Prokaryotic Expression, Purification, and Biological Properties of a Novel Bioactive Protein (PFAP-1) from Pinctada fucata
Abstract
1. Introduction
2. Results
2.1. Bioinformatics and RT-PCR Were Used to Screen the Active Peptides of P. fucata
2.2. PFAP-1 Codon Optimization and Gene Synthesis, Prokaryotic Expression Recombinant Plasmid Construction, and Identification
2.3. Bioinformatics Analysis of PFAP-1 Protein
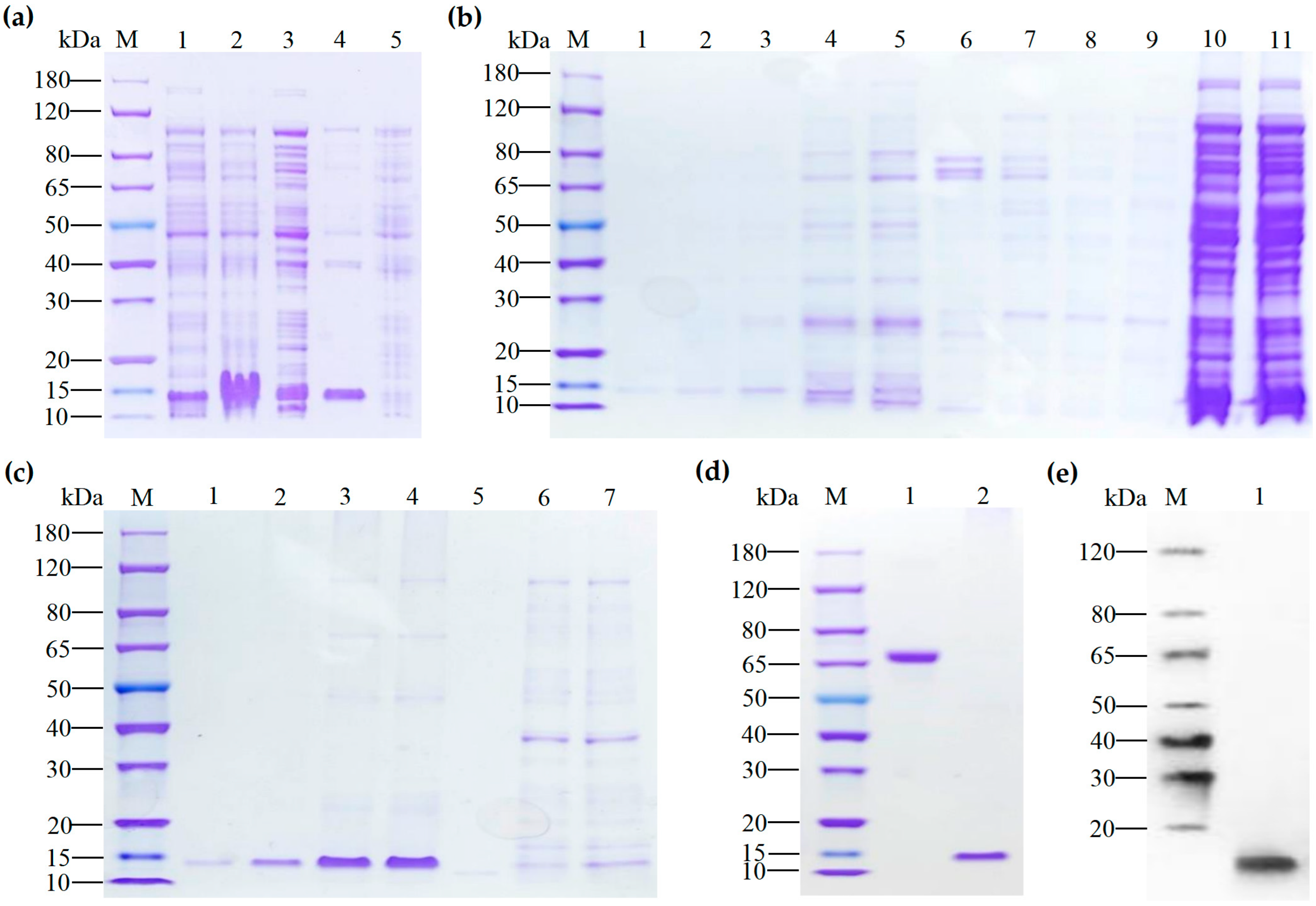
2.4. Prokaryotic Expression and Purification of PFAP-1 Protein
2.5. Molecular Weight Determination and Mass Spectrometry Identification of PFAP-1 Recombinant Protein
2.6. Antibacterial Activity of PFAP-1 Recombinant Protein
2.7. Fluorescence Staining Observation
2.8. Scanning Electron Microscopy (SEM) Observation
2.9. PFAP-1 Recombinant Protein Inhibits Biofilm Activity
2.10. Hemolytic Activity of PFAP-1 Recombinant Protein
2.11. PFAP-1 Recombinant Protein Scavenge DPPH Free Radicals and Inhibit ACE2 Activity
2.12. PFAP-1 Protein Docked with ACE2 Molecule
3. Discussion
4. Materials and Methods
4.1. Materials
4.2. RT-PCR
4.3. Plasmid Constructs
4.4. Bioinformatics Analysis
4.5. Prokaryotic Expression, Purification, and Western Blot Assay
4.6. Mass Spectrometry and Molecular Weight Assay
4.7. Antibacterial Activity Assays
4.7.1. Detection of Antibacterial Activity Using the Oxford Cup Method
4.7.2. Determination of MIC and MBC
4.7.3. Growth Curve Assay
4.7.4. Fluorescent Staining Observation Assay
4.7.5. Scanning Electron Microscopy (SEM) Analysis
4.7.6. Biofilm Inhibition Assay
4.8. Hemolytic Activity Assay
4.9. DPPH Free Radical Scavenging Assay
4.10. ACE2 Inhibition Assay
4.11. Molecular Docking
4.12. Statistical Analyses
5. Conclusions
Supplementary Materials
Author Contributions
Funding
Data Availability Statement
Conflicts of Interest
References
- Shan, B.; Deng, Z.; Ma, S.; Sun, D.; Liu, Y.; Yang, C.; Wu, Q.; Yu, G. A New Record of Pinctada fucata (Bivalvia: Pterioida: Pteriidae) in Mischief Reef: A Potential Invasive Species in the Nansha Islands, China. Diversity 2023, 15, 578. [Google Scholar] [CrossRef]
- You, L.; Li, Y.; Zhao, H.; Regenstein, J.; Zhao, M.; Ren, J. Purification and Characterization of an Antioxidant Protein from Pearl Oyster (Pinctada fucata martensii). J. Aquat. Food Prod. Technol. 2015, 24, 661–671. [Google Scholar] [CrossRef]
- Wu, Y.; Wang, J.; Li, L.; Yang, X.; Wang, J.; Hu, X. Purification and identification of an antioxidant peptide from Pinctada fucata muscle. CyTA J. Food 2017, 16, 11–19. [Google Scholar] [CrossRef]
- Wu, Y.; Ma, Y.; Li, L.; Yang, X. Preparation and Antioxidant Activities In Vitro of a Designed Antioxidant Peptide from Pinctada fucata by Recombinant Escherichia coli. J. Microbiol. Biotechnol. 2018, 28, 1–11. [Google Scholar] [CrossRef]
- Zhou, J.; Wei, M.; You, L. Protective Effect of Peptides from Pinctada Martensii Meat on the H2O2-Induced Oxidative Injured HepG2 Cells. Antioxidants 2023, 12, 535. [Google Scholar] [CrossRef] [PubMed]
- Li, J.; Su, J.; Chen, M.; Chen, J.; Ding, W.; Li, Y.; Yin, H. Two novel potent ACEI peptides isolated from Pinctada fucata meat hydrolysates using in silico analysis: Identification, screening and inhibitory mechanisms. RSC. Adv. 2021, 11, 12172–12182. [Google Scholar] [CrossRef] [PubMed]
- Liu, P.; Lan, X.; Yaseen, M.; Wu, S.; Feng, X.; Zhou, L.; Sun, J.; Liao, A.; Liao, D.; Sun, L. Purification, Characterization and Evaluation of Inhibitory Mechanism of ACE Inhibitory Peptides from Pearl Oyster (Pinctada fucata martensii) Meat Protein Hydrolysate. Mar. Drugs 2019, 17, 463. [Google Scholar] [CrossRef]
- Liu, P.; Li, W.; Peng, Y.; Han, S.; Liang, Z.; Cen, Y.; Li, X.; Wang, P.; Lv, H.; Zhang, Q.; et al. Molecular cloning, expression, and functional analysis of a putative lectin from the pearl oyster (Pinctada fucata, Gould 1850). Fish Shellfish Immunol. 2023, 143, 109215. [Google Scholar] [CrossRef]
- Chi, C.F.; Wang, B. Marine Bioactive Peptides-Structure, Function and Application. Mar. Drugs 2023, 21, 275. [Google Scholar] [CrossRef]
- Macedo, M.W.F.S.; Cunha, N.B.D.; Carneiro, J.A.; Costa, R.A.D.; Alencar, S.A.D.; Cardoso, M.H.; Franco, O.L.; Dias, S.C. Marine organisms as a rich source of biologically active peptides. Front. Mar. Sci. 2021, 889, 667764. [Google Scholar] [CrossRef]
- Wang, P.; Lin, Z.; Lin, S.; Zheng, B.; Zhang, Y.; Hu, J. Prokaryotic Expression, Purification, and Antibacterial Activity of the Hepcidin Peptide of Crescent Sweetlips (Plectorhinchus cinctus). Curr. Issues Mol. Biol. 2023, 45, 7212–7227. [Google Scholar] [CrossRef] [PubMed]
- Moon, J.; Gorson, J.; Wright, M.E.; Yee, L.; Khawaja, S.; Shin, H.Y.; Karma, Y.; Musunri, R.L.; Yun, M.; Holford, M. Characterization and Recombinant Expression of Terebrid Venom Peptide from Terebra guttata. Toxins 2016, 8, 63. [Google Scholar] [CrossRef] [PubMed]
- Li, G.; Chen, J.; Li, J.; Wang, C. Structural Characteristics, Prokaryotic Expression and Activity Analysis of Antimicrobial Peptide ALFPm10 from Penaeus monodon. Int. J. Pept. Res. Ther. 2022, 28, 25. [Google Scholar] [CrossRef]
- Takeuchi, T.; Kawashima, T.; Koyanagi, R.; Gyoja, F.; Tanaka, M.; Ikuta, T.; Shoguchi, E.; Fujiwara, M.; Shinzato, C.; Hisata, K.; et al. Draft genome of the pearl oyster Pinctada fucata: A platform for understanding bivalve biology. DNA Res. 2012, 19, 117–130. [Google Scholar] [CrossRef] [PubMed]
- Miyamoto, H.; Endo, H.; Hashimoto, N.; Limura, K.; Isowa, Y.; Kinoshita, S.; Kotaki, T.; Masaoka, T.; Miki, T.; Nakayama, S.; et al. The diversity of shell matrix proteins: Genome-wide investigation of the pearl oyster, Pinctada fucata. Zoolog. Sci. 2013, 30, 801–816. [Google Scholar] [CrossRef] [PubMed]
- Waghu, F.H.; Barai, R.S.; Gurung, P.; Idicula-Thomas, S. CAMPR3: A database on sequences, structures and signatures of antimicrobial peptides. Nucleic. Acids Res. 2016, 44, D1094–D1097. [Google Scholar] [CrossRef] [PubMed]
- Zhang, J.; Li, M.; Zhang, G.; Tian, Y.; Kong, F.; Xiong, S.; Zhao, S.; Jia, D.; Manyande, A.; Du, H. Identification of novel antioxidant peptides from snakehead (Channa argus) soup generated during gastrointestinal digestion and insights into the anti-oxidation mechanisms. Food Chem. 2021, 337, 127921. [Google Scholar] [CrossRef] [PubMed]
- Zhou, J.; Han, Q.; Koyama, T.; Ishizaki, S. Preparation, Purification and Characterization of Antibacterial and ACE Inhibitory Peptides from Head Protein Hydrolysate of Kuruma Shrimp, Marsupenaeus japonicus. Molecules 2023, 28, 894. [Google Scholar] [CrossRef] [PubMed]
- Sukumaran, S.; Nadarajan, S. Marine Peptides and Their Bioactive Potentials: New Horizon for Biotherapeutics. In Drugs from Nature: Targets, Assay Systems and Leads; Springer: Singapore, 2024; pp. 153–178. [Google Scholar]
- Kim, S.K. Marine Microorganism Resources and Biotechnology. In Essentials of Marine Biotechnology; Springer: Cham, Switzerland, 2019; pp. 381–415. [Google Scholar]
- Jin, Q.H.; Peng, D.X.; Zheng, Z.J. Advances in extracting and understanding the bioactivities of marine organism peptides: A review. J. Food Process. Preserv. 2022, 46, e15602. [Google Scholar] [CrossRef]
- Akbarian, M.; Khani, A.; Eghbalpour, S.; Uversky, V.N. Bioactive Peptides: Synthesis, Sources, Applications, and Proposed Mechanisms of Action. Int. J. Mol. Sci. 2022, 23, 1445. [Google Scholar] [CrossRef]
- Wang, T.; Birsoy, K.; Hughes, N.W.; Krupczak, K.M.; Post, Y.; Wei, J.J.; Lander, E.S.; Sabatini, D.M. Identification and characterization of essential genes in the human genome. Science 2015, 350, 1096–1101. [Google Scholar] [CrossRef] [PubMed]
- Kustatscher, G.; Collins, T.; Gingras, A.C.; Guo, T.; Hermjakob, H.; Ideker, T.; Lilley, K.S.; Lundberg, E.; Marcotte, E.M.; Ralser, M.; et al. Understudied proteins: Opportunities and challenges for functional proteomics. Nat. Methods 2022, 19, 774–779. [Google Scholar] [CrossRef]
- Zhang, D.; He, Y.; Ye, Y.; Ma, Y.; Zhang, P.; Zhu, H.; Xu, N.; Liang, S. Little Antimicrobial Peptides with Big Therapeutic Roles. Protein Pept. Lett. 2019, 26, 564–578. [Google Scholar] [CrossRef]
- Yang, S.; Dong, Y.; Aweya, J.J.; Xie, T.; Zeng, B.; Zhang, Y.; Liu, G.M. Antimicrobial activity and acting mechanism of Tegillarca granosa hemoglobin-derived peptide (TGH1) against Vibrio parahaemolyticus. Microb. Pathog. 2020, 147, 104302. [Google Scholar] [CrossRef] [PubMed]
- Yang, S.; Dong, Y.; Aweya, J.J.; Li, J.; Chen, X.; Zhang, Y.; Liu, G.M. A hemoglobin-derived antimicrobial peptide, LCH4, from the large yellow croaker (Larimichthys crocea) with potential use as a food preservative. LWT Food Sci. Technol. 2020, 131, 109656. [Google Scholar] [CrossRef]
- Hernández-Arvizu, E.E.; Silis-Moreno, T.M.; García-Arredondo, J.A.; Rodríguez-Torres, A.; Cervantes-Chávez, J.A.; Mosqueda, J. Aquiluscidin, a Cathelicidin from Crotalus aquilus, and the Vcn-23 Derivative Peptide, Have Anti-Microbial Activity against Gram-Negative and Gram-Positive Bacteria. Microorganisms 2023, 11, 2778. [Google Scholar] [CrossRef]
- Zelezetsky, I.; Tossi, A. Alpha-helical antimicrobial peptides--using a sequence template to guide structure-activity relationship studies. Biochim. Biophys. Acta 2006, 1758, 1436–1449. [Google Scholar] [CrossRef]
- Zhang, W.; An, Z.; Bai, Y.; Zhou, Y.; Chen, F.; Wang, K.J. A novel antimicrobial peptide Scyreptin1-30 from Scylla paramamosain exhibiting potential therapy of Pseudomonas aeruginosa early infection in a mouse burn wound model. Biochem. Pharmacol. 2023, 218, 115917. [Google Scholar] [CrossRef]
- Chen, Y.C.; Qiu, W.; Zhang, W.; Zhang, J.; Chen, R.; Chen, F.; Wang, K.J. A Novel Antimicrobial Peptide Sp-LECin with Broad-Spectrum Antimicrobial Activity and Anti-Pseudomonas aeruginosa Infection in Zebrafish. Int. J. Mol. Sci. 2022, 24, 267. [Google Scholar] [CrossRef]
- Huan, Y.; Kong, Q.; Mou, H.; Yi, H. Antimicrobial Peptides: Classification, Design, Application and Research Progress in Multiple Fields. Front. Microbiol. 2020, 11, 582779. [Google Scholar] [CrossRef] [PubMed]
- Han, J.H.; Choi, Y.S.; Kim, W.J.; Jeon, Y.H.; Lee, S.K.; Lee, B.J.; Ryu, K.S. Codon optimization enhances protein expression of human peptide deformylase in E. coli. Protein Expr. Purif. 2010, 70, 224–230. [Google Scholar] [CrossRef] [PubMed]
- Huyan, T.; Tang, R.; Li, J.; Li, Q.; Xue, X.; Yang, H. Optimized Expression and Purification of Humbug in Pichia pastoris and Its Monoclonal Antibody Preparation. Iran. J. Public. Health 2015, 44, 1632–1642. [Google Scholar] [PubMed]
- Shilling, P.J.; Mirzadeh, K.; Cumming, A.J.; Widesheim, M.; Köck, Z.; Daley, D.O. Improved designs for pET expression plasmids increase protein production yield in Escherichia coli. Commun. Biol. 2020, 3, 214. [Google Scholar] [CrossRef] [PubMed]
- Rizo, J.; Encarnación-Guevara, S. Bacterial protein acetylation: Mechanisms, functions, and methods for study. Front. Cell. Infect. Microbiol. 2024, 14, 1408947. [Google Scholar] [CrossRef] [PubMed]
- Frando, A.; Grundner, C. More than two components: Complexities in bacterial phosphosignaling. mSystems 2024, 9, e0028924. [Google Scholar] [CrossRef]
- Chalmers, S.J.; Wylam, M.E. Methicillin-Resistant Staphylococcus aureus Infection and Treatment Options. Methods Mol. Biol. 2020, 2069, 229–251. [Google Scholar] [PubMed]
- Gan, B.H.; Gaynord, J.; Rowe, S.M.; Deingruber, T.; Spring, D.R. The multifaceted nature of antimicrobial peptides: Current synthetic chemistry approaches and future directions. Chem. Soc. Rev. 2021, 50, 7820–7880. [Google Scholar] [CrossRef]
- Hassan, M.; Flanagan, T.W.; Kharouf, N.; Bertsch, C.; Mancino, D.; Haikel, Y. Antimicrobial Proteins: Structure, Molecular Action, and Therapeutic Potential. Pharmaceutics 2022, 15, 72. [Google Scholar] [CrossRef]
- Liang, C.; Wang, H.; Lin, Z.; Zhang, C.; Liu, G.; Hu, Y. Augmented wound healing potential of photosensitive GelMA hydrogel incorporating antimicrobial peptides and MXene nanoparticles. Front. Bioeng. Biotechnol. 2023, 11, 1310349. [Google Scholar] [CrossRef]
- Xu, B.; Wang, L.; Yang, C.; Yan, R.; Zhang, P.; Jin, M.; Du, H.; Wang, Y. Specifically targeted antimicrobial peptides synergize with bacterial-entrapping peptide against systemic MRSA infections. J. Adv. Res. 2024, 1–15. [Google Scholar] [CrossRef]
- Wang, F.; Liu, H.; Li, J.; Zhang, W.; Jiang, B.; Xuan, H. Australian propolis ethanol extract exerts antibacterial activity against methicillin-resistant Staphylococcus aureus by mechanisms of disrupting cell structure, reversing resistance, and resisting biofilm. Braz. J. Microbiol. 2021, 52, 1651–1664. [Google Scholar] [CrossRef] [PubMed]
- Einipour, S.K.; Sadrjahani, M.; Rezapour, A. Preparation and evaluation of antibacterial wound dressing based on vancomycin-loaded silk/dialdehyde starch nanoparticles. Drug Deliv. Transl. Res. 2022, 12, 2778–2792. [Google Scholar] [CrossRef] [PubMed]
- Hafidh, R.R.; Abdulamir, A.S.; Vern, L.S.; Abu Bakar, F.; Abas, F.; Jahanshiri, F.; Sekawi, Z. Inhibition of growth of highly resistant bacterial and fungal pathogens by a natural product. Open Microbiol. J. 2011, 5, 96–106. [Google Scholar] [CrossRef] [PubMed]
- Brogden, K.A. Antimicrobial peptides: Pore formers or metabolic inhibitors in bacteria? Nat. Rev. Microbiol. 2005, 3, 238–250. [Google Scholar] [CrossRef] [PubMed]
- Gallardo-Becerra, L.; Cervantes-Echeverría, M.; Cornejo-Granados, F.; Vazquez-Morado, L.E.; Ochoa-Leyva, A. Perspectives in Searching Antimicrobial Peptides (AMPs) Produced by the Microbiota. Microb. Ecol. 2023, 87, 8. [Google Scholar] [CrossRef] [PubMed]
- Zhang, H.; Chen, Q.; Xie, J.; Cong, Z.; Cao, C.; Zhang, W.; Zhang, D.; Chen, S.; Gu, J.; Deng, S.; et al. Switching from membrane disrupting to membrane crossing, an effective strategy in designing antibacterial polypeptide. Sci. Adv. 2023, 9, eabn0771. [Google Scholar] [CrossRef] [PubMed]
- Yuan, Y.; Zai, Y.; Xi, X.; Ma, C.; Wang, L.; Zhou, M.; Shaw, C.; Chen, T. A novel membrane-disruptive antimicrobial peptide from frog skin secretion against cystic fibrosis isolates and evaluation of anti-MRSA effect using Galleria mellonella model. Biochim. Biophys. Acta Gen. Subj. 2019, 1863, 849–856. [Google Scholar] [CrossRef] [PubMed]
- Grigor’eva, A.; Bardasheva, A.; Tupitsyna, A.; Amirkhanov, N.; Tikunova, N.; Pyshnyi, D.; Ryabchikova, E. Changes in the Ultrastructure of Staphylococcus aureus Treated with Cationic Peptides and Chlorhexidine. Microorganisms 2020, 8, 1991. [Google Scholar] [CrossRef] [PubMed]
- Madni, H.; Mohamed, H.A.; Abdelrahman, H.A.M.; Dos Santos-Silva, C.A.; Benko-Iseppon, A.M.; Khatir, Z.; Eltai, N.O.; Mohamed, N.A.; Crovella, S. In silico-designed antimicrobial peptide targeting MRSA and E. coli with antibacterial and antibiofilm actions. Sci. Rep. 2024, 14, 12127. [Google Scholar] [CrossRef]
- Wang, W.; Wang, G.; Cai, S. Current progress in antimicrobial peptides against bacterial biofilms. Sheng Wu Gong Cheng Xue Bao 2020, 36, 1277–1282. [Google Scholar]
- Sun, C.; Zhao, X.; Jiao, Z.; Peng, J.; Zhou, L.; Yang, L.; Huang, M.; Tian, C.; Guo, G. The Antimicrobial Peptide AMP-17 Derived from Musca domestica Inhibits Biofilm Formation and Eradicates Mature Biofilm in Candida albicans. Antibiotics 2022, 11, 1474. [Google Scholar] [CrossRef]
- Schuch, R.; Khan, B.K.; Raz, A.; Rotolo, J.A.; Wittekind, M. Bacteriophage Lysin CF-301, a Potent Antistaphylococcal Biofilm Agent. Antimicrob. Agents Chemother. 2017, 61, e02666-16. [Google Scholar] [CrossRef] [PubMed]
- Tan, P.; Fu, H.; Ma, X. Design, optimization, and nanotechnology of antimicrobial peptides: From exploration to applications. Nano Today 2021, 39, 101229. [Google Scholar] [CrossRef]
- Lung, F.D.; Wang, K.S.; Liao, Z.J.; Hsu, S.K.; Song, F.Y.; Liou, C.C.; Wu, Y.S. Discovery of potent antimicrobial peptide analogs of Ixosin-B. Bioorg. Med. Chem. Lett. 2012, 22, 4185–4188. [Google Scholar] [CrossRef]
- Pandey, B.K.; Ahmad, A.; Asthana, N.; Azmi, S.; Srivastava, R.M.; Srivastava, S.; Verma, R.; Vishwakarma, A.L.; Ghosh, J.K. Cell-selective lysis by novel analogues of melittin against human red blood cells and Escherichia coli. Biochemistry 2010, 49, 7920–7929. [Google Scholar] [CrossRef] [PubMed]
- Akbarbaglu, Z.; Mohammadi, M.; Arefi, A.; Laein, S.S.; Sarabandi, K.; Peighambardoust, S.H.; Hesarinejad, M.A. Biological properties of LMW-peptide fractions from apricot kernel protein: Nutritional, antibacterial and ACE-inhibitory activities. J. Agric. Food Res. 2024, 16, 101176. [Google Scholar] [CrossRef]
- Noman, A.; Wang, Y.; Zhang, C.; Yin, L.; Abed, S.M. Fractionation and purification of antioxidant peptides from Chinese sturgeon (Acipenser sinensis) protein hydrolysates prepared using papain and alcalase 2.4 L. Arab. J. Chem. 2022, 15, 104368. [Google Scholar] [CrossRef]
- Villaseñor, V.M.; Enriquez-Vara, J.N.; Urías-Silva, J.E.; Del Carmen Lugo-Cervantes, E.; Luna-Vital, D.A.; Mojica, L. Mexican grasshopper (Sphenarium purpurascens) as source of high protein flour: Techno-functional characterization, and in silico and in vitro biological potential. Food Res. Int. 2022, 162, 112048. [Google Scholar] [CrossRef] [PubMed]
- Li, X.; Peng, C.; Xiao, S.; Wang, Q.; Zhou, A. Two novel Angiotensin-Converting Enzyme (ACE) inhibitory and ACE2 upregulating peptides from the hydrolysate of pumpkin (Cucurbita moschata) seed meal. J. Agric. Food Chem. 2024, 72, 10909–10922. [Google Scholar] [CrossRef]
- Grote, A.; Hiller, K.; Scheer, M.; Münch, R.; Nörtemann, B.; Hempel, D.C.; Jahn, D. JCat: A novel tool to adapt codon usage of a target gene to its potential expression host. Nucleic Acids Res. 2005, 33, W526–W531. [Google Scholar] [CrossRef]
- Wilkins, M.R.; Gasteiger, E.; Bairoch, A.; Sanchez, J.C.; Williams, K.L.; Appel, R.D.; Hochstrasser, D.F. Protein identification and analysis tools in the ExPASy server. Methods Mol. Biol. 1999, 112, 531–552. [Google Scholar] [PubMed]
- Zhou, X.; Zheng, W.; Li, Y.; Pearce, R.; Zhang, C.; Bell, E.W.; Zhang, G.; Zhang, Y. I-TASSER-MTD: A deep-learning-based platform for multi-domain protein structure and function prediction. Nat. Protoc. 2022, 17, 2326–2353. [Google Scholar] [CrossRef] [PubMed]
- Mu, Y.; Zhang, C.; Jin, C.Z.; Li, T.; Jin, F.J.; Lee, H.G.; Jin, L. Antibacterial activity and action mode of crude bacteriocin C2-1 from Ligilactobacillus salivarius C2-1 against Listeria monocytogenes CICC 21633. LWT 2024, 193, 115765. [Google Scholar] [CrossRef]
- Liu, Z.; Xu, C.; Tian, R.; Wang, W.; Ma, J.; Gu, L.; Liu, F.; Jiang, Z.; Hou, J. Screening beneficial bacteriostatic lactic acid bacteria in the intestine and studies of bacteriostatic substances. J. Zhejiang Univ. Sci. B 2021, 22, 533–547. [Google Scholar] [CrossRef] [PubMed]
- Jin, Y.; Guo, Y.; Zhan, Q.; Shang, Y.; Qu, D.; Yu, F. Subinhibitory Concentrations of Mupirocin Stimulate Staphylococcus aureus Biofilm Formation by Upregulating cidA. Antimicrob. Agents Chemother. 2020, 64, e01912-19. [Google Scholar] [CrossRef] [PubMed]
- Yan, Y.; Tao, H.; He, J.; Huang, S.Y. The HDOCK server for integrated protein-protein docking. Nat. Protoc. 2020, 15, 1829–1852. [Google Scholar] [CrossRef]
- Laskowski, R.A.; Swindells, M.B. LigPlot+: Multiple ligand-protein interaction diagrams for drug discovery. J. Chem. Inf. Model. 2011, 51, 2778–2786. [Google Scholar] [CrossRef]












| Physicochemical Parameters | PFAP-1 |
|---|---|
| Number of amnio acids | 83 |
| Molecular weight | 10,009.93 Da |
| Isoelectric point | 10.40 |
| Total net charge | +9 |
| Hydrophobicity | 43% |
Disclaimer/Publisher’s Note: The statements, opinions and data contained in all publications are solely those of the individual author(s) and contributor(s) and not of MDPI and/or the editor(s). MDPI and/or the editor(s) disclaim responsibility for any injury to people or property resulting from any ideas, methods, instructions or products referred to in the content. |
© 2024 by the authors. Licensee MDPI, Basel, Switzerland. This article is an open access article distributed under the terms and conditions of the Creative Commons Attribution (CC BY) license (https://creativecommons.org/licenses/by/4.0/).
Share and Cite
Liu, P.; Li, W.; Liu, J.; Mo, X.; Tang, J.; Lin, J. Prokaryotic Expression, Purification, and Biological Properties of a Novel Bioactive Protein (PFAP-1) from Pinctada fucata. Mar. Drugs 2024, 22, 345. https://doi.org/10.3390/md22080345
Liu P, Li W, Liu J, Mo X, Tang J, Lin J. Prokaryotic Expression, Purification, and Biological Properties of a Novel Bioactive Protein (PFAP-1) from Pinctada fucata. Marine Drugs. 2024; 22(8):345. https://doi.org/10.3390/md22080345
Chicago/Turabian StyleLiu, Peng, Wenyue Li, Jianbing Liu, Xiaojian Mo, Jiaxing Tang, and Jiang Lin. 2024. "Prokaryotic Expression, Purification, and Biological Properties of a Novel Bioactive Protein (PFAP-1) from Pinctada fucata" Marine Drugs 22, no. 8: 345. https://doi.org/10.3390/md22080345
APA StyleLiu, P., Li, W., Liu, J., Mo, X., Tang, J., & Lin, J. (2024). Prokaryotic Expression, Purification, and Biological Properties of a Novel Bioactive Protein (PFAP-1) from Pinctada fucata. Marine Drugs, 22(8), 345. https://doi.org/10.3390/md22080345

