Effect of Adjuvant Treatments on Recipient Vessel Diameter for Free Flap Breast Reconstruction Using Computed Tomographic Angiography Analysis
Abstract
1. Introduction
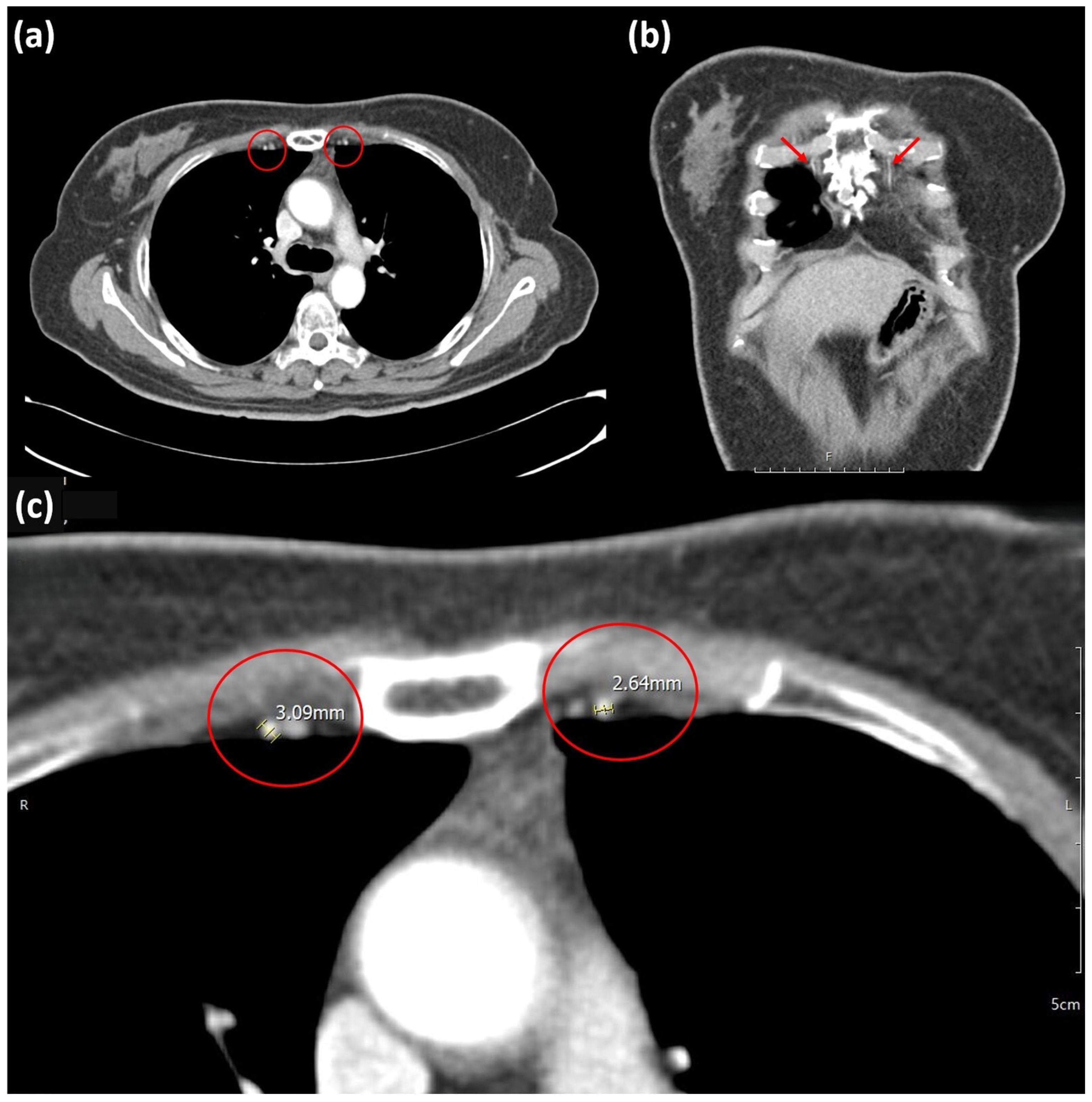
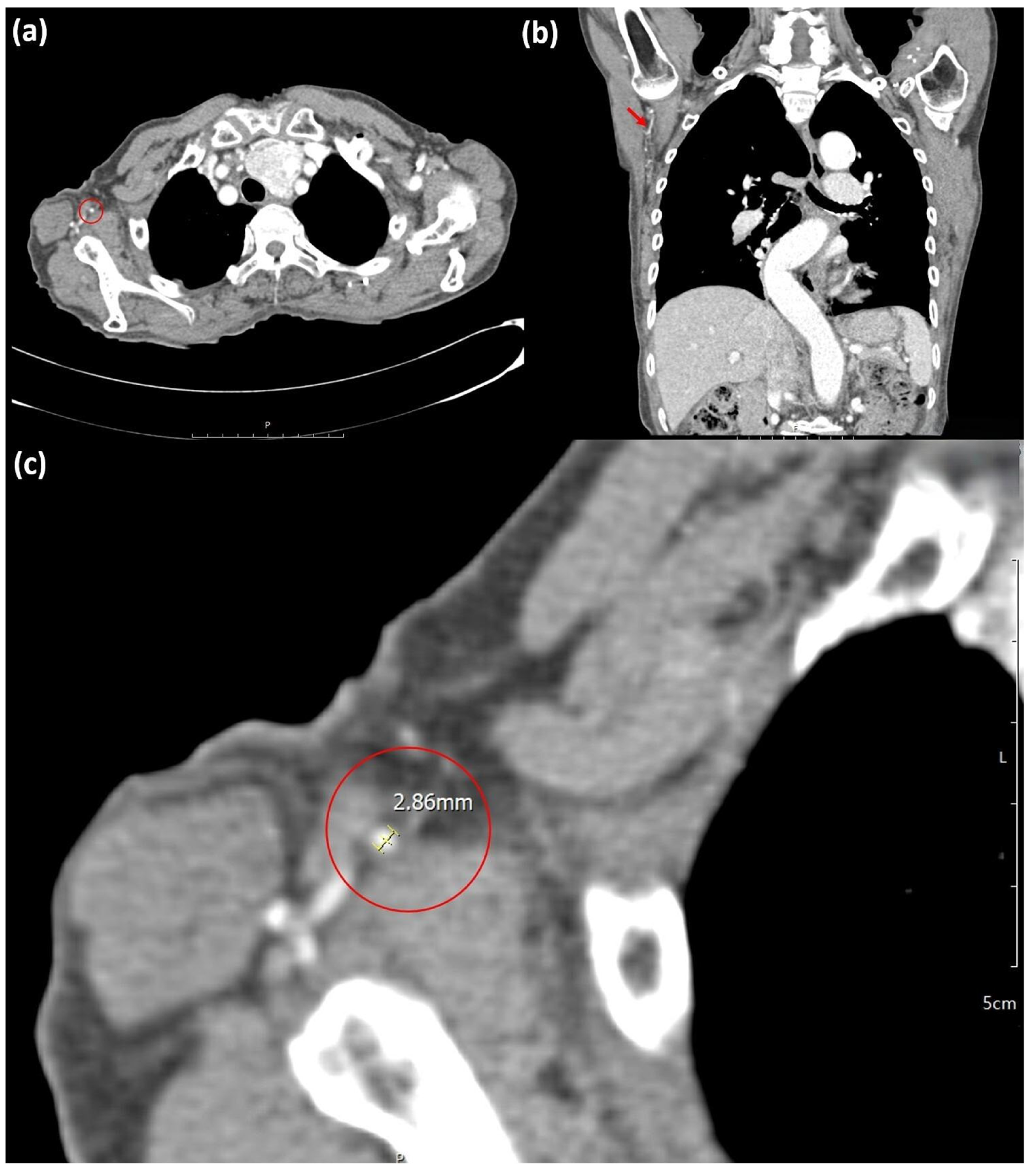
2. Materials and Methods
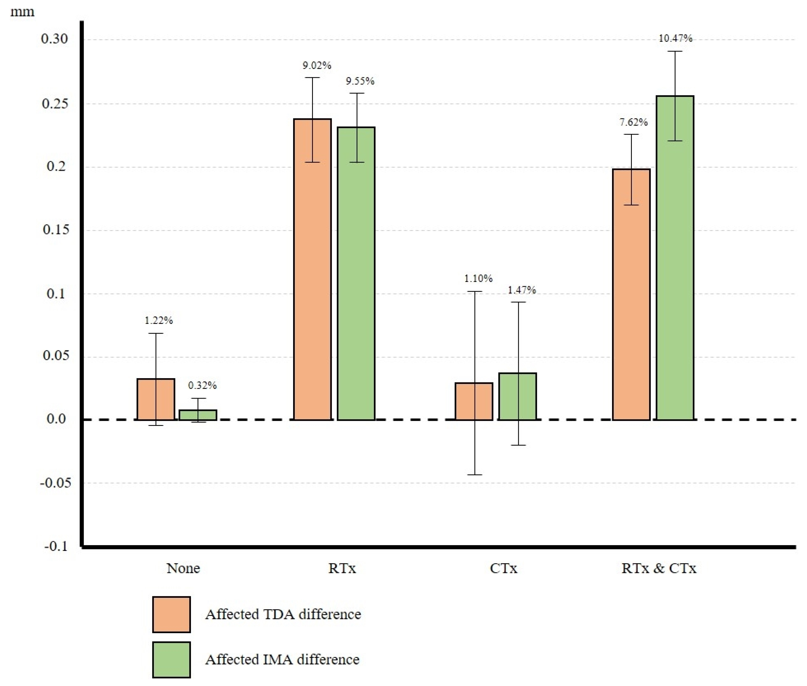
3. Results
4. Discussion
5. Conclusions
Author Contributions
Funding
Institutional Review Board Statement
Informed Consent Statement
Data Availability Statement
Conflicts of Interest
Abbreviations
| CTx | Chemotherapy |
| RTx | Radiotherapy |
| CT | Computed Tomography |
| TDA | Thoracodorsal artery |
| IMA | Internal mammary artery |
References
- Moon, K.C.; Lee, J.M.; Baek, S.O.; Jang, S.Y.; Yoon, E.S.; Lee, B.I.; Park, S.H. Choice of recipient vessels in muscle-sparing transverse rectus abdominis myocutaneous flap breast reconstruction: A comparative study. Arch. Plast. Surg. 2019, 46, 140–146. [Google Scholar] [CrossRef] [PubMed]
- Seong, I.H.; Woo, K.J. Comparison of the second and third intercostal spaces regarding the use of internal mammary vessels as recipient vessels in DIEP flap breast reconstruction: An anatomical and clinical study. Arch. Plast. Surg. 2020, 47, 333–339. [Google Scholar] [CrossRef] [PubMed]
- Fansa, H.; Schirmer, S.; Cervelli, A.; Gehl, H.B. Computed tomographic angiography imaging and clinical implications of internal mammary artery perforator vessels as recipient vessels in autologous breast reconstruction. Ann. Plast. Surg. 2013, 71, 533–537. [Google Scholar] [CrossRef] [PubMed]
- Shin, D.; Sung, K.W.; Fan, K.L.; Park, T.H.; Song, S.Y.; Roh, T.S.; Lee, D.W. Expanding the use of internal mammary artery perforators as a recipient vessel in free tissue transfer: An anatomical analysis by computed tomography angiography in breast cancer patients. Microsurgery 2019, 39, 509–514. [Google Scholar] [CrossRef]
- Kim, H.; Lim, S.Y.; Pyon, J.K.; Bang, S.I.; Oh, K.S.; Mun, G.H. Preoperative computed tomographic angiography of both donor and recipient sites for microsurgical breast reconstruction. Plast. Reconstr. Surg. 2012, 130, 11e–20e. [Google Scholar] [CrossRef]
- Kim, J.M.; Kim, S.A.; Kwon, H.J.; Moon, S.H.; Oh, D.Y.; Rhie, J.W.; Jun, Y.J. Reconstruction of radiation-induced ulcers with free flaps using the perforating vessel as a recipient vessel. Microsurgery 2019, 39, 613–620. [Google Scholar]
- Temple, C.L.; Strom, E.A.; Youssef, A.; Langstein, H.N. Choice of recipient vessels in delayed TRAM flap breast reconstruction after radiotherapy. Plast. Reconstr. Surg. 2005, 115, 105–113. [Google Scholar] [CrossRef]
- Fracol, M.E.; Basta, M.N.; Nelson, J.A.; Fischer, J.P.; Wu, L.C.; Serletti, J.M.; Fosnot, J. Bilateral free flap breast reconstruction after unilateral radiation: Comparing intraoperative vascular complications and postoperative outcomes in radiated versus nonradiated breasts. Ann. Plast. Surg. 2016, 76, 311–314. [Google Scholar]
- Santanelli di Pompeo, F.; Paolini, G.; D’Orsi, G.; Atzeni, M.; Catalano, C.; Cannavale, G.; Sorotos, M. Free-style technique versus computed tomographic angiography-guided perforator selection in deep inferior epigastric perforator flap harvest: A prospective clinical study. Microsurgery 2023, 43, 790–799. [Google Scholar]
- Durhan, G.; Erdemir, A.G.; Yuce Sari, S.; Gultekin, M.; Karakaya, J.; Akpınar, M.G.; Demirkazık, F. Does internal mammary node irradiation for breast cancer make a significant difference to the diameter of the internal mammary artery? Correlation with computed tomography. Breast Care 2020, 15, 635–641. [Google Scholar] [CrossRef]
- Şentürk, S.; Efe, D.; Özkan, A.; Göncü, R.G.; Zümrüt, M. Multidetector computed tomography angiography to evaluate the subscapular arterial tree. Microsurgery 2015, 35, 640–644. [Google Scholar] [CrossRef] [PubMed]
- Kerr, A.J.; Dodwell, D.; McGale, P.; Holt, F.; Duane, F.; Mannu, G.; Taylor, C.W. Adjuvant and neoadjuvant breast cancer treatments: A systematic review of their effects on mortality. Cancer Treat. Rev. 2022, 105, 102375. [Google Scholar] [CrossRef] [PubMed]
- Senkus, E.; Kyriakides, S.; Ohno, S.; Penault-Llorca, F.; Poortmans, P.; Rutgers, E.; ESMO Guidelines Committee. Primary breast cancer: ESMO Clinical Practice Guidelines for diagnosis, treatment and follow-up. Ann. Oncol. 2015, 26, v8–v30. [Google Scholar] [CrossRef] [PubMed]
- Tasch, C.; Pattiss, A.; Maier, S.; Lanthaler, M.; Pierer, G. Free flap outcome in irradiated recipient sites: A systematic review and meta-analysis. Plast. Reconstr. Surg.–Glob. Open 2022, 10, e4216. [Google Scholar] [CrossRef]
- Fosnot, J.; Fischer, J.P.; Smartt, J.M., Jr.; Low, D.W.; Kovach, S.J., III; Wu, L.C.; Serletti, J.M. Does previous chest wall irradiation increase vascular complications in free autologous breast reconstruction? Plast. Reconstr. Surg. 2011, 127, 496–504. [Google Scholar] [CrossRef]
- Guelinckx, P.J.; Boeckx, W.D.; Fossion, E.; Gruwez, J.A. Scanning electron microscopy of irradiated recipient blood vessels in head and neck free flaps. Plast. Reconstr. Surg. 1984, 74, 217–226. [Google Scholar] [CrossRef]
- Basavaraju, S.R.; Easterly, C.E. Pathophysiological effects of radiation on atherosclerosis development and progression, and the incidence of cardiovascular complications. Med. Phys. 2002, 29, 2391–2403. [Google Scholar] [CrossRef]
- Murros, K.E.; Toole, J.F. The effect of radiation on carotid arteries: A review article. Arch. Neurol. 1989, 46, 449–455. [Google Scholar] [CrossRef]
- Steele, S.R.; Martin, M.J.; Mullenix, P.S.; Crawford, J.V.; Cuadrado, D.S.; Andersen, C.A. Focused high-risk population screening for carotid arterial stenosis after radiation therapy for head and neck cancer. Am. J. Surg. 2004, 187, 594–598. [Google Scholar] [CrossRef]
- Sadrian, R.; Niederbichler, A.D.; Friedman, J.; Vogt, P.M.; Steinau, H.U.; Reece, G.; Evans, G.R. Intraarterial chemotherapy: The effects on free-tissue transfer. Plast. Reconstr. Surg. 2002, 109, 1254–1258. [Google Scholar] [CrossRef]
- Hassan, S.A.; Palaskas, N.; Kim, P.; Iliescu, C.; Lopez-Mattei, J.; Mouhayar, E.; Yusuf, S.W. Chemotherapeutic agents and the risk of ischemia and arterial thrombosis. Curr. Atheroscler. Rep. 2018, 20, 10. [Google Scholar] [CrossRef]
- Wang, Z.H.; Zhang, S.Z.; Zhang, Z.Y.; Zhang, C.P.; Hu, H.S.; Kirwan, J.; Mendenhall, W.M. The influence of intraarterial high-dose cisplatin with concomitant irradiation on arterial microanastomosis: An experimental study. Am. J. Clin. Oncol. 2009, 32, 158–162. [Google Scholar] [CrossRef]
- Ono, M.C.C.; Groth, A.K.; Silva, A.B.D.D.; Maluf Junior, I. Recipient vessel options in microsurgical breast reconstruction. Rev. Bras. Cir. Plást. 2013, 28, 227–232. [Google Scholar] [CrossRef]
- Lantieri, L.A.; Mitrofanoff, M.; Rimareix, F.; Gaston, E.; Raulo, Y.; Baruch, J.P. Use of circumflex scapular vessels as a recipient pedicle for autologous breast reconstruction: A report of 40 consecutive cases. Plast. Reconstr. Surg. 1999, 104, 2049–2053. [Google Scholar] [CrossRef]
- Longo, B.; Giacalone, M.; D’Orsi, G.; Gagliano, E.; Vannucchi, L.; Vanni, G.; Cervelli, V. Reverse-flow Thoracodorsal Artery: An Additional Perfusion Strategy for Breast Microsurgical Flaps. Plast. Reconstr. Surg.–Glob. Open 2025, 13, e7092. [Google Scholar] [CrossRef]





| Group A, n (%) | Group B, n (%) | Group C, n (%) | Group D, n (%) | p-Value | |
|---|---|---|---|---|---|
| No. patients | 33 | 44 | 43 | 47 | |
| Age (year) | 58.4 | 59.1 | 59.1 | 57.7 | 0.9669 |
| CT interval (day) | 726.9 | 614.1 | 757.5 | 867.3 | 0.0001 |
| RTx duration (day) | - | 26.0 | - | 32.4 | 0.0001 |
| BMI (Kg/m2) | 24.9 | 24.9 | 24.7 | 24.5 | 0.9584 |
| Diabetes mellitus | 2(6.1) | 6(13.6) | 6(14.0) | 5(10.6) | 0.7203 |
| Hypertension | 12(36.4) | 16(36.4) | 14(32.6) | 19(40.4) | 0.9042 |
| Smoking | 2(6.1) | 2(4.5) | 1(2.3) | 4(8.5) | 0.6804 |
| Group A | Group B | Group C | Group D | |||
|---|---|---|---|---|---|---|
| Affected side | Before treatment | TDA | 2.653 | 2.634 | 2.653 | 2.594 |
| (mm) | IMA | 2.484 | 2.416 | 2.487 | 2.442 | |
| After treatment | TDA | 2.620 | 2.396 | 2.624 | 2.396 | |
| IMA | 2.476 | 2.186 | 2.451 | 2.186 | ||
| Unaffected side | Before treatment | TDA | 2.646 | 2.644 | 2.711 | 2.616 |
| (mm) | IMA | 2.481 | 2.434 | 2.412 | 2.415 | |
| After treatment | TDA | 2.632 | 2.626 | 2.683 | 2.605 | |
| IMA | 2.470 | 2.420 | 2.405 | 2.410 |
| Group A | Group B | Group C | Group D | ||
|---|---|---|---|---|---|
| Affected side | TDA difference (p-value) | 0.032 (0.975) | 0.238 (<0.001) | 0.029 (0.975) | 0.198 (<0.001) |
| IMA difference (p-value) | 0.008 (0.644) | 0.231 (<0.001) | 0.037 (0.367) | 0.256 (<0.001) | |
| Unaffected side | TDA difference (p-value) | 0.014 (0.306) | 0.018 (0.003) | 0.028 (0.243) | 0.011 (0.413) |
| IMA difference (p-value) | 0.011 (0.043) | 0.015 (0.086) | 0.007 (0.601) | 0.063 (0.566) |
Disclaimer/Publisher’s Note: The statements, opinions and data contained in all publications are solely those of the individual author(s) and contributor(s) and not of MDPI and/or the editor(s). MDPI and/or the editor(s) disclaim responsibility for any injury to people or property resulting from any ideas, methods, instructions or products referred to in the content. |
© 2026 by the authors. Published by MDPI on behalf of the Lithuanian University of Health Sciences. Licensee MDPI, Basel, Switzerland. This article is an open access article distributed under the terms and conditions of the Creative Commons Attribution (CC BY) license.
Share and Cite
Choi, J.Y.; Kim, A.; Lee, J.; Jun, D.; Rhu, J.; Paik, P.S.; Lee, J.H. Effect of Adjuvant Treatments on Recipient Vessel Diameter for Free Flap Breast Reconstruction Using Computed Tomographic Angiography Analysis. Medicina 2026, 62, 265. https://doi.org/10.3390/medicina62020265
Choi JY, Kim A, Lee J, Jun D, Rhu J, Paik PS, Lee JH. Effect of Adjuvant Treatments on Recipient Vessel Diameter for Free Flap Breast Reconstruction Using Computed Tomographic Angiography Analysis. Medicina. 2026; 62(2):265. https://doi.org/10.3390/medicina62020265
Chicago/Turabian StyleChoi, Jong Yun, Ahran Kim, Junhyeok Lee, Daiwon Jun, Jiyoung Rhu, Pill Sun Paik, and Jung Ho Lee. 2026. "Effect of Adjuvant Treatments on Recipient Vessel Diameter for Free Flap Breast Reconstruction Using Computed Tomographic Angiography Analysis" Medicina 62, no. 2: 265. https://doi.org/10.3390/medicina62020265
APA StyleChoi, J. Y., Kim, A., Lee, J., Jun, D., Rhu, J., Paik, P. S., & Lee, J. H. (2026). Effect of Adjuvant Treatments on Recipient Vessel Diameter for Free Flap Breast Reconstruction Using Computed Tomographic Angiography Analysis. Medicina, 62(2), 265. https://doi.org/10.3390/medicina62020265

