Odontoma Recurrence. The Importance of Radiographic Controls: Case Report with a 7-Year Follow-Up
Abstract
1. Introduction
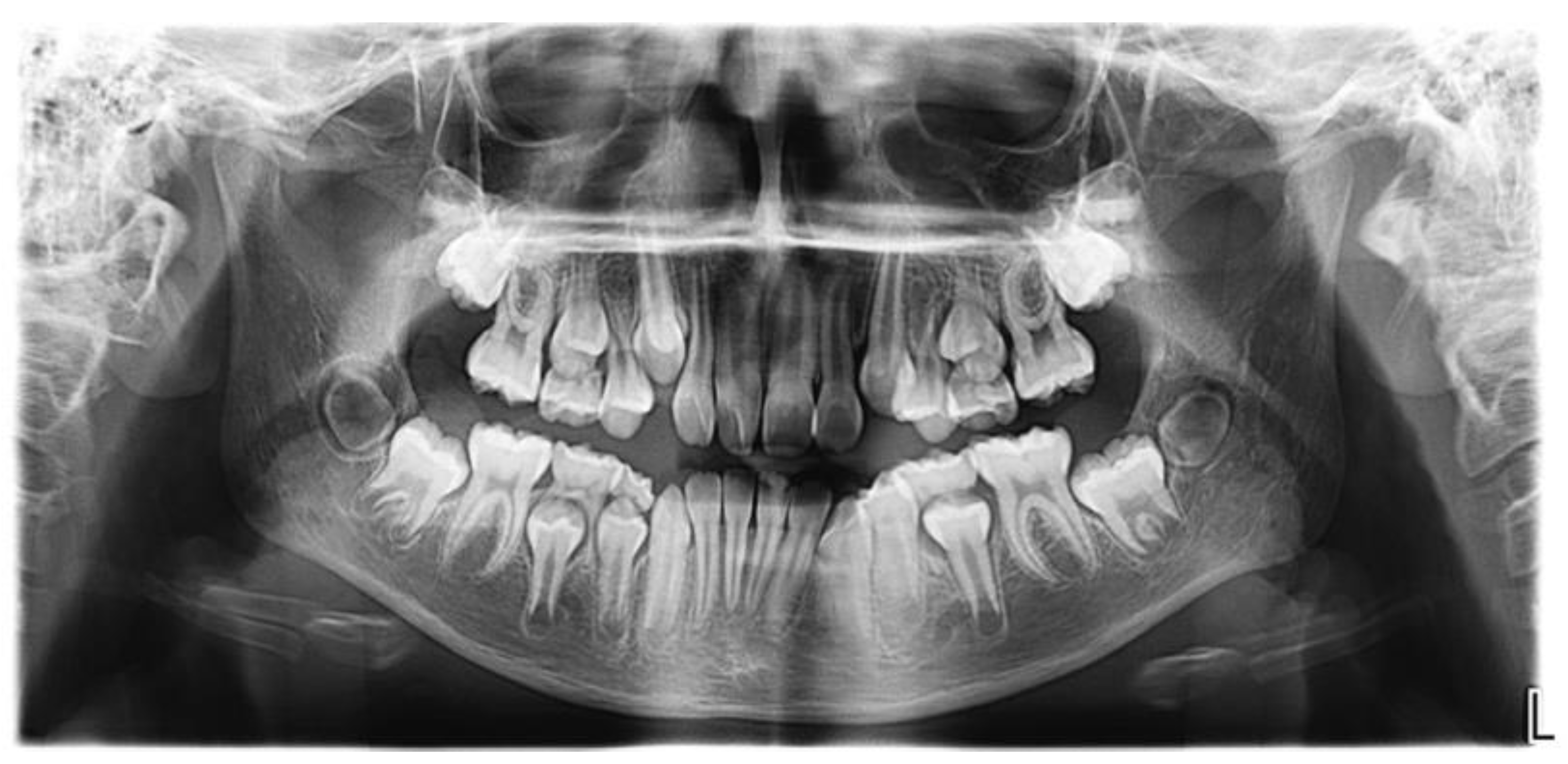
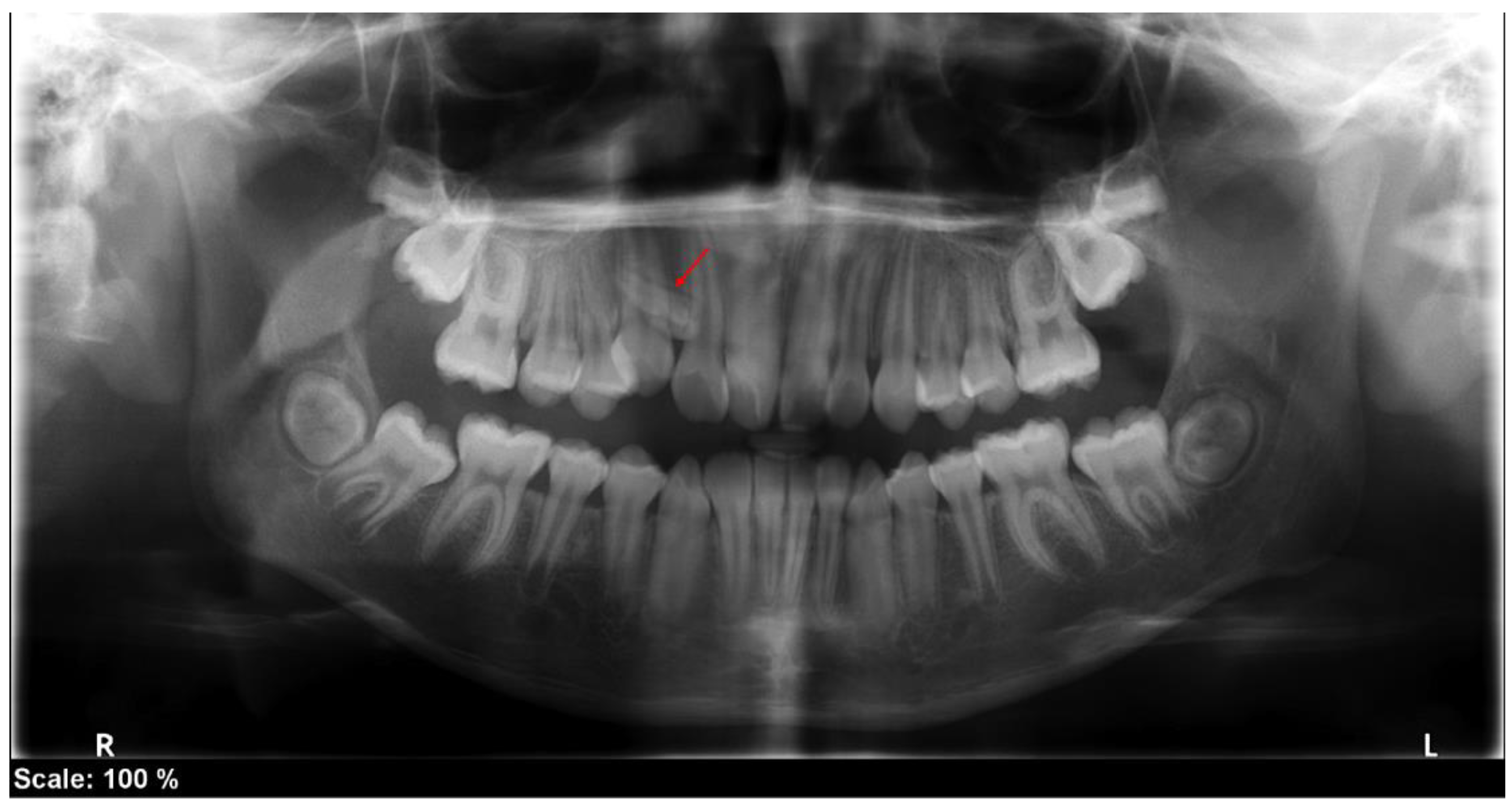
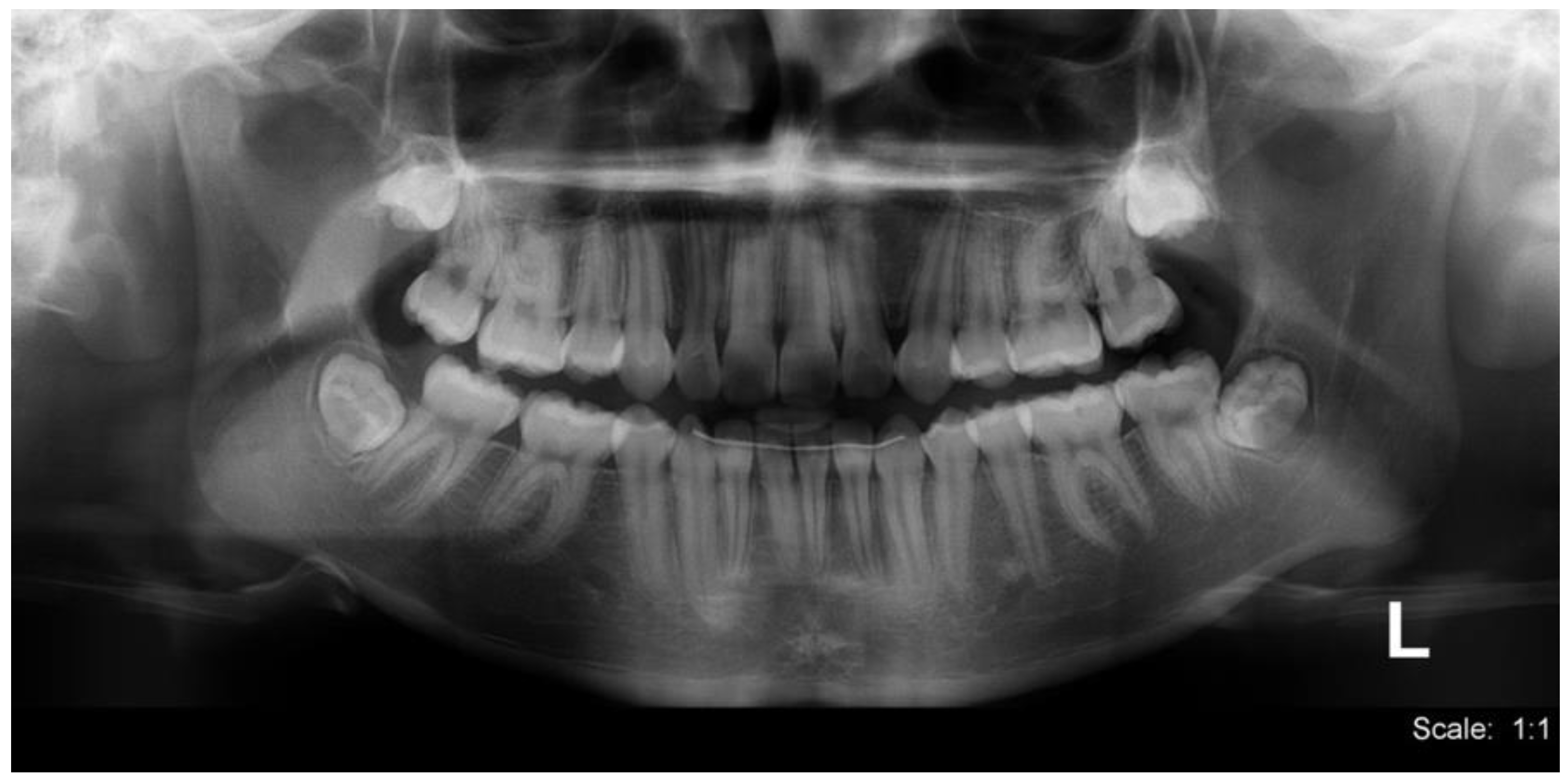
2. Case Report
3. Literature Review
3.1. Systematic Literature Search
3.2. Eligibility Criteria
3.3. Article Selection and Data Extraction
4. Discussion
5. Conclusions
Author Contributions
Funding
Institutional Review Board Statement
Informed Consent Statement
Data Availability Statement
Conflicts of Interest
References
- Sekerci, A.E.; Nazlim, S.; Etoz, M.; Deniz, K.; Yasa, Y. Odontogenic tumors: A collaborative study of 218 cases diagnosed over 12 years and comprehensive review of the literature. Med. Oral. Patol. Oral. Cir. Bucal. 2015, 20, e34–e44. [Google Scholar] [CrossRef] [PubMed]
- Maltagliati, A.; Ugolini, A.; Crippa, R.; Farronato, M.; Paglia, M.; Blasi, S.; Angiero, F. Complex odontoma at the upper right maxilla: Surgical management and histomorphological profile. Eur. J. Paediatr. Dent. 2020, 21, 199–202. [Google Scholar] [CrossRef] [PubMed]
- Boffano, P.; Cavarra, F.; Brucoli, M.; Ruslin, M.; Forouzanfar, T.; Ridwan-Pramana, A.; Rodríguez-Santamarta, T.; de Vicente, J.C.; Starch-Jensen, T.; Pechalova, P.; et al. The epidemiology and management of odontomas: A European multicenter study. Oral. Maxillofac. Surg. 2023, 27, 479–487. [Google Scholar] [CrossRef]
- Satish, V.; Prabhadevi, M.C.; Sharma, R. Odontome: A brief overview. Int. J. Clin. Pediatr. Dent. 2011, 4, 177–185. [Google Scholar] [CrossRef] [PubMed]
- Barba, L.T.; Campos, D.M.; Rascón, M.M.N.; Barrera, V.A.R.; Rascón, A.N. Aspectos descriptivos del odontoma: Revisión de la literatura. Rev. Odont. Mex. 2016, 20, 272–276. [Google Scholar] [CrossRef]
- Marimuthu, M.; Prabhu, A.R.; Kalyani, P.; Murali, S.; Senthilnathan, P.; Ramani, P. Complex-compound Odontome with 526 Denticles: A Unique Case Report. Int. J. Clin. Pediatr. Dent. 2022, 15, 789–792. [Google Scholar] [CrossRef]
- Tomizawa, M.; Otsuka, Y.; Noda, T. Clinical observations of odontomas in Japanese children: 39 cases including one recurrent case. Int. J. Paediatr. Dent. 2005, 15, 37–43. [Google Scholar] [CrossRef]
- Wang, X.P.; Fan, J. Molecular genetics of supernumerary tooth formation. Genesis 2011, 49, 261–277. [Google Scholar] [CrossRef]
- Mendez, G.I.; Di Bella, A.R.; Di Pascuale, S.; Schröh, C.; Masotto, A. Unusual mandibular odontoma and its resolution. Case report. Rev. Asoc. Odontol. Argent. 2022, 110, 5. [Google Scholar] [CrossRef]
- Wood, N.K.; Goaz, P.W. Diagnóstico Diferencial de las Lesiones Orales y Maxilofaciales, 5th ed.; Harcourt Brace: Madrid, Spain, 1998. [Google Scholar]
- Soluk Tekkesin, M.; Pehlivan, S.; Olgac, V.; Aksakallı, N.; Alatli, C. Clinical and histopathological investigation of odontomas: Review of the literature and presentation of 160 cases. J. Oral. Maxillofac. Surg. 2012, 70, 1358–1361. [Google Scholar] [CrossRef]
- Falkinhoff, P.E.; García Reig, E.L. The odontomas and their implications. Rev. Asoc. Odontol. 2019, 107, 19–24. Available online: https://raoa.aoa.org.ar/revistas/?roi=1071000025 (accessed on 2 May 2024).
- Harris Ricardo, J.; Rebolledo Cobos, M.; Díaz Caballero, A.; Carbonell Muñoz, Z. Odontoma case series. Review of literature. Av. Odontoestomatol. 2011, 27, 25–32. Available online: https://scielo.isciii.es/scielo.php?script=sci_arttext&pid=S0213-12852011000100003 (accessed on 2 May 2024). [CrossRef]
- Waldron, A.C. Quistes y tumores odontogénicos. In Patología Oral y Maxilofacial, 2nd ed.; Neville, B., Ed.; WB Saunders: Filadelfia, PA, USA, 2002; pp. 631–632. [Google Scholar]
- Mazur, M.; Di Giorgio, G.; Ndokaj, A.; Jedliński, M.; Corridore, D.; Marasca, B.; Salucci, A.; Polimeni, A.; Ottolenghi, L.; Bossù, M.; et al. Characteristics, Diagnosis and treatment of compound odontoma associated with impacted teeth. Children 2022, 9, 1509. [Google Scholar] [CrossRef] [PubMed]
- Gervasoni, C.; Tronchet, A.; Spotti, S.; Valsecchi, S.; Palazzolo, V.; Riccio, S.; D Aiuto, A.; Azzi, L.; Di Francesco, A. Odontomas: Review of the literature and case reports. J. Biol. Regul. Homeost. Agents. 2017, 31, 119–125. [Google Scholar] [PubMed]
- Caeiro-Villasenín, L.; Serna-Muñoz, C.; Pérez-Silva, A.; Vicente-Hernández, A.; Poza-Pascual, A.; Ortiz-Ruiz, A.J. Developmental dental defects in permanent teeth resulting from trauma in primary dentition: A systematic review. Int. J. Environ. Res. Public. Health 2022, 19, 754. [Google Scholar] [CrossRef]
- Cahill, D.R.; Marks, S.C., Jr. Tooth eruption: Evidence for the central role of the dental follicle. J. Oral. Pathol. 1980, 9, 189–200. [Google Scholar] [CrossRef] [PubMed]
- Page, M.J.; McKenzie, J.E.; Bossuyt, P.M.; Boutron, I.; Hoffmann, T.C.; Mulrow, C.D.; Shamseer, L.; Tetzlaff, J.M.; Akl, E.A.; Brennan; et al. The PRISMA 2020 statement: An updated guideline for reporting systematic reviews. BMJ 2021, 372, n71. [Google Scholar] [CrossRef] [PubMed]
- Matsuo, K.; Yamamoto, N.; Morimoto, Y.; Yamashita, Y.; Zhang, M.; Ishikawa, A.; Tanaka, T.; Kito, S.; Takahashi, T. Multiple complex odontomas and subsequent occurrence of an ossifying fibroma at the same site as the removed odontoma. J. Dent. Sci. 2013, 8, 189–195. [Google Scholar] [CrossRef]
- da Silva Rocha, O.K.M.; da Silva Barros, C.C.; da Silva, L.A.B.; de Souza Júnior, E.F.; de Morais, H.H.A.; da Costa Miguel, M.C. Peripheral compound odontoma: A rare case report and literature review. J. Cutan. Pathol. 2020, 47, 720–724. [Google Scholar] [CrossRef]
- Martinovic-Guzmán, G.; Santorcuato-Cubillos, B.; Alister-Herdener, J.P.; Plaza-Álvarez, C.; Raffo-Solari, J. Composite Odontoma: Diagnosis and Treatment Case Report & Literature Review. Int. J. Odontostom 2017, 11, 425–430. [Google Scholar]
- Vázquez Diego, J.; Gandini Pablo, C.; Carbajal Eduardo, E. Compound odontoma: Radiographic diagnosis and surgical treatment of a clinical case. Av. Odontoestomatol. 2008, 24, 307–312. Available online: http://scielo.isciii.es/scielo.php?script=sci_arttext&pid=S0213-12852008000500002 (accessed on 2 May 2024).
- Kadlub, N.; Kreindel, T.; Belle Mbou, V.; Coudert, A.; Ansari, E.; Descroix, V.; Ruhin-Poncet, B.; Coulomb L’hermine, A.; Berdal, A.; Vazquez, M.P.; et al. Specificity of paediatric jawbone lesions: Tumours and pseudotumours. J. Craniomaxillofac Surg. 2014, 42, 125–131. [Google Scholar] [CrossRef]
- El-Mofty, S. Psammomatoid and trabecular juvenile ossifying fibroma of the craniofacial skeleton: Two distinct clinicopathologic entities. Oral. Surg. Oral. Med. Oral. Pathol. Oral. Radiol. Endod. 2002, 93, 296–304. [Google Scholar] [CrossRef]
- Chrcanovic, B.R.; López Alvarenga, R.; Horta, M.C.R.; Freire-Maia, B.; Souza, L.N. Central ossifying fibroma in the maxilla: A case report and review of the literature. Av. Odontoestomatol. 2011, 27, 33–39. Available online: https://scielo.isciii.es/scielo.php?script=sci_serial&pid=0213-1285&lng=es&nrm=iso (accessed on 2 May 2024). [CrossRef]
- Lina, Z.; Ting, S.; Haoman, N.; Ning, G.; Yaling, T.; Yu, C. Mandibular ossifying fibroma and compound odontoma: A case report. Huaxikouqiangyixuezazhi 2016, 34, 100–103. [Google Scholar] [CrossRef]
- Amado Cuesta, S.; Gargallo Albiol, J.; Berini Aytés, L.; Gay Escoda, C. Review of 61 cases of odontoma. Presentation of an erupted complex odontoma. Med. Oral. 2003, 8, 366–373. [Google Scholar]
- Khalifa, C.; Omami, M.; Garma, M.; Slim, A.; Sioud, S.; Selmi, J. Compound-complex odontoma: A rare case report. Clin. Case. Rep. 2022, 10, e05658. [Google Scholar] [CrossRef]
- Chang, J.Y.; Wang, J.T.; Wang, Y.P.; Liu, B.Y.; Sun, A.; Chiang, C.P. Odontoma: A clinicopathologic study of 81 cases. J. Formos. Med. Assoc. 2003, 102, 876–882. [Google Scholar]
- Kim, K.S.; Lee, H.G.; Hwang, J.H.; Lee, S.Y. Incidentally detected odontoma within a dentigerous cyst. Arch. Craniofac Surg. 2019, 20, 62–65. [Google Scholar] [CrossRef] [PubMed]
- Soliman, N.; Al-Khanati, N.M.; Alkhen, M. Rare giant complex composite odontoma of mandible in mixed dentition: Case report with 3-year follow-up and literature review. Ann. Med. Surg. 2022, 74, 103355. [Google Scholar] [CrossRef] [PubMed]
- Manfredini, M.; Ferrario, S.; Creminelli, L.; Kuhn, E.; Poli, P.P. Compound odontoma associated with dentigerous cyst incidentally detected in an adult patient: Tomography and histological features. Case Rep. Dent. 2022, 2022, 6210289. [Google Scholar] [CrossRef]
- Neumann, B.L.; Só, B.B.; Santos, L.G.; Silveira, F.M.; Wagner, V.P.; Vargas, P.A.; Dos Santos, J.N.; Mosqueda-Taylor, A.; Fonseca, F.P.; Schuch, L.F.; et al. Synchronous odontogenic tumors: A systematic review. Oral. Dis. 2023, 29, 2493–2500. [Google Scholar] [CrossRef]
- Das, U.M.; Viswanath, D.; Azher, U. A compound composite odontoma associated with unerupted permanent incisor: A case report. Int. J. Clin. Pediatr. Dent. 2009, 2, 50–55. [Google Scholar] [CrossRef]
- Hamada, M.; Okawa, R.; Nishiyama, K.; Nomura, R.; Uzawa, N.; Nakano, K. Compound odontoma removed by endoscopic intraoral approach: Case report. Dent. J. 2021, 9, 81. [Google Scholar] [CrossRef]
- Ćabov, T.; Fuchs, P.N.; Zulijani, A.; Ćabov Ercegović, L.; Marelić, S. Odontomas: Pediatric case report and review of the literature. Acta Clin. Croat. 2021, 60, 146–152. [Google Scholar] [CrossRef]
- Kalra, A.; Pajpani, M.; Webb, R. Ameloblastic Fibro-Odontoma. J. Dent. Child. 2018, 85, 143–146. [Google Scholar]
- Sun, L.; Sun, Z.; Ma, X. Multiple complex odontoma of the maxilla and the mandible. Oral. Surg. Oral. Med. Oral. Pathol. Oral. Radiol. 2015, 120, e11–e16. [Google Scholar] [CrossRef]
- Yassin, O.M.; Hamori, E. Characteristics, clinical features and treatment of supernumerary teeth. J. Clin. Pediatr. Dent. 2009, 33, 247–250. [Google Scholar] [CrossRef] [PubMed]
- Hisatomi, M.; Asaumi, J.I.; Konouchi, H.; Honda, Y.; Wakasa, T.; Kishi, K. A case of complex odontoma associated with an impacted lower deciduous second molar and analysis of the 107 odontomas. Oral. Dis. 2002, 8, 100–105. [Google Scholar] [CrossRef] [PubMed]







| Inclusion Criteria | Exclusion Criteria |
|---|---|
| Observational and experimental studies | Systematic literature reviews or letters to the editor |
| Studies that report odontoma recurrence | Studies that report only the characteristics, diagnosis, or treatment of odontoma |
| English or Spanish language, and full text with no publication date limit | Studies reporting another tumor |
| Study | Type of Study | Tooth Involved | Age of First Enucleation | Age of Recurrence | Diagnosis of Recurrence | Complications |
|---|---|---|---|---|---|---|
| Boffano, P., 2022 [3] | Multicenter study with 4 recurrences in 127 patients | Not reported | 22 years on average | Not reported | Odontoma | Not reported |
| Tomizawa, M., 2005 [7] | Case report in 1 subject | Left maxillary primary central incisor | 1 year and 8 months | 6 years and 5 months | Odontoma | Delayed eruption |
| Matsuo, K., 2013 [20] | Case report | Second deciduous molar | 3 years | 7 years | Ossifying fibroma | Delayed eruption |
Disclaimer/Publisher’s Note: The statements, opinions and data contained in all publications are solely those of the individual author(s) and contributor(s) and not of MDPI and/or the editor(s). MDPI and/or the editor(s) disclaim responsibility for any injury to people or property resulting from any ideas, methods, instructions or products referred to in the content. |
© 2024 by the authors. Licensee MDPI, Basel, Switzerland. This article is an open access article distributed under the terms and conditions of the Creative Commons Attribution (CC BY) license (https://creativecommons.org/licenses/by/4.0/).
Share and Cite
Alarcón Apablaza, J.; Muñoz, G.; Arriagada, C.; Bucchi, C.; Masuko, T.S.; Fuentes, R. Odontoma Recurrence. The Importance of Radiographic Controls: Case Report with a 7-Year Follow-Up. Medicina 2024, 60, 1248. https://doi.org/10.3390/medicina60081248
Alarcón Apablaza J, Muñoz G, Arriagada C, Bucchi C, Masuko TS, Fuentes R. Odontoma Recurrence. The Importance of Radiographic Controls: Case Report with a 7-Year Follow-Up. Medicina. 2024; 60(8):1248. https://doi.org/10.3390/medicina60081248
Chicago/Turabian StyleAlarcón Apablaza, Josefa, Gonzalo Muñoz, Carlos Arriagada, Cristina Bucchi, Telma S. Masuko, and Ramón Fuentes. 2024. "Odontoma Recurrence. The Importance of Radiographic Controls: Case Report with a 7-Year Follow-Up" Medicina 60, no. 8: 1248. https://doi.org/10.3390/medicina60081248
APA StyleAlarcón Apablaza, J., Muñoz, G., Arriagada, C., Bucchi, C., Masuko, T. S., & Fuentes, R. (2024). Odontoma Recurrence. The Importance of Radiographic Controls: Case Report with a 7-Year Follow-Up. Medicina, 60(8), 1248. https://doi.org/10.3390/medicina60081248

