The Uncharted Territories of Esophageal Cancer with Cardiac and Skeletal Muscle Metastasis: A Case Report and Literature Review
Abstract
1. Introduction
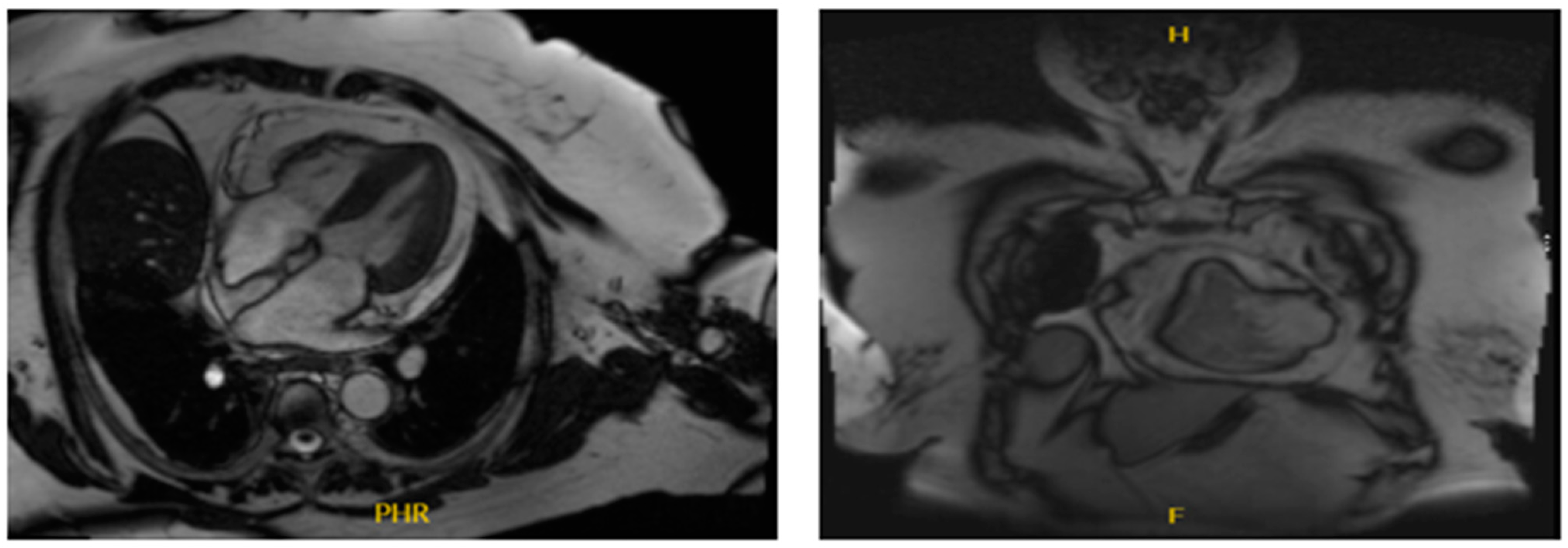
2. Case Presentation
3. Discussion
4. Conclusions
5. Patient Perspective
Author Contributions
Funding
Institutional Review Board Statement
Informed Consent Statement
Data Availability Statement
Conflicts of Interest
References
- World Health Organization. GLOBOCAN 2018 Estimated Cancer Incidence, Mortality and Prevalence Worldwide; World Health Organization: Geneva, Switzerland, 2018. [Google Scholar]
- American Cancer Society; Cancer Statistics Center. Available online: https://www.cancer.org/cancer/esophagus-cancer/about/key-statistics.html (accessed on 15 June 2024).
- Murphy, G.; McCormack, V.; Abedi-Ardekani, B.; Arnold, M.; Camargo, M.C.; Dar, N.A.; Dawsey, S.M.; Etemadi, A.; Fitzgerald, R.C.; Fleischer, D.E.; et al. International cancer seminars: A focus on esophageal squamous cell carcinoma. Ann. Oncol. 2017, 28, 2086–2093. [Google Scholar] [CrossRef] [PubMed]
- Shaheen, O.; Ghibour, A.; Alsaid, B. Esophageal Cancer Metastases to Unexpected Sites: A Systematic Review. Gastroenterol. Res. Pract. 2017, 2017, 1657310. [Google Scholar] [CrossRef] [PubMed] [PubMed Central]
- Signorelli, C.; Pergolini, A.; Zampi, G.; Vallone, A.; Ruggeri, E.M. Asymptomatic Cardiac Metastases from Esophageal Cancer: A Case Report of Ante-mortem Detection And Literature Review. Cureus 2019, 11, e6387. [Google Scholar] [CrossRef] [PubMed] [PubMed Central]
- Herring, C.L.; Harrelson, J.M.; Scully, S.P. Metastatic carcinoma to skeletal muscle: A report of 15 patients. Clin. Orthop. Relat. Res. 1998, 355, 272–281. [Google Scholar] [CrossRef] [PubMed]
- Tuoheti, Y.; Okada, K.; Osanai, T.; Nishida, J.; Ehara, S.; Hashimoto, M.; Itoi, E. Skeletal muscle metastases of carcinoma: A clinicopathological study of 12 cases. Jpn. J. Clin. Oncol. 2004, 34, 210–214. [Google Scholar] [CrossRef]
- Cincibuch, J.; Mysliveček, M.; Melichar, B.; Neoral, C.; Metelková, I.; Zezulová, M.; Procházková-Študentová, H.; Flodr, P.; Zlevorová, M.; Aujeský, R.; et al. Metastases of esophageal carcinoma to skeletal muscle: Single center experience. World J. Gastroenterol. 2012, 18, 4962–4966. [Google Scholar] [CrossRef] [PubMed] [PubMed Central]
- Seca, L.; Barra, S.; Matos, H. Cardiac invasion of esophageal tumor. Rev. Esp. Cardiol. 2013, 66, 664. [Google Scholar] [CrossRef] [PubMed]
- Consoli, F.; Arcangeli, G.; Ferrari, V.; Grisanti, S.; Almici, C.; Bordonali, T.; Simoncini, E. Circulating tumor cells and cardiac metastasis from esophageal cancer: A case report. Case Rep. Oncol. 2011, 4, 299–303. [Google Scholar] [CrossRef] [PubMed] [PubMed Central]
- Cates, C.U.; Virmani, R.; Vaughn, W.K.; Robertson, R.M. Electrocardiographic markers of cardiac metastasis. Am. Heart J. 1986, 112, 1297–1303. [Google Scholar] [CrossRef]
- Xu, Z.; Chang, Q.; Liu, R. A Noteworthy Electrocardiogram. Circulation 2021, 143, 1264–1266. [Google Scholar] [CrossRef]
- Joseph, A.; Raja, S.; Kamath, S.; Jang, S.; Allende, D.; McNamara, M.; Videtic, G.; Murthy, S.; Bhatt, A. Esophageal adenocarcinoma: A dire need for early detection and treatment. Clevel. Clin. J. Med. 2022, 89, 269–279. [Google Scholar] [CrossRef] [PubMed]
- Hölscher, A.H.; Bollschweiler, E.; Schneider, P.M.; Siewert, J.R. Prognosis of early esophageal cancer. Comparison between adeno- and squamous cell carcinoma. Cancer 1995, 76, 178–186. [Google Scholar] [CrossRef] [PubMed]
- Bollschweiler, E.; Hölscher, A.H. Prognosis of early esophageal cancer: Differences between squamous cell carcinoma and adenocarcinoma. Ann. Surg. 2007, 245, 334. [Google Scholar] [CrossRef] [PubMed] [PubMed Central]
- McGranahan, N.; Swanton, C. Biological and therapeutic impact of intratumor heterogeneity in cancer evolution. Cancer Cell 2015, 27, 15–26. [Google Scholar] [CrossRef] [PubMed]
- Herbreteau, G.; Vallée, A.; Charpentier, S.; Normanno, N.; Hofman, P.; Denis, M.G. Circulating free tumor DNA in non-small cell lung cancer (NSCLC): Clinical application and future perspectives. J. Thorac. Dis. 2019, 11, S113–S126. [Google Scholar] [CrossRef] [PubMed]
- Chidambaram, S.; Markar, S.R. Clinical utility and applicability of circulating tumor DNA testing in esophageal cancer: A systematic review and meta-analysis. Dis. Esophagus 2022, 35, doab046. [Google Scholar] [CrossRef] [PubMed] [PubMed Central]
- Iizuka, T.; Kakegawa, T.; Ide, H.; Ando, N.; Watanabe, H.; Tanaka, O.; Takagi, I.; Isono, K.; Ishida, K.; Arimori, M.; et al. Phase II evaluation of cisplatin and 5-fluorouracil in advanced squamous cell carcinoma of the esophagus: A Japanese Esophageal Oncology Group Trial. Jpn. J. Clin. Oncol. 1992, 22, 172–176. [Google Scholar] [PubMed]
- Hayashi, K.; Ando, N.; Watanabe, H.; Ide, H.; Nagai, K.; Aoyama, N.; Takiyama, W.; Ishida, K.; Isono, K.; Makuuchi, H.; et al. Phase II evaluation of protracted infusion of cisplatin and 5-fluorouracil in advanced squamouscell carcinoma of the esophagus: A Japan Esophageal Oncology Group (JEOG) Trial (JCOG9407). Jpn. J. Clin. Oncol. 2001, 31, 419–423. [Google Scholar] [CrossRef] [PubMed]
- Harada, K.; Yamamoto, S.; Kato, K. Pembrolizumab for the treatment of advanced esophageal cancer. Future Oncol. 2022, 18, 2311–2319. [Google Scholar] [CrossRef] [PubMed]
- Adenis, A.; Bennouna, J.; Etienne, P.L.; Bogart, E.; Francois, E.; Galais, M.P.; Abdelghani, M.B.; Michel, P.; Metges, J.P.; Dahan, L.; et al. Continuation versus discontinuation of first-line chemotherapy in patients with metastaticsquamous cell oesophageal cancer: A randomised phase II trial (E-DIS). Eur. J. Cancer 2019, 111, 12–20. [Google Scholar] [CrossRef]
- Bosetti, C.; Levi, F.; Ferlay, J.; Garavello, W.; Lucchini, F.; Bertuccio, P.; Negri, E.; La Vecchia, C. Trend in oesophageal cancer incidence and mortality in Europe. Int. J. Cancer 2008, 122, 1118–1129. [Google Scholar] [CrossRef] [PubMed]
- Sun, J.M.; Shen, L.; Shah, M.A.; Enzinger, P.; Adenis, A.; Doi, T.; Kojima, T.; Metges, J.P.; Li, Z.; Kim, S.B.; et al. Pembrolizumab plus chemotherapy versus chemotherapy alone for first-line treatment of advanced oesophageal cancer (KEYNOTE-590): A randomised, placebo-controlled, phase 3 study. Lancet 2021, 398, 759–771, Erratum in Lancet 2021, 398, 1874. [Google Scholar] [CrossRef] [PubMed]
- U.S. Food and Drug Administration Approves Two Opdivo®(Nivolumab)-Based Regimens as First-Line Treatments for Unresectable Advanced or Metastatic Esophageal Squamous Cell Carcinoma. News Release. Bristol Myers Squibb. Available online: https://bit.ly/3z4SxYS (accessed on 27 May 2022).
- Doki, Y.; Ajani, J.A.; Kato, K.; Xu, J.; Wyrwicz, L.; Motoyama, S.; Ogata, T.; Kawakami, H.; Hsu, C.H.; Adenis, A.; et al. Nivolumab combination therapy in advanced esophageal squamous-cell carcinoma. N. Engl. J. Med. 2022, 386, 449–462. [Google Scholar] [CrossRef] [PubMed]




Disclaimer/Publisher’s Note: The statements, opinions and data contained in all publications are solely those of the individual author(s) and contributor(s) and not of MDPI and/or the editor(s). MDPI and/or the editor(s) disclaim responsibility for any injury to people or property resulting from any ideas, methods, instructions or products referred to in the content. |
© 2024 by the authors. Licensee MDPI, Basel, Switzerland. This article is an open access article distributed under the terms and conditions of the Creative Commons Attribution (CC BY) license (https://creativecommons.org/licenses/by/4.0/).
Share and Cite
Hassanain, H.; Hassanain, O.; Abdelrahim, M. The Uncharted Territories of Esophageal Cancer with Cardiac and Skeletal Muscle Metastasis: A Case Report and Literature Review. Medicina 2024, 60, 1146. https://doi.org/10.3390/medicina60071146
Hassanain H, Hassanain O, Abdelrahim M. The Uncharted Territories of Esophageal Cancer with Cardiac and Skeletal Muscle Metastasis: A Case Report and Literature Review. Medicina. 2024; 60(7):1146. https://doi.org/10.3390/medicina60071146
Chicago/Turabian StyleHassanain, Hala, Omar Hassanain, and Maen Abdelrahim. 2024. "The Uncharted Territories of Esophageal Cancer with Cardiac and Skeletal Muscle Metastasis: A Case Report and Literature Review" Medicina 60, no. 7: 1146. https://doi.org/10.3390/medicina60071146
APA StyleHassanain, H., Hassanain, O., & Abdelrahim, M. (2024). The Uncharted Territories of Esophageal Cancer with Cardiac and Skeletal Muscle Metastasis: A Case Report and Literature Review. Medicina, 60(7), 1146. https://doi.org/10.3390/medicina60071146

