Perforated Calculous Cholecystitis and Incidental Squamous Cell Carcinoma of the Gallbladder—A Complex Relationship with a Difficult Management in the Acute Setting
Abstract
1. Introduction
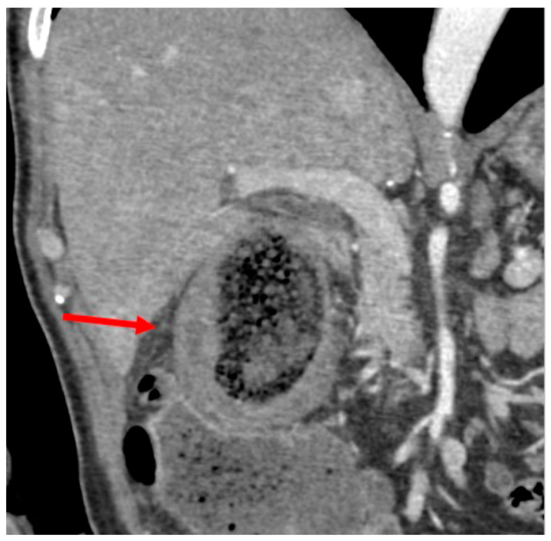
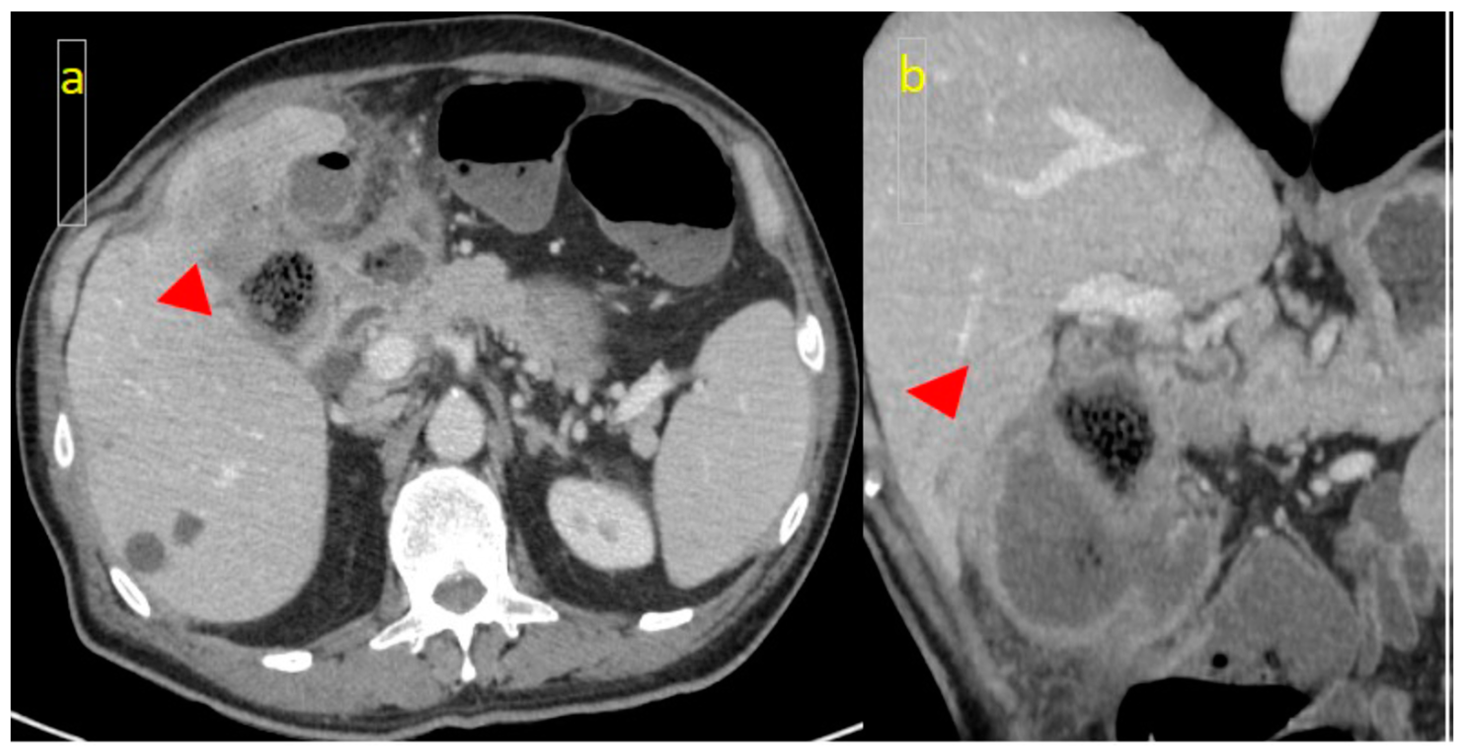
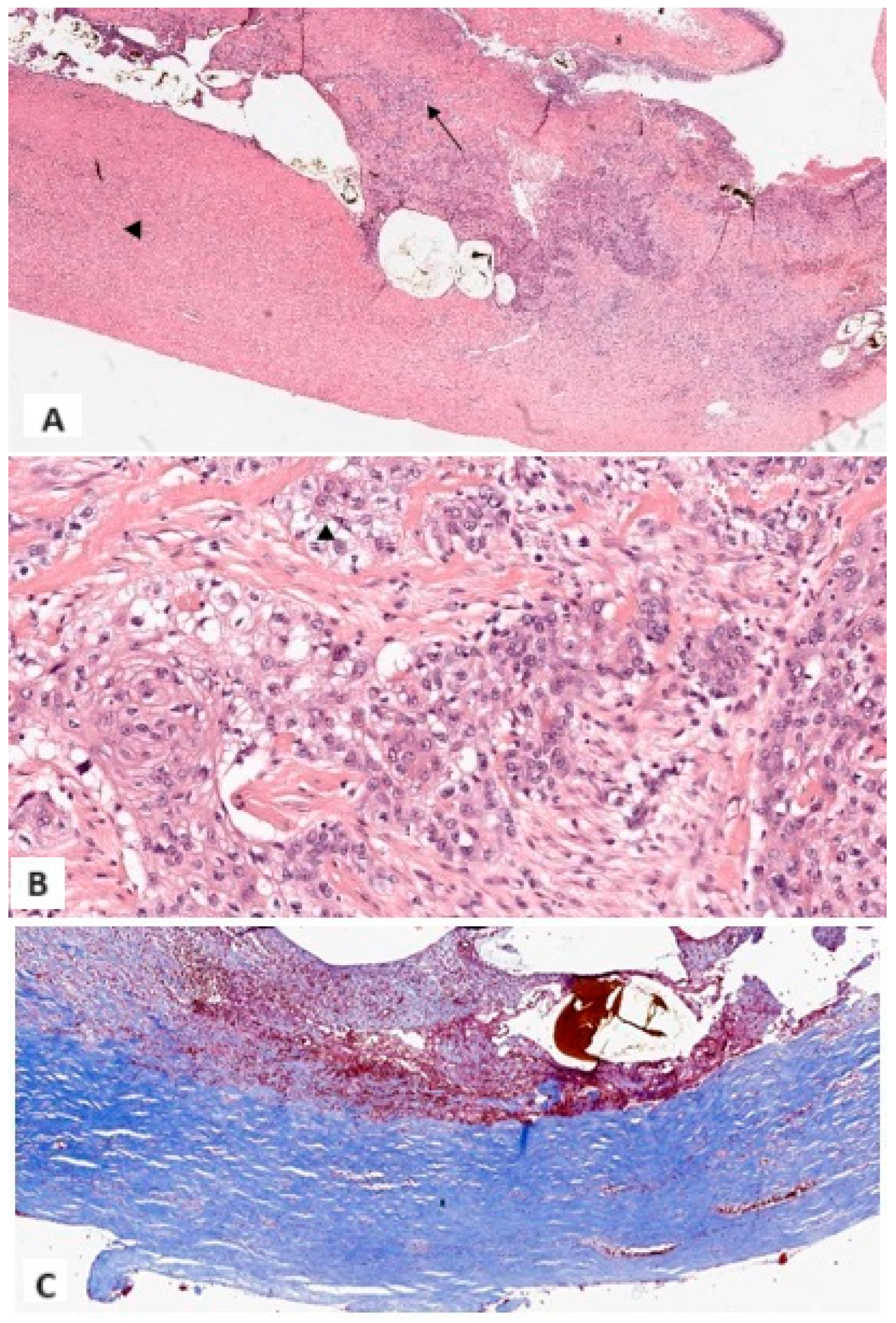
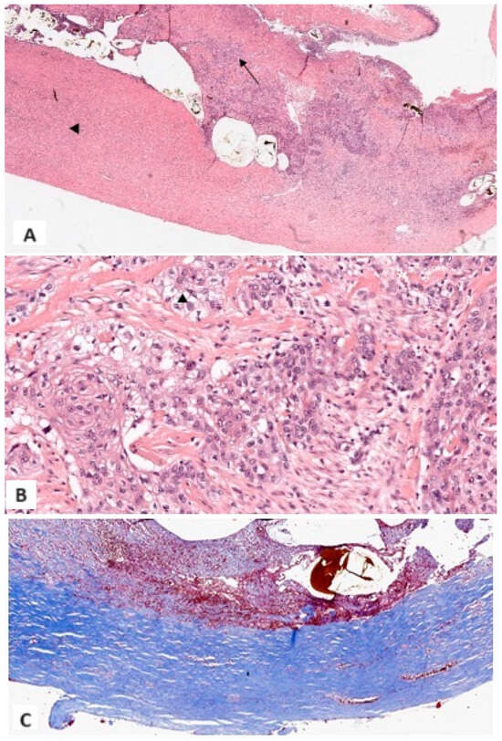
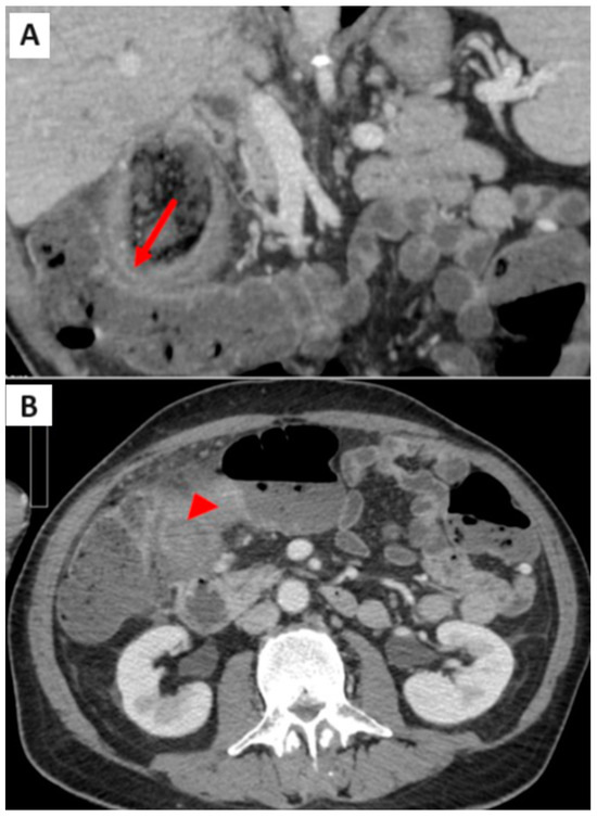
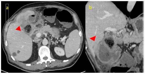
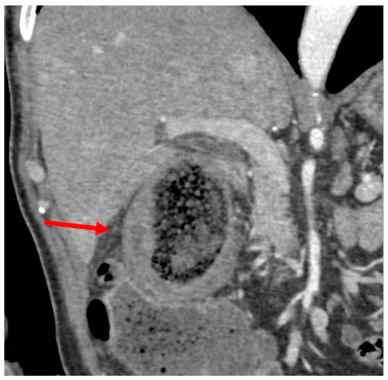
2. Case Report
3. Discussion
| Author | Year | Conclusions |
|---|---|---|
| Diehl et al. [39] | 1983 | GSs are a major risk factor for GBC. Large GSs increase the risk for GBC. With stone diameters 2.0–2.9 cm, the odds ratio (vs. stone < 1 cm) was 2.4; for stones 3 cm or larger, the ratio was 10.1. |
| Csendes et al. [41] | 2000 | In the asymptomatic GS group, there were significantly more patients with one stone, whereas in GBC patients, there were significantly more with multiple GSs. Patients with GBC had significantly larger GSs. |
| Serra et al. [40] | 2002 | The association between GSs and GBC is mediated by the length of time that the stones remain in the lumen of the gallbladder. Longer times permit chronic trauma to the mucosa, initiating a sequence of pathologic changes that can result in GBC. |
| Misra et al. [27] | 2003 | GS is an important risk factor for GBC and the epidemiological features of these two diseases are closely linked. |
| Wistuba et al. [28] | 2004 | GSs and chronic cholecystitis are important risk factors for GBC. |
| Roa et al. [42] | 2006 | GSs are considered the most important risk factor for GBC. Our data suggest that GS weight and volume are significantly higher in GBC than in matched controls. With GS volumes over 10 mL, the relative risk increases by 11 times. |
| Kapoor [38] | 2006 | GBC associates with GSs—incidence rates of GBC parallel GS prevalence rates. The role of prophylactic cholecystectomy in patients with asymptomatic GSs to prevent potential malignancies is controversial. |
| Hsing et al. [35] | 2007 | GSs are an important risk factor for all three subsites (gallbladder, extrahepatic bile ducts, and ampulla of Vater) of biliary cancer, particularly when complicated by chronic cholecystitis. |
| Miller et al. [43] | 2008 | The most important risk factor for GBC is cholelithiasis. |
| Cariati et al. [36] | 2014 | Gallbladder carcinoma is related to large and longstanding cholesterol or composite GSs. In our study, GSs were found in 72 of 75 GBC patients. |
| Hundal et al. [21] | 2014 | GS is an important risk factor for GBC, being present in almost ~85% of the cases. Further, GBC rates correlate well with the prevalence of GS disease. Groups with high GBC incidence also have a high prevalence of cholesterol GSs. |
| Jain et al. [25] | 2014 | Patients with GSs had a high frequency of preneoplastic lesions and accumulation of loss of heterozygosity at various tumor suppressor genes, suggesting a possible causal association of GSs with GBC. |
| Kanthan et al. [26] | 2015 | Gallstones cause chronic inflammation that eventually may result in tissue dysplasia. Considering the association between chronic cholecystitis and GBC, prophylactic cholecystectomy may be effective in preventing malignant degeneration. |
| Sharma et al. [37] | 2016 | The number of GBC is higher in populations with a high rate of GSs, especially containing higher concentration of organic components (cholesterol), and relatively larger-sized stones. |
| Calomino et al. [32] | 2021 | The chronic stimulation by GSs can generate an initial dysplasia that will subsequently turn into GBC. |
| Lam et al. [33] | 2021 | Chronic cholecystitis is invariably associated with cholelithiasis, and they share the same risk factors. Complications of chronic cholecystitis include GBC: up to 5% of cases of chronic cholecystitis have been found to have premalignant metaplastic lesions. |
| Zhu et al. [8] | 2023 | Age (≤58.5 vs. >58.5 years), size of GS (≤1.95 vs. >1.95 cm), course of GS (≤10 vs. >10 years), CEA (≤5 vs. >5 ng/mL), and CA 19-9 (≤37 vs. >37 U/mL) are independent risk factors for GBC in patients with GSs. When positive indicators were ≥2 among the five independent risk factors or the score of the nomogram was >82.64, the risk of GBC was high in gallstone patients. |
| Author | Year | Conclusions |
|---|---|---|
| Kao et al. [45] | 2005 | PC after cardiac transplantation is the preferred management strategy for these patients with incidental GSs, as it reduces mortality and results in significant cost savings per quality-adjusted life-year. |
| Mohandas et al. [46] | 2006 | PC is recommended in populations with high incidence of GBC. In high-risk regions of India, PC should be offered to young healthy women as soon as they get diagnosed with asymptomatic GSs. |
| Behari et al. [47] | 2012 | Management of asymptomatic GSs should be selective cholecystectomy in high-risk subgroups. |
| Illige et al. [48] | 2014 | Whenever the benefits of operative treatment outweigh the risks of observation, PC should be offered to patients at high risk of biliary cancer or disease-related complications. |
| Mathur et al. [18] | 2015 | In India, GBC is the commonest GI cancer in women and 4th commonest cancer overall in the female population. Considering the epidemiology and clinical scenario of GBC, the current evidence today seems to justify a strategy of PC in GSs in North India. |
| Muroni et al. [49] | 2015 | PC should be considered for sickle cell disease patients with asymptomatic GSs, as it is safe and helps avoid emergency operations. |
| Lee et al. [50] | 2022 | It is clinically justifiable to advocate PC to minimize complication-related morbidity. For patients with high-risk profiles, including individuals with solitary large stones (>1–3 cm) or multiple small stones (<1) that would only increase over time; organ transplant recipients; those with red blood cell abnormalities (e.g., sickle cell anemia); concurrent gallbladder polyps; biliary sludge occupying > 50% of the gallbladder volume; old but still fit patients with a high stone burden. |
| Liu et al. [54] | 2022 | We are more in favor of PC as a standard strategy to treat GSs after gastric cancer surgery |
| Alves et al. [55] | 2023 | PC is recommended after cardiac transplantation and in patients with biliary microlithiasis and low preoperative surgical risk. |
| Fujita et al. [31] | 2023 | In patients at high risk for GBC (i.e., stones > 3 cm, polyps > 10 mm, porcelain gallbladder, thickened gallbladder walls, stone-filled gallbladders), cholecystectomy should be considered. |
4. Conclusions
Author Contributions
Funding
Institutional Review Board Statement
Informed Consent Statement
Data Availability Statement
Conflicts of Interest
References
- Pisano, M.; Allievi, N.; Gurusamy, K.; Borzellino, G.; Cimbanassi, S.; Boerna, D.; Coccolini, F.; Tufo, A.; Di Martino, M.; Leung, J.; et al. 2020 World Society of Emergency Surgery updated guidelines for the diagnosis and treatment of acute calculus cholecystitis. World J. Emerg. Surg. 2020, 15, 61. [Google Scholar] [CrossRef] [PubMed]
- Jones, M.W.; Weir, C.B.; Ghassemzadeh, S. Gallstones (Cholelithiasis) [Updated 2023 Apr 24]. In StatPearls [Internet]; Stat Pearls Publishing: Treasure Island, FL, USA, 2024. [Google Scholar]
- Sun, D.; Niu, Z.; Zheng, H.X.; Wu, F.; Jiang, L.; Han, T.Q.; Wei, Y.; Wang, J.; Jin, L. A Mitochondrial DNA Variant Elevates the Risk of Gallstone Disease by Altering Mitochondrial Function. Cell Mol. Gastroenterol. Hepatol. 2021, 11, 1211–1226.e15. [Google Scholar] [CrossRef] [PubMed] [PubMed Central]
- Hanna, A.; Catena, F.; Ansaloni, L.; Coccolini, F.; Montori, G.; Di Saverio, S. Complicated acute cholecystitis: The surgeon’s perspective. Int. J. Surg. 2016, 33, 156–163. [Google Scholar]
- Roa, J.C.; García, P.; Kapoor, V.K.; Maithel, S.K.; Javle, M. Gallbladder cancer. Nat. Rev. Dis. Primers 2022, 8, 69. [Google Scholar] [CrossRef]
- Tazuma, S.; Kajiyama, G. Carcinogenesis of malignant lesions of the gall bladder. The impact of chronic inflammation and gallstones. Langenbecks Arch. Surg. 2001, 386, 224–229. [Google Scholar] [CrossRef] [PubMed]
- Goetze, T.O. Gallbladder carcinoma: Prognostic factors and therapeutic options. World J. Gastroenterol. 2015, 21, 12211–12217. [Google Scholar] [CrossRef]
- Zhu, Z.; Luo, K.; Zhang, B.; Wang, G.; Guo, K.; Huang, P.; Liu, Q. Risk factor analysis and construction of prediction models of gallbladder carcinoma in patients with gallstones. Front. Oncol. 2023, 13, 1037194. [Google Scholar] [CrossRef]
- Drury, L.J.; Ziarek, J.J.; Gravel, S.; Veldkamp, C.T.; Takekoshi, T.; Hwang, S.T.; Heveker, N.; Volkman, B.F.; Dwinell, M.B. Monomeric and dimeric CXCL12 inhibit metastasis through distinct CXCR4 interactions and signaling pathways. Proc. Natl. Acad. Sci. USA 2011, 108, 17655–17660. [Google Scholar] [CrossRef] [PubMed] [PubMed Central]
- Triner, D.; Shah, Y.M. Hypoxia-inducible factors: A central link between inflammation and cancer. J. Clin. Investig. 2016, 126, 3689–3698. [Google Scholar] [CrossRef]
- Li, W.; Zhang, X.; Sang, H.; Zhou, Y.; Shang, C.; Wang, Y.; Zhu, H. Effects of hyperglycemia on the progression of tumor diseases. J. Exp. Clin. Cancer Res. 2019, 38, 327. [Google Scholar] [CrossRef] [PubMed] [PubMed Central]
- Gu, J.; Yan, S.; Wang, B.; Shen, F.; Cao, H.; Fan, J.; Wang, Y. Type 2 diabetes mellitus and risk of gallbladder cancer: A systematic review and meta-analysis of observational studies. Diabetes Metab. Res. Rev. 2016, 32, 63–72. [Google Scholar] [CrossRef] [PubMed]
- Kimura, Y.; Takada, T.; Strasberg, S.M.; Pitt, H.A.; Gouma, D.J.; Garden, O.J.; Büchler, M.W.; Windsor, J.A.; Mayumi, T.; Yoshida, M.; et al. TG13 current terminology, etiology, and epidemiology of acute cholangitis and cholecystitis. J. Hepatobiliary Pancreat. Sci. 2013, 20, 8–23. [Google Scholar] [CrossRef] [PubMed]
- Cho, J.Y.; Han, H.S.; Yoon, Y.S.; Ahn, K.S. Risk factors for acute cholecystitis and a complicated clinical course in patients with symptomatic cholelithiasis. Arch. Surg. 2010, 145, 329–333, Discussion 333. [Google Scholar] [CrossRef] [PubMed]
- Gomi, H.; Solomkin, J.S.; Schlossberg, D.; Okamoto, K.; Takada, T.; Strasberg, S.M.; Ukai, T.; Endo, I.; Iwashita, Y.; Hibi, T.; et al. Tokyo Guidelines 2018: Antimicrobial therapy for acute cholangitis and cholecystitis. J. Hepato-Biliary-Pancreat. Sci. 2018, 25, 3–16. [Google Scholar] [CrossRef]
- Nikfarjam, M.; Niumsawatt, V.; Sethu, C.; Fink, M.A.; Starkey, G.; Muralidharan, V.; Christophi, C. Out-comes of contemporary management of perforated gallbladders. ANZ J. Surg. 2015, 85, 713–718. [Google Scholar]
- Rawla, P.; Sunkara, T.; Thandra, K.C.; Barsouk, A. Epidemiology of gallbladder cancer. Clin. Exp. Hepatol. 2019, 5, 93–102. [Google Scholar] [CrossRef] [PubMed] [PubMed Central]
- Mathur, A.V. Need for Prophylactic Cholecystectomy in Silent Gall Stones in North India. Indian. J. Surg. Oncol. 2015, 6, 251–255. [Google Scholar] [CrossRef] [PubMed] [PubMed Central]
- Lau, C.S.M.; Zywot, A.; Mahendraraj, K.; Chamberlain, R.S. Gallbladder Carcinoma in the United States: A Population Based Clinical Outcomes Study Involving 22,343 Patients from the Surveillance, Epidemiology, and End Result Database (1973–2013). HPB Surg. 2017, 2017, 1532835. [Google Scholar] [CrossRef] [PubMed] [PubMed Central]
- Sharma, A.; Sharma, K.L.; Gupta, A.; Yadav, A.; Kumar, A. Gallbladder cancer epidemiology, pathogenesis and molecular genetics: Recent update. World J. Gastroenterol. 2017, 23, 3978–3998. [Google Scholar] [CrossRef]
- Hundal, R.; Shaffer, E.A. Gallbladder cancer: Epidemiology and outcome. Clin. Epidemiol. 2014, 6, 99–109. [Google Scholar] [CrossRef] [PubMed] [PubMed Central]
- Rakić, M.; Patrlj, L.; Kopljar, M.; Kliček, R.; Kolovrat, M.; Loncar, B.; Busic, Z. Gallbladder cancer. Hepatobiliary Surg. Nutr. 2014, 3, 221–226. [Google Scholar] [PubMed]
- Howlader, N.; Noone, A.M.; Krapcho, M.; Miller, D.; Bishop, K.; Kosary, C.L.; Yu, M.; Ruhl, J.; Tatalovich, Z.; Mariotto, A.; et al. SEER Cancer Statistics Review, 1975–2014; National Cancer Institute: Bethesda, MD, USA, 2017. [Google Scholar]
- SEER*Explorer: An Interactive Website for SEER Cancer Statistics—Surveillance Research Program; National Cancer Institute: Bethesda, MD, USA, 2024.
- Jain, K.; Mohapatra, T.; Das, P.; Misra, M.C.; Gupta, S.D.; Ghosh, M.; Kabra, M.; Bansal, V.K.; Kumar, S.; Sreenivas, V.; et al. Sequential Occurrence of Preneoplastic Lesions and Accumulation of Loss of Heterozygosity in Patients with Gallbladder Stones Suggest Causal Association with Gallbladder Cancer. Ann. Surg. 2014, 260, 1073–1080. [Google Scholar] [CrossRef]
- Kanthan, R.; Senger, J.L.; Ahmed, S.; Kanthan, S.C. Gallbladder Cancer in the 21st Century. J. Oncol. 2015, 2015, 967472. [Google Scholar] [CrossRef] [PubMed] [PubMed Central]
- Misra, S.; Chaturvedi, A.; Misra, N.C.; Sharma, I.D. Carcinoma of the gallbladder. Lancet Oncol. 2003, 4, 167–176. [Google Scholar] [CrossRef]
- Wistuba, I.I.; Gazdar, A.F. Gallbladder cancer: Lessons from a rare tumour. Nat. Rev. Cancer 2004, 4, 695–706. [Google Scholar] [CrossRef] [PubMed]
- Hsing, A.W.; Sakoda, L.C.; Rashid, A.; Chen, J.; Shen, M.C.; Han, T.Q.; Wang, B.S.; Gao, Y.T. Body size and the risk of biliary tract cancer: A population-based study in China. Br. J. Cancer 2008, 99, 811–815. [Google Scholar] [CrossRef] [PubMed] [PubMed Central]
- Mhatre, S.; Wang, Z.; Nagrani, R.; Badwe, R.; Chiplunkar, S.; Mittal, B.; Yadav, S.; Zhang, H.; Chung, C.C.; Patil, P.; et al. Common genetic variation and risk of gallbladder cancer in India: A case-control genome-wide association study. Lancet Oncol. 2017, 18, 535–544. [Google Scholar] [CrossRef] [PubMed]
- Fujita, N.; Yasuda, I.; Endo, I.; Isayama, H.; Iwashita, T.; Ueki, T.; Uemura, K.; Umezawa, A.; Katanuma, A.; Katayose, Y.; et al. Evidence-based clinical practice guidelines for cholelithiasis 2021. J. Gastroenterol. 2023, 58, 801–833. [Google Scholar] [CrossRef] [PubMed] [PubMed Central]
- Calomino, N.; Scheiterle, M.L.P.F.; Fusario, D.; La Francesca, N.; Martellucci, I.; Marrelli, D. Porcelain gallbladder and its relationship to cancer. Eur. Surg. 2021, 53, 311–316. [Google Scholar] [CrossRef]
- Lam, R.; Zakko, A.; Petrov, J.C.; Kumar, P.; Duffy, A.J.; Muniraj, T. Gallbladder Disorders: A Comprehensive Review. Dis. Mon. 2021, 67, 101130. [Google Scholar] [CrossRef] [PubMed]
- Muszynska, C.; Lundgren, L.; Lindell, G.; Andersson, R.; Nilsson, J.; Sandström, P.; Andersson, B. Predictors of incidental gallbladder cancer in patients undergoing cholecystectomy for benign gallbladder disease: Results from a population-based gallstone surgery registry. Surgery 2017, 162, 256–263. [Google Scholar] [CrossRef] [PubMed]
- Hsing, A.W.; Gao, Y.T.; Han, T.Q.; Rashid, A.; Sakoda, L.C.; Wang, B.S.; Shen, M.C.; Zhang, B.H.; Niwa, S.; Chen, J.; et al. Gallstones and the risk of biliary tract cancer: A population-based study in China. Br. J. Cancer 2007, 97, 1577–1582. [Google Scholar] [CrossRef] [PubMed] [PubMed Central]
- Cariati, A.; Piromalli, E.; Cetta, F. Gallbladder cancers: Associated conditions, histological types, prognosis, and prevention. Eur. J. Gastroenterol. Hepatol. 2014, 26, 562–569. [Google Scholar] [CrossRef] [PubMed]
- Sharma, R.K.; Sonkar, K.; Sinha, N.; Rebala, P.; Albani, A.E.; Behari, A.; Reddy, D.N.; Farooqui, A.; Kapoor, V.K. Gallstones: A Worldwide Multifaceted Disease and Its Correlations with Gallbladder Carcinoma. PLoS ONE 2016, 11, e0166351. [Google Scholar] [CrossRef] [PubMed] [PubMed Central]
- Kapoor, V.K. Gallbladder cancer: A global perspective. J. Surg. Oncol. 2006, 93, 607–609. [Google Scholar] [CrossRef] [PubMed]
- Diehl, A.K. Gallstone size and the risk of gallbladder cancer. JAMA 1983, 250, 2323–2326. [Google Scholar] [CrossRef]
- Serra, I.; Diehl, A.K. Number and size of stones in patients with asymptomatic and symptomatic gallstones and gallbladdercarcinoma. J. Gastrointest. Surg. 2002, 6, 272–273. [Google Scholar] [CrossRef]
- Csendes, A.; Becerra, M.; Rojas, J.; Medina, E. Number and size of stones in patients with asymptomatic and symptomatic gallstones and gallbladder carcinoma: A prospective study of 592 cases. J. Gastrointest. Surg. 2000, 4, 481–485. [Google Scholar] [CrossRef] [PubMed]
- Roa, I.; Ibacache, G.; Roa, J.; Araya, J.; De Aretxabala, X.; Muñoz, S. Gallstones and gallbladder cancer-volume and weight of gallstones are associated with gallbladder cancer: A case-control study. J. Surg. Oncol. 2006, 93, 624–628. [Google Scholar] [CrossRef]
- Miller, G.; Jarnagin, W.R. Gallbladder carcinoma. Eur. J. Surg. Oncol. 2008, 34, 306–312. [Google Scholar] [CrossRef]
- Mayo, W.J. Innocent gall-stones a myth. JAMA 1911, LVI, 1021–1024. [Google Scholar] [CrossRef][Green Version]
- Kao, L.S.; Flowers, C.; Flum, D.R. Prophylactic cholecystectomy in transplant patients: A decision analysis. J. Gastrointest. Surg. 2005, 9, 965–972. [Google Scholar] [CrossRef] [PubMed]
- Mohandas, K.M.; Patil, P.S. Cholecystectomy for asymptomatic gallstones can reduce gall bladder cancer mortality in northern Indian women. Indian J. Gastroenterol. 2006, 25, 147–151. [Google Scholar] [PubMed]
- Behari, A.; Kapoor, V.K. Asymptomatic Gallstones (AsGS)—To Treat or Not to? Indian J. Surg. 2012, 74, 4–12. [Google Scholar] [CrossRef] [PubMed] [PubMed Central]
- Illige, M.; Meyer, A.; Kovach, F. Surgical treatment for asymptomatic cholelithiasis. Am. Fam. Physician 2014, 89, 468–470. [Google Scholar] [PubMed]
- Muroni, M.; Loi, V.; Lionnet, F.; Girot, R.; Houry, S. Prophylactic laparoscopic cholecystectomy in adult sickle cell disease patients with cholelithiasis: A prospective cohort study. Int. J. Surg. 2015, 22, 62–66. [Google Scholar] [CrossRef] [PubMed]
- Lee, B.J.H.; Yap, Q.V.; Low, J.K.; Chan, Y.H.; Shelat, V.G. Cholecystectomy for asymptomatic gallstones: Markov decision tree analysis. World J. Clin. Cases 2022, 10, 10399–10412. [Google Scholar] [CrossRef]
- Gurusamy, K.S.; Davidson, B.R. Gallstones. BMJ 2014, 348, g2669. [Google Scholar] [CrossRef] [PubMed]
- Kihara, Y.; Yokomizo, H.; Murotani, K. Impact of acute cholecystitis comorbidity on prognosis after surgery for gallbladder cancer: A propensity score analysis. World J. Surg. Oncol. 2023, 21, 109. [Google Scholar] [CrossRef] [PubMed] [PubMed Central]
- Argiriov, Y.; Dani, M.; Tsironis, C.; Koizia, L.J. Cholecystectomy for Complicated Gallbladder and Common Biliary Duct Stones: Current Surgical Management. Front. Surg. 2020, 7, 42. [Google Scholar] [CrossRef] [PubMed]
- Liu, H.; Liu, J.; Xu, W.; Chen, X. Prophylactic cholecystectomy: A valuable treatment strategy for cholecystolithiasis after gastric cancer surgery. Front. Oncol. 2022, 12, 897853. [Google Scholar] [CrossRef] [PubMed]
- Alves, J.R.; Klock, D.M.; Ronzani, F.G.; Santos, S.L.D.; Amico, E.C. Asymptomatic Cholelithiasis: Expectant or Cholecystectomy. A Systematic Review. Arq. Bras. Cir. Dig. 2023, 36, e1747. [Google Scholar] [CrossRef] [PubMed] [PubMed Central]
- Wang, W.; Li, N. The association of gallstone disease and diabetes mellitus. Meta-Anal. Saudi Med. J. 2014, 35, 1005–1012. [Google Scholar]
- Stinton, L.M.; Shaffer, E.A. Epidemiology of gallbladder disease: Cholelithiasis and cancer. Gut Liver 2012, 6, 172–187. [Google Scholar] [CrossRef] [PubMed] [PubMed Central]
- Stone, B.G.; Gavaler, J.S.; Belle, S.H.; Shreiner, D.P.; Peleman, R.R.; Sarva, R.P.; Yingvorapant, N.; Van Thiel, D.H. Impairment of gallbladder emptying in diabetes mellitus. Gastroenterology 1988, 95, 170–176. [Google Scholar] [CrossRef] [PubMed]
- de Boer, S.Y.; Masclee, A.A.; Jebbink, M.C.; Schipper, J.; Lemkes, H.H.; Jansen, J.B.; Lamers, C.B. Effect of acute hyperglycaemia on gall bladder contraction induced by cholecystokinin in humans. Gut 1993, 34, 1128–1132. [Google Scholar] [CrossRef] [PubMed] [PubMed Central]
- Ren, H.B.; Yu, T.; Liu, C.; Li, Y.Q. Diabetes mellitus and increased risk of biliary tract cancer: Systematic review and meta-analysis. Cancer Causes Control. 2011, 22, 837–847. [Google Scholar] [CrossRef] [PubMed]
- Park, J.H.; Hong, J.Y.; Park, Y.S.; Kang, G.; Han, K.; Park, J.O. Association of prediabetes, diabetes, and diabetes duration with biliary tract cancer risk: A nationwide cohort study. Metabolism 2021, 123, 154848. [Google Scholar] [CrossRef] [PubMed]
- Jain, K.; Sreenivas, V.; Velpandian, T.; Kapil, U.; Garg, P.K. Risk factors for gallbladder cancer: A case-control study. Int. J. Cancer 2013, 132, 1660–1666. [Google Scholar] [CrossRef]
- Lai, H.C.; Chang, S.N.; Lin, C.C.; Chen, C.C.; Chou, J.W.; Peng, C.Y.; Lai, S.W.; Sung, F.C.; Li, Y.F. Does diabetes mellitus with or without gallstones increase the risk of gallbladder cancer? Results from a population-based cohort study. J. Gastroenterol. 2013, 48, 856–865. [Google Scholar] [CrossRef] [PubMed]
- Elf, S.E.; Chen, J. Targeting glucose metabolism in patients with cancer. Cancer 2014, 120, 774–780. [Google Scholar] [CrossRef] [PubMed] [PubMed Central]
- Ryu, T.Y.; Park, J.; Scherer, P.E. Hyperglycemia as a risk factor for cancer progression. Diabetes Metab. J. 2014, 38, 330–336. [Google Scholar] [CrossRef] [PubMed] [PubMed Central]
- Ramteke, P.; Deb, A.; Shepal, V.; Bhat, M.K. Hyperglycemia Associated Metabolic and Molecular Alterations in Cancer Risk, Progression, Treatment, and Mortality. Cancers 2019, 11, 1402. [Google Scholar] [CrossRef] [PubMed] [PubMed Central]
- Rask-Madsen, C.; King, G.L. Vascular complications of diabetes: Mechanisms of injury and protective factors. Cell Metab. 2013, 17, 20–33. [Google Scholar] [CrossRef] [PubMed] [PubMed Central]
- Li, W.; Liu, H.; Qian, W.; Cheng, L.; Yan, B.; Han, L.; Xu, Q.; Ma, Q.; Ma, J. Hyperglycemia aggravates microenvironment hypoxia and promotes the metastatic ability of pancreatic cancer. Comput. Struct. Biotechnol. J. 2018, 16, 479–487. [Google Scholar] [CrossRef] [PubMed] [PubMed Central]
- Karamanos, E.; Sivrikoz, E.; Beale, E.; Chan, L.; Inaba, K.; Demetriades, D. Effect of diabetes on outcomes in patients undergoing emergent cholecystectomy for acute cholecystitis. World J. Surg. 2013, 37, 2257–2264. [Google Scholar] [CrossRef] [PubMed]
- Jing, C.; Wang, Z.; Fu, X. Effect of diabetes mellitus on survival in patients with gallbladder Cancer: A systematic review and meta-analysis. BMC Cancer 2020, 20, 689. [Google Scholar] [CrossRef] [PubMed] [PubMed Central]
- McKinley, S.K.; Brunt, L.M.; Schwaitzberg, S.D. Prevention of bile duct injury: The case for incorporating educational theories of expertise. Surg. Endosc. 2014, 28, 3385–3391. [Google Scholar] [CrossRef] [PubMed]
- Radunovic, M.; Lazovic, R.; Popovic, N.; Magdelinic, M.; Bulajic, M.; Radunovic, L.; Vukovic, M.; Radunovic, M. Complications of Laparoscopic Cholecystectomy: Our Experience from a Retrospective Analysis. Open Access Maced. J. Med. Sci. 2016, 4, 641–646. [Google Scholar] [CrossRef] [PubMed] [PubMed Central]
- Health Ministry of Chile. Problema de Salud AUGE N 26. Cholecistectomía Preventiva del Cáncer de Vésicula en Personas de 35 a 49 Años; Health Ministry of Chile: Santiago, Chile, 2015. [Google Scholar]
- Global Cancer Observatory. International Agency for Research on Cancer. World Health Organization. 2022. Available online: https://www.google.com/url?sa=t&source=web&rct=j&opi=89978449&url=https://gco.iarc.who.int/media/globocan/factsheets/populations/152-chile-fact-sheet.pdf&ved=2ahUKEwjj-eiw-vCLAxUO3QIHHUiKJdAQFnoECBEQAQ&usg=AOvVaw35e_iPxf4b2XCaM8DraKC (accessed on 25 January 2025).
- Boekstegers, F.; Scherer, D.; Barahona Ponce, C.; Marcelain, K.; Gárate-Calderón, V.; Waldenberger, M.; Morales, E.; Rojas, A.; Munoz, C.; Retamales, J.; et al. Development and internal validation of a multifactorial risk prediction model for gallbladder cancer in a high-incidence country. Int. J. Cancer 2023, 153, 1151–1161. [Google Scholar] [CrossRef] [PubMed]
- Gonzalez, C.; García-Pérez, A.; Nervi, B.; Munoz, C.; Morales, E.; Losada, H.; Merino-Pereira, G.; Rothhammer, F.; Lorenzo Bermejo, J. Cholecystectomy and digestive cancer in Chile: Complementary results from interrupted time series and aggregated data analyses. Int. J. Cancer 2025, 156, 91–103. [Google Scholar] [CrossRef] [PubMed]
- Gourgiotis, S.; Kocher, H.M.; Solaini, L.; Yarollahi, A.; Tsiambas, E.; Salemis, N.S. Gallbladder cancer. Am. J. Surg. 2008, 196, 252–264. [Google Scholar] [CrossRef] [PubMed]
- Wiles, R.; Varadpande, M.; Muly, S.; Webb, J. Growth rate and malignant potential of small gallbladder polyps: Systematic review of evidence. Surgeon 2014, 12, 221–226. [Google Scholar] [CrossRef]
- Lewis, J.T.; Talwalkar, J.A.; Rosen, C.B.; Smyrk, T.C.; Abraham, S.C. Prevalence and risk factors for gallbladder neoplasia in patients with primary sclerosing cholangitis: Evidence for a metaplasia-dysplasia-carcinoma sequence. Am. J. Surg. Pathol. 2007, 31, 907–913. [Google Scholar] [CrossRef]
- Portincasa, P.; Di Ciaula, A.; van Berge-Henegouwen, G.P. Smooth muscle function and dysfunction in gallbladder disease. Curr. Gastroenterol. Rep. 2004, 6, 151–162. [Google Scholar] [CrossRef] [PubMed]
- Wu, Y.; Meng, D.; You, Y.; Sun, R.; Fu, M.; Yan, Q.; Zhang, S.; Fang, Z.; Bao, J.; Li, Y. Hypoxia Inducible Factor-1alpha (HIF-1A) plays different roles in Gallbladder Cancer and Normal Gallbladder Tissues. J. Cancer 2021, 12, 827–839. [Google Scholar] [CrossRef] [PubMed] [PubMed Central]
- Na, L.; Masuda, S.; Nagao, S.; Morisaki, S.; Iwamoto, N.; Sakanashi, K.; Onishi, H. C4orf47 Contributes to the Induction of Stem-like Properties in Gallbladder Cancer Under Hypoxia. Anticancer Res. 2023, 43, 1925–1932. [Google Scholar] [CrossRef] [PubMed]
- Chatterjee, S.; Behnam Azad, B.; Nimmagadda, S. The intricate role of CXCR4 in cancer. Adv. Cancer Res. 2014, 124, 31–82. [Google Scholar] [CrossRef] [PubMed] [PubMed Central]
- Zhao, H.; Guo, L.; Zhao, H.; Zhao, J.; Weng, H.; Zhao, B. CXCR4 over-expression and survival in cancer: A system review and meta-analysis. Oncotarget 2015, 6, 5022–5040. [Google Scholar] [CrossRef] [PubMed] [PubMed Central]
- Lee, H.J.; Lee, K.; Lee, D.G.; Bae, K.H.; Kim, J.S.; Liang, Z.L.; Huang, S.M.; Suk Oh, Y.; Kim, H.Y.; Jo, D.Y.; et al. Chemokine (C-X-C motif) ligand 12 is associated with gallbladder carcinoma progression and is a novel independent poor prognostic factor. Clin. Cancer Res. 2012, 18, 3270–3280. [Google Scholar] [CrossRef] [PubMed]
- Yu, X.; Lu, W.; Ng, C.W.; Xu, S.; Wu, Y.; Chen, S.; Gao, Y.; Zhang, Y.; Zhang, Q.; Xu, Y.; et al. Computer-aided assessment of the chemokine receptors CXCR3, CXCR4 and CXCR7 expression in gallbladder carcinoma. J. Cell Mol. Med. 2020, 24, 7670–7674. [Google Scholar] [CrossRef] [PubMed] [PubMed Central]
- Yao, X.; Zhou, L.; Han, S.; Chen, Y. High expression of CXCR4 and CXCR7 predicts poor survival in gallbladder cancer. J. Int. Med. Res. 2011, 39, 1253–1264. [Google Scholar] [CrossRef] [PubMed]
- Semenza, G.L. Hypoxia-inducible factors: Mediators of cancer progression and targets for cancer therapy. Trends Pharmacol. Sci. 2012, 33, 207–214. [Google Scholar] [CrossRef] [PubMed] [PubMed Central]
- Vakkala, M.; Laurila, J.J.; Saarnio, J.; Koivukangas, V.; Syrjälä, H.; Karttunen, T.; Soini, Y.; Ala-Kokko, T.I. Cellular turnover and expression of hypoxic-inducible factor in acute acalculous and calculous cholecystitis. Crit. Care 2007, 11, R116. [Google Scholar] [CrossRef] [PubMed] [PubMed Central]
- Batmunkh, E.; Shimada, M.; Morine, Y.; Imura, S.; Kanemura, H.; Arakawa, Y.; Hanaoka, J.; Kanamoto, M.; Sugimoto, K.; Nishi, M. Expression of hypoxia-inducible factor-1 alpha (HIF-1alpha) in patients with the gallbladder carcinoma. Int. J. Clin. Oncol. 2010, 15, 59–64. [Google Scholar] [CrossRef] [PubMed]
- Takahashi, H.; Irri, A.; Fenig, Y.; Byale, A.; Thung, S.; Gunasekaran, G. Systematic review of squamous cell carcinoma of the gallbladder. Am. J. Surg. 2022, 224, 863–868. [Google Scholar] [CrossRef] [PubMed]
- Perisetti, A.; Raghavapuram, S.; Tharian, B.; Warraich, I.; Hardwicke, F.; Rahman, R.; Onkendi, E. Pure Squamous Cell Carcinoma of the Gallbladder Masquerading as a Hepatic Mass. Cureus 2018, 10, e2011. [Google Scholar] [CrossRef] [PubMed] [PubMed Central]
- Roa, J.C.; Tapia, O.; Cakir, A.; Basturk, O.; Dursun, N.; Akdemir, D.; Saka, B.; Losada, H.; Bagci, P.; Adsay, N.V. Squamouscell and adenosquamous carcinomas of the gallbladder: Clinicopathologicalanalysis of 34 cases identified in 606 carcinomas. Mod. Pathol. 2011, 24, 1069–1078. [Google Scholar] [CrossRef] [PubMed]
- Chen, X.; Zhou, Y.; Xu, Q.; Pu, D.; Shu, X.; Wei, G.; Qiu, M. Clinical Characteristics and Outcome Between Gallbladder Squamous Cell Carcinoma and Adenocarcinoma: A Propensity Matched Analysis Based on the Surveillance, Epidemiology, and End Results Database. Front. Oncol. 2022, 12, 833447. [Google Scholar] [CrossRef] [PubMed] [PubMed Central]
- Franco, N.F.; Lau, N.S.; Liu, W.M.; Rahim, A.; Fadia, M.; Chua, Y.J.; Jain, A.; Yip, D.; Gananadha, S. Outcomes of patients with gallbladder cancer presenting with acute cholecystitis. Langenbecks Arch. Surg. 2024, 409, 73. [Google Scholar] [CrossRef] [PubMed] [PubMed Central]
- Lin, S.H.; Chang, F.Y.; Yang, Y.S.; Jin, J.S.; Chen, T.W. Rare gallbladder adenomyomatosis presenting as atypical cholecystitis: Case report. BMC Gastroenterol. 2011, 11, 106. [Google Scholar] [CrossRef] [PubMed] [PubMed Central]
- Iwasa, Y.; Iwata, K.; Okuno, M.; Sugiyama, A.; Nishigaki, Y.; Ohashi, Y.; Tanaka, T.; Iwashita, T.; Shimizu, M.; Tomita, E. A Case of Early-Stage Gallbladder Cancer, Positive for ALDH1A1, Which Arose from Adenomyomatosis of the Gallbladder. Diagnostics 2022, 12, 2721. [Google Scholar] [CrossRef]
- Nabatame, N.; Shirai, Y.; Nishimura, A.; Yokoyama, N.; Wakai, T.; Hatakeyama, K. High risk of gallbladder carcinoma in elderly patients with segmental adenomyomatosis of the gallbladder. J. Exp. Clin. Cancer Res. 2004, 23, 593–598. [Google Scholar] [PubMed]
- Koshiol, J.; Wozniak, A.; Cook, P.; Adaniel, C.; Acevedo, J.; Azócar, L.; Hsing, A.W.; Roa, J.C.; Pasetti, M.F.; Miquel, J.F.; et al. Salmonella enterica serovar Typhi and gallbladder cancer: A case-control study and meta-analysis. Cancer Med. 2016, 5, 3310–3235. [Google Scholar] [CrossRef] [PubMed] [PubMed Central]
- Shukla, R.; Shukla, P.; Behari, A.; Khetan, D.; Chaudhary, R.K.; Tsuchiya, Y.; Ikoma, T.; Asai, T.; Nakamura, K.; Kapoor, V.K. Roles of Salmonella typhi and Salmonella paratyphi in Gallbladder Cancer Development. Asian Pac. J. Cancer Prev. 2021, 22, 509–516. [Google Scholar] [CrossRef] [PubMed] [PubMed Central]
- Ruiz-Rebollo, M.L.; Sánchez-Antolín, G.; García-Pajares, F.; Vallecillo-Sande, M.A.; Fernández-Orcajo, P.; Velicia-Llames, R.; Caro-Patón, A. Acalculous cholecystitis due to Salmonella enteritidis. World J. Gastroenterol. 2008, 14, 6408–6409. [Google Scholar] [CrossRef] [PubMed] [PubMed Central]
- Muto, Y.; Sho, Y.; Kurihara, K.; Yamada, M.; Yamauchi, K.; Uchimura, M.; Waki, S. [Morphological study of carcinoma of the gallbladder: Its differences between calculous and acalculous carcinoma]. Nihon Geka Gakkai Zasshi 1985, 86, 846–852. (In Japanese) [Google Scholar] [PubMed]
- Rekik, W.; Fadhel, C.B.; Boufaroua, A.; Mestiri, H.; Khalfallah, M.; Bouraoui, S.; Mzabi-Rgaya, S. Case report: Primary pure squamous cell carcinoma of the gallbladder. J. Visc. Surg. 2011, 148, e149–e151. [Google Scholar] [CrossRef]
- Jin, S.; Zhang, L.; Wei, Y.F.; Zhang, H.J.; Wang, C.Y.; Zou, H.; Hu, J.M.; Jiang, J.F.; Pang, L.J. Pure squamous cell carcinoma of the gallbladder locally invading the liver and abdominal cavity: A case report and review of the literature. World J. Clin. Cases 2019, 7, 4163–4171. [Google Scholar] [CrossRef] [PubMed] [PubMed Central]
- Yoshida, K.; Kashima, K.; Suenaga, S.; Nomi, N.; Shuto, J.; Suzuki, M. Immunohistochemical detection of cervical lymph node micrometastases from T2N0 tongue cancer. Acta Otolaryngol. 2005, 125, 654–658. [Google Scholar] [CrossRef] [PubMed]
- Sinha, G.M.; Hegde, V. Detection of micro-metastasis using cytokeratins (AE1/AE3) in haematoxylin & eosin-stained N0 lymph nodes of oral squamous cell carcinoma. Indian J. Med. Res. 2023, 157, 316–321. [Google Scholar] [CrossRef] [PubMed] [PubMed Central]
- Yang, Y.; Tu, Z.; Ye, C.; Cai, H.; Yang, S.; Chen, X.; Tu, J. Site-specific metastases of gallbladder adenocarcinoma and their prognostic value for survival: A SEER-based study. BMC Surg. 2021, 21, 59. [Google Scholar] [CrossRef] [PubMed]
- Fang, C.; Li, W.; Wang, Q.; Wang, R.; Dong, H.; Chen, J.; Chen, Y. Risk factors and prognosis of liver metastasis in gallbladder cancer patients: A SEER-based study. Front. Surg. 2022, 9, 899896. [Google Scholar] [CrossRef] [PubMed] [PubMed Central]
- Rustagi, T.; Rai, M.; Menon, M. Ruptured adenosquamous cell carcinoma of the gallbladder: Case report and review of literature. Gastrointest Cancer Res. 2011, 4, 29–32. [Google Scholar] [PubMed] [PubMed Central]
- Wennmacker, S.Z.; Lamberts, M.P.; Di Martino, M.; Drenth, J.P.; Gurusamy, K.S.; van Laarhoven, C.J. Transabdominal ultrasound and endoscopic ultrasound for diagnosis of gallbladder polyps. Cochrane Database Syst. Rev. 2018, 8, CD012233. [Google Scholar] [CrossRef] [PubMed] [PubMed Central]
- Liang, J.L.; Chen, M.C.; Huang, H.Y.; Ng, S.H.; Sheen-Chen, S.M.; Liu, P.P.; Kung, C.T.; Ko, S.F. Gallbladder carcinoma manifesting as acute cholecystitis: Clinical and computed tomographic features. Surgery 2009, 146, 861–868. [Google Scholar] [CrossRef] [PubMed]
- Ozan, E.; Atac, G.K.; Gundogdu, S. Twinkling artifact on color Doppler ultrasound: An advantage or a pitfall? J. Med. Ultrason 2016, 43, 361–371. [Google Scholar] [CrossRef] [PubMed]
- Bach, A.M.; Loring, L.A.; Hann, L.E.; Illescas, F.F.; Fong, Y.; Blumgart, L.H. Gallbladder cancer: Can ultrasonography evaluate extent of disease? J. Ultrasound Med. 1998, 17, 303–309. [Google Scholar] [CrossRef]
- Kim, S.J.; Lee, J.M.; Lee, J.Y.; Choi, J.Y.; Kim, S.H.; Han, J.K.; Choi, B.I. Accuracy of preoperative T-staging of gallbladder carcinoma using MDCT. AJR Am. J. Roentgenol. 2008, 190, 74–80. [Google Scholar] [CrossRef]
- Kalra, N.; Suri, S.; Gupta, R.; Natarajan, S.K.; Khandelwal, N.; Wig, J.D.; Joshi, K. MDCT in the staging of gallbladder carcinoma. AJR Am. J. Roentgenol. 2006, 186, 758–762. [Google Scholar] [CrossRef]
- Spartz, E.J.; Wheelwright, M.; Mettler, T.; Amin, K.; Azeem, N.; Hassan, M.; Ankeny, J.; Harmon, J.V. Evaluation of abnormal gallbladder imaging findings: Surgical management and pathologic correlations in earlystage gallbladder cancer. Clin. Case Rep. 2022, 10, e6037. [Google Scholar] [CrossRef] [PubMed] [PubMed Central]
- Kim, S.H.; Jung, D.; Ahn, J.-H.; Kim, K.S. Differentiation between gallbladder cancer with acute cholecystitis: Considerations for surgeons during emergency cholecystectomy, a cohort study. Int. J. Surg. 2017, 45, 1–7. [Google Scholar] [CrossRef] [PubMed]
- Kim, S.J.; Lee, J.M.; Lee, J.Y.; Kim, S.H.; Han, J.K.; Choi, B.I.; Choi, J.Y. Analysis of enhancement pattern of flat gallbladder wall thickening on MDCT to differentiate gallbladder cancer from cholecystitis. AJR Am. J. Roentgenol. 2008, 191, 765–771. [Google Scholar] [CrossRef] [PubMed]
- Zhou, Y.; Yuan, K.; Yang, Y.; Ji, Z.; Zhou, D.; Ouyang, J.; Wang, Z.; Wang, F.; Liu, C.; Li, Q.; et al. Gallbladder cancer: Current and future treatment options. Front. Pharmacol. 2023, 14, 1183619. [Google Scholar] [CrossRef]
- Leigh, N.; Solomon, D.; Pletcher, E.; Sullivan, B.; Sarpel, U.; Labow, D.M.; Magge, D.R.; Golas, B.J. Adeno-squamous and squamous cell carcinoma of the gallbladder: The importance of histology in surgical management. Am. J. Surg. 2020, 220, 1242–1248. [Google Scholar] [CrossRef] [PubMed]
- Available online: https://www.cancerresearchuk.org/about-cancer/gallbladder-cancer/types (accessed on 15 February 2025).
- Feo, C.F.; Ginesu, G.C.; Fancellu, A.; Perra, T.; Ninniri, C.; Deiana, G.; Scanu, A.M.; Porcu, A. Current management of incidental gallbladder cancer: A review. Int. J. Surg. 2022, 98, 106234. [Google Scholar] [CrossRef] [PubMed]
- Sachan, A.; Saluja, S.S.; Nekarakanti, P.K.; Nimisha Mahajan, B.; Nag, H.H.; Mishra, P.K. Raised CA19–9 and CEA have prognostic relevance in gallbladder carcinoma. BMC Cancer 2020, 20, 826. [Google Scholar] [CrossRef]
- Agrawal, S.; Lawrence, A.; Saxena, R. Does CA 19-9 Have Prognostic Relevance in Gallbladder Carcinoma (GBC)? J. Gastrointest Cancer 2018, 49, 144–149. [Google Scholar] [CrossRef] [PubMed]
- Wen, Z.; Si, A.; Yang, J.; Yang, P.; Yang, X.; Liu, H.; Yan, X.; Li, W.; Zhang, B. Elevation of CA19-9 and CEA is associated with a poor prognosis in patients with resectable gallbladder carcinoma. HPB 2017, 19, 951–956. [Google Scholar] [CrossRef] [PubMed]
- Agrawal, S.; Gupta, A.; Gupta, S.; Goyal, B.; Siddeek, R.A.T.; Rajput, D.; Chauhan, U.; Kishore, S.; Gupta, M.; Kant, R. Role of carbohydrate antigen 19-9, carcinoembryonic antigen, and carbohydrate antigen 125 as the predictors of resectability and survival in the patients of Carcinoma Gall Bladder. J. Carcinog. 2020, 19, 4. [Google Scholar] [CrossRef] [PubMed] [PubMed Central]
- Sinha, S.R.; Prakash, P.; Singh, R.K.; Sinha, D.K. Assessment of tumor markers CA 19-9, CEA, CA 125, and CA 242 for the early diagnosis and prognosis prediction of gallbladder cancer. World J. Gastrointest. Surg. 2022, 14, 1272–1284. [Google Scholar] [CrossRef] [PubMed] [PubMed Central]
- Vogel, A.; Bridgewater, J.; Edeline, J.; Kelley, R.K.; Klümpen, H.J.; Malka, D.; Primrose, J.N.; Rimassa, L.; Stenzinger, A.; Valle, J.W.; et al. Electronic address: Clinicalguidelines@esmo.org. Biliary tract cancer: ESMO Clinical Practice Guideline for diagnosis, treatment and follow-up. Ann. Oncol. 2023, 34, 127–140. [Google Scholar] [CrossRef] [PubMed]




Disclaimer/Publisher’s Note: The statements, opinions and data contained in all publications are solely those of the individual author(s) and contributor(s) and not of MDPI and/or the editor(s). MDPI and/or the editor(s) disclaim responsibility for any injury to people or property resulting from any ideas, methods, instructions or products referred to in the content. |
© 2025 by the authors. Published by MDPI on behalf of the Lithuanian University of Health Sciences. Licensee MDPI, Basel, Switzerland. This article is an open access article distributed under the terms and conditions of the Creative Commons Attribution (CC BY) license (https://creativecommons.org/licenses/by/4.0/).
Share and Cite
Zanchetta, M.; Adani, G.L.; Micheletti, G.; Poto, G.E.; Piccioni, S.A.; Carbone, L.; Monteleone, I.; Sandini, M.; Marrelli, D.; Calomino, N. Perforated Calculous Cholecystitis and Incidental Squamous Cell Carcinoma of the Gallbladder—A Complex Relationship with a Difficult Management in the Acute Setting. Medicina 2025, 61, 452. https://doi.org/10.3390/medicina61030452
Zanchetta M, Adani GL, Micheletti G, Poto GE, Piccioni SA, Carbone L, Monteleone I, Sandini M, Marrelli D, Calomino N. Perforated Calculous Cholecystitis and Incidental Squamous Cell Carcinoma of the Gallbladder—A Complex Relationship with a Difficult Management in the Acute Setting. Medicina. 2025; 61(3):452. https://doi.org/10.3390/medicina61030452
Chicago/Turabian StyleZanchetta, Matteo, Gian Luigi Adani, Giorgio Micheletti, Gianmario Edoardo Poto, Stefania Angela Piccioni, Ludovico Carbone, Ilaria Monteleone, Marta Sandini, Daniele Marrelli, and Natale Calomino. 2025. "Perforated Calculous Cholecystitis and Incidental Squamous Cell Carcinoma of the Gallbladder—A Complex Relationship with a Difficult Management in the Acute Setting" Medicina 61, no. 3: 452. https://doi.org/10.3390/medicina61030452
APA StyleZanchetta, M., Adani, G. L., Micheletti, G., Poto, G. E., Piccioni, S. A., Carbone, L., Monteleone, I., Sandini, M., Marrelli, D., & Calomino, N. (2025). Perforated Calculous Cholecystitis and Incidental Squamous Cell Carcinoma of the Gallbladder—A Complex Relationship with a Difficult Management in the Acute Setting. Medicina, 61(3), 452. https://doi.org/10.3390/medicina61030452

