Multiple Keratoacanthoma-like Syndromes: Case Report and Literature Review
Abstract
1. Introduction
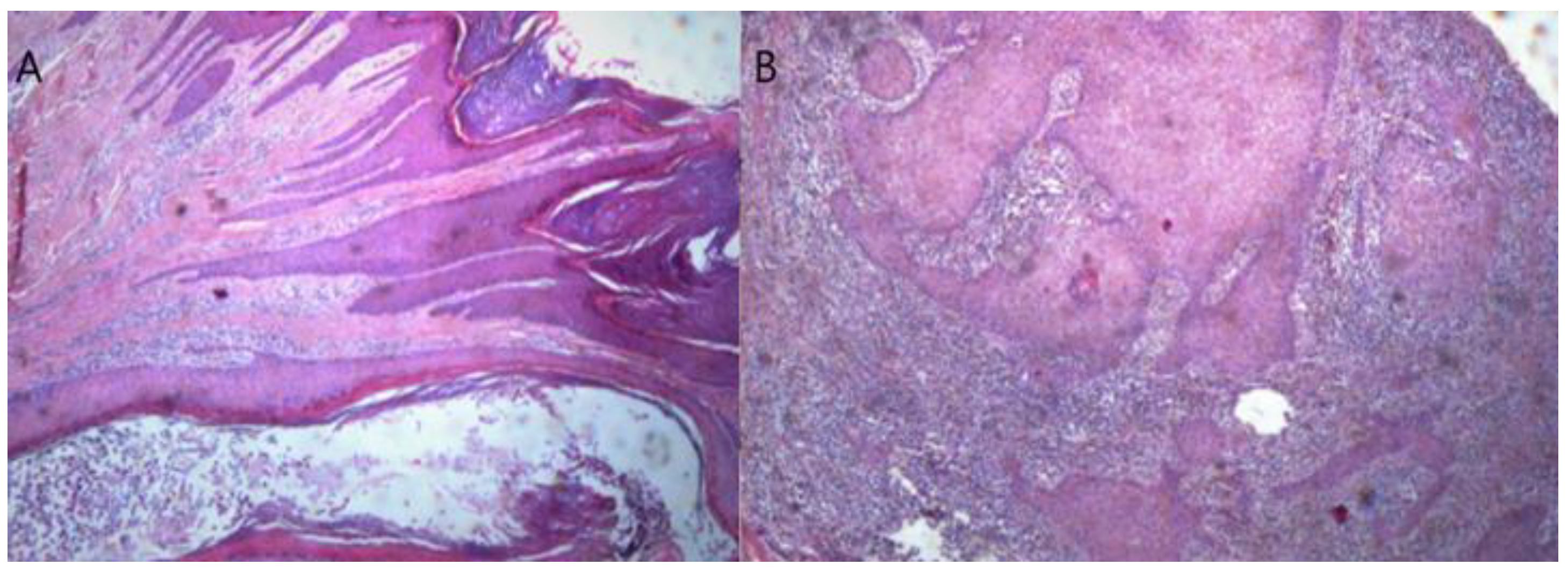
2. Case Report
3. Methods
4. Results
| Study | Diagnosis | Syndrome | Age/Gender | Lesion Description | Lesion Location | Treatment Plan |
|---|---|---|---|---|---|---|
| [19] | Clinical presentation | Eruptive keratoacanthoma of Grzybowski | 80/F | Numerous follicular nodules and crateform tumors | KAs: the legs, arms, and trunk and limbs | Surgical removal of the largest skin lesions, oral acitretin (0.5 mg/kg/day) |
| [20] | Clinical presentation | Eruptive keratoacanthoma of Grzybowski | 64/M | Umbilicated papules and small follicular papules | KAs: face, upper limbs, and trunk; the oral mucosa | Retinoids (no specific treatment reported) |
| [21] | Clinical presentation | Eruptive keratoacanthoma of Grzybowski | 70/F | Numerous follicular papules and several erythematous nodules with keratotic centers | KAs: upper limbs, lower limbs, and trunk | Surgical removal of the largest skin lesions Initial treatment that failed: oral acitretin (0.5 mg/kg/day) Treatment that succeeded: subcutaneous methotrexate (MTX) 15 mg/week |
| [22] | Clinical presentation | Eruptive keratoacanthoma of Grzybowski | 63/M | Hyperkeratotic erythematous nodules | KAs: ear lobe, cheeks, nose, arm, shoulder | Complete excision, sorafenib withdrawal |
| [23] | Clinical presentation | Eruptive keratoacanthoma of Grzybowski | 51/M | Scaly and ulcerated papules and nodules | KAs: upper and lower extremities | Topical imiquimod 5% cream once daily on five continuous days of the week plus lapacho tea dressings |
| [24] | Clinical presentation | Eruptive keratoacanthoma of Grzybowski | 83/F | Multiple skin-colored to erythematous to brownish papules, with a keratotic center | KAs: face | Acitretin up to 25 mg daily |
| [25] | Clinical presentation | Eruptive keratoacanthoma of Grzybowski | 46/F | Keratotic, dome-shaped, follicular-based papules and scattered crateriform keratotic papules | KAs: trunk and extremities | Photodynamic therapy, oral acitretin up to 25 mg daily |
| [26] | Clinical presentation | Eruptive keratoacanthoma of Grzybowski | 66/M | Large keratotic papules | KAs: face, neck, and chest | Acitretin up to 25 mg/d and doxepin |
| [27] | Clinical presentation | Eruptive keratoacanthoma of Grzybowski | 47/F | Skin-colored follicular papules, papules with central umbilication, and larger lesions with a central crater | KAs: face, neck, and trunk | Initial failed treatment approach: acitretin (firstly) and methotrexate (secondly) Cyclophosphamide pulse therapy was then started at a dose of 1 g monthly |
| [27] | Clinical presentation | Eruptive keratoacanthoma of Grzybowski | 59/F | Skin-colored follicular papules, papules with central umbilication, and larger lesions with a central crater | KAs: face, neck, and trunk | Initial failed treatment approach: acitretin (firstly) and methotrexate (secondly) Cyclophosphamide pulse therapy was then started at a dose of 1 g monthly |
| [27] | Clinical presentation | Eruptive keratoacanthoma of Grzybowski | 68/M | Skin-colored follicular papules, papules with central umbilication, and larger lesions with a central crater | KAs: face, neck, and trunk | Initial failed treatment approach: acitretin Lost to follow up |
| [28] | Clinical presentation | Eruptive keratoacanthoma of Grzybowski | 57/F | Multiple papules | KAs: upper trunk, arms and hands | Excision of large lesions Acitretin up to 25 mg daily; cyclophosphamide up to 200 mg daily |
| [29] | Clinical presentation | Eruptive keratoacanthoma of Grzybowski | 71/F | Scattered, hyperkeratotic papules with central ulcers | KAs: right wrist and anterior aspects of the shins | Excision (Mohs’ micrographic surgery) |
| [7] | Clinical presentation | Eruptive keratoacanthoma of Grzybowski | 58/M | Multiple pruritic papules and nodular and papular erythematous lesions | KAs: head, trunk, neck, and shoulder | Initial failed treatment approach: acitretin, 1 mg kg daily; methotrexate, 15 mg weekly; subcutaneous interferon a-2a and psoralen plus ultraviolet (UV) A therapy No successful treatment plan reported |
| Study | Diagnosis | Syndrome | Age/Gender | Lesion Description | Lesion Location | Treatment Plan |
|---|---|---|---|---|---|---|
| [30] | Heterozygote mutation of the MSH2 gene | Muir–Torre syndrome | 35/M | Large-growing nodule | Well-differentiated cSCC or KA: cheek | Excision and plastic reconstruction |
| [31] | Deletion in the MSH2 MMR gene | Muir–Torre syndrome | 41/M | Keratotic tumor with central crust | KA: finger (thumbnail) | Excision and curettage |
| [32] | Clinical presentation (existence of multiple cancers) | Muir–Torre syndrome | 53/M | Small nodule | cSCC: nasal nostril | Resection |
| [33] | Mutations in MSH6 and MLH1 | Muir–Torre syndrome and Turcot syndrome | 49/M | New dome-shaped nodule | cSCC: antecubital fossa | Pembrolizumab (200 mg) |
| [34] | Clinical presentations (medical history of occurrence of multiple cancers) | Muir–Torre syndrome | 60/M | Dome-shaped lesions | KA: penis and face | Excision |
| [35] | Mutation and loss of hMSH2 | Muir–Torre syndrome | 56/F | Large, irregularly shaped crater filled with keratin | cSCC-KA: face | Resection |
| Study | Diagnosis | Syndrome | Age/Gender | Lesion Description | Lesion Location | Treatment |
|---|---|---|---|---|---|---|
| [36] | Clinical presentation | Incontinentia pigmenti | 54/F | KAs: discolored patches of skin | Nail bed and fingers | Ablation or excision of the underlying nail bed with a subsequent skin graft |
| [9] | Clinical presentation | Incontinentia pigmenti | 17/F | KAs: multiple large hyperkeratotic tumors within Blaschkoid hyperpigmented patches | Leg | Intralesional methotrexate |
5. Discussion
6. Conclusions
Author Contributions
Funding
Institutional Review Board Statement
Informed Consent Statement
Data Availability Statement
Conflicts of Interest
References
- Tisack, A.; Fotouhi, A.; Fidai, C.; Friedman, B.J.; Ozog, D.; Veenstra, J. A Clinical and Biological Review of Keratoacanthoma*. Br. J. Dermatol. 2021, 185, 487–498. [Google Scholar] [CrossRef]
- Karampinis, E.; Lallas, A.; Lazaridou, E.; Errichetti, E.; Apalla, Z. Race-Specific and Skin of Color Dermatoscopic Characteristics of Skin Cancer: A Literature Review. Dermatol. Pract. Concept. 2023, 13, e2023311S. [Google Scholar] [CrossRef]
- Watanabe, I.C.; Magalhães, R.F.; de Moraes, A.M.; Stelini, R.F.; Cintra, G.F.; Metze, K.; Cintra, M.L. Keratoacanthoma and Keratoacanthoma-Like Squamous Cell Carcinoma. Medicine 2015, 94, e934. [Google Scholar] [CrossRef]
- Dominiak, N.; Hayes, B.; Swick, J.; Leach, B.; Maize, J.; Ralston, J. Kera-toacanthoma Centrifugum Marginatum: A Diagnostic and Therapeutic Challenge. JAAD Case Rep. 2016, 2, 206–208. [Google Scholar] [CrossRef]
- Pancholi, A.; Collins, D.; Lindley, R.; Gandhi, P. Muir–Torre Syndrome: A Case Report and Screening Recommendations. Ann. R. Coll. Surg. Engl. 2008, 90, 9–10. [Google Scholar] [CrossRef] [PubMed]
- Goudie, D. Multiple Self-Healing Squamous Epithelioma (MSSE): A Di-genic Trait Associated with Loss of Function Mutations in TGFBR1 and Variants at a Second Linked Locus on the Long Arm of Chromosome 9. Genes 2020, 11, 1410. [Google Scholar] [CrossRef] [PubMed]
- Consigli, J.E.; GonzÁlez, M.E.; Morsino, R.; Guidi, A.; Chappuis, J.M.; Papa, M.; Maldonado, S. Generalized Eruptive Keratoacanthoma (Grzybowski Variant). Br. J. Dermatol. 2000, 142, 800–803. [Google Scholar] [CrossRef] [PubMed]
- Agarwal, M.; Chander, R.; Karmakar, S.; Walia, R. Multiple Familial Kera-toacanthoma of Witten and Zak—A Report of Three Siblings. Dermatology 1999, 198, 396–399. [Google Scholar] [CrossRef]
- Barros, B.; Helm, K.; Zaenglein, A.; Seiverling, E. Keratoacanthoma-Like Growths of Incontinentia Pigmenti Successfully Treated with Intralesional Methotrexate. Pediatr. Dermatol. 2017, 34, e203–e204. [Google Scholar] [CrossRef]
- Broesby-Olsen, S.; Bygum, A.; Gerdes, A.; Brandrup, F. Multiple Self-Healing Squamous Epithelioma of Ferguson-Smith: Observations in a Danish Family Covering Four Generations. Acta Derm. Venereol. 2008, 88, 52–56. [Google Scholar] [CrossRef] [PubMed]
- Robertson, S.J.; Bashir, S.J.; Pichert, G.; Robson, A.; Whittaker, S. Severe Exacerbation of Multiple Self-Healing Squamous Epithelioma (Ferguson–Smith Disease) with Radiotherapy, Which Was Successfully Treated with Acitretin. Clin. Exp. Dermatol. 2010, 35, e100–e102. [Google Scholar] [CrossRef] [PubMed]
- Simpkin, S.; Lamont, D.; Yung, A. A Puzzling Case: SCC or Not? Australas. J. Dermatol. 2013, 54, e74–e77. [Google Scholar] [CrossRef]
- Feldmeyer, L.; Szeverényi, I.; Mandallaz, M.; Lane, E.B.; Hohl, D. Late-Onset Multiple Self-Healing Squamous Epithelioma Ferguson-Smith Re-currence Induced by Radiotherapy. Case Rep. Dermatol. 2016, 8, 344–349. [Google Scholar] [CrossRef] [PubMed]
- Zhu, P.; Wang, Y. Multiple Keratoacanthomas in a Patient with Myelo-dysplastic Syndrome. Lancet Haematol. 2021, 8, e94. [Google Scholar] [CrossRef] [PubMed]
- Feldman, R.J.; Maize, J.C. Multiple Keratoacanthomas in a Young Wom-an: Report of a Case Emphasizing Medical Management and a Review of the Spectrum of Multiple Keratoacanthomas. Int. J. Dermatol. 2007, 46, 77–79. [Google Scholar] [CrossRef]
- Aydin, F.; Senturk, N.; Sabanciler, E.; Canturk, M.T.; Turanli, A.Y. A Case of Ferguson–Smith Type Multiple Keratoacanthomas Associated with Keratoacanthoma Centrifugum Marginatum: Response to Oral Acitretin. Clin. Exp. Dermatol. 2007, 32, 683–686. [Google Scholar] [CrossRef]
- Litaiem, N.; Khammouma, F.; Mrad, M.; Bacha, T.; Belhadj Kacem, L.; Zeglaoui, F. Multiple Keratoacanthomas of Ferguson-Smith Type. Clin. Case Rep. 2022, 10, e06429. [Google Scholar] [CrossRef]
- Pham, F.; Buiret, G.; Bonnet-Dupeyron, M.-N.; Beschet, I.; Skowron, F. Multiple and Aggressive Keratoacanthomas Associated with Ferguson-Smith Syndrome, Successfully Treated by Cetuximab and Cisplatin. Eur. J. Dermatol. 2021, 31, 271–272. [Google Scholar] [CrossRef]
- Mascitti, H.; De Masson, A.; Brunet-Possenti, F.; Bouaziz, J.-D.; Laly, P.; Mourad, N.; Garrigues, J.-M.; Laurent-Roussel, S.; Cavelier-Balloy, B.; Moulonguet, I.; et al. Successful Treatment of Generalized Eruptive Kera-toacanthoma of Grzybowski with Acitretin. Dermatol. Ther. 2019, 9, 383–388. [Google Scholar] [CrossRef]
- Rotola, A.; Musmeci, D.; Gentili, V.; Reale, D.; Borghi, A.; Rizzo, R.; Co-razza, M. Generalized Eruptive Keratoacanthoma of the Grzybowski Type: Some Considerations on Treatment and Pathogenesis. Int. J. Dermatol. 2019, 58, e242–e245. [Google Scholar] [CrossRef]
- Federica, F.; Carpanese, M.A.; Sacchelli, L.; Loi, C.; Chessa, M.A.; Bardazzi, F. Two Birds with One Stone: Successful Treatment with Methotrexate in a Patient with Generalized Eruptive Keratoacanthoma of Grzybowski and Rheumatoid Arthritis. Dermatol. Ther. 2022, 35, e15787. [Google Scholar] [CrossRef]
- Abbas, M.N.; Tan, W.S.; Kichenadasse, G. Sorafenib-Related Generalized Eruptive Keratoacanthomas (Grzybowski Syndrome): A Case Report. J. Med. Case Rep. 2021, 15, 481. [Google Scholar] [CrossRef]
- Havenith, R.; de Vos, L.; Fröhlich, A.; Braegelmann, C.; Sirokay, J.; Landsberg, J.; Wenzel, J.; Bieber, T.; Niebel, D. Grzybowski’s Generalized Eruptive Keratoacanthomas in a Patient with Terminal Kidney Disease—An Unmet Medical Need Equally Ameliorated by Topical Imiquimod Cream and Lapacho Tea Wraps: A Case Report. Dermatol. Ther. 2021, 11, 625–638. [Google Scholar] [CrossRef] [PubMed]
- Relvas, M.; Calvão, J.; Coutinho, I.; Cardoso, J.C. Case for Diagnosis. A Pruritic Eruption of Keratotic Papules over the Face and Neck. Bras. Dermatol. 2021, 96, 100–102. [Google Scholar] [CrossRef]
- Mlacker, S.; Kaw, U.; Maytin, E.V. Use of Photodynamic Therapy and Acitretin in Generalized Eruptive Keratoacanthoma of Grzybowski. JAAD Case Rep. 2017, 3, 457–459. [Google Scholar] [CrossRef] [PubMed]
- Sami, N.; Bussian, A. Acitretin Induces Remission in Generalized Eruptive Keratoacanthoma of GRzybowski. Int. J. Dermatol. 2015, 54, e67–e69. [Google Scholar] [CrossRef]
- Nofal, A.; Assaf, M.; Ghonemy, S.; Nofal, E.; Yosef, A. Generalized Eruptive Keratoacanthoma: A Diagnostic and Therapeutic Challenge. Int. J. Dermatol. 2015, 54, 160–167. [Google Scholar] [CrossRef]
- Oakley, A.; Ng, S. Grzybowski’s Generalized Eruptive Keratoacanthoma: Remission with Cyclophosphamide. Australas. J. Dermatol. 2005, 46, 118–123. [Google Scholar] [CrossRef]
- Chu, D.H.; Hale, E.K.; Robins, P. Generalized Eruptive Keratoacanthomas. Dermatol. Online J. 2003, 9, 36. [Google Scholar] [CrossRef] [PubMed]
- Miao, Y.; Kolb, F.; Tomasic, G.; Lupu, J.; Routier, E.; Robert, C. Keratoacanthoma or Cutaneous Squamous Cell Carcinoma Revealing a DNA Mismatch Repair Default (Muir-Torre Syndrome). J. Eur. Acad. Dermatol. Venereol. 2022, 36, 74–76. [Google Scholar] [CrossRef]
- Stoebner, P.E.; Fabre, C.; Delfour, C.; Joujoux, J.M.; Roger, P.; Dandurand, M.; Meunier, L. Solitary Subungual Keratoacanthoma Arising in an MSH2 Germline Mutation Carrier: Confirmation of a Relationship by Immunohistochemical Analysis. Dermatology 2009, 219, 174–178. [Google Scholar] [CrossRef]
- Tohya, T.; Ogura, T.; Nishi, K.; Nishi, H.; Kuriwaki, K. Muir-Torre Syn-drome Associated with Endometrial Carcinoma. Int. J. Clin. Oncol. 2008, 13, 559–561. [Google Scholar] [CrossRef]
- Khaddour, K.; Fields, R.C.; Ansstas, M.; Rosman, I.S.; Ansstas, G. Metachronous Cutaneous Squamous Cell Carcinoma in a Young Patient as the Only Presenting Symptom to Uncover Lynch Syndrome with MLH1 Germline Mutation. Hered. Cancer Clin. Pract. 2020, 18, 23. [Google Scholar] [CrossRef] [PubMed]
- Cimen, S.; Aslan, G.; Lebe, B.; Tuna, B.; Secil, M.; Demir, O.; Pabuccuoglu, U.; Yorukoglu, K. Penile Keratoacanthoma Associated with Urothelial Carcinoma of the Bladder in Muir-Torre Syndrome. Urol. Oncol. Semin. Orig. Investig. 2007, 25, 326–328. [Google Scholar] [CrossRef] [PubMed]
- Nishizawa, A.; Nakanishi, Y.; Sasajima, Y.; Yamazaki, N.; Yamamoto, A. Muir-Torre Syndrome with Intriguing Squamous Lesions. Am. J. Derm. Pathol. 2006, 28, 56–59. [Google Scholar] [CrossRef] [PubMed]
- Al-Hassani, F.; Davies, J.; Pang, C.; Knight, S. Local Subungual Excision and Graft Use in Patients with Incontinentia Pigmenti: A Case Report and Review of the Literature. JPRAS Open 2017, 11, 33–36. [Google Scholar] [CrossRef] [PubMed]
- Adeniran, A.; Townsend, P.L.G.; Peachey, R.D.G. Incontinentia Pigmenti (Bloch-Sulzberger Syndrome) Manifesting as Painful Periungual and Subungual Tumours. J. Hand Surg. 1993, 18, 667–669. [Google Scholar] [CrossRef] [PubMed]
- Zargaran, M.; Baghaei, F. A Clinical, Histopathological and Immunohisto-chemical Approach to the Bewildering Diagnosis of Keratoacanthoma. J. Dent. 2014, 15, 91–97. [Google Scholar]
- Foxton, G.; Delaney, T. Eruptive Keratoacanthoma and Squamous Cell Carcinoma Complicating Imiquimod Therapy: Response to Oral Acitretin. Australas. J. Dermatol. 2011, 52, 66–69. [Google Scholar] [CrossRef] [PubMed]
- Poligone, B.; Hayden, M.S.; Chen, L.; Pentland, A.P.; Jimi, E.; Ghosh, S. A Role for NF-ΚB Activity in Skin Hyperplasia and the Development of Keratoacanthomata in Mice. PLoS ONE 2013, 8, e71887. [Google Scholar] [CrossRef]
- Zito, P.M.; Mazzoni, T. Acitretin; StatPearls Publishing: Treasure Island, FL, USA, 2023. [Google Scholar]
- Zito, G.; Saotome, I.; Liu, Z.; Ferro, E.G.; Sun, T.Y.; Nguyen, D.X.; Bilguvar, K.; Ko, C.J.; Greco, V. Spontaneous Tumour Regression in Keratoacanthomas Is Driven by Wnt/Retinoic Acid Signalling Cross-Talk. Nat. Commun. 2014, 5, 3543. [Google Scholar] [CrossRef] [PubMed][Green Version]
- Scalvenzi, M.; Patrì, A.; Costa, C.; Megna, M.; Napolitano, M.; Fabbrocini, G.; Balato, N. Intralesional Methotrexate for the Treatment of Keratoacanthoma: The Neapolitan Experience. Dermatol. Ther. 2019, 9, 369–372. [Google Scholar] [CrossRef] [PubMed]
- Ambur, A.; Clark, A.; Nathoo, R. An Updated Review of the Therapeutic Management of Keratoacanthomas. J. Clin. Aesthet. Dermatol. 2022, 15, S16–S22. [Google Scholar] [PubMed]


| KA-like Syndromes | Clinical | Histopathological | Evolutive |
|---|---|---|---|
| Ferguson–Smith syndrome (MSSE) | Multiple large KA-like lesions in sun-exposed areas | KA histopathology features with no marked “shouldering” and the leucocyte abscesses are absent | Undergo spontaneous regression, resulting in the formation of atrophic scars |
| Eruptive keratoacanthoma of Grzybowski | Numerous KA-like itchy papules with hardened centers | KA histopathology features | Persistence if not treated |
| Multiple familial keratoacanthoma of Witten and Zak | Combined large and small KA-like lesions (with overlapping features of the Ferguson–Smith and Grzybowski subtypes) | KA histopathology features as in MSSE or eruptive keratoacanthoma of Grzybowski | Shared evolutionary characteristics between the Ferguson–Smith and Grzybowski KA subtypes |
| Incontinentia pigmenti | Multiple large hyperkeratotic KA-like lesions within Blaschkoid hyperpigmented patches | KA histopathology features | Persistence if not treated |
| Muir–Torre syndrome | KA lesions often accompanied by sebaceous epitheliomas or carcinomas | KA-like histopathology features along with sebaceous characteristics | Persistence if not treated |
| Study | Diagnosis | Syndrome | Age/Gender | Lesion Description | Lesion Location | Treatment Plans Described |
|---|---|---|---|---|---|---|
| [10] | Family history | MSSE | 51/F | Dome-shaped, yellowish-red nodule with a central hyperkeratotic plug | KA-like lesions: face/arms (preferably)/hands/nose Well-differentiated SCC: upper lip/close to nose | Surgical excision or non-intervention led to regression X-ray treatment |
| [10] | Family history | MSSE | 75/M | NA | Not specific type (invasive or KA like tumor): forehead | X-ray treatment |
| [10] | Family history/early stage of skin cancer appearance | MSSE | 43/F | Dome-shaped, yellowish-red, scaly, with centrally crusted lesions | KA-like lesions: upper lip, nose and chin Well differentiated SCC: upper lip/close to nose Invasive SCC: right cheek | Non-intervention or imiquimod led to regression or excision. Excision and plastic correction Excision |
| [10] | Family history | MSSE | 34/F | A flat, keratotic tumor | KA-like lesions: cheek | Excision |
| [10] | Family history | MSSE | 41/M | NA | KA-like lesions: forehead | Curettage |
| [10] | Family history | MSSE | 50/F | Dome-shaped tumor | KA-like lesions: cheek | Non-intervention led to regression |
| [11] | Family history | MSSE | 49/F | NA | SCC: basal vestibule KA-like lesions and SCC: midface | Radiotherapy led to regression Interferon-a failed to lead to regression Acitretin (up to 60 mg daily for 12 weeks) led to improvement |
| [12] | TGFBR1 mutation | MSSE | 37/F | Ulcerated lesions or nodular keratinized firm nodules | Well-differentiated, moderately invasive, and keratoacanthoma-like lesions: upper lip and cheeks | Isotretinoin and excision choices failed patient consent Acitretin (10 mg daily) led to-regression |
| [13] | Clinical image | MSSE | 60/F | A firm, skin-colored, centrally keratin-filled dome-shaped nodule | Radiotherapy-induced KA-like lesions: hand. | Minimal surgical intervention combined with intralesional injections of triamcinolone acetate led to improvement |
| [14] | Clinical image | MSSE | 47/F | Three flesh-pink, sharply circumscribed, crateriform nodules with keratotic cores | KA-like lesions: the right eyebrow and the right auricula | 5% imiquimod cream and better control of myelodysplastic syndrome—a systemic disease) |
| [15] | Clinical presentation (non-familial) | MSSE | 27/F | Multiple keratotic lesions | KA-like lesions: holes and soles | No treatment led to regression Isotretinoin and topical application of tazarotene—failed and switched to acitretin, up to 35 mg, which had better results |
| [16] | Not reported | MSSE and keratoacanthoma centrifugum marginatum | 46/M | Multiple pruritic, keratotic popular, and nodular eruptions An annular, hyperkeratotic verruciform plaque | KA-like lesions: shins, forearms, and buttocks KA centrifugum marginatum: the dorsum of the right foot | Acitretin (0.7 mg/kg/day) led to regression |
| [17] | Clinical presentation | MSSE | 41/M | Multiple dome-shaped, cutaneous nodules with disfiguring scars | KAs: trunk and limbs | Oral acitretin at 20 mg/day led to regression |
Disclaimer/Publisher’s Note: The statements, opinions and data contained in all publications are solely those of the individual author(s) and contributor(s) and not of MDPI and/or the editor(s). MDPI and/or the editor(s) disclaim responsibility for any injury to people or property resulting from any ideas, methods, instructions or products referred to in the content. |
© 2024 by the authors. Licensee MDPI, Basel, Switzerland. This article is an open access article distributed under the terms and conditions of the Creative Commons Attribution (CC BY) license (https://creativecommons.org/licenses/by/4.0/).
Share and Cite
Karampinis, E.; Kostopoulou, C.; Toli, O.; Marinos, L.; Papadimitriou, G.; Roussaki Schulze, A.V.; Zafiriou, E. Multiple Keratoacanthoma-like Syndromes: Case Report and Literature Review. Medicina 2024, 60, 371. https://doi.org/10.3390/medicina60030371
Karampinis E, Kostopoulou C, Toli O, Marinos L, Papadimitriou G, Roussaki Schulze AV, Zafiriou E. Multiple Keratoacanthoma-like Syndromes: Case Report and Literature Review. Medicina. 2024; 60(3):371. https://doi.org/10.3390/medicina60030371
Chicago/Turabian StyleKarampinis, Emmanouil, Christina Kostopoulou, Olga Toli, Leonidas Marinos, George Papadimitriou, Angeliki Victoria Roussaki Schulze, and Efterpi Zafiriou. 2024. "Multiple Keratoacanthoma-like Syndromes: Case Report and Literature Review" Medicina 60, no. 3: 371. https://doi.org/10.3390/medicina60030371
APA StyleKarampinis, E., Kostopoulou, C., Toli, O., Marinos, L., Papadimitriou, G., Roussaki Schulze, A. V., & Zafiriou, E. (2024). Multiple Keratoacanthoma-like Syndromes: Case Report and Literature Review. Medicina, 60(3), 371. https://doi.org/10.3390/medicina60030371

