Endoscopic Gallbladder Drainage: A Comprehensive Review on Indications, Techniques, and Future Perspectives
Abstract
1. Introduction: Rationale for Endoscopic Gallbladder Drainage
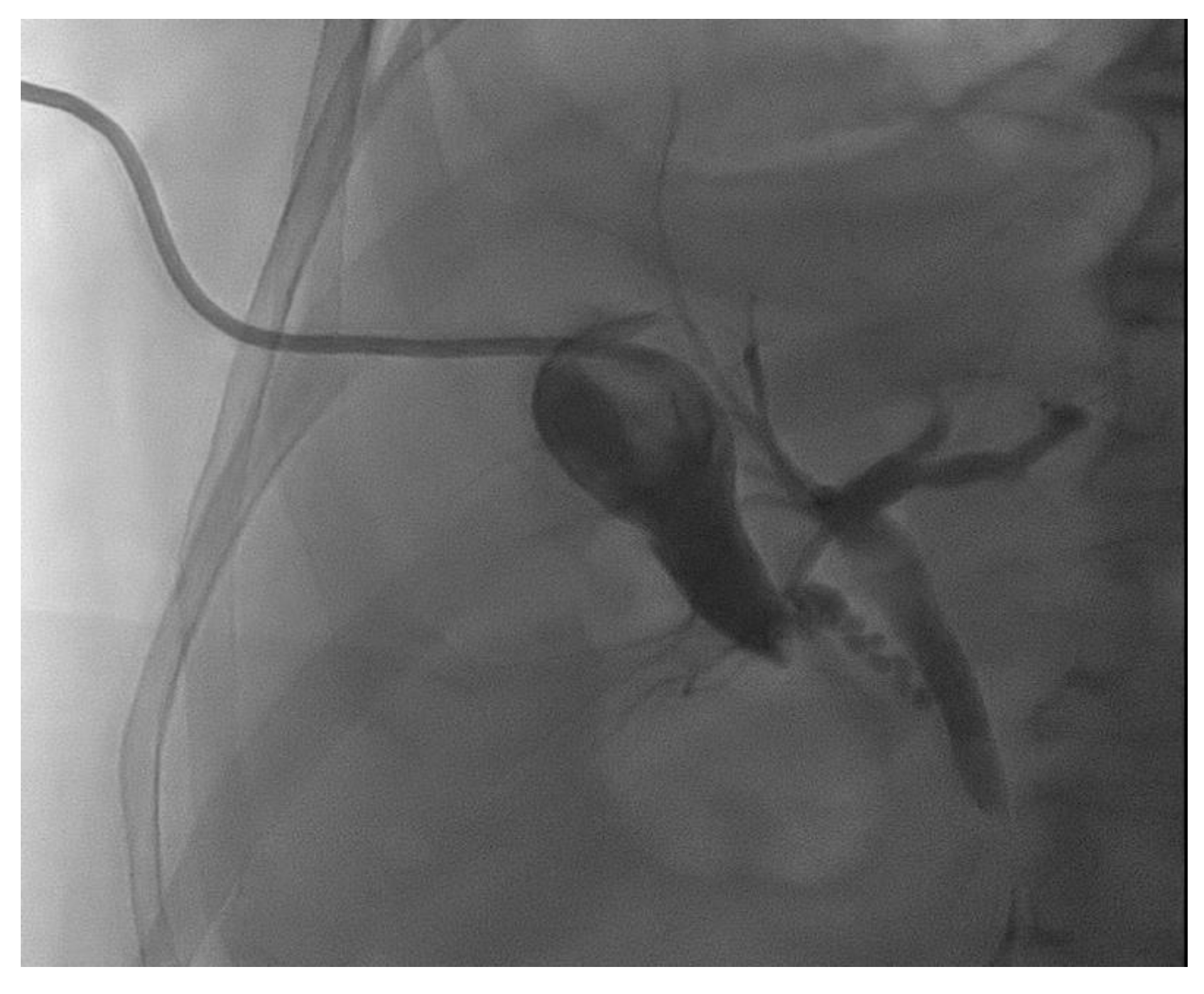
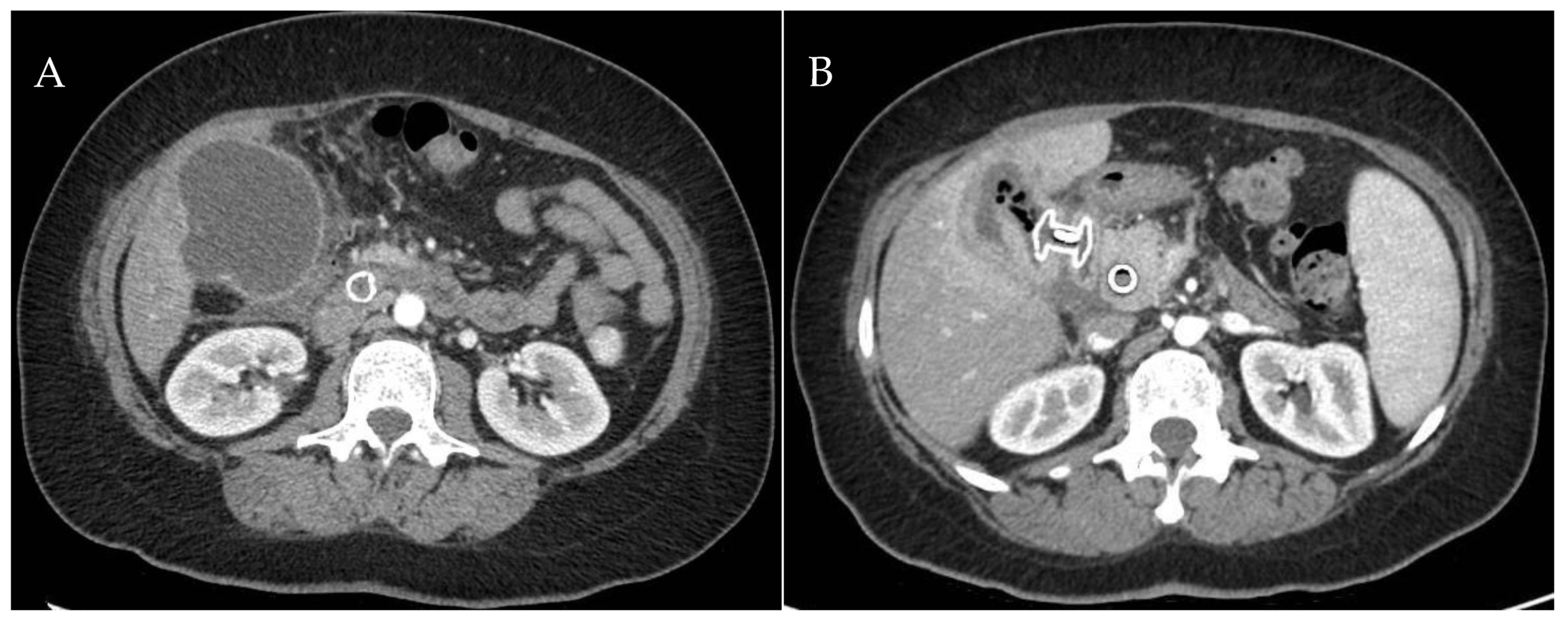
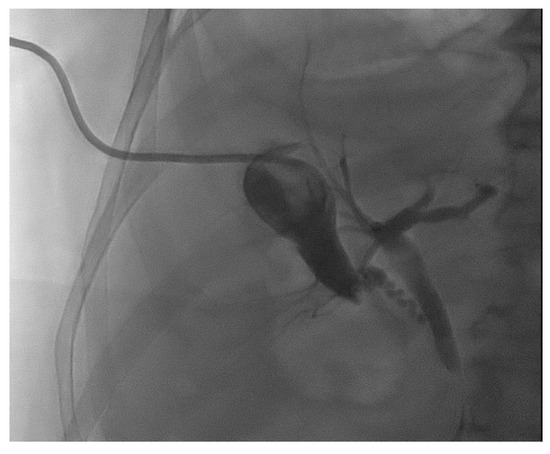
2. Transpapillary Endoscopic Gallbladder Drainage: Technical Aspects
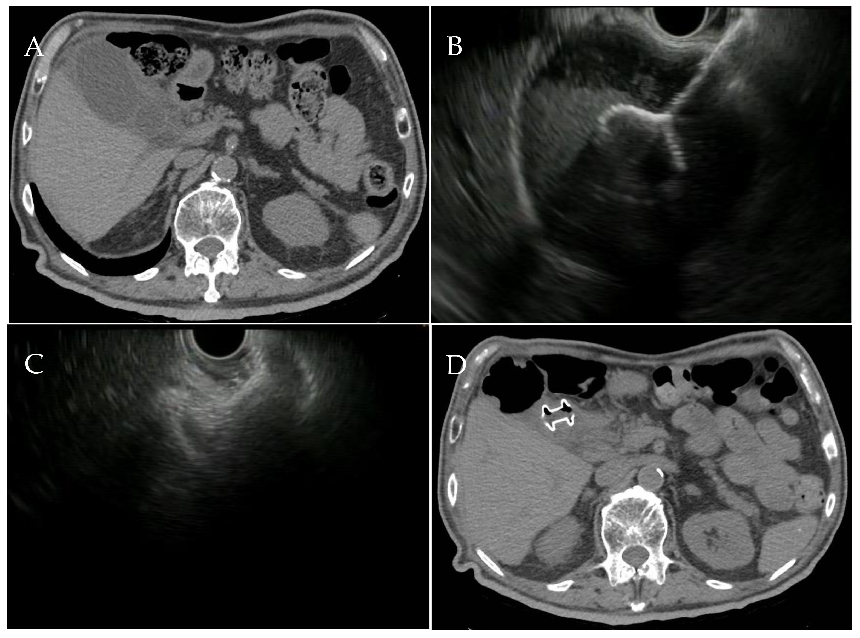
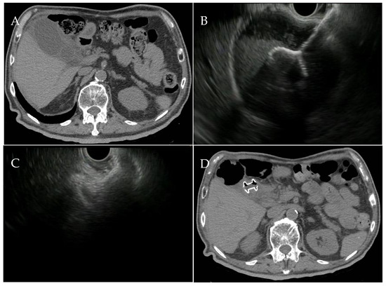
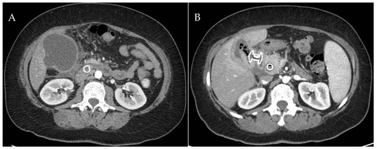
3. EUS-Guided Gallbladder Drainage: Technical Aspects
4. Gallbladder Drainage in Acute Cholecystitis: Percutaneous, Transpapillary, or EUS-Guided Approach?
5. Therapeutic Strategies after a Successful Endoscopic Gallbladder Drainage: What Is Next?
6. EUS-Guided Gallbladder Drainage in Possible Surgical Candidates
7. EUS–Gallbladder Drainage as a Rescue Strategy in Malignant Biliary Obstruction
8. Unanswered Questions and Future Perspectives of EUS-Guided Gallbladder Drainage
9. Conclusions
Author Contributions
Funding
Institutional Review Board Statement
Informed Consent Statement
Data Availability Statement
Conflicts of Interest
References
- Peery, A.F.; Crockett, S.D.; Murphy, C.C.; Jensen, E.T.; Kim, H.P.; Egberg, M.D.; Lund, J.L.; Moon, A.M.; Pate, V.; Barnes, E.L.; et al. Burden and Cost of Gastrointestinal, Liver, and Pancreatic Diseases in the United States: Update 2021. Gastroenterology 2022, 162, 621–644. [Google Scholar] [CrossRef]
- Gallaher, J.R.; Charles, A. Acute Cholecystitis: A Review. JAMA 2022, 327, 965–975. [Google Scholar] [CrossRef]
- Pisano, M.; Allievi, N.; Gurusamy, K.; Borzellino, G.; Cimbanassi, S.; Boerna, D.; Coccolini, F.; Tufo, A.; Di Martino, M.; Leung, J.; et al. 2020 World Society of Emergency Surgery updated guidelines for the diagnosis and treatment of acute calculus cholecystitis. World J. Emerg. Surg. 2020, 15, 61. [Google Scholar] [CrossRef] [PubMed]
- Gurusamy, K.S.; Davidson, C.; Gluud, C.; Davidson, B.R. Early versus delayed laparoscopic cholecystectomy for people with acute cholecystitis. Cochrane Database Syst. Rev. 2013, CD005440. [Google Scholar] [CrossRef]
- Okamoto, K.; Suzuki, K.; Takada, T.; Strasberg, S.M.; Asbun, H.J.; Endo, I.; Iwashita, Y.; Hibi, T.; Pitt, H.A.; Umezawa, A.; et al. Tokyo Guidelines 2018: Flowchart for the management of acute cholecystitis. J. Hepato-Biliary-Pancreat. Sci. 2018, 25, 55–72. [Google Scholar] [CrossRef] [PubMed]
- Coccolini, F.; Catena, F.; Pisano, M.; Gheza, F.; Fagiuoli, S.; Di Saverio, S.; Leandro, G.; Montori, G.; Ceresoli, M.; Corbella, D.; et al. Open versus laparoscopic cholecystectomy in acute cholecystitis. Systematic review and meta-analysis. Int. J. Surg. 2015, 18, 196–204. [Google Scholar] [CrossRef]
- Mori, Y.; Itoi, T.; Baron, T.H.; Takada, T.; Strasberg, S.M.; Pitt, H.A.; Ukai, T.; Shikata, S.; Noguchi, Y.; Teoh, A.Y.B.; et al. Tokyo Guidelines 2018: Management strategies for gallbladder drainage in patients with acute cholecystitis (with videos). J. Hepato-Biliary-Pancreat. Sci. 2018, 25, 87–95. [Google Scholar] [CrossRef] [PubMed]
- Puggioni, A.; Wong, L.L. A metaanalysis of laparoscopic cholecystectomy in patients with cirrhosis. J. Am. Coll. Surg. 2003, 197, 921–926. [Google Scholar] [CrossRef] [PubMed]
- Sandblom, G.; Videhult, P.; Crona Guterstam, Y.; Svenner, A.; Sadr-Azodi, O. Mortality after a cholecystectomy: A population-based study. HPB 2015, 17, 239–243. [Google Scholar] [CrossRef]
- Yokoe, M.; Hata, J.; Takada, T.; Strasberg, S.M.; Asbun, H.J.; Wakabayashi, G.; Kozaka, K.; Endo, I.; Deziel, D.J.; Miura, F.; et al. Tokyo Guidelines 2018: Diagnostic criteria and severity grading of acute cholecystitis (with videos). J. Hepato-Biliary-Pancreat. Sci. 2018, 25, 41–54. [Google Scholar] [CrossRef]
- Kiviniemi, H.; Makela, J.T.; Autio, R.; Tikkakoski, T.; Leinonen, S.; Siniluoto, T.; Perala, J.; Paivansalo, M.; Merikanto, J. Percutaneous cholecystostomy in acute cholecystitis in high-risk patients: An analysis of 69 patients. Int. Surg. 1998, 83, 299–302. [Google Scholar] [PubMed]
- Akhan, O.; Yildiz, O.; Unal, E.; Yildiz, A.E.; Ciftci, T.T.; Akinci, D. Case Report: Imaging-Guided Percutaneous Catheterization and Microwave Ablation of a Bone Hydatid Cyst with Soft-Tissue Component. Am. J. Trop. Med. Hyg. 2022, 107, 632–635. [Google Scholar] [CrossRef] [PubMed]
- Leveau, P.; Andersson, E.; Carlgren, I.; Willner, J.; Andersson, R. Percutaneous cholecystostomy: A bridge to surgery or definite management of acute cholecystitis in high-risk patients? Scand. J. Gastroenterol. 2008, 43, 593–596. [Google Scholar] [CrossRef] [PubMed]
- Boules, M.; Haskins, I.N.; Farias-Kovac, M.; Guerron, A.D.; Schechtman, D.; Samotowka, M.; O’Rourke, C.P.; McLennan, G.; Walsh, R.M.; Morris-Stiff, G. What is the fate of the cholecystostomy tube following percutaneous cholecystostomy? Surg. Endosc. 2017, 31, 1707–1712. [Google Scholar] [CrossRef] [PubMed]
- McKay, A.; Abulfaraj, M.; Lipschitz, J. Short- and long-term outcomes following percutaneous cholecystostomy for acute cholecystitis in high-risk patients. Surg. Endosc. 2012, 26, 1343–1351. [Google Scholar] [CrossRef] [PubMed]
- Loozen, C.S.; van Santvoort, H.C.; van Duijvendijk, P.; Besselink, M.G.; Gouma, D.J.; Nieuwenhuijzen, G.A.; Kelder, J.C.; Donkervoort, S.C.; van Geloven, A.A.; Kruyt, P.M.; et al. Laparoscopic cholecystectomy versus percutaneous catheter drainage for acute cholecystitis in high risk patients (CHOCOLATE): Multicentre randomised clinical trial. BMJ 2018, 363, k3965. [Google Scholar] [CrossRef] [PubMed]
- Kozarek, R.A. Selective cannulation of the cystic duct at time of ERCP. J. Clin. Gastroenterol. 1984, 6, 37–40. [Google Scholar] [PubMed]
- AbiMansour, J.P.; Law, R.J.; Storm, A.C.; Chandrasekhara, V. Tips and tricks for endoscopic transpapillary gallbladder drainage. VideoGIE 2023, 8, 474–477. [Google Scholar] [CrossRef] [PubMed]
- Ridtitid, W.; Piyachaturawat, P.; Teeratorn, N.; Angsuwatcharakon, P.; Kongkam, P.; Rerknimitr, R. Single-operator peroral cholangioscopy cystic duct cannulation for transpapillary gallbladder stent placement in patients with acute cholecystitis at moderate to high surgical risk (with videos). Gastrointest. Endosc. 2020, 92, 634–644. [Google Scholar] [CrossRef]
- Barkay, O.; Bucksot, L.; Sherman, S. Endoscopic transpapillary gallbladder drainage with the SpyGlass cholangiopancreatoscopy system. Gastrointest. Endosc. 2009, 70, 1039–1040. [Google Scholar] [CrossRef]
- Shin, J.U.; Lee, J.K.; Kim, K.M.; Lee, K.H.; Lee, K.T. Endoscopic naso-gallbladder drainage by using cholangioscopy for acute cholecystitis combined with cholangitis or choledocholithiasis (with video). Gastrointest. Endosc. 2012, 76, 1052–1055. [Google Scholar] [CrossRef]
- Itoi, T.; Kawakami, H.; Katanuma, A.; Irisawa, A.; Sofuni, A.; Itokawa, F.; Tsuchiya, T.; Tanaka, R.; Umeda, J.; Ryozawa, S.; et al. Endoscopic nasogallbladder tube or stent placement in acute cholecystitis: A preliminary prospective randomized trial in Japan (with videos). Gastrointest. Endosc. 2015, 81, 111–118. [Google Scholar] [CrossRef] [PubMed]
- Yang, M.J.; Yoo, B.M.; Kim, J.H.; Hwang, J.C.; Baek, N.H.; Kim, S.S.; Lim, S.G.; Kim, J.H.; Shin, S.J.; Cheong, J.Y.; et al. Endoscopic naso-gallbladder drainage versus gallbladder stenting before cholecystectomy in patients with acute cholecystitis and a high suspicion of choledocholithiasis: A prospective randomised preliminary study. Scand. J. Gastroenterol. 2016, 51, 472–478. [Google Scholar] [CrossRef] [PubMed]
- Sobani, Z.A.; Sanchez-Luna, S.A.; Rustagi, T. Endoscopic Transpapillary Gallbladder Drainage for Acute Cholecystitis using Two Gallbladder Stents (Dual Gallbladder Stenting). Clin. Endosc. 2021, 54, 899–902. [Google Scholar] [CrossRef] [PubMed]
- Storm, A.C.; Vargas, E.J.; Chin, J.Y.; Chandrasekhara, V.; Abu Dayyeh, B.K.; Levy, M.J.; Martin, J.A.; Topazian, M.D.; Andrews, J.C.; Schiller, H.J.; et al. Transpapillary gallbladder stent placement for long-term therapy of acute cholecystitis. Gastrointest. Endosc. 2021, 94, 742–748.e1. [Google Scholar] [CrossRef] [PubMed]
- Anderloni, A.; Buda, A.; Vieceli, F.; Khashab, M.A.; Hassan, C.; Repici, A. Endoscopic ultrasound-guided transmural stenting for gallbladder drainage in high-risk patients with acute cholecystitis: A systematic review and pooled analysis. Surg. Endosc. 2016, 30, 5200–5208. [Google Scholar] [CrossRef]
- Fabbri, C.; Binda, C.; Sbrancia, M.; Dajti, E.; Coluccio, C.; Ercolani, G.; Anderloni, A.; Cucchetti, A. Determinants of outcomes of transmural EUS-guided gallbladder drainage: Systematic review with proportion meta-analysis and meta-regression. Surg. Endosc. 2022, 36, 7974–7985. [Google Scholar] [CrossRef] [PubMed]
- Anderloni, A.; Troncone, E.; Fugazza, A.; Cappello, A.; Del Vecchio Blanco, G.; Monteleone, G.; Repici, A. Lumen-apposing metal stents for malignant biliary obstruction: Is this the ultimate horizon of our experience? World J. Gastroenterol. 2019, 25, 3857–3869. [Google Scholar] [CrossRef]
- Troncone, E.; Fugazza, A.; Cappello, A.; Del Vecchio Blanco, G.; Monteleone, G.; Repici, A.; Teoh, A.Y.B.; Anderloni, A. Malignant gastric outlet obstruction: Which is the best therapeutic option? World J. Gastroenterol. 2020, 26, 1847–1860. [Google Scholar] [CrossRef] [PubMed]
- Stefanovic, S.; Adler, D.G.; Arlt, A.; Baron, T.H.; Binmoeller, K.F.; Bronswijk, M.; Bruno, M.J.; Chevaux, J.B.; Crino, S.F.; Degroote, H.; et al. International Consensus Recommendations for Safe Use of LAMS for On- and Off-Label Indications Using a Modified Delphi Process. Am. J. Gastroenterol. 2023, 119, 671–681. [Google Scholar] [CrossRef]
- Amato, A.; Tarantino, I.; Facciorusso, A.; Binda, C.; Crino, S.F.; Fugazza, A.; Forti, E.; Petrone, M.C.; Di Mitri, R.; Macchiarelli, R.; et al. Real-life multicentre study of lumen-apposing metal stent for EUS-guided drainage of pancreatic fluid collections. Gut 2022, 71, 1050–1052. [Google Scholar] [CrossRef] [PubMed]
- van Wanrooij, R.L.J.; Bronswijk, M.; Kunda, R.; Everett, S.M.; Lakhtakia, S.; Rimbas, M.; Hucl, T.; Badaoui, A.; Law, R.; Arcidiacono, P.G.; et al. Therapeutic endoscopic ultrasound: European Society of Gastrointestinal Endoscopy (ESGE) Technical Review. Endoscopy 2022, 54, 310–332. [Google Scholar] [CrossRef] [PubMed]
- Dollhopf, M.; Larghi, A.; Will, U.; Rimbas, M.; Anderloni, A.; Sanchez-Yague, A.; Teoh, A.Y.B.; Kunda, R. EUS-guided gallbladder drainage in patients with acute cholecystitis and high surgical risk using an electrocautery-enhanced lumen-apposing metal stent device. Gastrointest. Endosc. 2017, 86, 636–643. [Google Scholar] [CrossRef] [PubMed]
- Irani, S.; Kozarek, R.A. The buried lumen-apposing metal stent: Is this a stent problem, a location problem, or both? VideoGIE 2016, 1, 25–26. [Google Scholar] [CrossRef] [PubMed]
- Teoh, A.Y.B.; Serna, C.; Penas, I.; Chong, C.C.N.; Perez-Miranda, M.; Ng, E.K.W.; Lau, J.Y.W. Endoscopic ultrasound-guided gallbladder drainage reduces adverse events compared with percutaneous cholecystostomy in patients who are unfit for cholecystectomy. Endoscopy 2017, 49, 130–138. [Google Scholar] [CrossRef] [PubMed]
- James, T.W.; Krafft, M.; Croglio, M.; Nasr, J.; Baron, T. EUS-guided gallbladder drainage in patients with cirrhosis: Results of a multicenter retrospective study. Endosc. Int. Open 2019, 7, E1099–E1104. [Google Scholar] [CrossRef]
- Vanek, P.; Falt, P.; Vitek, P.; Zoundjiekpon, V.; Horinkova, M.; Zapletalova, J.; Lovecek, M.; Urban, O. EUS-guided transluminal drainage using lumen-apposing metal stents with or without coaxial plastic stents for treatment of walled-off necrotizing pancreatitis: A prospective bicentric randomized controlled trial. Gastrointest. Endosc. 2023, 97, 1070–1080. [Google Scholar] [CrossRef] [PubMed]
- Irani, S.S.; Sharzehi, K.; Siddiqui, U.D. AGA Clinical Practice Update on Role of EUS-Guided Gallbladder Drainage in Acute Cholecystitis: Commentary. Clin. Gastroenterol. Hepatol. 2023, 21, 1141–1147. [Google Scholar] [CrossRef]
- Ahmed, O.; Rogers, A.C.; Bolger, J.C.; Mastrosimone, A.; Lee, M.J.; Keeling, A.N.; Cheriyan, D.; Robb, W.B. Meta-analysis of outcomes of endoscopic ultrasound-guided gallbladder drainage versus percutaneous cholecystostomy for the management of acute cholecystitis. Surg. Endosc. 2018, 32, 1627–1635. [Google Scholar] [CrossRef]
- Mohan, B.P.; Khan, S.R.; Trakroo, S.; Ponnada, S.; Jayaraj, M.; Asokkumar, R.; Adler, D.G. Endoscopic ultrasound-guided gallbladder drainage, transpapillary drainage, or percutaneous drainage in high risk acute cholecystitis patients: A systematic review and comparative meta-analysis. Endoscopy 2020, 52, 96–106. [Google Scholar] [CrossRef]
- Podboy, A.; Yuan, J.; Stave, C.D.; Chan, S.M.; Hwang, J.H.; Teoh, A.Y.B. Comparison of EUS-guided endoscopic transpapillary and percutaneous gallbladder drainage for acute cholecystitis: A systematic review with network meta-analysis. Gastrointest. Endosc. 2021, 93, 797–804.e1. [Google Scholar] [CrossRef] [PubMed]
- Teoh, A.Y.B.; Kitano, M.; Itoi, T.; Perez-Miranda, M.; Ogura, T.; Chan, S.M.; Serna-Higuera, C.; Omoto, S.; Torres-Yuste, R.; Tsuichiya, T.; et al. Endosonography-guided gallbladder drainage versus percutaneous cholecystostomy in very high-risk surgical patients with acute cholecystitis: An international randomised multicentre controlled superiority trial (DRAC 1). Gut 2020, 69, 1085–1091. [Google Scholar] [CrossRef] [PubMed]
- Van der Merwe, S.W.; van Wanrooij, R.L.J.; Bronswijk, M.; Everett, S.; Lakhtakia, S.; Rimbas, M.; Hucl, T.; Kunda, R.; Badaoui, A.; Law, R.; et al. Therapeutic endoscopic ultrasound: European Society of Gastrointestinal Endoscopy (ESGE) Guideline. Endoscopy 2022, 54, 185–205. [Google Scholar] [CrossRef] [PubMed]
- Brandaleone, L.; Franchellucci, G.; Facciorusso, A.; Samanta, J.; Moon, J.H.; Vargas-Madrigal, J.; Robles Medranda, C.; Barbera, C.; Di Matteo, F.; Bulajic, M.; et al. The Use of a New Dedicated Electrocautery Lumen-Apposing Metal Stent for Gallbladder Drainage in Patients with Acute Cholecystitis. Diagnostics 2023, 13, 3341. [Google Scholar] [CrossRef] [PubMed]
- Teoh, A.Y.B.; Kongkam, P.; Bapaye, A.; Ratanachu, T.; Reknimitr, R.; Lakthakia, S.; Chan, S.M.; Gadhikar, H.P.; Korrapati, S.K.; Lee, Y.N.; et al. Use of a novel lumen apposing metallic stent for drainage of the bile duct and gallbladder: Long term outcomes of a prospective international trial. Dig. Endosc. 2021, 33, 1139–1145. [Google Scholar] [CrossRef] [PubMed]
- Vozzo, C.F.; Simons-Linares, C.R.; Abou Saleh, M.; Stevens, T.; Chahal, P. Safety of EUS-guided gallbladder drainage using a lumen-apposing metal stent in patients requiring anticoagulation. VideoGIE 2020, 5, 500–503.e1. [Google Scholar] [CrossRef]
- Anderloni, A.; Attili, F.; Sferrazza, A.; Rimbas, M.; Costamagna, G.; Repici, A.; Larghi, A. EUS-guided gallbladder drainage using a lumen-apposing self-expandable metal stent in patients with coagulopathy or anticoagulation therapy: A case series. Endosc. Int. Open 2017, 5, E1100–E1103. [Google Scholar] [CrossRef] [PubMed][Green Version]
- Hayat, U.; Al Shabeeb, R.; Perez, P.; Hensien, J.; Dwivedi, A.; Sakhawat, U.; Ahmad, O.; Haseeb, M.; Siddiqui, A.A.; Adler, D.G. Safety and adverse events of endoscopic ultrasound-guided gallbladder drainage using lumen-apposing metal stents and percutaneous cholecystostomy tubes: A systematic review and meta-analysis. Gastrointest. Endosc. 2023, 9, P444–P448.e1. [Google Scholar] [CrossRef]
- Saumoy, M.; Tyberg, A.; Brown, E.; Eachempati, S.R.; Lieberman, M.; Afaneh, C.; Kunda, R.; Cosgrove, N.; Siddiqui, A.; Gaidhane, M.; et al. Successful Cholecystectomy after Endoscopic Ultrasound Gallbladder Drainage Compared with Percutaneous Cholecystostomy, Can it Be Done? J. Clin. Gastroenterol. 2019, 53, 231–235. [Google Scholar] [CrossRef]
- Anderloni, A.; Fugazza, A.; Maroni, L.; Troncone, E.; Milani, O.; Cappello, A.; Alkandari, A.; Repici, A. Endoscopic ultrasound-guided gallbladder drainage by transduodenal lumen-apposing metal stent in a patient with Roux-en-Y reconstruction. Ann. Gastroenterol. 2019, 32, 522–524. [Google Scholar] [CrossRef]
- Robles-Medranda, C.; Oleas, R.; Puga-Tejada, M.; Alcivar-Vasquez, J.; Del Valle, R.; Olmos, J.; Arevalo-Mora, M.; Egas-Izquierdo, M.; Tabacelia, D.; Baquerizo-Burgos, J.; et al. Prophylactic EUS-guided gallbladder drainage prevents acute cholecystitis in patients with malignant biliary obstruction and cystic duct orifice involvement: A randomized trial (with video). Gastrointest. Endosc. 2023, 97, 445–453. [Google Scholar] [CrossRef] [PubMed]
- Ridtitid, W.; Faknak, N.; Piyachaturawat, P.; Teeratorn, N.; Sritunyarat, Y.; Angsuwatcharakon, P.; Mekaroonkamol, P.; Kongkam, P.; Rerknimitr, R. Intermediate- to long-term outcomes of endoscopic transpapillary gallbladder stenting in patients with gallstone-related disease: A 10-year single-center experience. Endoscopy 2023, 55, 469–475. [Google Scholar] [CrossRef] [PubMed]
- Inoue, T.; Yoshida, M.; Suzuki, Y.; Kitano, R.; Urakabe, K.; Haneda, K.; Okumura, F.; Naitoh, I. Comparison of the long-term outcomes of EUS-guided gallbladder drainage and endoscopic transpapillary gallbladder drainage for calculous cholecystitis in poor surgical candidates: A multicenter propensity score-matched analysis. Gastrointest. Endosc. 2023, 98, 362–370. [Google Scholar] [CrossRef] [PubMed]
- Inoue, T.; Suzuki, Y.; Yoshida, M.; Naitoh, I.; Okumura, F.; Kitano, R.; Haneda, K.; Hayashi, K.; Yoneda, M. Long-Term Impact of Endoscopic Gallbladder Stenting for Calculous Cholecystitis in Poor Surgical Candidates: A Multi-center Comparative Study. Dig. Dis. Sci. 2023, 68, 1529–1538. [Google Scholar] [CrossRef] [PubMed]
- Yuste, R.T.; Garcia-Alonso, F.J.; Sanchez-Ocana, R.; Cimavilla, M.; Herrero, I.P.; Carbajo, A.Y.; Sanz, M.B.; Higuera, C.S.; Perez-Miranda, M. Safety and clinical outcomes of endoscopic ultrasound-guided gallbladder drainage with lumen-apposing metal stents in patients with dwell time over one year. Ann. Gastroenterol. 2019, 32, 514–521. [Google Scholar] [CrossRef]
- Bazaga, S.; Garcia-Alonso, F.J.; Aparicio Tormo, J.R.; Martinez Moreno, B.; Sanchiz, V.; Gornals, J.B.; Loras, C.; Teran, A.; Vazquez-Sequeiros, E.; Pedraza Sanz, R.; et al. Endoscopic ultrasound-guided gallbladder drainage with long-term lumen-apposing metal stent indwell: 1-year results from a prospective nationwide observational study. J. Gastroenterol. Hepatol. 2023, 39, 360–368. [Google Scholar] [CrossRef] [PubMed]
- Martinez-Moreno, B.; Lopez-Roldan, G.; Martinez-Sempere, J.; de-Madaria, E.; Jover, R.; Aparicio, J.R. Long-term results after EUS gallbladder drainage in high-surgical-risk patients with acute cholecystitis: A 3-year follow-up registry. Endosc. Int. Open 2023, 11, E1063–E1068. [Google Scholar] [CrossRef] [PubMed]
- Chan, S.M.; Teoh, A.Y.B.; Yip, H.C.; Wong, V.W.Y.; Chiu, P.W.Y.; Ng, E.K.W. Feasibility of per-oral cholecystoscopy and advanced gallbladder interventions after EUS-guided gallbladder stenting (with video). Gastrointest. Endosc. 2017, 85, 1225–1232. [Google Scholar] [CrossRef] [PubMed]
- Tyberg, A.; Duarte-Chavez, R.; Shahid, H.M.; Sarkar, A.; Simon, A.; Shah-Khan, S.M.; Gaidhane, M.; Mohammad, T.F.; Nosher, J.; Wise, S.S.; et al. Endoscopic Ultrasound-Guided Gallbladder Drainage Versus Percutaneous Drainage in Patients with Acute Cholecystitis Undergoing Elective Cholecystectomy. Clin. Transl. Gastroenterol. 2023, 14, e00593. [Google Scholar] [CrossRef]
- Bang, J.Y.; Arnoletti, J.P.; Wagner, A.; Varadarajulu, S. EUS-guided gallbladder drainage in acute cholecystitis: Long-term problems with surgical approach. Gut 2023, 73, 395–397. [Google Scholar] [CrossRef]
- Law, R.; Grimm, I.S.; Stavas, J.M.; Baron, T.H. Conversion of Percutaneous Cholecystostomy to Internal Transmural Gallbladder Drainage Using an Endoscopic Ultrasound-Guided, Lumen-Apposing Metal Stent. Clin. Gastroenterol. Hepatol. 2016, 14, 476–480. [Google Scholar] [CrossRef] [PubMed]
- Chantarojanasiri, T.; Matsubara, S.; Isayama, H.; Nakai, Y.; Takahara, N.; Mizuno, S.; Kogure, H.; Hakuta, R.; Ito, Y.; Tada, M.; et al. Feasibility of conversion of percutaneous cholecystostomy to internal transmural endoscopic ultrasound-guided gallbladder drainage. Saudi J. Gastroenterol. 2017, 23, 318–322. [Google Scholar] [CrossRef] [PubMed]
- Minaga, K.; Yamashita, Y.; Ogura, T.; Takenaka, M.; Shimokawa, Y.; Hisa, T.; Itonaga, M.; Kato, H.; Nishikiori, H.; Okuda, A.; et al. Clinical efficacy and safety of endoscopic ultrasound-guided gallbladder drainage replacement of percutaneous drainage: A multicenter retrospective study. Dig. Endosc. 2019, 31, 180–187. [Google Scholar] [CrossRef] [PubMed]
- Chon, H.K.; Park, C.; Park, D.E.; Kim, T.H. Efficacy and safety of conversion of percutaneous cholecystostomy to endoscopic transpapillary gallbladder stenting in high-risk surgical patients. Hepatobiliary Pancreat. Dis. Int. 2021, 20, 478–484. [Google Scholar] [CrossRef] [PubMed]
- Sharaiha, R.Z.; Khan, M.A.; Kamal, F.; Tyberg, A.; Tombazzi, C.R.; Ali, B.; Tombazzi, C.; Kahaleh, M. Efficacy and safety of EUS-guided biliary drainage in comparison with percutaneous biliary drainage when ERCP fails: A systematic review and meta-analysis. Gastrointest. Endosc. 2017, 85, 904–914. [Google Scholar] [CrossRef]
- Anderloni, A.; Fugazza, A.; Troncone, E.; Auriemma, F.; Carrara, S.; Semeraro, R.; Maselli, R.; Di Leo, M.; D’Amico, F.; Sethi, A.; et al. Single-stage EUS-guided choledochoduodenostomy using a lumen-apposing metal stent for malignant distal biliary obstruction. Gastrointest. Endosc. 2019, 89, 69–76. [Google Scholar] [CrossRef] [PubMed]
- Fugazza, A.; Khalaf, K.; Pawlak, K.M.; Spadaccini, M.; Colombo, M.; Andreozzi, M.; Giacchetto, M.; Carrara, S.; Ferrari, C.; Binda, C.; et al. Use of endoscopic ultrasound-guided gallbladder drainage as a rescue approach in cases of unsuccessful biliary drainage. World J. Gastroenterol. 2024, 30, 70–78. [Google Scholar] [CrossRef]
- Ogura, T.; Higuchi, K. Endoscopic Ultrasound-Guided Hepaticogastrostomy: Technical Review and Tips to Prevent Adverse Events. Gut Liver 2021, 15, 196–205. [Google Scholar] [CrossRef] [PubMed]
- Anderloni, A.; Fugazza, A.; Spadaccini, M.; Colombo, M.; Capogreco, A.; Carrara, S.; Maselli, R.; Ferrara, E.C.; Galtieri, P.A.; Pellegatta, G.; et al. Feasibility and safety of a new dedicated biliary stent for EUS-guided hepaticogastrostomy: The FIT study (with video). Endosc. Ultrasound 2023, 12, 59–63. [Google Scholar] [CrossRef]
- Fugazza, A.; Fabbri, C.; Di Mitri, R.; Petrone, M.C.; Colombo, M.; Cugia, L.; Amato, A.; Forti, E.; Binda, C.; Maida, M.; et al. EUS-guided choledochoduodenostomy for malignant distal biliary obstruction after failed ERCP: A retrospective nationwide analysis. Gastrointest. Endosc. 2022, 95, 896–904.e1. [Google Scholar] [CrossRef]
- Rimbas, M.; Anderloni, A.; Napoleon, B.; Seicean, A.; Forti, E.; Crino, S.F.; Tarantino, I.; Arcidiacono, P.G.; Fabbri, C.; Rizzatti, G.; et al. Common bile duct size in malignant distal obstruction and lumen-apposing metal stents: A multicenter prospective study. Endosc. Int. Open 2021, 9, E1801–E1810. [Google Scholar] [CrossRef] [PubMed]
- Itoi, T.; Binmoeller, K.; Itokawa, F.; Umeda, J.; Tanaka, R. Endoscopic ultrasonography-guided cholecystogastrostomy using a lumen-apposing metal stent as an alternative to extrahepatic bile duct drainage in pancreatic cancer with duodenal invasion. Dig. Endosc. 2013, 25 (Suppl. S2), 137–141. [Google Scholar] [CrossRef]
- Imai, H.; Kitano, M.; Omoto, S.; Kadosaka, K.; Kamata, K.; Miyata, T.; Yamao, K.; Sakamoto, H.; Harwani, Y.; Kudo, M. EUS-guided gallbladder drainage for rescue treatment of malignant distal biliary obstruction after unsuccessful ERCP. Gastrointest. Endosc. 2016, 84, 147–151. [Google Scholar] [CrossRef] [PubMed]
- Ligresti, D.; Tarantino, I.; Amata, M.; Cipolletta, F.; Gruttadauria, S.; Cintorino, D.; Traina, M. Bridge-to-surgery gallbladder drainage with a lumen-apposing metal stent in malignant distal biliary obstruction: A choice tailored for the surgeon. Endoscopy 2019, 51, 94–95. [Google Scholar] [CrossRef]
- Chang, J.I.; Dong, E.; Kwok, K.K. Endoscopic ultrasound-guided transmural gallbladder drainage in malignant obstruction using a novel lumen-apposing stent: A case series (with video). Endosc. Int. Open 2019, 7, E655–E661. [Google Scholar] [CrossRef]
- Debourdeau, A.; Daniel, J.; Caillo, L.; Assenat, E.; Bertrand, M.; Bardol, T.; Souche, F.R.; Pouderoux, P.; Gerard, R.; Lorenzo, D.; et al. Effectiveness of endoscopic ultrasound (EUS)-guided choledochoduodenostomy vs. EUS-guided gallbladder drainage for jaundice in patients with malignant distal biliary obstruction after failed endoscopic retrograde cholangiopancreatography: Retrospective, multicenter study (GALLBLADEUS Study). Dig. Endosc. 2024; early view. [Google Scholar] [CrossRef]
- Issa, D.; Irani, S.; Law, R.; Shah, S.; Bhalla, S.; Mahadev, S.; Hajifathalian, K.; Sampath, K.; Mukewar, S.; Carr-Locke, D.L.; et al. Endoscopic ultrasound-guided gallbladder drainage as a rescue therapy for unresectable malignant biliary obstruction: A multicenter experience. Endoscopy 2021, 53, 827–831. [Google Scholar] [CrossRef]
- Binda, C.; Anderloni, A.; Fugazza, A.; Amato, A.; de Nucci, G.; Redaelli, A.; Di Mitri, R.; Cugia, L.; Pollino, V.; Macchiarelli, R.; et al. EUS-guided gallbladder drainage using a lumen-apposing metal stent as rescue treatment for malignant distal biliary obstruction: A large multicenter experience. Gastrointest. Endosc. 2023, 98, 765–773. [Google Scholar] [CrossRef]
- McDonagh, P.; Awadelkarim, B.; Leeds, J.S.; Nayar, M.K.; Oppong, K.W. Endoscopic Ultrasound-Guided Gallbladder Drainage for Malignant Biliary Obstruction: A Systematic Review. Cancers 2023, 15, 2988. [Google Scholar] [CrossRef]
- Kamal, F.; Khan, M.A.; Lee-Smith, W.; Sharma, S.; Acharya, A.; Farooq, U.; Aziz, M.; Kouanda, A.; Dai, S.C.; Munroe, C.A.; et al. Efficacy and safety of EUS-guided gallbladder drainage for rescue treatment of malignant biliary obstruction: A systematic review and meta-analysis. Endosc. Ultrasound 2023, 12, 8–15. [Google Scholar] [CrossRef]
- Mangiavillano, B.; Moon, J.H.; Facciorusso, A.; Vargas-Madrigal, J.; Di Matteo, F.; Rizzatti, G.; De Luca, L.; Forti, E.; Mutignani, M.; Al-Lehibi, A.; et al. Endoscopic ultrasound-guided gallbladder drainage as a first approach for jaundice palliation in unresectable malignant distal biliary obstruction: Prospective study. Dig. Endosc. 2023, 36, 351–358. [Google Scholar] [CrossRef] [PubMed]
- Tarnasky, P.R.; England, R.E.; Lail, L.M.; Pappas, T.N.; Cotton, P.B. Cystic duct patency in malignant obstructive jaundice. An ERCP-based study relevant to the role of laparoscopic cholecystojejunostomy. Ann. Surg. 1995, 221, 265–271. [Google Scholar] [CrossRef] [PubMed]
- Kamal, F. EUS-guided gallbladder drainage for malignant biliary obstruction: A new paradigm but not so new. Gastrointest. Endosc. 2023, 98, 774–775. [Google Scholar] [CrossRef] [PubMed]
- Birrer, D.L.; Golcher, H.; Casadei, R.; Haile, S.R.; Fritsch, R.; Hussung, S.; Brunner, T.B.; Fietkau, R.; Meyer, T.; Grutzmann, R.; et al. Neoadjuvant Therapy for Resectable Pancreatic Cancer: A New Standard of Care. Pooled Data from 3 Randomized Controlled Trials. Ann. Surg. 2021, 274, 713–720. [Google Scholar] [CrossRef] [PubMed]
- Urbach, D.R.; Bell, C.M.; Swanstrom, L.L.; Hansen, P.D. Cohort study of surgical bypass to the gallbladder or bile duct for the palliation of jaundice due to pancreatic cancer. Ann. Surg. 2003, 237, 86–93. [Google Scholar] [CrossRef] [PubMed]
- Watanapa, P.; Williamson, R.C. Surgical palliation for pancreatic cancer: Developments during the past two decades. Br. J. Surg. 1992, 79, 8–20. [Google Scholar] [CrossRef] [PubMed]
- Rimbas, M.; Crino, S.F.; Rizzatti, G.; Larghi, A. Endoscopic ultrasound-guided gallbladder drainage: A backdoor for biliary decompression? Endoscopy 2021, 53, 873. [Google Scholar] [CrossRef] [PubMed]
- Teoh, A.Y.B.; Leung, C.H.; Tam, P.T.H.; Au Yeung, K.K.Y.; Mok, R.C.Y.; Chan, D.L.; Chan, S.M.; Yip, H.C.; Chiu, P.W.Y.; Ng, E.K.W. EUS-guided gallbladder drainage versus laparoscopic cholecystectomy for acute cholecystitis: A propensity score analysis with 1-year follow-up data. Gastrointest. Endosc. 2021, 93, 577–583. [Google Scholar] [CrossRef]
- Baron, T.H. EUS-guided gallbladder drainage is as good as laparoscopic cholecystectomy for symptomatic cholelithiasis: Wait!…what?! Gastrointest. Endosc. 2021, 93, 584–585. [Google Scholar] [CrossRef]
- Garcia-Alonso, F.J.; de Lucas Gallego, M.; Bonillo Cambrodon, D.; Algaba, A.; de la Poza, G.; Martin-Mateos, R.M.; Bermejo, F. Gallstone-related disease in the elderly: Is there room for improvement? Dig. Dis. Sci. 2015, 60, 1770–1777. [Google Scholar] [CrossRef]
- Flynn, D.J.; Memel, Z.; Hernandez-Barco, Y.; Visrodia, K.H.; Casey, B.W.; Krishnan, K. Outcomes of EUS-guided transluminal gallbladder drainage in patients without cholecystitis. Endosc. Ultrasound 2021, 10, 381–386. [Google Scholar] [CrossRef] [PubMed]
- Torres Yuste, R.; Garcia-Alonso, F.J.; Sanchez-Ocana, R.; Cimavilla Roman, M.; Penas Herrero, I.; Carbajo, A.Y.; De Benito Sanz, M.; Mora Cuadrado, N.; De la Serna Higuera, C.; Perez-Miranda, M. Safety and efficacy of endoscopic ultrasound-guided gallbladder drainage combined with endoscopic retrograde cholangiopancreatography in the same session. Dig. Endosc. 2020, 32, 608–615. [Google Scholar] [CrossRef] [PubMed]
- Rimbas, M.; Crino, S.F.; Rizzatti, G.; La Greca, A.; Sganga, G.; Larghi, A. EUS-guided gallbladder drainage: Where will we go next? Gastrointest. Endosc. 2021, 94, 419–422. [Google Scholar] [CrossRef] [PubMed]
- Goonawardena, J.; Gunnarsson, R.; de Costa, A. Predicting conversion from laparoscopic to open cholecystectomy presented as a probability nomogram based on preoperative patient risk factors. Am. J. Surg. 2015, 210, 492–500. [Google Scholar] [CrossRef] [PubMed]
- Rimbas, M.; Tripodi, G.; Rizzatti, G.; Larghi, A. Endoscopic ultrasound in the management of acute cholecystitis: Practical review. Dig. Endosc. 2023, 35, 809–818. [Google Scholar] [CrossRef] [PubMed]
- Teoh, A.Y.; Perez-Miranda, M.; Kunda, R.; Lee, S.S.; Irani, S.; Yeaton, P.; Sun, S.; Baron, T.H.; Moon, J.H.; Holt, B.; et al. Outcomes of an international multicenter registry on EUS-guided gallbladder drainage in patients at high risk for cholecystectomy. Endosc. Int. Open 2019, 7, E964–E973. [Google Scholar] [CrossRef]





| Author, Year [Reference] | Study Design | Indication | Number of Patients | Type of Stent | Technical Success | Clinical Success | Adverse Events | Stent Disfunction/Recurrent Jaundice | Follow-Up |
|---|---|---|---|---|---|---|---|---|---|
| Imai, 2016 [73] | Retrospective, single center | Rescue drainage | 12 | SEMS | 12/12 (100%) | 11/12 (91.7%) | 2/12 (16.7%) | 1 recurrent jaundice (8.3%) | 105 days (median; 15–236 range) |
| Chang, 2019 [75] | Retrospective, single center | Rescue drainage | 9 | LAMS | 9/9 (100%) | 7/9 (77.8%) | 0/9 (0%) | 1 recurrent jaundice (11.1%) | 130.7 days (mean) |
| Issa, 2020 [77] | Retrospective, multicenter | Rescue drainage | 28 | 26 LAMS 2 SEMS | 28/28 (100%) | 26/28 (92.6% | 5/28 (17.8%) | 3 stent disfunction (10.7%) | 33 months (median; 3–64 range) |
| Mangiavillano, 2023 [81] | Prospective, multicenter | Primary drainage | 37 | LAMS | 37/37 (100%) | 37/37 (100%) | 4/37 (10.8%) | 2 recurrent jaundice (5.4%) 1 stent difsunction (2.7%) | 4 months (median; 1–8 range) |
| Binda, 2023 [78] | Retrospective, multicenter | Rescue drainage | 48 | 45 LAMS 2 BFMS 1 other | 48/48 (100%) | 39/48 (81.3%) | 5/48 (10.4%) | 2 stent difsunction (4.2%) | 122 ± 161 days (mean) |
| Debourdeau, 2024 [76] | Retrospective, multicenter | Rescue drainage | 41 | LAMS | 41/41 (100%) | 36/41 (87.8%) | 4/41 (9.8%) | 5 stent difsunction (12.2%) | 5.2 months (1.21; 48.09) median |
Disclaimer/Publisher’s Note: The statements, opinions and data contained in all publications are solely those of the individual author(s) and contributor(s) and not of MDPI and/or the editor(s). MDPI and/or the editor(s) disclaim responsibility for any injury to people or property resulting from any ideas, methods, instructions or products referred to in the content. |
© 2024 by the authors. Licensee MDPI, Basel, Switzerland. This article is an open access article distributed under the terms and conditions of the Creative Commons Attribution (CC BY) license (https://creativecommons.org/licenses/by/4.0/).
Share and Cite
Troncone, E.; Amendola, R.; Moscardelli, A.; De Cristofaro, E.; De Vico, P.; Paoluzi, O.A.; Monteleone, G.; Perez-Miranda, M.; Del Vecchio Blanco, G. Endoscopic Gallbladder Drainage: A Comprehensive Review on Indications, Techniques, and Future Perspectives. Medicina 2024, 60, 633. https://doi.org/10.3390/medicina60040633
Troncone E, Amendola R, Moscardelli A, De Cristofaro E, De Vico P, Paoluzi OA, Monteleone G, Perez-Miranda M, Del Vecchio Blanco G. Endoscopic Gallbladder Drainage: A Comprehensive Review on Indications, Techniques, and Future Perspectives. Medicina. 2024; 60(4):633. https://doi.org/10.3390/medicina60040633
Chicago/Turabian StyleTroncone, Edoardo, Rosa Amendola, Alessandro Moscardelli, Elena De Cristofaro, Pasquale De Vico, Omero Alessandro Paoluzi, Giovanni Monteleone, Manuel Perez-Miranda, and Giovanna Del Vecchio Blanco. 2024. "Endoscopic Gallbladder Drainage: A Comprehensive Review on Indications, Techniques, and Future Perspectives" Medicina 60, no. 4: 633. https://doi.org/10.3390/medicina60040633
APA StyleTroncone, E., Amendola, R., Moscardelli, A., De Cristofaro, E., De Vico, P., Paoluzi, O. A., Monteleone, G., Perez-Miranda, M., & Del Vecchio Blanco, G. (2024). Endoscopic Gallbladder Drainage: A Comprehensive Review on Indications, Techniques, and Future Perspectives. Medicina, 60(4), 633. https://doi.org/10.3390/medicina60040633

