An Update on Non-Invasive Skin Imaging Techniques in Actinic Keratosis—A Narrative Review
Abstract
1. Introduction
1.1. Introduction to NMSC
1.2. Demographics and Clinical Presentation of AKs
1.3. Pathogenesis of AK
1.4. Classification and Grading of AK
1.5. Treatment of AK
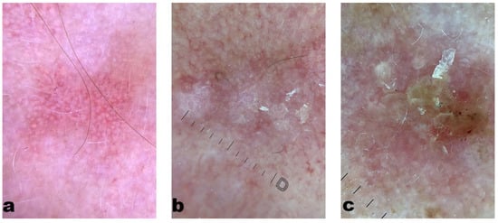
2. Actinic Keratosis in Dermoscopy
2.1. Actinic Keratosis in High Frequency Ultrasonography (HFUS)
2.2. Actinic Keratosis in Reflectance Confocal Microscopy (RCM)
2.3. Actinic Keratosis in Optical Coherence Tomography (OCT)
New Perspectives
3. Summary
| Dermatoscopy | HFUS | RCM | OCT | HD-OCT | |
|---|---|---|---|---|---|
| Findings | In grade one AK, a pattern of pink or red pseudonetwork with discrete white scales. Grade two: an erythematous background alongside white or yellow, keratinized and wide hair follicles (commonly known as the “strawberry pattern”). Grade three: wide hair follicles filled with keratinized masses on a scaly, white-yellow background. Other: four dots, visible only under polarized light, commonly referred to as “rosettes” (only seen in polarized mode), shiny streaks, and linear, wavy vessels surrounding the hair follicles. Pigmented variant of AK: a brown pseudonetwork and granular-annular homogeneous areas. | Round to oval structures with a sharp border between the base of the hypoechogenic tumour and the surrounding hyperechogenic dermis. Hyperkeratotic scales are characterized by thickened hyperechoic line or perpendicular shadow located in the epidermis. | In grade 1: focal areas of atypical honeycomb pattern at the level of the stratum spinosum, interspersed with areas of preserved, regular honeycomb pattern. Grade 2 AK: the atypia of keratinocytes is more severe, involves the stratum spinosum and granulosum layers, and is accompanied by different sizes of cells and shapes. Grade 3: a markedly atypical honeycomb pattern with areas of partially disrupted epidermis, referred to as a disarranged pattern. | The presence of a dark band (associated with epidermal thinning), hyperreflective streaks and dots, probably corresponding to dense, hyperkeratotic areas, disruptions in the epidermis and vascular reticulation. | An atypical honeycomb pattern confined to the lower 1/3 of the epidermis, correlates with early lesions and KIN-I. Atypical keratinocytes provoking an atypical honeycomb pattern involves mostly the lower 2/3 of the epidermis, while full thickness atypia in the epidermis and chaos without honeycomb pattern are consistent with KIN-III. |
Funding
Conflicts of Interest
References
- Zalaudek, I.; Kreusch, J.; Giacomel, J.; Ferrara, G.; Catricalà, C.; Argenziano, G. How to diagnose nonpigmented skin tumors: A review of vascular structures seen with dermoscopy: Part II. Nonmelanocytic skin tumors. J. Am. Acad. Dermatol. 2010, 63, 377–386; quiz 387. [Google Scholar] [CrossRef] [PubMed]
- Gailani, M.R.; Leffell, D.J.; Ziegler, A.; Gross, E.G.; Brash, D.E.; Bale, A.E. Relationship Between Sunlight Exposure and a Key Genetic Alteration in Basal Cell Carcinoma. JNCI J. Natl. Cancer Inst. 1996, 88, 349–354. [Google Scholar] [CrossRef] [PubMed]
- Lukowiak, T.M.; Aizman, L.; Perz, A.; Miller, C.J.; Sobanko, J.F.; Shin, T.M.; Giordano, C.N.; Higgins, H.W., 2nd; Etzkorn, J.R. Association of Age, Sex, Race, and Geographic Region with Variation of the Ratio of Basal Cell to Cutaneous Squamous Cell Carcinomas in the United States. JAMA Dermatol. 2020, 156, 1192–1198. [Google Scholar] [CrossRef] [PubMed]
- Reinehr, C.P.H.; Bakos, R.M. Actinic keratoses: Review of clinical, dermoscopic, and therapeutic aspects. An. Bras. Dermatol. 2019, 94, 637–657. [Google Scholar] [CrossRef] [PubMed]
- Del Regno, L.; Catapano, S.; Di Stefani, A.; Cappilli, S.; Peris, K. A Review of Existing Therapies for Actinic Keratosis: Current Status and Future Directions. Am. J. Clin. Dermatol. 2022, 23, 339–352, Erratum in Am. J. Clin. Dermatol. 2022, 23, 353. [Google Scholar] [CrossRef] [PubMed]
- Zalaudek, I.; Giacomel, J.; Argenziano, G.; Hofmann-Wellenhof, R.; Micantonio, T.; Di Stefani, A.; Oliviero, M.; Rabinovitz, H.; Soyer, H.; Peris, K. Dermoscopy of facial nonpigmented actinic keratosis. Br. J. Dermatol. 2006, 155, 951–956. [Google Scholar] [CrossRef]
- Marks, R.; Rennie, G.; Selwood, T. Malignant transformation of solar keratoses to squamous cell carcinoma. Lancet 1988, 331, 795–797. [Google Scholar] [CrossRef] [PubMed]
- Zalaudek, I.; Giacomel, J.S.; Leinweber, B. Squamous cell carcinoma including actinic keratosis, Bowen’s disease and keratoacanthoma and its pigmented variants. In Color Atlas of Melanocytic Lesions of the Skin; Soyer, H.P., Argenziano, G., Hofmann-Wellenhof, R., Johr, R., Eds.; Springer: Berlin-Heidelberg, Germany, 2007; pp. 295–302. [Google Scholar]
- Salasche, S.J. Epidemiology of actinic keratoses and squamous cell carcinoma. J. Am. Acad. Dermatol. 2000, 42, S4–S7. [Google Scholar] [CrossRef] [PubMed]
- Werner, R.N.; Sammain, A.; Erdmann, R.; Hartmann, V.; Stockfleth, E.; Nast, A. The natural history of actinic keratosis: A systematic review. Br. J. Dermatol. 2013, 169, 502–518. [Google Scholar] [CrossRef]
- Willenbrink, T.J.; Ruiz, E.S.; Cornejo, C.M.; Schmults, C.D.; Arron, S.T.; Jambusaria-Pahlajani, A. Field cancerization: Definition, epidemiology, risk factors, and outcomes. J. Am. Acad. Dermatol. 2020, 83, 709–717. [Google Scholar] [CrossRef]
- Wang, Z.; Wang, X.; Shi, Y.; Wu, S.; Ding, Y.; Yao, G.; Chen, J. Advancements in elucidating the pathogenesis of actinic keratosis: Present state and future prospects. Front. Med. 2024, 11, 1330491. [Google Scholar] [CrossRef] [PubMed]
- Kandolf, L.; Peris, K.; Malvehy, J.; Mosterd, K.; Heppt, M.V.; Fargnoli, M.C.; Berking, C.; Arenberger, P.; Bylaite-Bučinskiene, M.; del Marmol, V.; et al. European consensus-based interdisciplinary guideline for diagnosis, treatment and prevention of actinic keratoses, epithelial UV-induced dysplasia and field cancerization on behalf of European Association of Dermato-Oncology, European Dermatology Forum, European Ac of Dermatology and Venereology and Union of Medical Specialists (Union Européenne des Médecins Spécialistes). J. Eur. Acad. Dermatol. Venereol. 2024, 38, 1024–1047. [Google Scholar] [CrossRef] [PubMed]
- Heppt, M.; Steeb, T.; Niesert, A.; Zacher, M.; Leiter, U.; Garbe, C.; Berking, C. Local interventions for actinic keratosis in organ transplant recipients: A systematic review. Br. J. Dermatol. 2018, 180, 43–50. [Google Scholar] [CrossRef] [PubMed]
- Kreher, M.A.; Noland, M.M.B.; Konda, S.; Longo, M.I.; Valdes-Rodriguez, R. Risk of melanoma and nonmelanoma skin cancer with immunosuppressants, part I: Calcineurin inhibitors, thiopurines, IMDH inhibitors, mTOR inhibitors, and corticosteroids. J. Am. Acad. Dermatol. 2022, 88, 521–530. [Google Scholar] [CrossRef] [PubMed]
- Kreher, M.A.; Konda, S.; Noland, M.M.B.; Longo, M.I.; Valdes-Rodriguez, R. Risk of melanoma and nonmelanoma skin cancer with immunosuppressants, part II: Methotrexate, alkylating agents, biologics, and small molecule inhibitors. J. Am. Acad. Dermatol. 2022, 88, 534–542. [Google Scholar] [CrossRef] [PubMed]
- Olsen, E.A.; Abernethy, M.L.; Kulp-Shorten, C.; Callen, J.P.; Glazer, S.D.; Huntley, A.; McCray, M.; Monroe, A.B.; Tschen, E.; Wolf, J.E., Jr. A double-blind, vehicle-controlled study evaluating masoprocol cream in the treatment of actinic keratoses on the head and neck. J. Am. Acad. Dermatol. 1991, 24, 738–743. [Google Scholar] [CrossRef] [PubMed]
- Dreno, B.; Cerio, R.; Dirschka, T.; Nart, I.F.; Lear, J.T.; Peris, K.; de Casas, A.R.; Kaleci, S.; Pellacani, G. A Novel Actinic Keratosis Field Assessment Scale for Grading Actinic Keratosis Disease Severity. Acta Derm. Venereol. 2017, 97, 1108–1113. [Google Scholar] [CrossRef] [PubMed]
- Dirschka, T.; Pellacani, G.; Micali, G.; Malvehy, J.; Stratigos, A.J.; Casari, A.; Schmitz, L.; Gupta, G.; Athens AK Study Group. A proposed scoring system for assessing the severity of actinic keratosis on the head: Actinic keratosis area and severity index. J. Eur. Acad. Dermatol. Venereol. 2017, 31, 1295–1302. [Google Scholar] [CrossRef] [PubMed]
- Schmitz, L.; Gambichler, T.; Gupta, G.; Stücker, M.; Dirschka, T. Actinic keratosis area and severity index (AKASI) is associated with the incidence of squamous cell carcinoma. J. Eur. Acad. Dermatol. Venereol. 2018, 32, 752–756. [Google Scholar] [CrossRef]
- Baker, C.; James, A.; Supranowicz, M.; Spelman, L.; Shumack, S.; Cole, J.; Weightman, W.; Sinclair, R.; Foley, P. Method of Assessing Skin Cancerization and KeratosesTM (MASCK™): Development and photographic validation in multiple anatomical sites of a novel assessment tool intended for clinical evaluation of patients with extensive skin field cancerization. Clin. Exp. Dermatol. 2022, 47, 1144–1153. [Google Scholar] [CrossRef]
- Fernández-Figueras, M.T.; Carrato, C.; Sáenz, X.; Puig, L.; Musulen, E.; Ferrándiz, C.; Ariza, A. Actinic keratosis with atypical basal cells (AK I) is the most common lesion associated with invasive squamous cell carcinoma of the skin. J. Eur. Acad. Dermatol. Venereol. 2015, 29, 991–997. [Google Scholar] [CrossRef] [PubMed]
- Cockerell, C.J. Histopathology of incipient intraepidermal squamous cell carcinoma (“actinic keratosis”). J. Am. Acad. Dermatol. 2000, 42, S11–S17. [Google Scholar] [CrossRef] [PubMed]
- Schmitz, L.; Kahl, P.; Majores, M.; Bierhoff, E.; Stockfleth, E.; Dirschka, T. Actinic keratosis: Correlation between clinical and histological classification systems. J. Eur. Acad. Dermatol. Venereol. 2016, 30, 1303–1307. [Google Scholar] [CrossRef] [PubMed]
- Jeffes, E.W., 3rd; Tang, E.H. Actinic keratosis. Current treatment options. Am. J. Clin. Dermatol. 2000, 1, 167–179. [Google Scholar] [CrossRef] [PubMed]
- Eisen, D.B.; Asgari, M.M.; Bennett, D.D.; Connolly, S.M.; Dellavalle, R.P.; Freeman, E.E.; Goldenberg, G.; Leffell, D.J.; Peschin, S.; Sligh, J.E.; et al. Guidelines of care for the management of actinic keratosis. J. Am. Acad. Dermatol. 2021, 85, e209–e233. [Google Scholar] [CrossRef] [PubMed]
- Weber, P.; Tschandl, P.; Sinz, C.; Kittler, H. Dermatoscopy of Neoplastic Skin Lesions: Recent Advances, Updates, and Revisions. Curr. Treat. Options Oncol. 2018, 19, 56. [Google Scholar] [CrossRef]
- Lallas, A.; Argenziano, G.; Zendri, E.; Moscarella, E.; Longo, C.; Grenzi, L.; Pellacani, G.; Zalaudek, I. Update on non-melanoma skin cancer and the value of dermoscopy in its diagnosis and treatment monitoring. Expert Rev. Anticancer Ther. 2013, 13, 541–558. [Google Scholar] [CrossRef] [PubMed]
- Ulrich, M.; Stockfleth, E.; Roewert-Huber, J.; Astner, S. Noninvasive diagnostic tools for nonmelanoma skin cancer. Br. J. Dermatol. 2007, 157 (Suppl. 2), 56–58. [Google Scholar] [CrossRef] [PubMed]
- Westerhoff, K.; Mccarthy, W.; Menzies, S. Increase in the sensitivity for melanoma diagnosis by primary care physicians using skin surface microscopy. Br. J. Dermatol. 2000, 143, 1016–1020. [Google Scholar] [CrossRef]
- Vestergaard, M.E.; Macaskill, P.; Holt, P.E.; Menzies, S.W. Dermoscopy compared with naked eye examination for the diagnosis of primary melanoma: A metaanalysis of studies performed in a clinical setting. Br. J. Dermatol. 2008, 159, 669–676. [Google Scholar] [CrossRef]
- Kittler, H.; Pehamberger, H.; Wolff, K.; Binder, M. Diagnostic accuracy of dermoscopy. Lancet Oncol. 2002, 3, 159–165. [Google Scholar] [CrossRef] [PubMed]
- Zalaudek, I.; Piana, S.; Moscarella, E.; Longo, C.; Zendri, E.; Castagnetti, F.; Pellacani, G.; Lallas, A.; Argenziano, G. Morphologic grading and treatment of facial actinic keratosis. Clin. Dermatol. 2013, 32, 80–87. [Google Scholar] [CrossRef] [PubMed]
- Giacomel, J.; Lallas, A.; Argenziano, G.; Bombonato, C.; Zalaudek, I. Dermoscopic “signature” pattern of pigmented and nonpigmented facial actinic keratoses. J. Am. Acad. Dermatol. 2015, 72, e57–e59. [Google Scholar] [CrossRef] [PubMed]
- Zalaudek, I.; Giacomel, J.; Schmid, K.; Bondino, S.; Rosendahl, C.; Cavicchini, S.; Tourlaki, A.; Gasparini, S.; Bourne, P.; Keir, J.; et al. Dermatoscopy of facial actinic keratosis, intraepidermal carcinoma, and invasive squamous cell carcinoma: A progression model. J. Am. Acad. Dermatol. 2011, 66, 589–597. [Google Scholar] [CrossRef] [PubMed]
- Papageorgiou, C.; Lallas, A.; Manoli, S.M.; Longo, C.; Lai, M.; Liopyris, K.; Lazaridou, E.; Apalla, Z. Evaluation of dermatoscopic criteria for early detection of squamous cell carcinoma arising on an actinic keratosis. J. Am. Acad. Dermatol. 2021, 86, 791–796. [Google Scholar] [CrossRef] [PubMed]
- Lallas, A.; Pyne, J.; Kyrgidis, A.; Andreani, S.; Argenziano, G.; Cavaller, A.; Giacomel, J.; Longo, C.; Malvestiti, A.; Moscarella, E.; et al. The clinical and dermoscopic features of invasive cutaneous squamous cell carcinoma depend on the histopathological grade of differentiation. Br. J. Dermatol. 2014, 172, 1308–1315. [Google Scholar] [CrossRef] [PubMed]
- Papageorgiou, C.; Apalla, Z.; Variaah, G.; Matiaki, F.; Sotiriou, E.; Vakirlis, E.; Lazaridou, E.; Ioannides, D.; Lallas, A. Accuracy of dermoscopic criteria for the differentiation between superficial basal cell carcinoma and Bowen’s disease. J. Eur. Acad. Dermatol. Venereol. 2018, 32, 1914–1919. [Google Scholar] [CrossRef]
- Minagawa, A. Dermoscopy–pathology relationship in seborrheic keratosis. J. Dermatol. 2017, 44, 518–524. [Google Scholar] [CrossRef] [PubMed]
- Pralong, P.; Bathelier, E.; Dalle, S.; Poulalhon, N.; Debarbieux, S.; Thomas, L. Dermoscopy of lentigo maligna melanoma: Report of 125 cases. Br. J. Dermatol. 2012, 167, 280–287. [Google Scholar] [CrossRef] [PubMed]
- Lallas, A.; Lallas, K.; Tschandl, P.; Kittler, H.; Apalla, Z.; Longo, C.; Argenziano, G. The dermoscopic inverse approach significantly improves the accuracy of human readers for lentigo maligna diagnosis. J. Am. Acad. Dermatol. 2020, 84, 381–389. [Google Scholar] [CrossRef]
- Mlosek, R.K.; Malinowska, S. Ultrasound image of the skin, apparatus and imaging basics. J. Ultrason. 2013, 13, 212–221. [Google Scholar] [CrossRef]
- Polańska, A.; Jenerowicz, D.; Paszyńska, E.; Żaba, R.; Adamski, Z.; Dańczak-Pazdrowska, A. High-Frequency Ultrasonography-Possibilities and Perspectives of the Use of 20 MHz in Teledermatology. Front. Med. 2021, 8, 619965. [Google Scholar] [CrossRef]
- Rallan, D.; Harland, C.C. Ultrasound in dermatology—Basic principles and applications. Clin. Exp. Dermatol. 2003, 28, 632–638. [Google Scholar] [CrossRef]
- Levy, J.; Barrett, D.L.; Harris, N.; Jeong, J.J.; Yang, X.; Chen, S.C. High-frequency ultrasound in clinical dermatology: A review. Ultrasound J. 2021, 13, 24. [Google Scholar] [CrossRef]
- Sandby-Møller, J.; Wulf, H.C. Ultrasonographic subepidermal low-echogenic band, dependence of age and body site. Ski Res Technol. 2004, 10, 57–63. [Google Scholar] [CrossRef] [PubMed]
- Wortsman, X. Common Applications of Ultrasound in Cosmetics and Plastic Surgery. In Atlas of Dermatologic Ultrasound, 1st ed.; Wortsman, X., Ed.; Springer: New York, NY, USA, 2018; pp. 179–214. [Google Scholar] [CrossRef]
- Wortsman, X.; Wortsman, J. Clinical usefulness of variable-frequency ultrasound in localized lesions of the skin. J. Am. Acad. Dermatol. 2010, 62, 247–256. [Google Scholar] [CrossRef] [PubMed]
- Jasaitiene, D.; Valiukeviciene, S.; Linkeviciute, G.; Raisutis, R.; Jasiuniene, E.; Kazys, R. Principles of high-frequency ultrasonography for investigation of skin pathology. J. Eur. Acad. Dermatol. Venereol. 2010, 25, 375–382. [Google Scholar] [CrossRef] [PubMed]
- Wortsman, X. Practical applications of ultrasound in dermatology. Clin. Dermatol. 2021, 39, 605–623. [Google Scholar] [CrossRef]
- Zhu, A.-Q.; Wang, L.-F.; Li, X.-L.; Wang, Q.; Li, M.-X.; Ma, Y.-Y.; Xiang, L.-H.; Guo, L.-H.; Xu, H.-X. High-frequency ultrasound in the diagnosis of the spectrum of cutaneous squamous cell carcinoma: Noninvasively distinguishing actinic keratosis, Bowen’s Disease, and invasive squamous cell carcinoma. Ski. Res. Technol. 2021, 27, 831–840. [Google Scholar] [CrossRef]
- Mogensen, M.; Nürnberg, B.; Forman, J.; Thomsen, J.; Thrane, L.; Jemec, G. In vivo thickness measurement of basal cell carcinoma and actinic keratosis with optical coherence tomography and 20-MHz ultrasound. Br. J. Dermatol. 2009, 160, 1026–1033. [Google Scholar] [CrossRef]
- Arisi, M.; Zane, C.; Polonioli, M.; Tomasi, C.; Moggio, E.; Cozzi, C.; Soglia, S.; Caravello, S.; Calzavara-Pinton, I.; Venturini, M.; et al. Effects of MAL-PDT, ingenol mebutate and diclofenac plus hyaluronate gel monitored by high-frequency ultrasound and digital dermoscopy in actinic keratosis—A randomized trial. J. Eur. Acad. Dermatol. Venereol. 2019, 34, 1225–1232. [Google Scholar] [CrossRef]
- Pimenta, R.; Soares-De-Almeida, L.; Arzberger, E.; Ferreira, J.; Leal-Filipe, P.; Bastos, P.M.; Oliveira, A.L. Reflectance confocal microscopy for the diagnosis of skin infections and infestations. Dermatol. Online J. 2020, 26, 1–12. [Google Scholar] [CrossRef]
- Filoni, A.; Alaibac, M. Reflectance Confocal Microscopy in Evaluating Skin Cancer: A Clinicians’s Perspective. Front. Oncol. 2019, 9, 1457. [Google Scholar] [CrossRef] [PubMed]
- Levine, A.; Markowitz, O. Introduction to reflectance confocal microscopy and its use in clinical practice. JAAD Case Rep. 2018, 4, 1014–1023. [Google Scholar] [CrossRef]
- Ahlgrimm-Siess, V.; Laimer, M.; Rabinovitz, H.S.; Oliviero, M.; Hofmann-Wellenhof, R.; Marghoob, A.A.; Scope, A. Confocal Microscopy in Skin Cancer. Curr. Dermatol. Rep. 2018, 7, 105–118. [Google Scholar] [CrossRef]
- Calzavara-Pinton, P.; Longo, C.; Venturini, M.; Sala, R.; Pellacani, G. Reflectance confocal microscopy for in vivo skin imaging†. Photochem. Photobiol. 2008, 84, 1421–1430. [Google Scholar] [CrossRef]
- Shahriari, N.; Grant-Kels, J.M.; Rabinovitz, H.; Oliviero, M.; Scope, A. Reflectance confocal microscopy: Principles, basic terminology, clinical indications, limitations, and practical considerations. J. Am. Acad. Dermatol. 2020, 84, 1–14. [Google Scholar] [CrossRef] [PubMed]
- Pellacani, G.; Ulrich, M.; Casari, A.; Prow, T.; Cannillo, F.; Benati, E.; Losi, A.; Cesinaro, A.; Longo, C.; Argenziano, G.; et al. Grading keratinocyte atypia in actinic keratosis: A correlation of reflectance confocal microscopy and histopathology. J. Eur. Acad. Dermatol. Venereol. 2015, 29, 2216–2221. [Google Scholar] [CrossRef] [PubMed]
- Nguyen, K.P.; Peppelman, M.; Hoogedoorn, L.; Van Erp, P.E.; Gerritsen, M.-J.P. The current role of in vivo reflectance confocal microscopy within the continuum of actinic keratosis and squamous cell carcinoma: A systematic review. Eur. J. Dermatol. 2016, 26, 549–565. [Google Scholar] [CrossRef]
- Rishpon, A.; Kim, N.; Scope, A.; Porges, L.; Oliviero, M.C.; Braun, R.P.; Marghoob, A.A.; Fox, C.A.; Rabinovitz, H.S. Reflectance confocal microscopy criteria for squamous cell carcinomas and actinic keratoses. Arch. Dermatol. 2009, 145, 766–772. [Google Scholar] [CrossRef]
- Peppelman, M.; Nguyen, K.; Hoogedoorn, L.; van Erp, P.; Gerritsen, M. Reflectance confocal microscopy: Non-invasive distinction between actinic keratosis and squamous cell carcinoma. J. Eur. Acad. Dermatol. Venereol. 2014, 29, 1302–1309. [Google Scholar] [CrossRef]
- Casari, A.; Chester, J.; Pellacani, G. Actinic Keratosis and Non-Invasive Diagnostic Techniques: An Update. Biomedicines 2018, 6, 8. [Google Scholar] [CrossRef] [PubMed]
- Martin, G.M.; Stockfleth, E. Diclofenac sodium 3% gel for the management of actinic keratosis: 10+ years of cumulative evidence of efficacy and safety. J. Drugs Dermatol. 2012, 11, 600–608. [Google Scholar]
- Malvehy, J.; Roldán-Marín, R.; Iglesias-García, P.; Díaz, A.; Puig, S. Monitoring treatment of field cancerisation with 3% diclofenac sodium 2.5% hyaluronic acid by reflectance confocal microscopy: A histologic correlation. Acta Derm. Venereol. 2015, 95, 45–50. [Google Scholar] [CrossRef] [PubMed]
- Mota, A.N.C.M.; De Carvalho, N.; Pellacani, G.; de Faria, P.C.P.; Melo, D.F.; Pineiro-Maceira, J.M.; Barcaui, C.B. Reflectance confocal microscopy in actinic keratosis—Comparison of efficacy between cryotherapy protocols. Ski. Res. Technol. 2020, 26, 876–882. [Google Scholar] [CrossRef] [PubMed]
- Ulrich, M.; Krueger-Corcoran, D.; Roewert-Huber, J.; Sterry, W.; Stockfleth, E.; Astner, S. Reflectance confocal microscopy for noninvasive monitoring of therapy and detection of subclinical actinic keratoses. Dermatology 2009, 220, 15–24. [Google Scholar] [CrossRef]
- Jafari, S.S.; Timchik, T.; Hunger, R.E. In vivo confocal microscopy efficacy assessment of daylight photodynamic therapy in actinic keratosis patients. Br. J. Dermatol. 2016, 175, 375–381. [Google Scholar] [CrossRef]
- Curiel-Lewandrowski, C.; Myrdal, C.N.; Saboda, K.; Hu, C.; Arzberger, E.; Pellacani, G.; Legat, F.J.; Ulrich, M.; Hochfellner, P.; Oliviero, M.C.; et al. In Vivo Reflectance Confocal Microscopy as a Response Monitoring Tool for Actinic Keratoses Undergoing Cryotherapy and Photodynamic Therapy. Cancers 2021, 13, 5488. [Google Scholar] [CrossRef]
- Mazur, E.; Kwiatkowska, D.; Reich, A. Reflectance Confocal Microscopy and Dermoscopy of Facial Pigmented and Non-Pigmented Actinic Keratosis Features before and after Photodynamic Therapy Treatment. Cancers 2023, 15, 5598. [Google Scholar] [CrossRef]
- Mazur, E.; Reich, A. Photodynamic Therapy is an Effective Treatment of Facial Pigmented Actinic Keratosis. Dermatol. Ther. 2023, 13, 1265–1276. [Google Scholar] [CrossRef]
- Sattler, E.; Kästle, R.; Welzel, J. Optical coherence tomography in dermatology. J. Biomed. Opt. 2013, 18, 061224. [Google Scholar] [CrossRef]
- Gambichler, T.; Jaedicke, V.; Terras, S. Optical coherence tomography in dermatology: Technical and clinical aspects. Arch. Dermatol. Res. 2011, 303, 457–473. [Google Scholar] [CrossRef]
- Olsen, J.; Themstrup, L.; Jemec, G.B. Optical coherence tomography in dermatology. G. Ital. Dermatol. Venereol. 2015, 150, 603–615. [Google Scholar]
- Friis, K.; Themstrup, L.; Jemec, G. Optical coherence tomography in the diagnosis of actinic keratosis—A systematic review. Photodiagn. Photodyn. Ther. 2017, 18, 98–104. [Google Scholar] [CrossRef]
- Boone, M.; Jemec, G.B.E.; Del Marmol, V. High-definition optical coherence tomography enables visualization of individual cells in healthy skin: Comparison to reflectance confocal microscopy. Exp. Dermatol. 2012, 21, 740–744. [Google Scholar] [CrossRef] [PubMed]
- Cao, T.; Tey, H.L. High-definition optical coherence tomography—An aid to clinical practice and research in dermatology. JDDG J. Dtsch. Dermatol. Ges. 2015, 13, 886–890. [Google Scholar] [CrossRef] [PubMed]
- Boone, M.A.L.M.; Norrenberg, S.; Jemec, G.B.E.; Del Marmol, V. High-definition optical coherence tomography imaging of melanocytic lesions: A pilot study. Arch. Dermatol. Res. 2013, 306, 11–26. [Google Scholar] [CrossRef]
- Maier, T.; Braun-Falco, M.; Laubender, R.; Ruzicka, T.; Berking, C. Actinic keratosis in theen-faceand slice imaging mode of high-definition optical coherence tomography and comparison with histology. Br. J. Dermatol. 2012, 168, 120–128. [Google Scholar] [CrossRef]
- Korde, V.R.; Bonnema, G.T.; Xu, W.; Krishnamurthy, C.; Ranger-Moore, J.; Saboda, K.; Slayton, L.D.; Salasche, S.J.; Warneke, J.A.; Alberts, D.S.; et al. Using optical coherence tomography to evaluate skin sun damage and precancer. Lasers Surg. Med. 2007, 39, 687–695. [Google Scholar] [CrossRef] [PubMed]
- Barton, J.K.; Gossage, K.W.; Xu, W.; Ranger-Moore, J.R.; Saboda, K.; Brooks, C.A.; Duckett, L.D.; Salasche, S.J.; Warneke, J.A.; Alberts, D.S. Investigating Sun-damaged Skin and Actinic Keratosis with Optical Coherence Tomography: A Pilot Study. Technol. Cancer Res. Treat. 2003, 2, 525–535. [Google Scholar] [CrossRef]
- Mogensen, M.; Joergensen, T.M.; Nürnberg, B.M.; Morsy, H.A.; Thomsen, J.B.; Thrane, L.; Jemec, G.B.E. Assessment of optical coherence tomography imaging in the diagnosis of non-melanoma skin cancer and benign lesions versus normal skin. Dermatol. Surg. 2009, 35, 965–972. [Google Scholar] [CrossRef]
- Ruini, C.; Hartmann, D.; Bastian, M.; Ruzicka, T.; French, L.E.; Berking, C.; von Braunmühl, T. Non-invasive monitoring of subclinical and clinical actinic keratosis of face and scalp under topical treatment with ingenol mebutate gel 150 mcg/g by means of reflectance confocal microscopy and optical coherence tomography: New perspectives and comparison of diagnostic techniques. J. Biophotonics 2019, 12, e201800391. [Google Scholar] [CrossRef]
- Forsea, A.; Carstea, E.; Ghervase, L.; Giurcaneanu, C.; Pavelescu, G. Clinical application of optical coherence tomography for the imaging of non–melanocytic cutaneous tumors: A pilot multi–modal study. J. Med. Life 2010, 3, 381–389, Erratum in J. Med. Life 2011, 4, 7. [Google Scholar]
- Boone, M.A.L.M.; Norrenberg, S.; Jemec, G.B.E.; Del Marmol, V. Imaging actinic keratosis by high-definition optical coherence tomography. Histomorphologic correlation: A pilot study. Exp. Dermatol. 2013, 22, 93–97. [Google Scholar] [CrossRef]
- Boone, M.; Suppa, M.; Marneffe, A.; Miyamoto, M.; Jemec, G.; Del Marmol, V. A new algorithm for the discrimination of actinic keratosis from normal skin and squamous cell carcinoma based on in vivo analysis of optical properties by high-definition optical coherence tomography. J. Eur. Acad. Dermatol. Venereol. 2016, 30, 1714–1725. [Google Scholar] [CrossRef]
- Marneffe, A.; Suppa, M.; Miyamoto, M.; Del Marmol, V.; Boone, M. Validation of a diagnostic algorithm for the discrimination of actinic keratosis from normal skin and squamous cell carcinoma by means of high-definition optical coherence tomography. Exp. Dermatol. 2016, 25, 684–687. [Google Scholar] [CrossRef]
- Malvehy, J.; Alarcon, I.; Montoya, J.; Rodríguez-Azeredo, R.; Puig, S. Treatment monitoring of 0.5% 5-fluorouracil and 10% salicylic acid in clinical and subclinical actinic keratoses with the combination of optical coherence tomography and reflectance confocal microscopy. J. Eur. Acad. Dermatol. Venereol. 2015, 30, 258–265. [Google Scholar] [CrossRef]
- Banzhaf, C.A.; Themstrup, L.; Ring, H.C.; Mogensen, M.; Jemec, G.B.E. Optical coherence tomography imaging of non-melanoma skin cancer undergoing imiquimod therapy. Ski Res. Technol. 2013, 20, 170–176. [Google Scholar] [CrossRef] [PubMed]
- Themstrup, L.; Banzhaf, C.; Mogensen, M.; Jemec, G.B. Cryosurgery treatment of actinic keratoses monitored by optical coherence tomography: A pilot study. Dermatology 2012, 225, 242–247. [Google Scholar] [CrossRef] [PubMed]
- Maier, T.; Cekovic, D.; Ruzicka, T.; Sattler, E.; Berking, C. Treatment monitoring of topical ingenol mebutate in actinic keratoses with the combination of optical coherence tomography and reflectance confocal microscopy: A case series. Br. J. Dermatol. 2015, 172, 816–818. [Google Scholar] [CrossRef]
- Markowitz, O.; Schwartz, M.; Feldman, E.; Bieber, A.; Bienenfeld, A.; Nandanan, N.; Siegel, D.M. Defining Field Cancerization of the Skin Using Noninvasive Optical Coherence Tomography Imaging to Detect and Monitor Actinic Keratosis in Ingenol Mebutate 0.015%- Treated Patients. J. Clin. Aesthet Dermatol. 2016, 9, 18–25. [Google Scholar]
- Latriglia, F.; Ogien, J.; Tavernier, C.; Fischman, S.; Suppa, M.; Perrot, J.-L.; Dubois, A. Line-Field Confocal Optical Coherence Tomography (LC-OCT) for Skin Imaging in Dermatology. Life 2023, 13, 2268. [Google Scholar] [CrossRef]
- Jacobsen, K.; Ortner, V.K.; Wenande, E.; Sahu, A.; Paasch, U.; Haedersdal, M. Line-field confocal optical coherence tomography in dermato-oncology: A literature review towards harmonized histopathology-integrated terminology. Exp. Dermatol. 2024, 33, e15057. [Google Scholar] [CrossRef]
- Cinotti, E.; Tognetti, L.; Cartocci, A.; Lamberti, A.; Gherbassi, S.; Cano, C.O.; Lenoir, C.; Dejonckheere, G.; Diet, G.; Fontaine, M.; et al. Line-field confocal optical coherence tomography for actinic keratosis and squamous cell carcinoma: A descriptive study. Clin. Exp. Dermatol. 2021, 46, 1530–1541. [Google Scholar] [CrossRef]
- Thamm, J.R.; Daxenberger, F.; Viel, T.; Gust, C.; Eijkenboom, Q.; French, L.E.; Welzel, J.; Sattler, E.C.; Schuh, S. Artificial intelligence-based PRO score assessment in actinic keratoses from LC-OCT imaging using Convolutional Neural Networks. J. Dtsch. Dermatol. Ges. 2023, 21, 1359–1366. [Google Scholar] [CrossRef]
- Daxenberger, F.; Deußing, M.; Eijkenboom, Q.; Gust, C.; Thamm, J.; Hartmann, D.; French, L.E.; Welzel, J.; Schuh, S.; Sattler, E.C. Innovation in Actinic Keratosis Assessment: Artificial Intelligence-Based Approach to LC-OCT PRO Score Evaluation. Cancers 2023, 15, 4457. [Google Scholar] [CrossRef]
- Pogorzelska-Dyrbuś, J.; Cinotti, E.; Lallas, A. Differentiation of Dermal Nevus and Basal Cell Carcinoma Based on Optical Super-High Magnification Dermoscopy. Dermatol. Pract. Concept. 2024, 14, e2024094. [Google Scholar] [CrossRef]
- Pogorzelska-Dyrbuś, J.; Lallas, A.; Szepietowski, J.C. Morphology of Vessels in Basal Cell Carcinoma in Optical Super-high Magnification Dermoscopy. Acta Dermato-Venereol. 2023, 103, adv11966. [Google Scholar] [CrossRef]



Disclaimer/Publisher’s Note: The statements, opinions and data contained in all publications are solely those of the individual author(s) and contributor(s) and not of MDPI and/or the editor(s). MDPI and/or the editor(s) disclaim responsibility for any injury to people or property resulting from any ideas, methods, instructions or products referred to in the content. |
© 2024 by the authors. Licensee MDPI, Basel, Switzerland. This article is an open access article distributed under the terms and conditions of the Creative Commons Attribution (CC BY) license (https://creativecommons.org/licenses/by/4.0/).
Share and Cite
Korecka, K.; Kwiatkowska, D.; Mazur, E.; Dańczak-Pazdrowska, A.; Reich, A.; Żaba, R.; Polańska, A. An Update on Non-Invasive Skin Imaging Techniques in Actinic Keratosis—A Narrative Review. Medicina 2024, 60, 1043. https://doi.org/10.3390/medicina60071043
Korecka K, Kwiatkowska D, Mazur E, Dańczak-Pazdrowska A, Reich A, Żaba R, Polańska A. An Update on Non-Invasive Skin Imaging Techniques in Actinic Keratosis—A Narrative Review. Medicina. 2024; 60(7):1043. https://doi.org/10.3390/medicina60071043
Chicago/Turabian StyleKorecka, Katarzyna, Dominika Kwiatkowska, Ewelina Mazur, Aleksandra Dańczak-Pazdrowska, Adam Reich, Ryszard Żaba, and Adriana Polańska. 2024. "An Update on Non-Invasive Skin Imaging Techniques in Actinic Keratosis—A Narrative Review" Medicina 60, no. 7: 1043. https://doi.org/10.3390/medicina60071043
APA StyleKorecka, K., Kwiatkowska, D., Mazur, E., Dańczak-Pazdrowska, A., Reich, A., Żaba, R., & Polańska, A. (2024). An Update on Non-Invasive Skin Imaging Techniques in Actinic Keratosis—A Narrative Review. Medicina, 60(7), 1043. https://doi.org/10.3390/medicina60071043

