Occurrence and Succession of Bacterial Community in O3/BAC Process of Drinking Water Treatment
Abstract
1. Introduction
2. Materials and Methods
2.1. Experimental Setup
2.2. Water Quality Analysis
2.3. Bacterial Community Analysis
3. Results
3.1. Biological Activated Carbon (BAC) Filter Performance
3.2. Bacterial Community Analysis
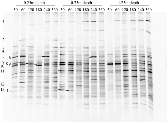
3.2.1. Polymerase Chain Reaction-Density Gradient Gel Electrophoresis (PCR-DGGE) and Bacteria Identification
3.2.2. Bacterial Community Diversities and Dynamics
3.2.3. Principal Component Analysis (PCA) and Redundancy Analysis (RDA)
4. Discussion
5. Conclusions
- (1)
- After a preliminary bacterial community initially formed, the species abundance and diversity of the bacterial communities attached to the activated carbon increased with the study duration. A succession procedure of the bacterial community was observed, including a set-up stage from day 0 to 60, a fluctuation stage from day 61 to 120, and a stable stage from day 121 to 360. The bacterial community was dominated by Proteobacteria and Bacteroidetes.
- (2)
- PCA indicated that the bacterial communities in different layers clustered and tended to be consistent after 60 days. The lower activated carbon layers proved to be more conducive to the stability and maturation of the bacterial community under sufficient DO conditions.
- (3)
- The average CODMn, turbidity removal rate, and DO consumption rate for the BAC filter were 26.43%, 16.57%, and 16.4%, respectively.
- (4)
- RDA revealed that Ramlibacter henchirensis was positively correlated to CODMn removal and nitrate-N removal. Georgfuchsia toluolica showed a positive correlation with CODMn removal. Aquabacterium parvum and Phaeobacterium nitratireducens were positively associated with turbidity removal. Pedobacter glucosidilyticus and Pseudomonas sp. were associated with a high DO consumption.
Author Contributions
Funding
Conflicts of Interest
References
- Shen, H.; Chen, X.; Zhang, D.; Chen, H. Generation of soluble microbial products by bio-activated carbon filter during drinking water advanced treatment and its influence on spectral characteristics. Sci. Total Environ. 2016, 569, 1289–1298. [Google Scholar] [CrossRef]
- Ko, Y.S.; Lee, Y.J.; Nam, S. Evaluation of a pilot scale dual media biological activated carbon process for drinking water. Korean J. Chem. Eng. 2007, 24, 1253–1260. [Google Scholar] [CrossRef]
- Rhim, J.A. Characteristics of adsorption and biodegradation of dissolved organic carbon in biological activated carbon pilot plant. Korean J. Chem. Eng. 2006, 23, 38–42. [Google Scholar] [CrossRef]
- Krasner, S.W.; Glaze, W.H.; Weinberg, H.S.; Daniel, P.A.; Najm, I.N. Formation and control of bromate during ozonation of waters containing bromide ions. J. Am. Water Works Assoc. 1993, 85, 73–81. [Google Scholar] [CrossRef]
- Siddiqui, M.; Amy, G.; Ozekin, K.; Westerhoff, P. Modeling dissolved ozone and bromate ion formation in ozone contactors. Water Air Soil Pollut. 1998, 108, 1–32. [Google Scholar] [CrossRef]
- Gerrity, D.; Gamage, S.; Holady, J.C.; Mawhinney, D.B.; Quiñones, O.; Trenholm, R.A.; Snyder, S.A. Pilot-scale evaluation of ozone and biological activated carbon for trace organic contaminant mitigation and disinfection. Water Res. 2011, 45, 2155–2165. [Google Scholar] [CrossRef] [PubMed]
- Benotti, M.J.; Trenholm, R.A.; Vanderford, B.J.; Holady, J.C.; Stanford, B.D.; Snyder, S.A. Pharmaceuticals and endocrine disrupting compounds in U.S. drinking water. Environ. Sci. Technol. 2009, 43, 597–603. [Google Scholar] [CrossRef] [PubMed]
- Pocostales, J.P.; Sein, M.M.; Knolle, W.; von Sonntag, C.; Schmidt, T.C. Degradation of ozone-refractory organic phosphates in wastewater by ozone and ozone/hydrogen peroxide (peroxone): The role of ozone consumption by dissolved organic matter. Environ. Sci. Technol. 2010, 44, 8248. [Google Scholar] [CrossRef] [PubMed]
- Song, A.; Liu, X.; Liu, Y.; Lv, L.; Ma, L. Fate of organic pollutants in a full-scale drinking water treatment plant using O3-BAC. Ozone Sci. Eng. 2015, 37, 257–268. [Google Scholar] [CrossRef]
- Liao, X.; Zou, R.; Chen, C.; Yuan, B.; Zhou, Z.; Zhang, X. Evaluating of biosafety of conventional and O3-BAC process and its relationship with NOM characteristics. Environ. Technol. 2018, 39, 221–230. [Google Scholar] [CrossRef] [PubMed]
- Chuang, Y.H.; Mitch, W.A. Effect of ozonation and biological activated carbon treatment of wastewater effluents on formation of N-nitrosamines and halogenated disinfection byproducts. Environ. Sci. Technol. 2017, 51, 2329–2338. [Google Scholar] [CrossRef] [PubMed]
- Feng, S.; Chen, C.; Wang, Q.F.; Zhang, X.J.; Yang, Z.Y.; Xie, S.G. Characterization of microbial communities in a granular activated carbon–sand dual media filter for drinking water treatment. Int. J. Environ. Sci. Technol. 2013, 10, 917–922. [Google Scholar] [CrossRef][Green Version]
- Li, C.; Lin, F.; Zhang, M.; Liu, W.T.; Li, Y.; Liu, W. Characterization of bacterial community dynamics in a full-scale drinking water treatment plant. J. Environ. Sci. China 2017, 51, 21–30. [Google Scholar] [CrossRef] [PubMed]
- Xing, X.; Wang, H.; Hu, C.; Liu, L. Effects of phosphate-enhanced ozone/biofiltration on formation of disinfection byproducts and occurrence of opportunistic pathogens in drinking water distribution systems. Water Res. 2018, 139, 168–176. [Google Scholar] [CrossRef] [PubMed]
- Gerrity, D.; Arnold, M.; Dickenson, E.; Moser, D.; Sackett, J.D.; Wert, E.C. Microbial community characterization of ozone-biofiltration systems in drinking water and potable reuse applications. Water Res. 2018, 135, 207–219. [Google Scholar] [CrossRef]
- Liao, X.; Chen, C.; Chang, C.H.; Wang, Z.; Zhang, X.; Xie, S. Heterogeneity of microbial community structures inside the up-flow biological activated carbon (BAC) filters for the treatment of drinking water. Biotechnol. Bioprocess Eng. 2012, 17, 881–886. [Google Scholar] [CrossRef]
- Brettar, I.; Höfle, M.G. Molecular assessment of bacterial pathogens—A contribution to drinking water safety. Curr. Opin. Biotechnol. 2008, 19, 274–280. [Google Scholar] [CrossRef]
- Wang, H.; Pryor, M.A.; Edwards, M.A.; Falkinham, J.O.; Pruden, A. Effect of GAC pre-treatment and disinfectant on microbial community structure and opportunistic pathogen occurrence. Water Res. 2013, 47, 5760–5772. [Google Scholar] [CrossRef]
- Wang, H.; Edwards, M.A.; Falkinham, J.O.; Pruden, A. Probiotic approach to pathogen control in premise plumbing systems? A review. Environ. Sci. Technol. 2013, 47, 10117–10128. [Google Scholar] [CrossRef]
- Wei, F.S.; Qi, W.Q. Water and Wastewater Quality Monitoring and Analysis Methods, 4th ed.; China Environmental Science Press: Beijing, China, 2002; pp. 223–261. [Google Scholar]
- Kim, T.G.; Kim, S.H.; Cho, K.S. Effects of ultrasonic pretreatment on quantity and composition of bacterial DNA recovered from granular activated carbon used for drinking water treatment. J. Environ. Sci. Health Part A 2014, 49, 609–616. [Google Scholar] [CrossRef]
- Feng, Q.; Wen, S.; Bai, X.; Chang, W.; Cui, C.; Zhao, W. Surface modification of smithsonite with ammonia to enhance the formation of sulfidization products and its response to flotation. Miner. Eng. 2019, 137, 1–9. [Google Scholar] [CrossRef]
- Shannon, C.E. A mathematical theory of communication. Bell Syst. Tech. J. 1948, 27, 379–423. [Google Scholar] [CrossRef]
- Xue, D.; Yao, H.Y.; Ge, D.Y.; Huang, C.Y. Soil microbial communitystructure in diverse land use systems: A comparative study using biolog, DGGE, and PLFA analyses. Pedosphere 2008, 18, 653–663. [Google Scholar] [CrossRef]
- Han, L.; Liu, W.; Chen, M.; Zhang, M.; Liu, S.; Sun, R.; Fei, X. Comparison of NOM removal and microbial properties in up-flow/down-flow BAC filter. Water Res. 2013, 47, 4861–4868. [Google Scholar] [CrossRef] [PubMed]
- Heulin, T.; Barakat, M.; Christen, R.; Lesourd, M.; Sutra, L.; De Luka, G.; Achouak, W. Ramlibacter tataouinensis gen. nov., sp. nov.; and Ramlibacter henchirensis sp. nov.; cyst-producing bacteria isolated from subdesert soil in Tunisia. Int. J. Syst. Evol. Microbiol. 2003, 53, 589–594. [Google Scholar] [CrossRef] [PubMed]
- Zhou, Z.; Qiao, W.; Xing, C.; Shen, X.; Hu, D.; Wang, L. A micro-aerobic hydrolysis process for sludge in situ reduction: Performance and microbial community structure. Bioresour. Technol. 2014, 173, 452–456. [Google Scholar] [CrossRef]
- Nupur, P.; Srinivas, T.N.R.; Takaichi, S.; Anil Kumar, P. Phaeobacterium nitratireducens gen. nov.; sp. nov.; a phototrophic gammaproteobacterium isolated from a mangrove forest sediment sample. Int. J. Syst. Evol. Microbiol. 2015, 65, 2357–2364. [Google Scholar] [CrossRef]
- Weelink, S.A.; van Doesburg, W.; Saia, F.T.; Rijpstra, W.I.; Röling, W.F.; Smidt, H.; Stams, A.J. A strictly anaerobic betaproteobacterium Georgfuchsia toluolica gen. nov.; sp. nov. degrades aromatic compounds with Fe(III), Mn(IV) or nitrate as an electron acceptor. FEMS Microbiol. Ecol. 2009, 70, 575–585. [Google Scholar] [CrossRef]
- Zhang, X.; Szewzyk, U.; Ma, F. Characterization of Aquabacterium parvum sp. Strain B6 during nitrate-dependent Fe(II) oxidation batch cultivation with various impact factors. Trans. Tianjin Univ. 2017, 23, 315–324. [Google Scholar] [CrossRef]
- Kalmbach, S.; Manz, W.; Wecke, J.; Szewzyk, U. Aquabacterium gen. nov.; with description of Aquabacterium citratiphilum sp. nov.; Aquabacterium parvum sp. nov. and Aquabacterium commune sp. nov.; three in situ dominant bacterial species from the Berlin drinking water system. Int. J. Syst. Evol. Microbiol. 1999, 49, 769–777. [Google Scholar] [CrossRef]
- Luo, X.; Wang, Z.; Dai, J.; Zhang, L.; Li, J.; Tang, Y.; Wang, Y.; Fang, C. Pedobacter glucosidilyticus sp. nov.; isolated from dry riverbed soil. Int. J. Syst. Evol. Microbiol. 2015, 60, 229–233. [Google Scholar] [CrossRef] [PubMed][Green Version]
- Poehlein, A.; Daniel, R.; Simeonova, D.D. Genome sequence of Pedobacter glucosidilyticus DD6b, isolated from zooplankton Daphnia magna. Stand. Genom. Sci. 2010, 10, 100. [Google Scholar] [CrossRef] [PubMed]
- Tian, J.; Lu, J.; Zhang, Y.; Li, J.C.; Sun, L.C.; Hu, Z.L. Microbial community structures and dynamics in the O3/BAC drinking water treatment process. Int. J. Environ. Res. Public Health 2014, 11, 6281–6290. [Google Scholar] [CrossRef] [PubMed]
- Eiler, A.; Langenheder, S.; Bertilsson, S.; Tranvik, L.J. Heterotrophic bacterial growth efficiency and community structure at different natural organic carbon concentrations. Appl. Environ. Microbiol. 2003, 69, 3701–3709. [Google Scholar] [CrossRef] [PubMed]






| Parameter | Value | Unit |
|---|---|---|
| Tannic Value | 756 | mg/L |
| Surface area | 1086 | m2/g |
| Volume of pore | 0.57 | cm3/g |
| Iodine number | 988 | mg/g |
| Methylene blue | 180 | mg/g |
| Parameter | Requirement | Unit |
|---|---|---|
| CODMn | ≤3 | mg/L |
| Nitrate nitrogen | ≤10 | mg/L |
| Turbidity | ≤1 | NTU |
| pH | 6.5 to 8.5 | - |
| Band No. | GeneBank Accession No. | Nearest Relative Species of 16S rRNA Blast (Reference GeneBank Accession No.) | Similarity Index (%) |
|---|---|---|---|
| Band 1 | MH973208 | Pseudomonas sp. (NR_117678.1) | 99 |
| Band 2 | MH973209 | Acinetobacter albensis (NR_145641.1) | 98 |
| Band 3 | MH973210 | Pedobacter glucosidilyticus (NR_116376.1) | 98 |
| Band 4 | MH973211 | Niabella aquatica (NR_151879.1) | 93 |
| Band 5 | MH973212 | Kinneretia asaccharophila (NR_115151.1) | 96 |
| Band 6 | MH973213 | Aquabacterium parvum (NR_024874.1) | 99 |
| Band 7 | MH973214 | Georgfuchsia toluolica (NR_115995.1) | 92 |
| Band 8 | MH973215 | Tibeticola sediminis (NR_156927.1) | 96 |
| Band 9 | MH973216 | Curvibacter fontanus (NR_112221.1) | 99 |
| Band 10 | MH973217 | Phaeobacterium nitratireducens (NR_136764.1) | 95 |
| Band 11 | MH973218 | Ramlibacter solisilvae (NR_133837.1) | 94 |
| Band 12 | MH973219 | Aquabacterium commune (NR_024875.1) | 97 |
| Band 13 | MH973220 | Ramlibacter henchirensis (NR_025203.1) | 94 |
| Band 14 | MH973221 | Acidovorax sp. (NR_116740.1) | 97 |
| Time | OTUs 1 | Shannon Index 2 | ||||
|---|---|---|---|---|---|---|
| 0.25 m Depth | 0.75 m Depth | 1.25 m Depth | 0.25 m Depth | 0.75 m Depth | 1.25 m Depth | |
| 30 d | 16 | 23 | 19 | 2.52 | 2.91 | 2.70 |
| 60 d | 16 | 24 | 23 | 2.60 | 3.05 | 2.98 |
| 120 d | 18 | 24 | 30 3 | 2.82 | 3.07 | 3.28 3 |
| 180 d | 16 | 30 3 | 27 | 2.60 | 3.303 | 3.15 |
| 240 d | 25 3 | 30 | 31 | 3.09 3 | 3.27 | 3.27 |
| 360 d | 31 | 34 | 30 | 3.33 | 3.43 | 3.30 |
© 2019 by the authors. Licensee MDPI, Basel, Switzerland. This article is an open access article distributed under the terms and conditions of the Creative Commons Attribution (CC BY) license (http://creativecommons.org/licenses/by/4.0/).
Share and Cite
Dong, S.; Liu, L.; Zhang, Y.; Jiang, F. Occurrence and Succession of Bacterial Community in O3/BAC Process of Drinking Water Treatment. Int. J. Environ. Res. Public Health 2019, 16, 3112. https://doi.org/10.3390/ijerph16173112
Dong S, Liu L, Zhang Y, Jiang F. Occurrence and Succession of Bacterial Community in O3/BAC Process of Drinking Water Treatment. International Journal of Environmental Research and Public Health. 2019; 16(17):3112. https://doi.org/10.3390/ijerph16173112
Chicago/Turabian StyleDong, Sheng, Lijun Liu, Yuxiu Zhang, and Fajun Jiang. 2019. "Occurrence and Succession of Bacterial Community in O3/BAC Process of Drinking Water Treatment" International Journal of Environmental Research and Public Health 16, no. 17: 3112. https://doi.org/10.3390/ijerph16173112
APA StyleDong, S., Liu, L., Zhang, Y., & Jiang, F. (2019). Occurrence and Succession of Bacterial Community in O3/BAC Process of Drinking Water Treatment. International Journal of Environmental Research and Public Health, 16(17), 3112. https://doi.org/10.3390/ijerph16173112
