Actinomycosis: Mimicking Malignancies in Multiple Anatomical Sites—A Three-Patient Case Series
Abstract
1. Introduction
2. Materials and Methods
3. Results
3.1. Cases
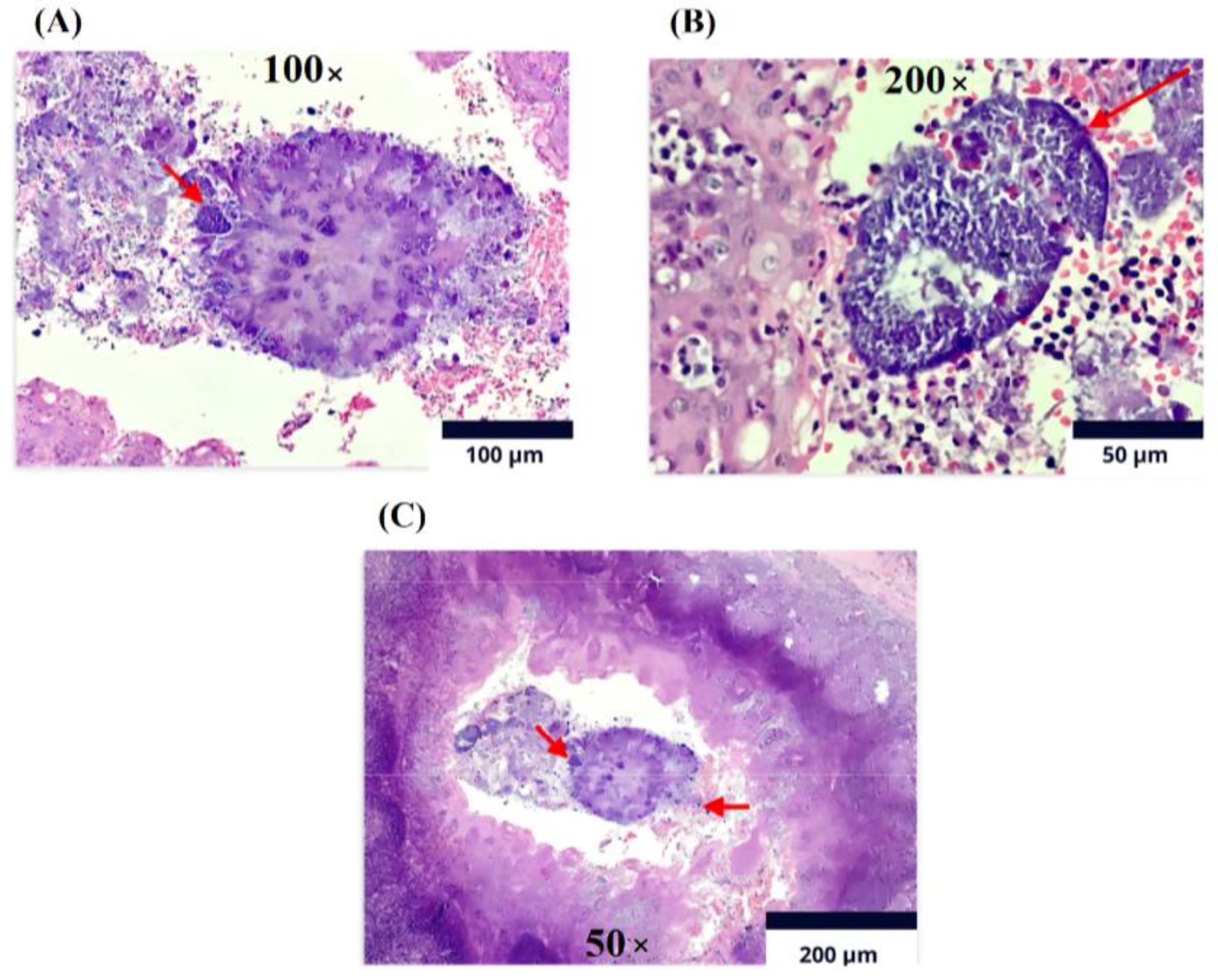
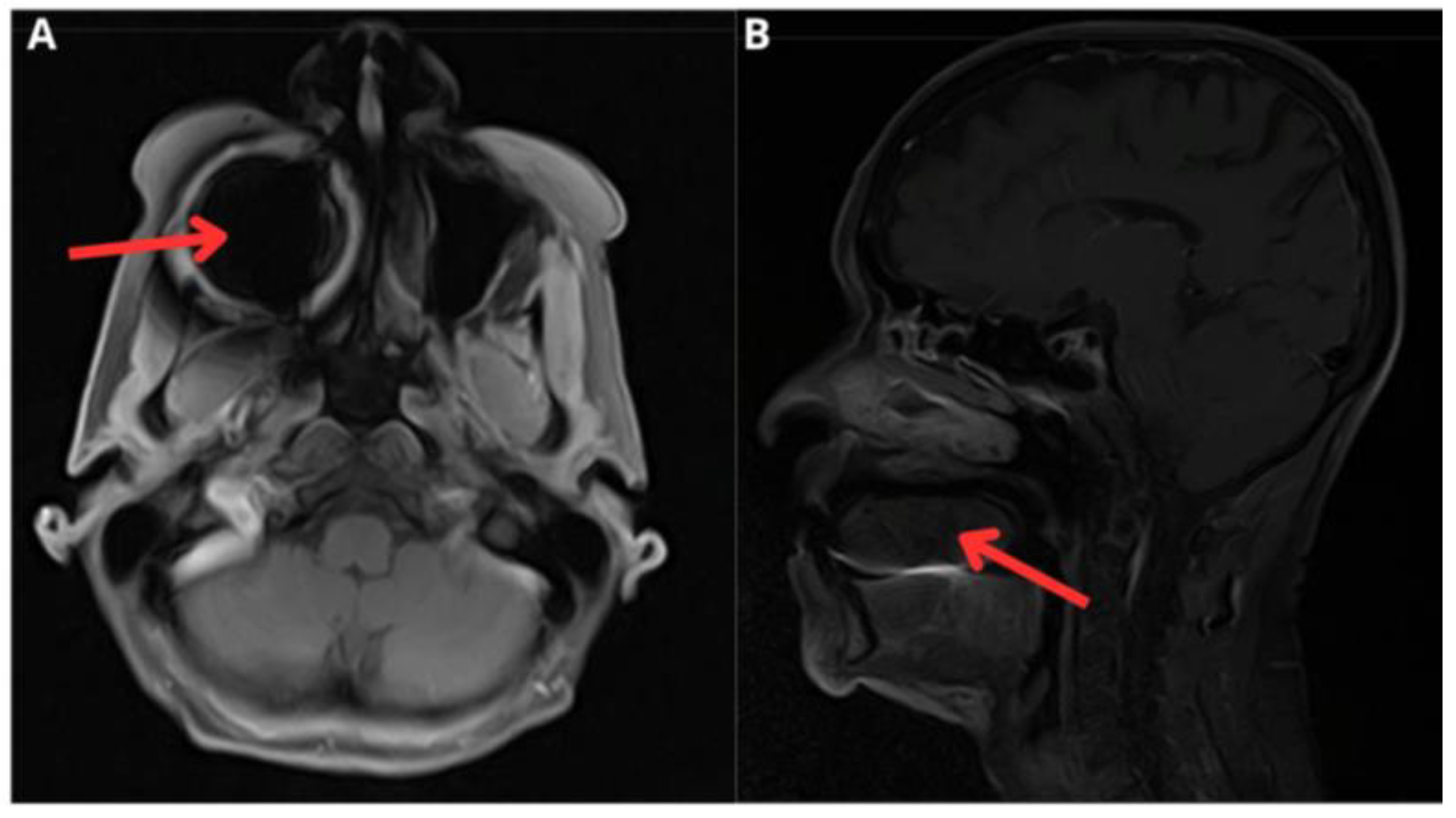
3.1.1. Case 1
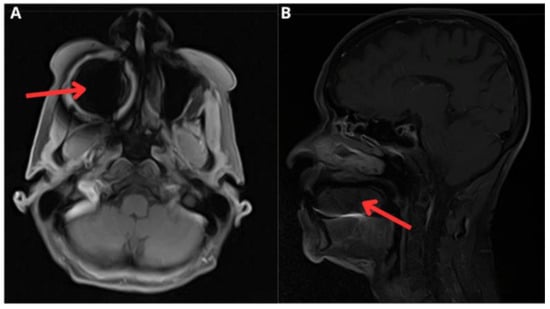
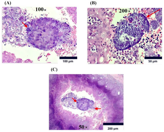
3.1.2. Case 2
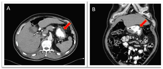
3.1.3. Case 3
4. Discussion
5. Conclusions
Author Contributions
Funding
Institutional Review Board Statement
Informed Consent Statement
Data Availability Statement
Acknowledgments
Conflicts of Interest
References
- Lee, D.H.; Jung, E.K.; Lee, J.K.; Lim, S.C. Actinomycosis of the Parotid Gland: Case Series. Ann. Palliat. Med. 2021, 10, 6062–6066. [Google Scholar] [CrossRef] [PubMed]
- Wong, V.K.; Turmezei, T.D.; Weston, V.C. Actinomycosis. BMJ 2011, 343, d6099. [Google Scholar] [CrossRef] [PubMed]
- Cronin, E. Actinomycosis: A Case Report of Two Patients Treated for the Condition Who Required Stoma Formation. Br. J. Nurs. 2021, 30, S32–S37. [Google Scholar] [CrossRef] [PubMed]
- Fronek, L.F.; Brazen, B.C.; Ross, R.; Miller, R.L. Cervicofacial Actinomycosis: A Unique Diagnostic Challenge. Dermatol. Online J. 2021, 27, 7. [Google Scholar] [CrossRef]
- Sawtelle, A.L.; Chappell, N.P.; Miller, C.R. Actinomyces-Related Tubo-Ovarian Abscess in a Poorly Controlled Type II Diabetic With a Copper Intrauterine Device. Mil. Med. 2017, 182, e1874–e1876. [Google Scholar] [CrossRef]
- Baldursdóttir, E.; Jónasson, L.; Gottfredsson, M. The Many Faces of Actinomycosis. Results from a Retrospective Study in Iceland, 1984-2007. Laeknabladid 2010, 96, 323–328. [Google Scholar]
- Stájer, A.; Ibrahim, B.; Gajdács, M.; Urbán, E.; Baráth, Z. Diagnosis and Management of Cervicofacial Actinomycosis: Lessons from Two Distinct Clinical Cases. Antibiotics 2020, 9, 139. [Google Scholar] [CrossRef]
- Ferry, T.; Valour, F.; Karsenty, J.; Breton, P.; Gleizal, A.; Braun, E.; Chidiac, C.; Ader, F.; Senechal, A.; Dupieux, C.; et al. Actinomycosis: Etiology, Clinical Features, Diagnosis, Treatment, and Management. Infect. Drug Resist. 2014, 7, 183–197. [Google Scholar] [CrossRef] [PubMed]
- Boyanova, L.; Kolarov, R.; Mateva, L.; Markovska, R.; Mitov, I. Actinomycosis: A Frequently Forgotten Disease. Future Microbiol. 2015, 10, 613–628. [Google Scholar] [CrossRef]
- Smith, A.J.; Hall, V.; Thakker, B.; Gemmell, C.G. Antimicrobial Susceptibility Testing of Actinomyces Species with 12 Antimicrobial Agents. J. Antimicrob. Chemother. 2005, 56, 407–409. [Google Scholar] [CrossRef]
- Bonnefond, S.; Catroux, M.; Melenotte, C.; Karkowski, L.; Rolland, L.; Trouillier, S.; Raffray, L. Clinical Features of Actinomycosis. Medicine 2016, 95, e3923. [Google Scholar] [CrossRef] [PubMed]
- Moghimi, M.; Salentijn, E.G.; Debets-Ossenkop, Y.; Karagozoglu, K.H.; Forouzanfar, T. Treatment of Cervicofacial Actinomycosis: A Report of 19 Cases and Review of Literature. Med. Oral Patol. Oral Cirugía Bucal 2013, 18, e627–e632. [Google Scholar] [CrossRef] [PubMed]
- Montenegro Palacios, J.F.; Correa Forero, S.V.; Ordoñez Andrade, G.A.; Posu Barco, J.; Melo Burbano, L.A.; Liscano, Y. Mimicry of Rhabdomyosarcoma by Tonsillar Actinomycosis: Case Report. Medicina 2024, 60, 1172. [Google Scholar] [CrossRef]
- Samaila, M.; Sani, K.; Shofoluwe, N.; Rimamskep, I. Incidental Histopathological Diagnosis of Tonsilar Actinomycosis: A Report of Four Cases. Niger. Postgrad. Med. J. 2023, 30, 262. [Google Scholar] [CrossRef]
- Mohanty, S. Actinomycosis of Faucial Tonsil Masquerading as Oropharyngeal Malignancy. Indian J. Otolaryngol. Head Neck Surg. 2006, 58, 82–84. [Google Scholar] [CrossRef] [PubMed]
- Puri, H.; Narang, V.; Chawla, J. Actinomycosis of Submandibular Gland: An Unusual Presentation of a Rare Entity. J. Oral. Maxillofac. Pathol. 2015, 19, 106. [Google Scholar] [CrossRef]
- Bajpai, S.; Parvathareddy, N.; Bhat, S.N.; Shenoy, S.V. A Rare Case of Submandibular Actinomycosis. Indian J. Otolaryngol. Head Neck Surg. 2023, 75, 2289–2292. [Google Scholar] [CrossRef]
- Al-Obaidy, K.; Alruwaii, F.; Al Nemer, A.; Alsulaiman, R.; Alruwaii, Z.; Shawarby, M.A. Primary Gastric Actinomycosis: Report of a Case Diagnosed in a Gastroscopic Biopsy. BMC Clin. Pathol. 2015, 15, 2. [Google Scholar] [CrossRef] [PubMed]
- Chernopolsky, P.; Madjov, R.; Bozhkov, V.; Krasnaliev, I.; Madjova, V. Gastric Actinomycosis Case Report and Literature Review. Int. J. Gastroenterol. 2021, 5, 1. [Google Scholar] [CrossRef]
- Eskarous, H.; Pingili, A.; Venugopal, D. Abdominal Actinomycosis Mimicking Malignancy: A Case Report. IDCases 2021, 25, e01252. [Google Scholar] [CrossRef]
- Wasuwanich, P.; Szymkiewicz, D.; Kumari, J.; Acosta, D.V. Cervical Facial Actinomycosis Complicated by Bacteremia After 30 Years of Dental Neglect: Successful Treatment with Ceftriaxone and Metronidazole. Cureus 2024, 16, e51734. [Google Scholar] [CrossRef] [PubMed]
- Manterola, C.; Grande, L.; Riffo-Campos, Á.L.; Salgado, C.; Otzen, T. Clinical Aspects of Abdominal Actinomycosis: A Systematic Review. ANZ J. Surg. 2020, 90, 1465–1468. [Google Scholar] [CrossRef] [PubMed]
- Boot, M.; Archer, J.P.; Ali, I. The Diagnosis and Management of Pulmonary Actinomycosis. J. Infect. Public Health 2023, 16, 490–500. [Google Scholar] [CrossRef] [PubMed]
- Redondo, K.; Redondo, C.; Miranda, A.; Barrios, R.; Bertel, D.; Gómez, A. Actinomicosis abdominal que simula neoplasia tumoral maligna del colon. Rev. Colomb. Cir. 2016, 31, 219–224. [Google Scholar] [CrossRef]
- Khoshbayan, A.; Amirmozafari, N.; Mirkalantari, S. An Overview of Case Reports and Case Series of Pulmonary Actinomycosis Mimicking Lung Cancer: A Scoping Review. Front. Med. 2024, 11, 1356390. [Google Scholar] [CrossRef]
- Vale, F.F.; Tanoeiro, L.; Marques, A.T. 16S Genomics for Diagnosing Invasive Bacterial Infection. Ref. Modul. Biomed. Sci. 2021, 4, 287–300. [Google Scholar]
- Fida, M.; Khalil, S.; Saleh, O.M.A.; Challener, D.W.; Sohail, M.R.; Yang, J.N.; Pritt, B.S.; Schuetz, A.N.; Patel, R. Diagnostic Value of 16S Ribosomal RNA Gene Polymerase Chain Reaction/Sanger Sequencing in Clinical Practice. Clin. Infect. Dis. 2021, 73, 961–968. [Google Scholar] [CrossRef]
- Farazmand, C.; Klinkova, O.; Denham, J.D.; Nanjappa, S.; Greene, J.N. Actinomycosis in Cancer Patients: A Single-Center Chart Review Study. Infect. Dis. Clin. Pract. 2018, 26, 339–343. [Google Scholar] [CrossRef]
- Gronthoud, F.A. Actinomycosis. In Practical Clinical Microbiology and Infectious Diseases; CRC Press: Boca Raton, FL, USA, 2020. [Google Scholar]
- Stabrowski, T.; Chuard, C. Actinomycosis. Rev. Medicale Suisse 2019, 15, 1790–1794. [Google Scholar] [CrossRef]
- Balbinot, K.M.; Morais, A.T.L.D.; Sena, Y.R.; Voss, B.M.; Chemelo, G.P.; Ribeiro, A.L.R.; Pinheiro, J.d.J.V. Surgical debridement as a treatment strategy for cervicofacial actinomycosis: Review of literature and a case report. Oral Surg. Oral Med. Oral Pathol. Oral Radiol. 2020, 130, e168–e169. [Google Scholar] [CrossRef]
- Cevallos, E.J.C.; DeSimone, D.C. The Furuncle Keeps Getting Worse. In Mayo Clinic Infectious Diseases Case Review: With Board-Style Questions and Answers; Mayo Clinic Scientific Press: New York, NY, USA, 2021. [Google Scholar]
- Cerrato, A.; Zanette, G.; Boccuto, M.; Angelini, A.; Valente, M.; Bacci, C. Actinomyces and MRONJ: A Retrospective Study and a Literature Review. J. Stomatol. Oral Maxillofac. Surg. 2020, 122, 499–504. [Google Scholar] [CrossRef] [PubMed]
- Cunha, F.; Sousa, D.L.; Trindade, L.; Duque, V. Disseminated Cutaneous Actinomyces Bovis Infection in an Immunocompromised Host: Case Report and Review of the Literature. BMC Infect. Dis. 2022, 22, 320. [Google Scholar] [CrossRef] [PubMed]
- Kuang, J.; Luo, Z.; Zhou, F. Acute Pulmonary Actinomycosis Induced by Immunotherapy and Chemotherapy Used for SCLC Treatment: A Case Report and Literature Review. Infect. Drug Resist. 2023, 16, 7575–7580. [Google Scholar] [CrossRef]






| Characteristics/Case | Case #1 | Case #2 | Case #3 |
|---|---|---|---|
| Age/gender | 51 years/male | 80 years/female | 72 years/male |
| Occupation | Retired | Housewife | Merchant |
| Year of consultation and diagnosis | 2023 | 2024 | 2021 |
| Admission symptoms | Dysphagia and chronic parieto-occipital headache | Painful sublingual mass, progressive growth, dysphagia, hyporexia, and weight loss | Weight loss, abdominal pain, hematemesis, and melena |
| Diagnostic aids | MRI of face and neck with contrast showing irregular enhancement measuring approximately 25 × 25 × 16 mm in pharyngeal mucosal space involving right palatine tonsil and base of tongue | PET CT * showing hypermetabolic nodule of right pharynx and palatoglossal arch measuring 22 × 10 mm | Endoscopy: moderate, active, non-atrophic chronic gastritis; no malignant neoplasia; Entero-MRI: distended stomach with compact image inside, nonspecific thickening of jejunal loops; contrast-enhanced abdominal CT |
| Affected structures or organs | Tonsil | Base of tongue | Jejunum |
| Sample | Biopsy of tonsil | Biopsy of base of tongue | Biopsy of gastric tissue |
| Cultures—incubation time | Blood cultures, 5/5 negative—14 days of incubation | No | No |
| Histopathology diagnosis | Actinomyces spp., reactive follicular hyperplasia | Actinomyces spp. | Actinomyces spp. |
| Management | Induction: ceftriaxone for 4 weeks Consolidation: amoxicillin for 12 months | Induction: ceftriaxone for 4 weeks; consolidation: amoxicillin for 6 months | Induction: ceftriaxone for 6 weeks Consolidation: amoxicillin for 12 months |
| Outcome | Notable improvement in symptoms | Increased appetite, weight gain, regular bowel habits, no new episodes of hematemesis or melena | Notable improvement in symptoms |
| Final condition | Alive | Alive | Alive |
Disclaimer/Publisher’s Note: The statements, opinions and data contained in all publications are solely those of the individual author(s) and contributor(s) and not of MDPI and/or the editor(s). MDPI and/or the editor(s) disclaim responsibility for any injury to people or property resulting from any ideas, methods, instructions or products referred to in the content. |
© 2025 by the authors. Published by MDPI on behalf of the Lithuanian University of Health Sciences. Licensee MDPI, Basel, Switzerland. This article is an open access article distributed under the terms and conditions of the Creative Commons Attribution (CC BY) license (https://creativecommons.org/licenses/by/4.0/).
Share and Cite
Montenegro, J.F.; Correa Forero, V.; Liscano, Y.; Grueso Pineda, A.; Bonilla Bonilla, D.M.; Ruiz Jimenez, P.A. Actinomycosis: Mimicking Malignancies in Multiple Anatomical Sites—A Three-Patient Case Series. Medicina 2025, 61, 256. https://doi.org/10.3390/medicina61020256
Montenegro JF, Correa Forero V, Liscano Y, Grueso Pineda A, Bonilla Bonilla DM, Ruiz Jimenez PA. Actinomycosis: Mimicking Malignancies in Multiple Anatomical Sites—A Three-Patient Case Series. Medicina. 2025; 61(2):256. https://doi.org/10.3390/medicina61020256
Chicago/Turabian StyleMontenegro, John Fernando, Vanessa Correa Forero, Yamil Liscano, Andres Grueso Pineda, Diana Marcela Bonilla Bonilla, and Paola Andrea Ruiz Jimenez. 2025. "Actinomycosis: Mimicking Malignancies in Multiple Anatomical Sites—A Three-Patient Case Series" Medicina 61, no. 2: 256. https://doi.org/10.3390/medicina61020256
APA StyleMontenegro, J. F., Correa Forero, V., Liscano, Y., Grueso Pineda, A., Bonilla Bonilla, D. M., & Ruiz Jimenez, P. A. (2025). Actinomycosis: Mimicking Malignancies in Multiple Anatomical Sites—A Three-Patient Case Series. Medicina, 61(2), 256. https://doi.org/10.3390/medicina61020256

