Endoscopic Ultrasound-Guided Drainage of Pancreatic Fluid Collections: Not All Queries Are Already Solved
Abstract
1. Introduction
2. Indications for Drainage of PFCs
- Presence of symptoms, such as abdominal pain due to mass effect from large WOPN, nausea, vomiting, early satiety, and stomach discomfort due to gastric compression, intestinal, or biliary obstruction [18].
- Abdominal compartment syndrome. Intra-abdominal hypertension (IAH) and abdominal compartment syndrome (ACS) are not common and underrecognized complications of severe acute pancreatitis with high morbidity and mortality. The treatment of IAH/ACS requires a multi-modality approach; if conservative management is not effective, percutaneous or surgical decompression is warranted [19].
3. Timing of Drainage of PFCs
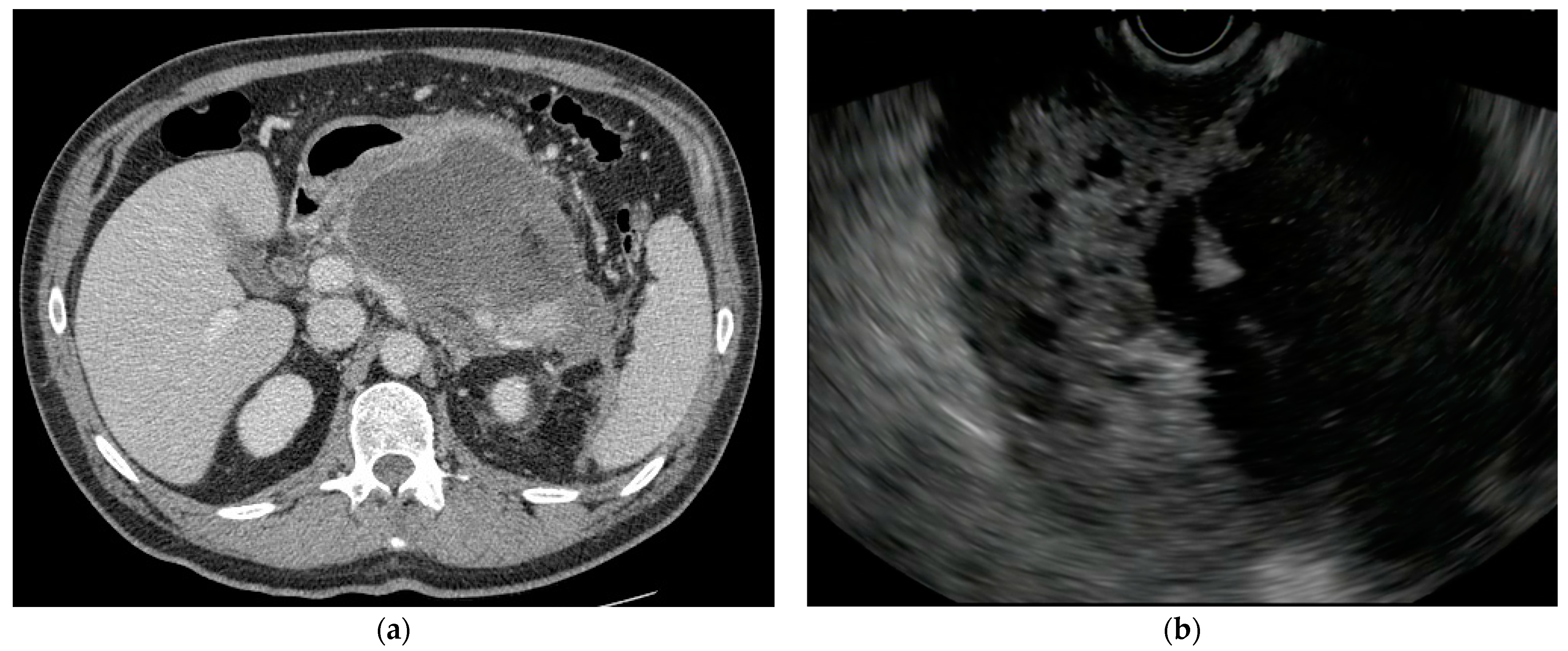
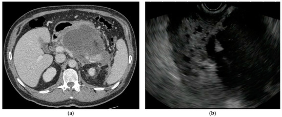
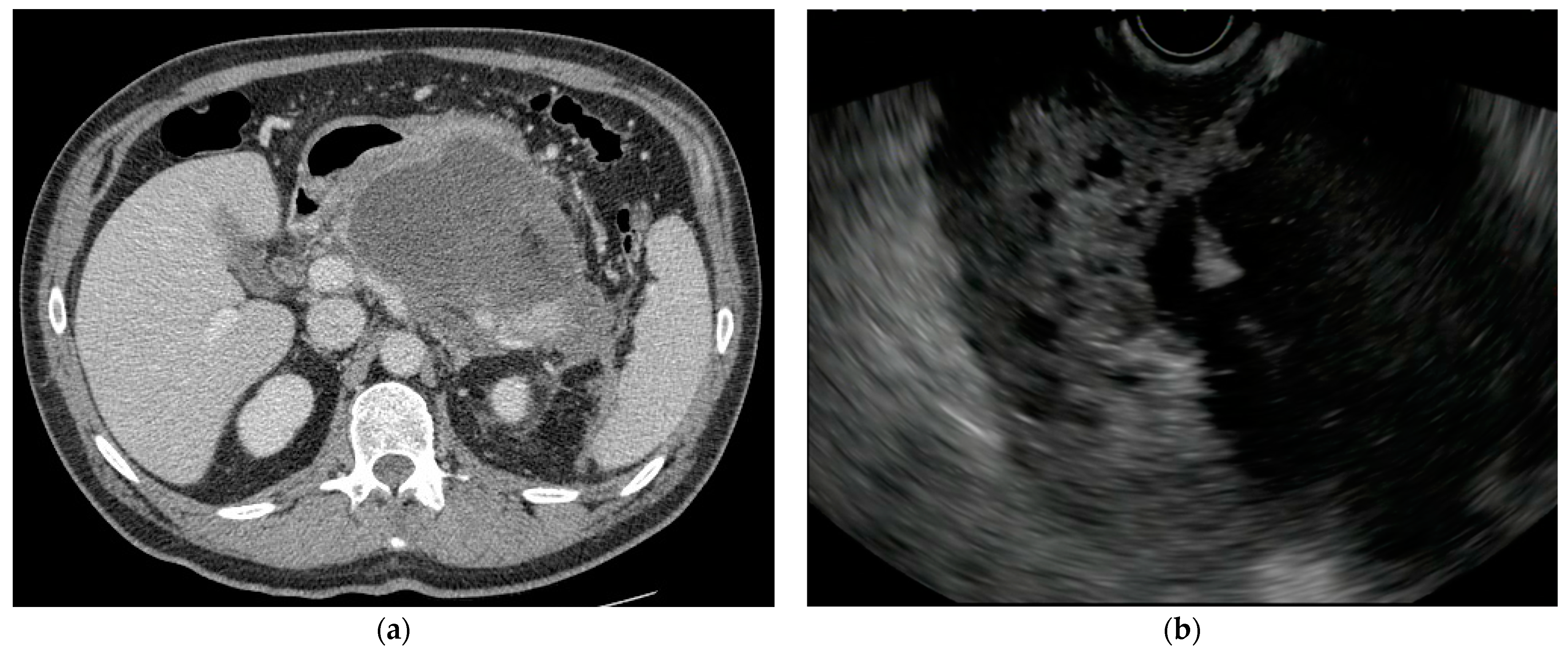
4. The “Step-Up Approach” for the Management of WOPN
5. Evolution in Endoscopic Drainage Techniques
6. Type of Stents
7. Coaxial Placement of a Double Pigtail Plastic Stent through an LAMS
8. Multiple Transluminal Gateway Technique (MTGT)
9. Dual-Modality Drainage
10. Direct Endoscopic Necrosectomy
11. Role of Discontinuation of Proton Pump Inhibitors
12. Chemical Debridement
13. LAMS-Related Adverse Events in PFC Management
14. Conclusions
Author Contributions
Funding
Institutional Review Board Statement
Informed Consent Statement
Data Availability Statement
Conflicts of Interest
References
- Mederos, M.A.; Reber, H.A.; Girgis, M.D. Acute Pancreatitis: A Review. JAMA 2021, 325, 382–390. [Google Scholar] [CrossRef]
- Lee, P.J.; Papachristou, G.I. New Insights into Acute Pancreatitis. Nat. Rev. Gastroenterol. Hepatol. 2019, 16, 479–496. [Google Scholar] [CrossRef]
- Petrov, M.S.; Shanbhag, S.; Chakraborty, M.; Phillips, A.R.J.; Windsor, J.A. Organ Failure and Infection of Pancreatic Necrosis as Determinants of Mortality in Patients with Acute Pancreatitis. Gastroenterology 2010, 139, 813–820. [Google Scholar] [CrossRef] [PubMed]
- Jearth, V.; Rana, S.S. Endoscopic Step up: When and How. Surg. Open Sci. 2022, 10, 135–144. [Google Scholar] [CrossRef] [PubMed]
- Banks, P.A.; Bollen, T.L.; Dervenis, C.; Gooszen, H.G.; Johnson, C.D.; Sarr, M.G.; Tsiotos, G.G.; Vege, S.S. Classification of Acute Pancreatitis—2012: Revision of the Atlanta Classification and Definitions by International Consensus. Gut 2013, 62, 102–111. [Google Scholar] [CrossRef]
- Werge, M.; Novovic, S.; Schmidt, P.N.; Gluud, L.L. Infection Increases Mortality in Necrotizing Pancreatitis: A Systematic Review and Meta-Analysis. Pancreatology 2016, 16, 698–707. [Google Scholar] [CrossRef] [PubMed]
- Arvanitakis, M.; Dumonceau, J.-M.; Albert, J.; Badaoui, A.; Bali, M.; Barthet, M.; Besselink, M.; Deviere, J.; Oliveira Ferreira, A.; Gyökeres, T.; et al. Endoscopic Management of Acute Necrotizing Pancreatitis: European Society of Gastrointestinal Endoscopy (ESGE) Evidence-Based Multidisciplinary Guidelines. Endoscopy 2018, 50, 524–546. [Google Scholar] [CrossRef]
- Baron, T.H.; DiMaio, C.J.; Wang, A.Y.; Morgan, K.A. American Gastroenterological Association Clinical Practice Update: Management of Pancreatic Necrosis. Gastroenterology 2020, 158, 67–75. [Google Scholar] [CrossRef]
- Takahashi, N.; Papachristou, G.I.; Schmit, G.D.; Chahal, P.; LeRoy, A.J.; Sarr, M.G.; Vege, S.S.; Mandrekar, J.N.; Baron, T.H. CT Findings of Walled-off Pancreatic Necrosis (WOPN): Differentiation from Pseudocyst and Prediction of Outcome after Endoscopic Therapy. Eur. Radiol. 2008, 18, 2522–2529. [Google Scholar] [CrossRef]
- Thoeni, R.F. The Revised Atlanta Classification of Acute Pancreatitis: Its Importance for the Radiologist and Its Effect on Treatment. Radiology 2012, 262, 751–764. [Google Scholar] [CrossRef]
- Kamal, A.; Singh, V.K.; Akshintala, V.S.; Kawamoto, S.; Tsai, S.; Haider, M.; Fishman, E.K.; Kamel, I.R.; Zaheer, A. CT and MRI Assessment of Symptomatic Organized Pancreatic Fluid Collections and Pancreatic Duct Disruption: An Interreader Variability Study Using the Revised Atlanta Classification 2012. Abdom. Imaging 2015, 40, 1608–1616. [Google Scholar] [CrossRef]
- van Baal, M.C.; Bollen, T.L.; Bakker, O.J.; van Goor, H.; Boermeester, M.A.; Dejong, C.H.; Gooszen, H.G.; van der Harst, E.; van Eijck, C.H.; van Santvoort, H.C.; et al. The Role of Routine Fine-Needle Aspiration in the Diagnosis of Infected Necrotizing Pancreatitis. Surgery 2014, 155, 442–448. [Google Scholar] [CrossRef]
- van Santvoort, H.C.; Bakker, O.J.; Bollen, T.L.; Besselink, M.G.; Ahmed Ali, U.; Schrijver, A.M.; Boermeester, M.A.; van Goor, H.; Dejong, C.H.; van Eijck, C.H.; et al. A Conservative and Minimally Invasive Approach to Necrotizing Pancreatitis Improves Outcome. Gastroenterology 2011, 141, 1254–1263. [Google Scholar] [CrossRef]
- Banks, P.A. Pro: Computerized Tomographic Fine Needle Aspiration (CT-FNA) Is Valuable in the Management of Infected Pancreatic Necrosis. Am. J. Gastroenterol. 2005, 100, 2371–2372. [Google Scholar] [CrossRef] [PubMed]
- Samanta, J.; Dhar, J.; Birda, C.L.; Gupta, P.; Yadav, T.D.; Gupta, V.; Sinha, S.K.; Kochhar, R. Dynamics of Serum Procalcitonin Can Predict Outcome in Patients of Infected Pancreatic Necrosis: A Prospective Analysis. Dig. Dis. Sci. 2023, 68, 2080–2089. [Google Scholar] [CrossRef] [PubMed]
- Schmidt, P.N.; Roug, S.; Hansen, E.F.; Knudsen, J.D.; Novovic, S. Spectrum of Microorganisms in Infected Walled-off Pancreatic Necrosis—Impact on Organ Failure and Mortality. Pancreatology 2014, 14, 444–449. [Google Scholar] [CrossRef] [PubMed]
- Villatoro, E.; Mulla, M.; Larvin, M. Antibiotic Therapy for Prophylaxis against Infection of Pancreatic Necrosis in Acute Pancreatitis. Cochrane Database Syst. Rev. 2010, 2010, CD002941. [Google Scholar] [CrossRef] [PubMed]
- Tyberg, A.; Karia, K.; Gabr, M.; Desai, A.; Doshi, R.; Gaidhane, M.; Sharaiha, R.Z.; Kahaleh, M. Management of Pancreatic Fluid Collections: A Comprehensive Review of the Literature. World J. Gastroenterol. 2016, 22, 2256–2270. [Google Scholar] [CrossRef] [PubMed]
- van Brunschot, S.; Fockens, P.; Bakker, O.J.; Besselink, M.G.; Voermans, R.P.; Poley, J.-W.; Gooszen, H.G.; Bruno, M.; van Santvoort, H.C. Endoscopic Transluminal Necrosectomy in Necrotising Pancreatitis: A Systematic Review. Surg. Endosc. 2014, 28, 1425–1438. [Google Scholar] [CrossRef] [PubMed]
- ASGE Standards of Practice Committee; Muthusamy, V.R.; Chandrasekhara, V.; Acosta, R.D.; Bruining, D.H.; Chathadi, K.V.; Eloubeidi, M.A.; Faulx, A.L.; Fonkalsrud, L.; Gurudu, S.R.; et al. The Role of Endoscopy in the Diagnosis and Treatment of Inflammatory Pancreatic Fluid Collections. Gastrointest. Endosc. 2016, 83, 481–488. [Google Scholar] [CrossRef]
- Trikudanathan, G.; Tawfik, P.; Amateau, S.K.; Munigala, S.; Arain, M.; Attam, R.; Beilman, G.; Flanagan, S.; Freeman, M.L.; Mallery, S. Early (<4 Weeks) Versus Standard (≥4 Weeks) Endoscopically Centered Step-Up Interventions for Necrotizing Pancreatitis. Am. J. Gastroenterol. 2018, 113, 1550–1558. [Google Scholar] [CrossRef] [PubMed]
- Nakai, Y.; Shiomi, H.; Hamada, T.; Ota, S.; Takenaka, M.; Iwashita, T.; Sato, T.; Saito, T.; Masuda, A.; Matsubara, S.; et al. Early versus Delayed Interventions for Necrotizing Pancreatitis: A Systematic Review and Meta-Analysis. DEN Open 2023, 3, e171. [Google Scholar] [CrossRef] [PubMed]
- Ramai, D.; Enofe, I.; Deliwala, S.S.; Mozell, D.; Facciorusso, A.; Gkolfakis, P.; Mohan, B.P.; Chandan, S.; Previtera, M.; Maida, M.; et al. Early (<4 Weeks) versus Standard (≥4 Weeks) Endoscopic Drainage of Pancreatic Walled-off Fluid Collections: A Systematic Review and Meta-Analysis. Gastrointest. Endosc. 2023, 97, 415–421.e5. [Google Scholar] [CrossRef] [PubMed]
- van Santvoort, H.C.; Besselink, M.G.H.; Cirkel, G.A.; Gooszen, H.G. A nationwide Dutch study into the optimal treatment of patients with infected necrotising pancreatitis: The PANTER trial. Ned. Tijdschr. Geneeskd. 2006, 150, 1844–1846. [Google Scholar] [PubMed]
- van Brunschot, S.; van Grinsven, J.; van Santvoort, H.C.; Bakker, O.J.; Besselink, M.G.; Boermeester, M.A.; Bollen, T.L.; Bosscha, K.; Bouwense, S.A.; Bruno, M.J.; et al. Endoscopic or Surgical Step-up Approach for Infected Necrotising Pancreatitis: A Multicentre Randomised Trial. Lancet 2018, 391, 51–58. [Google Scholar] [CrossRef] [PubMed]
- Bang, J.Y.; Arnoletti, J.P.; Holt, B.A.; Sutton, B.; Hasan, M.K.; Navaneethan, U.; Feranec, N.; Wilcox, C.M.; Tharian, B.; Hawes, R.H.; et al. An Endoscopic Transluminal Approach, Compared With Minimally Invasive Surgery, Reduces Complications and Costs for Patients With Necrotizing Pancreatitis. Gastroenterology 2019, 156, 1027–1040. [Google Scholar] [CrossRef]
- Onnekink, A.M.; Boxhoorn, L.; Timmerhuis, H.C.; Bac, S.T.; Besselink, M.G.; Boermeester, M.A.; Bollen, T.L.; Bosscha, K.; Bouwense, S.A.W.; Bruno, M.J.; et al. Endoscopic Versus Surgical Step-Up Approach for Infected Necrotizing Pancreatitis (ExTENSION): Long-Term Follow-up of a Randomized Trial. Gastroenterology 2022, 163, 712–722. [Google Scholar] [CrossRef]
- Cremer, M.; Deviere, J.; Engelholm, L. Endoscopic Management of Cysts and Pseudocysts in Chronic Pancreatitis: Long-Term Follow-up after 7 Years of Experience. Gastrointest. Endosc. 1989, 35, 1–9. [Google Scholar] [CrossRef]
- Binmoeller, K.F.; Seifert, H.; Walter, A.; Soehendra, N. Transpapillary and Transmural Drainage of Pancreatic Pseudocysts. Gastrointest. Endosc. 1995, 42, 219–224. [Google Scholar] [CrossRef]
- Grimm, H.; Binmoeller, K.F.; Soehendra, N. Endosonography-Guided Drainage of a Pancreatic Pseudocyst. Gastrointest. Endosc. 1992, 38, 170–171. [Google Scholar] [CrossRef]
- Varadarajulu, S.; Christein, J.D.; Tamhane, A.; Drelichman, E.R.; Wilcox, C.M. Prospective Randomized Trial Comparing EUS and EGD for Transmural Drainage of Pancreatic Pseudocysts (with Videos). Gastrointest. Endosc. 2008, 68, 1102–1111. [Google Scholar] [CrossRef]
- Rana, S.S.; Sharma, R.; Dhalaria, L.; Gupta, R. Efficacy and Safety of Plastic versus Lumen-Apposing Metal Stents for Transmural Drainage of Walled-off Necrosis: A Retrospective Single-Center Study. Ann. Gastroenterol. 2020, 33, 426–432. [Google Scholar] [CrossRef]
- Varadarajulu, S.; Phadnis, M.A.; Christein, J.D.; Wilcox, C.M. Multiple Transluminal Gateway Technique for EUS-Guided Drainage of Symptomatic Walled-off Pancreatic Necrosis. Gastrointest. Endosc. 2011, 74, 74–80. [Google Scholar] [CrossRef]
- Abu Dayyeh, B.K.; Mukewar, S.; Majumder, S.; Zaghlol, R.; Vargas Valls, E.J.; Bazerbachi, F.; Levy, M.J.; Baron, T.H.; Gostout, C.J.; Petersen, B.T.; et al. Large-Caliber Metal Stents versus Plastic Stents for the Management of Pancreatic Walled-off Necrosis. Gastrointest. Endosc. 2018, 87, 141–149. [Google Scholar] [CrossRef]
- Penn, D.E.; Draganov, P.V.; Wagh, M.S.; Forsmark, C.E.; Gupte, A.R.; Chauhan, S.S. Prospective Evaluation of the Use of Fully Covered Self-Expanding Metal Stents for EUS-Guided Transmural Drainage of Pancreatic Pseudocysts. Gastrointest. Endosc. 2012, 76, 679–684. [Google Scholar] [CrossRef]
- Sarkaria, S.; Sethi, A.; Rondon, C.; Lieberman, M.; Srinivasan, I.; Weaver, K.; Turner, B.G.; Sundararajan, S.; Berlin, D.; Gaidhane, M.; et al. Pancreatic Necrosectomy Using Covered Esophageal Stents: A Novel Approach. J. Clin. Gastroenterol. 2014, 48, 145–152. [Google Scholar] [CrossRef]
- Talreja, J.P.; Shami, V.M.; Ku, J.; Morris, T.D.; Ellen, K.; Kahaleh, M. Transenteric Drainage of Pancreatic-Fluid Collections with Fully Covered Self-Expanding Metallic Stents (with Video). Gastrointest. Endosc. 2008, 68, 1199–1203. [Google Scholar] [CrossRef]
- Dorrell, R.; Pawa, S.; Pawa, R. Endoscopic Management of Pancreatic Fluid Collections. J. Clin. Med. 2021, 10, 284. [Google Scholar] [CrossRef] [PubMed]
- Binmoeller, K.F.; Shah, J. A Novel Lumen-Apposing Stent for Transluminal Drainage of Nonadherent Extraintestinal Fluid Collections. Endoscopy 2011, 43, 337–342. [Google Scholar] [CrossRef] [PubMed]
- Sharaiha, R.Z.; Tyberg, A.; Khashab, M.A.; Kumta, N.A.; Karia, K.; Nieto, J.; Siddiqui, U.D.; Waxman, I.; Joshi, V.; Benias, P.C.; et al. Endoscopic Therapy With Lumen-Apposing Metal Stents Is Safe and Effective for Patients With Pancreatic Walled-off Necrosis. Clin. Gastroenterol. Hepatol. 2016, 14, 1797–1803. [Google Scholar] [CrossRef] [PubMed]
- Bekkali, N.L.H.; Nayar, M.K.; Leeds, J.S.; Charnley, R.M.; Huggett, M.T.; Oppong, K.W. A Comparison of Outcomes between a Lumen-Apposing Metal Stent with Electrocautery-Enhanced Delivery System and a Bi-Flanged Metal Stent for Drainage of Walled-off Pancreatic Necrosis. Endosc. Int. Open 2017, 5, E1189–E1196. [Google Scholar] [CrossRef] [PubMed]
- Tarantino, I.; Ligresti, D.; Tuzzolino, F.; Barresi, L.; Curcio, G.; Granata, A.; Traina, M. Clinical Impact of EUS Treatment of Walled-off Pancreatic Necrosis with Dedicated Devices. Endosc. Int. Open 2017, 5, E784–E791. [Google Scholar] [CrossRef][Green Version]
- Anderloni, A.; Fabbri, C.; Nieto, J.; Uwe, W.; Dollhopf, M.; Aparicio, J.R.; Perez-Miranda, M.; Tarantino, I.; Arlt, A.; Vleggaar, F.; et al. The Safety and Efficacy of a New 20-Mm Lumen Apposing Metal Stent (Lams) for the Endoscopic Treatment of Pancreatic and Peripancreatic Fluid Collections: A Large International, Multicenter Study. Surg. Endosc. 2021, 35, 1741–1748. [Google Scholar] [CrossRef] [PubMed]
- Parsa, N.; Nieto, J.M.; Powers, P.; Mitsuhashi, S.; Abdelqader, A.; Hadzinakos, G.; Anderloni, A.A.; Fugazza, A.; James, T.W.; Arlt, A.; et al. Endoscopic Ultrasound-Guided Drainage of Pancreatic Walled-off Necrosis Using 20-Mm versus 15-Mm Lumen-Apposing Metal Stents: An International, Multicenter, Case-Matched Study. Endoscopy 2020, 52, 211–219. [Google Scholar] [CrossRef] [PubMed]
- Guo, J.; Saftoiu, A.; Vilmann, P.; Fusaroli, P.; Giovannini, M.; Mishra, G.; Rana, S.S.; Ho, S.; Poley, J.-W.; Ang, T.L.; et al. A Multi-Institutional Consensus on How to Perform Endoscopic Ultrasound-Guided Peri-Pancreatic Fluid Collection Drainage and Endoscopic Necrosectomy. Endosc. Ultrasound 2017, 6, 285–291. [Google Scholar] [CrossRef] [PubMed]
- Siddiqui, A.A.; Kowalski, T.E.; Loren, D.E.; Khalid, A.; Soomro, A.; Mazhar, S.M.; Isby, L.; Kahaleh, M.; Karia, K.; Yoo, J.; et al. Fully Covered Self-Expanding Metal Stents versus Lumen-Apposing Fully Covered Self-Expanding Metal Stent versus Plastic Stents for Endoscopic Drainage of Pancreatic Walled-off Necrosis: Clinical Outcomes and Success. Gastrointest. Endosc. 2017, 85, 758–765. [Google Scholar] [CrossRef] [PubMed]
- Garcia Garcia de Paredes, A.; Gonzalez Martin, J.A.; Foruny Olcina, J.R.; Juzgado Lucas, D.; Gonzalez Panizo, F.; Lopez Duran, S.; Martinez Sanchez, A.; Sanjuanbenito, A.; Caminoa, A.; Albillos, A.; et al. Lumen-Apposing Metal Stents versus Biliary Fully-Covered Metal Stents for EUS-Guided Drainage of Pancreatic Fluid Collections: A Case Control Study: Meeting Presentations: European Society of Gastrointestinal Endoscopy ESGE Days 2018. Endosc. Int. Open 2020, 8, E6–E12. [Google Scholar] [CrossRef]
- Bang, J.Y.; Navaneethan, U.; Hasan, M.K.; Sutton, B.; Hawes, R.; Varadarajulu, S. Non-Superiority of Lumen-Apposing Metal Stents over Plastic Stents for Drainage of Walled-off Necrosis in a Randomised Trial. Gut 2019, 68, 1200–1209. [Google Scholar] [CrossRef]
- Boxhoorn, L.; Verdonk, R.C.; Besselink, M.G.; Boermeester, M.; Bollen, T.L.; Bouwense, S.A.; Cappendijk, V.C.; Curvers, W.L.; Dejong, C.H.; van Dijk, S.M.; et al. Comparison of Lumen-Apposing Metal Stents versus Double-Pigtail Plastic Stents for Infected Necrotising Pancreatitis. Gut 2023, 72, 66–72. [Google Scholar] [CrossRef]
- Chen, Y.-I.; Yang, J.; Friedland, S.; Holmes, I.; Law, R.; Hosmer, A.; Stevens, T.; Franco, M.C.; Jang, S.; Pawa, R.; et al. Lumen Apposing Metal Stents Are Superior to Plastic Stents in Pancreatic Walled-off Necrosis: A Large International Multicenter Study. Endosc. Int. Open 2019, 7, E347–E354. [Google Scholar] [CrossRef]
- Chen, Y.-I.; Barkun, A.N.; Adam, V.; Bai, G.; Singh, V.K.; Bukhari, M.; Gutierrez, O.B.; Elmunzer, B.J.; Moran, R.; Fayad, L.; et al. Cost-Effectiveness Analysis Comparing Lumen-Apposing Metal Stents with Plastic Stents in the Management of Pancreatic Walled-off Necrosis. Gastrointest. Endosc. 2018, 88, 267–276.e1. [Google Scholar] [CrossRef]
- Bang, J.Y.; Wilcox, C.M.; Navaneethan, U.; Hawes, R.H.; Varadarajulu, S. Treatment of Walled-off Necrosis Using Lumen-Apposing Metal Stents versus Plastic Stents: A Systematic Review and Meta-Analysis of Data from Randomized Trials. Endoscopy 2023, 56, 89–164. [Google Scholar] [CrossRef]
- Rana, S.S.; Sharma, V.; Sharma, R.; Gupta, R.; Bhasin, D.K. Endoscopic Ultrasound Guided Transmural Drainage of Walled off Pancreatic Necrosis Using a “Step-up” Approach: A Single Centre Experience. Pancreatology 2017, 17, 203–208. [Google Scholar] [CrossRef]
- Aslam, S.; Ansari, Z.; Alani, M.; Srinivasan, I.; Chuang, K.-Y. Coaxial Double-Pigtail Stent Placement: A Simple Solution to Decrease Bleeding Risk Associated With Lumen-Apposing Metal Stent? Cureus 2021, 13, e15981. [Google Scholar] [CrossRef]
- Puga, M.; Consiglieri, C.F.; Busquets, J.; Pallarès, N.; Secanella, L.; Peláez, N.; Fabregat, J.; Castellote, J.; Gornals, J.B. Safety of Lumen-Apposing Stent with or without Coaxial Plastic Stent for Endoscopic Ultrasound-Guided Drainage of Pancreatic Fluid Collections: A Retrospective Study. Endoscopy 2018, 50, 1022–1026. [Google Scholar] [CrossRef]
- AbiMansour, J.P.; Jaruvongvanich, V.; Velaga, S.; Law, R.J.; Storm, A.C.; Topazian, M.D.; Levy, M.J.; Alexander, R.; Vargas, E.J.; Bofill-Garcia, A.; et al. Lumen-Apposing Metal Stents with or without Coaxial Plastic Stent Placement for the Management of Pancreatic Fluid Collections. Gastrointest. Endosc. 2024, 99, 104–107. [Google Scholar] [CrossRef]
- Aburajab, M.; Smith, Z.; Khan, A.; Dua, K. Safety and Efficacy of Lumen-Apposing Metal Stents with and without Simultaneous Double-Pigtail Plastic Stents for Draining Pancreatic Pseudocyst. Gastrointest. Endosc. 2018, 87, 1248–1255. [Google Scholar] [CrossRef] [PubMed]
- Giri, S.; Harindranath, S.; Afzalpurkar, S.; Angadi, S.; Sundaram, S. Does a Coaxial Double Pigtail Stent Reduce Adverse Events after Lumen Apposing Metal Stent Placement for Pancreatic Fluid Collections? A Systematic Review and Meta-Analysis. Ther. Adv. Gastrointest. Endosc. 2023, 16, 26317745231199364. [Google Scholar] [CrossRef] [PubMed]
- Vanek, P.; Falt, P.; Vitek, P.; Zoundjiekpon, V.; Horinkova, M.; Zapletalova, J.; Lovecek, M.; Urban, O. EUS-Guided Transluminal Drainage Using Lumen-Apposing Metal Stents with or without Coaxial Plastic Stents for Treatment of Walled-off Necrotizing Pancreatitis: A Prospective Bicentric Randomized Controlled Trial. Gastrointest. Endosc. 2023, 97, 1070–1080. [Google Scholar] [CrossRef] [PubMed]
- Binda, C.; Dabizzi, E.; Anderloni, A.; Cennamo, V.; Fiscaletti, M.; Fugazza, A.; Jovine, E.; Ercolani, G.; Gasbarrini, A.; Fabbri, C. Single-Step Endoscopic Ultrasound-Guided Multiple Gateway Drainage of Complex Walled-off Necrosis with Lumen Apposing Metal Stents. Eur. J. Gastroenterol. Hepatol. 2020, 32, 1401–1404. [Google Scholar] [CrossRef] [PubMed]
- Bang, J.Y.; Wilcox, C.M.; Arnoletti, J.P.; Peter, S.; Christein, J.; Navaneethan, U.; Hawes, R.; Varadarajulu, S. Validation of the Orlando Protocol for Endoscopic Management of Pancreatic Fluid Collections in the Era of Lumen-Apposing Metal Stents. Dig. Endosc. 2022, 34, 612–621. [Google Scholar] [CrossRef]
- Ross, A.S.; Irani, S.; Gan, S.I.; Rocha, F.; Siegal, J.; Fotoohi, M.; Hauptmann, E.; Robinson, D.; Crane, R.; Kozarek, R.; et al. Dual-Modality Drainage of Infected and Symptomatic Walled-off Pancreatic Necrosis: Long-Term Clinical Outcomes. Gastrointest. Endosc. 2014, 79, 929–935. [Google Scholar] [CrossRef]
- Puli, S.R.; Graumlich, J.F.; Pamulaparthy, S.R.; Kalva, N. Endoscopic Transmural Necrosectomy for Walled-off Pancreatic Necrosis: A Systematic Review and Meta-Analysis. Can. J. Gastroenterol. Hepatol. 2014, 28, 50–53. [Google Scholar] [CrossRef][Green Version]
- Baroud, S.; Chandrasekhara, V.; Storm, A.C.; Law, R.J.; Vargas, E.J.; Levy, M.J.; Mahmoud, T.; Bazerbachi, F.; Bofill-Garcia, A.; Ghazi, R.; et al. Novel Classification System for Walled-off Necrosis: A Step toward Standardized Nomenclature and Risk-Stratification Framework. Gastrointest. Endosc. 2023, 97, 300–308. [Google Scholar] [CrossRef]
- Yan, L.; Dargan, A.; Nieto, J.; Shariaha, R.Z.; Binmoeller, K.F.; Adler, D.G.; DeSimone, M.; Berzin, T.; Swahney, M.; Draganov, P.V.; et al. Direct Endoscopic Necrosectomy at the Time of Transmural Stent Placement Results in Earlier Resolution of Complex Walled-off Pancreatic Necrosis: Results from a Large Multicenter United States Trial. Endosc. Ultrasound 2019, 8, 172–179. [Google Scholar] [CrossRef]
- Bang, J.Y.; Lakhtakia, S.; Thakkar, S.; Buxbaum, J.L.; Waxman, I.; Sutton, B.; Memon, S.F.; Singh, S.; Basha, J.; Singh, A.; et al. Upfront Endoscopic Necrosectomy or Step-up Endoscopic Approach for Infected Necrotising Pancreatitis (DESTIN): A Single-Blinded, Multicentre, Randomised Trial. Lancet Gastroenterol. Hepatol. 2024, 9, 22–33. [Google Scholar] [CrossRef]
- Rizzatti, G.; Rimbas, M.; Impagnatiello, M.; Gasbarrini, A.; Costamagna, G.; Larghi, A. Endorotor-Based Endoscopic Necrosectomy as a Rescue or Primary Treatment of Complicated Walled-off Pancreatic Necrosis. A Case Series. J. Gastrointest. Liver Dis. JGLD 2020, 29, 681–684. [Google Scholar] [CrossRef] [PubMed]
- Stassen, P.M.C.; de Jonge, P.J.F.; Bruno, M.J.; Koch, A.D.; Trindade, A.J.; Benias, P.C.; Sejpal, D.V.; Siddiqui, U.D.; Chapman, C.G.; Villa, E.; et al. Safety and Efficacy of a Novel Resection System for Direct Endoscopic Necrosectomy of Walled-off Pancreas Necrosis: A Prospective, International, Multicenter Trial. Gastrointest. Endosc. 2022, 95, 471–479. [Google Scholar] [CrossRef]
- Brand, M.; Bachmann, J.; Schlag, C.; Huegle, U.; Rahman, I.; Wedi, E.; Walter, B.; Möschler, O.; Sturm, L.; Meining, A. Over-the-Scope-Grasper: A New Tool for Pancreatic Necrosectomy and beyond—First Multicenter Experience. World J. Gastrointest. Surg. 2022, 14, 799–808. [Google Scholar] [CrossRef]
- Powers, P.C.; Siddiqui, A.; Sharaiha, R.Z.; Yang, G.; Dawod, E.; Novikov, A.A.; Javia, A.; Edirisuriya, C.; Noor, A.; Mumtaz, T.; et al. Discontinuation of Proton Pump Inhibitor Use Reduces the Number of Endoscopic Procedures Required for Resolution of Walled-off Pancreatic Necrosis. Endosc. Ultrasound 2019, 8, 194–198. [Google Scholar] [CrossRef]
- Mohan, B.P.; Madhu, D.; Toy, G.; Chandan, S.; Khan, S.R.; Kassab, L.L.; Bilal, M.; Facciorusso, A.; Sandhu, I.; Adler, D.G. Hydrogen Peroxide-Assisted Endoscopic Necrosectomy of Pancreatic Walled-off Necrosis: A Systematic Review and Meta-Analysis. Gastrointest. Endosc. 2022, 95, 1060–1066.e7. [Google Scholar] [CrossRef] [PubMed]
- Baron, T.H. Hydrogen Peroxide as an Adjunctive Therapy for Walled-Off Pancreatic Necrosis During Direct Endoscopic Necrosectomy: A Solution to the Problem or a Problematic Solution? Am. J. Gastroenterol. 2021, 116, 666–668. [Google Scholar] [CrossRef] [PubMed]
- Maharshi, S.; Sharma, S.S.; Ratra, S.; Sapra, B.; Sharma, D. Management of Walled-off Necrosis with Nasocystic Irrigation with Hydrogen Peroxide versus Biflanged Metal Stent: Randomized Controlled Trial. Endosc. Int. Open 2021, 9, E1108–E1115. [Google Scholar] [CrossRef]
- Messallam, A.A.; Adler, D.G.; Shah, R.J.; Nieto, J.M.; Moran, R.; Elmunzer, B.J.; Cosgrove, N.; Mullady, D.; Singh, H.; Cote, G.; et al. Direct Endoscopic Necrosectomy With and Without Hydrogen Peroxide for Walled-off Pancreatic Necrosis: A Multicenter Comparative Study. Am. J. Gastroenterol. 2021, 116, 700–709. [Google Scholar] [CrossRef]
- Garg, R.; Gupta, S.; Singh, A.; Simonson, M.T.; Rustagi, T.; Chahal, P. Hydrogen Peroxide Assisted Endoscopic Necrosectomy for Walled-off Pancreatic Necrosis: A Systematic Review and Meta-Analysis. Pancreatology 2021, 21, 1540–1547. [Google Scholar] [CrossRef]
- Haller, G.; Faltin-Traub, E.; Faltin, D.; Kern, C. Oxygen Embolism after Hydrogen Peroxide Irrigation of a Vulvar Abscess. Br. J. Anaesth. 2002, 88, 597–599. [Google Scholar] [CrossRef]
- Jones, P.M.; Segal, S.H.; Gelb, A.W. Venous Oxygen Embolism Produced by Injection of Hydrogen Peroxide into an Enterocutaneous Fistula. Anesth. Analg. 2004, 99, 1861–1863. [Google Scholar] [CrossRef]
- Peng, Z.; Li, H.; Cao, Z.; Zhang, W.; Li, H.; Dai, R.; Liu, L.; Mao, X.; George, D.M.; Huang, T. Oxygen Embolism after Hydrogen Peroxide Irrigation during Hip Arthroscopy: A Case Report. BMC Musculoskelet. Disord. 2020, 21, 58. [Google Scholar] [CrossRef]
- Zhao, S.-L.; Zhang, X.-Y.; Xiao, Y.; Mo, X.-Y.; Chen, Z.-P.; Lin, W.; Huang, Z.-F.; Chen, B.-L. Gas Embolism After Hydrogen Peroxide Use During Spine Surgery: Case Report and Literature Review. World Neurosurg. 2020, 143, 228–231. [Google Scholar] [CrossRef] [PubMed]
- Chandrasekhara, V.; Barthet, M.; Devière, J.; Bazerbachi, F.; Lakhtakia, S.; Easler, J.J.; Peetermans, J.A.; McMullen, E.; Gjata, O.; Gourlay, M.L.; et al. Safety and Efficacy of Lumen-Apposing Metal Stents versus Plastic Stents to Treat Walled-off Pancreatic Necrosis: Systematic Review and Meta-Analysis. Endosc. Int. Open 2020, 8, E1639–E1653. [Google Scholar] [CrossRef] [PubMed]
- Guzmán-Calderón, E.; Chacaltana, A.; Díaz, R.; Li, B.; Martinez-Moreno, B.; Aparicio, J.R. Head-to-Head Comparison between Endoscopic Ultrasound Guided Lumen Apposing Metal Stent and Plastic Stents for the Treatment of Pancreatic Fluid Collections: A Systematic Review and Meta-Analysis. J. Hepato-Biliary-Pancreat. Sci. 2022, 29, 198–211. [Google Scholar] [CrossRef]
- Fugazza, A.; Sethi, A.; Trindade, A.J.; Troncone, E.; Devlin, J.; Khashab, M.A.; Vleggaar, F.P.; Bogte, A.; Tarantino, I.; Deprez, P.H.; et al. International Multicenter Comprehensive Analysis of Adverse Events Associated with Lumen-Apposing Metal Stent Placement for Pancreatic Fluid Collection Drainage. Gastrointest. Endosc. 2020, 91, 574–583. [Google Scholar] [CrossRef]
- Cotton, P.B.; Eisen, G.M.; Aabakken, L.; Baron, T.H.; Hutter, M.M.; Jacobson, B.C.; Mergener, K.; Nemcek, A.; Petersen, B.T.; Petrini, J.L.; et al. A Lexicon for Endoscopic Adverse Events: Report of an ASGE Workshop. Gastrointest. Endosc. 2010, 71, 446–454. [Google Scholar] [CrossRef]
- Rana, S. Complications of Endoscopic Ultrasound-Guided Transmural Drainage of Pancreatic Fluid Collections and Their Management. Ann. Gastroenterol. 2019, 32, 441. [Google Scholar] [CrossRef]
- Dhir, V.; Adler, D.G.; Dalal, A.; Aherrao, N.; Shah, R.; Maydeo, A. Early Removal of Biflanged Metal Stents in the Management of Pancreatic Walled-off Necrosis: A Prospective Study. Endoscopy 2018, 50, 597–605. [Google Scholar] [CrossRef]
- Binda, C.; Fugazza, A.; Fabbri, S.; Coluccio, C.; Repici, A.; Tarantino, I.; Anderloni, A.; Fabbri, C. The Use of PuraStat® in the Management of Walled-Off Pancreatic Necrosis Drained Using Lumen-Apposing Metal Stents: A Case Series. Med. Kaunas Lith. 2023, 59, 750. [Google Scholar] [CrossRef] [PubMed]
- Armellini, E.; Metelli, F.; Anderloni, A.; Cominardi, A.; Aragona, G.; Marini, M.; Pace, F. Lumen-Apposing-Metal Stent Misdeployment in Endoscopic Ultrasound-Guided Drainages: A Systematic Review Focusing on Issues and Rescue Management. World J. Gastroenterol. 2023, 29, 3341–3361. [Google Scholar] [CrossRef] [PubMed]
- Mendoza Ladd, A.; Bashashati, M.; Contreras, A.; Umeanaeto, O.; Robles, A. Endoscopic Pancreatic Necrosectomy in the United States-Mexico Border: A Cross Sectional Study. World J. Gastrointest. Endosc. 2020, 12, 149–158. [Google Scholar] [CrossRef]
- Biedermann, J.; Zeissig, S.; Brückner, S.; Hampe, J. EUS-Guided Stent Removal in Buried Lumen-Apposing Metal Stent Syndrome: A Case Series. VideoGIE 2020, 5, 37–40. [Google Scholar] [CrossRef]
- DeSimone, M.L.; Asombang, A.W.; Berzin, T.M. Lumen Apposing Metal Stents for Pancreatic Fluid Collections: Recognition and Management of Complications. World J. Gastrointest. Endosc. 2017, 9, 456–463. [Google Scholar] [CrossRef] [PubMed]
- Venkatachalapathy, S.V.; Bekkali, N.; Pereira, S.; Johnson, G.; Oppong, K.; Nayar, M.; Leeds, J.; Paranandi, B.; Penman, I.; Carroll, N.; et al. Multicenter Experience from the UK and Ireland of Use of Lumen-Apposing Metal Stent for Transluminal Drainage of Pancreatic Fluid Collections. Endosc. Int. Open 2018, 6, E259–E265. [Google Scholar] [CrossRef] [PubMed]
- Irani, S.; Kozarek, R.A. The Buried Lumen-Apposing Metal Stent: Is This a Stent Problem, a Location Problem, or Both? VideoGIE 2016, 1, 25–26. [Google Scholar] [CrossRef] [PubMed]
- Ligresti, D.; Cipolletta, F.; Amata, M.; Cimavilla, M.; Traina, M.; Tarantino, I. Buried Lumen-Apposing Metal Stent (LAMS) Following Endoscopic Ultrasound-Guided Gallbladder Drainage: The LAMS-in-LAMS Rescue Treatment. Endoscopy 2018, 50, 822–823. [Google Scholar] [CrossRef]
- Rodrigues-Pinto, E.; Grimm, I.S.; Baron, T.H. Removal of Buried Gastroduodenal Stents after Drainage of Pancreatic Fluid Collections: Silence of the LAMS (with Video). Gastrointest. Endosc. 2016, 83, 853–854. [Google Scholar] [CrossRef] [PubMed]





Disclaimer/Publisher’s Note: The statements, opinions and data contained in all publications are solely those of the individual author(s) and contributor(s) and not of MDPI and/or the editor(s). MDPI and/or the editor(s) disclaim responsibility for any injury to people or property resulting from any ideas, methods, instructions or products referred to in the content. |
© 2024 by the authors. Licensee MDPI, Basel, Switzerland. This article is an open access article distributed under the terms and conditions of the Creative Commons Attribution (CC BY) license (https://creativecommons.org/licenses/by/4.0/).
Share and Cite
Binda, C.; Fabbri, S.; Perini, B.; Boschetti, M.; Coluccio, C.; Giuffrida, P.; Gibiino, G.; Petraroli, C.; Fabbri, C. Endoscopic Ultrasound-Guided Drainage of Pancreatic Fluid Collections: Not All Queries Are Already Solved. Medicina 2024, 60, 333. https://doi.org/10.3390/medicina60020333
Binda C, Fabbri S, Perini B, Boschetti M, Coluccio C, Giuffrida P, Gibiino G, Petraroli C, Fabbri C. Endoscopic Ultrasound-Guided Drainage of Pancreatic Fluid Collections: Not All Queries Are Already Solved. Medicina. 2024; 60(2):333. https://doi.org/10.3390/medicina60020333
Chicago/Turabian StyleBinda, Cecilia, Stefano Fabbri, Barbara Perini, Martina Boschetti, Chiara Coluccio, Paolo Giuffrida, Giulia Gibiino, Chiara Petraroli, and Carlo Fabbri. 2024. "Endoscopic Ultrasound-Guided Drainage of Pancreatic Fluid Collections: Not All Queries Are Already Solved" Medicina 60, no. 2: 333. https://doi.org/10.3390/medicina60020333
APA StyleBinda, C., Fabbri, S., Perini, B., Boschetti, M., Coluccio, C., Giuffrida, P., Gibiino, G., Petraroli, C., & Fabbri, C. (2024). Endoscopic Ultrasound-Guided Drainage of Pancreatic Fluid Collections: Not All Queries Are Already Solved. Medicina, 60(2), 333. https://doi.org/10.3390/medicina60020333

