Tunicamycins from Marine-Derived Streptomyces bacillaris Inhibit MurNAc-Pentapeptide Translocase in Staphylococcus aureus
Abstract
1. Introduction
2. Results and Discussion
2.1. Taxonomy and Phylogenetic Analysis of MBTG32
2.2. Isolation and Structural Elucidation of Compounds 1–4
2.3. Antibacterial Activities of Compounds 1–4
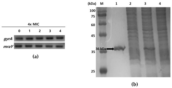
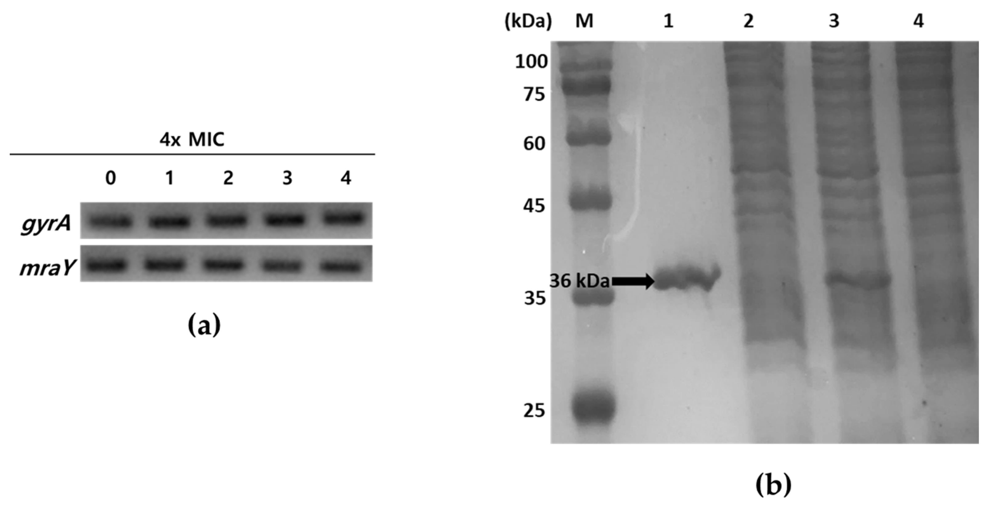
2.4. Effects of Compounds 1–4 on MraY Expression and Preparation of Recombinant MraY
2.5. In Vitro MraY Enzyme Inhibition Assay
2.6. MraY Overexpression In Vivo
3. Materials and Methods
3.1. General Experimental Procedures
3.2. Taxonomic Identification of the Tunicamycin-Producing Microorganism
3.3. Cultivation, Extraction, and Isolation
3.4. Antibacterial Activity Assays
3.5. Gene Expression Analysis
3.6. MraY Molecular Cloning
3.7. MraY Enzyme Purification and Activity Assay
3.8. MraY Overexpression In Vivo
4. Conclusions
Supplementary Materials
Author Contributions
Funding
Institutional Review Board Statement
Data Availability Statement
Acknowledgments
Conflicts of Interest
References
- Zhang, R.; Eggleston, K.; Rotimi, V.; Zeckhauser, R.J. Antibiotic resistance as a global threat: Evidence from China, Kuwait and the United States. Glob. Health 2006, 2, 6. [Google Scholar] [CrossRef] [PubMed]
- Hawley, L.A.; Fridkin, S.K.; Whitney, C.G. Drug-resistant Streptococcus pneumoniae and methicillin-resistant Staphylococcus aureus surveillance. Emerg. Infect. Dis. 2003, 9, 1358–1359. [Google Scholar] [CrossRef]
- Levy, S.B.; Marshall, B. Antibacterial resistance worldwide: Causes, challenges and responses. Nat. Med. 2004, 10, S122–S129. [Google Scholar] [CrossRef] [PubMed]
- Taubes, G. The bacteria fight back. Science 2008, 321, 356–361. [Google Scholar] [CrossRef] [PubMed]
- Subramani, R.; Aalbersberg, W. Marine actinomycetes: An ongoing source of novel bioactive metabolites. Microbiol. Res. 2012, 167, 571–580. [Google Scholar] [CrossRef] [PubMed]
- Jensen, P.R.; Mincer, T.J.; Williams, P.G.; Fenical, W. Marine actinomycete diversity and natural product discovery. Antonie Van Leeuwenhoek 2005, 87, 43–48. [Google Scholar] [CrossRef]
- Yang, C.; Qian, R.; Xu, Y.; Yi, J.; Gu, Y.; Liu, X.; Yu, H.; Jiao, B.; Lu, X.; Zhang, W. Marine actinomycetes-derived natural products. Curr. Top. Med. Chem. 2019, 19, 2868–2918. [Google Scholar] [CrossRef]
- Price, N.P.; Tsvetanova, B. Biosynthesis of the tunicamycins: A review. J. Antibiot. 2007, 60, 485–491. [Google Scholar] [CrossRef] [PubMed]
- Takatsuki, A.; Arima, K.; Tamura, G. Tunicamycin, a new antibiotic. I. Isolation and characterization of tunicamycin. J. Antibiot. 1971, 24, 215–223. [Google Scholar] [CrossRef]
- Takatsuki, A.; Kawamura, K.; Okina, M.; Kodama, Y.; Ito, T.; Tamura, G. The Structure of Tunicamycin. Agric. Biol. Chem. 1977, 41, 2307–2309. [Google Scholar] [CrossRef]
- Eckardt, K. Tunicamycins, streptovirudins, and corynetoxins, a special subclass of nucleoside antibiotics. J. Nat. Prod. 1983, 46, 544–550. [Google Scholar] [CrossRef] [PubMed]
- Keller, R.K.; Boon, D.Y.; Crum, F.C. N-Acetylglucosamine-1-phosphate transferase from hen oviduct: Solubilization, characterization, and inhibition by tunicamycin. Biochemistry 1979, 18, 3946–3952. [Google Scholar] [CrossRef]
- Brandish, P.E.; Kimura, K.I.; Inukai, M.; Southgate, R.; Lonsdale, J.T.; Bugg, T.D. Modes of action of tunicamycin, liposidomycin B, and mureidomycin A: Inhibition of phospho-N-acetylmuramyl-pentapeptide translocase from Escherichia coli. Antimicrob. Agents Chemother. 1996, 40, 1640–1644. [Google Scholar] [CrossRef] [PubMed]
- Hering, J.; Dunevall, E.; Ek, M.; Branden, G. Structural basis for selective inhibition of antibacterial target MraY, a membrane-bound enzyme involved in peptidoglycan synthesis. Drug Discov. Today 2018, 23, 1426–1435. [Google Scholar] [CrossRef]
- Lovering, A.L.; Safadi, S.S.; Strynadka, N.C. Structural perspective of peptidoglycan biosynthesis and assembly. Annu. Rev. Biochem. 2012, 81, 451–478. [Google Scholar] [CrossRef]
- Hakulinen, J.K.; Hering, J.; Branden, G.; Chen, H.; Snijder, A.; Ek, M.; Johansson, P. MraY-antibiotic complex reveals details of tunicamycin mode of action. Nat. Chem. Biol. 2017, 13, 265–267. [Google Scholar] [CrossRef] [PubMed]
- Mitachi, K.; Mingle, D.; Effah, W.; Sánchez-Ruiz, A.; Hevener, K.E.; Narayanan, R.; Clemons, W.M.; Sarabia, F.; Kurosu, M. Concise synthesis of tunicamycin V and discovery of a cytostatic DPAGT1 Inhibitor. Angew. Chem. 2022, 134, e202203225. [Google Scholar] [CrossRef]
- Price, N.P.; Hartman, T.M.; Li, J.; Velpula, K.K.; Naumann, T.A.; Guda, M.R.; Yu, B.; Bischoff, K.M. Modified tunicamycins with reduced eukaryotic toxicity that enhance the antibacterial activity of β-lactams. J. Antibiot. 2017, 70, 1070–1077. [Google Scholar] [CrossRef] [PubMed]
- Li, J.; Yu, B. A modular approach to the total synthesis of tunicamycins. Angew. Chem. Int. Ed. Engl. 2015, 54, 6618–6621. [Google Scholar] [CrossRef]
- Tsvetanova, B.C.; Price, N.P. Liquid chromatography-electrospray mass spectrometry of tunicamycin-type antibiotics. Anal. Biochem. 2001, 15, 147–156. [Google Scholar] [CrossRef]
- Mitachi, K.; Mingle, D.; Kurosu, M. An improved total synthesis of tunicamycin V. MethodsX 2023, 10, 102095. [Google Scholar] [CrossRef]
- Frahn, J.L.; Edgar, J.A.; Jones, A.J.; Cockrum, P.A.; Anderton, N.A.; Culvenor, C.C.J. Structure of the corynetoxins, metabolites of Corynebacterium rathayi responsible for toxicity of annual ryegrass (Lolium rigidum) pastures. Aust. J. Chem. 1984, 37, 165–182. [Google Scholar] [CrossRef]
- Muramatsu, Y.; Arai, M.; Sakaida, Y.; Takamatsu, Y.; Miyakoshi, S.; Inukai, M. Studies on novel bacterial translocase I inhibitors, A-500359s. V. Enhanced production of capuramycin and A-500359 A in Streptomyces griseus SANK 60196. J. Antibiot. 2006, 59, 601–606. [Google Scholar] [CrossRef] [PubMed]
- Wiegmann, D.; Koppermann, S.; Wirth, M.; Niro, G.; Leyerer, K.; Ducho, C. Muraymycin nucleoside-peptide antibiotics: Uridine-derived natural products as lead structures for the development of novel antibacterial agents. Beilstein J. Org. Chem. 2016, 12, 769–795. [Google Scholar] [CrossRef] [PubMed]
- Das, D.; Walvoort, M.T.; Lukose, V.; Imperiali, B. A rapid and efficient luminescence-based method for assaying phosphoglycosyltransferase enzymes. Sci. Rep. 2016, 6, 33412. [Google Scholar] [CrossRef] [PubMed]
- Kimura, K.; Ikeda, Y.; Kagami, S.; Yoshihama, M.; Suzuki, K.; Osada, H.; Isono, K. Selective inhibition of the bacterial peptidoglycan biosynthesis by the new types of liposidomycins. J. Antibiot. 1998, 51, 1099–1104. [Google Scholar] [CrossRef] [PubMed][Green Version]
- Campbell, J.; Singh, A.K.; Santa Maria, J.P., Jr.; Kim, Y.; Brown, S.; Swoboda, J.G.; Mylonakis, E.; Wilkinson, B.J.; Walker, S. Synthetic lethal compound combinations reveal a fundamental connection between wall teichoic acid and peptidoglycan biosyntheses in Staphylococcus aureus. ACS Chem. Biol. 2011, 6, 106–116. [Google Scholar] [CrossRef] [PubMed]
- Matsuo, M.; Kurokawa, K.; Lee, B.L.; Sekimizu, K. Shuttle vectors derived from pN315 for study of essential genes in Staphylococcus aureus. Biol. Pharm. Bull. 2010, 33, 198–203. [Google Scholar] [CrossRef]
- Prelich, G. Gene overexpression: Uses, mechanisms, and interpretation. Genetics 2012, 190, 841–854. [Google Scholar] [CrossRef]
- Ochsner, U.A.; Young, C.L.; Stone, K.C.; Dean, F.B.; Janjic, N.; Critchley, I.A. Mode of action and biochemical characterization of REP8839, a novel inhibitor of methionyl-tRNA synthetase. Antimicrob. Agents Chemother. 2005, 49, 4253–4262. [Google Scholar] [CrossRef]
- Li, X.; Ma, Z.; Tang, Q.; Gui, Z.; Zhang, B.; Sun, G.; Li, J.; Li, J.; Li, M.; Li, X.; et al. 8-Octyl berberine combats Staphylococcus aureus by preventing peptidoglycan synthesis. Eur. J. Pharm. Sci. 2023, 191, 106602. [Google Scholar] [CrossRef] [PubMed]
- Corrigan, R.M.; Foster, T.J. An improved tetracycline-inducible expression vector for Staphylococcus aureus. Plasmid 2009, 61, 126–129. [Google Scholar] [CrossRef] [PubMed]
- Wikler, M.A.; Clinical and Laboratory Standards Institute. Methods for Dilution Antimicrobial Susceptibility Tests for Bacteria that Grow Aerobically: Approved Standard, 8th ed.; Clinical and Laboratory Standards Institute: Wayne, PA, USA, 2009. [Google Scholar]
- Monk, I.R.; Shah, I.M.; Xu, M.; Tan, M.W.; Foster, T.J. Transforming the untransformable: Application of direct transformation to manipulate genetically Staphylococcus aureus and Staphylococcus epidermidis. mBio 2012, 3, 10-1128. [Google Scholar] [CrossRef] [PubMed]
- Bouhss, A.; Crouvoisier, M.; Blanot, D.; Mengin-Lecreulx, D. Purification and characterization of the bacterial MraY translocase catalyzing the first membrane step of peptidoglycan biosynthesis. J. Biol. Chem. 2004, 279, 29974–29980. [Google Scholar] [CrossRef]
- Mashalidis, E.H.; Kaeser, B.; Terasawa, Y.; Katsuyama, A.; Kwon, D.Y.; Lee, K.; Hong, J.; Ichikawa, S.; Lee, S.Y. Chemical logic of MraY inhibition by antibacterial nucleoside natural products. Nat. Commun. 2019, 10, 2917. [Google Scholar] [CrossRef]





| Compound | MIC (μg/mL) | |||||
|---|---|---|---|---|---|---|
| Gram (+) Bacteria | Gram (−) Bacteria | |||||
| A | B | C | D | E | F | |
| 1 | 0.13 | 2 | 2 | 64 | >128 | >128 |
| 2 | 0.13 | 2 | 2 | >128 | >128 | >128 |
| 3 | 0.06 | 1 | 2 | 64 | >128 | >128 |
| 4 | 0.25 | 4 | 8 | >128 | >128 | >128 |
| Ampicillin | 0.13 | 1 | 0.5 | 0.25 | 128 | 8 |
| Tetracycline | 0.13 | 0.25 | 0.25 | 0.25 | 0.25 | 0.5 |
| Strain | MIC (μg/mL) | |||||
|---|---|---|---|---|---|---|
| Dap | Van | 1 | 2 | 3 | 4 | |
| CCARM0027 a | 8 | 0.25 | 32 | 64 | 8 | 32 |
| CCARM0204 a | 2 | 0.13 | 0.06 | 0.13 | 0.06 | 0.13 |
| CCARM0205 a | 2 | 0.13 | 0.13 | 0.13 | 0.06 | 0.25 |
| CCARM3640 a | 8 | 0.25 | 16 | 32 | 8 | 16 |
| CCARM3089 b | >32 | 1 | >128 | >128 | >128 | >128 |
| CCARM3090 b | >32 | 0.5 | 8 | 8 | 2 | 8 |
| CCARM3634 b | >32 | 0.5 | 32 | 32 | 16 | 32 |
| CCARM3635 b | >32 | 1 | >128 | 64 | 32 | >128 |
| ATCC43300 b | >32 | 1 | 32 | >128 | 16 | >128 |
| ATCC700787 b | >32 | 1 | 16 | 32 | 8 | 16 |
| ATCC700788 b | >32 | 1 | >128 | >128 | >128 | >128 |
Disclaimer/Publisher’s Note: The statements, opinions and data contained in all publications are solely those of the individual author(s) and contributor(s) and not of MDPI and/or the editor(s). MDPI and/or the editor(s) disclaim responsibility for any injury to people or property resulting from any ideas, methods, instructions or products referred to in the content. |
© 2024 by the authors. Licensee MDPI, Basel, Switzerland. This article is an open access article distributed under the terms and conditions of the Creative Commons Attribution (CC BY) license (https://creativecommons.org/licenses/by/4.0/).
Share and Cite
Lee, J.; Hwang, J.-Y.; Oh, D.; Oh, D.-C.; Park, H.-g.; Shin, J.; Oh, K.-B. Tunicamycins from Marine-Derived Streptomyces bacillaris Inhibit MurNAc-Pentapeptide Translocase in Staphylococcus aureus. Mar. Drugs 2024, 22, 293. https://doi.org/10.3390/md22070293
Lee J, Hwang J-Y, Oh D, Oh D-C, Park H-g, Shin J, Oh K-B. Tunicamycins from Marine-Derived Streptomyces bacillaris Inhibit MurNAc-Pentapeptide Translocase in Staphylococcus aureus. Marine Drugs. 2024; 22(7):293. https://doi.org/10.3390/md22070293
Chicago/Turabian StyleLee, Jayho, Ji-Yeon Hwang, Daehyun Oh, Dong-Chan Oh, Hyeung-geun Park, Jongheon Shin, and Ki-Bong Oh. 2024. "Tunicamycins from Marine-Derived Streptomyces bacillaris Inhibit MurNAc-Pentapeptide Translocase in Staphylococcus aureus" Marine Drugs 22, no. 7: 293. https://doi.org/10.3390/md22070293
APA StyleLee, J., Hwang, J.-Y., Oh, D., Oh, D.-C., Park, H.-g., Shin, J., & Oh, K.-B. (2024). Tunicamycins from Marine-Derived Streptomyces bacillaris Inhibit MurNAc-Pentapeptide Translocase in Staphylococcus aureus. Marine Drugs, 22(7), 293. https://doi.org/10.3390/md22070293

