Altechromone A Ameliorates Inflammatory Bowel Disease by Inhibiting NF-κB and NLRP3 Pathways
Abstract
1. Introduction
2. Results
2.1. The Anti-Inflammatory Activity of Altechromone A in CuSO4-, LPS-, and Tail-Cutting-Induced Inflammation
2.2. Altechromone A Ameliorated TNBS-Induced Inflammatory Bowel Disease (IBD) by Affecting the Number of Intestinal Leukocytes in Zebrafish
2.3. Altechromone A Improves Intestinal Function
2.4. The Intestinal Structure Protective Effects of Altechromone A in the TNBS-Induced IBD Zebrafish Model
2.5. Altechromone A Reduced ROS in TNBS-Exposed Larvae
2.6. Transcriptome Analysis
2.7. Gene Expression
2.8. Altechromone A Attenuates LPS-Induced Inflammation in RAW264.7 Cells
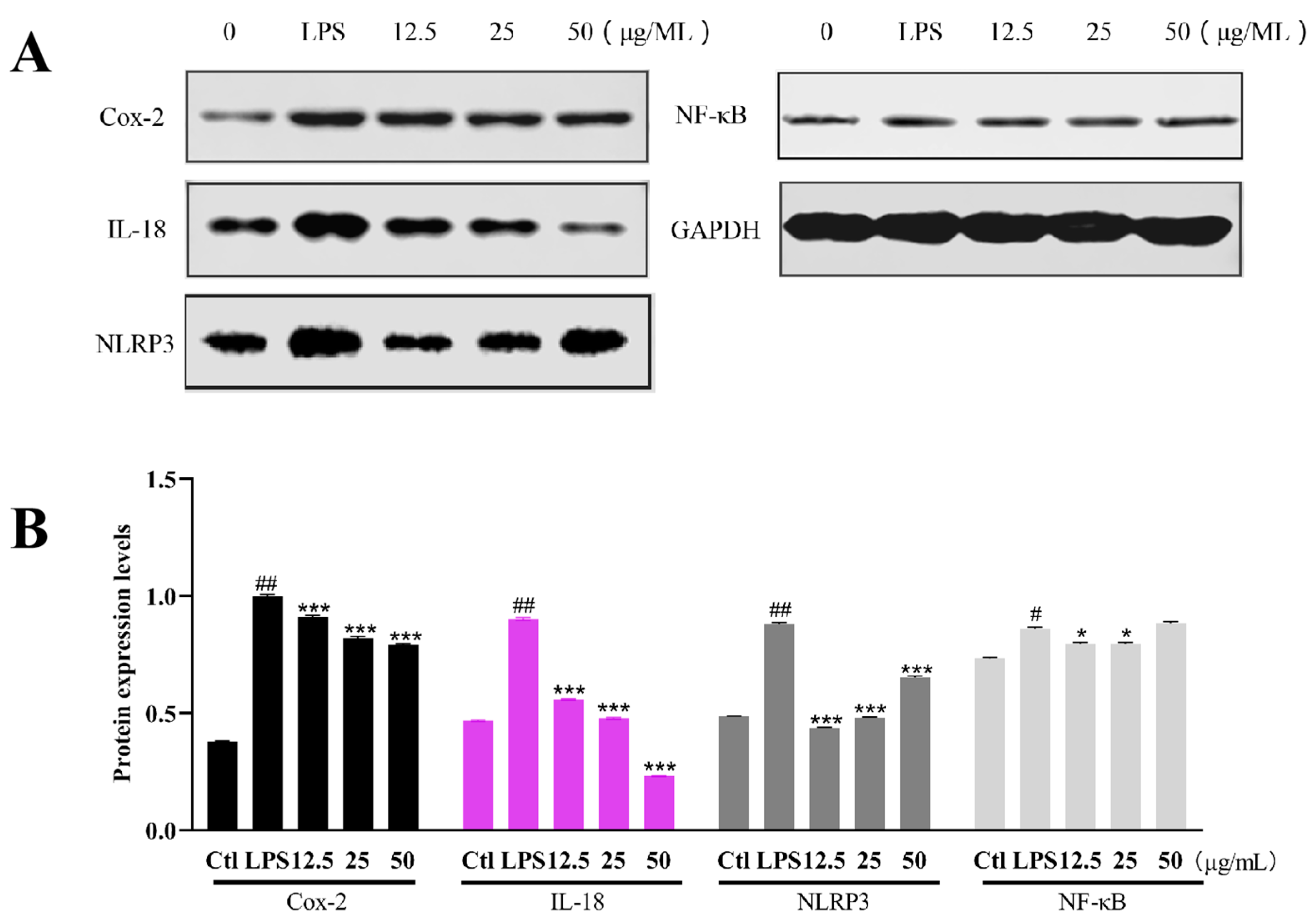
2.9. Protein Expression Level Analysis
3. Discussion
4. Materials and Methods
4.1. Zebrafish Maintenance and Embryo Collection
4.2. Fungal Material
4.3. Preparation of Altechromone A
4.4. Effect of Altechromone A on Acute Inflammation Caused by CuSO4
4.5. Effect of Altechromone A on Inflammation Caused by Tail Amputation
4.6. Effect of Altechromone A on Inflammation Caused by LPS
4.7. Effect of Altechromone A on IBD Caused by TNBS
4.8. Effects of Altechromone A on Intestinal Efflux Efficiency in TNBS-Induced Zebrafish IBD Model
4.9. Histopathological Observations
4.10. Analysis of ROS
4.11. Transcriptomic Analysis
4.12. Real-Time Quantitative PCR (qRT-PCR) of Inflammation-Related Genes
4.13. Cell Culture, ROS, and NO Detection in RAW264.7 Cells
4.14. Western Blot
4.15. Statistical Analysis
Author Contributions
Funding
Institutional Review Board Statement
Data Availability Statement
Conflicts of Interest
References
- Bruner, L.P.; White, A.M.; Proksell, S. Inflammatory Bowel Disease. Prim. Care 2023, 50, 411–427. [Google Scholar] [CrossRef]
- Hemmer, A.; Forest, K.; Rath, J.; Bowman, J. Inflammatory Bowel Disease: A Concise Review. S. D. Med. 2023, 76, 416–423. [Google Scholar]
- Saez, A.; Herrero-Fernandez, B.; Gomez-Bris, R.; Sánchez-Martinez, H.; Gonzalez-Granado, J.M. Pathophysiology of Inflammatory Bowel Disease: Innate Immune System. Int. J. Mol. Sci. 2023, 24, 1526. [Google Scholar] [CrossRef] [PubMed]
- Seyedian, S.S.; Nokhostin, F.; Malamir, M.D. A review of the diagnosis, prevention, and treatment methods of inflammatory bowel disease. J. Med. Life 2019, 12, 113–122. [Google Scholar] [CrossRef] [PubMed]
- Rogler, G.; Singh, A.; Kavanaugh, A.; Rubin, D.T. Extraintestinal Manifestations of Inflammatory Bowel Disease: Current Concepts, Treatment, and Implications for Disease Management. Gastroenterology 2021, 161, 1118–1132. [Google Scholar] [CrossRef] [PubMed]
- Xu, K.; Ren, X.; Wang, J.; Zhang, Q.; Fu, X.; Zhang, P.C. Clinical development and informatics analysis of natural and semi-synthetic flavonoid drugs: A critical review. J. Adv. Res. 2023, 63, 269–284. [Google Scholar] [CrossRef] [PubMed]
- Florean, C.; Dicato, M.; Diederich, M. Immune-modulating and anti-inflammatory marine compounds against cancer. Semin. Cancer Biol. 2022, 80, 58–72. [Google Scholar] [CrossRef]
- Leshchenko, E.V.; Berdyshev, D.V.; Yurchenko, E.A.; Antonov, A.S.; Borkunov, G.V.; Kirichuk, N.N.; Chausova, V.E.; Kalinovskiy, A.I.; Popov, R.S.; Khudyakova, Y.V.; et al. Bioactive Polyketides from the Natural Complex of the Sea Urchin-Associated Fungi Penicillium sajarovii KMM 4718 and Aspergillus protuberus KMM 4747. Int. J. Mol. Sci. 2023, 24, 16568. [Google Scholar] [CrossRef]
- Choe, S.K.; Kim, C.H. Zebrafish: A Powerful Model for Genetics and Genomics. Int. J. Mol. Sci. 2023, 24, 8169. [Google Scholar] [CrossRef]
- Henke, K.; Farmer, D.T.; Niu, X.; Kraus, J.M.; Galloway, J.L.; Youngstrom, D.W. Genetically engineered zebrafish as models of skeletal development and regeneration. Bone 2023, 167, 116611. [Google Scholar] [CrossRef]
- Peng, Y.; Li, M.; Huang, Y.; Cheng, B.; Cao, Z.; Liao, X.; Xiong, G.; Liu, F.; Hu, C.; Lu, H. Bifenazate induces developmental and immunotoxicity in zebrafish. Chemosphere 2021, 271, 129457. [Google Scholar] [CrossRef] [PubMed]
- Daya, A.; Donaka, R.; Karasik, D. Zebrafish models of sarcopenia. Dis. Model. Mech. 2020, 13, dmm042689. [Google Scholar] [CrossRef]
- De Abreu, M.S.; Genario, R.; Giacomini, A.C.V.V.; Demin, K.A.; Lakstygal, A.M.; Amstislavskaya, T.G.; Fontana, B.D.; Parker, M.O.; Kalueff, A.V. Zebrafish as a Model of Neurodevelopmental Disorders. Neuroscience 2020, 445, 3–11. [Google Scholar] [CrossRef]
- Costa, F.V.; Zabegalov, K.N.; Kolesnikova, T.O.; de Abreu, M.S.; Kotova, M.M.; Petersen, E.V.; Kalueff, A.V. Experimental models of human cortical malformations: From mammals to ‘acortical’ zebrafish. Neurosci. Biobehav. Rev. 2023, 155, 105429. [Google Scholar] [CrossRef]
- Detrich, H.W., 3rd. Fluorescent proteins in zebrafish cell and developmental biology. Methods Cell Biol. 2008, 85, 219–241. [Google Scholar]
- Korzh, V.; Teh, C.; Kondrychyn, I.; Chudakov, D.M.; Lukyanov, S. Visualizing compound transgenic zebrafish in development: A tale of green fluorescent protein and KillerRed. Zebrafish 2011, 8, 23–29. [Google Scholar] [CrossRef]
- Rosa, J.G.S.; Lima, C.; Lopes-Ferreira, M. Zebrafish Larvae Behavior Models as a Tool for Drug Screenings and Pre-Clinical Trials: A Review. Int. J. Mol. Sci. 2022, 23, 6647. [Google Scholar] [CrossRef] [PubMed]
- Chen, K.; Wang, C.; Fan, Y.; Gu, J.; Han, Z.; Wang, Y.; Gao, L.; Zeng, H. Identification of mundoserone by zebrafish in vivo screening as a natural product with anti-angiogenic activity. Exp. Ther. Med. 2018, 16, 4562–4568. [Google Scholar] [CrossRef] [PubMed]
- Flores, E.; Dutta, S.; Bosserman, R.; van Hoof, A.; Krachler, A.-M. Colonization of larval zebrafish (Danio rerio) with adherent-invasive Escherichia coli prevents recovery of the intestinal mucosa from drug-induced enterocolitis. mSphere 2023, 8, e0051223. [Google Scholar] [CrossRef]
- Gu, W. Bioactive metabolites from Alternaria brassicicola ML-P08, an endophytic fungus residing in Malus halliana. World J. Microbiol. Biotechnol. 2009, 25, 1677–1683. [Google Scholar] [CrossRef]
- Kim, G.R.; Yang, J.Y.; Hwang, K.S.; Kim, S.S.; Chae, J.S.; Kan, H.; Ahn, J.H.; Lee, W.M.; Ahn, S.H.; Lee, Y.M.; et al. Anti-inflammatory effect of a novel synthetic compound 1-((4-fluorophenyl)thio)isoquinoline in RAW264.7 macrophages and a zebrafish model. Fish Shellfish Immunol. 2019, 87, 395–400. [Google Scholar] [CrossRef] [PubMed]
- Katsandegwaza, B.; Horsnell, W.; Smith, K. Inflammatory Bowel Disease: A Review of Pre-Clinical Murine Models of Human Disease. Int. J. Mol. Sci. 2022, 23, 9344. [Google Scholar] [CrossRef] [PubMed]
- Bellocchi, C.; Carandina, A.; Montinaro, B.; Targetti, E.; Furlan, L.; Rodrigues, G.D.; Tobaldini, E.; Montano, N. The Interplay between Autonomic Nervous System and Inflammation across Systemic Autoimmune Diseases. Int. J. Mol. Sci. 2022, 23, 2449. [Google Scholar] [CrossRef]
- Furman, D.; Campisi, J.; Verdin, E.; Carrera-Bastos, P.; Targ, S.; Franceschi, C.; Ferrucci, L.; Gilroy, D.W.; Fasano, A.; Miller, G.W.; et al. Chronic inflammation in the etiology of disease across the life span. Nat. Med. 2019, 25, 1822–1832. [Google Scholar] [CrossRef] [PubMed]
- Rao, Z.; Zhu, Y.; Yang, P.; Chen, Z.; Xia, Y.; Qiao, C.; Liu, W.; Deng, H.; Li, J.; Ning, P.; et al. Pyroptosis in inflammatory diseases and cancer. Theranostics 2022, 12, 4310–4329. [Google Scholar] [CrossRef] [PubMed]
- Lin, Y.; Jiang, M.; Chen, W.; Zhao, T.; Wei, Y. Cancer and ER stress: Mutual crosstalk between autophagy, oxidative stress and inflammatory response. Biomed. Pharmacother. 2019, 118, 109249. [Google Scholar] [CrossRef]
- Liu, X.; Fang, Y.; Lv, X.; Hu, C.; Chen, G.; Zhang, L.; Jin, B.; Huang, L.; Luo, W.; Liang, G.; et al. Deubiquitinase OTUD6A in macrophages promotes intestinal inflammation and colitis via deubiquitination of NLRP3. Cell Death Differ. 2023, 30, 1457–1471. [Google Scholar] [CrossRef]
- Engevik, M.A.; Herrmann, B.; Ruan, W.; Engevik, A.C.; Engevik, K.A.; Ihekweazu, F.; Shi, Z.; Luck, B.; Chang-Graham, A.L.; Esparza, M.; et al. Bifidobacterium dentium-derived y-glutamylcysteine suppresses ER-mediated goblet cell stress and reduces TNBS-driven colonic inflammation. Gut Microbes 2021, 13, 1902717. [Google Scholar] [CrossRef]
- Sahoo, D.K.; Heilmann, R.M.; Paital, B.; Patel, A.; Yadav, V.K.; Wong, D.; Jergens, A.E. Oxidative stress, hormones, and effects of natural antioxidants on intestinal inflammation in inflammatory bowel disease. Front. Endocrinol. 2023, 14, 1217165. [Google Scholar] [CrossRef]
- Liu, P.; Li, Y.; Wang, R.; Ren, F.; Wang, X. Oxidative Stress and Antioxidant Nanotherapeutic Approaches for Inflammatory Bowel Disease. Biomedicines 2021, 10, 85. [Google Scholar] [CrossRef]
- Liu, Y.J.; Xu, W.H.; Fan, L.M.; Zhang, Y.Q.; Xu, W.; Chen, Y.P.; Chen, L.L.; Chen, L.; Xu, W.; Wang, Y.; et al. Polydatin alleviates DSS- and TNBS-induced colitis by suppressing Th17 cell differentiation via directly inhibiting STAT3. Phytother Res. 2022, 36, 3662–3671. [Google Scholar] [CrossRef] [PubMed]
- Wang, X.X.; Zou, H.Y.; Cao, Y.N.; Zhang, X.M.; Sun, M.; Tu, P.F.; Liu, K.C.; Zhang, Y. Radix Panacis quinquefolii Extract Ameliorates Inflammatory Bowel Disease through Inhibiting Inflammation. Chin. J. Integr. Med. 2023, 29, 825–831. [Google Scholar] [CrossRef]
- Williams, M.A.; O’Callaghan, A.; Corr, S.C. IL-33 and IL-18 in Inflammatory Bowel Disease Etiology and Microbial Interactions. Front. Immunol. 2019, 10, 1091. [Google Scholar] [CrossRef] [PubMed]
- Kashiwada, Y.; Nonaka, G.; Nishioka, I. Studies on Rhubarb (Rhei Rhizoma). V. Isolation and Characterization of Chromone and Chromanone Derivatives. Chem. Pharm. Bull. 1984, 32, 3493–3500. [Google Scholar] [CrossRef]
- Singh, M.; Guru, A.; Sudhakaran, G.; Pachaiappan, R.; Mahboob, S.; Al-Ghanim, K.A.; Al-Misned, F.; Juliet, A.; Gobi, M.; Arokiaraj, J. Copper sulfate induced toxicological impact on in-vivo zebrafish larval model protected due to acacetin via anti-inflammatory and glutathione redox mechanism. Comp. Biochem. Physiol. C Toxicol. Pharmacol. 2022, 262, 109463. [Google Scholar] [CrossRef] [PubMed]
- Xu, F.; Yang, F.; Qiu, Y.; Wang, C.; Zou, Q.; Wang, L.; Li, X.; Jin, M.; Liu, K.; Zhang, S.; et al. The alleviative effect of C-phycocyanin peptides against TNBS-induced inflammatory bowel disease in zebrafish via the MAPK/Nrf2 signaling pathways. Fish Shellfish Immunol. 2024, 145, 109351. [Google Scholar] [CrossRef]
- Wang, X.; Li, T.; Zhou, L.; Tu, F.; Rui, X.; Xu, Z.; Liu, J.; Cao, F. Adult zebrafish infected by clinically isolated Klebsiella pneumoniae with different virulence showed increased intestinal inflammation and disturbed intestinal microbial biodiversity. BMC Infect. Dis. 2023, 23, 899. [Google Scholar] [CrossRef]
- Al-Samadi, A.; Tuomainen, K.; Kivimäki, A.; Salem, A.; Al-Kubati, S.; Hyytiäinen, A.; Parikka, M.; Mesimäki, K.; Wilkman, T.; Mäkitie, A.; et al. PCR-based zebrafish model for personalised medicine in head and neck cancer. J. Transl. Med. 2019, 17, 235. [Google Scholar] [CrossRef]









| Gene | Forward (5′-3′) | Reverse (5′-3′) |
|---|---|---|
| β-actin | AGAGCTATGAGCTGCCTGACG | CCGCAAGATTCCATACCCA |
| IL-1 | AGGTGCATCGTGCACATAAG | AAGCTGATGGCCCTAAACAG |
| IL-1β | ATGGCAGAAGTACCTAAGCTC | TGGACACAAATTGCATGGTGAAAGT |
| IL-4 | GCCATATCCACGGATGCGACAA | GGTGTTCTTCGTTGCTGTGAGGA |
| IL-6 | TCTGCTACACTGGCTACA | ACATCCTGAACTTCGTCTC |
| IL-8 | CAAGAACCATTGGGATGAAGGAC | CCTTCAGTAGCCTCTGTCCTTGT |
| NF-κB | CAATGAAATCTCCTGGGTG | CAATGAAATCTCCTGGGTG |
| TNF-α | ATGAGCACAGAAAGCATGATC | TACAGGCTTGTCACTCGAATT |
| STAT3 | CAGCAGCTTGACACACGGTA | AAACACCAAAGTGGCATGTGA |
| NOD2 | TGCCTCGGGAACAGTAAGAC | GCCGCCCTCTCCATTAAAC |
| NLRP3 | AGCCTTCCAGGATCCTCTTC | CTTGGGCAGCAGTTTCTTTC |
| TLR2 | GGCTTCTCTGTCTTGTGACC | GGGCTTGAACCAGGAAGACG |
| TLR4 | AGACCTGTCCCTGAACCCTAT | CGATGGACTTCTAAACCAGCCA |
Disclaimer/Publisher’s Note: The statements, opinions and data contained in all publications are solely those of the individual author(s) and contributor(s) and not of MDPI and/or the editor(s). MDPI and/or the editor(s) disclaim responsibility for any injury to people or property resulting from any ideas, methods, instructions or products referred to in the content. |
© 2024 by the authors. Licensee MDPI, Basel, Switzerland. This article is an open access article distributed under the terms and conditions of the Creative Commons Attribution (CC BY) license (https://creativecommons.org/licenses/by/4.0/).
Share and Cite
Li, L.; Huang, J.; Feng, L.; Xu, L.; Lin, H.; Liu, K.; Li, X.; Wang, R. Altechromone A Ameliorates Inflammatory Bowel Disease by Inhibiting NF-κB and NLRP3 Pathways. Mar. Drugs 2024, 22, 410. https://doi.org/10.3390/md22090410
Li L, Huang J, Feng L, Xu L, Lin H, Liu K, Li X, Wang R. Altechromone A Ameliorates Inflammatory Bowel Disease by Inhibiting NF-κB and NLRP3 Pathways. Marine Drugs. 2024; 22(9):410. https://doi.org/10.3390/md22090410
Chicago/Turabian StyleLi, Lei, Jing Huang, Lixin Feng, Liyan Xu, Houwen Lin, Kechun Liu, Xiaobin Li, and Rongchun Wang. 2024. "Altechromone A Ameliorates Inflammatory Bowel Disease by Inhibiting NF-κB and NLRP3 Pathways" Marine Drugs 22, no. 9: 410. https://doi.org/10.3390/md22090410
APA StyleLi, L., Huang, J., Feng, L., Xu, L., Lin, H., Liu, K., Li, X., & Wang, R. (2024). Altechromone A Ameliorates Inflammatory Bowel Disease by Inhibiting NF-κB and NLRP3 Pathways. Marine Drugs, 22(9), 410. https://doi.org/10.3390/md22090410

