Successful Management of Thyrocervical Trunk Aneurysm Ruptured into the Thoracic Cavity After Cesarean Section in Nonstable Patient with Neurofibromatosis Type I
Abstract
1. Introduction
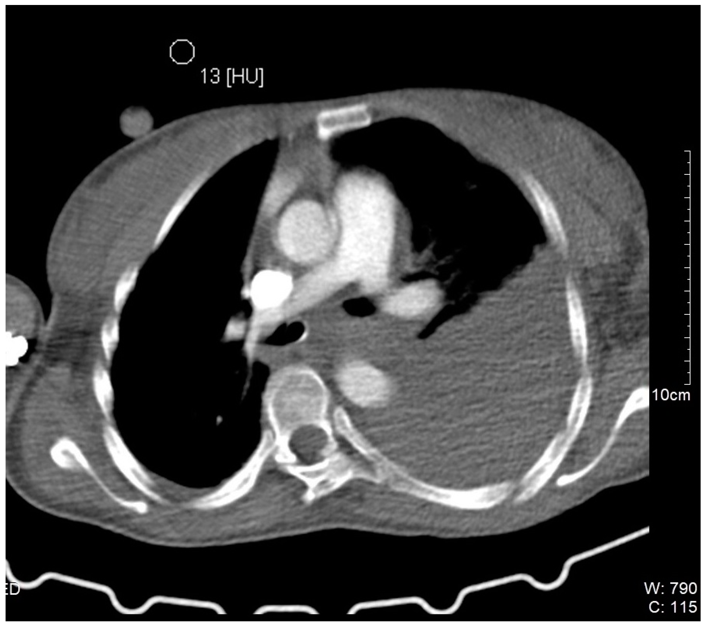
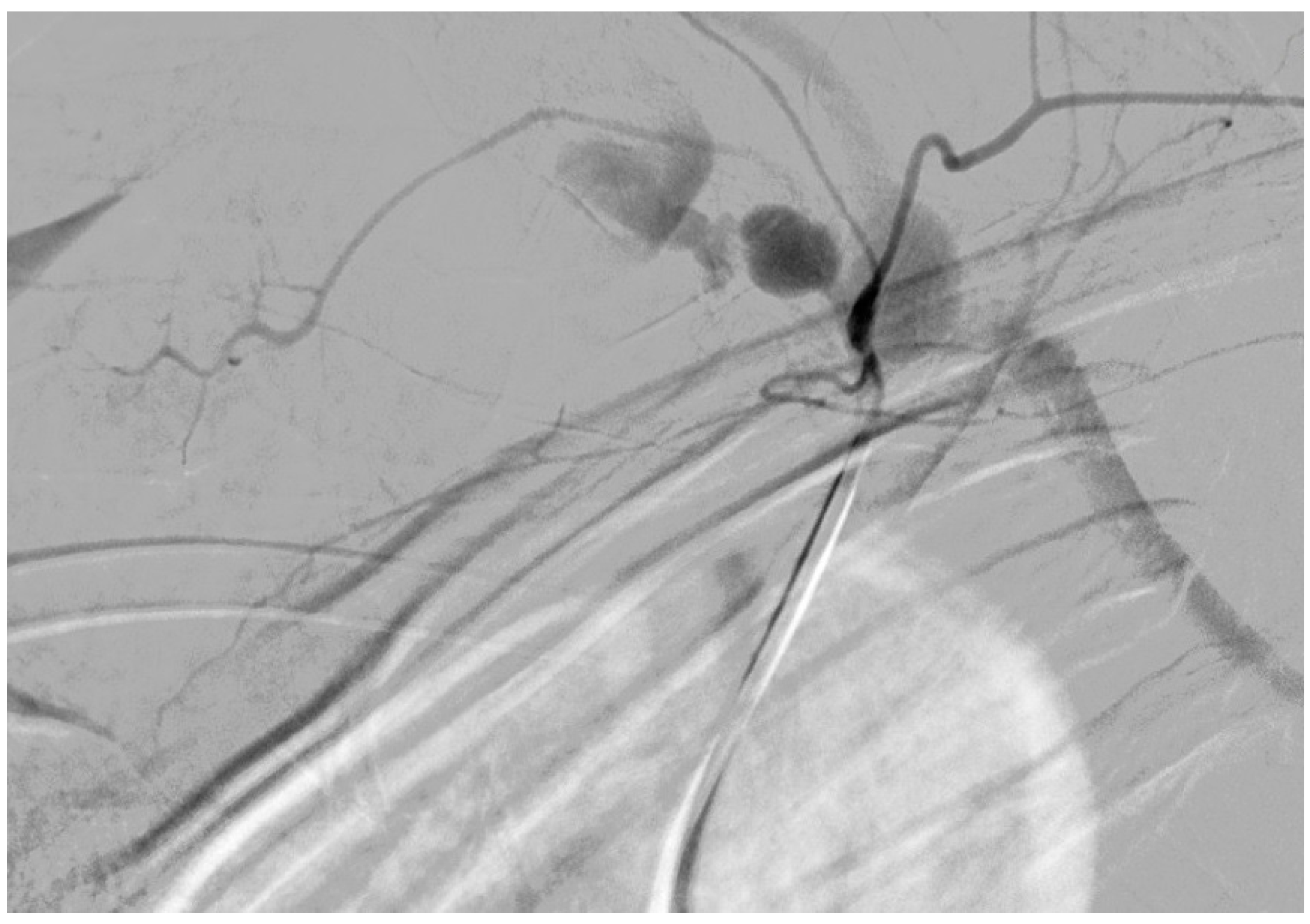
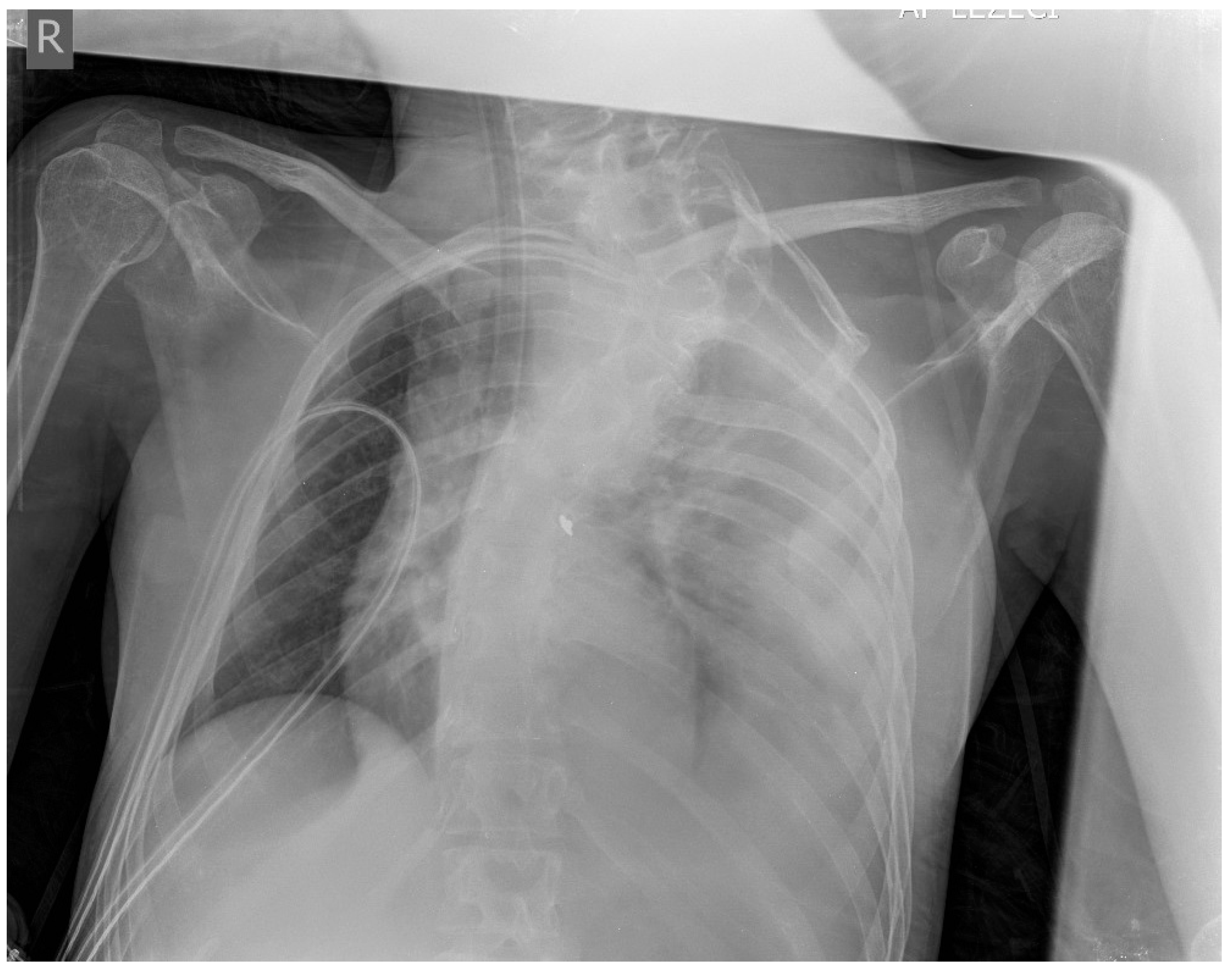
2. Case Description
3. Discussion
4. Conclusions
Author Contributions
Funding
Institutional Review Board Statement
Informed Consent Statement
Data Availability Statement
Conflicts of Interest
References
- Teitelbaum, G.P.; Hurvitz, R.J.; Esrig, B.C. Hemothorax in type I neurofibromatosis. Ann. Thorac. Surg. 1998, 66, 569–571. [Google Scholar] [CrossRef] [PubMed]
- Riccardi, V.M. Von Recklinghausen neurofibromatosis. N. Engl. J. Med. 1981, 305, 1617–1627. [Google Scholar] [CrossRef] [PubMed]
- Riccardi, V.M. Neurofibromatosis Phenotype, Natural History, and Pathogenesis; The Johns Hopkins University Press: Baltimore, MD, USA, 1992; pp. 124–127. [Google Scholar]
- Elamurugan, E.; Ram, D. A tale of two bleeds-an uncommon manifestation in neurofibromatosis-1. Interact. Cardiovasc. Thorac. Surg. 2019, 29, 152–153. [Google Scholar] [CrossRef] [PubMed]
- Föhrding, L.Z.; Sellmann, T.; Angenendt, S.; Kindgen-Milles, D.; Topp, S.A.; Korbmacher, B.; Lichtenberg, A.; Knoefel, W.T. A case of lethal spontaneous massive hemothorax in a patient with neurofibromatosis 1. J. Cardiothorac. Surg. 2014, 9, 172. [Google Scholar] [CrossRef]
- Degbelo, F.D.A.; Cito, G.; Guendil, B.; Christodoulou, M.; Abbassi, Z. Spontaneous Hemothorax in a Patient with von Recklinghausen’s Disease: A Case Report and Review of the Literature. Am. J. Case Rep. 2019, 20, 674–678. [Google Scholar] [CrossRef] [PubMed]
- D’Errico, S.; Martelloni, M.; Cafarelli, F.P.; Guglielmi, G. Neurofibromatosis 1 and massive hemothorax: A fatal combination. Forensic Sci. Med. Pathol. 2018, 14, 377–380. [Google Scholar] [CrossRef]
- Hirbe, A.C.; Gutmann, D.H. Neurofibromatosis type 1: A multidisciplinary approach to care. Lancet Neurol. 2014, 13, 834–843. [Google Scholar] [CrossRef] [PubMed]
- Ishizu, A.; Ooka, T.; Murakami, T.; Yoshiki, T. Rupture of the thyrocervical trunk branch from the subclavian artery in a patient with neurofibromatosis: A case report. Cardiovasc. Pathol. 2006, 15, 153–156. [Google Scholar] [CrossRef]
- Uneda, A.; Suzuki, K.; Okubo, S.; Hirashita, K.; Yunoki, M.; Yoshino, K. Neurofibromatosis Type 1-Associated Extracranial Vertebral Artery Aneurysm Complicated by Vertebral Arteriovenous Fistula After Rupture: Case Report and Literature Review. World Neurosurg. 2016, 96, 609. [Google Scholar] [CrossRef]
- Morasch, M.D.; Phade, S.V.; Naughton, P.; Garcia-Toca, M.; Escobar, G.; Berguer, R. Primary Extracranial Vertebral Artery Aneurysms. Ann. Vasc. Surg. 2013, 27, 418–423. [Google Scholar] [CrossRef] [PubMed]
- Abdulrazeq, H.F.; Goldstein, I.M.; Elsamna, S.T.; Pletcher, B.A. Vertebral artery aneurysm rupture and hemothorax in a patient with neurofibromatosis Type-1: A case report and review of the literature. Heliyon 2019, 5, e02201. [Google Scholar] [CrossRef]
- Higa, G.; Pacanowski, J.P.; Jeck, D.T.; Goshima, K.R.; Leon, L.R. Vertebral artery aneurysms and cervical arteriovenous fistulae in patients with neurofibromatosis 1. Vascular 2010, 18, 166–177. [Google Scholar] [CrossRef]
- Oderich, G.S.; Sullivan, T.M.; Bower, T.C.; Gloviczki, P.; Miller, D.V.; Babovic-Vuksanovic, D.; Macedo, T.A.; Stanson, A. Vascular abnormalities in patients with neurofibromatosis syndrome type I: Clinical spectrum, management, and results. J. Vasc. Surg. 2007, 46, 475–484. [Google Scholar] [CrossRef] [PubMed]
- Han, K.S.; Lee, K.M.; Kim, B.J.; Kwun, B.D.; Choi, S.K.; Lee, S.H. Life-Threatening Hemothorax Caused by Spontaneous Extracranial Vertebral Aneurysm Rupture in Neurofibromatosis Type 1. World Neurosurg. 2019, 130, 157–159. [Google Scholar] [CrossRef] [PubMed]
- Hieda, M.; Toyota, N.; Kakizawa, H.; Hirai, N.; Tachikake, T.; Yahiro, Y.; Iwasaki, Y.; Horiguchi, J.; Ito, K. Endovascular therapy for massive haemothorax caused by ruptured extracranial vertebral artery aneurysm with neurofibromatosis Type 1. Br. J. Radiol. 2007, 80, e81–e84. [Google Scholar] [CrossRef]
- Garrett, H.E., Jr.; Heidepriem, R.W., 3rd; Broadbent, L.P. Ruptured aneurysm of the inferior thyroid artery: Repair with coil embolization. J. Vasc. Surg. 2005, 42, 1226–1229. [Google Scholar] [CrossRef]
- Tateishi, A.; Okada, M.; Nakai, M.; Yokota, Y.; Miyamoto, Y. Spontaneous ascending aortic rupture in a pregnant woman with neurofibromatosis type 1. Gen. Thorac. Cardiovas. 2019, 67, 979–981. [Google Scholar] [CrossRef] [PubMed]
- Wang, Y.; Tian, D.; Yang, L.; Zhang, Q.; Qin, G.; Liu, X. Case Report: Experience and Lesson From Postpartum Ruptured Abdominal Aortic Aneurysm. Front. Med. 2022, 8, 729099. [Google Scholar] [CrossRef] [PubMed]
- Al-Jundi, W.; Matheiken, S.; Abdel-Rehim, S.; Diwakar, P.; Insall, R. Ruptured thyrocervical trunk aneurysm in a patient with type I neurofibromatosis. EJVES Extra 2011, 21, e10–e12. [Google Scholar] [CrossRef]
- Hasegawa, J.; Kadoba, K.; Maruhashi, H.; Kobayashi, N. True aneurysm originating from the costocervical trunk: Surgical excision for recurrence after successful proximal coil embolization. Heart Vessel. 2002, 16, 75–77. [Google Scholar] [CrossRef]
- Fuga, M.; Tanaka, T.; Tachi, R.; Nogami, R.; Teshigawara, A.; Ishibashi, T.; Hasegawa, Y.; Murayama, Y. Successful Endovascular Trapping for Symptomatic Thrombosed Giant Unruptured Aneurysms of the V1 and V2 Segments of the Vertebral Artery: Case Report and Literature Review. NMC Case Rep. J. 2021, 8, 681–690. [Google Scholar] [CrossRef] [PubMed]
- Bidad, R.; Hall, C.; Blohm, E. Fatal Tension Hemothorax Combined With Exanguination: A Rare Complication of Neurofibromatosis. Clin. Pract. Cases Emerg. Med. 2019, 3, 364–368. [Google Scholar] [CrossRef] [PubMed]
- Hiramatsu, H.; Matsui, S.; Yamashita, S. Ruptured extracranial vertebral artery aneurysm associated with neurofibromatosis type 1. Case report. Neurol. Med. Chir. 2012, 52, 446–449. [Google Scholar] [CrossRef] [PubMed]
- Anpalakhan, S.; Alluri, R.; Douglas, J.G.; Kurban, L. An unusual cause of a mediastinal mass. BMJ Case Rep. 2013, 2013, bcr2012007978. [Google Scholar] [CrossRef] [PubMed]






Disclaimer/Publisher’s Note: The statements, opinions and data contained in all publications are solely those of the individual author(s) and contributor(s) and not of MDPI and/or the editor(s). MDPI and/or the editor(s) disclaim responsibility for any injury to people or property resulting from any ideas, methods, instructions or products referred to in the content. |
© 2024 by the authors. Published by MDPI on behalf of the Lithuanian University of Health Sciences. Licensee MDPI, Basel, Switzerland. This article is an open access article distributed under the terms and conditions of the Creative Commons Attribution (CC BY) license (https://creativecommons.org/licenses/by/4.0/).
Share and Cite
Mirković, N.; Prokić, M.; Novčić, M.; Arsenijević, M.; Sretenović, S.; Knežević, D.; Kovačević, V.; Šorak, M.; Kostić, O. Successful Management of Thyrocervical Trunk Aneurysm Ruptured into the Thoracic Cavity After Cesarean Section in Nonstable Patient with Neurofibromatosis Type I. Medicina 2025, 61, 49. https://doi.org/10.3390/medicina61010049
Mirković N, Prokić M, Novčić M, Arsenijević M, Sretenović S, Knežević D, Kovačević V, Šorak M, Kostić O. Successful Management of Thyrocervical Trunk Aneurysm Ruptured into the Thoracic Cavity After Cesarean Section in Nonstable Patient with Neurofibromatosis Type I. Medicina. 2025; 61(1):49. https://doi.org/10.3390/medicina61010049
Chicago/Turabian StyleMirković, Nikola, Marko Prokić, Marija Novčić, Miloš Arsenijević, Snežana Sretenović, Dragan Knežević, Vojin Kovačević, Marija Šorak, and Olivera Kostić. 2025. "Successful Management of Thyrocervical Trunk Aneurysm Ruptured into the Thoracic Cavity After Cesarean Section in Nonstable Patient with Neurofibromatosis Type I" Medicina 61, no. 1: 49. https://doi.org/10.3390/medicina61010049
APA StyleMirković, N., Prokić, M., Novčić, M., Arsenijević, M., Sretenović, S., Knežević, D., Kovačević, V., Šorak, M., & Kostić, O. (2025). Successful Management of Thyrocervical Trunk Aneurysm Ruptured into the Thoracic Cavity After Cesarean Section in Nonstable Patient with Neurofibromatosis Type I. Medicina, 61(1), 49. https://doi.org/10.3390/medicina61010049

