Takayasu’s Arteritis: A Special Case Report and Review of the Literature
Abstract
1. Introduction
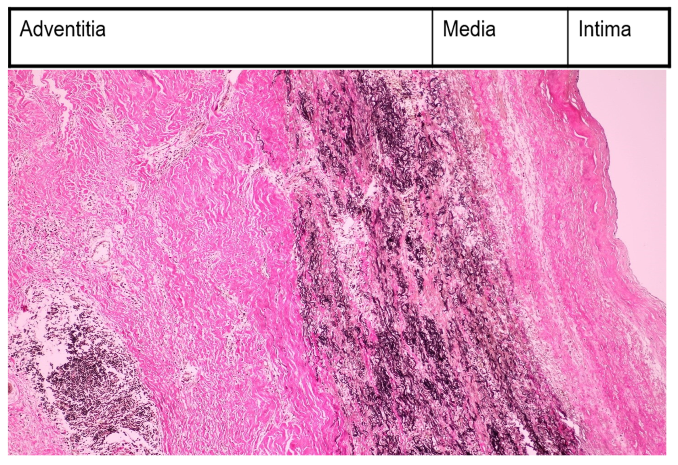
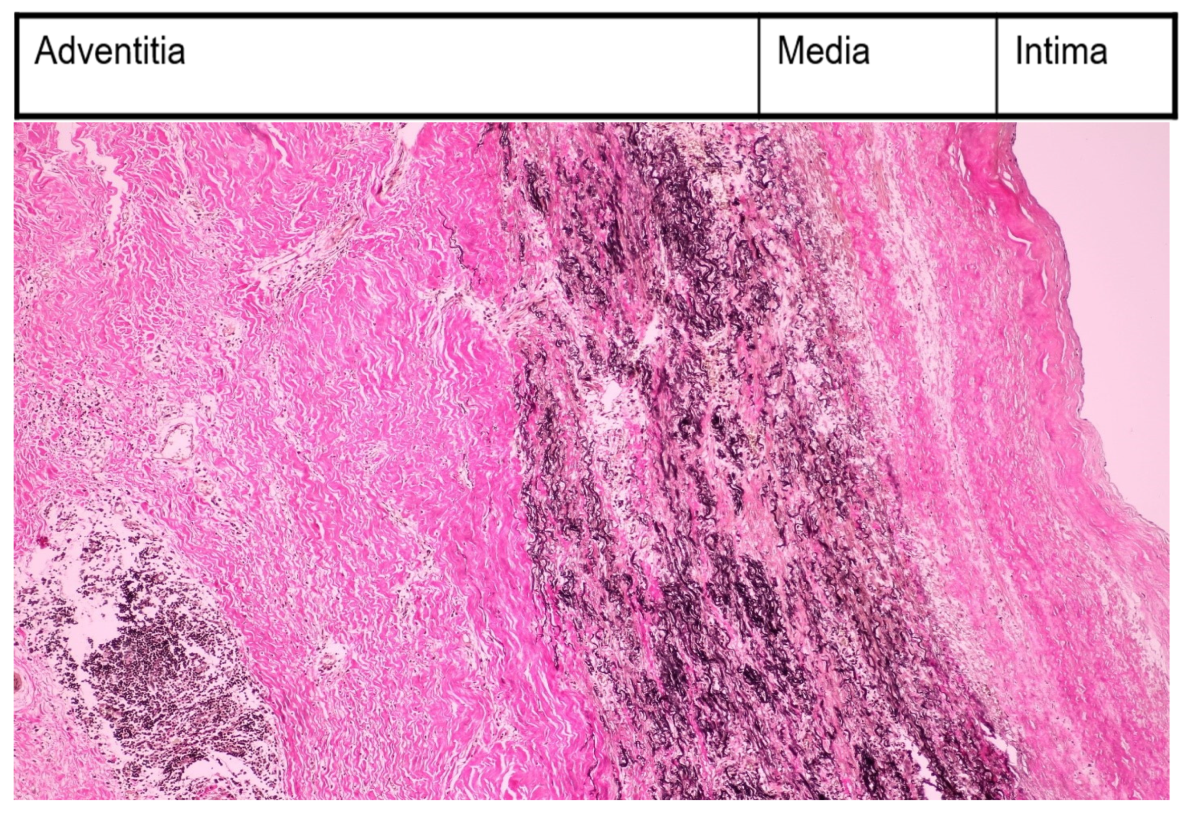
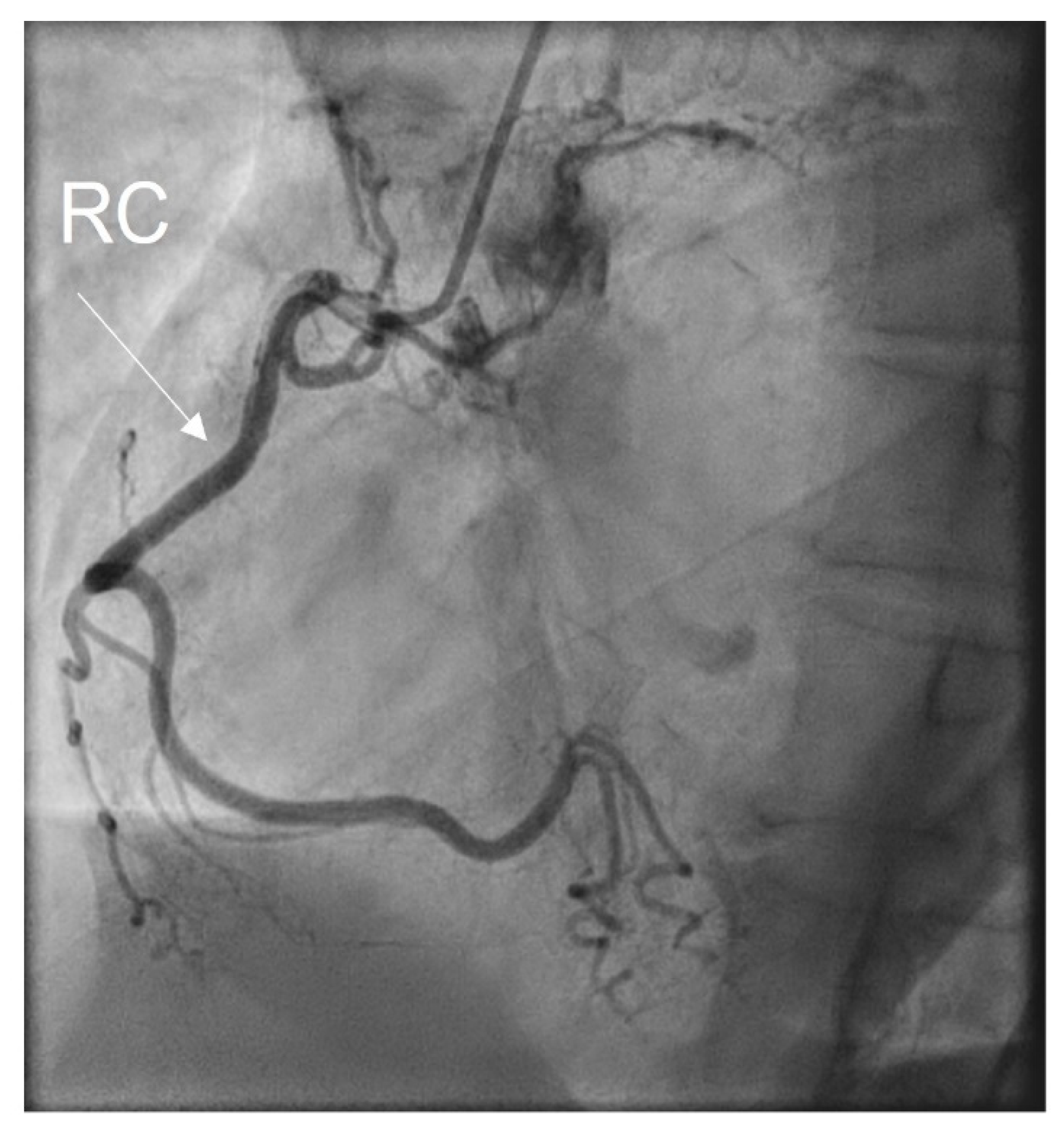
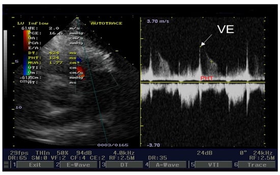
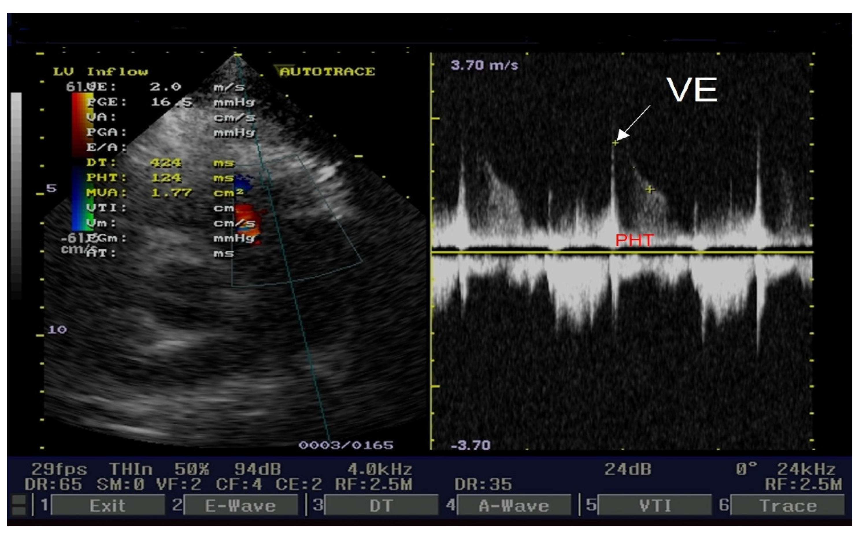
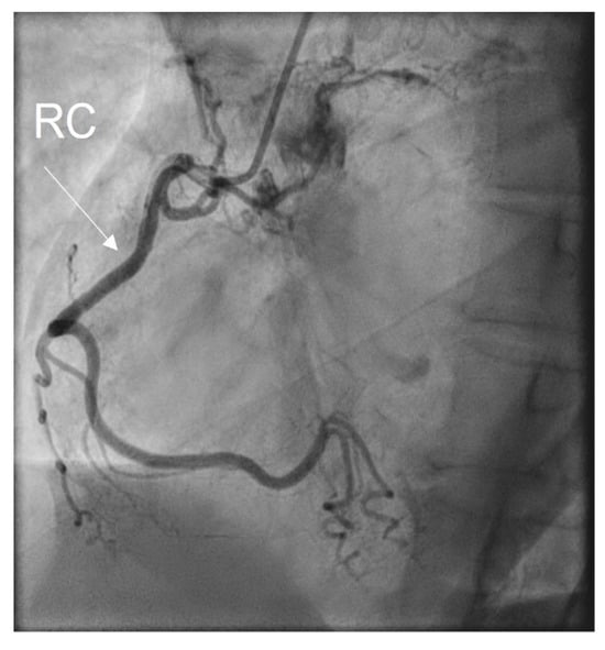
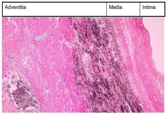
2. Case Presentation
3. Discussion
4. Conclusions
Author Contributions
Funding
Institutional Review Board Statement
Informed Consent Statement
Data Availability Statement
Acknowledgments
Conflicts of Interest
References
- Tombetti, E.; Sarzi-Puttini, P. Takayasu’s arteritis: Recent advances and clinical pitfalls. Beyond Reum. 2022, 4, e400. [Google Scholar] [CrossRef]
- Desiron, Q.; Zeaiter, R. Takayasu arteritis. Acta Chir. Belg. 2000, 100, 1–6. [Google Scholar] [CrossRef]
- Fields, C.E.; Bower, T.C.; Cooper, L.T.; Hoskin, T.; Noel, A.A.; Panneton, J.M.; Sullivan, T.M.; Glovicki, P.; Cherry, K.J.C. Takayasu arteritis: Operative rsults, and influence of disease activity. J. Vasc. Surg. 2006, 43, 64–71. [Google Scholar] [CrossRef]
- Takayasu, M. A case with peculiar changes of the retinal central vessels. Acta Soc. Ophtal. Jpn. 1908, 12, 554–555. [Google Scholar]
- Poignet, B.; Bonnin, P.; Gaudric, J.; Chehaibou, I.; Vautier, M.; Tadayoni, R.; Gaudric, A.; Paques, M.; Bodaghi, B.; Saadoun, D.; et al. Correlation between Ultra-Wide-Field Retinal Imaging Findings and Vascular Supra-Aortic Changes in Takayasu Arteritis. Clin. Med. 2021, 10, 4916. [Google Scholar] [CrossRef] [PubMed]
- Arend, W.P.; Michel, B.A.; Bloch, D.A.; Hunder, G.G.; Calabrese, L.H.; Edworthy, S.M.; Fauci, A.S.; Leavitt, R.Y.; Lie, J.T.; Lightfoot, W.R.; et al. The ACR 1990 criteria for the classification of Takayasu’s arteritis. Arthritis Rheum. 1990, 33, 1129–1134. [Google Scholar] [CrossRef]
- Grayson, P.C.; Ponte, C.; Suppiah, R.; Robson, C.J.; Gribbons, K.B.; Judge, A.; Craven, A.; Kalid, S.; Hutchings, A.; Danda, D.; et al. 2022 ACR/EULAR classification criteria for Takayasu’s arteritis. Ann. Rheum. Dis. 2022, 81, 1654–1660. [Google Scholar] [CrossRef] [PubMed]
- Betrains, A.; Blockmans, D. Diagnostic Approaches for Large Vessel Vasculitides. Open Access Rheumatol. 2021, 13, 153–165. [Google Scholar] [CrossRef] [PubMed]
- Dejaco, C.; Ramiro, S.; Bond, M.; Bosch, P.; Ponti, C.; Mackie, S.L.; Bley, T.A.; Blockmans, D.; Brolin, C.S.; Bolek, E.K.; et al. EULAR recommendations for the use of imaging in large vessel vasculitis in clinical practice: 2023 update. Ann. Rheum. Dis. 2023. [Google Scholar] [CrossRef] [PubMed]
- Marvisi, C.; Bolek, E.C.; Alman, M.A.; Alessi, H.; Redmond, C.; Muratore, F.; Galli, E.; Ricordi, C.; Kaymaz-Tahra, S.; Ozguven, S.; et al. Development of the Takayasu’s arteritis integrated disease activity index. Arthritis Care Res. 2023, 74, 4427–4429. [Google Scholar] [CrossRef]
- Inder, S.J.; Bobryshev, Y.V.; Cherian, M.S.; Wang, A.Y.; Lord, R.S.; Masuda, K.; Yutani, C. Immunophenothypic analysis of the aortic wall in Takayasu’s arteritis: Involvement of lymphocytes, dendritic cells and granulocytes in immunoinflammatory reaction. Cardiovasc. Surg. 2000, 8, 141–148. [Google Scholar] [CrossRef] [PubMed]
- La Barbera, L.; Rizzo, C.; Camarda, F.; Micelli, G.; Tuttolomondo, A.; Guggino, G. The contribution of innate immunity in large-vessel vasculitis: Detangling new pathomechanisms beyond the onset of vascular inflammation. Cells 2024, 13, 271. [Google Scholar] [CrossRef] [PubMed]
- Zhang, Y.; Fan, P.; Luo, F.; Zhang, H.M.; Son, L.; Ma, W.J.; Wu, H.Y.; Cai, J.; Wang, L.P.; Zhou, X.L. Tuberculosis in Takayasu’s arteritis: A retrospective study in 1105 Chinese patients. J. Geriatr. Cardiol. 2019, 16, 648–655. [Google Scholar] [CrossRef]
- As, C.; Danda, D. Current Diagnosis and Management of Takayasu Arteritis. Int. Heart J. 2023, 64, 519–534. [Google Scholar] [CrossRef]
- Saadoun, D.; Bura-Riviere, A.; Comarmond, C.; Lambert, M.; Redheuil, A.; Mirault, T. French recommendations for the management of Takayasu’s arteritis. Orphanet J. Rare Dis. 2021, 16, 311. [Google Scholar] [CrossRef]
- Regola, F.; Uzzo, M.; Toniati, P.; Trezzi, B.; Sinico, R.A.; Franceschini, F. Novel Therapies in Takayasu Arteritis. Front. Med. 2022, 8, 814075. [Google Scholar] [CrossRef]
- Bonelli, M.; Kerschbaumer, A.; Kastrati, K.; Goreschi, K.; Godina, M.; Heinz, L.X.; Smolen, J.S.; Aletaha, D.; O’Sheea, J.; Laurence, D. Selectivity, efficacy and safety of JAKinibs: New evidence for a still sevolving story. Ann. Rheum. Dis. BMJ J. 2024, 83, 139–160. [Google Scholar] [CrossRef] [PubMed]
- Misra, D.P.; Jain, N.; Ora, M.; Singh, K.; Agarwal, V.; Sharma, A. Outcome Measures and Biomarkers for Disease Assessment in Takayasu Arteritis. Diagnostics 2022, 12, 2565. [Google Scholar] [CrossRef]
- van der Heijde, D.; Aletaha, D.; Carmona, L.; Edwards, C.J.; Kvien, T.K.; Kouloumas, M.; Machado, P.; Oliver, S.; de Wit, M.; Dougados, M. 2014 update of the EULAR standardised operating procedures for EULAR-endorsed recommendations. Ann. Rheum. Dis. 2015, 74, 8–13. [Google Scholar] [CrossRef]
- Comarmond, C.; Biard, L.; Lambert, M.; Mekinian, A.; Ferfar, Y.; Kahn, J.E.; Benhamou, Y.; Chiche, L.; Koskas, K.; Cluzel, P.; et al. Long-term outcomes and prognostic factors of complications Takayasu’s arteritis. Circulation 2017, 136, 1114–1122. [Google Scholar] [CrossRef]
- Espitia, O.; Bruneval, P.; Assaraf, M.; Pouchot, J.; Liozon, E.; de Boysson, H.; Gaudric, J.; Cliché, L.; Achouch, P.; Rousell, J.C.; et al. Long-Term Outcome and Prognosis of Noninfectious Thoracic Aortitis. J. Am. Coll. Cardiol. 2023, 82, 1053–1064. [Google Scholar] [CrossRef]
- Maz, M.; Chung, S.A.; Abril, A.; Langford, C.A.; Gorelik, M.; Guyatt, G.; Archer, A.M.; Conn, D.L.; Full, K.A.; Grayson, P.C.; et al. 2021 American College of Rheumatology/Vasculitis Foundation Guideline for the Management of Giant Cell Arteritis and Takayasu Arteritis. Arthritis Rheumatol. 2021, 73, 1349–1365. [Google Scholar] [CrossRef]
- Marano, P.; Wei, J.; Herz, N.B. Coronary microvascular dysfunction: What clinicians and investigators should know. Curr. Athroscler. Rep. 2023, 25, 435–446. [Google Scholar] [CrossRef]
- Mileva, N.; Nagumo, S.; Mizukami, T.; Sonck, J.; Berry, C.; Gallinoro, E.; Monizzi, G.; Candrea, A.; Munhoz, D.; Vassilev, D.; et al. Prevalence of coronary microvascular disease and coronary vasospasm in patients with nonobstructive coronary artery disease: Systematic review and meta-analysis. J. Am. Heart Assoc. 2022, 11, e023207. [Google Scholar] [CrossRef] [PubMed]
- Mukoyama, H.; Shirakashi, M.; Tanaka, N.; Iwasaki, T.; Nakajima, T.; Onizawa, H.; Tsuji, H.; Kitagori, K.; Akizuki, S.; Nakashima, R.; et al. The clinical features of pulmonary artery involvement in Takayasu arteritis and its relationship with ischemic heart diseases and infection. Arthritis Res. Ther. 2021, 23, 293. [Google Scholar] [CrossRef] [PubMed]
- Kermani, T.; Kaymaz-Tahno, S.; Cuthbertson, D.; Khalidi, N.; Koenig, C.; Langford, C.; Mc Alear, C.; Monach, P.; Moreland, L.; Pagnoux, C.; et al. Assessment of the Extent and Accrual of Damage in Takayasu’s Arteritis. In Proceedings of the ACR Convergence 2023, San Diego, CA, USA, 10–15 November 2023. Abstract number 1567. [Google Scholar]
- Wen, D.; Feng, L.; Du, X.; Dong, J.Z.; Ma, C.S. Biomarkers in Takayasu Arteritis. Int. J. Cardiol. 2023, 371, 413–417. [Google Scholar] [CrossRef] [PubMed]
- De Aguier, M.F.; Torqueto, H.; Salu, B.R.; Oliveira, C.D.; Oliva, M.L.V.; Paredes-Ganero, E.J.; Abdulahh, W.H.; Brower, E.; de Souza, A.W.S. Monocyte subsets and monocytes-related chemokines in Takayasu’s arteritis. Sci. Rep. 2023, 13, 2092. [Google Scholar] [CrossRef] [PubMed]
- Parakh, R.; Yadav, A. Takayasu’s arteritis: An Indian perspective. Eur. J. Vasc. Endovasc. Surg. 2007, 33, 578–582. [Google Scholar] [CrossRef] [PubMed]
- Li, L.; Zhou, F.; Li, F.; Chen, J.; Xie, X. Prevalence of tuberculosis infection among patients with Takayasu’s arteritis: A meta-analysis of observational studies. Sci. Rep. 2023, 13, 22481. [Google Scholar] [CrossRef]
- Almaaitah, S.; Zhang, C.; Villa Forte, A. The utility of imaging studies (MRA and CTA) in long-term monitoring for patients with Takayasu arteritis. Arth. Rheumatol. 2022, 74 (Suppl. S9), 1551. [Google Scholar]
- Arita, Y.; Ishibashi, T.; Nakaoka, Y. Current immunosuppressive treatment for Takayasu arteritis. Circ. J. 2023. [Google Scholar] [CrossRef]
- Joseph, G.; Goel, R.; Thomson, V.S.; Joseph, E.; Danda, D. Takayasu Arteritis: JACC FocusSeminar ¾. JACC 2023, 81, 172–186. [Google Scholar] [CrossRef] [PubMed]
- Mukhtyar, C.; Guillevin, L.; Cid, M.C.; Dasgupta, B.; de Groot, K.; Gross, W.; Hauser, T.; Hellmich, B.; Jayne, D.; Kallenberg, C.G.; et al. EULAR recommendations for the management of large vessel vasculitis. Ann. Rheum. Dis. 2009, 68, 318–323. [Google Scholar] [CrossRef] [PubMed]
- Misra, D.P.; Rathore, U.; Patro, P.; Agarwal, V.; Sharma, A. Disease-modifying anti-rheumatic drugs for the management of Takayasu arteritis—A systematic review and meta-analysis. Clin. Rheumatol. 2021, 40, 4391–4416. [Google Scholar]










| Diagnostic Criteria | Points |
|---|---|
| The diagnosis of medium-vessel large-vessel arteritis; other vasculitis are excluded; age ≤ 60 years | |
| Female sex | +1 |
| Limb claudication | +2 |
| Angina pectoris | +2 |
| Arterial bruit | +2 |
| Diminished pulsation of superior limb arteries | +2 |
| Diminished pulsation of carotid artery | +2 |
| Difference ≥ 20 mmHg between right and left arms | +1 |
| Number of arterial territories involved | +1 to +3 |
| Paired artery affected | +1 |
| Abdominal aorta plus renal/mesenteric arteries affected | +3 |
| Diagnostic Criteria | Points | |
|---|---|---|
| Female sex | +1 | |
| Left carotid artery bruit | +2 | |
| Diminished pulsation of the superior limb arteries | +2 | |
| Blood pressure difference of 30 mmHg between right and left arms | +1 | |
| Total | 6 | |
| Laboratory Findings | 1st Day | 2nd Day | 3rd Day |
|---|---|---|---|
| AST (IU/L) 1 | 32 | 27 | 31 |
| ALT (IU/L) 2 | 25 | 22 | 29 |
| CPK (IU/L) 3 | 48 | 52 | 58 |
| CPK-MB (IU/L) 4 | 2 | 1 | 2 |
| Troponin T (ng/L) | 3.1 | 4.3 | 1.5 |
| Troponin I (ng/L) | 2.6 | 3.7 | 1.4 |
| Diagnostic Criteria | Points | |
|---|---|---|
| Female sex | +1 | |
| Angina pectoris | +2 | |
| Diminished pulsations of the superior limb arteries | +2 | |
| Blood pressure difference of 30 mmHg between right and left arms | +1 | |
| Number of affected arterial territories | +2 | |
| Total | 8 | |
| Disease | Pros | Cons |
|---|---|---|
| Syphilis | aortitis, ascending aorta aneurysm | negative venereal disease research laboratory (VDRL) and rapid plasma reagin (RPR) tests |
| Lupus | Aortitis | negative lupus anticoagulant and anticardiolipin antibodies |
| Rheumatoid arthritis | aortitis | negative rheumatoid factor (RF) and antinuclear antibodies (ANA) |
| Sarcoidosis | aortic aneurysm | CT scan: no mediastinal and hilar lymphadenopathies |
| Marfan syndrome | ascending aorta aneurysm | negative Ghent criteria for Marfan syndrome |
Disclaimer/Publisher’s Note: The statements, opinions and data contained in all publications are solely those of the individual author(s) and contributor(s) and not of MDPI and/or the editor(s). MDPI and/or the editor(s) disclaim responsibility for any injury to people or property resulting from any ideas, methods, instructions or products referred to in the content. |
© 2024 by the authors. Licensee MDPI, Basel, Switzerland. This article is an open access article distributed under the terms and conditions of the Creative Commons Attribution (CC BY) license (https://creativecommons.org/licenses/by/4.0/).
Share and Cite
Moisii, P.; Jari, I.; Naum, A.G.; Butcovan, D.; Tinica, G. Takayasu’s Arteritis: A Special Case Report and Review of the Literature. Medicina 2024, 60, 456. https://doi.org/10.3390/medicina60030456
Moisii P, Jari I, Naum AG, Butcovan D, Tinica G. Takayasu’s Arteritis: A Special Case Report and Review of the Literature. Medicina. 2024; 60(3):456. https://doi.org/10.3390/medicina60030456
Chicago/Turabian StyleMoisii, Paloma, Irina Jari, Alexandru Gratian Naum, Doina Butcovan, and Grigore Tinica. 2024. "Takayasu’s Arteritis: A Special Case Report and Review of the Literature" Medicina 60, no. 3: 456. https://doi.org/10.3390/medicina60030456
APA StyleMoisii, P., Jari, I., Naum, A. G., Butcovan, D., & Tinica, G. (2024). Takayasu’s Arteritis: A Special Case Report and Review of the Literature. Medicina, 60(3), 456. https://doi.org/10.3390/medicina60030456

