Misdiagnosis Based on Neoplastic Markers—Extremely High Alpha-Fetoprotein in Patients with Intrahepatic Cholangiocarcinoma with Literature Review of the Published Cases
Abstract
1. Introduction
2. Materials and Methods
3. Case Description
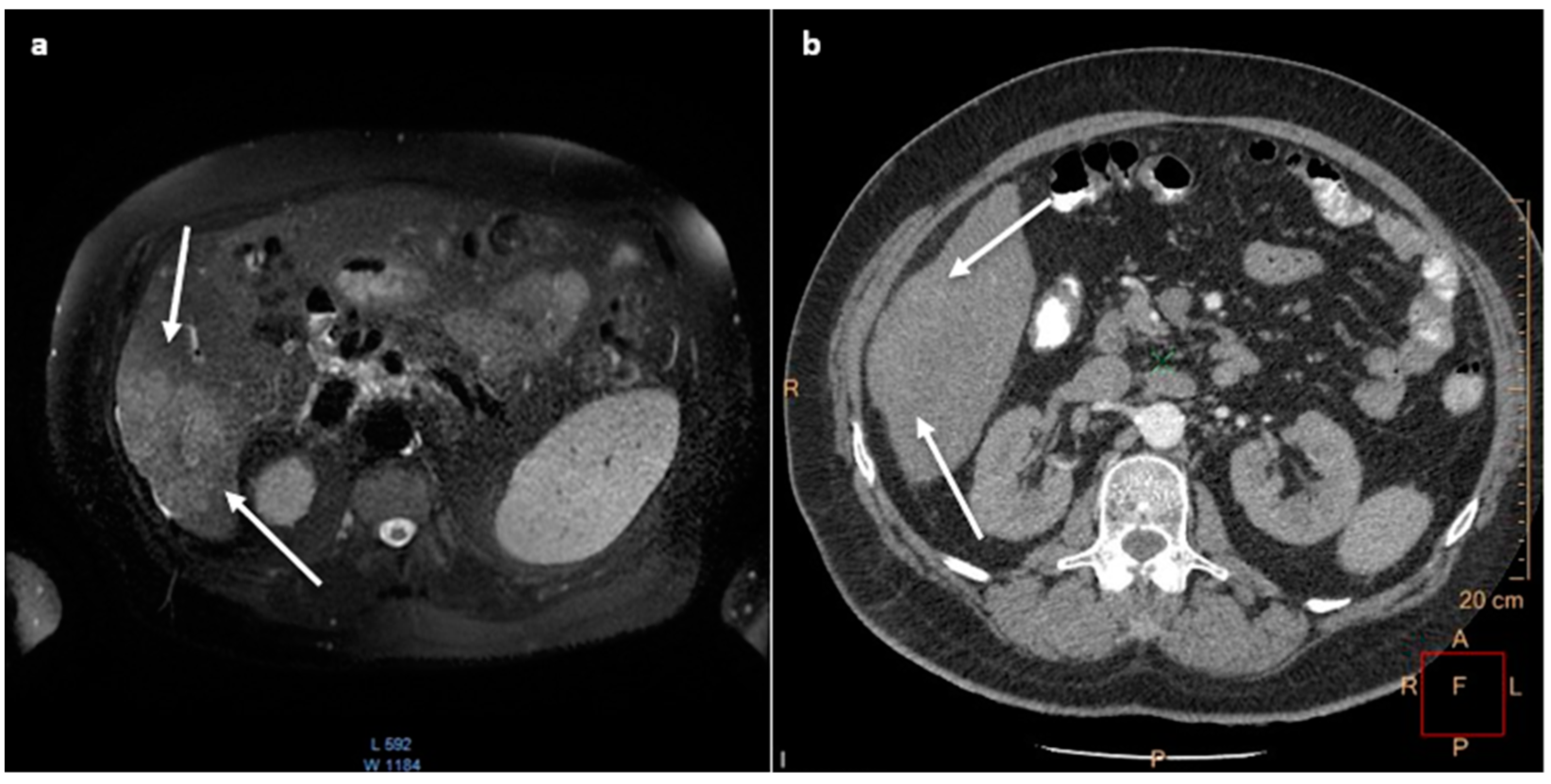
3.1. Patient I
3.2. Patient II
4. Discussion
5. Conclusions
Author Contributions
Funding
Institutional Review Board Statement
Informed Consent Statement
Data Availability Statement
Conflicts of Interest
References
- Das, S.; Dey, M.K.; Devireddy, R.; Gartia, M.R. Biomarkers in Cancer Detection, Diagnosis, and Prognosis. Sensors 2024, 24, 37. [Google Scholar] [CrossRef] [PubMed]
- Park, S.J.; Jang, J.Y.; Jeong, S.W.; Cho, Y.K.; Lee, S.H.; Kim, S.G.; Cha, S.-W.; Kim, Y.S.; Cho, Y.D.; Kim, H.S.; et al. Usefulness of AFP, AFP-L3, and PIVKA-II, and Their Combinations in Diagnosing Hepatocellular Carcinoma. Medicine 2017, 96, e5811. [Google Scholar] [CrossRef] [PubMed]
- Krawczyk Krawczyk, M.; Wasilewicz, M.P.; Hartleb, M.; Krzakowski, M.; Milkiewicz, P.; Habior, A.; Górnicka, B.; Cierpka, L.; Król, R.; Cichoż-Lach, H.; et al. Rozpoznawanie i leczenie raka wątrobowokomórkowego—Rekomendacje Sekcji Hepatologicznej Polskiego Towarzystwa Gastroenterologii. Gastroenterol. Klin. Postępy Stand. 2015, 7, 65–89. [Google Scholar]
- Krzakowski, M.; Zieniewicz, K.; Habior, A.; Horban, A.; Olszewski, W.; Cianciara, J.; Simon, K.; Hartleb, M.; Reguła, J.; Pacho, R.; et al. Rak wątrobowokomórkowy—Rozpoznanie i leczenie. Med. Prakt.—Onkol. 2009, 6, 73–78. [Google Scholar]
- Asafo-Agyei, K.O.; Samant, H. Hepatocellular Carcinoma. In StatPearls; StatPearls Publishing: Treasure Island, FL, USA, 2024. Available online: https://www.ncbi.nlm.nih.gov/books/NBK559177/ (accessed on 20 April 2024).
- Xing, H.; Wang, J.; Wang, Y.; Tong, M.; Hu, H.; Huang, C.; Li, D. Diagnostic Value of CA 19-9 and Carcinoembryonic Antigen for Pancreatic Cancer: A Meta-Analysis. Gastroenterol. Res. Pract. 2018, 2018, 8704751. [Google Scholar] [CrossRef]
- Pavai, S.; Yap, S.F. The Clinical Significance of Elevated Levels of Serum CA 19-9. Med. J. Malays. 2003, 58, 667–672. [Google Scholar]
- Su, S.-B.; Qin, S.-Y.; Chen, W.; Luo, W.; Jiang, H.-X. Carbohydrate Antigen 19-9 for Differential Diagnosis of Pancreatic Carcinoma and Chronic Pancreatitis. World J. Gastroenterol. 2015, 21, 4323–4333. [Google Scholar] [CrossRef] [PubMed]
- Tanţău, A.; Leucuţa, D.-C.; Tanţău, M.; Boţan, E.; Zaharie, R.; Mândruţiu, A.; Tomuleasa, I.-C. Inflammation, Tumoral Markers and Interleukin-17, -10, and -6 Profiles in Pancreatic Adenocarcinoma and Chronic Pancreatitis. Dig. Dis. Sci. 2021, 66, 3427–3438. [Google Scholar] [CrossRef]
- Zhang, X.; Zhou, Y.; Wu, Z.; Peng, W.; Li, C.; Yan, L.; Yang, J.; Wen, T. Double-Negative α-Fetoprotein and Carbohydrate Antigen 19-9 Predict a Good Prognosis in Intrahepatic Cholangiocarcinoma: A Propensity Score Matching Analysis. Clin. Transl. Gastroenterol. 2021, 12, e00425. [Google Scholar] [CrossRef]
- Capuozzo, M.; Santorsola, M.; Ferrara, F.; Cinque, C.; Farace, S.; Patrone, R.; Granata, V.; Zovi, A.; Nasti, G.; Ottaiano, A. Intrahepatic Cholangiocarcinoma Biomarkers: Towards Early Detection and Personalized Pharmacological Treatments. Mol. Cell. Probes 2024, 73, 101951. [Google Scholar] [CrossRef]
- Cao, J.; Srinivas-Rao, S.; Mroueh, N.; Anand, R.; Kongboonvijit, S.; Sertic, M.; Shenoy-Bhangle, A.S.; Kambadakone, A. Cholangiocarcinoma Imaging: From Diagnosis to Response Assessment. Abdom. Radiol. 2024, 49, 1699–1715. [Google Scholar] [CrossRef] [PubMed]
- Liang, B.; Zhong, L.; He, Q.; Wang, S.; Pan, Z.; Wang, T.; Zhao, Y. Diagnostic Accuracy of Serum CA19-9 in Patients with Cholangiocarcinoma: A Systematic Review and Meta-Analysis. Med. Sci. Monit. 2015, 21, 3555–3563. [Google Scholar] [CrossRef]
- Saca, D.; Flamm, S.L. Cholangiocarcinoma Surveillance Recommendations in Patients with Primary Sclerosing Cholangitis. Clin. Liver Dis. 2024, 28, 183–192. [Google Scholar] [CrossRef] [PubMed]
- Tsen, A.; Barbara, M.; Rosenkranz, L. Dilemma of Elevated CA 19-9 in Biliary Pathology. Pancreatology 2018, 18, 862–867. [Google Scholar] [CrossRef]
- Singal, A.G.; Zhang, E.; Narasimman, M.; Rich, N.E.; Waljee, A.K.; Hoshida, Y.; Yang, J.D.; Reig, M.; Cabibbo, G.; Nahon, P.; et al. HCC Surveillance Improves Early Detection, Curative Treatment Receipt, and Survival in Patients with Cirrhosis: A Meta-Analysis. J. Hepatol. 2022, 77, 128–139. [Google Scholar] [CrossRef] [PubMed]
- Ayuso, C.; Rimola, J.; Vilana, R.; Burrel, M.; Darnell, A.; García-Criado, Á.; Bianchi, L.; Belmonte, E.; Caparroz, C.; Barrufet, M.; et al. Diagnosis and Staging of Hepatocellular Carcinoma (HCC): Current Guidelines. Eur. J. Radiol. 2018, 101, 72–81. [Google Scholar] [CrossRef] [PubMed]
- Wong, R.J.; Ahmed, A.; Gish, R.G. Elevated Alpha-Fetoprotein: Differential Diagnosis—Hepatocellular Carcinoma and Other Disorders. Clin. Liver Dis. 2015, 19, 309–323. [Google Scholar] [CrossRef]
- Eschrich, J.; Kobus, Z.; Geisel, D.; Halskov, S.; Roßner, F.; Roderburg, C.; Mohr, R.; Tacke, F. The Diagnostic Approach towards Combined Hepatocellular-Cholangiocarcinoma-State of the Art and Future Perspectives. Cancers 2023, 15, 301. [Google Scholar] [CrossRef] [PubMed]
- Roßner, F.; Sinn, B.V.; Horst, D. Pathology of Combined Hepatocellular Carcinoma-Cholangiocarcinoma: An Update. Cancers 2023, 15, 494. [Google Scholar] [CrossRef]
- Granata, V.; Fusco, R.; De Muzio, F.; Cutolo, C.; Grassi, F.; Brunese, M.C.; Simonetti, I.; Catalano, O.; Gabelloni, M.; Pradella, S.; et al. Risk Assessment and Cholangiocarcinoma: Diagnostic Management and Artificial Intelligence. Biology 2023, 12, 213. [Google Scholar] [CrossRef]
- Subramanian, K.; Aggarwal, P.; Hall, L.T.; Singh, H.; Takalkar, A.M.; Mittal, B.R. Molecular Imaging of Hepatobiliary Cancers. In Molecular Imaging and Therapy; Hall, L.T., Ed.; Exon Publications: Brisbane, Australia, 2023; ISBN 978-0-645-86639-1. Available online: https://www.ncbi.nlm.nih.gov/books/NBK599135/ (accessed on 23 April 2024).
- Ćwik, G.; Krupski, W.; Prystupa, A.; Wallner, G. Biliary Tract Carcinoma—Determination of Therapeutic Possibilities in the Imaging Evaluation of Tumor Progression. Gastroenterol. Rev. 2013, 8, 156–164. [Google Scholar] [CrossRef]
- Wang, X.; Wang, Q. Alpha-Fetoprotein and Hepatocellular Carcinoma Immunity. Can. J. Gastroenterol. Hepatol. 2018, 2018, 9049252. [Google Scholar] [CrossRef] [PubMed]
- Soborczyk, A.; Deptała, A. Markery Nowotworowe w Praktyce Klinicznej. Chor. Serca Naczyń 2007, 4, 184–189. [Google Scholar]
- Zhou, Y.-M.; Yang, J.-M.; Li, B.; Yin, Z.-F.; Xu, F.; Wang, B.; Liu, P.; Li, Z.-M. Clinicopathologic Characteristics of Intrahepatic Cholangiocarcinoma in Patients with Positive Serum A-Fetoprotein. World J. Gastroenterol. 2008, 14, 2251–2254. [Google Scholar] [CrossRef]
- Zacharakis, G.; Aleid, A.; Aldossari, K.K. New and Old Biomarkers of Hepatocellular Carcinoma. Hepatoma Res. 2018, 4, 65. [Google Scholar] [CrossRef]
- Zhang, J.; Chen, G.; Zhang, P.; Zhang, J.; Li, X.; Gan, D.; Cao, X.; Han, M.; Du, H.; Ye, Y. The Threshold of Alpha-Fetoprotein (AFP) for the Diagnosis of Hepatocellular Carcinoma: A Systematic Review and Meta-Analysis. PLoS ONE 2020, 15, e0228857. [Google Scholar] [CrossRef]
- Qiang, Z.; Zhang, W.; Jin, S.; Dai, K.; He, Y.; Tao, L.; Yu, H. Carcinoembryonic Antigen, α-Fetoprotein, and Ki67 as Biomarkers and Prognostic Factors in Intrahepatic Cholangiocarcinoma: A Retrospective Cohort Study. Ann. Hepatol. 2021, 20, 100242. [Google Scholar] [CrossRef]
- Wang, C.; Jing, H.; Sha, D.; Wang, W.; Chen, J.; Cui, Y.; Han, J. HBV-Associated Intrahepatic Cholangiocarcinoma with High Serum Alpha-Fetoprotein: A Case Report with Review of Literature. BMC Infect. Dis. 2016, 16, 295. [Google Scholar] [CrossRef]
- Brindley, P.J.; Bachini, M.; Ilyas, S.I.; Khan, S.A.; Loukas, A.; Sirica, A.E.; Teh, B.T.; Wongkham, S.; Gores, G.J. Cholangiocarcinoma. Nat. Rev. Dis. Primers 2021, 7, 65. [Google Scholar] [CrossRef] [PubMed]
- Lee, C.-W.; Tsai, H.-I.; Lee, W.-C.; Huang, S.-W.; Lin, C.-Y.; Hsieh, Y.-C.; Kuo, T.; Chen, C.-W.; Yu, M.-C. Normal Alpha-Fetoprotein Hepatocellular Carcinoma: Are They Really Normal? J. Clin. Med. 2019, 8, 1736. [Google Scholar] [CrossRef]
- Huang, B.; Wu, L.; Lu, X.-Y.; Xu, F.; Liu, C.-F.; Shen, W.-F.; Jia, N.-Y.; Cheng, H.-Y.; Yang, Y.-F.; Shen, F. Small Intrahepatic Cholangiocarcinoma and Hepatocellular Carcinoma in Cirrhotic Livers May Share Similar Enhancement Patterns at Multiphase Dynamic MR Imaging. Radiology 2016, 281, 150–157. [Google Scholar] [CrossRef] [PubMed]
- Meng, J.; Weng, J.; Wu, J.; Mao, H.; Huang, P.; Chen, S.; Liu, L. Preoperative Serum CA125 Level Is a Good Prognostic Predictor in Patients with Intrahepatic Cholangiocarcinoma after Hepatectomy: A Single-Center Retrospective Study. Medicine 2023, 102, e34839. [Google Scholar] [CrossRef] [PubMed]
- Hu, Z.; Zhou, H. Clinical Characteristics of Non-B and Non-C Biopsy-Proven Primary Liver Cancers in an HBV-Endemic Area: A Retrospective Study. J. Hepatocell. Carcinoma 2024, 11, 767–774. [Google Scholar] [CrossRef]
- Chun, J.; Moore, M.; Kelly, P.; Kanzawa, M.; Itoh, T.; Hong, S.-M.; Zen, Y. Enteroblastic Cholangiocarcinoma: An Uncommon, Underrecognized Subtype of Bile Duct Cancer. Hum. Pathol. 2024, 144, 46–52. [Google Scholar] [CrossRef]
- Tasch, J.J.; Dube, N. An Unusual Presentation of Advanced Intrahepatic Cholangiocarcinoma: When Biopsy Results Fail. Am. J. Case Rep. 2018, 19, 35–40. [Google Scholar] [CrossRef]
- Kashihara, T.; Ohki, A.; Kobayashi, T.; Sato, T.; Nishizawa, H.; Ogawa, K.; Tako, H.; Kawakami, F.; Tsuji, M.; Tamaoka, K. Intrahepatic Cholangiocarcinoma with Increased Serum CYFRA 21-1 Level. J. Gastroenterol. 1998, 33, 447–453. [Google Scholar] [CrossRef] [PubMed]
- Nart, D.; Ertan, Y.; Pala, E.E.; Zeytunlu, M.; Kilic, M.; Yilmaz, F. Intrahepatic Cholangiocarcinoma Arising in Chronic Viral Hepatitis-Associated Cirrhosis: Two Transplant Cases. Transplant. Proc. 2008, 40, 3813–3815. [Google Scholar] [CrossRef] [PubMed]
- Park, M.H.; Cho, J.S.; Lee, J.S.; Kim, H.K.; Yoon, J.H. Thyroid Gland Metastasis Arising from Primary Liver Cholangiocarcinoma: The First Case Report Involving Surgical Operation. Int. J. Surg. Case Rep. 2012, 3, 78–81. [Google Scholar] [CrossRef] [PubMed]
- Yoh, T.; Kato, T.; Hirohata, Y.; Nakamura, Y.; Nakayama, H.; Okamura, R. Cholangiolocellular Carcinoma with Rapid Progression Initially Showing Abnormally Elevated Serum Alfa-Fetoprotein. Clin. J. Gastroenterol. 2016, 9, 257–260. [Google Scholar] [CrossRef]
- Zhang, A.; Liu, B.; Xu, D.; Sun, Y. Advanced Intrahepatic Cholangiocarcinoma Treated Using Anlotinib and Microwave Ablation. Medicine 2019, 98, e18435. [Google Scholar] [CrossRef]
- Parsons, M.; Lloyd, S.; Johnson, S.; Scaife, C.; Soares, H.; Kim, R.; Kim, R.; Garrido-Laguna, I.; Tao, R. The Implications of Treatment Delays in Adjuvant Therapy for Resected Cholangiocarcinoma Patients. J. Gastrointest. Cancer 2022, 54, 492–500. [Google Scholar] [CrossRef] [PubMed]



| Sex | Age | AFP Concentration [ng/mL] | Size of the Tumor in CT [mm] | Reference |
|---|---|---|---|---|
| Male | 60 | 12,310 | 102 × 86 × 63 | Wang et al. [30] |
| Male | 48 | 10,602 | 88 | Chun et al. [36] |
| Male | 67 | 320 | 32 | Chun et al. [36] |
| Female | 67 | 15.7 | 94 × 98 | Tasch et al. [37] |
| Female | 63 | 28.7 | 70 | Kashihara et al. [38] |
| Female | 47 | 93 | 60 | Nart et al. [39] |
| Male | 55 | 3465 | 40 | Park et al. [40] |
| Male | 72 | 16,399 | 80 × 75 × 60 | Yoh et al. [41] |
| Female | 68 | 1561 | NA | Zhang et al. [42] |
Disclaimer/Publisher’s Note: The statements, opinions and data contained in all publications are solely those of the individual author(s) and contributor(s) and not of MDPI and/or the editor(s). MDPI and/or the editor(s) disclaim responsibility for any injury to people or property resulting from any ideas, methods, instructions or products referred to in the content. |
© 2024 by the authors. Licensee MDPI, Basel, Switzerland. This article is an open access article distributed under the terms and conditions of the Creative Commons Attribution (CC BY) license (https://creativecommons.org/licenses/by/4.0/).
Share and Cite
Jakimów, K.; Tekiela, N.; Kozak, K.; Peterek, R.; Kwaśniewska, A.; Pająk, J.; Chudek, J. Misdiagnosis Based on Neoplastic Markers—Extremely High Alpha-Fetoprotein in Patients with Intrahepatic Cholangiocarcinoma with Literature Review of the Published Cases. Medicina 2024, 60, 1109. https://doi.org/10.3390/medicina60071109
Jakimów K, Tekiela N, Kozak K, Peterek R, Kwaśniewska A, Pająk J, Chudek J. Misdiagnosis Based on Neoplastic Markers—Extremely High Alpha-Fetoprotein in Patients with Intrahepatic Cholangiocarcinoma with Literature Review of the Published Cases. Medicina. 2024; 60(7):1109. https://doi.org/10.3390/medicina60071109
Chicago/Turabian StyleJakimów, Krzysztof, Natalia Tekiela, Katarzyna Kozak, Robert Peterek, Anna Kwaśniewska, Jacek Pająk, and Jerzy Chudek. 2024. "Misdiagnosis Based on Neoplastic Markers—Extremely High Alpha-Fetoprotein in Patients with Intrahepatic Cholangiocarcinoma with Literature Review of the Published Cases" Medicina 60, no. 7: 1109. https://doi.org/10.3390/medicina60071109
APA StyleJakimów, K., Tekiela, N., Kozak, K., Peterek, R., Kwaśniewska, A., Pająk, J., & Chudek, J. (2024). Misdiagnosis Based on Neoplastic Markers—Extremely High Alpha-Fetoprotein in Patients with Intrahepatic Cholangiocarcinoma with Literature Review of the Published Cases. Medicina, 60(7), 1109. https://doi.org/10.3390/medicina60071109

