Sulfated-Polysaccharide Fraction from Red Algae Gracilaria caudata Protects Mice Gut Against Ethanol-Induced Damage
Abstract
:1. Introduction
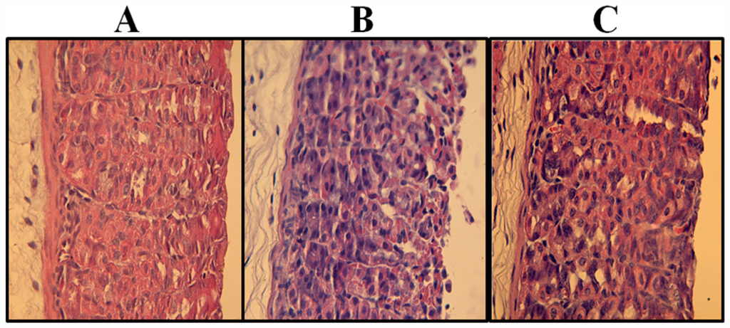
2. Results and Discussion
3. Experimental Section
3.1. Extraction of Soluble Polysaccharide
3.2. Animals
3.3. The Effect of PLS on Ethanol-Induced Gastric Damage
3.4. The Roles of NO and H2S in the Protective Effect of PLS
3.5. The Role of KATP in PLS-Mediated Gastric Protection
3.6. Histological Assessment
3.7. GSH Assay
3.8. MDA Assay
3.9. Gastric Acid Secretion
3.10. Statistical Analysis
4. Conclusions
Acknowledgments
References
- Arif, J.M.; Al-Hazzani, A.A.; Kunhi, M.; Al-Khodairy, F. Marine compounds: Anticancer or genotoxic? J. Biomed. Biotechnol 2004, 2, 93–98. [Google Scholar]
- Blunt, J.W.; Copp, B.R.; Munro, M.H.G.; Northcote, P.T.; Prinsep, M.R. Marine natural products. Nat. Prod. Rep 2006, 23, 26–78. [Google Scholar]
- Silva, J.S.E.; Moura, M.D.; Oliveira, R.A.G.; Diniz, M.F.F.M.; Barbosa-Filho, J.M. Natural products inhibitors of ovarian neoplasia. Phytomedicine 2003, 10, 221–232. [Google Scholar]
- Han, F.; Yao, W.; Yang, X.; Liu, X.; Gao, X. Experimental study on anticoagulant and antiplatelet aggregation activity of a chemically sulfated marine polysaccharide YCP. Int. J. Biol. Macromol 2005, 36, 201–207. [Google Scholar]
- Toida, T.; Sakai, S.; Akiyama, H.; Linhardt, R.J. Immunological activity of chondroitin sulfate. Adv. Pharmacol 2006, 53, 403–415. [Google Scholar]
- Toida, T.; Chaidedgumjorn, A.; Linhardt, R. Structure and bioactivity of sulfated polysaccharides. J. Trends Glycosci. Glycotechnol 2003, 15, 29–46. [Google Scholar]
- Lee, J.B.; Hayashi, K.; Maeda, M.; Hayashi, T. Antiherpetic activities of sulfated polysaccharides from green algae. Planta Med 2004, 70, 813–817. [Google Scholar]
- Athukorala, Y.; Lee, K.W.; Kim, S.K.; Jeon, Y.J. Anticoagulant activity of marine green and brown algae collected from Jeju Island in Korea. Bioresour. Technol 2007, 98, 1711–1716. [Google Scholar]
- Kloareg, B.; Quatrano, R.S. Structure of cell wall of marine algae and ecophysiological function of matrix polysaccharides. Oceanogr. Mar. Biol. Ann. Rev 1988, 26, 259–315. [Google Scholar]
- Rocha, H.A.O.; Leite, E.L.; Medeiros, V.P.; Lopes, C.C.; Nascimento, F.D.; Tersariol, I.L.S.; Sampaio, L.O.; Nader, H.B. Natural Sulfated Polysaccharides as Antithrombotic Compounds. Structural Characteristics and Effects on the Coagulation Cascade. In Insight into Carbohydrate Structure and Biological Function; Verli, H., Guimarâes, J.A., Eds.; Transworld Research Network: Kerala, India, 2006; pp. 51–67. [Google Scholar]
- Almeida-Lima, J.; Costa, L.S.; Silva, N.B.; melo-Silveira, R.F.; Silva, F.V.; Felipe, M.B.M.C.; Medeiros, S.R.B.M.; Leite, E.L.; Rocha, H.A.O. Evaluating the possible genotoxic, mutagenic and tumor cell proliferation-inhibition effects of a non-anticoagulant, but antithrombotic algal heterofucan. J. Appl. Toxicol 2010, 30, 708–715. [Google Scholar]
- Barroso, E.M.; Costa, L.S.; Medeiros, V.P.; Cordeiro, S.L.; Costa, M.S.; Franco, C.R.; Nader, H.B.; Leite, E.L.; Rocha, H.A.O. A non-anticoagulant heterofucan has antithrombotic activityin vivo. Planta Med 2008, 74, 712–718. [Google Scholar]
- Costa, L.S.; Fidelis, G.P.; Cordeiro, S.L.; Oliveira, R.M.; Sabry, D.A; Câmara, R.B.G.; Nobre, L.T.D.B.; Costa, M.S.S.P.; Almeida-Lima, J.; Farias, E.H.C.; et al. Biological activities of sulfated polysaccharides from tropical seaweeds. Biomed. Pharmacother 2010, 64, 21–28. [Google Scholar]
- Cumashi, A.; Ushakova, N.A.; Preobrazhenskaya, M.E.; D’incecco, A.; Picooli, A.; Totani, L.; Tinari, N.; Morozevich, G.E.; Berman, A.E.; Bilan, M.I.; et al. A comparative study of the anti-inflammatory, anticoagulant, antiangiogenic, and antiadhesive activities of nine different fucoidans from brown seaweeds. Glycobiology 2007, 17, 541–552. [Google Scholar]
- Guslandi, M. Effect of ethanol on the gastric mucosa. Dig. Dis 1987, 5, 21–32. [Google Scholar]
- Ko, J.K.; Cho, C.H.; Lam, S.K. Adaptive cytoprotection through modulation of nitric oxide in ethanol-evoked gastritis. World J. Gastroenterol 2004, 1, 2503–2508. [Google Scholar]
- La Casa, C.; Villegas, I.; De La Lastra, C.A.; Motilva, V.; Martin Calero, M.J. Evidence for protective and antioxidant properties of rutin, a natural flavone, against ethanol induced gastric lesions. J. Ethnopharmacol 2000, 71, 45–53. [Google Scholar]
- Zhang, Z.; Wang, F.; Wang, X.; Liu, X.; Hou, Y.; Zhang, Q. Extraction of the polysaccharides from five algae and their potential antioxidant activityin vitro. Carbohydr. Polym 2010, 82, 118–121. [Google Scholar]
- Muscara, M.N.; Wallace, J.L. Nitric oxide. V. Therapeutic potential of nitric oxide donors and inhibitors. Am. J. Physiol 1999, 276, 1313–1316. [Google Scholar]
- Fiorucci, S.; Antonelli, E.; Distrutti, E.; Rizzo, G.; Mencarelli, A.; Orlandi, S.; Zanardo, R.; Renga, B.; Di Sante, M.; Morelli, A.; et al. Inhibition of hydrogen sulfide generation contributes to gastric injury caused by anti-inflammatory nonsteroidal drugs. Gastroenterology 2005, 129, 1210–1224. [Google Scholar]
- Medeiros, J.V.; Gadelha, G.G.; Lima, S.J.; Garcia, J.A.; Soares, P.M.; Santos, A.A.; Brito, G.A.; Ribeiro, R.A.; Souza, M.H. Role of the NO/cGMP/KATP pathway in the protective effects of sildenafil against ethanol-induced gastric damage in rats. Br. J. Pharmacol 2008, 153, 721–727. [Google Scholar]
- Medeiros, J.V.; Bezerra, V.H.; Gomes, A.S.; Barbosa, A.L.; Lima-Júnior, R.C.; Soares, P.M.; Brito, G.A.; Ribeiro, R.A.; Cunha, F.Q.; Souza, M.H. Hydrogen sulfide prevents ethanol-induced gastric damage in mice: Role of ATP-sensitive potassium channels and capsaicin-sensitive primary afferent neurons. J. Pharmacol. Exp. Ther 2009, 330, 764–770. [Google Scholar]
- Coruzzi, G.; Adami, M.; Morini, G.; Pozzoli, C.; Cena, C.; Bertinaria, M.; Gasco, A. Antisecretory and gastroprotective activities of compounds endowed with H2 antagonistic and nitric oxide (NO) donor properties. J. Physiol. Paris 2000, 94, 5–10. [Google Scholar]
- Fiorucci, S.; Distrutti, E.; Cirino, G.; Wallace, J.L. The emerging roles of hydrogen sulfide in the gastrointestinal tract and liver. Gastroenterology 2006, 131, 259–271. [Google Scholar]
- Wallace, J.L.; Miller, M.J. Nitric oxide in mucosal defense: A little goes a long way. Gastroenterology 2000, 119, 512–520. [Google Scholar]
- Jonsson, I.M.; Verdrengh, M.; Brissler, T.M.; Lindblad, S.; Bokarewa, M.; Islander, U.; Carlsten, H.; Ohlsson, C.; Nandakumar, K.S.; Holmdahl, R.; Tarkowski, A. Ethanol prevents development of destructive arthritis. Proc. Natl. Acad. Sci. USA 2007, 104, 258–263. [Google Scholar]
- Trier, J.S.; Szabo, S.; Allan, C.H. Ethanol-induced damage to mucosal capillaries of rat stomach. Ultrastructural features and effects of prostaglandin E2 and cysteamine. Gastroenterology 1987, 92, 13–22. [Google Scholar]
- Matsumoto, T.; Moriguchi, R.; Yamada, H. Role of polymorphonuclearleucocytes and oxygen-derived free radicals in the formation of gastric lesions induced by HCl/ethanol, and a possible mechanism of rotection by antiulcer polysaccharide. J. Pharm. Pharmacol 1992, 45, 535–539. [Google Scholar]
- Gomes, A.S.; Gadelha, G.G.; Lima, S.J.; Garcia, J.A.; Medeiros, J.V.R.; Havt, A.; Lima, A.A.; Ribeiro, R.A.; Brito, G.A.; Cunha, F.Q.; et al. Gastroprotective effect of heme-oxygenase 1/ biliverdin/CO pathway in ethanol-induced gastric damage in mice. Eur. J. Pharmacol 2010, 642, 140–145. [Google Scholar]
- Alimi, H.; Hfaiedh, N.; Bouoni, Z.; Hfaiedh, M.; Sakly, M.; Zourgui, L.; Rhouma, K.B. Antioxidant and antiulcerogenic activities of Opuntia ficus indica f. inermis root extract in rats. Phytomedicine 2010, 17, 1120–1126. [Google Scholar]
- Alvarez-Suarez, J.M.; Dekanski, D.; Ristić, S.; Radonjić, N.V.; Petronijević, N.D.; Giampieri, F.; Astolfi, P.; González-Paramás, A.M.; Santos-Buelga, C.; Tulipani, S.; et al. Strawberry polyphenols attenuate ethanol-induced gastric lesions in rats by activation of antioxidant enzymes and attenuation of MDA increase. PLoS One 2011, 6, e25878. [Google Scholar]
- Whittle, B.J.; Kauffman, G.L.; Moncada, S. Vasoconstriction with thromboxane A2 induces ulceration of the gastric mucosa. Nature 1981, 292, 472–474. [Google Scholar]
- Kubes, P.; Suzuki, M.; Granger, D.N. Nitric oxide: An endogenous modulator of leukocyte adhesion. Proc. Natl. Acad. Sci. USA 1991, 88, 4651–4655. [Google Scholar]
- May, G.R.; Crook, P.; Moore, P.K.; Page, C.P. The role of nitric oxide as an endogenous regulator of platelet and neutrophil activation within the pulmonary circulation of the rabbit. Br. J. Pharmacol 1991, 102, 759–763. [Google Scholar]
- Allen, A.; Flemstrom, G.; Garner, A.; Kivilaakso, E. Gastroduodenal mucosal protection. Physiol. Rev 1993, 73, 823–857. [Google Scholar]
- Archer, S.L.; Huang, J.M.; Hampl, V.; Nelson, D.P.; Shultz, P.J.; Weir, E.K. Nitric oxide and cGMP cause vasorelaxation by activation of a charybdotoxin-sensitive K channel by cGMP-dependent protein kinase. Proc. Natl. Acad. Sci. USA 1994, 91, 7583–7587. [Google Scholar]
- Bolotina, V.M.; Najibi, S.; Palacino, J.J.; Pagano, P.J.; Cohen, R.A. Nitric oxide directly activates calcium-dependent potassium channels in vascular smooth muscle. Nature 1994, 368, 850–853. [Google Scholar]
- Peskar, B.M.; Ehrlich, K.; Peskar, B.A. Role of ATP-sensitive potassium channels in prostaglandin-mediated gastroprotection in the rat. J. Pharmacol. Exp. Ther 2002, 301, 969–974. [Google Scholar]
- Gomes, A.S.; Lima, L.M.; Santos, C.L.; Cunha, F.Q.; Ribeiro, R.A.; Souza, M.H. LPS from Escherichia coli protects against indomethacin-induced gastropathy in rats: Role of ATP-sensitive potassium channels. Eur. J. Pharmacol 2006, 547, 136–142. [Google Scholar]
- Moody, F.G.; Cheung, L.Y.; Simons, M.A.; Zalewsky, C. Stress and acute gastric mucosal lesion. Am. J. Dig. Dis 1976, 21, 148–154. [Google Scholar]
- Oates, P.J.; Hakkinen, J.P. Studies on the mechanism of ethanol-induced gastric damage in rats. Gastroenterology 1988, 94, 10–21. [Google Scholar]
- Vela, S.M.; Souccar, C.; Lima-Landman, M.T.; Lapa, A.J. Inhibition of gastric acid secretion by the aqueous extract and purified extracts ofStachytarpheta cayennensis. Planta Med 1997, 63, 36–39. [Google Scholar]
- Sedlak, J.; Lindsay, R.H. Estimation of total, protein-bound, and nonprotein sulfhydryl groups in tissue with Ellman’s reagent. Anal. Biochem 1968, 25, 1192–1205. [Google Scholar]
- Mihara, M.; Uchiyama, M. Determination of malonaldehyde precursor in tissues by thiobarbituric acid test. Anal. Biochem 1978, 86, 271–278. [Google Scholar]
- Laine, L.; Weinstein, W.M. Histology of alcoholic hemorrhagic gastritis: A prospective evaluation. Gastroenterology 1988, 94, 1254–1262. [Google Scholar]
- Shay, M.; Kamarov, S.A.; Fels, D.; Meranze, D.; Gruenstein, H.; Siplet, H. A simple method for the uniform production of gastric ulceration in the rats. Gastroenterology 1945, 5, 43–61. [Google Scholar]





| Experimental group (n = 5) | Hemorrhagic damage (score, 0–4) | Edema (score, 0–4) | Epithelial cell loss (score, 0–3) | Inflammatory cells (score, 0–3) | Total (score, 0–14) |
|---|---|---|---|---|---|
| Saline | 0 | 0 (0–1) | 0 | 0 | 0 |
| Ethanol | 3 (3–4) | 3 (3–4) | 2 (2–3) | 0 (0–1) | 8 (6–10) |
| Ethanol + PLS 30 mg·kg−1 | 1 (0–2) * | 1 (0–1) * | 1 (0–1) * | 0 | 3 (0–3) * |
| Experimental Group (n = 5) | Volume (μL) | pH | Total Acid (mEq[H+]/L/4 h) |
|---|---|---|---|
| Saline | 504 ± 39.2 | 1.6 ± 0.4 | 5.0 ± 0.3 |
| PLS (30 mg·kg−1) | 550 ± 89.1 | 1.8 ± 0.8 | 5.4 ± 0.6 |
| Histamine | 993 ± 90.8 * | 1.5 ± 0.5 | 10 ± 0.6 * |
| Ranitidine | 295 ± 78.3 # | 2.7 ± 0.5 | 2.4 ± 0.5 # |
© 2011 by the authors; licensee MDPI, Basel, Switzerland This article is an open-access article distributed under the terms and conditions of the Creative Commons Attribution license (http://creativecommons.org/licenses/by/3.0/).
Share and Cite
Silva, R.O.; Santos, G.M.P.d.; Nicolau, L.A.D.; Lucetti, L.T.; Santana, A.P.M.; Chaves, L.d.S.; Barros, F.C.N.; Freitas, A.L.P.; Souza, M.H.L.P.; Medeiros, J.-V.R. Sulfated-Polysaccharide Fraction from Red Algae Gracilaria caudata Protects Mice Gut Against Ethanol-Induced Damage. Mar. Drugs 2011, 9, 2188-2200. https://doi.org/10.3390/md9112188
Silva RO, Santos GMPd, Nicolau LAD, Lucetti LT, Santana APM, Chaves LdS, Barros FCN, Freitas ALP, Souza MHLP, Medeiros J-VR. Sulfated-Polysaccharide Fraction from Red Algae Gracilaria caudata Protects Mice Gut Against Ethanol-Induced Damage. Marine Drugs. 2011; 9(11):2188-2200. https://doi.org/10.3390/md9112188
Chicago/Turabian StyleSilva, Renan Oliveira, Geice Maria Pereira dos Santos, Lucas Antonio Duarte Nicolau, Larisse Tavares Lucetti, Ana Paula Macedo Santana, Luciano de Souza Chaves, Francisco Clark Nogueira Barros, Ana Lúcia Ponte Freitas, Marcellus Henrique Loiola Ponte Souza, and Jand-Venes Rolim Medeiros. 2011. "Sulfated-Polysaccharide Fraction from Red Algae Gracilaria caudata Protects Mice Gut Against Ethanol-Induced Damage" Marine Drugs 9, no. 11: 2188-2200. https://doi.org/10.3390/md9112188
APA StyleSilva, R. O., Santos, G. M. P. d., Nicolau, L. A. D., Lucetti, L. T., Santana, A. P. M., Chaves, L. d. S., Barros, F. C. N., Freitas, A. L. P., Souza, M. H. L. P., & Medeiros, J.-V. R. (2011). Sulfated-Polysaccharide Fraction from Red Algae Gracilaria caudata Protects Mice Gut Against Ethanol-Induced Damage. Marine Drugs, 9(11), 2188-2200. https://doi.org/10.3390/md9112188

