Outcomes of Pars Plana Vitrectomy in Complicated Retinal Detachment Secondary to Retinal Capillary Hemangioblastoma
Abstract
1. Introduction
2. Materials and Methods
2.1. Study Design, Setting, and Sample
2.2. Eye Examination
2.3. Surgical Technique
2.4. Ethical Considerations
2.5. Statistical Analysis
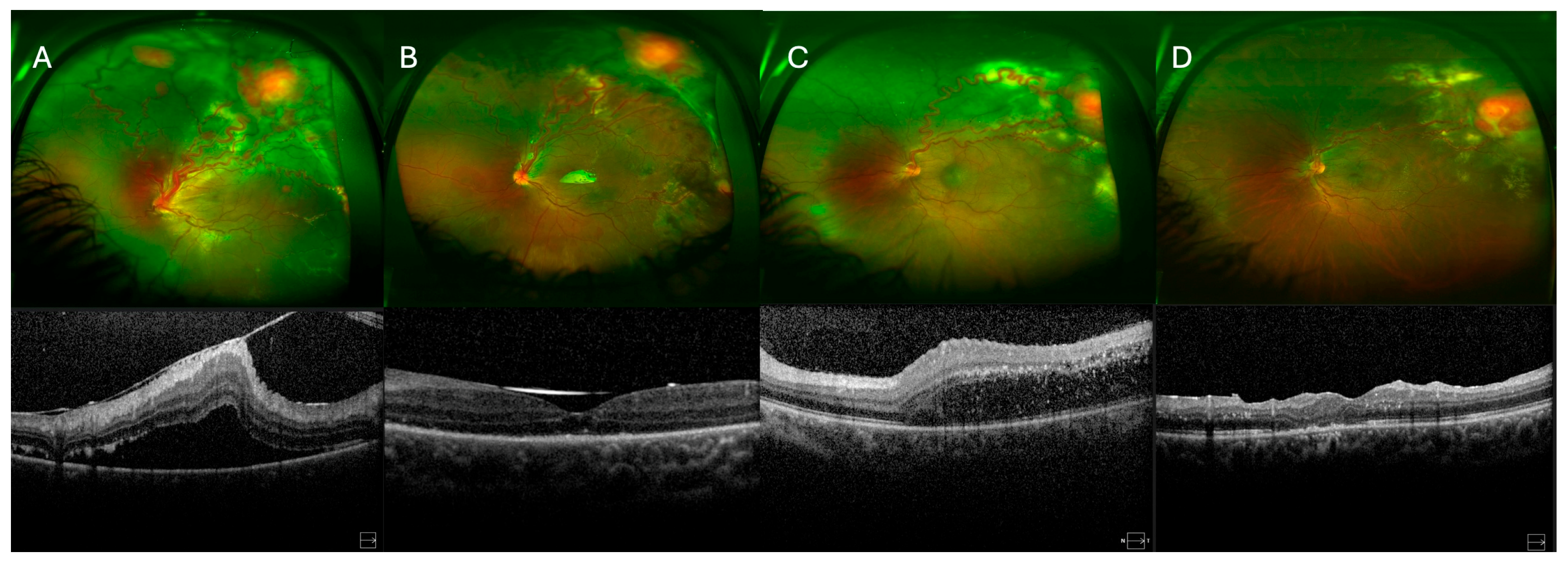
3. Results
| Case (n) | Pre-BCVA (Snellen) | Pre-BCVA (LogMAR) | Initial Surgery | Endoresection | Ligation |
|---|---|---|---|---|---|
| 1 | 5/200 | 1.6 | PPV, EL, SOI | Yes | Yes |
| 2 | 3/300 | 2.17 | PPV, EL, SOI | Yes | Yes |
| 3 | HM | 2.3 | PPV, EL, SOI | Yes | Yes |
| 4 | HM | 2.3 | PPV, EL, SOI | Yes | Yes |
| 5 | HM | 2.3 | PPV, EL, SOI | Yes | Yes |
| 6 | HM | 2.3 | PPV, EL, SOI | Yes | Yes |
| 7 | HM | 2.3 | PPV, EL, SOI | Yes | Yes |
| 8 | 20/400 | 1.3 | PPV, EL, gas | No | Yes |
| 9 | 4/200 | 1.69 | PPV, SOI | No | Yes |
| 10 | 20/300 | 1.17 | PPV, EL, Cryo, SOI | No | Yes |
| 11 | 20/400 | 1.3 | PPV, EL, Cryo, SOI | No | Yes |
| 12 | 20/300 | 1.17 | PPV, EL, Cryo, SOI | No | Yes |
| Case (n) | Additional Surgery | Surgeries (n) | Follow-Up (years) | Final Retinal Status | Post-BCVA (Snellen) | Post-BCVA (LogMAR) |
|---|---|---|---|---|---|---|
| 1 | Phaco, SO removal, MP | 2 | 5 | Attached | 20/200 | 1 |
| 2 | Phaco, SO removal | 2 | 8 | Attached | 20/70 | 0.54 |
| 3 | PPV, MP, SO removal | 3 | 3 | Attached | 20/200 | 1 |
| 4 | SO removal | 2 | 3 | Attached | 2/200 | 2 |
| 5 | SO removal, MP | 2 | 5 | Attached | 20/100 | 0.69 |
| 6 | SO removal, MP | 2 | 4 | Attached | 20/160 | 0.9 |
| 7 | SO removal | 2 | 5 | Attached | 20/70 | 0.54 |
| 8 | None | 1 | 4 | Attached | 20/200 | 1 |
| 9 | None | 1 | 5 | Attached | 20/200 | 1 |
| 10 | SO removal | 2 | 2 | Attached | 20/200 | 1 |
| 11 | PPV, MP | 4 | 4 | Detached with PVR | HM | 2.3 |
| 12 | PPV, MP | 3 | 7 | Detached with PVR | HM | 2.3 |
3.1. Anatomical Outcomes
3.2. Functional Outcomes
4. Discussion
4.1. Anatomical Outcomes
4.2. Functional Outcomes
4.3. Surgical Techniques and Considerations
4.4. Limitations and Future Directions
5. Conclusions
Supplementary Materials
Author Contributions
Funding
Institutional Review Board Statement
Informed Consent Statement
Conflicts of Interest
Abbreviations
| RD | Retinal Detachment |
| RCH | Retinal Capillary Hemangioblastoma |
| BCVA | Best-Corrected Visual Acuity |
| VHL | Von Hippel–Lindau |
| PPV | Pars Plana Vitrectomy |
| SD-OCT | Spectral-Domain Optical Coherence Tomography |
| DD | Disk Diameters |
| PVR | Proliferative Vitreoretinopathy |
| TRD | Tractional Retinal Detachment |
| ERD | Exudative Retinal Detachment |
| Anti-VEGF | Anti-Vascular Endothelial Growth Factor |
| Phaco | Phacoemulsification |
| Cryo | Cryotherapy |
| SO | Silicone Oil |
| SOI | Silicone Oil Injection |
| MP | Membrane Peeling |
| EL | Endolaser |
| HM | Hand Motion |
| LogMAR | Logarithm of the Minimum Angle of Resolution |
| ILM | Internal Limiting Membrane |
References
- Gass, J.D.; Braunstein, R. Sessile and exophytic capillary angiomas of the juxtapapillary retina and optic nerve head. Arch. Ophthalmol. 1980, 98, 1790–1797. [Google Scholar] [CrossRef] [PubMed]
- DeSouza, P.J.; Greven, C.M. Repair of combined traction-rhegmatogenous retinal detachment after cryoablation of a retinal capillary hemangioblastoma. Retin. Cases Brief Rep. 2022, 16, 149–152. [Google Scholar] [CrossRef] [PubMed]
- Wiley, H.E.; Krivosic, V.; Gaudric, A.; Gorin, M.B.; Shields, C.; Shields, J.; Aronow, M.E.; Chew, E.Y. Management of retinal hemangioblastoma in von hippel-lindau disease. Retina 2019, 39, 2254–2263. [Google Scholar] [CrossRef] [PubMed]
- Gaudric, A.; Krivosic, V.; Duguid, G.; Massin, P.; Giraud, S.; Richard, S. Vitreoretinal surgery for severe retinal capillary hemangiomas in von hippel-lindau disease. Ophthalmology 2011, 118, 142–149. [Google Scholar] [CrossRef] [PubMed]
- Krzystolik, K.; Stopa, M.; Kuprjanowicz, L.; Drobek-Slowik, M.; Cybulski, C.; Jakubowska, A.; Gronwald, J.; Lubiński, J.; Lubiński, W. Pars plana vitrectomy in advanced cases of von hippel-lindau eye disease. Retina 2016, 36, 325–334. [Google Scholar] [CrossRef] [PubMed]
- Avci, R.; Yilmaz, S.; Inan, U.U.; Kaderli, B.; Cevik, S.G. Vitreoretinal surgery for patients with severe exudative and proliferative manifestations of retinal capillary hemangioblastoma because of von hippel-lindau disease. Retina 2017, 37, 782–788. [Google Scholar] [CrossRef] [PubMed]
- Karacorlu, M.; Hocaoglu, M.; Muslubas, I.S.; Ersoz, M.G.; Arf, S. Therapeutic outcomes after endoresection of complex retinal capillary hemangioblastoma. Retina 2018, 38, 569–577. [Google Scholar] [CrossRef] [PubMed]
- McDonald, H.R.; Schatz, H.; Johnson, R.N.; Abrams, G.W.; Brown, G.C.; Brucker, A.J.; Han, D.P.; Lewis, H.; Mieler, W.F.; Meyers, S. Vitrectomy in eyes with peripheral retinal angioma associated with traction macular detachment. Ophthalmology 1996, 103, 329–335. [Google Scholar] [CrossRef] [PubMed]
- van Overdam, K.A.; Missotten, T.; Kilic, E.; Spielberg, L.H. Early surgical treatment of retinal hemangioblastomas. Acta Ophthalmol. 2017, 95, 97–102. [Google Scholar] [CrossRef] [PubMed]
- Farah, M.E.; Uno, F.; Höfling-Lima, A.L.; Morales, P.H.; Costa, R.A.; Cardillo, J.A. Transretinal feeder vessel ligature in von Hippel-Lindau disease. Eur. J. Ophthalmol. 2001, 11, 386–388. [Google Scholar] [CrossRef] [PubMed]
- Khurshid, G.S. Transvitreal endoresection of refractory retinal capillary hemangioblastoma after feeder vessel ligation. Ophthalmic. Surg. Lasers Imaging Retin. 2013, 44, 278–280. [Google Scholar] [CrossRef] [PubMed]
- Huang, Y.; Hu, W.; Huang, X. Retinal hemangioblastoma in a patient with Von Hippel-Lindau disease: A case report and literature review. Front. Oncol. 2022, 12, 963469. [Google Scholar] [CrossRef] [PubMed]
- Mallmann, F.; Maestri, M.K. Double peeling and endolaser ablation for retinal detachment in von Hippel-Lindau disease. Am. J. Ophthalmol. Case Rep. 2022, 28, 101728. [Google Scholar] [CrossRef] [PubMed]
- Schlesinger, T.; Appukuttan, B.; Hwang, T.; Atchaneeyakasul, L.O.; Chan, C.C.; Zhuang, Z.; Wilson, D.J. Internal en bloc resection and genetic analysis of retinal capillary hemangioblastoma. Arch. Ophthalmol. 2007, 125, 1189–1193. [Google Scholar] [CrossRef] [PubMed]
- Weng, C.Y. Transvitreal Feeder Vessel Ligation and En Bloc Resection of a Retinal Capillary Hemangioblastoma. Am. J. Ophthalmol. 2022, 237, e3–e5. [Google Scholar] [CrossRef] [PubMed]
- Suzuki, H.; Kakurai, K.; Morishita, S.; Kimura, D.; Fukumoto, M.; Sato, T.; Kida, T.; Ueki, M.; Sugasawa, J.; Ikeda, T. Vitrectomy for Tractional Retinal Detachment with Twin Retinal Capillary Hemangiomas in a Patient with Von Hippel-Lindau Disease: A Case Report. Case Rep. Ophthalmol. 2016, 7, 333–340. [Google Scholar] [CrossRef] [PubMed]
- Raval, V.R.; Agarwal, A.; Tyagi, M. Surgical and visual outcomes after vitreoretinal surgery for complex retinal capillary hemangioblastoma. Indian J. Ophthalmol. 2023, 71, 3544–3551. [Google Scholar] [CrossRef] [PubMed]



| Case (n) | Age (years) | Gender | Eye | Tumor Dimension (DD) | Subretinal Macular Exudate | Initial Retinal Status |
|---|---|---|---|---|---|---|
| 1 | 12 | Male | Left | 5 | Yes | ERD and TRD |
| 2 | 37 | Male | Right | 5 | Yes | TRD |
| 3 | 16 | Female | Right | 10 | No | TRD |
| 4 | 16 | Female | Right | 9 | Yes | ERD |
| 5 | 13 | Male | Right | 10 | Yes | TRD |
| 6 | 19 | Female | Left | 9 | Yes | TRD |
| 7 | 14 | Male | Right | 12 | Yes | TRD |
| 8 | 14 | Male | Left | 10 | Yes | ERD |
| 9 | 21 | Female | Left | 6 | No | TRD |
| 10 | 42 | Male | Left | 3 | No | ERD |
| 11 | 24 | Male | Left | 7 | No | ERD |
| 12 | 20 | Female | Right | 10 | No | ERD |
Disclaimer/Publisher’s Note: The statements, opinions and data contained in all publications are solely those of the individual author(s) and contributor(s) and not of MDPI and/or the editor(s). MDPI and/or the editor(s) disclaim responsibility for any injury to people or property resulting from any ideas, methods, instructions or products referred to in the content. |
© 2025 by the authors. Published by MDPI on behalf of the Lithuanian University of Health Sciences. Licensee MDPI, Basel, Switzerland. This article is an open access article distributed under the terms and conditions of the Creative Commons Attribution (CC BY) license (https://creativecommons.org/licenses/by/4.0/).
Share and Cite
Talli, P.M.; Adamo, G.G.; Vivarelli, C.; Nasini, F.; Pellegrini, M.; Parmeggiani, F.; Al-Dhibi, H.; Alsulaiman, S.; Badawi, A.H.; Judaibi, R.; et al. Outcomes of Pars Plana Vitrectomy in Complicated Retinal Detachment Secondary to Retinal Capillary Hemangioblastoma. Medicina 2025, 61, 1556. https://doi.org/10.3390/medicina61091556
Talli PM, Adamo GG, Vivarelli C, Nasini F, Pellegrini M, Parmeggiani F, Al-Dhibi H, Alsulaiman S, Badawi AH, Judaibi R, et al. Outcomes of Pars Plana Vitrectomy in Complicated Retinal Detachment Secondary to Retinal Capillary Hemangioblastoma. Medicina. 2025; 61(9):1556. https://doi.org/10.3390/medicina61091556
Chicago/Turabian StyleTalli, Pietro Maria, Ginevra Giovanna Adamo, Chiara Vivarelli, Francesco Nasini, Marco Pellegrini, Francesco Parmeggiani, Hassan Al-Dhibi, Sulaiman Alsulaiman, Abdulrahman H. Badawi, Ramzi Judaibi, and et al. 2025. "Outcomes of Pars Plana Vitrectomy in Complicated Retinal Detachment Secondary to Retinal Capillary Hemangioblastoma" Medicina 61, no. 9: 1556. https://doi.org/10.3390/medicina61091556
APA StyleTalli, P. M., Adamo, G. G., Vivarelli, C., Nasini, F., Pellegrini, M., Parmeggiani, F., Al-Dhibi, H., Alsulaiman, S., Badawi, A. H., Judaibi, R., Ferri, P., & Mura, M. (2025). Outcomes of Pars Plana Vitrectomy in Complicated Retinal Detachment Secondary to Retinal Capillary Hemangioblastoma. Medicina, 61(9), 1556. https://doi.org/10.3390/medicina61091556

