An Asymptomatic Sigmoid Colonic Fistula Arising from a Large Aneurysm of the Internal Iliac Artery Was Discovered during a Medical Examination
Abstract
1. Introduction
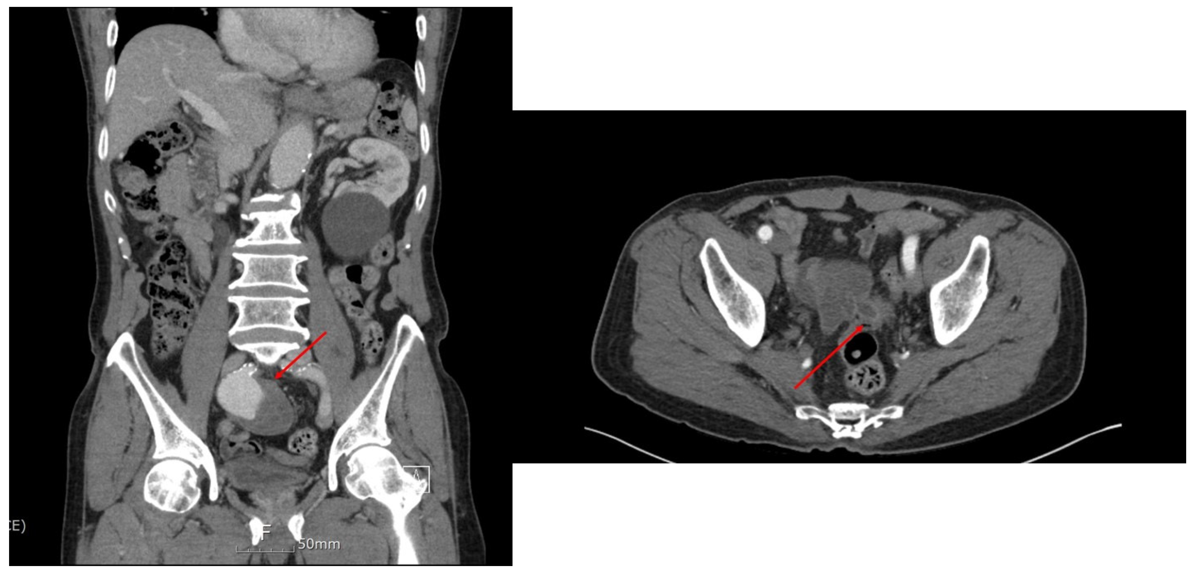
2. Case Report
3. Discussion
Author Contributions
Funding
Institutional Review Board Statement
Informed Consent Statement
Data Availability Statement
Conflicts of Interest
References
- Saers, S.J.; Scheltinga, M.R. Primary aortoenteric fistula. Br. J. Surg. 2005, 92, 143–152. [Google Scholar] [CrossRef] [PubMed]
- Wanhainen, A.; Van Herzeele, I.; Bastos Goncalves, F.; Bellmunt Montoya, S.; Berard, X.; Boyle, J.R.; D’Oria, M.; Prendes, C.F.; Karkos, C.D.; Kazimierczak, A.; et al. Editor’s choice—European Society for Vascular Surgery (ESVS) 2024 Clinical Practice Guidelines on the Management of Abdominal Aorto-Iliac Artery Aneurysms. Eur. J. Vasc. Endovasc. Surg. 2024, 67, 192–331. [Google Scholar] [CrossRef] [PubMed]
- Koziej, M.; Toppich, J.; Wilk, J.; Plutecki, D.; Ostrowski, P.; Fijałkowska, M.; Bonczar, T.; Dubrowski, A.; Mazur, M.; Walocha, J.; et al. The anatomy of the internal iliac artery: A meta-analysis. Folia Morphol. 2024. [Google Scholar] [CrossRef] [PubMed]
- Policha, A.; Baldwin, M.; Mussa, F.; Rockman, C. Iliac artery-uretero-colonic fistula presenting as severe gastrointestinal hemorrhage and hematuria: A case report and review of the literature. Ann. Vasc. Surg. 2015, 29, 1656.e1–1656.e6. [Google Scholar] [CrossRef] [PubMed]
- Li, F.; Zhao, B.; Liu, Y.-Q.; Chen, G.-Q.; Qu, R.-F.; Xu, C.; Long, Z.; Wu, J.-S.; Xiong, M.; Liu, W.-H.; et al. Hematochezia due to rectal invasion by an internal iliac artery aneurysm: A case report. World J. Clin. Cases 2024, 12, 1980–1989. [Google Scholar] [CrossRef] [PubMed]
- Meskouri, K.; Cherbal, A.; Khelili, A.; Benzahra, M.; Cheriet, M.; Boukerouma, M. Surgical treatment of a large isolated aneurysm of the right primary iliac artery: About a case. EAS J. Med. Surg. 2024, 6, 124–130. [Google Scholar] [CrossRef]
- Bianchini Massoni, C.; von Stein, P.; Schernthaner, M.; Gallitto, E.; Rengier, F.; Katzen, B.T.; Gargiulo, M.; Böckler, D.; Geisbüsch, P. Endovascular treatment of inflammatory infrarenal aortic aneurysms. Vasc. Endovasc. Surg. 2016, 50, 21–28. [Google Scholar] [CrossRef] [PubMed]
- Iino, M.; Kuribayashi, S.; Imakita, S.; Takamiya, M.; Matsuo, H.; Ookita, Y.; Ando, M.; Ueda, H. Sensitivity and specificity of CT in the diagnosis of inflammatory abdominal aortic aneurysms. J. Comput. Assist. Tomogr. 2002, 26, 1006–1012. [Google Scholar] [CrossRef] [PubMed]
- Paravastu, S.C.; Ghosh, J.; Murray, D.; Farquharson, F.G.; Serracino-Inglott, F.; Walker, M.G. A systematic review of open versus endovascular repair of inflammatory abdominal aortic aneurysms. Eur. J. Vasc. Endovasc. Surg. 2009, 38, 291–297. [Google Scholar] [CrossRef] [PubMed]
- Rasmussen, T.E.; Hallett, J.W., Jr. Inflammatory aortic aneurysms: A clinical review with new perspectives in pathogenesis. Ann. Surg. 1997, 225, 155–164. [Google Scholar] [CrossRef] [PubMed]
- Liu, Y.; Ma, J.; Gong, X.; Luo, J. Rare cause chronic intermittent hematochezia. Am. J. Med. 2024, 137, e54–e55. [Google Scholar] [CrossRef] [PubMed]
- Liao, H.; Zhou, E.; Tang, Y.; He, C. Endovascular repair of bilateral isolated common iliac artery aneurysms with unsuitable anatomy utilizing an aortic bifurcated unibody endograft and modified sandwich technique to preserve pelvic blood flow: A case series. J. Cardiothorac. Surg. 2024, 19, 210. [Google Scholar] [CrossRef] [PubMed]
- Obrand, J.; Jones, M.; Mirakhur, A.; Rommens, K.; Moore, R. A hybrid approach to complex bilateral common iliac artery and internal iliac artery aneurysm repair. J. Vasc. Surg. Cases Innov. Tech. 2024, 10, 101410. [Google Scholar] [CrossRef]
- Katoh, J.; Shindo, S.; Kina, S.; Katahira, S.; Osawa, H.; Kobayashi, M.; Suzuki, O.; Kamiya, K.; Tada, Y. Rupture of an isolated internal iliac artery aneurysm into the rectum: Report of a case. Surg. Today 1995, 25, 554–556. [Google Scholar] [CrossRef]
- Markowitz, A.M.; Norman, J.C. Aneurysms of the iliac artery. Ann. Surg. 1961, 154, 777–787. [Google Scholar] [CrossRef]
- Haddad, A.W.; Prince, M.A.; Kloub, M.; Tewoldemedhin, B.; Adelakun, A.A.; Haddad, D.; Al-Radideh, O. Sculpting the silent intricacies: A rare triad of syphilitic aneurysms unveiled. Cureus 2024, 16, e60944. [Google Scholar] [CrossRef]
- Homma, Y.; Harada, T.; Inoue, T.; Nakamura, J.; Kondo, H.; Tachibana, S.; Katsuta, T.; Inoue, K. Tuberculous aneurysm diagnosed by CT-Guided biopsy after stent graft replacement: A case report. J. Infect. Chemother. 2024. [Google Scholar] [CrossRef]
- Figueiredo, A.; Fidalgo, H.; Tavares, C.; Gueifão, I.; Gonçalves, D.; Alves, G.; Camacho, N.; Ferreira, M.E. Mycotic aneurysm in an immunocompromised patient with pneumonia and spondylodiscitis: Who’s guilty? Angiol. Cir. Vasc. 2024, 20, 45–48. [Google Scholar] [CrossRef]



Disclaimer/Publisher’s Note: The statements, opinions and data contained in all publications are solely those of the individual author(s) and contributor(s) and not of MDPI and/or the editor(s). MDPI and/or the editor(s) disclaim responsibility for any injury to people or property resulting from any ideas, methods, instructions or products referred to in the content. |
© 2024 by the authors. Licensee MDPI, Basel, Switzerland. This article is an open access article distributed under the terms and conditions of the Creative Commons Attribution (CC BY) license (https://creativecommons.org/licenses/by/4.0/).
Share and Cite
Kim, M.J.; Yoo, K.C.; Kim, D.H. An Asymptomatic Sigmoid Colonic Fistula Arising from a Large Aneurysm of the Internal Iliac Artery Was Discovered during a Medical Examination. Medicina 2024, 60, 1052. https://doi.org/10.3390/medicina60071052
Kim MJ, Yoo KC, Kim DH. An Asymptomatic Sigmoid Colonic Fistula Arising from a Large Aneurysm of the Internal Iliac Artery Was Discovered during a Medical Examination. Medicina. 2024; 60(7):1052. https://doi.org/10.3390/medicina60071052
Chicago/Turabian StyleKim, Myung Jo, Kwon Cheol Yoo, and Dae Hoon Kim. 2024. "An Asymptomatic Sigmoid Colonic Fistula Arising from a Large Aneurysm of the Internal Iliac Artery Was Discovered during a Medical Examination" Medicina 60, no. 7: 1052. https://doi.org/10.3390/medicina60071052
APA StyleKim, M. J., Yoo, K. C., & Kim, D. H. (2024). An Asymptomatic Sigmoid Colonic Fistula Arising from a Large Aneurysm of the Internal Iliac Artery Was Discovered during a Medical Examination. Medicina, 60(7), 1052. https://doi.org/10.3390/medicina60071052

