta-analysis. J. Foot Ankle Res. 2010, 3, 21. [Google Scholar] [CrossRef]
- Singh, M.S.; Khurana, A.; Kapoor, D.; Katekar, S.; Kumar, A.; Vishwakarma, G. Minimally invasive vs open distal metatarsal osteotomy for hallux valgus: A systematic review and meta-analysis. J. Clin. Orthop. Trauma 2020, 11, 348–356. [Google Scholar] [CrossRef]
- Biz, C.; Crimì, A.; Fantoni, I.; Tagliapietra, J.; Ruggieri, P. Functional and Radiographic Outcomes of Minimally Invasive Intramedullary Nail Device (MIIND) for Moderate to Severe Hallux Valgus. Foot Ankle Int. 2021, 42, 409–424. [Google Scholar] [CrossRef] [PubMed]
- Biz, C.; Fosser, M.; Dalmau-Pastor, M.; Corradin, M.; Rodà, M.G.; Aldegheri, R.; Ruggieri, P. Functional and radiographic outcomes of hallux valgus correction by miniinvasive surgery with Reverdin-Isham and Akin percutaneous osteotomies: A longitudinal prospective study with a 48-month follow-up. J. Orthop. Surg. Res. 2016, 11, 157. [Google Scholar] [CrossRef] [PubMed]
- Lai, M.C.; Rikhraj, I.S.; Woo, Y.L.; Yeo, W.; Ng, Y.C.S.; Koo, K. Clinical and Radiological Outcomes Comparing Percutaneous Chevron-Akin Osteotomies vs Open Scarf-Akin Osteotomies for Hallux Valgus. Foot Ankle Int. 2018, 39, 311–317. [Google Scholar] [CrossRef] [PubMed]
- Lee, M.; Walsh, J.; Smith, M.M.; Ling, J.; Wines, A.; Lam, P. Hallux Valgus Correction Comparing Percutaneous Chevron/Akin (PECA) and Open Scarf/Akin Osteotomies. Foot Ankle Int. 2017, 38, 838–846. [Google Scholar] [CrossRef]
- Molloy, A.; Widnall, J. Scarf Osteotomy. Foot Ankle Clin. 2014, 19, 165–180. [Google Scholar] [CrossRef]
- Coetzee, J.C. Scarf Osteotomy for Hallux Valgus Repair: The Dark Side. Foot Ankle Int. 2003, 24, 29–33. [Google Scholar] [CrossRef]
- Kim, J.S.; Cho, H.K.; Young, K.W.; Lee, S.Y.; Kim, J.S.; Lee, K. Effectiveness of Headless Bioabsorbable Screws for Fixation of the Scarf Osteotomy. Foot Ankle Int. 2016, 37, 1189–1196. [Google Scholar] [CrossRef]
- Lenz, C.G.; Niehaus, R.; Knych, I.; Eid, K.; Borbas, P. Scarf osteotomy for hallux valgus deformity: Radiological outcome, metatarsal length and early complications in 118 feet. Foot Ankle Surg. 2021, 27, 20–24. [Google Scholar] [CrossRef]
- Miskej, M.; Kubálek, J.; Buzek, D. Scarf osteotomie v resení deformity hallux valgus—Úspechy a komplikace [Scarf osteotomy for the treatment of hallux valgus deformity. Achievements and complications]. Acta Chir. Orthop. Traumatol. Cech. 2010, 77, 52–57. [Google Scholar] [PubMed]
- Rajeev, A.; Tumia, N. Three-Year Follow-Up Results of Combined Short Scarf Osteotomy with Akin Procedure for Hallux Valgus. J. Foot Ankle Surg. 2019, 58, 837–841. [Google Scholar] [CrossRef]
- Mahan, K. Calcaneal donor bone grafts. J. Am. Podiatr. Med Assoc. 1994, 84, 1–9. [Google Scholar] [CrossRef] [PubMed]
- Raghuram, A.; Singh, A.; Chang, D.K.; Nunez, M.; Reece, E.M. Bone Grafts, Bone Substitutes, and Orthobiologics: Applications in Plastic Surgery. Semin. Plast. Surg. 2019, 33, 190–199. [Google Scholar] [CrossRef]
- Miller, C.P.; Chiodo, C.P. Autologous Bone Graft in Foot and Ankle Surgery. Foot Ankle Clin. 2016, 21, 825–837. [Google Scholar] [CrossRef]
- Lareau, C.R.; Deren, M.E.; Fantry, A.; Donahue, R.M.; DiGiovanni, C.W. Does autogenous bone graft work? A logistic regression analysis of data from 159 papers in the foot and ankle literature. Foot Ankle Surg. 2015, 21, 150–159. [Google Scholar] [CrossRef] [PubMed]
- O’Malley, M.J.; Sayres, S.C.; Saleem, O.; Levine, D.; Roberts, M.; Deland, J.T.; Ellis, S. Morbidity and complications following percutaneous calcaneal autograft bone harvest. Foot Ankle Int. 2014, 35, 30–37. [Google Scholar] [CrossRef]
- Fitzgibbons, T.C.; Hawks, M.A.; McMullen, S.T.; Inda, D.J. Bone grafting in surgery about the foot and ankle: Indications and techniques. J. Am. Acad. Orthop. Surg. 2011, 19, 112–120. [Google Scholar] [CrossRef]
- Feeney, S.; Rees, S.; Tagoe, M. Tricortical Calcaneal Bone Graft and Management of the Donor Site. J. Foot Ankle Surg. 2007, 46, 80–85. [Google Scholar] [CrossRef]
- DDimitriou, R.; Mataliotakis, G.I.; Angoules, A.G.; Kanakaris, N.K.; Giannoudis, P.V. Complications following autologous bone graft harvesting from the iliac crest and using the RIA: A systematic review. Injury 2011, 42, S3–S15. [Google Scholar] [CrossRef]
- Cross, D.J.; DiDomenico, L.A. Calcaneal Bone Graft Procedures: An Analysis of Postsurgical Complications. J. Foot Ankle Surg. 2019, 58, 730–733. [Google Scholar] [CrossRef]
- Dial, D.M.; Ryan, M. Locking Plate Technology and Its Use in Foot and Ankle Surgery. Clin. Podiatr. Med. Surg. 2011, 28, 619–631. [Google Scholar] [CrossRef] [PubMed]
- Seidenstricker, C.L.; Blahous, E.G.; Bouché, R.T.; Saxena, A. Plate Fixation with Autogenous Calcaneal Dowel Grafting Proximal Fourth and Fifth Metatarsal Fractures: Technique and Case Series. J. Foot Ankle Surg. 2017, 56, 975–981. [Google Scholar] [CrossRef]
- Pan, H.; Yu, G.; Xiong, W.; Zhao, Z.; Ding, F.; Zheng, Q.; Kan, W. Miniplate internal fixation and autogenous iliac bone graft in surgical treatment of old metatarsal fractures. Zhongguo Xiu Fu Chong Jian Wai Ke Za Zhi 2011, 25, 789–791. [Google Scholar]
- Hammad, Y.; Alisi, M.; Elifranji, Z.; Mousa, K.; Abuhassan, F.; Al-Mustafa, S. Unusual Osteoblastoma of the First Metatarsal Bone Treated by Total Resection and Fibular Autograft: A Case Report. JBJS Case Connect. 2021, 11, e20. [Google Scholar] [CrossRef] [PubMed]
- Preston, N.L.P.; Black, T.E.; Thomas, R.C. Reconstruction of a Traumatic Partial First-Ray Amputation with the Use of an Induced Pseudosynovial Membrane and Corticocancellous Autograft. J. Am. Podiatr. Med. Assoc. 2020, 110, 8. [Google Scholar] [CrossRef]
- Coriaty, N.; Pettibone, K.; Todd, N.; Rush, S.; Carter, R.; Zdenek, C. Titanium Scaffolding: An Innovative Modality for Salvage of Failed First Ray Procedures. J. Foot Ankle Surg. 2018, 57, 593–5999. [Google Scholar] [CrossRef] [PubMed]
- Saxena, A.; Nguyen, A.; Nelsen, E. Lapidus Bunionectomy: Early Evaluation of Crossed Lag Screws versus Locking Plate with Plantar Lag Screw. J. Foot Ankle Surg. 2009, 48, 170–179. [Google Scholar] [CrossRef] [PubMed]
- Brissey, N.; Buffington, A.; Bush, W. Early Results of Immediate Weightbearing Following First Tarsometatarsal Joint Arthrodesis with Plantar Locking Plate and Dorsal Compression Screw. J. Foot Ankle Surg. 2021, 60, 494–500. [Google Scholar] [CrossRef] [PubMed]
- Buda, M.; Hagemeijer, N.C.; Kink, S.; Johnson, A.H.; Guss, D.; DiGiovanni, C.W. Effect of Fixation Type and Bone Graft on Tarsometatarsal Fusion. Foot Ankle Int. 2018, 39, 1394–1402. [Google Scholar] [CrossRef]





Publisher’s Note: MDPI stays neutral with regard to jurisdictional claims in published maps and institutional affiliations. |
© 2021 by the authors. Licensee MDPI, Basel, Switzerland. This article is an open access article distributed under the terms and conditions of the Creative Commons Attribution (CC BY) license (https://creativecommons.org/licenses/by/4.0/).
Share and Cite
Ortiz-Romero, M.; Cicchinelli, L.D.; Fernández-Garzón, Á.; Gordillo-Fernández, L.M. Surgical Reconstruction of Nonunion after Iatrogenic Scarf Osteotomy. Int. J. Environ. Res. Public Health 2021, 18, 5620. https://doi.org/10.3390/ijerph18115620
Ortiz-Romero M, Cicchinelli LD, Fernández-Garzón Á, Gordillo-Fernández LM. Surgical Reconstruction of Nonunion after Iatrogenic Scarf Osteotomy. International Journal of Environmental Research and Public Health. 2021; 18(11):5620. https://doi.org/10.3390/ijerph18115620
Chicago/Turabian StyleOrtiz-Romero, Mercedes, Luke D. Cicchinelli, Álvaro Fernández-Garzón, and Luis M. Gordillo-Fernández. 2021. "Surgical Reconstruction of Nonunion after Iatrogenic Scarf Osteotomy" International Journal of Environmental Research and Public Health 18, no. 11: 5620. https://doi.org/10.3390/ijerph18115620
APA StyleOrtiz-Romero, M., Cicchinelli, L. D., Fernández-Garzón, Á., & Gordillo-Fernández, L. M. (2021). Surgical Reconstruction of Nonunion after Iatrogenic Scarf Osteotomy. International Journal of Environmental Research and Public Health, 18(11), 5620. https://doi.org/10.3390/ijerph18115620
