Morphological Evaluation and Immunohistochemical Analysis of the Reparative Potential of the Buccal Fat Pad
Abstract
1. Introduction
2. Materials and Methods
Immunohistochemical Method
3. Results
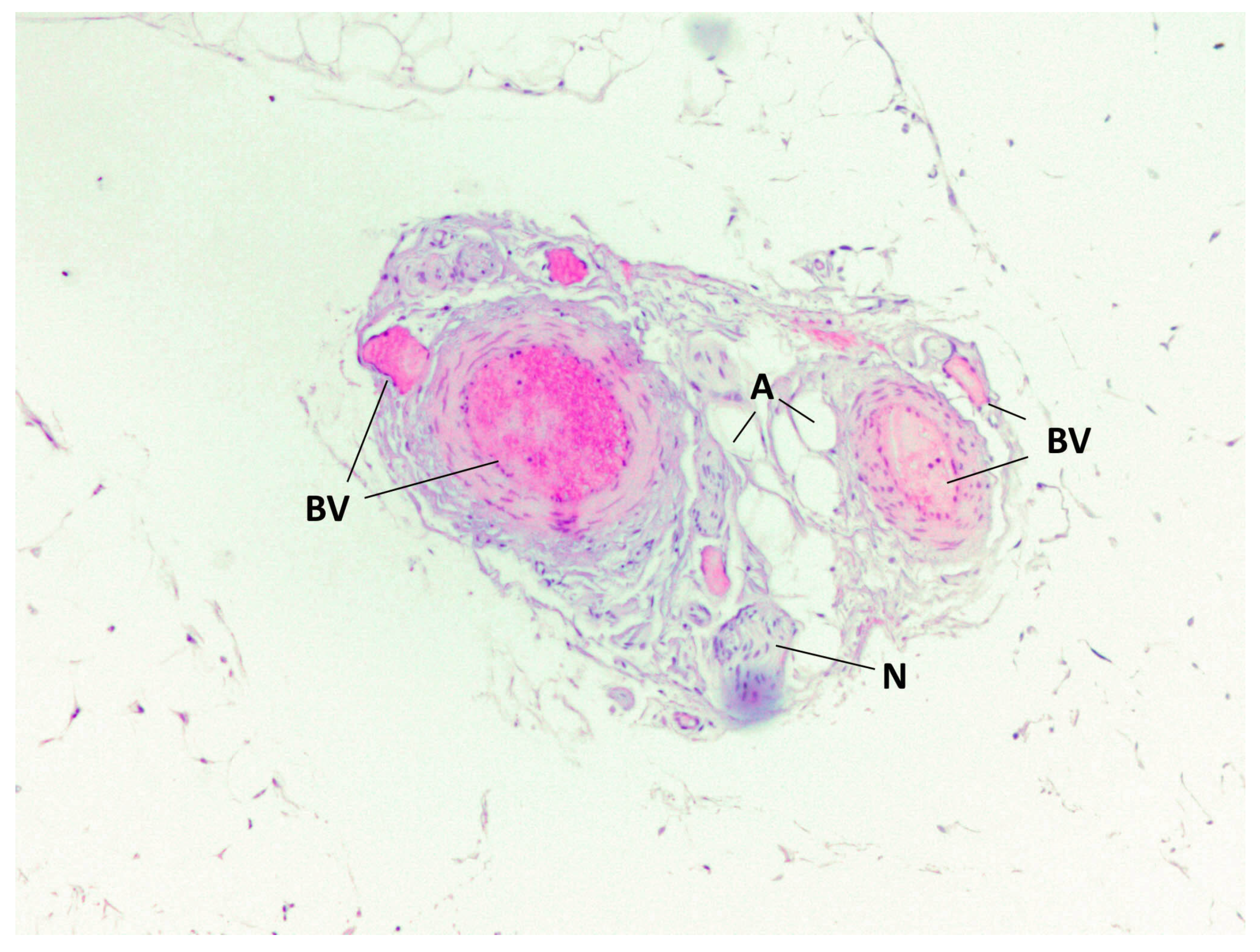
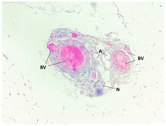
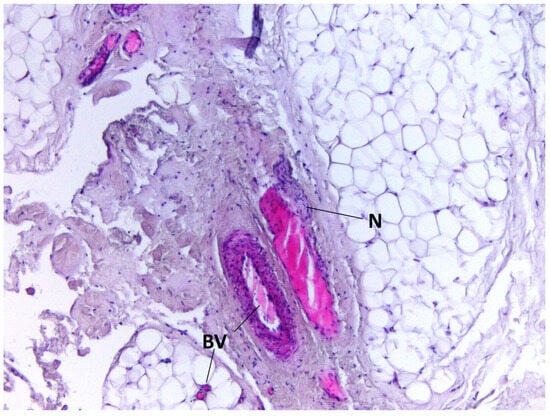
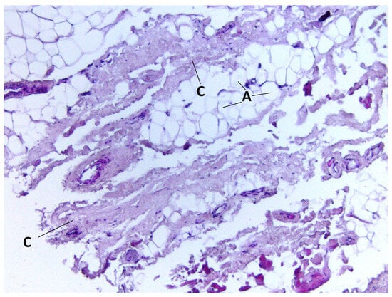
3.1. Hematoxylin–Eosin
3.2. Masson’s Trichrome
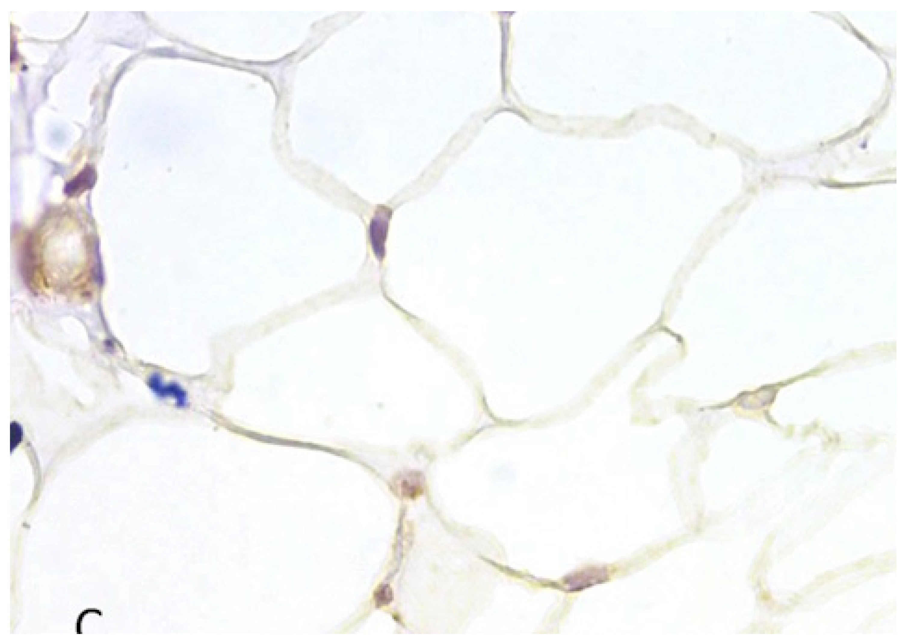
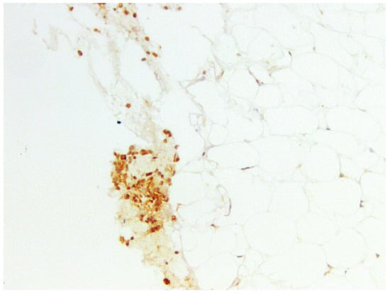
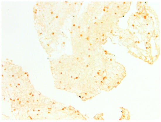
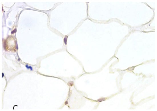
3.3. IHC Study
3.3.1. CD44
3.3.2. CD133
3.3.3. CD10
4. Discussion
5. Conclusions
Author Contributions
Funding
Institutional Review Board Statement
Informed Consent Statement
Data Availability Statement
Conflicts of Interest
References
- Shahrour, R.; Shah, P.; Withana, T.; Jung, J.; Syed, A.Z. Oroantral communication, its causes, complications, treatments and radiographic features: A pictorial review. Imaging Sci. Dent. 2021, 51, 307–311. [Google Scholar] [CrossRef]
- Zhidkov, R.A.; Tsitsiashvili, A.M.; Vasil’ev, Y.L.; Panin, A.M. Review of current methods for closing the oroantral communication. Russ. Stomatol. 2022, 15, 16–24. (In Russian) [Google Scholar] [CrossRef]
- Zhidkov, R.A.; Tsitsiashvili, A.M.; Vasil’ev, Y.L.; Panin, A.M.; Daraushe, K.h.M.; Fakhrislamova, L.R. The fat body of the cheek: A modern view of the problem. Russ. J. Oper. Surg. Clin Anat. 2022, 6, 52–57, (In Russian, In English). [Google Scholar] [CrossRef]
- Kwon, M.S.; Lee, B.S.; Choi, B.J.; Lee, J.W.; Ohe, J.Y.; Jung, J.H.; Hwang, B.Y.; Kwon, Y.D. Closure of oroantral fistula: A review of local flap techniques. J. Korean Assoc. Oral Maxillofac. Surg. 2020, 46, 58–65. [Google Scholar] [CrossRef] [PubMed]
- Nascimento, R.D.; Gonçalves, T.S.; Cardoso, P.E.; de Moraes, M.B.; Raldi, F.V. Use of Buccal Fat Pad in the Treatment of Peri-Implant Mucosal Defect: A Case Report. J. Oral Implantol. 2020, 46, 128–132. [Google Scholar] [CrossRef]
- Guennal, P.; Guiol, J. Use of buccal fat pads to prevent vestibular gingival recession of zygomatic implants. J. Stomatol. Oral Maxillofac. Surg. 2018, 119, 161–163. [Google Scholar] [CrossRef]
- Chouikh, F.; Dierks, E.J. The Buccal Fat Pad Flap. Oral Maxillofac. Surg. Clin. N. Am. 2021, 33, 177–184. [Google Scholar] [CrossRef]
- Adeyemo, W.L.; Ibikunle, A.A.; James, O.; Taiwo, O.A. Buccal Fat Pad: A Useful Adjunct Flap in Cleft Palate Repair. J. Maxillofac. Oral Surg. 2019, 18, 40–45. [Google Scholar] [CrossRef] [PubMed]
- Monika, K.; Sunkala, L.; Sandeep, N.; Keerthi, K.; Bharathi, B.V.; Madhav, G.V. Evaluation of root coverage with pedicled buccal fat pad in class III and class IV gingival recession defects. J. Fam. Med. Prim. Care 2020, 9, 1656–1661. [Google Scholar] [CrossRef] [PubMed]
- Kim, M.K.; Han, W.; Kim, S.G. The use of the buccal fat pad flap for oral reconstruction. Maxillofac. Plast Reconstr. Surg. 2017, 39, 5. [Google Scholar] [CrossRef]
- Markov, I.I.; Markov, A.I.; Nizametdinova, D.R. Morphology of Human Cheek Fat Pads; Monography: Samara, Russian, 2020; pp. 51–54. (In Russian) [Google Scholar]
- Alarcón-Apablaza, J.; Prieto, R.; Rojas, M.; Fuentes, R. Potential of Oral Cavity Stem Cells for Bone Regeneration: A Scoping Review. Cells 2023, 12, 1392. [Google Scholar] [CrossRef] [PubMed]
- Hashemi, S.; Mohammadi Amirabad, L.; Farzad-Mohajeri, S.; Rezai Rad, M.; Fahimipour, F.; Ardeshirylajimi, A.; Dashtimoghadam, E.; Salehi, M.; Soleimani, M.; Dehghan, M.M.; et al. Comparison of osteogenic differentiation potential of induced pluripotent stem cells and buccal fat pad stem cells on 3D-printed HA/β-TCP collagen-coated scaffolds. Cell Tissue Res. 2021, 384, 403–421. [Google Scholar] [CrossRef] [PubMed]
- Meshram, M.; Anchlia, S.; Shah, H.; Vyas, S.; Dhuvad, J.; Sagarka, L. Buccal Fat Pad-Derived Stem Cells for Repair of Maxillofacial Bony Defects. J. Maxillofac. Oral Surg. 2019, 18, 112–123. [Google Scholar] [CrossRef]
- Rahpeyma, A.; Khajehahmadi, S. Buccal Fat Pad Graft in Maxillofacial Surgery. Indian J. Surg. Oncol. 2021, 12, 802–807. [Google Scholar] [CrossRef] [PubMed]
- Singh, J.; Prasad, K.; Lalitha, R.M.; Ranganath, K. Buccal pad of fat and its applications in oral and maxillofacial surgery: A review of published literature (February) 2004 to (July) 2009. Oral Surg. Oral Med. Oral Pathol. Oral Radiol. Endod. 2010, 110, 698–705. [Google Scholar] [CrossRef] [PubMed]
- Consorti, G.; Betti, E.; Catarzi, L. Buccal fat pad flap in orthognathic surgery: Facial soft tissue volume’s redistribution strategy to improve the esthetic outcomes. J. Craniofac. Surg. 2023, 34, 597–601. [Google Scholar] [CrossRef]
- Adekunle, A.A.; James, O.; Olanbiwonnu, A.O.; Adeyemo, W.L. A a review of the use of buccal fat pad in cleft palate repair. Cleft Palate Craniofac. J. 2023, 10556656231155768. [Google Scholar] [CrossRef] [PubMed]
- Vasil’ev, Y.L.; Zhidkov, R.A.; Tsitsiashvili, A.M.; Smilyk, I.M.; Glinskii, A.V.; Fakhrislamova, L.R. Evaluation of the face configuration changes during extrusion of the buccal fat pad. Pilot study. Russ. J. Oper. Surg. Clin. Anat. 2023, 7, 25–32. (In Russian) [Google Scholar] [CrossRef]
- Ponrartana, S.; Patil, S.; Aggabao, P.C.; Pavlova, Z.; Devaskar, S.U.; Gilsanz, V. Brown adipose tissue in the buccal fat pad during infancy. PLoS ONE 2014, 9, e89533. [Google Scholar] [CrossRef]
- Sbarbati, A.; Accorsi, D.; Benati, D.; Marchetti, L.; Orsini, G.; Rigotti, G.; Panettiere, P. Subcutaneous adipose tissue classification. Eur. J. Histochem. 2010, 54, e48. [Google Scholar] [CrossRef]
- Saely, C.H.; Geiger, K.; Drexel, H. Brown versus white adipose tissue: A mini-review. Gerontology 2012, 58, 15–23. [Google Scholar] [CrossRef]
- Eshghpour, M.; Mianbandi, V.; Samieirad, S. Intra- and Postoperative Complications of Le Fort I Maxillary Osteotomy. J. Craniofac. Surg. 2018, 29, e797–e803. [Google Scholar] [CrossRef]
- Suvarna, S.K.; Layton, C.; Bancroft, J.D. Bancroft’s Theory and Practice of Histological Techniques; Elsevier: Amsterdam, The Netherlands, 2019. [Google Scholar] [CrossRef]
- Ghaderi, H.; Razmkhah, M.; Kiany, F.; Chenari, N.; Haghshenas, M.R.; Ghaderi, A. Comparison of Osteogenic and Chondrogenic Differentiation Ability of Buccal Fat Pad Derived Mesenchymal Stem Cells and Gingival Derived Cells. J. Dent. 2018, 19, 124–131. [Google Scholar]
- Gisina, A.; Kim, Y.; Yarygin, K.; Lupatov, A. Can CD133 Be Regarded as a Prognostic Biomarker in Oncology: Pros and Cons. Int. J. Mol. Sci. 2023, 24, 17398. [Google Scholar] [CrossRef]
- Gjorgova-Gjeorgjievski, S.; Fritchie, K.; Folpe, A.L. CD10 (neprilysin) expression: A potential adjunct in the distinction of hibernoma from morphologic mimics. Hum. Pathol. 2021, 110, 12–19. [Google Scholar] [CrossRef]
- Kikuchi, T.; Nishimura, M.; Komori, N.; Iizuka, N.; Otoi, T.; Matsumoto, S. Development and characterization of islet-derived mesenchymal stem cells from clinical grade neonatal porcine cryopreserved islets. Xenotransplantation 2024, 31, e12831. [Google Scholar] [CrossRef]
- Weng, X.; Li, J.; Guan, Q.; Zhao, H.; Wang, Z.; Gleave, M.E.; Nguan, C.Y.; Du, C. The functions of clusterin in renal mesenchymal stromal cells: Promotion of cell growth and regulation of macrophage activation. Exp. Cell Res. 2022, 413, 113081. [Google Scholar] [CrossRef] [PubMed]
- Chakraborty, S.; Ong, W.K.; Yau, W.W.Y.; Zhou, Z.; Bhanu Prakash, K.N.; Toh, S.A.; Han, W.; Yen, P.M.; Sugii, S. D10 marks non-canonical PPARγ-independent adipocyte maturation and browning potential of adipose-derived stem cells. Stem. Cell Res. Ther. 2021, 12, 109. [Google Scholar] [CrossRef]
- Alcântara, M.T.; Ribeiro, N.R.; Abreu, D.F. Complications associated with bichectomy surgery: A literature review. Minerva Dent. Oral Sci. 2021, 70, 155–160. [Google Scholar] [CrossRef] [PubMed]
- Bennett, K.G.; Thurston, T.E.; Vercler, C.J.; Kasten, S.J.; Buchman, S.R. Harvesting the Buccal Fat Pad Does Not Result in Aesthetic Deformity in Cleft Patients: A Retrospective Analysis. Plast Reconstr. Surg. 2017, 140, 362–368. [Google Scholar] [CrossRef] [PubMed]
- Khazaei, S.; Khademi, A.; Nasr Esfahani, M.H.; Khazaei, M.; Nekoofar, M.H.; Dummer, P.M.H. Isolation and Differentiation of Adipose-Derived Stem Cells into Odontoblast-Like Cells: A Preliminary In Vitro Study. Cell J. 2021, 23, 288–293. [Google Scholar] [CrossRef] [PubMed]
- Dehghani Nazhvani, F.; Mohammadi Amirabad, L.; Azari, A.; Namazi, H.; Hosseinzadeh, S.; Samanipour, R.; Khojasteh, A.; Golchin, A.; Hashemi, S. Effects of in vitro low oxygen tension preconditioning of buccal fat pad stem cells on in Vivo articular cartilage tissue repair. Life Sci. 2021, 280, 119728. [Google Scholar] [CrossRef]
- Rai, S. Autogenous Fat as an Ideal Interpositional Material in Temporomandibular Joint Surgery. J. Maxillofac. Oral Surg. 2021, 20, 527–533. [Google Scholar] [CrossRef] [PubMed]
- Rathod, N.; Khobaragade, B.; Ganesan, K. Use of the temporal extension of the buccal fat pad for closure of oro-antral communications. Int. J. Oral Maxillofac. Surg. 2021, 50, 1638–1642. [Google Scholar] [CrossRef]
- Mohaghegh, S.; Fathi, H.; Molaasadollah, F.; Teimoori, M.; Chiniforush, N.; Taghipour, N.; Shekarchi, F.; Nokhbatolfoghahaei, H. Evaluating the effect of strontium ranelate and photobiomodulation on cementogenic and osteogenic differentiation of buccal fat pad-derived stem cells: An in vitro study. Photochem. Photobiol. 2024. [Google Scholar] [CrossRef] [PubMed]
- Marson, R.F.; Regner, A.P.; da Silva Meirelles, L. Mesenchymal “stem” cells, or facilitators for the development of regenerative macrophages? Pericytes at the interface of wound healing. Front Cell Dev. Biol. 2023, 11, 1148121. [Google Scholar] [CrossRef]
- Hosseini, F.S.; Soleimanifar, F.; Ardeshirylajimi, A.; Vakilian, S.; Mossahebi-Mohammadi, M.; Enderami, S.E.; Khojasteh, A.; Zare Karizi, S. In vitro osteogenic differentiation of stem cells with different sources on composite scaffold containing natural bioceramic and polycaprolactone. Artif. Cells Nanomed. Biotechnol. 2019, 47, 300–307. [Google Scholar] [CrossRef]
- Akhlaghi, F.; Hesami, N.; Rad, M.R.; Nazeman, P.; Fahimipour, F.; Khojasteh, A. Improved bone regeneration through amniotic membrane loaded with buccal fat pad-derived MSCs as an adjuvant in maxillomandibular reconstruction. J. Craniomaxillofac. Surg. 2019, 47, 1266–1273. [Google Scholar] [CrossRef]



















| Name of Marker | Clone | Manufacturer, Country | Dilution |
|---|---|---|---|
| CD44 | SD391 | Xiamen Talent Biomedical, China | RTU |
| CD10 | GM003 | PrimeBioMed, RF | 1:100 |
| CD133 | - | Huabio, USA | 1:500 |
| % of Expression | CD44, Amount of Samples | Min Age | Max Age | Mean Age |
|---|---|---|---|---|
| 10 | 2 | 19 | 19 | 19.0 |
| 5 | 11 | 21 | 38 | 29.1 |
| 1 | 14 | 21 | 37 | 27.3 |
| 0 | 3 | 33 | 42 | 37.7 |
| % of Expression | CD133, Amount of Samples | Min Age | Max Age | Mean Age |
|---|---|---|---|---|
| 10 | 2 | 19 | 19 | 19.0 |
| 5 | 8 | 25 | 38 | 29.5 |
| 1 | 9 | 21 | 34 | 26.6 |
| 0 | 11 | 21 | 42 | 30.7 |
| % of Expression | CD10, Amount of Samples | Min Age | Max Age | Mean Age |
|---|---|---|---|---|
| 10 | 8 | 19 | 38 | 26.5 |
| 5 | 3 | 29 | 33 | 30.3 |
| 1 | 8 | 21 | 34 | 26.2 |
| 0 | 11 | 21 | 42 | 30.7 |
Disclaimer/Publisher’s Note: The statements, opinions and data contained in all publications are solely those of the individual author(s) and contributor(s) and not of MDPI and/or the editor(s). MDPI and/or the editor(s) disclaim responsibility for any injury to people or property resulting from any ideas, methods, instructions or products referred to in the content. |
© 2024 by the authors. Licensee MDPI, Basel, Switzerland. This article is an open access article distributed under the terms and conditions of the Creative Commons Attribution (CC BY) license (https://creativecommons.org/licenses/by/4.0/).
Share and Cite
Zhidkov, R.; Panin, A.; Drobyshev, A.; Demura, T.; Avraamova, S.; Aleksandrov, P.; Kolesnikova, A.; Darawsheh, H.; Turkina, A.; Redko, N.; et al. Morphological Evaluation and Immunohistochemical Analysis of the Reparative Potential of the Buccal Fat Pad. Medicina 2024, 60, 567. https://doi.org/10.3390/medicina60040567
Zhidkov R, Panin A, Drobyshev A, Demura T, Avraamova S, Aleksandrov P, Kolesnikova A, Darawsheh H, Turkina A, Redko N, et al. Morphological Evaluation and Immunohistochemical Analysis of the Reparative Potential of the Buccal Fat Pad. Medicina. 2024; 60(4):567. https://doi.org/10.3390/medicina60040567
Chicago/Turabian StyleZhidkov, Roman, Andrew Panin, Aleksei Drobyshev, Tatiana Demura, Sofya Avraamova, Petr Aleksandrov, Anastasia Kolesnikova, Hadi Darawsheh, Anna Turkina, Nicolai Redko, and et al. 2024. "Morphological Evaluation and Immunohistochemical Analysis of the Reparative Potential of the Buccal Fat Pad" Medicina 60, no. 4: 567. https://doi.org/10.3390/medicina60040567
APA StyleZhidkov, R., Panin, A., Drobyshev, A., Demura, T., Avraamova, S., Aleksandrov, P., Kolesnikova, A., Darawsheh, H., Turkina, A., Redko, N., Skakunov, Y., Karpova, E., Brago, A., Tsitsiashvili, A., & Vasil’ev, Y. (2024). Morphological Evaluation and Immunohistochemical Analysis of the Reparative Potential of the Buccal Fat Pad. Medicina, 60(4), 567. https://doi.org/10.3390/medicina60040567

