Next Article in Journal
Anti-Cancer Activity of Sphaerococcus coronopifolius Algal Extract: Hopes and Fears of a Possible Alternative Treatment for Canine Mast Cell Tumor
Previous Article in Journal
Pyrrolidine Alkaloids from Mangrove Fungus Penicillium sp. DM27 Enhance L6 Cell Glucose Uptake
Previous Article in Special Issue
Cladolosides of Groups S and T: Triterpene Glycosides from the Sea Cucumber Cladolabes schmeltzii with Unique Sulfation; Human Breast Cancer Cytotoxicity and QSAR
 
 
Font Type:
Arial Georgia Verdana
Font Size:
Aa Aa Aa
Line Spacing:
Column Width:
Background:
Article

A2BAR-Mediated Antiproliferative and Anticancer Effects of Okhotoside A1-1 in Monolayer and 3D Culture of Human Breast Cancer MDA-MB-231 Cells

by
Ekaterina A. Chingizova
1,*,†,
Ekaterina S. Menchinskaya
1,†,
Ekaterina A. Yurchenko
1,
Elena A. Zelepuga
1,
Evgeny A. Pislyagin
1,
Liliana E. Nesterenko
1,
Sergey A. Avilov
1,
Vladimir I. Kalinin
1,
Dmitry L. Aminin
1,2 and
Alexandra S. Silchenko
1,*
1
G.B. Elyakov Pacific Institute of Bioorganic Chemistry, Far Eastern Branch of the Russian Academy of Sciences, Pr. 100-Letya Vladivostoka 159, 690022 Vladivostok, Russia
2
Department of Biomedical Science and Environmental Biology, Kaohsiung Medical University, Kaohsiung 80708, Taiwan
*
Authors to whom correspondence should be addressed.
These authors contributed equally to this work.
Mar. Drugs 2025, 23(12), 456; https://doi.org/10.3390/md23120456
Submission received: 6 November 2025 / Revised: 25 November 2025 / Accepted: 25 November 2025 / Published: 27 November 2025
(This article belongs to the Special Issue Novel Biomaterials and Active Compounds from Sea Cucumbers)

Abstract

The aim of this study is to investigate the A2BAR-dependence of okhotoside A1-1 cytotoxic and antiproliferative action on triple-negative MDA-MB-231 breast cancer cells using monolayer and 3D culture approaches. Earlier triterpene glycoside okhotoside A1-1 (Okh) was isolated from the sea cucumbers Cucumaria djakonovi and C. conicospermium and its selective cytotoxicity against MDA-MB-231 vs. non-tumorigenic MCF-10A cells was reported. Now it has been found that the A2B adenosine receptor (A2BAR) is one of the molecular targets for Okh and its antiproliferative effect is A2BAR-dependent. Molecular docking studies suggested a unique behavior for Okh demonstrating two highly probable binding modes with comparable affinity, when the aglycone is immersed in the binding pocket, or alternatively, the carbohydrate moiety occupies the site. The glycoside modulated cAMP and intracellular Ca2+ levels in an A2BAR-dependent manner, which accompanied by the suppression of p38 MAPK and ERK1/2 phosphorylation, and blocked cell cycle progression. Okh induced mitochondrial dysfunction, characterized by increased ROS production and loss of the mitochondrial membrane potential (ΔΨm), which led to the upregulation of APAF-1 and cytochrome C, activation of caspases-9 and -3, and initiation of apoptosis. The antitumor potential of Okh was confirmed in a 3D culture of MDA-MB-231 cells and was more significant than those of another A2BAR-targeted triterpene glycoside cucumarioside A0-1 and cisplatin.

Graphical Abstract

1. Introduction

Breast cancer is a significant global health issue, projected to see a nearly 40% increase in cases and a 68% increase in deaths by 2050 [1]. Triple-negative breast cancer (TNBC) accounts for about 10–20% of all breast cancers globally and is a highly aggressive subtype [2]. Approximately 40% of TNBC patients develop metastases, often to the brain, liver, and lungs, with a median survival of 11–13 months once metastatic. This high-risk form of breast cancer lacks estrogen, progesterone, and HER2 receptors that are targets for other breast cancer treatments, requiring different therapeutic approaches [3]. Besides the absence of the common breast cancer hormone receptors, TNBC is characterized by unique molecular features, including high proliferation speed due to the increased content of proliferation markers, hyperactivation of oncogenic signaling pathways such as PI3K/AKT/mTOR [4,5] and MAPK [6], and a high quantity of tumor-infiltrating lymphocytes [7] which indicate the close interinfluence of TNBC and the immune system. The discovery of the biochemical peculiarities of TNBC triggered the elaboration of novel therapeutic strategies targeting these new molecular goals, which used to make it “elusive” for earlier treatment. This transformed TNBC from one of the most lethal subtypes into a disease where personalized therapy is beginning to change the prognosis for patients.
Promising directions in research and drug development (R&D) today are defined by several key trends: precision, personalization, speed, and complexity. The following areas of modern pharmaceuticals meet these requirements: gene therapy [8,9]; adoptive cell therapies, including T-cell receptor therapy and chimeric antigen receptor T (CAR-T) therapy [10]; and therapeutic antibodies [11]. However, these directions faced some key challenges, such as the high cost of gene and cell therapies, the unknown long-term effects of many new approaches (especially gene editing), and the absence of access to these expensive innovative therapies for people worldwide. As a result, R&D area moves to the development of highly specific individual therapies, targeting the cause of diseases. In this respect the finding of new ligands for the molecular targets inherent for TNBC and differing them from normal cells becomes especially relevant.
The adenosine receptor (AR) of A2B type is one of such molecular fingerprints, it is a potential therapeutic target and a prognostic biomarker of MDA-MB-231 TNBC cells due to its high-density [12,13]. Increased A2BAR level is associated with aggressive forms of TNBC, including basal-like breast cancer, and it also promotes immune suppression, metastasis, and tumor growth. Other various human tumor lines are also characterized by significantly higher A2BAR levels than normal tissues [14,15,16,17]. A2BAR controls the Gs/adenylate cyclase (AC)/cAMP and Gq/phospholipase C/Ca2+ signaling [12,18,19] pathways that affect ERK1/2-dependent cell cycle progression. Cyclin D1 is also modulated via the A2B adenosine receptor [20,21].
The agonists of AR–NECA, BAY 60–6583, and LUF-5835 demonstrate anti-ischemic and stimulatory effects on cell proliferation. The antagonists—PSB-1115, caffeine and others—may affect the proliferation of cells with over-expressed AR. Some A2BAR blockers are currently undergoing clinical trials as monotherapy or combinative therapy for cancer treatment [17,19,22]. Recently, it was found that triterpene glycosides cucumarioside A0-1 (Cuc A0-1) and djakonovioside A (Dj A) may act as biased antagonists of A2BAR [23], that result in the suppression of the proliferation and migration, reduction or blockage of colony formation of breast cancer cells in vitro [24] and in vivo antimetastatic action [25].
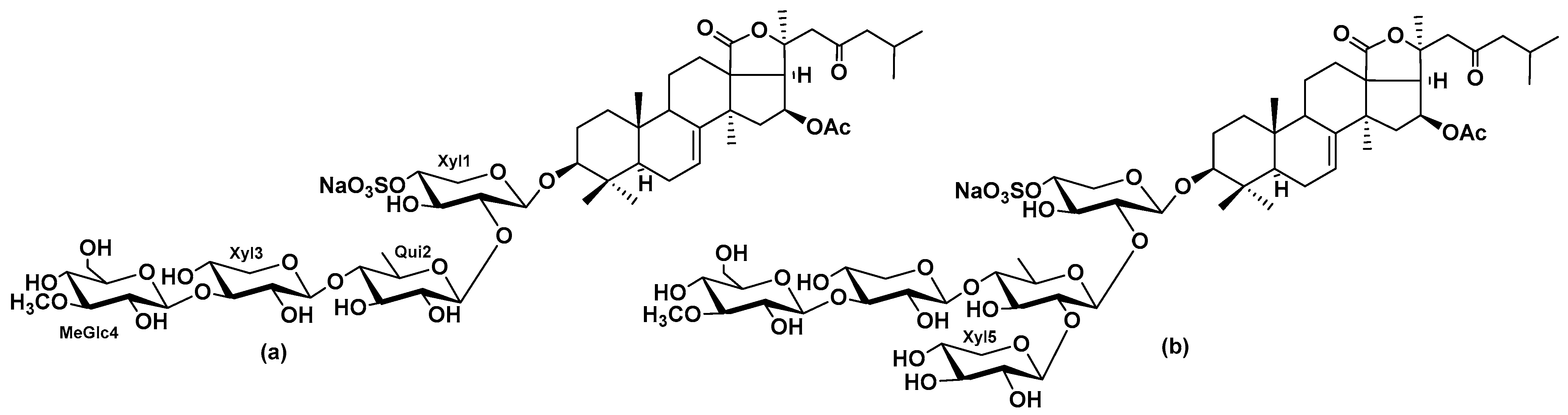
Another triterpene glycoside okhotoside A1-1 (Okh) (Figure 1a), found in Cucumaria djakonovi [24] and C. conicospermium [26] showed selective cytotoxicity against TNBC cells of the MDA-MB-231 line without significant toxicity against normal mammary MCF-10A cells. Okh structure differs from Cuc A0-1 (Figure 1b) by lacking the terminal xylose residue, which branches the carbohydrate chain of Cuc A0-1. Hence, this native glycoside represents a structural combination of the aglycone characteristic of Cuc A0-1 and the carbohydrate chain of Dj A. Considering that Cuc A0-1 and Dj A target A2BAR but using diverse parts of their molecules and that the cytotoxic activity of Okh was higher (IC50 near 2 µM), than the activities of Cuc A0-1 and Dj A (IC50 ~6 µM for each) [24] it was rather interesting to check the involvement of A2BAR in antiproliferative activity and anticancer effects of Okh.
Thus, the aim of this study is the investigation of A2BAR-dependence of Okh cytotoxic and antiproliferative action using experimental and computational approaches. Moreover, anticancer activity of Okh was examined in a 3D culture of TNBC cells of the MDA-MB-231 line.

2. Results

2.1. The Dependence of the Antiproliferative Action of Okh Against MDA-MB-231 Cell on A2BAR

The A2BAR-dependence of the antiproliferative effect of Okh on MDA-MB-231 cells was investigated in competitive long-time assays using the AR agonist NECA and the A2BAR antagonist PSB-1115. The effect on MDA-MB-231 cell number was studied in a 9-day test and the effect on colony formation and growth was studied in a 14-day test. The concentration of glycoside (Okh), A2BAR antagonist PSB-1115, and AR agonist NECA used in the tests with monolayers of MDA-MB-231 cells was 1 μM for each.
AR agonist NECA increased the number of cells and the growth of colonies by 27%. A2BAR antagonist PSB-1115 did not affect MDA-MB-231 cell number in agreement with the literature [27]. Nevertheless, PSB-1115 prevented the NECA-induced stimulation of cell proliferation and colony growth.
Okh decreased the number of MDA-MB-231 cells by 68% compared to untreated cells and prevented the increase in number in NECA-treated cells. At the same time PSB-1115 reduced the antiproliferative effect of Okh (Figure 2a).
The treatment of MDA-MB-231 colonies with Okh resulted in a significant inhibition of their growth by 75% (Figure 2b). NECA did not affect the action of Okh toward colonies (Figure 2b), while PSB-1115 decreased Okh-induced inhibition of colony growth.

2.2. The Influence of Okh on Intracellular cAMP and Ca2+ Levels in MDA-MB-231 Cells

Since A2BAR modulation controls the Gs/adenylate cyclase (AC)/cAMP and Gq/phospholipase C/Ca2+ signaling [12,19] pathways, the effects of Okh on cAMP and Ca2+ levels in MDA-MB-231 cells were studied using an ELISA kit and a fluorescent probe FluoriCa-8 AM, respectively.
The treatment of MDA-MB-231 cells with Okh for 6 h decreased the cAMP level by 20% as compared to untreated cells (Figure 3). A2BAR antagonist PSB-1115 also decreased the cAMP level by 41%.
While Okh and PSB-1115 decreased the intracellular Ca2+ levels to different extent, NECA increased intracellular Ca2+ levels twice as compared to control (Figure 4a,b). When MDA-MB-231 cells were pre-treated with Okh or PSB-1115, the rising effect of NECA was reduced by 59% and 93%, respectively (Figure 4c,d).
Based on the attenuation of Okh’s antiproliferative effect by PSB-1115 and its inhibition of NECA-induced Ca2+ influx, we concluded that A2BAR interaction contributes to Okh’s mechanism of action. Computational modeling was subsequently applied to validate this binding.

2.3. In Silico Modeling of Okh Binding with A2B Adenosine Receptor (A2BAR)

Previously, we employed a structure-based approach to identify the binding conformations of Cuc A0-1 and Dj A within the human A2BAR [23]. A receptor model for docking was constructed based on the cryo-EM structure of the A2BAR-Gs complex (PDB: 8HDP) [28]. The model was prepared by removing the Gs protein, reconstructing missing loops, and modeling disulfide bridges. Finally, it was embedded into an asymmetric mammalian membrane using CHARMM-GUI, following our established protocol [23,29,30]. In this study, we applied this approach to investigate the interaction of Okh with the A2BAR. Blind molecular docking revealed that the glycoside occupies the orthosteric binding site, a pocket common to receptor agonists and antagonists [31], as well as the allosteric site. Notably, the analysis identified two highly probable binding modes with comparable affinity: in mode A, the aglycone is immersed in the binding pocket, while in mode B, the carbohydrate moiety occupies the site, with docking scores of −12.83 and −10.05, respectively (Figure 5a and Figure 6a).
Binding mode A of Okh with the A2BAR closely resembles that of Cuc A0-1, with the aglycone deeply penetrating the orthosteric site [23]. However, the orientation of the carbohydrate chain differs radically. This binding mode shares several key interactions with Cuc A0-1, including hydrogen bonds (HBs) between the aglycone and functionally important residues [32,33]: 23-keto group with Ser279 (−2.3 kcal/mol) and 16-OAc group with His251 (−0.3 kcal/mol). His251 also mediates indirect interactions with Asn254 and Met182. Furthermore, the aglycone core forms a strong hydrophobic contact with Val250 (TM6)—a residue unique to A2BAR that is critical for receptor specificity—with an interaction surface of 32.13 Å2 and a substantial energy contribution of −4.20 kcal/mol. Concurrently, Trp247 (TM6) is engaged via tight hydrophobic interactions with the aglycone side chains, forming an interface of 32.12 Å2 and contributing −4.32 kcal/mol to the complex stability.
In contrast, the carbohydrate moiety of Okh forms a distinct network of hydrogen bonds between C-1 Xyl1 and Ile67 side chain, 2-OH group of Qui2 and Lys265, and 2-OH group of MeGlc4 and Lys170. The total contribution of these interactions to the complex stability was approximately −2.7 kcal/mol. Crucially, the primary stabilizing role in binding mode A is played by the glycoside’s sulfate group. This group forms an extensive network of strong hydrogen and ionic bonds with Lys267, Lys269, Asn273, and Ser68—residues that are known to be critical for high-affinity ligand binding to A2BAR. The individual energy contributions of these interactions were substantial: −14.79 kcal/mol, −15.68 kcal/mol, and −4.50 kcal/mol, respectively (Figure 5b).
These results indicate that this robust ionic network not only determines the specific conformation of Okh in binding mode A but is also the likely driver of its higher binding affinity and, consequently, its enhanced antagonist activity compared to other glycosides.
Given the identical carbohydrate chains of Okh and Dj A, the binding mode B of Okh shares several features with the previously reported Dj A/A2BAR complex [23]. In both complexes, the carbohydrate moiety occupies the receptor’s binding pocket. However, Okh’s carbohydrate chain penetrates more deeply, fully occupying the orthosteric site (Figure 6). This deeper insertion enables tighter attachment to TM6 and TM5 through HBs between 2-OH and C-3 of MeGlc4 and the highly conserved, functionally important residues Asn254 and Met182 [33,34], respectively (Figure 6b). Furthermore, the xylose residues contribute to receptor engagement, with Xyl3 and Xyl1 forming a HBs network to ECL2 and TM2 via Met179 and Ile67—residues that are also implicated in binding both nucleoside and non-nucleoside A2BAR agonists [35].
The analysis of non-covalent interactions reveals a critical distinction in Okh’s binding mode B compared to Dj A: the primary anchoring role is played by Lys269. This residue forms a strong HB (−12.5 kcal/mol) and salt bridges (−6.65 kcal/mol) with the Okh sulfate group, firmly securing the glycoside to ECL3. This interaction is further stabilized by Van der Waals (VdW) contacts from the Lys269 side chain (~13.8 Å2, −2.43 kcal/mol). Lys269, together with Lys267, is fundamental to A2BAR function [33] and has previously been identified as an anchoring point for selective, irreversibly bound ligands [36,37,38].
Concurrently, the sulfate group forms an additional strong HB with Gln6 in the N-terminal region (−4.6 kcal/mol). Beyond these polar interactions, the carbohydrate moiety is stabilized within the orthosteric site by an extensive network of VdW contacts with residues including Val250, Trp247, Leu272, and Ile67, with individual energy contributions ranging from −1.13 to −3.56 kcal/mol.
Furthermore, our modeling highlights the significant role of the receptor’s lipid environment. The phosphocholine head of a membrane lipid was found to fix the Okh sulfate group through a network of hydrogen and ionic bonds, contributing substantially (~−22.03 kcal/mol) to the complex stability (Figure 6b).

2.4. The Influence of Okh on p38/p-p38, ERK1/2/p-ERK1/2, Cyclins and CDKs Levels, and Cell Cycle Progression in MDA-MB-231 Cells

The modulation of A2BAR activity is related to the control of cell cycle progression and the regulation of cyclin levels [16,20,39], as well as to the regulation of the MAPK pathway (p-p38, p-JNK, p-ERK) in different cell types that are characterized by a high content of this receptor [40]. The encompassing of these cascades ultimately influences cell proliferation and migration. The effect of Okh on the ERK1/2 and p38, cyclins and CDKs protein levels in MDA-MB-231 cells as well as on cell cycle progression were studied using cisplatin as a positive control (Figure 7, Figure 8 and Figures S1 and S2).
Treatment of MDA-MB-231 cells with Okh for 24 h increased the ERK1/2 protein level by 31% and decreased the level of phosphorylated ERK1/2 by 12% (Figure 7a,b). Thus, Okh decreased the p-ERK1/2/ERK1/2 ratio to 0.78 as compared to 1.0 ratio in untreated cells (Figure 7c). The same treatment increased the p38 protein level by 30% and the p-p38 level by 8% (Figure 7d,e). The p-p38/p38 protein level ratio decreased to 0.8 as compared to 1.0 in untreated cells (Figure 7f). Cisplatin (10 µM) treatment for the same time period increased the ERK1/2 protein level by 87% and p-ERK1/2 level by 60% (Figure 7a,b). The p38 protein level was increased by 12% and the p-p38 level also increased by 13% after 24 h (Figure 7d,e). Exposure of MDA-MB-231 cells to cisplatin increased the p-ERK1/2/ERK1/2 ratio to 1.28 (Figure 7c) without changing p-p38/p38 level ratio after 24 h of treatment (Figure 7f).
Okh decreased the protein levels of cyclin A by 15% and cyclin E by 20% (Figure 8a,d), while not having a statistically significant effect on cyclins B and D (Figure 8b,c) levels after 24 h of exposition to MDA-MB-231 cells. Additionally, the glycoside decreased the CDK1, CDK4, and CDK6 levels by 23%, 28%, and 15% (Figure 8e,g,h), respectively. At the same time, an increase in CDK2 level by 23% was detected (Figure 8f). A 24 h exposure of MDA-MB-231 cells to 10 µM of cisplatin resulted in an increase in cyclins B and D levels by 140% and 18% (Figure 8b,c), correspondingly, while any significant changes were not observed in the levels of cyclins A and E (Figure 8a,d). The levels of CDK2 and CDK4 were increased by cisplatin by 127% and 36% (Figure 8f,g) and the CDK1 and CDK6 levels were reduced by 26% and 30%, respectively (Figure 8e,h).
The effect of Okh on MDA-MB-231 cell cycle progression was measured after 24 h of exposition (Figure 9). The glycoside significantly changed the proportion of the G1 phase and G2/M phase cells. The percentage of G1 phase cells was increased to 51% in Okh-treated cells as compared to 44% in the untreated cells. The ratios of G2/M phase cells were 24% and 20% in Okh-treated and untreated cells, respectively. The ratio of S-phase cells was reduced under Okh action to 31.9% as compared to untreated cells 35%. Cisplatin for 24 h of exposition significantly increased the number of cells in the S-phase (Figure 9).

2.5. Effect of Okh on MDA-MB-231 Cell Proliferation in the 5-ethynyl-2′-deoxyuridine (EdU) Incorporation Assay

A 5-Ethynyl-2′-deoxyuridine (EdU) incorporation assay was used to verify the effect of Okh on the proliferation of MDA-MB-231 cells (Figure 10) observed in a cell counting test. Cisplatin (10 μM) was used as a positive control. The percentages of EdU-positive cells among untreated cells were 34.4% after 24 and 48 h, and 30.7% after 72 h, respectively (Figure 10), whereas in Okh-treated cells the percentages were −26.8%, 20.7%, and 17.7% after 24, 48, and 72 h, respectively. The ratios of EdU-positive cells treated with Cispl (10 μM) were 9.7%, 9.3%, and 11.5% after 24, 48, and 72 h, respectively. Thus, Okh significantly decreased the incorporation of EdU in the cells as well as arrested the cell cycle progression that confirmed its antiproliferative effect.

2.6. The Apoptotic Pathway in MDA-MB-231 Cells Induced by Okh

Since Gq/phospholipase C/Ca2+ signaling pathway triggered by A2BAR modulation related to ROS formation [41], which in turn causes mitochondrial membrane damage and depolarization, releasing of apoptogenic proteins and as a result triggers apoptosis [42,43], the effects of Okh on ROS levels, mitochondrial membrane potential (MMP), the content of pro-apoptotic proteins and apoptosis induction were investigated. Cisplatin was used as a positive control.
The 3 h exposure of MDA-MB-231 cells to Okh significantly increased ROS levels by 76%, which remained elevated for 24 h. Cisplatin (10 μM) for 3 and 24 h increased ROS levels in tumor cells by 42% and 60%, respectively (Figure 11a).
The incubation of the cells with Okh for 3 and 24 h led to decreasing the MMP level by 22% and 23%, correspondingly (Figure 11b).
The influence of the glycoside on cytochrom C (Cyt C) and APAF-1 levels studied with ELISA (Figure 12a,b) was the increasing of the Cyt C concentration by 35% at 3 h of exposition, and this level remained stable during 6 and 24 h (Figure 12a). Cisplatin (10 µM) increased the Cyt C concentration by 35% and 24% after 3 and 24 h of incubation, correspondingly (Figure 12a).
Okh strongly increased the APAF-1 concentrations by 90% and 99% at 3 and 24 h of exposition, respectively. While the APAF-1 level was increased only by 28% after 6 h of incubation (Figure 12b). A similar undulating pattern was observed when the MDA-MB-231 cells were treated with cisplatin (10 µM).
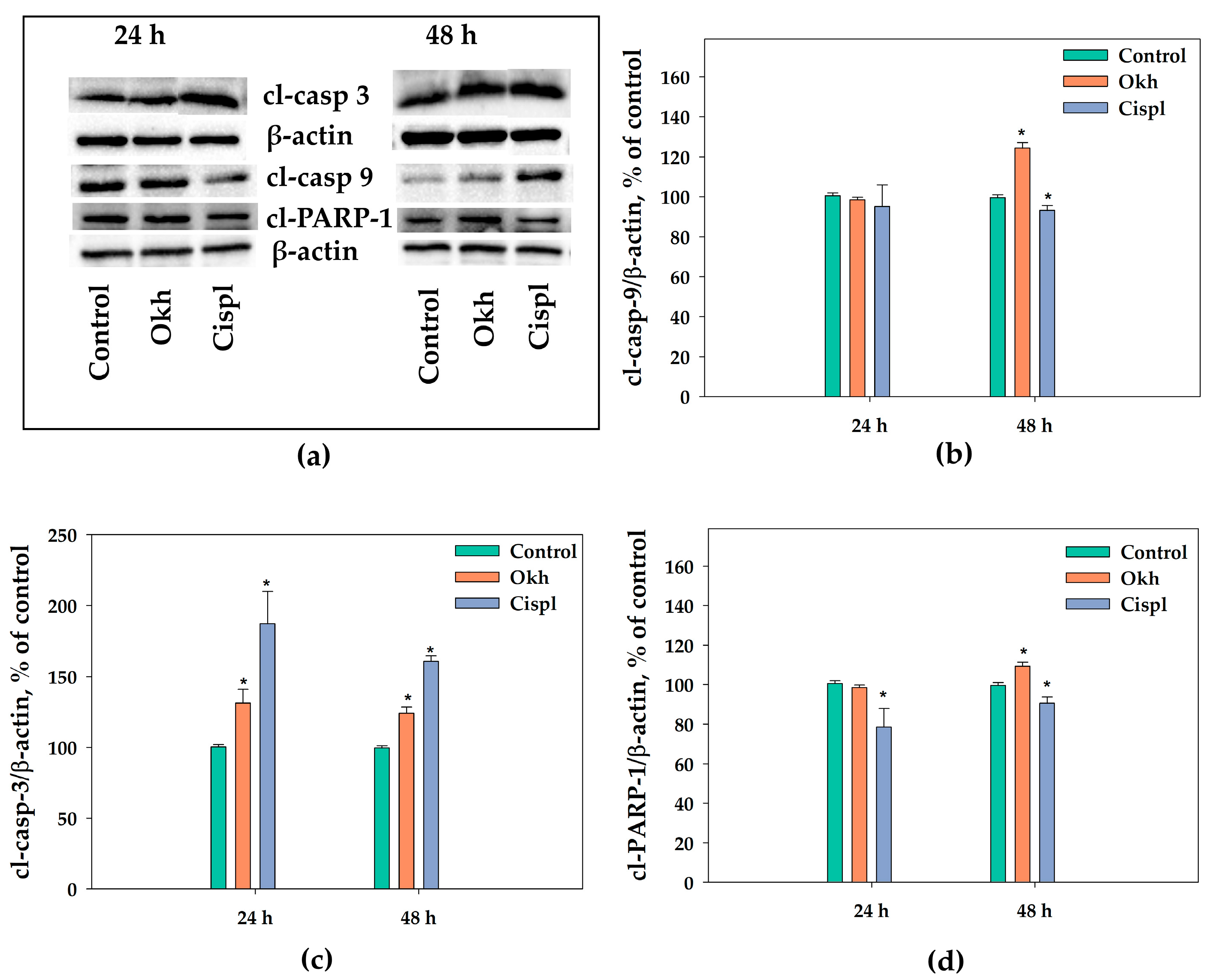
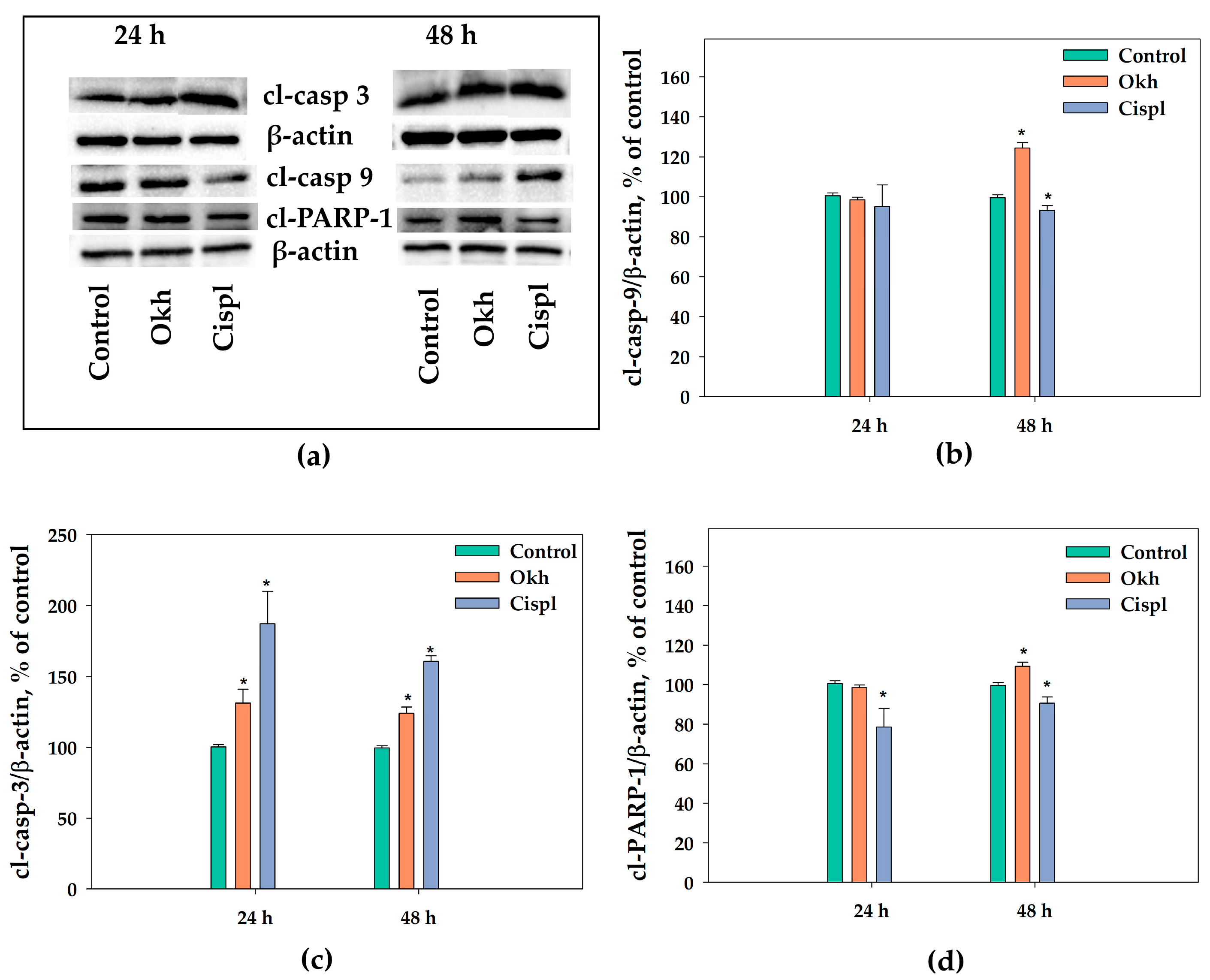
The incubation of MDA-MB-231 cells with Okh during 24 and 48 h increased the level of cleaved caspase-3 by 31% and 24%, respectively (Figure 13a,c and Figure S3), and of cl-caspase-9 and cl-PARP-1 levels by 24% and 9%, respectively, after 48 h as was detected by Western blotting (Figure 13a,b,d and Figure S3). On the contrary, cisplatin (10 µM) treatment resulted in the decreasing of cl-PARP-1 content by 22% and 9% after 24 and 48 h of exposition (Figure 13d).
The effect of Okh on the release of PS to the surface of the cytoplasmic membrane, indicating the induction of apoptosis in MDA-MB-231 cells, was assessed using the Annexin V-FITC fluorescent probe and flow cytometry technique. After 24 h of incubation the ratio of earlier apoptotic cells increased to ~10% (Figure 14).
All these data indicated that Okh demonstrated cytotoxic and antiproliferative properties in a monolayer culture of MDA-MB-231 cells and it was interesting to check its anticancer potential using 3D cultured cells.

2.7. The Anticancer Effect of Okh in 3D Culture of MDA-MB-231 Cells

The anticancer action of the glycoside was investigated in relation to 3D culture of MDA-MB-231 cells which formed spheroids in agarose microwells (Figure 15). Cuc A0-1 was used as a positive control in addition to cisplatin, because the former in vivo anticancer effect was reported [25]. The area of spheroids and its compactness index were calculated.
The area of untreated spheroids was stable during 72 h and decreased slightly by 96 h of observations (Figure 15d). At the same time, the compactness of the untreated spheroids did not change. Treatment with Okh (1 µM) significantly reduced the area of MDA-MB-231 spheroids by 30% after first 48 h. Despite the fact that the area of spheroids remained the same after the next 48 h, the compactness index increased significantly by 26% and became more than 1.5 (Figure 15c). Compactness index is related to form factor of spheroids. A filled circle will have a compactness of 1, with irregular objects or objects with holes having a value greater than 1. Both positive controls also increased the compactness indexes of spheroids, but it was insignificant, while Okh treatment significantly increase the compactness index that indicates the increase in irregularity of spheroid form.
The treatment with Cuc A0-1 (1 µM) reduced spheroid area by 17% and 28% after 48 and 96 h, respectively. Treatment with cisplatin (10 µM) reduced spheroid area by 29% and 45% after 48 and 96 h, respectively.
Additionally, MTT assay was used to analyze the influence of Okh on the spheroids (Table 1).
Formazan production in Okh-treated MDA-MB-231 spheroids decreased by 14.7% in comparison with untreated spheroids. Cuc A0-1 did not reduced this parameter, while cisplatin also decreased it by ~16%.
It should be noted that the MTT test should be applied for spheroids and interpreted very carefully [44]. In compact spheroids, the evaluation of formazan production may be underestimated due to the difficult penetration of the MTT reagent into the spheroid with dense intercellular contacts. On the contrary, in less compact spheroids, the MTT reagent will penetrate better, that will lead to higher values of formazan production. Thus, the data about formazan production, related to viability or cell amount in untreated MDA-MB-231 spheroids may be underestimated and, respectively, the anticancer effect of Okh may be more significant, but even with this assessment its effect is stronger than that of Cuc A0-1.

3. Discussion

The experiments in monolayer and 3D cultured MDA-MB-231 cells showed the promising antitumor potential of Okh, that is provided by both antiproliferative action and apoptosis induction in breast cancer cells. Competitive functional experiments with AR agonist NECA and A2BAR antagonist PSB-1115 confirmed that Okh targets the A2B adenosine receptor similarly to Cuc A0-1. However, Okh is more active than Cuc A0-1 due to its structural features. It possesses the same aglycone as Cuc A0-1 and a carbohydrate chain identical to that of Dj A [23]. Recently, it was discovered that both the glycosides are biased antagonists of A2BAR binding it via different modes. The aglycone of Cuc A0-1 drives its deep penetration to the orthosteric binding site of A2BAR, while Dj A binds this site through the network of intermolecular interactions formed by its sugar residues preferably. These facts forced us to conduct the in silico docking and dynamics experiments to model Okh binding with A2BAR. A key finding of this study is that Okh exhibits two distinct, equiprobable binding modes within the A2BAR orthosteric site, differentiated by a 180° rotation along its long axis. In mode A, the aglycone is inserted into the binding pocket, while in mode B, the carbohydrate chain occupies this site.
Although these modes share similarities with those of Cuc A0-1 and Dj A, significant differences were identified. In mode A, the linear carbohydrate chain of Okh allows its sulfate group to form an extensive, high-affinity network with key A2BAR residues—including Lys269, Ser68, and Asn273, in addition to the conserved interaction with Lys267 (similar to Cuc A0-1). This robust network, comprising multiple hydrogen and electrostatic bonds, not only alters the positioning of the carbohydrate chain at the pocket entrance compared to Cuc A0-1 but also explains Okh’s superior binding affinity.
In mode B, where the carbohydrate chain is fully immersed, a critical structural difference emerges. 23-keto group of the aglycone (posed extracellularly) creates an electrostatic clash with the carbonyl oxygen of Leu3, preventing it from adopting the conformation seen in the Dj A complex (which possesses a 23-OH group). Consequently, the Okh aglycone is repositioned, placing 23-keto group near a positively charged region formed by the Lys265 side chain.
The capacity of Okh to adopt dual binding modes finds support in prior structural studies of A2BAR. Specifically, cryo-EM structures of the partial agonist BAY60-6583 (PDB IDs 7XY6, 8HDO) demonstrate that it also binds in opposing orientations, one of which is hypothesized to be a less probable, high-energy state [28,45]. The confirmation of this phenomenon with a well-characterized ligand provides independent validation for the plausibility of our computational results with Okh.
Evaluation of the contribution of noncovalent interactions to the complex formation energies revealed that Okh binding mode A (−72.56 kcal/mol) is only marginally more favorable than mode B (−70.08 kcal/mol). This small energy difference (by approximately −2.50 kcal/mol) is consistent with the possibility of both complexes coexisting. However, a comparative analysis of the binding interfaces suggests a preference for mode A. The complex for mode A exhibits a larger ligand interface area (ΔSASA = 888.3 Å2 versus 630.5 Å2) and higher shape (Scompl = 0.70 vs. 0.63) and electrostatic complementarity (Ecompl = −0.62 vs. −0.38) (Table 2). The notably lower electrostatic complementarity for mode B implies that the equilibrium likely shifts toward mode A, where the aglycone is fully immersed in the binding pocket.
Importantly, the calculated binding energies for both Okh orientations are significantly lower than those for Cuc A0-1 (−33.77 kcal/mol) and Dj A (−28.64 kcal/mol) [23], computationally establishing Okh as the higher-affinity ligand. This conclusion is strongly supported by our experimental data, where Okh demonstrated superior cytotoxicity, antiproliferative activity, and apoptosis induction in A2BAR-overexpressing MDA-MB-231 cells.
Possible mechanisms of A2BAR-mediated anticancer action of Okh deduced by the analysis of obtained data is provided in Figure 16. Adenosine G protein-coupled receptors can mediate their effects through more than one signaling pathway. Activation of A2BAR can initiate the Gs/adenylate cyclase (AC)/cAMP and Gq/phospholipase C/Ca2+ signaling pathways [18]. Gq protein regulates the specific type of phospholipase C (PLC), which cleaves phosphatidylcholine (PC) to generate diacylglycerol (DAG) and phosphocholine. The resulting DAG is a secondary messenger that activates protein kinase C (PKC), which can influence ROS levels and vice versa, creating a feedback loop, affecting many cellular functions [41,46,47,48,49,50]. Increased ROS production can suppress the cell’s antioxidant defenses, causing mitochondrial damage and triggering a cascade of events that ultimately leads to a decrease in mitochondrial membrane potential [51,52,53,54]. In addition to the effect on the mitochondrial membrane, increased ROS levels can trigger the DNA damage, leading to cell cycle arrest and apoptotic cell death [55].
Our studies revealed that Okh increased ROS levels and caused mitochondrial membrane depolarization in MDA-MB-231 cells, effects that obviously occur downstream of A2BAR inhibition [56], because the glycoside acted similarly to the A2BAR inhibitor PSB-1115 and reduced the level of cAMP and blocked the calcium efflux induced by the agonist NECA in MDA-MB-231 cells [57]. ROS are one of the triggers for the initial step of mitochondrial pathway of apoptosis [58]. As a result of the launching of this cascade, cytochrome C is released from the mitochondria into the cytoplasm, where it binds to the protein APAF-1, forming a complex called the “apoptosome” followed by the activation of caspase-9, which leads to the subsequent activation of other caspases and the realization of the cell death program [59,60,61]. The increased levels of key apoptotic markers such as cl-caspase-3, cl-caspase-9, and cl-PARP-1 were detected in MDA-MB-231 cells treated with Okh, and it is consistent with previously reported data about triterpene glycosides action [25,62,63].
A2BAR can participate in cell cycle control via a specific mechanism involving the inhibition of MAPK signaling pathways [64] including the levels of cyclin-dependent kinase inhibitors, such as p21, which halt the cell cycle by binding to and inhibiting key cyclin-CDK complexes [65,66]. The RAF/MEK/ERK signaling pathway regulates diverse cellular processes as exemplified by cell proliferation, differentiation, motility, and survival. Notably, ERK1/2 kinases also have pro-apoptotic functions under certain conditions and enhanced ERK1/2 signaling can cause tumor cell death. Although the repertoire of the compounds which mediate ERK activation and apoptosis is expanding, and various anticancer compounds induce ERK activation while exerting their anti-proliferative effects, the mechanisms underlying ERK1/2-mediated cell death are still vague [67]. Notably, that cisplatin (in our experiments used as anticancer positive control) increased p-ERK in MDA-MB-231 cells. It was reported that activation of the ERK pathway is part of the cellular response to cisplatin treatment, which is involved in the synergistic anticancer effects of certain drug combinations, such as cisplatin and eribulin [68]. These facts evidenced the dual ambiguous role of increased ERK phosphorylation in regulation of cancer progression.
A2BAR signaling can influence cell cycle regulators, and targeting specific CDKs like CDK4/6, CDK2, or CDK7 is a separate but related strategy for controlling cell growth. Adenosine—the ligand of ARs—induced arrest in the cell-cycle progression in G0/G1 phase through Cdk4/cyclin D1-mediated pathway [69]. A2BAR antagonists induce cell cycle arrest by reducing cyclin D1/Cdk4 activity, leading to cell cycle arrest at the G1/S transition [70,71].
Our data showed that Okh influenced all these cascades and led to a decrease in the phosphorylation of ERK1/2 and p38 and significantly affected the cyclins and CDKs levels, which resulted in cell cycle arrest and proliferation blockade in the MDA-MB-231 cells. Thus, Okh can block the MDA-MB-231 cell proliferation and induce apoptotic death acting through specific membrane target, that make it a promising anti-breast cancer agent with anti-metastatic properties. High A2BAR level inherent for TNBC not only drives tumor proliferation and migration but also associates it with immunosuppressive tumor microenvironment (TME) and a significant downregulation of immune-related pathways [72,73]. On the other hand, inhibition of adenosine A2A or A2B receptors stimulates antitumor immunity and limits tumor progression [74]. Furthermore, it is known that inhibitors of A2BAR block the interaction of adenosine with this type of receptor, located on the surface of immune cells, that, in turn, can reduce inflammation and enhance antitumor immunity, making the immune system more effective in fighting cancer [17,19]. Thus, the low molecular weight selective A2BR antagonist TT-4 exerts immunosuppressive effects in the tumor microenvironment by prevention of the release of proangiogenic and immunosuppressive factors, that enhances the antitumor immune response, making this compound promising for cancer immunotherapy [75]. It is known that triterpene glycosides demonstrate immunomodulatory properties [76,77]. It was shown that cucumarioside A2-2, the glycoside which originated from Cucumaria japonica, specifically interacted with P2X receptors (predominantly P2X4) on membranes of mature macrophages that led to activation of cellular immunity [78]. Hence, a plausible hypothesis is that the anticancer efficacy of glycosides derives from their complex, simultaneous engagement of diverse membrane targets, secondary messengers, involving multiple signaling pathways. This multi-target mechanism elicits a complex organism-level response, rendering the investigation of their biological effects a highly promising research avenue. In this reason, the next step of the research should be investigation of the effects of Okh on cancer-associated immune cells in in vitro and in vivo experiments for more carefully understanding its potential as an anti-TNBC agent.

4. Materials and Methods

4.1. Reagents and Antibodies

Okhotoside A1-1 (Okh) were isolated from the sea cucumber Cucumaria djakonovi [24] and C. conicospermium [26] its purity was confirmed by 1H and 13C NMR spectroscopy and HR-ESI mass spectrometry. The compound was dissolved in ddH2O at a concentration of 1 μM and stored at +4 °C until use.
MEM medium (Biolot, St. Petersburg, Russia), fetal bovine serum (Biolot, St. Petersburg, Russia), penicilin-streptomycin (Biolot, St. Petersburg, Russia), 2′,7′-dichlorodihydrofluorescein diacetate (H2DCF-DA) (Sigma-Aldrich, St. Louis, MO, USA), tetramethylrhodamine ethyl ester (TMRE) (Lumiprobe, Moscow, Russia), FluoriCa-8 AM (Lumiprobe, Moscow, Russia), RIPA buffer (Sigma-Aldrich, St. Louis, MO, USA), PSB-1115 (Macklin, Shanghai, China), NECA (Calbiochem, San Diego, CA, USA), ELISA kit for cAMP (CEA003Ge, Cloud-Clone, Wuhan, Hubei, China), ELISA kit for APAF-1 (SEA054Hu, Cloud-Clone, Wuhan, Hubei, China), ELISA kit for cytochrome C (SEA594Hu, Cloud-Clone, Wuhan, Hubei, China), BSA (Sigma-Aldrich, St. Louis, MO, USA), ECL solution (Bio-Rad, Hercules, CA, USA), FluoriCa-8 AM (Lumiprobe, Moscow, Russia), Annexin-V AF 488 and propidium iodide kit (Lumiprobe, Moscow, Russia), 5-ethynyl-2′-deoxyuridine (EdU) (Lumiprobe, Moscow, Russia), Triton X-100 (Helicon, Moscow, Russia), Cu (II)-BTTAA complex (Lumiprobe, Moscow, Russia), sulfo-Cyanine5 Azide at 8 µM (Lumiprobe, Moscow, Russia), (5,6)-carboxyfluorescein succinimidyl ester (CFDA SE) dye (LumiTrace CFDA SE kit; Lumiprobe, Moscow, Russia) were used. Primary antibodies (Affinity, Shanghai, China), titer 1:1000, were used in the experiments: monoclonal mouse antibodies against p38 MAPK; polyclonal rabbit antibodies against phospho-p38 MAPK; polyclonal rabbit antibodies against caspase-9, polyclonal rabbit antibodies against caspase-3, polyclonal rabbit antibodies against PARP-1, polyclonal rabbit antibodies against ERK1/2; polyclonal rabbit antibodies against phospho-ERK1/2. Monoclonal mouse antibodies against beta-actine, titer 1:1000, secondary goat antibodies labeled with horseradish peroxidase against rabbit, titer 1:10,000 and secondary goat antibodies labeled with horseradish peroxidase against mouse, titer 1:10,000 (Cloud-Clone, Wuhan, Hubei, China) were used.

4.2. Cell Lines and Culture Conditions

The human triple negative breast adenocarcinoma MDA-MB-231 (HTB-26™) cell lines were sourced from the American Type Culture Collection (ATCC, Manassas, VA, USA). MDA-MB-231 cells were maintained as a monolayer under standard incubation conditions (37 °C, 5% CO2) in MEM medium enriched with 10% fetal bovine serum and 1% penicillin-streptomycin.

4.3. Analysis of ROS and MMP Levels

Reactive oxygen species (ROS) and mitochondrial membrane potential (MMP) levels were evaluated in MDA-MB-231 cells. Cells were plated at a density of 6 × 103 cells per well in 96-well plates and allowed to adhere overnight (24 h). Subsequently, the cells were exposed of the glycoside for durations of 3 or 24 h. ROS production was quantified by adding 20 μL of H2DCF-DA solution to achieve a final concentration of 10.0 μM. To measure MMP levels, TMRE was added at a final concentration of 500 nM. Fluorescence measurements were obtained using the PHERAstar FS high-speed plate reader (BMG Labtech, Ortenberg, Germany), with excitation at 485 nm and emission at 518 nm, after 30 min incubation at 37 °C in the dark. Data processing was performed with MARS Data Analysis software (version 3.01R2), and results were presented as percentages relative to the positive control.

4.4. Modeling and Molecular Docking of Okh Binding with A2BAR in Lipid Environment

The A2BAR model, embedded within an asymmetric mammalian plasma membrane, served as the receptor for docking. A blind molecular docking procedure was performed using MOE 2019.01 CCG software [79] to identify the most plausible binding modes and conformations of the glycoside. The protocol involved initial protein/ligand docking with the London dG scoring function (generating 30,000 poses), followed by post-docking refinement using the Affinity dG scoring function. The Okh molecule was positioned according to the most energetically favorable pose from the docking results. The starting system was protonated at pH 7.0 using the Amber14:EHT force field within MOE 2019.01 CCG, with partial charges for the glycoside calculated using the semiempirical molecular orbital suite MOPAC 7. The system was solvated with approximately 43,600 TIP3P water molecules [80] and 0.1 M KCl (resulting in 42–64 K+ and 6–10 Cl ions, depending on the specific system).
All-atom molecular dynamics (MD) simulations were carried out for 20 ns using the MOE 2019.01 CCG software package [79]. The simulations were performed at constant pressure (1 atm) and temperature (300 K) with a 2 fs time step. The Amber14:EHT force field was used for the protein [81] and lipids [82], while water was modeled with TIP3P [80]. The simulation protocol included steps of energy minimization, heating, and equilibration. Finally, the contributions of non-covalent intermolecular interactions to the free energy of complex formation were estimated.

4.5. Enzyme-Linked Immunosorbent Assay (ELISA)

MDA-MB-231 cells were seeded in 6-well plates at a density of 5 × 104 cells per well and incubated for 24 h at 37 °C in a 5% CO2 atmosphere until full adhesion. Subsequently, the cells were treated with 1 μM of Okh or 1 of μM PSB-1115 for 6 h. Untreated cells served as the control group. Cell lysis was performed by adding RIPA buffer, followed by centrifugation at 10,000× g for 15 min at 4 °C. The supernatants were collected and immediately analyzed using commercial ELISA kits for cAMP, APAF-1, or Cytochrome C, in accordance with the manufacturer’s protocols.

4.6. Calcium Level

MDA-MB-231 cells were seeded in 96-well plates at a density of 1 × 104 cells per well in MEM medium and incubated overnight at 37 °C under a 5% CO2 atmosphere. Following incubation, the cells were washed once with Hank’s Balanced Salt Solution (HBSS) at pH 7.4 and loaded with 5 μM FluoriCa-8 AM ester in the same buffer. After loading, the cells were further incubated for 40 min at 37 °C in 5% CO2, then washed with dye-free HBSS. The cells were subsequently treated with 1 μM of Okh and 1 μM of PSB-1115 for 30 min at 37 °C under 5% CO2. The standard agonist NECA (at a final concentration of 1 μM) was then added to each well via a robotic microinjector to stimulate intracellular Ca2+ elevation, following baseline recording. Fluorescence intensity was measured using a PHERAstar FS plate reader (BMG Labtech, Ortenberg, Germany), with excitation at 490 nm and emission at 510 nm. Data analysis was performed using MARS Data Analysis software version 3.01R2 (BMG Labtech, Ortenberg, Germany).

4.7. Cell Cycle Analysis

The experimental procedure followed a previously described protocol. MDA-MB-231 cells were seeded at a density of 3 × 104 cells/mL in a 12-well plate and allowed to attach for 24 h. Cells were then treated for 24 h with either 1 μM of Okh or 10 μM of cisplatin. Subsequently, the cells were harvested, washed twice with ice-cold phosphate-buffered saline (PBS), and fixed overnight in 70% ethanol at 4 °C. Following fixation, the cells were incubated with RNase A for 1 h at 37 °C and stained with propidium iodide solution for 5 min in the dark. Finally, samples were analyzed using a NovoCyte flow cytometer (Agilent, Santa Clara, CA, USA).

4.8. Western Blotting

MDA-MB-231 cells were plated at a density of 1 × 106 cells per well in Petri dishes and incubated for 24 h to allow adhesion. Subsequently, the cells were treated with 1 μM Okh or 10 μM of cisplatin and further incubated for an additional 24 h or 48 h. The cells were then harvested and lysed utilizing RIPA buffer. Protein extracts were separated via electrophoresis on a Precast gel Plus Tris-Gly 4–15% gel (WSHT, Shanghai, China) and subsequently transferred onto a 0.45 μm PVDF membrane (Merk Millipore Ltd., Carrigtwohill, Irland). The membrane was blocked with 5% BSA solution for 1 h, followed by overnight incubation with primary antibodies at 4 °C and a 1-h incubation with secondary antibodies at room temperature. Protein detection was achieved using ECL solution and visualized with a ChemiDoc MP imaging system (Bio-Rad, Hercules, CA, USA).

4.9. Apoptosis Analysis

Apoptosis was assessed by detecting phosphatidylserine exposure on the cell surface membrane via flow cytometry employing Annexin-V-AF 488/propidium iodide (PI) dual staining. MDA-MB-231 cells were seeded at a density of 3 × 104 cells/mL in 12-well plates and treated with 1 μM of the triterpene glycoside Okh or 10 μM of cisplatin for 24 h. Subsequently, cells were detached using trypsin-EDTA solution, labeled with the Annexin-V AF 488 kit and propidium iodide, and examined using a NovoCyte flow cytometer (Agilent, Santa Clara, CA, USA).

4.10. EdU Incorporation Assay

Cells were seeded in a 96-well plate and exposed to the compound at a concentration of 1 μM for durations of 24, 48, or 72 h. Prior to the end of the incubation period, 5-ethynyl-2′-deoxyuridine (EdU) dissolved in deionized water (dH2O) at 10 μM was added to each well and incubated for 2 h. Cells were then stained according to the manufacturer’s protocol. The cell monolayer was washed three times with phosphate-buffered saline (PBS) and permeabilized using 0.2% Triton X-100 in PBS for 30 min at room temperature. Subsequently, the cells underwent a click reaction staining with 10 mM ascorbic acid, 2 mM Cu(II)-BTTAA complex, and 8 μM sulfo-Cyanine5 Azide in PBS for 30 min at room temperature in the dark. Cells were washed twice with PBS, then stained with DAPI solution, and imaged under a fluorescence microscope. Images were captured at the same positions with excitation/emission wavelengths of λex = 630 nm and λem = 670 nm for sulfo-Cyanine5, and λex = 358 nm and λem = 461 nm for DAPI, using an MIB-2-FL fluorescent microscope (Lomo Microsystems, St. Petersburg, Russia). At least four positions per well were imaged, yielding approximately 15 images per incubation condition. The number of cells and EdU-positive cells per image was quantified using stardist for initial nucleus segmentation and CellProfiler for cell counting. The percentage of EdU-positive cells for each condition was subsequently determined.

4.11. Cell Counting Assay

MDA-MB-231 cells were seeded in 12-well plates at 100 cells per well in MEM medium and incubated overnight at 37 °C under a 5% CO2 atmosphere. The cells were then treated with 1 μM Okh, 1 μM PSB-1115, or 1 μM NECA. Incubation continued for 9 days in a CO2 incubator at 37 °C, after which cells were detached and counted using an inverted microscope (AxioVert, Carl Zeiss, Göttingen, Germany).

4.12. Colony Formation Assay

MDA-MB-231 cells were plated in 6-well plates at 150 cells per well and incubated overnight to allow attachment. Subsequently, the cells were treated with 1 μM Okh, 1 μM PSB-1115, and 1 μM NECA, either individually or in combination, and incubated for 14 days in a CO2 incubator. Colonies were fixed with methanol, stained with Giemsa reagent, and counted using a BIO-PRINT-Cx4 Edge-Fixed Pad-Container (Vilber, Collegien, France) with Bio-Vision Software user and service manual-v18.01 (Vilber, Collegien, France). Analysis of the colony-overgrown areas per well was performed using the free image processing software Fiji (ImageJ, version 1.53t, Wayne Rasband and contributors, National Institutes of Health, Bethesda, MD, USA). Results are expressed as mean values as a percentage of the control.

4.13. Three-Dimensional Culture of MDA-MB-231 Cells

The MSLA stamps for MDA-MB-231 spheroid formation were kindly provided by Mr. Artem Minin from M.N. Mikheev Institute of Metal Physics UB RAS (Ekaterinburg, Russia). MDA-MB-231 cell spheroids were generated in agarose microwells following a previously established procedure. In brief, 2.8% agarose heated to 60 °C was dispensed into each well of a 96-well plate, and MSLA-printed stamps featuring microcylinders were inserted and extracted once the agarose had solidified. Each well comprised 34 microwells with a 300 μm diameter. MDA-MB-231 cells were seeded at a density of 2 × 104 cells per well and subjected to gentle centrifugation to facilitate cell settlement into the microwells. After 24 h, 1 μM Okh was introduced, and daily monitoring was conducted utilizing an MIB-2-FL fluorescence microscope (Lomo Microsystems, St. Petersburg, Russia). The spheroid area and compactness were quantified employing CellProfiler software version 4.2.8. A minimum of 20 equivalent spheroids per condition were evaluated daily, with results expressed as mean ± SEM. Compactness was calculated as Perimeter2/4*π*Area [83].

4.14. Statistical Analysis

All experiments were conducted in triplicate. Data underwent statistical evaluation employing one-way ANOVA tests. Results are presented as mean ± SEM, with p ≤ 0.05 considered indicative of statistical significance. All analyses were carried out utilizing SigmaPlot 14.0 software (Systat Software Inc., San Jose, CA, USA).

5. Conclusions

This study identifies the triterpene glycoside Okh as a novel and potent dual-action anticancer agent against triple-negative MDA-MB-231 breast cancer cells. We have delineated a comprehensive mechanism of action, beginning with its specific targeting of the A2B adenosine receptor (A2BAR), a receptor overexpressed in this aggressive cancer subtype. A2BAR antagonism by Okh initiates a downstream signaling cascades that converge on two critical cellular processes: induction of mitochondrial apoptosis, and inhibition of proliferation and cell cycle progression. A surge in intracellular ROS caused by the glycoside, resulting in mitochondrial membrane depolarization, that launch the intrinsic apoptotic pathway. Concomitantly, Okh-mediated A2BAR blockade suppresses key oncogenic signaling pathways, as evidenced by reduced phosphorylation of ERK1/2 and p38 MAPK. This, coupled with a significant modulation of cyclins and CDKs, leads to cell cycle arrest and a blockade of proliferation. The specificity of this mechanism is confirmed by competitive binding assays, where Okh acts as a functional A2BAR antagonist. Notably, Okh exhibits superior activity compared to the related glycosides Cuc A0-1 and Dj A, due to “hybrid” structure, which combines the aglycone of one with the carbohydrate chain of another. Furthermore, the significant antitumor and anti-proliferative efficacy of Okh was validated not only in monolayer cultures but, more importantly, in a physiologically relevant 3D tumor spheroid model, where it effectively disrupted spheroid growth and integrity. The computational results confirm Okh’s status as a high-affinity ligand for the A2BAR, characterized by the lowest binding energy and the unique capability to adopt dual binding modes.

Supplementary Materials

The following supporting information can be downloaded at: https://www.mdpi.com/article/10.3390/md23120456/s1, Figure S1–S3: Images of original uncropped Western blots.

Author Contributions

Conceptualization, E.A.C., E.S.M., D.L.A., E.A.Y. and A.S.S.; methodology, E.A.C., E.S.M. and E.A.Z.; investigation, E.A.C., E.S.M., E.A.Z., E.A.P., L.E.N. and S.A.A.; writing—original draft preparation, E.A.C., E.S.M. and A.S.S.; review and editing, A.S.S., V.I.K. and D.L.A.; supervision, A.S.S. All authors have read and agreed to the published version of the manuscript.

Funding

The investigation was conducted with the financial support of a grant of the Russian Science Foundation No. 23-13-00078.

Institutional Review Board Statement

Not applicable.

Data Availability Statement

The original data are available from the corresponding author upon request.

Acknowledgments

Computer MD simulations and theoretical studies were performed using the cluster CCU “Far Eastern computing resource” FEB RAS (Vladivostok).

Conflicts of Interest

The authors declare no conflicts of interest.

References

  1. Kim, J.; Harper, A.; McCormack, V.; Sung, H.; Houssami, N.; Morgan, E.; Mutebi, M.; Garvey, G.; Soerjomataram, I.; Fidler-Benaoudia, M.M. Global patterns and trends in breast cancer incidence and mortality across 185 countries. Nat. Med. 2025, 31, 1154–1162. [Google Scholar] [CrossRef]
  2. Zagami, P.; Carey, L.A. Triple negative breast cancer: Pitfalls and progress. NPJ Breast Cancer 2022, 8, 95. [Google Scholar] [CrossRef] [PubMed]
  3. Mattar, A.; Antonini, M.; Amorim, A.G.; Teixeira, M.D.; de Resende, C.A.A.; Cavalcante, F.P.; Zerwes, F.; Arakelian, R.; Millen, E.C.; Brenelli, F.P.; et al. Overall survival and economic impact of triple-negative breast cancer in Brazilian public health care: A real-world study. JCO Glob. Oncol. 2025, 11, 2400340. [Google Scholar] [CrossRef] [PubMed]
  4. Ueng, S.H.; Chen, S.C.; Chang, Y.S.; Hsueh, S.; Lin, Y.C.; Chien, H.P.; Lo, Y.F.; Shen, S.C.; Hsueh, C. Phosphorylated mTOR expression correlates with poor outcome in early-stage triple negative breast carcinomas. Int. J. Clin. Exp. Pathol. 2012, 5, 806–813. [Google Scholar] [PubMed]
  5. Walsh, S.; Flanagan, L.; Quinn, C.; Evoy, D.; McDermott, E.W.; Pierce, A.; Duffy, M.J. mTOR in breast cancer: Differential expression in triple-negative and non-triple-negative tumors. Breast 2012, 21, 178–182. [Google Scholar] [CrossRef]
  6. Mustafa, M.; Abbas, K.; Alam, M.; Ahmad, W.; Moinuddin; Usmani, N.; Ali Siddiqui, S.; Habib, S. Molecular pathways and therapeutic targets linked to triple-negative breast cancer (TNBC). Mol. Cell. Biochem. 2024, 479, 895–913. [Google Scholar] [CrossRef]
  7. Leon-Ferre, R.A.; Jonas, S.F.; Salgado, R.; Loi, S.; de Jong, V.; Carter, J.M.; Nielsen, T.O.; Leung, S.; Riaz, N.; Chia, S.; et al. Tumor-Infiltrating Lymphocytes in Triple-Negative Breast Cancer. JAMA 2024, 331, 1135–1144. [Google Scholar] [CrossRef]
  8. Qu, P.; Li, X.; Liu, J.; Su, X.; Han, S.; Wang, Y.; Luo, Y.; Li, J.; Ma, C.; Deng, S.; et al. Application of gene editing technology based on targeted delivery materials in TNBC. ACS Omega 2025, 10, 42110–42126. [Google Scholar] [CrossRef]
  9. Subhan, M.A.; Torchilin, V.P. Advances in siRNA drug delivery strategies for targeted TNBC therapy. Bioengineering 2024, 11, 830. [Google Scholar] [CrossRef]
  10. Marei, H.E.; Bedair, K.; Hasan, A.; Al-Mansoori, L.; Caratelli, S.; Sconocchia, G.; Gaiba, A.; Cenciarelli, C. Current status and innovative developments of CAR-T-cell therapy for the treatment of breast cancer. Cancer Cell Int. 2025, 25, 3. [Google Scholar] [CrossRef]
  11. Nagayama, A.; Vidula, N.; Ellisen, L.; Bardia, A. Novel antibody-drug conjugates for triple negative breast cancer. Ther. Adv. Med. Oncol. 2020, 12, 1758835920915980. [Google Scholar] [CrossRef]
  12. Panjehpour, M.; Castro, M.; Klotz, K.N. The human breast cell line MDA-MB-231 expresses endogenous A2B adenosine receptors mediating a Ca2+ signal. Br. J. Pharmacol. 2005, 155, 211–218. [Google Scholar] [CrossRef] [PubMed]
  13. Lan, J.; Lu, H.; Samanta, D.; Salman, S.; Lu, Y.; Semenza, G.L. Hypoxia-inducible factor 1-dependent expression of adenosine receptor 2B promotes breast cancer stem cell enrichment. Proc. Natl. Acad. Sci. USA 2018, 115, E9640–E9648, Erratum in Proc. Natl. Acad. Sci. USA2022, 119, e2210925119. [Google Scholar] [CrossRef] [PubMed]
  14. Kasama, H.; Sakamoto, Y.; Kasamatsu, A.; Okamoto, A.; Koyama, T.; Minakawa, Y.; Ogawara, K.; Yokoe, H.; Shiiba, M.; Tanzawa, H.; et al. Adenosine A2B receptor promotes progression of human oral cancer. BMC Cancer 2015, 15, 563. [Google Scholar] [CrossRef]
  15. Sepúlveda, C.; Palomo, I.; Fuentes, E. Role of adenosine A2B receptor overexpression in tumor progression. Life Sci. 2016, 166, 92–99. [Google Scholar] [CrossRef] [PubMed]
  16. Zhou, Y.; Chu, X.; Deng, F.; Tong, L.; Tong, G.; Yi, Y.; Liu, J.; Tang, J.; Tang, Y.; Xia, Y.; et al. The adenosine A2B receptor promotes tumor progression of bladder urothelial carcinoma by enhancing MAPK signaling pathway. Oncotarget 2017, 8, 48755–48768. [Google Scholar] [CrossRef]
  17. Gao, Z.-G.; Jacobson, K.A. A2B adenosine receptor and cancer. Int. J. Mol. Sci. 2019, 20, 5139. [Google Scholar] [CrossRef]
  18. Aherne, C.M.; Kewley, E.M.; Eltzschig, H.K. The resurgence of A2B adenosine receptor signaling. Biochim. Biophys. Acta (BBA)-Biomembr. 2011, 1808, 1329–1339. [Google Scholar] [CrossRef]
  19. Gao, Z.G.; Gao, R.R.; Meyer, C.K.; Jacobson, K.A. A2B adenosine receptor-triggered intracellular calcium mobilization: Cell type-dependent involvement of Gi, Gq, Gs proteins and protein kinase C. Purinergic Signal. 2025, 21, 499–513. [Google Scholar] [CrossRef]
  20. Wilkat, M.; Bast, H.; Drees, R.; Dünser, J.; Mahr, A.; Azoitei, N.; Marienfeld, R.; Frank, F.; Brhel, M.; Ushmorov, A.; et al. Adenosine receptor 2B activity promotes autonomous growth, migration as well as vascularization of head and neck squamous cell carcinoma cells. Int. J. Cancer 2020, 147, 202–217. [Google Scholar] [CrossRef]
  21. Sui, Y.; Liu, J.; Zhang, J.; Zheng, Z.; Wang, Z.; Jia, Z.; Meng, Z. Expression and gene regulation network of adenosine receptor A2B in lung adenocarcinoma: A potential diagnostic and prognostic biomarker. Front. Mol. Biosci. 2021, 8, 663011. [Google Scholar] [CrossRef]
  22. Neumann, C.A.; Levine, K.; Oesterreich, S. Targeting adenosine receptor 2B in triple negative breast cancer. J. Cancer Metastasis Treat. 2018, 4, 13. [Google Scholar] [CrossRef]
  23. Zelepuga, E.A.; Chingizova, E.A.; Menchinskaya, E.S.; Pislyagin, E.A.; Avilov, S.A.; Kalinin, V.I.; Aminin, D.L.; Silchenko, A.S. Anticancer activity of triterpene glycosides cucumarioside A0-1 and djakonovioside A against MDA-MB-231 as A2B adenosine receptor antagonists. Int. J. Mol. Sci. 2025, 26, 10327. [Google Scholar] [CrossRef]
  24. Silchenko, A.S.; Kalinovsky, A.I.; Avilov, S.A.; Popov, R.S.; Dmitrenok, P.S.; Chingizova, E.A.; Menchinskaya, E.S.; Panina, E.G.; Stepanov, V.G.; Kalinin, V.I.; et al. Djakonoviosides A, A1, A2, B1–B4—Triterpene monosulfated tetra- and pentaosides from the sea cucumber Cucumaria djakonovi: The first finding of a hemiketal fragment in the aglycones; activity against human breast cancer cell lines. Int. J. Mol. Sci. 2023, 24, 11128. [Google Scholar] [CrossRef] [PubMed]
  25. Menchinskaya, E.S.; Chingizova, E.A.; Pislyagin, E.A.; Yurchenko, E.A.; Klimovich, A.A.; Zelepuga, E.A.; Aminin, D.L.; Avilov, S.A.; Silchenko, A.S. Mechanisms of action of sea cucumber triterpene glycosides cucumarioside A0-1 and djakonovioside A against human triple-negative breast cancer. Mar. Drugs 2024, 22, 474. [Google Scholar] [CrossRef] [PubMed]
  26. Silchenko, A.S.; Chingizova, E.A.; Menchinskaya, E.S.; Zelepuga, E.A.; Kalinovsky, A.I.; Avilov, S.A.; Tabakmakher, K.M.; Popov, R.S.; Dmitrenok, P.S.; Dautov, S.S.; et al. Composition of triterpene glycosides of the Far Eastern sea cucumber Cucumaria conicospermium Levin et Stepanov; structure elucidation of five minor conicospermiumosides A3-1, A3-2, A3-3, A7-1, and A7-2; cytotoxicity of the glycosides against human breast cancer cell lines; structure–activity relationships. Mar. Drugs 2024, 22, 560. [Google Scholar] [CrossRef]
  27. Schiedel, A.C.; Lacher, S.K.; Linnemann, C.; Knolle, P.A.; Müller, C.E. Antiproliferative effects of selective adenosine receptor agonists and antagonists on human lymphocytes: Evidence for receptor-independent mechanisms. Purinergic Signal. 2013, 9, 351–365. [Google Scholar] [CrossRef] [PubMed]
  28. Cai, H.; Xu, Y.; Guo, S.; He, X.; Sun, J.; Li, X.; Li, C.; Yin, W.; Cheng, X.; Jiang, H.; et al. Structures of adenosine receptor A2BAR bound to endogenous and synthetic agonists. Cell Discov. 2022, 8, 140. [Google Scholar] [CrossRef]
  29. Jo, S.; Kim, T.; Iyer, V.G.; Im, W. CHARMM-GUI: A web-based graphical user interface for CHARMM. J. Comput. Chem. 2008, 11, 1859–1865. [Google Scholar] [CrossRef]
  30. Qi, Y.; Ingólfsson, H.I.; Cheng, X.; Lee, J.; Marrink, S.J.; Im, W. CHARMM-GUI Martini Maker for Coarse-Grained Simulations with the Martini Force Field. J. Chem. Theory Comput. 2015, 11, 4486–4494. [Google Scholar] [CrossRef]
  31. Keränen, H.; Gutiérrez-de-Terán, H.; Aqvist, J. Structural and energetic effects of A2A adenosine receptor mutations on agonist and antagonist binding. PLoS ONE 2014, 9, 108492. [Google Scholar] [CrossRef]
  32. Thimm, D.; Schiedel, A.C.; Sherbiny, F.F.; Hinz, S.; Hochheiser, K.; Bertarelli, D.C.; Maass, A.; Müller, C.E. Ligand-specific binding and activation of the human adenosine A(2B) receptor. Biochemistry 2013, 52, 726–740. [Google Scholar] [CrossRef]
  33. Dal Ben, D.; Buccioni, M.; Lambertucci, C.; Thomas, A.; Volpini, R. Simulation and comparative analysis of binding modes of nucleoside and non-nucleoside agonists at the A2B adenosine receptor. In Silico Pharmacol. 2013, 1, 24. [Google Scholar] [CrossRef]
  34. Mansourian, M.; Fassihi, A.; Saghaie, L.; Madadkar-Sobhani, A.; Mahnam, K.; Abbasi, M. QSAR and docking analysis of A2B adenosine receptor antagonists based on non-xanthine scaffold. Med. Chem. Res. 2015, 24, 394–407. [Google Scholar] [CrossRef]
  35. Sherbiny, F.F.; Schiedel, A.C.; Maass, A.; Müller, C.E. Homology modelling of the human adenosine A2B receptor based on X-ray structures of bovine rhodopsin, the β2-adrenergic receptor and the human adenosine A2A receptor. J. Comput. Aided Mol. Des. 2009, 23, 807–828. [Google Scholar] [CrossRef] [PubMed]
  36. Beerkens, B.L.H.; Wang, X.; Avgeropoulou, M.; Adistia, L.N.; van Veldhoven, J.P.D.; Jespers, W.; Liu, R.; Heitman, L.H.; IJzerman, A.P.; van der Es, D. Development of Subtype-Selective Covalent Ligands for the Adenosine A2B Receptor by Tuning the Reactive Group. RSC Med. Chem. 2022, 13, 850–856. [Google Scholar] [CrossRef] [PubMed]
  37. Temirak, A.; Schlegel, J.G.; Voss, J.H.; Vaaßen, V.J.; Vielmuth, C.; Claff, T.; Müller, C.E. Irreversible Antagonists for the Adenosine A2B Receptor. Molecules 2022, 27, 3792. [Google Scholar] [CrossRef] [PubMed]
  38. Beerkens, B.L.H.; Andrianopoulou, V.; Wang, X.; Liu, R.; van Westen, G.J.P.; Jespers, W.; IJzerman, A.P.; Heitman, L.H.; van der Es, D. N-Acyl-N-Alkyl Sulfonamide Probes for Ligand-Directed Covalent Labeling of GPCRs: The Adenosine A2B Receptor as Case Study. ACS Chem. Biol. 2024, 19, 1554–1562. [Google Scholar] [CrossRef]
  39. Oh, Y.T.; Lee, N.K. A2B adenosine receptor stimulation down-regulates M-CSF-mediated osteoclast proliferation. Biomed. Sci. Lett. 2017, 23, 194–200. [Google Scholar] [CrossRef]
  40. Zhou, Y.; Chu, X.; Yi, Y.; Hao, Z.; Zheng, X.; Yuxin, T.; Dai, Y. MRS1754 inhibits proliferation and migration of bladder urothelial carcinoma by regulating mitogen-activated protein kinase pathway. J. Cell. Physiol. 2019, 234, 11360–11368. [Google Scholar] [CrossRef]
  41. Navarro-Lérida, I.; Aragay, A.M.; Asensio, A.; Ribas, C. Gq signaling in autophagy control: Between chemical and mechanical cues. Antioxidants 2022, 11, 1599. [Google Scholar] [CrossRef]
  42. Ferraro, E.; Pulicati, A.; Cencioni, M.T.; Cozzolino, M.; Navoni, F.; di Martino, S.; Nardacci, R.; Carrì, M.T.; Cecconi, F. Apoptosome-deficient cells lose cytochrome c through proteasomal degradation but survive by autophagy-dependent glycolysis. Mol. Biol. Cell 2008, 19, 3576–3588. [Google Scholar] [CrossRef]
  43. Chiu, S.M.; Oleinick, N.L. Dissociation of mitochondrial depolarization from cytochrome c release during apoptosis induced by photodynamic therapy. Br. J. Cancer 2001, 84, 1099–1106. [Google Scholar] [CrossRef]
  44. Walzl, A.; Unger, C.; Kramer, N.; Unterleuthner, D.; Scherzer, M.; Hengstschläger, M.; Schwanzer-Pfeiffer, D.; Dolznig, H. The resazurin reduction assay can distinguish cytotoxic from cytostatic compounds in spheroid screening assays. J. Biomol. Screen. 2014, 19, 1047–1059. [Google Scholar] [CrossRef] [PubMed]
  45. Tandarić, T.; Gutiérrez-de-Terán, H. Ligand and Residue Free Energy Perturbations Solve the Dual Binding Mode Proposal for an A2BAR Partial Agonist. J. Phys. Chem. B 2025, 129, 886. [Google Scholar] [CrossRef] [PubMed]
  46. Fazio, A.; Evangelisti, C.; Cappellini, A.; Mongiorgi, S.; Koufi, F.-D.; Neri, I.; Marvi, M.V.; Russo, M.; Ghigo, A.; Manzoli, L.; et al. Emerging roles of phospholipase C beta isozymes as potential biomarkers in cardiac disorders. Int. J. Mol. Sci. 2023, 24, 13096. [Google Scholar] [CrossRef] [PubMed]
  47. Meij, J.T.; Suzuki, S.; Panagia, V.; Dhalla, N.S. Oxidative stress modifies the activity of cardiac sarcolemmal phospholipase C. Biochim. Biophys. Acta 1994, 1199, 6–12. [Google Scholar] [CrossRef]
  48. Zhao, J.; Zhao, B.; Wang, W.; Huang, B.; Zhang, S.; Miao, J. Phosphatidylcholine-specific phospholipase C and ROS were involved in chicken blastodisc differentiation to vascular endothelial cells. J. Cell. Biochem. 2007, 102, 421–428. [Google Scholar] [CrossRef]
  49. Inoguchi, T.; Sonta, T.; Tsubouchi, H.; Etoh, T.; Kakimoto, M.; Sonoda, N.; Sato, N.; Sekiguchi, N.; Kobayashi, K.; Sumimoto, H.; et al. Protein kinase C-dependent increase in reactive oxygen species (ROS) production in vascular tissues of diabetes: Role of vascular NAD(P)H oxidase. J. Am. Soc. Nephrol. 2003, 14, S227–S232. [Google Scholar] [CrossRef]
  50. Pan, D.; Xu, L.; Guo, M. The role of protein kinase C in diabetic microvascular complications. Front. Endocrinol. 2022, 13, 973058. [Google Scholar] [CrossRef]
  51. Guo, C.; Sun, L.; Chen, X.; Zhang, D. Oxidative stress, mitochondrial damage and neurodegenerative diseases. Neural Regen. Res. 2013, 8, 2003–2014. [Google Scholar] [CrossRef]
  52. Villalpando-Rodriguez, G.E.; Gibson, S.B. Reactive oxygen species (ROS) regulates different types of cell death by acting as a rheostat. Oxid. Med. Cell. Longev. 2021, 2021, 9912436. [Google Scholar] [CrossRef]
  53. Arfin, S.; Jha, N.K.; Jha, S.K.; Kesari, K.K.; Ruokolainen, J.; Roychoudhury, S.; Rathi, B.; Kumar, D. Oxidative stress in cancer cell metabolism. Antioxidants 2021, 10, 642. [Google Scholar] [CrossRef] [PubMed]
  54. Stowe, D.F.; Camara, A.K. Mitochondrial reactive oxygen species production in excitable cells: Modulators of mitochondrial and cell function. Antioxid. Redox Signal. 2009, 11, 1373–1414. [Google Scholar] [CrossRef] [PubMed]
  55. Wang, B.; Xiao, Z.; Ko, H.L.; Ren, E.C. The p53 response element and transcriptional repression. Cell Cycle 2010, 9, 870–879. [Google Scholar] [CrossRef] [PubMed]
  56. Sanchez-Guerrero, G.; Umbaugh, D.S.; Ramachandran, A.A.; Artigues, A.; Jaeschke, H.; Ramachandran, A. Translocation of adenosine A2B receptor to mitochondria influences cytochrome P450 2E1 activity after acetaminophen overdose. Livers 2024, 4, 15–30. [Google Scholar] [CrossRef]
  57. Asano, T.; Noda, Y.; Tanaka, K.I.; Yamakawa, N.; Wada, M.; Mashimo, T.; Fukunishi, Y.; Mizushima, T.; Takenaga, M. A2B adenosine receptor inhibition by the dihydropyridine calcium channel blocker nifedipine involves colonic fluid secretion. Sci. Rep. 2020, 10, 3555. [Google Scholar] [CrossRef]
  58. Baev, A.Y.; Vinokurov, A.Y.; Potapova, E.V.; Dunaev, A.V.; Angelova, P.R.; Abramov, A.Y. Mitochondrial permeability transition, cell death and neurodegeneration. Cells 2024, 13, 648. [Google Scholar] [CrossRef]
  59. Alshehri, B. Cytochrome c and cancer cell metabolism: A new perspective. Saudi Pharm. J. 2024, 32, 102194. [Google Scholar] [CrossRef]
  60. Li, P.; Nijhawan, D.; Budihardjo, I.; Srinivasula, S.M.; Ahmad, M.; Alnemri, E.S.; Wang, X. Cytochrome c and dATP-dependent formation of Apaf-1/caspase-9 complex initiates an apoptotic protease cascade. Cell 1997, 91, 479–489. [Google Scholar] [CrossRef]
  61. Cai, J.; Yang, J.; Jones, D.P. Mitochondrial control of apoptosis: The role of cytochrome C. Biochim. Biophys. Acta 1998, 1366, 139–149. [Google Scholar] [CrossRef] [PubMed]
  62. Dyshlovoy, S.A.; Hauschild, J.; Kriegs, M.; Hoffer, K.; Burenina, O.Y.; Strewinsky, N.; Malyarenko, T.V.; Kicha, A.A.; Ivanchina, N.V.; Stonik, V.A.; et al. Anticancer activity of triterpene glycosides from the sea star Solaster pacificus. Sci. Rep. 2025, 15, 28410. [Google Scholar] [CrossRef] [PubMed]
  63. Takahashi, N.; Iguchi, T.; Kuroda, M.; Mishima, M.; Mimaki, Y. Novel oleanane-type triterpene glycosides from the Saponaria officinalis L. seeds and apoptosis-inducing activity via mitochondria. Int. J. Mol. Sci. 2022, 23, 2047. [Google Scholar] [CrossRef] [PubMed]
  64. Meloche, S.; Pouysségur, J. The ERK1/2 mitogen-activated protein kinase pathway as a master regulator of the G1- to S-phase transition. Oncogene 2007, 26, 3227–3239. [Google Scholar] [CrossRef]
  65. Al Bitar, S.; Gali-Muhtasib, H. The role of the cyclin dependent kinase inhibitor p21cip1/waf1 in targeting cancer: Molecular mechanisms and novel therapeutics. Cancers 2019, 11, 1475. [Google Scholar] [CrossRef]
  66. Abbas, T.; Dutta, A. p21 in cancer: Intricate networks and multiple activities. Nat. Rev. Cancer 2009, 9, 400–414. [Google Scholar] [CrossRef]
  67. Sugiura, R.; Satoh, R.; Takasaki, T. ERK: A double-edged sword in cancer. ERK-dependent apoptosis as a potential therapeutic strategy for cancer. Cells 2021, 10, 2509. [Google Scholar] [CrossRef]
  68. Ko, H.; Lee, M.; Cha, E.; Sul, J.; Park, J.; Lee, J. Eribulin mesylate improves cisplatin-induced cytotoxicity of triple-negative breast cancer by extracellular signal-regulated kinase 1/2 activation. Medicina 2022, 58, 547. [Google Scholar] [CrossRef]
  69. Aghaei, M.; Karami-Tehrani, F.; Panjehpour, M.; Salami, S.; Fallahian, F. Adenosine induces cell-cycle arrest and apoptosis in androgen-dependent and -independent prostate cancer cell lines, LNcap-FGC-10, DU-145, and PC3. Prostate 2012, 72, 361–375. [Google Scholar] [CrossRef]
  70. Shirali, S.; Aghaei, M.; Shabani, M.; Fathi, M.; Sohrabi, M.; Moeinifard, M. Adenosine induces cell cycle arrest and apoptosis via cyclinD1/Cdk4 and Bcl-2/Bax pathways in human ovarian cancer cell line OVCAR-3. Tumour Biol. 2013, 34, 1085–1095. [Google Scholar] [CrossRef]
  71. Jafari, S.M.; Joshaghani, H.R.; Panjehpour, M.; Aghaei, M. A2B adenosine receptor agonist induces cell cycle arrest and apoptosis in breast cancer stem cells via ERK1/2 phosphorylation. Cell. Oncol. 2018, 41, 61–72. [Google Scholar] [CrossRef]
  72. Li, P.; Pang, K.L.; Chen, S.J.; Yang, D.; Nai, A.T.; He, G.C.; Fang, Z.; Yang, Q.; Cai, M.B.; He, J.Y. ADORA2B promotes proliferation and migration in head and neck squamous cell carcinoma and is associated with immune infiltration. BMC Cancer 2025, 25, 673. [Google Scholar] [CrossRef]
  73. Strickland, L.N.; Faraoni, E.Y.; Ruan, W.; Yuan, X.; Eltzschig, H.K.; Bailey-Lundberg, J.M. The resurgence of the Adora2b receptor as an immunotherapeutic target in pancreatic cancer. Front. Immunol. 2023, 14, 1163585. [Google Scholar] [CrossRef] [PubMed]
  74. Chen, S.; Akdemir, I.; Fan, J.; Linden, J.; Zhang, B.; Cekic, C. The expression of adenosine A2B receptor on antigen-presenting cells suppresses CD8+ T-cell responses and promotes tumor growth. Cancer Immunol. Res. 2020, 8, 1064–1074. [Google Scholar] [CrossRef] [PubMed]
  75. Fong, L.; Salkeni, M.A.; El-Khoueiry, A.B.; Grewal, J.S.; Tester, W.J.; Pachynski, R.K.; Frigo, D.; Panaretakis, T.; Pastore, D.R.E.; Kramer, R.A.; et al. ADPORT-601: First-in-human study of adenosine 2A (A2A) and adenosine 2B (A2B) receptor antagonists in patients with select advanced solid tumors. J. Clin. Oncol. 2024, 42, 16. [Google Scholar] [CrossRef]
  76. Aminin, D.L.; Chaykina, E.L.; Agafonova, I.G.; Avilov, S.A.; Kalinin, V.I.; Stonik, V.A. Antitumor activity of the immunomodulatory lead Cumaside. Int. Immunopharmacol. 2010, 10, 648–654. [Google Scholar] [CrossRef]
  77. Aminin, D. Immunomodulatory properties of sea cucumber triterpene glycosides. In Marine and Freshwater Toxins; Gopalkrishnakone, P., Haddad, V., Jr., Tubaro, A., Kim, E., Kem, W., Eds.; Springer Science + Business Media: Dordrecht, The Netherlands, 2016; pp. 381–401. [Google Scholar]
  78. Aminin, D.; Pisliagin, E.; Astashev, M.; Es’kov, A.; Kozhemyako, V.; Avilov, S.; Zelepuga, E.; Yurchenko, E.; Kaluzhskiy, L.; Kozlovskaya, E.; et al. Glycosides from edible sea cucumbers stimulate macrophages via purinergic receptors. Sci. Rep. 2016, 6, 39683. [Google Scholar] [CrossRef]
  79. Molecular Operating Environment (MOE); Version 2019.01; Chemical Computing Group ULC: Montreal, QC, Canada, 2021.
  80. Jorgensen, W.L.; Chandrasekhar, J.; Madura, J.D.; Impey, R.W.; Klein, M.L. Comparison of simple potential functions for simulating liquid water. J. Chem. Phys. 1983, 79, 926–935. [Google Scholar] [CrossRef]
  81. Case, D.A.; Babin, V.; Berryman, J.T.; Betz, R.M.; Cai, Q.; Cerutti, D.S.; Cheatham, T.E., III; Darden, T.A.; Duke, R.E.; Gohlke, H.; et al. AMBER 14; University of California: San Francisco, CA, USA, 2014. [Google Scholar]
  82. Dickson, C.J.; Madej, B.D.; Skjevik, A.A.; Betz, R.M.; Teigen, K.; Gould, I.R.; Walker, R.C. Lipid14: The amber lipid force field. J. Chem. Theory Comput. 2014, 10, 865–879. [Google Scholar] [CrossRef]
  83. Stirling, D.R.; Swain-Bowden, M.J.; Lucas, A.M.; Carpenter, A.E.; Cimini, B.A.; Goodman, A. CellProfiler 4: Improvements in speed, utility and usability. BMC Bioinform. 2021, 22, 433. [Google Scholar] [CrossRef]
Figure 1. Structures of okhotoside A1-1 (Okh) (a) and cucumarioside A0-1 (Cuc A0-1) (b).
Figure 1. Structures of okhotoside A1-1 (Okh) (a) and cucumarioside A0-1 (Cuc A0-1) (b).
Marinedrugs 23 00456 g001
Figure 2. The influence of Okh (1 μM) with or without NECA (1 μM) and PSB-1115 (1 μM), on MDA-MB-231 cell proliferation for 9 days using the cell counting method (a). The influence of Okh (1 μM) with or without NECA (1 μM) and PSB-1115 (1 μM), on the formation and growth of MDA-MB-231 cell colonies for 14 days (b). * p < 0.05 compared to control untreated MDA-MB-231 cells; # p < 0.05 compared to the difference between glycosides and glycosides + NECA or glycosides + PSB-1115; $ p < 0.05 compared to the difference between NECA and NECA + PSB-1115.
Figure 2. The influence of Okh (1 μM) with or without NECA (1 μM) and PSB-1115 (1 μM), on MDA-MB-231 cell proliferation for 9 days using the cell counting method (a). The influence of Okh (1 μM) with or without NECA (1 μM) and PSB-1115 (1 μM), on the formation and growth of MDA-MB-231 cell colonies for 14 days (b). * p < 0.05 compared to control untreated MDA-MB-231 cells; # p < 0.05 compared to the difference between glycosides and glycosides + NECA or glycosides + PSB-1115; $ p < 0.05 compared to the difference between NECA and NECA + PSB-1115.
Marinedrugs 23 00456 g002
Figure 3. Evaluation of cAMP content in MDA-MB-231 cells after treatment with Okh (1 µM), and PSB-1115 (1 μM) for 6 h using an ELISA kit. * p < 0.05 compared with untreated MDA-MB-231 cells.
Figure 3. Evaluation of cAMP content in MDA-MB-231 cells after treatment with Okh (1 µM), and PSB-1115 (1 μM) for 6 h using an ELISA kit. * p < 0.05 compared with untreated MDA-MB-231 cells.
Marinedrugs 23 00456 g003
Figure 4. The influence of Okh on intracellular calcium levels in MDA-MB-231 cells: effect of Okh (1 µM), PSB-1115 (1 µM) and NECA (1 µM) on intracellular Ca2+ level in time (a), and at 30 min (b); effect of Okh (1 µM), PSB-1115 (1 µM) on Ca2+ level induced by NECA (1 µM) (c); representative curves of [Ca2+]i elevation induced by NECA (1 µM) alone or in the presence of Okh (1 µM) or PSB-1115 (1µM) (d). Data are presented as m ± SE (n = 6). * p < 0.05 compared to control (a,b) or NECA (c).
Figure 4. The influence of Okh on intracellular calcium levels in MDA-MB-231 cells: effect of Okh (1 µM), PSB-1115 (1 µM) and NECA (1 µM) on intracellular Ca2+ level in time (a), and at 30 min (b); effect of Okh (1 µM), PSB-1115 (1 µM) on Ca2+ level induced by NECA (1 µM) (c); representative curves of [Ca2+]i elevation induced by NECA (1 µM) alone or in the presence of Okh (1 µM) or PSB-1115 (1µM) (d). Data are presented as m ± SE (n = 6). * p < 0.05 compared to control (a,b) or NECA (c).
Marinedrugs 23 00456 g004
Figure 5. Structural diagram (a) of the Okh complex with A2BAR (binding mode A) in a lipid environment and 2D intermolecular interaction scheme (b). A2BAR is presented as a violet ribbon, asymmetric mammalian plasma membrane lipids as gray sticks and Okh as green balls. The aqueous environment and some lipid membrane components were removed for clarity.
Figure 5. Structural diagram (a) of the Okh complex with A2BAR (binding mode A) in a lipid environment and 2D intermolecular interaction scheme (b). A2BAR is presented as a violet ribbon, asymmetric mammalian plasma membrane lipids as gray sticks and Okh as green balls. The aqueous environment and some lipid membrane components were removed for clarity.
Marinedrugs 23 00456 g005
Figure 6. Structural diagram (a) of Okh complex with A2BAR (binding mode B) in a lipid environment and 2D intermolecular interaction scheme (b). A2BAR is presented as a violet ribbon, asymmetric mammalian plasma membrane lipids as gray sticks and Okh as dark green balls. The aqueous environment and some lipid membrane components were removed for clarity.
Figure 6. Structural diagram (a) of Okh complex with A2BAR (binding mode B) in a lipid environment and 2D intermolecular interaction scheme (b). A2BAR is presented as a violet ribbon, asymmetric mammalian plasma membrane lipids as gray sticks and Okh as dark green balls. The aqueous environment and some lipid membrane components were removed for clarity.
Marinedrugs 23 00456 g006
Figure 7. Effect of Okh (1 µM) and Cispl (10 µM) on ERK1/2/p-ERK1/2 and p38/p-p38 levels in MDA-MB-231 cells treated for 24 h. Normalization of p38 (a), p-p38 (b), and ERK1/2 (d), p-ERK1/2 (e) levels relative to the housekeeping protein β-actin. Effect of Okh (1 µM) and Cispl (10 µM) on protein level ratio p-p38/p38 (c) and p-ERK1/2/ERK1/2 (f), normalized to β-actin. Western blot results of ERK1/2, p-ERK1/2 and p38, p-p38 (g) levels. Protein levels were normalized to the control group (untreated cells). * p < 0.05 compared to control (untreated MDA-MB-231 cells).
Figure 7. Effect of Okh (1 µM) and Cispl (10 µM) on ERK1/2/p-ERK1/2 and p38/p-p38 levels in MDA-MB-231 cells treated for 24 h. Normalization of p38 (a), p-p38 (b), and ERK1/2 (d), p-ERK1/2 (e) levels relative to the housekeeping protein β-actin. Effect of Okh (1 µM) and Cispl (10 µM) on protein level ratio p-p38/p38 (c) and p-ERK1/2/ERK1/2 (f), normalized to β-actin. Western blot results of ERK1/2, p-ERK1/2 and p38, p-p38 (g) levels. Protein levels were normalized to the control group (untreated cells). * p < 0.05 compared to control (untreated MDA-MB-231 cells).
Marinedrugs 23 00456 g007
Figure 8. Processed data on cyclin A (a), cyclin B (b), cyclin D (c), cyclin E (d), CDK-1 (e), CDK-2 (f), CDK-4 (g), and CDK-6 (h) content in MDA-MB-231 cells treated with Okh (1 µM) and cisplatin (10 µM) for 24 h, normalized to β-actin. Visualization of cyclins A, B, D, and E content and CDK-1, -2, -4, and -6 in MDA-MB-231 cells treated with triterpene glycoside Okh A1-1 (1 µM) and cisplatin (10 µM) in 24 h by Western blotting (i). * p < 0.05 compared to control (untreated MDA-MB-231 cells).
Figure 8. Processed data on cyclin A (a), cyclin B (b), cyclin D (c), cyclin E (d), CDK-1 (e), CDK-2 (f), CDK-4 (g), and CDK-6 (h) content in MDA-MB-231 cells treated with Okh (1 µM) and cisplatin (10 µM) for 24 h, normalized to β-actin. Visualization of cyclins A, B, D, and E content and CDK-1, -2, -4, and -6 in MDA-MB-231 cells treated with triterpene glycoside Okh A1-1 (1 µM) and cisplatin (10 µM) in 24 h by Western blotting (i). * p < 0.05 compared to control (untreated MDA-MB-231 cells).
Marinedrugs 23 00456 g008
Figure 9. Distribution of MDA-MB-231 cells according to the phases of the cell cycle (data represented in %) in control (a) after treatment with Okh (1 μM) (b) and Cispl (10 μM) (c) for 24 h.
Figure 9. Distribution of MDA-MB-231 cells according to the phases of the cell cycle (data represented in %) in control (a) after treatment with Okh (1 μM) (b) and Cispl (10 μM) (c) for 24 h.
Marinedrugs 23 00456 g009
Figure 10. Images of EdU-treated MDA-MB-231 cell nuclei, where DNA staining is shown in blue and EdU-positive cells are shown in red. Control cells (a), treated with Okh (1 μM) (b) and Cispl (10 μM) (c). Data are presented as % EdU-positive cells (d), mean ± SEM. # p < 0.05 compared to control untreated MDA-MB-231 cells.
Figure 10. Images of EdU-treated MDA-MB-231 cell nuclei, where DNA staining is shown in blue and EdU-positive cells are shown in red. Control cells (a), treated with Okh (1 μM) (b) and Cispl (10 μM) (c). Data are presented as % EdU-positive cells (d), mean ± SEM. # p < 0.05 compared to control untreated MDA-MB-231 cells.
Marinedrugs 23 00456 g010
Figure 11. The ROS (a) and MMP (b) levels in MDA-MB-231 cells after incubation with Okh (1 µM) for 3 and 24 h measured by using fluorescent dyes: H2DCF-DA for the determination of ROS and TMRE for the determination of MMP. Cisplatin (10 μM) was used as a positive control. * p < 0.05, compared to the control untreated MDA-MB-231 cells.
Figure 11. The ROS (a) and MMP (b) levels in MDA-MB-231 cells after incubation with Okh (1 µM) for 3 and 24 h measured by using fluorescent dyes: H2DCF-DA for the determination of ROS and TMRE for the determination of MMP. Cisplatin (10 μM) was used as a positive control. * p < 0.05, compared to the control untreated MDA-MB-231 cells.
Marinedrugs 23 00456 g011
Figure 12. Quantitative assessment of content of cytochrome C (a) and APAF-1 (b) in MDA-MB-231 cells after the treatment with the Okh (1 µM) and cisplatin (10 µM) at the time points 3, 6 and 24 h using ELISA kits. *, #, $ p < 0.05, compared to the control untreated MDA-MB-231 cells.
Figure 12. Quantitative assessment of content of cytochrome C (a) and APAF-1 (b) in MDA-MB-231 cells after the treatment with the Okh (1 µM) and cisplatin (10 µM) at the time points 3, 6 and 24 h using ELISA kits. *, #, $ p < 0.05, compared to the control untreated MDA-MB-231 cells.
Marinedrugs 23 00456 g012
Figure 13. Western blot analyses (a) of the levels of cleaved caspase-9 (b), cleaved caspase-3 (c) and cleaved PARP-1 (d) in MDA-MB-231 cells treated with Okh (1 μM) and cisplatin (10 μM). β-actin was used as a protein loading control (a). The levels of apoptotic markers were normalized to the control group (untreated cells). * p < 0.05, compared to the control (untreated MDA-MB-231 cells).
Figure 13. Western blot analyses (a) of the levels of cleaved caspase-9 (b), cleaved caspase-3 (c) and cleaved PARP-1 (d) in MDA-MB-231 cells treated with Okh (1 μM) and cisplatin (10 μM). β-actin was used as a protein loading control (a). The levels of apoptotic markers were normalized to the control group (untreated cells). * p < 0.05, compared to the control (untreated MDA-MB-231 cells).
Marinedrugs 23 00456 g013
Figure 14. Flow cytometry analysis of apoptosis induced by Okh in MDA-MB-231 cells stained with Annexin V-AF 488/PI after 24 h of incubation (a). Quantitative calculation of the data obtained by flow cytometry: Control, Okh (1 μM), and Cispl (10μM) (b). Data are presented as means ± SEM. # p value < 0.05 considered significant.
Figure 14. Flow cytometry analysis of apoptosis induced by Okh in MDA-MB-231 cells stained with Annexin V-AF 488/PI after 24 h of incubation (a). Quantitative calculation of the data obtained by flow cytometry: Control, Okh (1 μM), and Cispl (10μM) (b). Data are presented as means ± SEM. # p value < 0.05 considered significant.
Marinedrugs 23 00456 g014
Figure 15. Effect of Okh (1 µM) on the MDA-MB-231 cells in 3D culture. Cuc A0-1 at 1 µM and cisplatin at 10 µM were used as positive controls. The measured area (a) and representative images of spheroids (b), the compactness of spheroids (c) during 96 h of observation. The graphs illustrate the changes in area of untreated spheroids (d), and spheroids treated with Okh (e), cisplatin (f), and Cuc A0-1 (g). At least 20 of the same spheroids in each variant were analyzed daily, and the data were calculated as the mean ± SEM. * indicates significance of differences (p < 0.05) between variants. ** indicates significance of differences (p < 0.01) between variants.
Figure 15. Effect of Okh (1 µM) on the MDA-MB-231 cells in 3D culture. Cuc A0-1 at 1 µM and cisplatin at 10 µM were used as positive controls. The measured area (a) and representative images of spheroids (b), the compactness of spheroids (c) during 96 h of observation. The graphs illustrate the changes in area of untreated spheroids (d), and spheroids treated with Okh (e), cisplatin (f), and Cuc A0-1 (g). At least 20 of the same spheroids in each variant were analyzed daily, and the data were calculated as the mean ± SEM. * indicates significance of differences (p < 0.05) between variants. ** indicates significance of differences (p < 0.01) between variants.
Marinedrugs 23 00456 g015
Figure 16. Mechanism of antitumor action of triterpene glycoside Okh in MDA-MB-231 cells via A2BAR correlational network.
Figure 16. Mechanism of antitumor action of triterpene glycoside Okh in MDA-MB-231 cells via A2BAR correlational network.
Marinedrugs 23 00456 g016
Table 1. Effects of Okh (1 μM) and Cuc A0-1 (1 µM) on formazan production in MDA-MB-231 5-day spheroids.
Table 1. Effects of Okh (1 μM) and Cuc A0-1 (1 µM) on formazan production in MDA-MB-231 5-day spheroids.
SampleFormazan Production, % of Untreated Cells
Untreated cells100.0 ± 8.2
Okh (1 µM)85.3 ± 6.3 *
Cuc A0-1 (1 µM)96.9 ± 11.8
Cispl (10 µM)83.9 ± 1.7 *
* p < 0.05 compared with untreated cells.
Table 2. Total SASA loss under complex formation.
Table 2. Total SASA loss under complex formation.
OkhΔSASAL, Å2ΔSASAR, Å2ScomplEcompl
binding mode A888.31117.20.7−0.62
binding mode B630.57390.63−0.38
ΔSASAL—the ligand SASA loss in complex formation, ΔSASAR—the receptor SASA loss in complex formation. Scompl—the total shape complementarity at the interface (higher values are more complementary). Ecompl—the electrostatic complementarity (negative values are more complementary).
Disclaimer/Publisher’s Note: The statements, opinions and data contained in all publications are solely those of the individual author(s) and contributor(s) and not of MDPI and/or the editor(s). MDPI and/or the editor(s) disclaim responsibility for any injury to people or property resulting from any ideas, methods, instructions or products referred to in the content.

Share and Cite

MDPI and ACS Style

Chingizova, E.A.; Menchinskaya, E.S.; Yurchenko, E.A.; Zelepuga, E.A.; Pislyagin, E.A.; Nesterenko, L.E.; Avilov, S.A.; Kalinin, V.I.; Aminin, D.L.; Silchenko, A.S. A2BAR-Mediated Antiproliferative and Anticancer Effects of Okhotoside A1-1 in Monolayer and 3D Culture of Human Breast Cancer MDA-MB-231 Cells. Mar. Drugs 2025, 23, 456. https://doi.org/10.3390/md23120456

AMA Style

Chingizova EA, Menchinskaya ES, Yurchenko EA, Zelepuga EA, Pislyagin EA, Nesterenko LE, Avilov SA, Kalinin VI, Aminin DL, Silchenko AS. A2BAR-Mediated Antiproliferative and Anticancer Effects of Okhotoside A1-1 in Monolayer and 3D Culture of Human Breast Cancer MDA-MB-231 Cells. Marine Drugs. 2025; 23(12):456. https://doi.org/10.3390/md23120456

Chicago/Turabian Style

Chingizova, Ekaterina A., Ekaterina S. Menchinskaya, Ekaterina A. Yurchenko, Elena A. Zelepuga, Evgeny A. Pislyagin, Liliana E. Nesterenko, Sergey A. Avilov, Vladimir I. Kalinin, Dmitry L. Aminin, and Alexandra S. Silchenko. 2025. "A2BAR-Mediated Antiproliferative and Anticancer Effects of Okhotoside A1-1 in Monolayer and 3D Culture of Human Breast Cancer MDA-MB-231 Cells" Marine Drugs 23, no. 12: 456. https://doi.org/10.3390/md23120456

APA Style

Chingizova, E. A., Menchinskaya, E. S., Yurchenko, E. A., Zelepuga, E. A., Pislyagin, E. A., Nesterenko, L. E., Avilov, S. A., Kalinin, V. I., Aminin, D. L., & Silchenko, A. S. (2025). A2BAR-Mediated Antiproliferative and Anticancer Effects of Okhotoside A1-1 in Monolayer and 3D Culture of Human Breast Cancer MDA-MB-231 Cells. Marine Drugs, 23(12), 456. https://doi.org/10.3390/md23120456

Note that from the first issue of 2016, this journal uses article numbers instead of page numbers. See further details here.

Article Metrics

Back to TopTop