Exercise May Increase Oxidative Stress in the Sciatic Nerve in Streptozotocin-Induced Diabetic Rats
Abstract
1. Introduction
2. Materials and Methods
2.1. Animals
2.2. Exercise Protocol
2.3. Motor Nerve Conduction Velocity (MNCV)
2.4. Sciatic Nerve Sampling, Homogenization, and Protein Content Determination
2.5. Antioxidant Enzyme Activities
2.6. Western Blot Analysis
2.7. Data Analysis
3. Results
3.1. Blood Glucose Concentration
3.2. Body Weight
3.3. MNVC
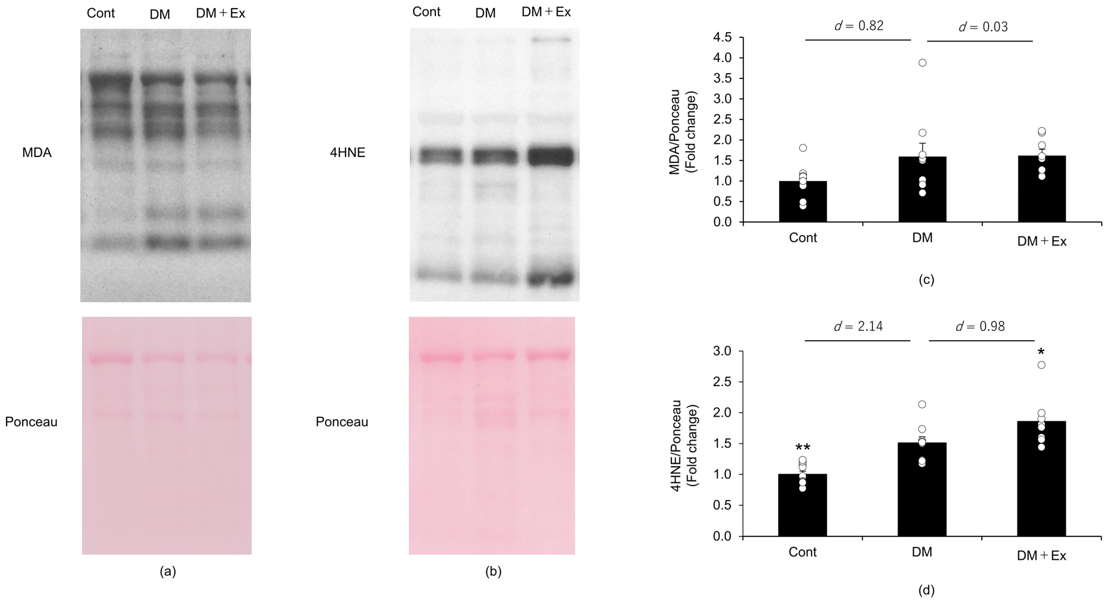
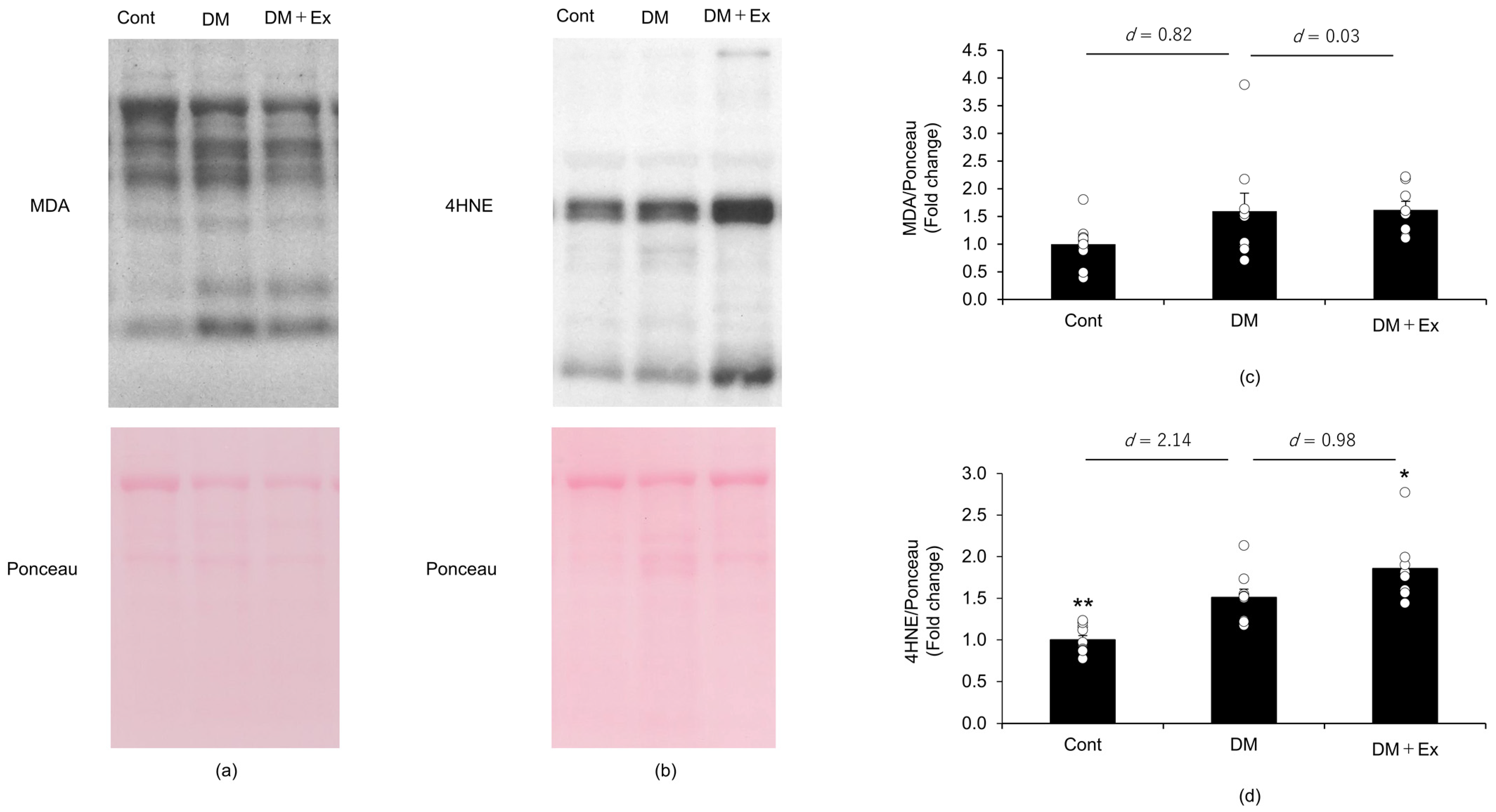
3.4. MDA and 4HNE Contents
3.5. Antioxidant Enzyme Activities
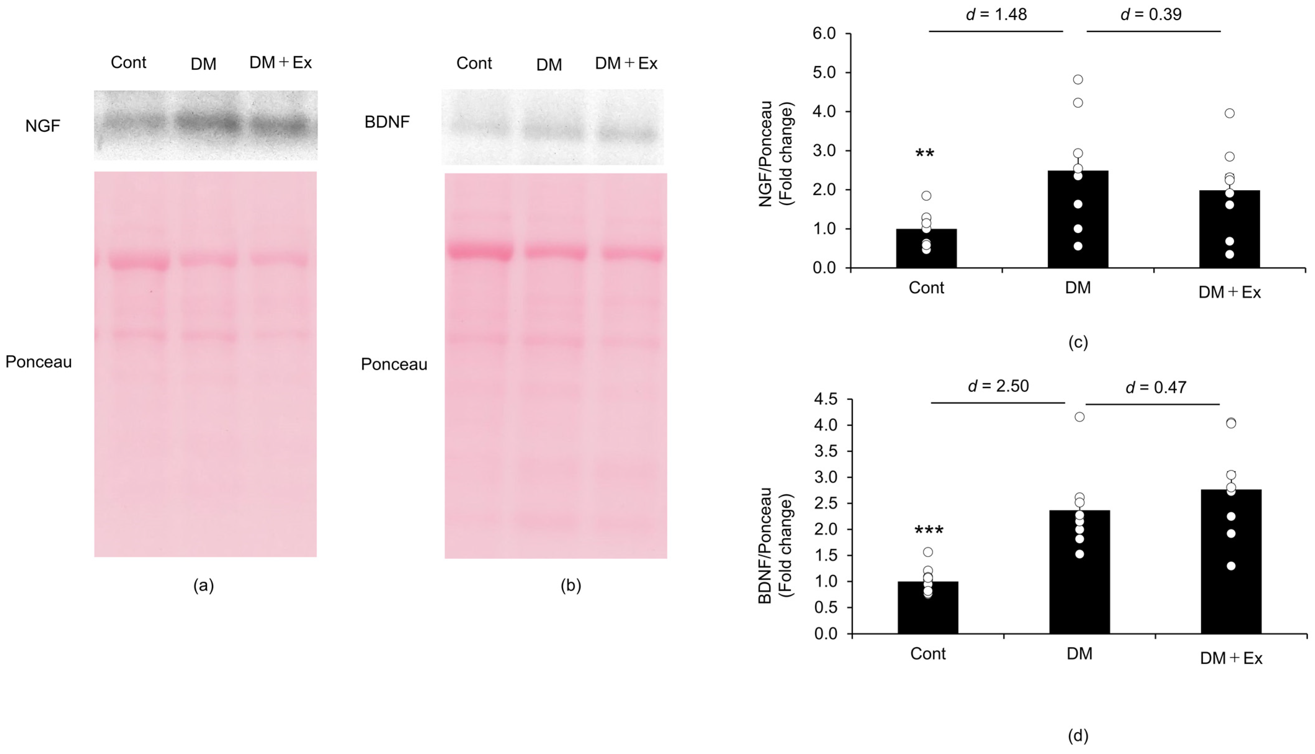
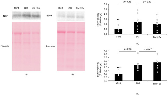
3.6. NGF and BDNF Proteins
4. Discussion
5. Conclusions
Author Contributions
Funding
Institutional Review Board Statement
Informed Consent Statement
Data Availability Statement
Conflicts of Interest
References
- Ogurtsova, K.; da Rocha Fernandes, J.D.; Huang, Y.; Linnenkamp, U.; Guariguata, L.; Cho, N.H.; Cavan, D.; Shaw, J.E.; Makaroff, L.E. IDF Diabetes Atlas: Global estimates for the prevalence of diabetes for 2015 and 2040. Diabetes Res. Clin. Pract. 2017, 128, 40–50. [Google Scholar] [CrossRef]
- Feldman, E.L.; Callaghan, B.C.; Pop-Busui, R.; Zochodne, D.W.; Wright, D.E.; Bennett, D.L.; Bril, V.; Russell, J.W.; Viswanathan, V. Diabetic neuropathy. Nat. Rev. Dis. Primers. 2019, 5, 41. [Google Scholar] [CrossRef]
- Tesfaye, S. Recent advances in the management of diabetic distal symmetrical polyneuropathy. J. Diabetes Investig. 2011, 2, 33–42. [Google Scholar] [CrossRef]
- Parasoglou, P.; Rao, S.; Slade, J.M. Declining skeletal muscle function in diabetic peripheral neuropathy. Clin. Ther. 2017, 39, 1085–1103. [Google Scholar] [CrossRef]
- Ishizawa, M. Falls and fracture risk with diabetes. Jpn. J. Fall Prev. 2020, 7, 11–16. [Google Scholar]
- Cunha, J.M.; Jolivalt, C.G.; Ramos, K.M.; Gregory, J.A.; Calcutt, N.A.; Mizisin, A.P. Elevated lipid peroxidation and DNA oxidation in nerve from diabetic rats: Effects of aldose reductase inhibition, insulin, and neurotrophic factors. Metabolism 2008, 57, 873–881. [Google Scholar] [CrossRef][Green Version]
- Figueroa-Romero, C.; Sadidi, M.; Feldman, E.L. Mechanisms of disease: The oxidative stress theory of diabetic neuropathy. Rev. Endocr. Metab. Disord. 2008, 9, 301–314. [Google Scholar] [CrossRef] [PubMed]
- Kumar, A.; Kaundal, R.K.; Iyer, S.; Sharma, S.S. Effects of resveratrol on nerve function, oxidative stress, and DNA fragmentation in experimental diabetic neuropathy. Life Sci. 2007, 80, 1236–1244. [Google Scholar] [CrossRef] [PubMed]
- American Diabetes Association. Standards of medical care in diabetes, 2014. Diabetes Care 2014, 37 (Suppl. S1), S14–S80. [Google Scholar] [CrossRef] [PubMed]
- Suzuki, K. Exercise therapy for diabetic peripheral neuropathy: To date. Jpn. J. Phys. Ther. Diabet. Mel. 2023, 2, 83–93. [Google Scholar]
- Arshadi, S.; Bakhtiyari, S.; Haghani, K.; Valizadeh, A. Effects of fenugreek seed extract and swimming endurance training on plasma glucose and cardiac antioxidant enzyme activity in streptozotocin-induced diabetic rats. Osong Public Health Res. Perspect. 2015, 6, 87–93. [Google Scholar] [CrossRef]
- Kanter, M.; Aksu, F.; Takir, M.; Kostek, O.; Kanter, B.; Oymagil, A. Effects of low-intensity exercise against apoptosis and oxidative stress in streptozotocin-induced diabetic rat hearts. Exp. Clin. Endocrinol. Diabetes 2017, 125, 583–591. [Google Scholar] [CrossRef]
- Rahmati, M.; Keshvari, M.; Mirnasouri, R.; Chehelcheraghi, F. Exercise and Urtica dioica extract ameliorates hippocampal insulin signaling, oxidative stress, neuroinflammation, and cognitive function in STZ-induced diabetic rats. Biomed. Pharmacother. 2021, 139, 111577. [Google Scholar] [CrossRef]
- Chen, G.Q.; Mou, C.Y.; Yang, Y.Q.; Wang, S.; Zhao, Z.W. Exercise training has beneficial anti-atrophic effects by inhibiting oxidative stress-induced MuRF1 upregulation in rats with diabetes. Life Sci. 2011, 4, 44–49. [Google Scholar] [CrossRef] [PubMed]
- Amaral, L.S.B.; Souza, C.S.; Volpini, R.A.; Shimizu, M.H.M.; de Bragança, A.C.; Canale, D.; Seguro, A.C.; Coimbra, T.M.; de Magalhães, A.C.M.; Soares, T.J. Previous exercise training reduces markers of renal oxidative stress and inflammation in streptozotocin-induced diabetic female rats. J. Diabetes Res. 2018, 29, 6170352. [Google Scholar] [CrossRef] [PubMed]
- Chakraphan, D.; Sridulyakul, P.; Thipakorn, B.; Bunnag, S.; Huxley, V.H.; Patumraj, S. Attenuation of endothelial dysfunction by exercise training in STZ-induced diabetic rats. Clin. Hemorheol. Microcirc. 2005, 32, 217–226. [Google Scholar] [PubMed]
- Nonaka, K.; Une, S.; Tatsuta, N.; Ito, K.; Akiyama, J. Changes in antioxidant enzymes and lipid peroxidation in the extensor digitorum longus muscle of streptozotocin-diabetic rats may contribute to muscle atrophy. Acta Physiol. Hung. 2014, 101, 421–428. [Google Scholar] [CrossRef] [PubMed]
- Rahmati, M.; Gharakhanlou, R.; Movahedin, M.; Mowla, S.J.; Khazani, A.; Fouladvand, M.; Jahani Golbar, S. Treadmill training modifies KIF5B motor protein in the STZ-induced diabetic rat spinal cord and sciatic nerve. Arch. Iran. Med. 2015, 18, 94–101. [Google Scholar] [PubMed]
- Eslami, R.; Gharakhanlou, R.; Kazemi, A.; Dakhili, A.B.; Sorkhkamanzadeh, G.; Sheikhy, A. Does endurance training compensate for neurotrophin deficiency following diabetic neuropathy? Iran. Red. Crescent Med. J. 2016, 18, e37757. [Google Scholar] [CrossRef] [PubMed][Green Version]
- Sharma, A.K.; Thomas, P.K. Peripheral nerve structure and function in experimental diabetes mellitus. J. Neurol. Sci. 1974, 23, 1–15. [Google Scholar] [CrossRef]
- Li, Y.; Schellhorn, H.E. Rapid kinetic microassay for catalase activity. J. Biomol. Tech. 2007, 18, 185–187. [Google Scholar]
- Cohen, J. A power primer. Psychol. Bull. 1992, 112, 155–159. [Google Scholar] [CrossRef]
- Al-Rejaie, S.S.; Aleisa, A.M.; Abuohashish, H.M.; Parmar, M.Y.; Ola, M.S.; Al-Hosaini, A.A.; Ahmed, M.M. Naringenin neutralizes oxidative stress and nerve growth factor discrepancies in experimental diabetic neuropathy. Neurol. Res. 2015, 37, 924–933. [Google Scholar] [CrossRef]
- Wang, Q.; Guo, Z.L.; Aori, G.L.; Kong, D.W.; Yang, W.Q.; Zhang, L.; Yu, Y.B. Danhong injection alleviates mechanical allodynia by inhibiting ERK1/2 activation and elevates BDNF levels in the sciatic nerve of diabetic rats. Evid. Based Complement. Altern. Med. 2018, 14, 5798453. [Google Scholar] [CrossRef] [PubMed]
- Fernyhough, P.; Diemel, L.T.; Brewster, W.J.; Tomlinson, D.R. Altered neurotrophin mRNA levels in peripheral nerves and skeletal muscle of experimentally diabetic rats. J. Neurochem. 1995, 64, 1231–1237. [Google Scholar] [CrossRef]
- Zhu, H.; Yu, W.J.; Le, Y.; Wang, W.J.; Li, F.; Gui, T.; Wang, Y.M.; Shi, W.D.; Ding, W.L.; Fan, X.Q. High glucose levels increase the expression of neurotrophic factors associated with p-p42/p44 MAPK in Schwann cells in vitro. Mol. Med. Rep. 2012, 6, 179–184. [Google Scholar] [PubMed]
- Nisticò, G.; Ciriolo, M.R.; Fiskin, K.; Iannone, M.; De Martino, A.; Rotilio, G. NGF restores decrease in catalase activity and increases superoxide dismutase and glutathione peroxidase activity in the brain of aged rats. Free Radic. Biol. Med. 1992, 12, 177–181. [Google Scholar] [CrossRef] [PubMed]
- Mattson, M.P.; Lovell, M.A.; Furukawa, K.; Markesbery, W.R. Neurotrophic factors attenuate glutamate-induced accumulation of peroxides, elevation of intracellular Ca2+ concentration, neurotoxicity, and increased antioxidant enzyme activity in hippocampal neurons. J. Neurochem. 1995, 65, 1740–1751. [Google Scholar] [CrossRef] [PubMed]
- Jackson, G.R.; Apffel, L.; Werrbach-Perez, K.; Perez-Polo, J.R. Role of nerve growth factor in oxidant-antioxidant balance and neuronal injury. Stimulation of hydrogen peroxide resistance. J. Neurosci. Res. 1990, 25, 360–368. [Google Scholar] [CrossRef] [PubMed]
- Chis, I.C.; Clichici, A.; Nagy, A.L.; Oros, A.; Catoi, C.; Clichici, S. Quercetin in association with moderate exercise training attenuates injuries induced by experimental diabetes in sciatic nerves. J. Physiol. Pharmacol. 2017, 68, 877–886. [Google Scholar]
- Ghoweba, R.E.; Khowailed, A.A.; Aboulhoda, B.E.; Rashed, L.A.; Selmy, A. Synergistic role of resveratrol and exercise training in management of diabetic neuropathy and myopathy via SIRT1/NGF/GAP43 linkage. Tissue Cell 2023, 81, 102014. [Google Scholar] [CrossRef] [PubMed]
- Alp, H.; Varol, S.; Celik, M.M.; Altas, M.; Evliyaoglu, O.; Tokgoz, O.; Tanrıverdi, M.H.; Uzar, E. Protective effects of beta glucan and gliclazide on brain tissue and sciatic nerve of diabetic rats induced by streptozosin. Exp. Diabetes Res. 2012, 2012, 230342. [Google Scholar] [CrossRef] [PubMed]
- Chen, Y.W.; Chiu, C.C.; Hsieh, P.L.; Hung, C.H.; Wang, J.J. Treadmill training combined with insulin suppresses diabetic nerve pain and cytokines in rat sciatic nerves. Anesth. Analg. 2015, 121, 239–246. [Google Scholar] [CrossRef] [PubMed]
- Nemoto, K.; Oh-Ishi, S.; Itoh, M.; Saito, T.; Ichiwata, T. Urinary 8-hydroxydeoxyguanosine is a potential indicator for estimating pulmonary rehabilitation-induced oxidative stress in COPD patients. Tohoku J. Exp. Med. 2014, 233, 197–204. [Google Scholar] [CrossRef] [PubMed]
- Shankarappa, S.A.; Piedras-Rentería, E.S.; Stubbs, E.B., Jr. Forced exercise delays neuropathic pain in experimental diabetes: Effects on voltage-activated calcium channels. J. Neurochem. 2011, 118, 224–236. [Google Scholar] [CrossRef] [PubMed]
- Gholami, F.; Nikookheslat, S.; Salekzamani, Y.; Boule, N.; Jafari, A. Effect of aerobic training on nerve conduction in men with type 2 diabetes and peripheral neuropathy: A randomized controlled trial. Neurophysiol. Clin. 2018, 48, 195–202. [Google Scholar] [CrossRef] [PubMed]
- Lee, E.C.; Kim, M.O.; Roh, G.H.; Hong, S.E. Effects of exercise on neuropathy in streptozotocin-induced diabetic rats. Ann. Rehabil. Med. 2017, 41, 402–412. [Google Scholar] [CrossRef] [PubMed]
- Beigi, S.; Shabkhiz, F.; Kordi, M.; Haghi-Ashtiani, B.; Hashemi-Madani, N.; Zmijewski, P. The Effects of a 10-week aerobic and unilateral lower extremity resistance training program on amplitude and nerve conduction velocity of sensory and motor nerves in diabetic patients with neuropathy. J. Hum. Kinet. 2023, 87, 93–103. [Google Scholar] [CrossRef]
- Gulsen, I.; Demiroglu, M.; Aycan, A.; Ucler, R.; Alaca, I.; Orhon, Z.N.; Kanter, M. Effects of low-intensity treadmill exercise on sciatic nerve in experimental diabetic neuropathy. Anal. Quant. Cytopathol. Histpathol. 2016, 38, 95–102. [Google Scholar]
- Do, J.G.; Noh, S.U.; Chae, S.W.; Yoon, K.J.; Lee, Y.T. Excessive walking exercise precipitates diabetic neuropathic foot pain: Hind paw suspension treadmill exercise experiment in a rat model. Sci. Rep. 2020, 10, 10498. [Google Scholar] [CrossRef]
- Tiong, Y.L.; Ng, K.Y.; Koh, R.Y.; Ponnudurai, G.; Chye, S.M. Melatonin prevents oxidative stress-induced mitochondrial dysfunction and apoptosis in high glucose-treated Schwann cells via upregulation of Bcl2, NF-κB, mTOR, Wnt signalling pathways. Antioxidants 2019, 8, 198. [Google Scholar] [CrossRef] [PubMed]
- Li, H.; Shen, Z.; Lu, Y.; Lin, F.; Wu, Y.; Jiang, Z. Muscle NT-3 levels increased by exercise training contribute to the improvement in caudal nerve conduction velocity in diabetic rats. Mol. Med. Rep. 2012, 6, 69–74. [Google Scholar] [PubMed]
- Selagzi, H.; Buyukakilli, B.; Cimen, B.; Yilmaz, N.; Erdogan, S. Protective and therapeutic effects of swimming exercise training on diabetic peripheral neuropathy in streptozotocin-induced diabetic rats. J. Endocrinol. Investig. 2008, 31, 971–978. [Google Scholar] [CrossRef] [PubMed]




| Cont (n = 10) | DM (n = 9) | DM + Ex (n = 8) | One-Way ANOVA | Effect Size d Value | ||
|---|---|---|---|---|---|---|
| p-Value | Con vs. DM | DM vs. DM + Ex | ||||
| MNVC (m/s) | 45.1 ± 0.9 | 32.2 ± 1.1 *** | 36.0 ± 1.4 † | <0.001 | 4.25 | 1.06 |
| Cont (n = 10) | DM (n = 9) | DM + Ex (n = 8) | One-Way ANOVA | Effect Size d Value | ||
|---|---|---|---|---|---|---|
| p-Value | Con vs. DM | DM vs. DM + Ex | ||||
| Catalase (U/mg of protein) | 10.70 ± 0.93 | 8.20 ± 0.63 | 8.93 ± 0.82 | 0.092 | 1.00 | 0.35 |
| GPx (mU/mg of protein) | 0.66 ± 0.07 | 0.86 ± 0.10 | 0.81 ± 0.09 | 0.235 | 0.76 | 0.17 |
| SOD (U/mg of protein) | 1.01 ± 0.14 | 1.64 ± 0.22 * | 1.46 ± 0.09 | 0.029 | 1.12 | 0.36 |
Disclaimer/Publisher’s Note: The statements, opinions and data contained in all publications are solely those of the individual author(s) and contributor(s) and not of MDPI and/or the editor(s). MDPI and/or the editor(s) disclaim responsibility for any injury to people or property resulting from any ideas, methods, instructions or products referred to in the content. |
© 2024 by the authors. Licensee MDPI, Basel, Switzerland. This article is an open access article distributed under the terms and conditions of the Creative Commons Attribution (CC BY) license (https://creativecommons.org/licenses/by/4.0/).
Share and Cite
Nonaka, K.; Akiyama, J.; Une, S. Exercise May Increase Oxidative Stress in the Sciatic Nerve in Streptozotocin-Induced Diabetic Rats. Medicina 2024, 60, 480. https://doi.org/10.3390/medicina60030480
Nonaka K, Akiyama J, Une S. Exercise May Increase Oxidative Stress in the Sciatic Nerve in Streptozotocin-Induced Diabetic Rats. Medicina. 2024; 60(3):480. https://doi.org/10.3390/medicina60030480
Chicago/Turabian StyleNonaka, Koji, Junichi Akiyama, and Satsuki Une. 2024. "Exercise May Increase Oxidative Stress in the Sciatic Nerve in Streptozotocin-Induced Diabetic Rats" Medicina 60, no. 3: 480. https://doi.org/10.3390/medicina60030480
APA StyleNonaka, K., Akiyama, J., & Une, S. (2024). Exercise May Increase Oxidative Stress in the Sciatic Nerve in Streptozotocin-Induced Diabetic Rats. Medicina, 60(3), 480. https://doi.org/10.3390/medicina60030480

