Malaria and Hantavirus Pulmonary Syndrome in Gold Mining in the Amazon Region, Brazil
Abstract
1. Introduction
2. Cases
2.1. Case Presentation
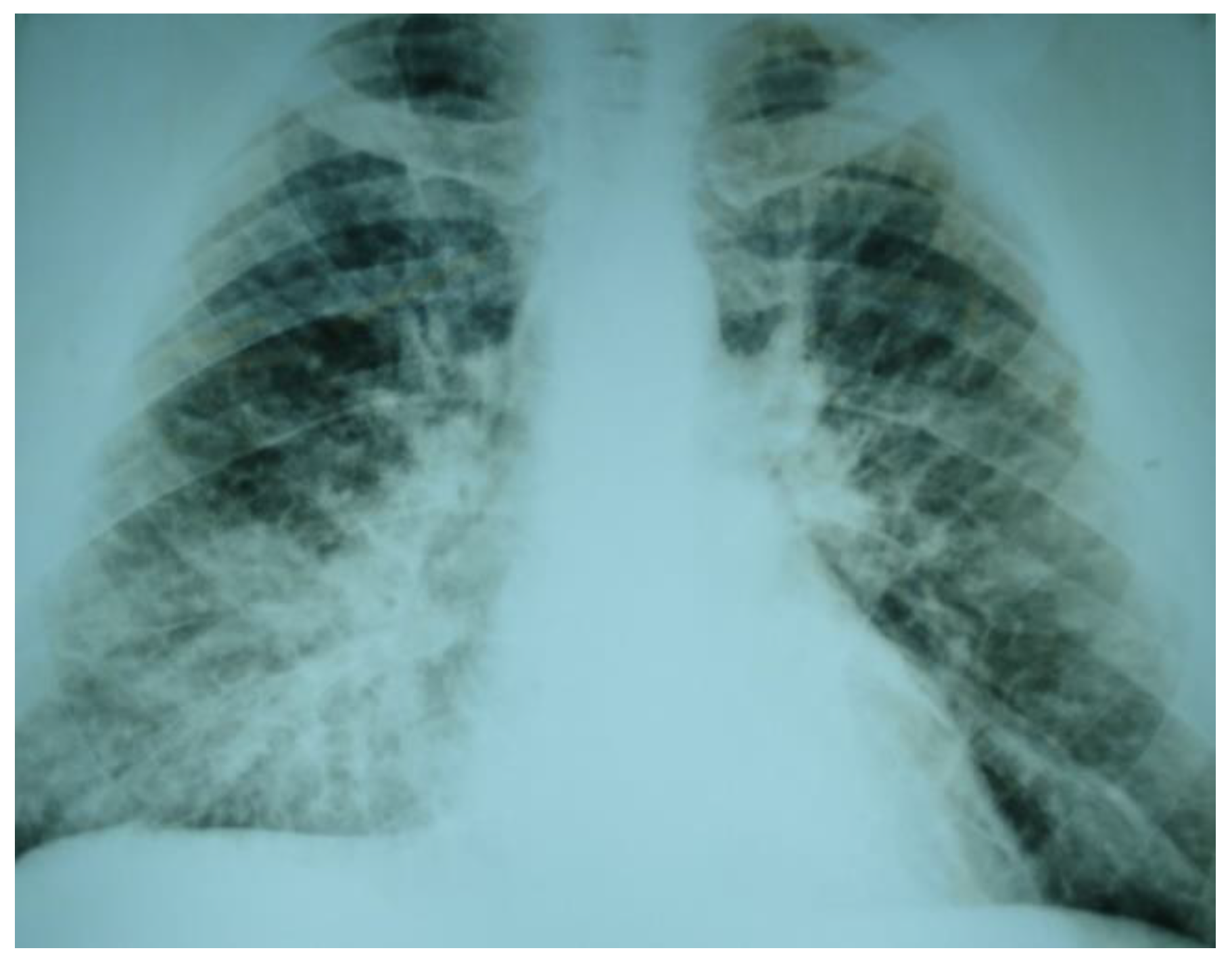
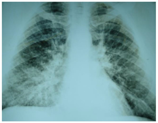
2.2. Case Report
3. Discussion
4. Conclusions
Author Contributions
Funding
Acknowledgments
Conflicts of Interest
References
- Nobrega, J.; Menezes, M. Homens “subterrâneos”: O trabalho informal e precário nos garimpos de junco do Seridó. Raízes 2010, 30, 140–152. [Google Scholar]
- Santos, E. Garimpagem e saúde. In Conseqüências da Garimpagem no Âmbito Social e Ambiental da Amazônia; Mathis, A., Rehaag, R., Eds.; Buntstift: Manaus, Brazil, 1993; pp. 36–72. [Google Scholar]
- Lima, E. Doenças Respiratórias Associadas à Atividade de Mineração no Municipio de PARELHAS, Região do Sérido Norte-Riograndense, Dissertação em Meio Ambiente; Universidade Federal do Rio Grande do Norte: Natal, Brazil, 2009. [Google Scholar]
- Asante, K.P.; Zandoh, C.; Dery, D.B.; Brown, C.; Adjei, G.; Antwi-Dadzie, Y.; Ajuik, M.; Tchum, K.; Dosso, D.; Amenga-Etego, S.; et al. Malaria epidemiology in the Ahafo area of Ghana. Malar. J. 2011, 10, 211. [Google Scholar] [CrossRef] [PubMed]
- Knoblauch, A.M.; Winkler, M.S.; Archer, C.; Divall, M.J.; Owuor, M.; Yapo, R.M.; Yao, P.A.; Utzinger, J. The epidemiology of malaria and anaemia in the Bonikro mining area, central Cote d’Ivoire. Malar. J. 2014, 13, 194. [Google Scholar] [CrossRef]
- Mitjà, O.; Paru, R.; Selve, B.; Betuela, I.; Siba, P.; De Lazzari, E.; Bassat, Q. Malaria epidemiology in Lihir Island, Papua New Guinea. Malar. J. 2013, 12, 98. [Google Scholar] [CrossRef]
- Adhin, M.R.; Labadie-Bracho, M.; Vreden, S. Gold mining areas in Suriname: Reservoirs of malaria resistance? Infect. Drug Resist. 2014, 7, 111–116. [Google Scholar] [CrossRef]
- Moreno, J.E.; Rubio-Palis, Y.; Páez, E.; Pérez, E.; Sánchez, V.; Vaccari, E. Malaria entomological inoculation rates in gold mining areas of Southern Venezuela. Mem. Inst. Oswaldo Cruz 2009, 104, 764–768. [Google Scholar] [CrossRef]
- De Santi, V.P.; Dia, A.; Adde, A.; Hyvert, G.; Galant, J.; Mazevet, M.; Nguyen, C.; Vezenegho, S.B.; Dusfour, I.; Girod, R.; et al. Malaria in French guiana linked to illegal gold mining. Emerg. Infect. Dis. 2016, 22, 344–346. [Google Scholar] [CrossRef] [PubMed]
- Castellanos, A.; Chaparro-Narváez, P.; Morales-Plaza, C.D.; Alzate, A.; Padilla, J.; Arévalo, M.; Herrera, S. Malaria in gold-mining areas in Colombia. Mem. Inst. Oswaldo Cruz 2016, 111, 59–66. [Google Scholar] [CrossRef]
- Parker, B.S.; Olortegui, M.P.; Yori, P.P.; Escobedo, K.; Florin, D.; Pinedo, S.R.; Cardenas Greffa, R.; Capcha Veja, L.; Rodriguez Ferrucci, H.; Pan, W.K.; et al. Hyperendemic malaria transmission in areas of occupation-related travel in the Peruvian Amazon. Malar. J. 2013, 12, 178. [Google Scholar] [CrossRef] [PubMed]
- Oliveira, E.C.; dos Santos, E.S.; Zeilhofer, P.; Souza-Santos, R.; Atanaka-Santos, M. Geographic information systems and logistic regression for high-resolution malaria risk mapping in a rural settlement of the southern Brazilian Amazon. Malar. J. 2013, 12, 420. [Google Scholar] [CrossRef]
- Duarte, E.C.; Fontes, C.J.F. Associação entre a produção anual de ouro em garimpos e incidência de malária em Mato Grosso—Brasil, 1985-1996. Rev. Soc. Bras. Med. Trop. 2002, 35, 665–668. [Google Scholar] [CrossRef] [PubMed]
- Atanaka-Santos, M.; Czeresnia, D.; Souza-Santos, R.; Oliveira, R.M. Comportamento epidemiológico da malária no Estado de Mato Grosso, 1980–2003. Rev. Soc. Bras. Med. Trop. 2006, 39, 187–192. [Google Scholar] [CrossRef] [PubMed][Green Version]
- Barbieri, A.F.; Sawyer, D.O. Heterogeneity of malaria prevalence in alluvial gold mining areas in Northern Mato Grosso State, Brazil. Cad. Saude Publica 2007, 23, 2878–2886. [Google Scholar] [CrossRef][Green Version]
- Oliveira, E.C.; dos Santos, E.S.; Zeilhofer, P.; Souza-Santos, R.; Atanaka-Santos, M. Spatial patterns of malaria in a land reform colonization project, Juruena municipality, Mato Grosso, Brazil. Malar. J. 2011, 10, 177. [Google Scholar] [CrossRef] [PubMed]
- Prist, P.R.; Uriarte, M.; Fernandes, K.; Metzger, J.P. Climate change and sugarcane expansion increase Hantavirus infection risk. PLoS Negl. Trop. Dis. 2017, 11, e0005705. [Google Scholar] [CrossRef] [PubMed]
- Schatzmayr, H.G. Viroses emergentes e reemergentes. Cad. Saude Publica 2001, 17, 209–213. [Google Scholar] [CrossRef] [PubMed]
- Guterres, A.; Lemos, E.R.S. Hantaviruses and a neglected environmental determinant. One Health 2018, 5, 27–33. [Google Scholar] [CrossRef]
- Ayres, J.; Calazans, G.; Saletti Filho, H.C.; França Junior, I. Risco, vulnerabilidade e práticas de prevenção e promoção da saúde. In Tratado de Saúde Coletiva; Campos, G., Minayo, M., Akerman, M., Drumond, J.M., Carvalho, Y., Eds.; Hucitec: São Paulo, Brazil, 2006. [Google Scholar]
- Jonsson, C.B.; Figueiredo, L.T.; Vapalahti, O. A global perspective on hantavirus ecology, epidemiology, and disease. Clin. Microbiol. Rev. 2010, 23, 412–441. [Google Scholar] [CrossRef]
- Oliveira, R.C.; Guterres, A.; Fernandes, J.; D’Andrea, P.S.; Bonvicino, C.R.; de Lemos, E.R.S. Hantavirus reservoirs: Current status with an emphasis on data from Brazil. Viruses 2014, 6, 1929–1973. [Google Scholar] [CrossRef]
- Medeiros, D.B.; da Rosa, E.S.; Marques, A.; Simith, D.B.; Carneiro, A.R.; Chiang, J.O.; Prazeres, I.T.E.; Vasconcelos, P.F.C.; Nunes, M.R.T. Circulation of hantaviruses in the influence area of the Cuiaba-Santarem Highway. Mem. Inst. Oswaldo Cruz 2010, 105, 665–671. [Google Scholar] [CrossRef]
- Da Rosa, E.S.T.; Medeiros, D.B.; Nunes, M.R.; Simith, D.B.; de Souza Pereira, A.; Elkhoury, M.R. Pygmy rice rat as potential host of Castelo dos Sonhos Hantavirus. Emerg. Infect. Dis. 2011, 17, 1527–1530. [Google Scholar] [CrossRef] [PubMed]
- Rosa, E.S.T.; Medeiros, D.B.; Nunes, M.R.; Simith, D.B.; Pereira, A.S.; Elkhoury, M.R. Molecular epidemiology of Laguna Negra Virus, Mato Grosso State, Brazil. Emerg. Infect. Dis. 2012, 18, 982–985. [Google Scholar] [CrossRef]
- Amaral, C.N.D.; Albuquerque, Y.D.D.; Pinto, A.Y.D.N.; Souza, J.M.D. A importância do perfil clínico-laboratorial no diagnóstico diferencial entre malária e hepatite aguda viral. J. Pediatr. 2003, 79, 429–434. [Google Scholar] [CrossRef]
- Ferreira, M.S. Hantaviroses. Rev. Soc. Bras. Med. Trop. 2003, 36, 81–96. [Google Scholar] [CrossRef]
- Enria, D. Epidemiología de las infecciones por hantavirus. Acta Bioquím. Clín. Latinoam. 2004, 38, 537–544. [Google Scholar]
- Oliveira, R.C.; Guterres, A.; Teixeira, B.R.; Fernandes, J.; Junior, J.M.P.; de Jesus Oliveira, J.R.; Pereira, L.S.; Junior, J.B.; Meneguete, P.S.; Dias, C.M.G.; et al. A fatal hantavirus pulmonary syndrome misdiagnosed as dengue: An investigation into the first reported case in Rio de Janeiro state, Brazil. Am. J. Trop. Med. Hyg. 2017, 97, 125–129. [Google Scholar] [CrossRef] [PubMed]
- Vial, P.A.; Valdivieso, F.; Ferres, M.; Riquelme, R.; Rioseco, M.L.; Calvo, M. High-dose intravenous methylprednisolone for hantavirus cardiopulmonar syndrome in chile: A double-blind, randomized controlled clinical trial. Clin. Infect. Dis. 2013, 57, 943–951. [Google Scholar] [CrossRef]
- Anstey, N.M.; Jacups, S.P.; Cain, T.; Pearson, T.; Ziesing, P.J.; Fisher, D.A. Pulmonary manifestations of uncomplicated falciparum and vivax malaria: Cough, small airways obstruction, impaired gas transfer, and increased pulmonary phagocytic activity. J. Infect. Dis. 2002, 185, 1326–1334. [Google Scholar] [CrossRef] [PubMed][Green Version]
- Lomar, A.V.; Vidal, J.E.; Lomar, F.P.; Barbas, C.V.; de Matos, G.J.; Boulos, M. Acute respiratory distress syndrome due to vivax malaria: Case report and literature review. Braz. J. Infect. Dis. 2005, 9, 425–430. [Google Scholar] [CrossRef] [PubMed]
- Campos, G.M.; Borges, A.A.; Badra, S.J.; Figueiredo, G.G.; Souza, R.L.; Moreli, M.L. Pulmonary and cardiovascular syndrome due to hantavirus: Clinical aspects of an emerging disease in southeastern Brazil. Rev. Soc. Bras. Med. Trop. 2009, 42, 282–289. [Google Scholar] [CrossRef]
- Lau, Y.L.; Lee, W.C.; Tan, L.H.; Kamarulzaman, A.; Omar, S.F.S.; Fong, M.Y.; Cheong, F.W.; Mahmud, R. Acute respiratory distress syndrome and acute renal failure from Plasmodium ovale infection with fatal outcome. Malar. J. 2013, 12, 389. [Google Scholar] [CrossRef]
- Rahman, A.K.; Sulaiman, F.N. Plasmodium vivax malaria presenting as acute respiratory distress syndrome: A case report. Trop. Doct. 2013, 43, 83–85. [Google Scholar] [CrossRef]
- Raboni, S.M.; Levis, S.; Rosa, E.S.; Bisordi, I.; Delfraro, A.; Lemos, E.; Correia, D.C.; Duarte dos Santos, C.C. Hantavirus infection in Brazil: Development and evaluation of an enzyme immunoassay and immunoblotting based on N recombinant protein. Diagn. Microbiol. Infect. Dis. 2007, 58, 89–97. [Google Scholar] [CrossRef]
- Guterres, A.; Oliveira, R.C.; Fernandes, J.; Schrago, C.G.; Lemos, E.R. Detection of different South American hantaviruses. Virus Res. 2015, 2, 106–113. [Google Scholar] [CrossRef]
- Figueiredo, L.T.; Moreli, M.L.; Borges, A.A.; de Figueiredo, G.G.; Badra, S.J.; Bisordi, I.; Suzuki, A.; Capria, S.; Padula, P. Evaluation of an enzyme-linked immunosorbent assay based on Araraquara virus recombinant nucleocapsid protein. Am. J. Trop. Med. Hyg. 2009, 81, 273–276. [Google Scholar] [CrossRef] [PubMed]
- Fauci, A.; Braunwald, E.; Kasper, D.; Hauser, S.; Longo, D.; Jameson, J. Harrison’s Principles of Internal Medicine, 17th ed.; Mcgraw-Hill: New York, NY, USA, 2008. [Google Scholar]
- Hutchinson, K.L.; Rollin, P.E.; Peters, C.J. Pathogenesis of a North American hantavirus, Black Creek Canal virus, in experimentally infected Sigmodon hispidus. Am. J. Trop. Med. Hyg. 1998, 59, 58–65. [Google Scholar] [CrossRef]
- Brasil. Ministério da Saúde. Secretaria de Vigilância em Saúde. Guia de Vigilância em Saúde; Ministério da Saúde: Brasília, Brzail, 2014. [Google Scholar]
- Nolte, K.B.; Feddersen, R.M.; Foucar, K.; Zaki, S.R.; Koster, F.T.; Madar, D.; Merlin, T.L.; Mcfeeley, P.J.; Umland, E.T.; Zumwalt, R.E. Hantavirus Pulmonary Syndrome in the United-States—A Pathological Description of a Disease Caused by a New Agent. Hum. Pathol. 1995, 26, 110–120. [Google Scholar] [CrossRef]
- Peters, C.J. Hantavirus pulmonary syndrome in the Americas. In Emerging Infections; Scheld, W.M., Craig, W.A., Hughes, J.M., Eds.; ASM Press: Washington, DC, USA, 1998; pp. 15–50. [Google Scholar]
- Brasil. Departamento Nacional de Produção Mineral. Informe Mineral Julho a Dezembro de 2015; Departamento Nacional de Produção Mineral: Brasília, Brzail, 2015. [Google Scholar]
- Santos, E.D.O.; Loureiro, E.C.B.; Jesus, I.M.D.; Brabo, E.; Silva, R.D.S.U.D.; Soares, M.D.C.P. Diagnóstico das condições de saúde de uma comunidade garimpeira na região do Rio Tapajós, Itaituba, Pará, Brasil, 1992. Cad. Saúde Pública 1995, 11, 212–225. [Google Scholar] [CrossRef] [PubMed][Green Version]
- Pignatti, M.G. Saúde e ambiente: As doenças emergentes no Brasil. Ambiente Soc. 2004, 7, 133–147. [Google Scholar] [CrossRef]
- Schmidt, R. A questão ambiental na promoção da saúde: Uma oportunidade de ação multiprofissional sobre doenças emergentes. Physis 2007, 17, 373–392. [Google Scholar] [CrossRef]
- Dahanayaka, N.J.; Agampodi, S.B.; Bandaranayaka, A.K.; Priyankara, S.; Vinetz, J.M. Hantavirus infection mimicking leptospirosis: How long are we going to rely on clinical suspicion? J. Infect. Dev. Ctries. 2014, 8, 1072–1075. [Google Scholar] [CrossRef] [PubMed]
- Kasper, M.R.; Blair, P.J.; Touch, S.; Sokhal, B.; Yasuda, C.Y.; Williams, M.; Richards, A.L.; Burgess, T.H.; Wierzba, T.F.; Putnam, S.D. Infectious etiologies of acute febrile illness among patients seeking health care in south-central Cambodia. Am. J. Trop. Med. Hyg. 2012, 86, 246–253. [Google Scholar] [CrossRef] [PubMed]
- Figueiredo, L.T.M. Febres hemorrágicas por vírus no Brasil. Rev. Soc. Bras. Med. Trop. 2006, 39, 203–210. [Google Scholar] [CrossRef]
- Lima, D.M.; Sabino-Santos Junior, G.; Oliveira, A.C.; Fontes, R.M.; Colares, J.K.; Araujo, F.M. Hantavirus infection in suspected dengue cases from State of Ceara, Brazil. Rev. Soc. Bras. Med. Trop. 2011, 44, 795–796. [Google Scholar] [CrossRef] [PubMed]
- Suharti, C.; van Gorp, E.C.; Dolmans, W.M.; Groen, J.; Hadisaputro, S.; Djokomoeljanto, R.J. Hantavirus infection during dengue virus infection outbreak in Indonesia. Acta Med. Indones. 2009, 41, 75–80. [Google Scholar] [PubMed]
- Lamas, C.; Oliveira, R.; Bóia, M.; Silva, A.; Vicente, L.H.B.; Almeida, E.B.; Lemos, E.R.S.; Bóia, M.N. Hantavirus infection in HIV positive individuals in Rio de. Janeiro, Brazil: A seroprevalence study. Braz. J. Infect. Dis. 2013, 17, 120–121. [Google Scholar] [CrossRef]
- Lemos, E.; Alves-Correa, A.; Oliveira, R.; Rozental, T.; Pereira, M.; Schatzmayr, Y. Serologic evidence of hantavirus infection in patients from Rio de Janeiro with suspected leptospirosis. Virus Rev. Res. Soc. Bras. Virol. 2003, 8, 96–97. [Google Scholar]
- Goeijenbier, M.; Hartskeerl, R.A.; Reimerink, J.; Verner-Carlsson, J.; Wagenaar, J.F.; Goris, M.G.; Martina, B.E.; Ludkvist, A.; Koopmans, M.; Osterhaus, A.D.; et al. The hanta hunting study: Underdiagnosis of Puumala hantavirus infections in symptomatic non-travelling leptospirosis-suspected patients in the Netherlands, in 2010 and April to November 2011. EuroSurveillance 2014, 19, 20878. [Google Scholar] [CrossRef]
- Mattar, S.; Garzon, D.; Tadeu, L.; Faccini-Martinez, A.A.; Mills, J.N. Serological diagnosis of hantavirus pulmonary syndrome in a febrile patient in Colombia. Int. J. Infect. Dis. 2014, 25, 201–203. [Google Scholar] [CrossRef]
- Silva, A.D.; Evangelista, M.D.O.S. Syndromic surveillance: Etiologic study of acute febrile illness in dengue suspicious cases with negative serology. Brazil, Federal District, 2008. Rev. Inst. Med. Trop. Sao Paulo 2010, 52, 237–242. [Google Scholar] [CrossRef]
- Bostik, P.; Winter, J.; Ksiazek, T.G.; Rollin, P.E.; Villinger, F.; Zaki, S.R. Sin Nombre virus (SNV) Ig isotype antibody response during acute and convalescent phases of hantavirus pulmonary syndrome. Emerg. Infect. Dis. 2000, 6, 184–187. [Google Scholar] [CrossRef] [PubMed]
- Carneiro, K.; Carneiro, C. Abordagem clínico imunológico da infecção por hantavírus. Rev. Patol. Trop. 2004, 33, 183–191. [Google Scholar]
- MacNeil, A.; Comer, J.A.; Ksiazek, T.G.; Rollin, P.E. Sin Nombre virus-specific immunoglobulin M and G kinetics in hantavirus pulmonary syndrome and the role played by serologic responses in predicting disease outcome. J. Infect. Dis. 2010, 202, 242–246. [Google Scholar] [CrossRef] [PubMed]
- Hindrichsen, S.; de Andrade, A.M.; Clement, J.; Leirs, H.; McKenna, P.; Matthys, P. Hantavirus infection in Brazilian patients from Recife with suspected leptospirosis. Lancet 1993, 341, 50. [Google Scholar] [CrossRef]
- Mascarenhas-Batista, A.V.; da Rosa, E.S.; Ksiazek, T.G.; da Rosa, A.P.; Leduc, J.W.; Pinheiro, F. Anti-Hantavirus antibodies in school children in Salvador, Bahia. Rev. Soc. Bras. Med. Trop. 1998, 31, 433–440. [Google Scholar] [CrossRef] [PubMed]
- Figueiredo, L.T.M.; Moreli, M.L.; de Sousa, R.L.M.; Borges, A.A.; de Figueiredo, G.G.; Machado, A.M. Hantavirus pulmonary syndrome, Central Plateau, Southeastern, and Southern Brazil. Emerg. Infect. Dis. 2009, 15, 561–567. [Google Scholar] [CrossRef] [PubMed]
- Mendes, W.S.; da Silva, A.A.; Neiva, R.F.; Costa, N.M.; de Assis, M.S.; Vidigal, P.M. Serologic survey of hantavirus infection, Brazilian Amazon. Emerg. Infect. Dis. 2010, 16, 889–891. [Google Scholar] [CrossRef] [PubMed]
- Badra, S.J.; Maia, F.G.; Figueiredo, G.G.; Dos Santos Junior, G.S.; Campos, G.M.; Figueiredo, L.T. A retrospective serologic survey of hantavirus infections in the county of Cassia dos Coqueiros, State of Sao Paulo, Brazil. Rev. Soc. Bras. Med. Trop. 2012, 45, 468–470. [Google Scholar] [CrossRef]
- Souza, W.M.D.; Machado, A.M.; Figueiredo, L.T.M.; Boff, E. Serosurvey of hantavirus infection in humans in the border region between Brazil and Argentina. Rev. Soc. Bras. Med. Trop. 2011, 44, 131–135. [Google Scholar] [CrossRef][Green Version]
- Pereira, G.W.; Teixeira, A.M.; Souza, M.S.; Braga, A.D.; Santos, G.S., Jr.; Figueiredo, G.G. Prevalence of serum antibodies to hantavirus in a rural population from the Southern State of Santa Catarina, Brazil. Rev. Soc. Bras. Med. Trop. 2012, 45, 117–119. [Google Scholar] [CrossRef]
- Gimaque, J.B.; Bastos, M.D.E.S.; Braga, W.S.; Oliveira, C.M.; Castilho, M.D.A.C.; Figueiredo, R.M. Serological evidence of hantavirus infection in rural and urban regions in the state of Amazonas, Brazil. Mem. Inst. Oswaldo Cruz 2012, 107, 135–137. [Google Scholar] [CrossRef]
- Santos, I.O.; Figueiredo, G.G.; Figueiredo, L.T.; Azevedo, M.R.; Novo, N.F.; Vaz, C.A. Serologic survey of hantavirus in a rural population from the northern State of Mato Grosso, Brazil. Rev. Soc. Bras. Med. Trop. 2013, 46, 30–33. [Google Scholar] [CrossRef] [PubMed]
- Pereira, L. Avaliação da Infecção por Hantavirus em as Mostras Humanas e de Roedores Silvestres e Sinantrópicos no Estado do Rio de Janeiro; Mestrado em Medicina Tropical; Fiocruz: Rio de Janeiro, Brazil, 2014. [Google Scholar]
- Terças, A.C.P.; Atanaka-Santos, M.; Pignatti, M.G.; Espinosa, M.M.; de Melo Via, A.V.G.; Menegatti, J.A. Hantavirus pulmonary syndrome outbreak, Brazil, December 2009–January 2010. Emerg. Infect. Dis. 2013, 19, 1824–1827. [Google Scholar] [CrossRef] [PubMed]
- Confalonieri, U.E.C. Saúde na Amazônia: Um modelo conceitual para a análise de paisagens e doenças. Estud. Av. 2005, 19, 221–236. [Google Scholar] [CrossRef]
- Guimarães, R.M.; Valente, B.C.; Faria, P.A.; Stephanelli, L.L.; Chaiblich, J.V.; Arjona, F.B.S. Deforestation and malaria incidence in the legal Amazon Region between 1996 and 2012. Cad. Saude Colet 2016, 24, 3–8. [Google Scholar] [CrossRef][Green Version]
- Camacho, L.H.; Gordeuk, V.R.; Wilairatana, P.; Pootrakul, P.; Brittenham, G.M.; Looareesuwan, S. The course of anaemia after the treatment of acute, falciparum malaria. Ann. Trop. Med. Parasitol. 1998, 92, 525–537. [Google Scholar] [CrossRef]
- Maciel, G.B.M.L.; Oliveira, E.C.D. Perfil entomológico e epidemiológico da malária em região garimpeira no norte do Mato Grosso, 2011. Epidemiol. Serv. Saude 2014, 23, 355–360. [Google Scholar] [CrossRef]


| Independent Variables | Anti-hantavirus IgG + Patients | Total | |||
|---|---|---|---|---|---|
| N | % | N | % | ||
| Gender | Male | 1 | 25 | 63 | 56.25 |
| Female | 3 | 75 | 49 | 43.75 | |
| Total | 4 | 100 | 112 | 100 | |
| Educational Attainment | No education | - | - | 13 | 11.6 |
| Elementary School | 4 | 100 | 84 | 75 | |
| High School | - | - | 14 | 12.5 | |
| Higher Education | - | - | 1 | 0.9 | |
| Race Color | White | 1 | 25 | 20 | 17.8 |
| Black | 1 | 25 | 15 | 13.4 | |
| Pardo | 2 | 50 | 77 | 68.8 | |
| Occupation | Livestock activity | - | - | 2 | 1.7 |
| Agricultural activity | - | - | 3 | 2.7 | |
| Housewife | - | - | 14 | 12.5 | |
| Vegetal exploration | 1 | 25 | 21 | 18.75 | |
| Other mining activity | 3 | 75 | 73 | 64.4 | |
| Marital Status | Single | 1 | 25 | 46 | 41.1 |
| Married | 2 | 50 | 46 | 41.1 | |
| Divorced | - | - | 4 | 3.5 | |
| Widower | - | - | 1 | 0.9 | |
| Consensual Union | 1 | 25 | 15 | 13.4 | |
| Housing Type | Wood | 4 | 100 | 104 | 92.8 |
| Canvas | - | - | 7 | 6.3 | |
| Other | - | - | 1 | 0.9 | |
| Independent Variables | Anti-hantavirus IgG + Patients | Total | |||
|---|---|---|---|---|---|
| N | % | N | % | ||
| Signs and symptoms during data collection | Yes | 1 | 25 | 8 | 7.2 |
| No | 3 | 75 | 104 | 92.8 | |
| Total | 4 | 100 | 112 | 100 | |
| Thick Blood Smear | Negative | 3 | 75 | 107 | 95.5 |
| Positive for P. falciparum | 1 | 25 | 4 | 3.6 | |
| Positive for P. falciparum + Falciparum gametocity (FG) | - | - | - | - | |
| Positive for P. vivax | - | - | 1 | 0.9 | |
| Reported co-morbidity | Yes | 1 | 25 | 10 | 8.9 |
| No | 3 | 75 | 102 | 91.1 | |
© 2019 by the authors. Licensee MDPI, Basel, Switzerland. This article is an open access article distributed under the terms and conditions of the Creative Commons Attribution (CC BY) license (http://creativecommons.org/licenses/by/4.0/).
Share and Cite
Terças-Trettel, A.C.P.; Oliveira, E.C.d.; Fontes, C.J.F.; Melo, A.V.G.d.; Oliveira, R.C.d.; Guterres, A.; Fernandes, J.; Silva, R.G.d.; Atanaka, M.; Espinosa, M.M.; et al. Malaria and Hantavirus Pulmonary Syndrome in Gold Mining in the Amazon Region, Brazil. Int. J. Environ. Res. Public Health 2019, 16, 1852. https://doi.org/10.3390/ijerph16101852
Terças-Trettel ACP, Oliveira ECd, Fontes CJF, Melo AVGd, Oliveira RCd, Guterres A, Fernandes J, Silva RGd, Atanaka M, Espinosa MM, et al. Malaria and Hantavirus Pulmonary Syndrome in Gold Mining in the Amazon Region, Brazil. International Journal of Environmental Research and Public Health. 2019; 16(10):1852. https://doi.org/10.3390/ijerph16101852
Chicago/Turabian StyleTerças-Trettel, Ana Cláudia Pereira, Elaine Cristina de Oliveira, Cor Jesus Fernandes Fontes, Alba Valéria Gomes de Melo, Renata Carvalho de Oliveira, Alexandro Guterres, Jorlan Fernandes, Raphael Gomes da Silva, Marina Atanaka, Mariano Martinez Espinosa, and et al. 2019. "Malaria and Hantavirus Pulmonary Syndrome in Gold Mining in the Amazon Region, Brazil" International Journal of Environmental Research and Public Health 16, no. 10: 1852. https://doi.org/10.3390/ijerph16101852
APA StyleTerças-Trettel, A. C. P., Oliveira, E. C. d., Fontes, C. J. F., Melo, A. V. G. d., Oliveira, R. C. d., Guterres, A., Fernandes, J., Silva, R. G. d., Atanaka, M., Espinosa, M. M., & Lemos, E. R. S. d. (2019). Malaria and Hantavirus Pulmonary Syndrome in Gold Mining in the Amazon Region, Brazil. International Journal of Environmental Research and Public Health, 16(10), 1852. https://doi.org/10.3390/ijerph16101852

