Endoscopic Ultrasound-Guided Pancreatic Tissue Sampling: Lesion Assessment, Needles, and Techniques
Abstract
1. Introduction
2. Literature Search
3. Lesion Assessment Before Tissue Sampling
3.1. Why Do We Need to Assess Any Pancreatic Lesion Beforehand and How to Do It?
3.2. Pre-Procedure Reporting
3.3. Procedural Details: Size, Site, and Lesion Features
3.3.1. Site and Characteristics of the Pancreatic Lesion
3.3.2. Size of the Pancreatic Lesion
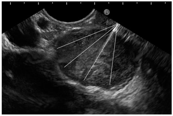
3.4. Advanced EUS Imaging to Guide Tissue Acquisition
3.4.1. Technique of Performing Advanced EUS Imaging
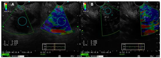
3.4.2. Basic Interpretation of Findings on CH-EUS and EUS-E
3.4.3. Data on Use of CH-EUS vs. Standard B-Mode for FNA/B for Pancreatic Tissue Sampling
3.4.4. Additional Benefits of CH-EUS for Characterization of Pancreatic Lesions
- (a)
- Determining the aggressiveness of PNET: Tamura et al. showed that poor vascular uptake in both early and late phases denoted poorer overall survival and aggressive PNET [35].
- (b)
- Diagnosing malignancy in intraductal papillary mucinous neoplasm: Yamashita et al. showed CH-EUS was more sensitive than conventional EUS and CT scan in detection of mural nodules (92% vs. 83% vs. 72%) and detection of malignancy (75% vs. 73% vs. 63%) [36].
- (c)
- Differentiating autoimmune pancreatitis from pancreatic cancer using a time intensity analysis curve (TIC) [37].
- (d)
- Detection of portal vein invasion in pancreatic cancer patients (CH-EUS vs. EUS vs. CT 93% vs. 73% vs. 82%) [38] and pancreatic metastasis.
- (e)
- Characterization of mural nodules within pancreatic cysts: Lisotti et al. reported in 10 studies that CH-EUS increased diagnostic sensitivity to 97% and accuracy to 95.6% [39]. CH-EUS can differentiate enhanced mural nodules from non-enhanced mural plugs.
- (f)
- Assessment of the response to chemotherapeutic agents for the management of pancreatic cancer: The authors have tabulated four studies available on the use of CH-EUS for the same in Supplementary Table S3.
- (g)
- Guiding the endoscopist during radiofrequency ablation of neuroendocrine tumors and assessment of response and need of session (Supplementary Table S3). Its advantages are as follows: (a) can identify remnant tumor; (b) assess early treatment response; and (c) enable accurate needle puncture for a second EUS-RFA session, if required.
3.4.5. Data on Use of EUS-E Versus Standard EUS-FNA/B for Pancreatic Tissue Sampling
3.4.6. Data on Combination of CE-H-EUS and EUS-E for Pancreatic Lesion Assessment and Sampling
3.4.7. New Advanced Image Enhanced Modalities for Tissue Sampling
4. Evidence Supporting Needle Choice for the Sampling of Solid Pancreatic Lesions
4.1. Available Needle Types
4.1.1. Standard Model of EUS-FNA Needles
4.1.2. Standard Model of EUS-FNB Needles
4.1.3. Variations in the Standard Models of EUS-FNA/B Needles
- (a)
- EUS-FNA needles: In 2011, Expect™ EUS-FNA needles were launched (Boston Scientific, Marlborough, MA, USA). It has a sharp needle grind and a cobalt–chromium construction (except in the 19ga Flex needle, made of nitinol), and an echogenic pattern extends to the needle tip. The flexible 19-G allows us to navigate the difficult trans-duodenal route (earlier limitations of the standard 19-G needles) [59]. Similarly, Olympus (Tokyo, Japan) introduced the EZ shot 2 and 3 Plus EUS-FNA needles. They are nitinol needles, which enhance flexibility, with multi-layer coil sheath and Menghini needle tip and are available in 19, 22, and 26-G sizes. The 19-G needle, though technically an FNA needle, also provides a ‘histological core’ owing to its larger size [60].
- (b)
- EUS-FNB needles: A 20 G ProCore FNB needle (Cook Medical) was developed with a forward-facing bevel, antegrade core trap technology, and ReCoil Stylet™. The automatic recoiling pattern of the latter helps the technicians to easily manage the stylet, minimizing contamination [61].
4.1.4. Latest Advances Among EUS-FNB Needles
4.2. EUS-FNA vs. EUS-FNB
4.3. Which Needle for EUS-FNB?
4.4. Which Needle Size Among EUS-FNB?
5. Sampling Techniques
5.1. Puncture Techniques During EUS-TA
- (a)
- Traditional method: It is simply to-and-fro movements of the needle (1 × 16) as fast as possible by positioning the needle tip at one location within the lesion.
- (b)
- Fanning technique: This technique entails the initiation of the biopsy from the left margin of the tumor mass, and the needle is “fanned” till the right margin is reached. The trajectory of the needle is altered using the up–down knob or the elevator. In this fashion, the needle is positioned at four different areas within the lesion, and four actuations are performed in each area (Figure 5). This is termed as the ‘4 × 4’ rule’.
- (c)
- Door-knocking method: After needle puncture, there is rapid needle advancement, producing a loud knocking sound between the slider and the stopper.
- (d)
- Torque technique: Tissue acquisition is performed by twisting the body of the echoendoscope to the right (clockwise) or left (counterclockwise) without using up/down control knobs.
5.2. Use of Suction or Stylet During EUS-TA
- (a)
- No suction technique: It requires removal of the stylet before puncture of the lesion, without application of any negative pressure/suction.
- (b)
- Standard suction or dry suction technique: The stylet is removed, and an air-filled pre-vacuum 10- or 20-mL syringe is attached to the needle proximal end and opened once inside the lesion to apply a negative pressure suction.
- (c)
- Slow pull technique (SP): The stylet is slowly pulled out while the actuations of the needle in the lesion are performed. This stylet pull is carried out slowly till about 1 m over 40–60 s to generate capillary pressure while the needle is being moved inside the lesion to acquire tissue
- (d)
- Wet suction technique (WEST): The stylet is removed, and the needle is primed with 5 mL of saline solution, replacing the air column. A 10–20 mL suction syringe with 3 mL of saline is preloaded to maximal suction and then locked and attached to the needle. After puncturing, once the tip of the needle is inside the lesion, the suction syringe is unlocked, and actuations are performed to acquire tissue. Instead of saline, heparin use has also been reported (modified wet suction).
- (e)
- Hydrostatic stylet tissue acquisition technique: This EUS-TA method has recently been described as a modification of the WEST. After priming with saline, the stylet is then partially reinserted, allowing 30 cm of the stylet to remain outside of the needle hub while performing tissue sampling [96].
5.3. Number of to and fro Movements During EUS-TA
5.4. Number of Passes During EUS-TA
5.5. Expression of Tissue After EUS-TA
6. On-Site Evaluation
6.1. Rapid On-Site Evaluation (ROSE):
6.1.1. Role in EUS-FNA
6.1.2. Role in EUS-FNB
6.1.3. Comparison of EUS-FNA with ROSE Versus Only EUS-FNB
6.1.4. Cost Effectiveness of Performing ROSE for EUS-TA
6.1.5. Latest Advances in Use of ROSE for EUS-TA
6.2. Macroscopic On-Site Evaluation (MOSE)
6.2.1. Role in EUS-FNA
6.2.2. Role in EUS-FNB
6.2.3. Is MOSE Comparable to ROSE in the Era of EUS-FNB?
6.2.4. Role of MOSE in Evaluation of Red/White Content and Their Clinical Implications
6.2.5. Role of Artificial Intelligence
6.3. Visual On-Site Evaluation (VOSE)
6.4. Stereomicroscopic On-Site Evaluation (SOSE)
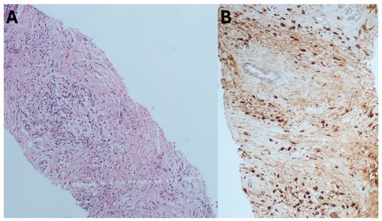
6.5. Expertise of Pathologist in Adequate Histopathological Interpretation of EUS-FNA/FNB Samples
7. Tissue Acquisition for Rare Solid Pancreatic Lesions
7.1. Autoimmune Pancreatitis (AIP)
7.2. Secondary Tumors of the Pancreas
8. Adverse Events Following EUS-TA and Preventive Strategies to Mitigate Them
9. Tissue Acquisition for Cystic Pancreatic Lesions
9.1. Cyst Fluid Cytology
9.1.1. The Technique of EUS-Guided Cyst Fluid Aspiration
- (a)
- It should be performed by expert endosonographers with a minimum experience of 2000 EUS procedures performed annually.
- (b)
- The type of sedation depends on institute protocol and operator preference.
- (c)
- The role of giving pre-procedural antibiotics is still controversial and depends on institute protocol and operator preference.
- (d)
- The cystic lesion should be characterized for location, diameter, number of septations, and presence of high-risk stigmata as per guideline recommendations [164]. The communication of MPD to the cystic lesion should be clearly documented.
- (e)
- Trans-luminal cyst aspiration technique entails the use of a 19-G or 22-G EUS-FNA needle. The use of a specific needle caliber depends on operator preference, cyst size, viscosity of the fluid, and cyst location.
- (f)
- The needle is placed in the center of the cyst, and the tip must be constantly observed under EUS vision as the cyst collapses while aspiration to prevent contact with the cyst wall. This ensures complete aspiration and reduces any abrasion of the cyst wall by the tip of the needle.
- (g)
- A minimum 1 mL of cyst fluid is retrieved for cytological analysis as well as other markers (amylase, CEA, glucose, etc.). The biopsy of the solid component is usually performed in a similar manner as in any case of EUS-TA (from thickened wall or mural nodules). If TTNB is planned, it is preferred to be performed in the same session of cyst aspiration to avoid the contamination of the cystic fluid to be analyzed.
- (h)
- If after initial cyst aspiration, the cyst immediately reaccumulates fluid, it suggests MPD communication.
- (i)
- In the case of the multi-loculated cystic lesion, the largest cystic component is targeted for analysis of fluid.
- (j)
- The usual practice is to completely aspirate the cyst fluid to dryness with a single pass, but in case any ablation of the cyst is planned by chemotherapeutic agents, it is recommended to leave a thin rim of fluid around the tip of the needle and re-instill saline/water as per indication.
9.1.2. Cyst Fluid Analysis
- (a)
- Cyst fluid morphology: Though non-specific, the presence of glandular cells with cytoplasmic mucin indicates a mucinous cyst, while flat monolayers of diminutive cuboidal cells or inflammatory cells indicate a non-mucinous cyst. Thosani et al. evaluated 11 studies and found a pooled sensitivity of 63% and specificity of 88% [165]. CE-H-EUS has been shown to be useful for the characterization of mural nodules [39].
- (b)
- String sing test: It is a simple evaluation method to gauge the viscosity of the aspirated fluid. It is performed by placing the cyst fluid between the gloved thumb and index finger and gradually separating them while measuring the maximum stretch before it disrupts. It is deemed positive when a string of ≥1 cm is formed and persists for ≥ 1 s. It is a highly specific test (98%) [166].
- (c)
- Amylase levels: Cyst fluid amylase <250 U/L virtually excludes a pancreatic pseudocyst (sensitivity 44%, specificity 98%) [167].
- (d)
- Glucose levels: Intra-cystic glucose levels <50 md/dl have been shown in multiple meta-analyses to be highly indicative of mucinous neoplasms (sensitivity 90%, specificity 82–88%) [168,169,170,171] (Supplementary Table S8). It is an uncomplicated, rapid, and cost-effective method to distinguish between mucinous vs. non-mucinous cysts.
- (e)
- Tumor markers: CEA (carcinoembryonic antigen) levels have been tested the most among all, wherein a cut-off of 192 ng/mL had an ROC of 0.79 [172].
- (f)
- Genetic mutation analysis: KRAS and GNAS mutation analysis has been performed as a method to differentiate mucinous vs. non-mucinous cysts (sensitivity 79%, specificity 98%) [172].
- (g)
- Real-time next-generation sequencing (NGS): A recent study by Paniccia et al. prospectively evaluated a 22-gene NGS panel (PancreaSeq) in the cyst fluid aspirated using EUS and reported improved sensitivity (93%) and specificity (95%) in identifying various pancreatic cyst types, various genomic alteration, and advanced neoplasia [173].
9.1.3. Adverse Events Following EUS-Guided Cyst Aspiration
9.1.4. Pre-Procedure Antibiotic Prophylaxis
9.2. EUS-Guided Through-the-Needle Biopsy (TTNB)
9.2.1. Instruments Available
9.2.2. Indication of the Procedure
9.2.3. Technique Description
- (a)
- The technique should be performed by experienced endosonographers, with a minimum of 500 EUS procedures performed annually.
- (b)
- The type of sedation depends on institute protocol and operator preference.
- (c)
- Choice of giving antibiotics before procedure: This is not well defined and varies from center to center. A propensity-matched study from the author’s center reported no difference in the overall adverse event profile (6.1% vs. 5.1%, p = 0.49) [181]. Similarly, another study from Facciorusso et al. concluded that antibiotics might be used in a subgroup of patients wherein complete cyst aspiration is deemed unsuitable [182].
- (d)
- (e)
- The first step is to choose the proper target region of the cystic lesion. The presence of mural nodule, wall thickening, or multiple septae are the ideal places to target by TTNB.
- (f)
- First, aspirate some fluid to reduce cyst wall tension and also, have some clean fluid for analysis.
- (g)
- Thereafter, the TTNB is used with a 19-G EUS-FNA needle. The micro forceps can either be preloaded in the needle or introduced after the cyst has been punctured by a 19-G FNA needle and the stylet is removed. When the transducer is positioned in the second part of the duodenum with the endoscope tip flexed, it may be difficult to advance the microbiopsy forceps through the needle due to resistance from within a bend needle. If resistance is experienced, slightly repetitive, gentle opening and closing of the forceps during introduction through the needle reduces the friction and often helps overcome this problem.
- (h)
- Gently push the Moray forceps on the cyst wall; jaws are opened by the assistant (visualized under EUS vision). Close the valves slowly. Wait for a few seconds to guarantee complete closure of the jaws of the forceps.
- (i)
- Pull strongly the microforceps while holding the needle firmly to minimize accidental dislodgement. If this is properly carried out, the wall is seen getting retracted towards the needle tip, producing a “tent sign”. This is considered a good predictor of adequacy of the sample. If this tenting effect is not experienced, the procedure should be repeated until the desired effect is seen or alternatively until a clear resistance is felt when the biopsy forceps is retracted.
- (j)
- Withdraw the forceps while keeping the needle inside the cyst. If it is not possible, due to larger specimen size, one can retrieve both of them together. Alternatively, the cyst wall may be released, and another bite is performed in same session.
- (k)
- The end point is to obtain a minimum of two macroscopically visible specimens with minimum number of passes, as a study from author’s center did not report any advantage of performing additional passes, albeit with higher adverse event [180].
- (l)
- Post TTNB sampling, some amount of intra-cystic bleeding is usually reported, which is self-limited. Hence, the authors suggest to first initially aspirate some “non-contaminated” clean fluid for molecular and biochemical analysis, then perform TTNB sampling, and lastly, send the remaining fluid for cytological examination.
- (m)
- The authors suggest every individual operator to standardize and hereby document every TTNB procedure, regarding timing of cyst aspiration, forceps preloading, number of passes and bite per pass, and specimen handling.
9.2.4. Sample Handling and Processing
9.2.5. Diagnostic Yield and Comparison with Other Techniques for Cyst Analysis
9.2.6. Safety Profile
10. Role of EUS-TA in Common Situations Encountered in Clinical Practice
10.1. EUS-TA in Jaundiced Patients Requiring Biliary Stenting
10.2. EUS-TA in Same Versus Separate Session with ERCP with Biliary Stenting
10.3. Repeat EUS-FNB of Solid Pancreatic Lesions After Inconclusive/Non-Diagnostic First Tissue Sampling
10.4. Role of EUS-FNA/FNB Specimens for Comprehensive Genome Profiling (CGP) Using Next-Generation Sequencing (NGS)
10.5. EUS-Guided Tissue Sampling for Lymph Nodes
10.6. Needle Tract Seedling (NTS) Post EUS-TA of Pancreatic Lesions
11. Future of EUS-Guided Tissue Acquisition for Pancreatic Lesion
12. Conclusions
Supplementary Materials
Author Contributions
Funding
Conflicts of Interest
References
- James, T.W.; Baron, T.H. A comprehensive review of endoscopic ultrasound core biopsy needles. Expert Rev. Med. Devices 2018, 15, 127–135. [Google Scholar] [CrossRef] [PubMed]
- Vilmann, P.; Jacobsen, G.K.; Henriksen, F.W.; Hancke, S. Endoscopic ultrasonography with guided fine needle aspiration biopsy in pancreatic disease. Gastrointest. Endosc. 1992, 38, 172–173. [Google Scholar] [CrossRef] [PubMed]
- Horwhat, J.D.; Paulson, E.K.; McGrath, K.; Branch, M.S.; Baillie, J.; Tyler, D.; Pappas, T.; Enns, R.; Robuck, G.; Stiffler, H.; et al. A randomized comparison of EUS-guided FNA versus CT or US-guided FNA for the evaluation of pancreatic mass lesions. Gastrointest. Endosc. 2006, 63, 966–975. [Google Scholar] [CrossRef]
- Conroy, T.; Pfeiffer, P.; Vilgrain, V.; Lamarca, A.; Seufferlein, T.; O’Reilly, E.M.; Hackert, T.; Golan, T.; Prager, G.; Haustermans, K.; et al. Electronic address: Clinicalguidelines@esmo.org. Pancreatic cancer: ESMO Clinical Practice Guideline for diagnosis, treatment and follow-up. Ann. Oncol. 2023, 34, 987–1002. [Google Scholar] [CrossRef]
- Iwashita, T.; Uemura, S.; Ryuichi, T.; Senju, A.; Iwata, S.; Ohashi, Y.; Shimizu, M. Advances and efficacy in specimen handling for endoscopic ultrasound-guided fine needle aspiration and biopsy: A comprehensive review. DEN Open 2024, 4, e350. [Google Scholar] [CrossRef]
- Kovacevic, B.; Klausen, P.; Rift, C.V.; Toxværd, A.; Grossjohann, H.; Karstensen, J.G.; Brink, L.; Hassan, H.; Kalaitzakis, E.; Storkholm, J.; et al. Clinical impact of endoscopic ultrasound-guided through-the-needle microbiopsy in patients with pancreatic cysts. Endoscopy 2021, 53, 44–52. [Google Scholar] [CrossRef] [PubMed]
- Johnson, G.; Webster, G.; Boškoski, I.; Campos, S.; Gölder, S.K.; Schlag, C.; Anderloni, A.; Arnelo, U.; Badaoui, A.; Bekkali, N.; et al. Curriculum for ERCP and endoscopic ultrasound training in Europe: European Society of Gastrointestinal Endoscopy (ESGE) Position Statement. Endoscopy 2021, 53, 1071–1087. [Google Scholar] [CrossRef]
- Domagk, D.; Oppong, K.W.; Aabakken, L.; Czakó, L.; Gyökeres, T.; Manes, G.; Meier, P.; Poley, J.W.; Ponchon, T.; Tringali, A.; et al. Performance measures for ERCP and endoscopic ultrasound: A European Society of Gastrointestinal Endoscopy (ESGE) Quality Improvement Initiative. Endoscopy 2018, 50, 1116–1127. [Google Scholar] [CrossRef]
- Aabakken, L.; Rembacken, B.; LeMoine, O.; Kuznetsov, K.; Rey, J.F.; Rösch, T.; Eisen, G.; Cotton, P.; Fujino, M. Minimal standard terminology for gastrointestinal endoscopy—MST 3.0. Endoscopy 2009, 41, 727–728. [Google Scholar] [CrossRef]
- Gonda, T.A.; Farrell, J.; Wallace, M.; Khanna, L.; Janec, E.; Kwon, R.; Saunders, M.; Siddiqui, U.D.; Brand, R.; Simeone, D.M.; et al. Standardization of EUS imaging and reporting in high-risk individuals of pancreatic adenocarcinoma: Consensus statement of the Pancreatic Cancer Early Detection Consortium. Gastrointest. Endosc. 2022, 95, 723–732.e7. [Google Scholar] [CrossRef]
- Kim, S.W.; Kim, S.H.; Lee, D.H.; Lee, S.M.; Kim, Y.S.; Jang, J.Y.; Han, J.K. Isolated Main Pancreatic Duct Dilatation: CT Differentiation Between Benign and Malignant Causes. AJR Am. J. Roentgenol. 2017, 209, 1046–1055. [Google Scholar] [CrossRef] [PubMed]
- Tanaka, S.; Nakaizumi, A.; Ioka, T.; Oshikawa, O.; Uehara, H.; Nakao, M.; Yamamoto, K.; Ishikawa, O.; Ohigashi, H.; Kitamra, T. Main pancreatic duct dilatation: A sign of high risk for pancreatic cancer. Jpn. J. Clin. Oncol. 2002, 32, 407–411. [Google Scholar] [CrossRef] [PubMed]
- Napoléon, B.; Lisotti, A.; Caillol, F.; Gasmi, M.; Ah-Soune, P.; Belle, A.; Charachon, A.; Cholet, F.; Eyraud, P.Y.; Grandval, P.; et al. Risk factors for EUS-guided radiofrequency ablation adverse events in patients with pancreatic neoplasms: A large national French study (RAFPAN study). Gastrointest. Endosc. 2023, 98, 392–399.e1. [Google Scholar] [CrossRef] [PubMed]
- Crinò, S.F.; D’Onofrio, M.; Bernardoni, L.; Frulloni, L.; Iannelli, M.; Malleo, G.; Paiella, S.; Larghi, A.; Gabbrielli, A. EUS-guided Radiofrequency Ablation (EUS-RFA) of Solid Pancreatic Neoplasm Using an 18-gauge Needle Electrode: Feasibility, Safety, and Technical Success. J. Gastrointest. Liver Dis. 2018, 27, 67–72. [Google Scholar] [CrossRef] [PubMed]
- Giuliani, T.; Marchegiani, G.; Girgis, M.D.; Crinò, S.F.; Muthusamy, V.R.; Bernardoni, L.; Pea, A.; Ramera, M.; Paiella, S.; Landoni, L.; et al. Endoscopic placement of pancreatic stent for “Deep” pancreatic enucleations operative technique and preliminary experience at two high-volume centers. Surg. Endosc. 2020, 34, 2796–2802. [Google Scholar] [CrossRef]
- Crinó, S.F.; Brandolese, A.; Vieceli, F.; Paiella, S.; Conti Bellocchi, M.C.; Manfrin, E.; Bernardoni, L.; Sina, S.; D’Onofrio, M.; Marchegiani, G.; et al. Endoscopic Ultrasound Features Associated with Malignancy and Aggressiveness of Nonhypovascular Solid Pancreatic Lesions: Results from a Prospective Observational Study. Ultraschall Med. 2021, 42, 167–177. [Google Scholar] [CrossRef]
- Franchellucci, G.; Andreozzi, M.; Carrara, S.; De Luca, L.; Auriemma, F.; Paduano, D.; Calabrese, F.; Facciorusso, A.; Poletti, V.; Zerbi, A.; et al. Contrast Enhanced EUS for Predicting Solid Pancreatic Neuroendocrine Tumor Grade and Aggressiveness. Diagnostics 2023, 13, 239. [Google Scholar] [CrossRef]
- Gonda, T.A.; Cahen, D.L.; Farrell, J.J. Pancreatic Cysts. N. Engl. J. Med. 2024, 391, 832–843. [Google Scholar] [CrossRef]
- Nakai, Y.; Hamada, T.; Hakuta, R.; Ishigaki, K.; Saito, K.; Saito, T.; Takahara, N.; Mizuno, S.; Kogure, H.; Koike, K.; et al. Endoscopic ultrasonography-guided tissue acquisition for small solid pancreatic lesions: Does the size matter? DEN Open 2021, 2, e52. [Google Scholar] [CrossRef]
- Katanuma, A.; Maguchi, H.; Yane, K.; Hashigo, S.; Kin, T.; Kaneko, M.; Kato, S.; Kato, R.; Harada, R.; Osanai, M.; et al. Factors predictive of adverse events associated with endoscopic ultrasound-guided fine needle aspiration of pancreatic solid lesions. Dig. Dis. Sci. 2013, 58, 2093–2099. [Google Scholar] [CrossRef]
- Conti Bellocchi, M.C.; Bernuzzi, M.; Brillo, A.; Bernardoni, L.; Amodio, A.; De Pretis, N.; Frulloni, L.; Gabbrielli, A.; Crinò, S.F. EUS-FNA versus EUS-FNB in Pancreatic Solid Lesions ≤ 15 mm. Diagnostics 2024, 14, 427. [Google Scholar] [CrossRef] [PubMed]
- Sagami, R.; Nakahodo, J.; Minami, R.; Yamao, K.; Yoshida, A.; Nishikiori, H.; Takenaka, M.; Mizukami, K.; Murakami, K. True diagnostic ability of EUS-guided fine-needle aspiration/biopsy sampling for small pancreatic lesions ≤10 mm and salvage diagnosis by pancreatic juice cytology: A multicenter study. Gastrointest. Endosc. 2024, 99, 73–80. [Google Scholar] [CrossRef] [PubMed]
- Sakamoto, H.; Kitano, M.; Suetomi, Y.; Maekawa, K.; Takeyama, Y.; Kudo, M. Utility of contrast-enhanced endoscopic ultrasonography for diagnosis of small pancreatic carcinomas. Ultrasound Med. Biol. 2008, 34, 525–532. [Google Scholar] [CrossRef] [PubMed]
- Iglesias-García, J.; Lariño-Noia, J.; Domínguez-Muñoz, J.E. New Imaging Techniques: Endoscopic Ultrasound-Guided Elastography. Gastrointest. Endosc. Clin. N. Am. 2017, 27, 551–567. [Google Scholar] [CrossRef]
- Ishikawa, H.; Hirooka, Y.; Itoh, A.; Hashimoto, S.; Okada, N.; Itoh, T.; Kawashima, H.; Goto, H. A comparison of image quality between tissue harmonic imaging and fundamental imaging with an electronic radial scanning echoendoscope in the diagnosis of pancreatic diseases. Gastrointest. Endosc. 2003, 57, 931–936. [Google Scholar] [CrossRef]
- Yamashita, Y.; Kitano, M. Role of contrast-enhanced harmonic endoscopic ultrasonography (EUS) and EUS elastography in pancreatic lesions. Clin. Endosc. 2024, 57, 164–174. [Google Scholar] [CrossRef]
- Esposto, G.; Massimiani, G.; Galasso, L.; Santini, P.; Borriello, R.; Mignini, I.; Ainora, M.E.; Nicoletti, A.; Zileri Dal Verme, L.; Gasbarrini, A.; et al. Endoscopic Contrast-Enhanced Ultrasound and Fine-Needle Aspiration or Biopsy for the Diagnosis of Pancreatic Solid Lesions: A Systematic Review and Meta-Analysis. Cancers 2024, 16, 1658. [Google Scholar] [CrossRef]
- Facciorusso, A.; Mohan, B.P.; Crinò, S.F.; Ofosu, A.; Ramai, D.; Lisotti, A.; Chandan, S.; Fusaroli, P. Contrast-enhanced harmonic endoscopic ultrasound-guided fine-needle aspiration versus standard fine-needle aspiration in pancreatic masses: A meta-analysis. Expert Rev. Gastroenterol. Hepatol. 2021, 15, 821–828. [Google Scholar] [CrossRef]
- Engh, M.A.; Teutsch, B.; Schulze Wenning, A.; Hadani, Y.; Almog, O.; Veres, D.S.; Hegyi, P.; Erőss, B. Contrast-enhanced endoscopic ultrasound likely does not improve diagnostic adequacy during endoscopic ultrasound guided tissue acquisition: A systematic review and meta-analysis. Pancreatology 2024, 24, 649–660. [Google Scholar] [CrossRef]
- Sugimoto, M.; Takagi, T.; Hikichi, T.; Suzuki, R.; Watanabe, K.; Nakamura, J.; Kikuchi, H.; Konno, N.; Waragai, Y.; Watanabe, H.; et al. Conventional versus contrast-enhanced harmonic endoscopic ultrasonography-guided fine-needle aspiration for diagnosis of solid pancreatic lesions: A prospective randomized trial. Pancreatology 2015, 15, 538–541. [Google Scholar] [CrossRef]
- Seicean, A.; Samarghitan, A.; Bolboacă, S.D.; Pojoga, C.; Rusu, I.; Rusu, D.; Sparchez, Z.; Gheorghiu, M.; Al Hajjar, N.; Seicean, R. Contrast-enhanced harmonic versus standard endoscopic ultrasound-guided fine-needle aspiration in solid pancreatic lesions: A single-center prospective randomized trial. Endoscopy 2020, 52, 1084–1090. [Google Scholar] [CrossRef] [PubMed]
- Cho, I.R.; Jeong, S.H.; Kang, H.; Kim, E.J.; Kim, Y.S.; Cho, J.H. Comparison of contrast-enhanced versus conventional EUS-guided FNA/fine-needle biopsy in diagnosis of solid pancreatic lesions: A randomized controlled trial. Gastrointest. Endosc. 2021, 94, 303–310. [Google Scholar] [CrossRef] [PubMed]
- Kuo, Y.T.; Chu, Y.L.; Wong, W.F.; Han, M.L.; Chen, C.C.; Jan, I.S.; Cheng, W.C.; Shun, C.T.; Tsai, M.C.; Cheng, T.Y.; et al. Randomized trial of contrast-enhanced harmonic guidance versus fanning technique for EUS-guided fine-needle biopsy sampling of solid pancreatic lesions. Gastrointest. Endosc. 2023, 97, 732–740. [Google Scholar] [CrossRef] [PubMed]
- Tang, R.; Ligresti, D.; Kim, T.H.; Tarantino, I.; Traina, M.; Liotta, R.; Ip, P.; Lok, H.T.; Fung, A.; Kung, J.; et al. Contrast enhanced harmonic eus-guided versus conventional eus-guided fine needle biopsy with macroscopic on-site evaluation for solid pancreatic lesions: A multicenter randomized trial. Gastrointest. Endosc. 2024, 99, AB857–AB858. [Google Scholar] [CrossRef]
- Tamura, T.; Sugihara, Y.; Yamazaki, H.; Koutani, H.; Tamura, T.; Tsuda, I.; Emori, T.; Kawaji, Y.; Hatamaru, K.; Yamashita, Y.; et al. Contrast-Enhanced Harmonic Endoscopic Ultrasound for Diagnosis of the Aggressiveness of Pancreatic Neuroendocrine Neoplasm. Diagnostics 2022, 12, 2988. [Google Scholar] [CrossRef]
- Yamashita, Y.; Kawaji, Y.; Shimokawa, T.; Yamazaki, H.; Tamura, T.; Hatamaru, K.; Itonaga, M.; Ashida, R.; Kawai, M.; Kitano, M. Usefulness of Contrast-Enhanced Harmonic Endoscopic Ultrasonography for Diagnosis of Malignancy in Intraductal Papillary Mucinous Neoplasm. Diagnostics 2022, 12, 2141. [Google Scholar] [CrossRef]
- Imazu, H.; Kanazawa, K.; Mori, N.; Ikeda, K.; Kakutani, H.; Sumiyama, K.; Hino, S.; Ang, T.L.; Omar, S.; Tajiri, H. Novel quantitative perfusion analysis with contrast-enhanced harmonic EUS for differentiation of autoimmune pancreatitis from pancreatic carcinoma. Scand. J. Gastroenterol. 2012, 47, 853–860. [Google Scholar] [CrossRef]
- Nakai, A.; Kamata, K.; Hyodo, T.; Chikugo, T.; Hara, A.; Otsuka, Y.; Tanaka, H.; Yoshikawa, T.; Ishikawa, R.; Okamoto, A.; et al. Utility of contrast-enhanced harmonic EUS for diagnosis of portal vein invasion by pancreatic cancer. Endosc. Ultrasound 2022, 11, 401–406. [Google Scholar] [CrossRef]
- Lisotti, A.; Napoleon, B.; Facciorusso, A.; Cominardi, A.; Crinò, S.F.; Brighi, N.; Gincul, R.; Kitano, M.; Yamashita, Y.; Marchegiani, G.; et al. Contrast-enhanced EUS for the characterization of mural nodules within pancreatic cystic neoplasms: Systematic review and meta-analysis. Gastrointest. Endosc. 2021, 94, 881–889.e5. [Google Scholar] [CrossRef]
- Zhang, B.; Zhu, F.; Li, P.; Yu, S.; Zhao, Y.; Li, M. Endoscopic ultrasound elastography in the diagnosis of pancreatic masses: A meta-analysis. Pancreatology 2018, 18, 833–840. [Google Scholar] [CrossRef]
- Ignee, A.; Jenssen, C.; Arcidiacono, P.G.; Hocke, M.; Möller, K.; Saftoiu, A.; Will, U.; Fusaroli, P.; Iglesias-Garcia, J.; Ponnudurai, R.; et al. Endoscopic ultrasound elastography of small solid pancreatic lesions: A multicenter study. Endoscopy 2018, 50, 1071–1079. [Google Scholar] [CrossRef] [PubMed]
- Nayak, H.K.; Rai, A.; Gupta, S.; Prakash, J.H.; Patra, S.; Panigrahi, C.; Patel, R.K.; Pattnaik, B.; Kar, M.; Panigrahi, M.K.; et al. Endoscopic ultrasound (EUS) elastography-guided fine-needle aspiration cytology (FNAC) versus conventional EUS FNAC for solid pancreatic lesions: A pilot randomized trial. Indian J. Gastroenterol. 2024. [Google Scholar] [CrossRef] [PubMed]
- Gheorghiu, M.; Sparchez, Z.; Rusu, I.; Bolboacă, S.D.; Seicean, R.; Pojoga, C.; Seicean, A. Direct Comparison of Elastography Endoscopic Ultrasound Fine-Needle Aspiration and B-Mode Endoscopic Ultrasound Fine-Needle Aspiration in Diagnosing Solid Pancreatic Lesions. Int. J. Environ. Res. Public Health 2022, 19, 1302. [Google Scholar] [CrossRef] [PubMed]
- Costache, M.I.; Cazacu, I.M.; Dietrich, C.F.; Petrone, M.C.; Arcidiacono, P.G.; Giovannini, M.; Bories, E.; Garcia, J.I.; Siyu, S.; Santo, E.; et al. Clinical impact of strain histogram EUS elastography and contrast-enhanced EUS for the differential diagnosis of focal pancreatic masses: A prospective multicentric study. Endosc. Ultrasound 2020, 9, 116–121. [Google Scholar]
- Chantarojanasiri, T.; Hirooka, Y.; Kawashima, H.; Ohno, E.; Kuwahara, T.; Yamamura, T.; Funasaka, K.; Nakamura, M.; Miyahara, R.; Ishigami, M.; et al. Endoscopic ultrasound in diagnosis of solid pancreatic lesions: Elastography or contrast-enhanced harmonic alone versus the combination. Endosc. Int. Open 2017, 5, E1136–E1143. [Google Scholar] [CrossRef][Green Version]
- Iglesias-Garcia, J.; Lindkvist, B.; Lariño-Noia, J.; Abdulkader-Nallib, I.; Dominguez-Muñoz, J.E. Differential diagnosis of solid pancreatic masses: Contrast-enhanced harmonic (CEH-EUS), quantitative-elastography (QE-EUS), or both? United Eur. Gastroenterol. J. 2017, 5, 236–246. [Google Scholar] [CrossRef]
- Iordache, S.; Costache, M.I.; Popescu, C.F.; Streba, C.T.; Cazacu, S.; Săftoiu, A. Clinical impact of EUS elastography followed by contrast-enhanced EUS in patients with focal pancreatic masses and negative EUS-guided FNA. Med. Ultrason. 2016, 18, 18–24. [Google Scholar] [CrossRef][Green Version]
- Hwang, J.S.; Seo, D.W.; So, H.; Ko, S.W.; Joo, H.D.; Oh, D.; Song, T.J.; Park, D.H.; Lee, S.S.; Lee, S.K.; et al. Clinical utility of directional eFLOW compared with contrast-enhanced harmonic endoscopic ultrasound for assessing the vascularity of pancreatic and peripancreatic masses. Pancreatology 2022, 22, 130–135. [Google Scholar] [CrossRef]
- Mulqui, M.V.; Caillol, F.; Ratone, J.P.; Hoibian, S.; Dahel, Y.; Meunier, É.; Archimbaud, C.; Giovannini, M. Detective flow imaging versus contrast-enhanced EUS in solid pancreatic lesions. Endosc Ultrasound 2024, 13, 248–252. [Google Scholar] [CrossRef]
- Kovacevic, B.; Vilmann, P. EUS tissue acquisition: From A to B. Endosc. Ultrasound 2020, 9, 225–231. [Google Scholar] [CrossRef]
- Mitselos, I.V.; Karoumpalis, I.; Theopistos, V.I.; Tzilves, D.; Christodoulou, D.K. Endoscopic ultrasonography in pancreatic diseases: Advances in tissue acquisition. Endosc. Int. Open 2019, 7, E922–E930. [Google Scholar] [CrossRef]
- Wiersema, M.J.; Vilmann, P.; Giovannini, M.; Chang, K.J.; Wiersema, L.M. Endosonography-guided fine-needle aspiration biopsy: Diagnostic accuracy and complication assessment. Gastroenterology 1997, 112, 1087–1095. [Google Scholar] [CrossRef] [PubMed]
- Binmoeller, K.F.; Thul, R.; Rathod, V.; Henke, P.; Brand, B.; Jabusch, H.C.; Soehendra, N. Endoscopic ultrasound-guided, 18-gauge, fine needle aspiration biopsy of the pancreas using a 2.8 mm channel convex array echoendoscope. Gastrointest. Endosc. 1998, 47, 121–127. [Google Scholar] [CrossRef] [PubMed]
- Wiersema, M.J.; Levy, M.J.; Harewood, G.C.; Vazquez-Sequeiros, E.; Jondal, M.L.; Wiersema, L.M. Initial experience with EUS-guided trucut needle biopsies of perigastric organs. Gastrointest. Endosc. 2002, 56, 275–278. [Google Scholar] [CrossRef] [PubMed]
- Iglesias-Garcia, J.; Poley, J.W.; Larghi, A.; Giovannini, M.; Petrone, M.C.; Abdulkader, I.; Monges, G.; Costamagna, G.; Arcidiacono, P.; Biermann, K.; et al. Feasibility and yield of a new EUS histology needle: Results from a multicenter, pooled, cohort study. Gastrointest. Endosc. 2011, 73, 1189–1196. [Google Scholar] [CrossRef]
- Bang, J.Y.; Hawes, R.; Varadarajulu, S. A meta-analysis comparing ProCore and standard fine-needle aspiration needles for endoscopic ultrasound-guided tissue acquisition. Endoscopy 2016, 48, 339–349. [Google Scholar] [CrossRef] [PubMed]
- Facciorusso, A.; Bajwa, H.S.; Menon, K.; Buccino, V.R.; Muscatiello, N. Comparison between 22G aspiration and 22G biopsy needles for EUS-guided sampling of pancreatic lesions: A meta-analysis. Endosc. Ultrasound 2020, 9, 167–174. [Google Scholar] [CrossRef]
- Takeshita, K.; Hijioka, S.; Nagashio, Y.; Maruki, Y.; Kawasaki, Y.; Maehara, K.; Murashima, Y.; Okada, M.; Ikeda, G.; Yamada, N.; et al. Diagnostic Ability of Endoscopic Ultrasound-Guided Tissue Acquisition Using 19-Gauge Fine-Needle Biopsy Needle for Abdominal Lesions. Diagnostics 2023, 13, 450. [Google Scholar] [CrossRef]
- Varadarajulu, S.; Bang, J.Y.; Hebert-Magee, S. Assessment of the technical performance of the flexible 19-gauge EUS-FNA needle. Gastrointest. Endosc. 2012, 76, 336–343. [Google Scholar] [CrossRef]
- Ginès, A.; Fusaroli, P.; Sendino, O.; Seicean, A.; Gimeno-Garcia, A.Z.; Gratacós-Ginès, J.; Araujo, I.K.; Rodríguez-Carunchio, L.; Alós, S.; Lisotti, A.; et al. Performance of a new flexible 19 G EUS needle in pancreatic solid lesions located in the head and uncinate process: A prospective multicenter study. Endosc. Int. Open 2021, 9, E1269–E1275. [Google Scholar] [CrossRef]
- Fabbri, C.; Fornelli, A.; Fuccio, L.; Giovanelli, S.; Tarantino, I.; Antonini, F.; Liotta, R.; Frazzoni, L.; Gusella, P.; La Marca, M.; et al. High diagnostic adequacy and accuracy of the new 20G procore needle for EUS-guided tissue acquisition: Results of a large multicentre retrospective study. Endosc. Ultrasound 2019, 8, 261–268. [Google Scholar] [CrossRef] [PubMed]
- Bang, J.Y.; Hebert-Magee, S.; Trevino, J.; Ramesh, J.; Varadarajulu, S. Randomized trial comparing the 22-gauge aspiration and 22-gauge biopsy needles for EUS-guided sampling of solid pancreatic mass lesions. Gastrointest. Endosc. 2012, 76, 321–327. [Google Scholar] [CrossRef] [PubMed]
- Facciorusso, A.; Wani, S.; Triantafyllou, K.; Tziatzios, G.; Cannizzaro, R.; Muscatiello, N.; Singh, S. Comparative accuracy of needle sizes and designs for EUS tissue sampling of solid pancreatic masses: A network meta-analysis. Gastrointest. Endosc. 2019, 90, 893–903.e7. [Google Scholar] [CrossRef] [PubMed]
- Bang, J.Y.; Varadarajulu, S. Equal efficacy of FNA and fine-needle biopsy needles for EUS-guided tissue acquisition: Really? Gastrointest. Endosc. 2019, 90, 904–905. [Google Scholar] [CrossRef]
- Bang, J.Y.; Kirtane, S.; Krall, K.; Navaneethan, U.; Hasan, M.; Hawes, R.; Varadarajulu, S. In memoriam: Fine-needle aspiration, birth: Fine-needle biopsy: The changing trend in endoscopic ultrasound-guided tissue acquisition. Dig. Endosc. 2019, 31, 197–202. [Google Scholar] [CrossRef]
- Bang, J.Y.; Hebert-Magee, S.; Navaneethan, U.; Hasan, M.K.; Hawes, R.; Varadarajulu, S. EUS-guided fine needle biopsy of pancreatic masses can yield true histology. Gut 2018, 67, 2081–2084. [Google Scholar] [CrossRef]
- Han, S.; Bhullar, F.; Alaber, O.; Kamal, A.; Hopson, P.; Kanthasamy, K.; Coughlin, S.; Archibugi, L.; Thiruvengadam, N.; Moreau, C.; et al. Comparative diagnostic accuracy of EUS needles in solid pancreatic masses: A network meta-analysis. Endosc. Int. Open 2021, 9, E853–E862. [Google Scholar]
- ASGE Standards of Practice Committee; Machicado, J.D.; Sheth, S.G.; Chalhoub, J.M.; Forbes, N.; Desai, M.; Ngamruengphong, S.; Papachristou, G.I.; Sahai, V.; Nassour, I.; et al. American Society for Gastrointestinal Endoscopy guideline on role of endoscopy in the diagnosis and management of solid pancreatic masses: Methodology and review of evidence. Gastrointest. Endosc. 2024, 100, e1–e78. [Google Scholar] [CrossRef]
- Hassan, G.M.; Laporte, L.; Paquin, S.C.; Menard, C.; Sahai, A.V.; Mâsse, B.; Trottier, H. Endoscopic Ultrasound Guided Fine Needle Aspiration versus Endoscopic Ultrasound Guided Fine Needle Biopsy for Pancreatic Cancer Diagnosis: A Systematic Review and Meta-Analysis. Diagnostics 2022, 12, 2951. [Google Scholar] [CrossRef]
- Crinò, S.F. Through-the-needle microforceps biopsy: A powerful tool but for selected patients. Endoscopy 2021, 53, 53–54. [Google Scholar] [CrossRef]
- Renelus, B.D.; Jamorabo, D.S.; Boston, I.; Briggs, W.M.; Poneros, J.M. Endoscopic Ultrasound-Guided Fine Needle Biopsy Needles Provide Higher Diagnostic Yield Compared to Endoscopic Ultrasound-Guided Fine Needle Aspiration Needles When Sampling Solid Pancreatic Lesions: A Meta-Analysis. Clin. Endosc. 2021, 54, 261–268. [Google Scholar] [CrossRef] [PubMed]
- Li, H.; Li, W.; Zhou, Q.Y.; Fan, B. Fine needle biopsy is superior to fine needle aspiration in endoscopic ultrasound guided sampling of pancreatic masses: A meta-analysis of randomized controlled trials. Medicine 2018, 97, e0207. [Google Scholar] [CrossRef] [PubMed]
- Wang, J.; Zhao, S.; Chen, Y.; Jia, R.; Zhang, X. Endoscopic ultrasound guided fine needle aspiration versus endoscopic ultrasound guided fine needle biopsy in sampling pancreatic masses: A meta-analysis. Medicine 2017, 96, e7452. [Google Scholar] [CrossRef] [PubMed]
- Yao, D.W.; Qin, M.Z.; Jiang, H.X.; Qin, S.Y. Comparison of EUS-FNA and EUS-FNB for diagnosis of solid pancreatic mass lesions: A meta-analysis of prospective studies. Scand. J. Gastroenterol. 2024, 59, 972–979. [Google Scholar] [CrossRef]
- Li, Z.; Liu, W.; Xu, X.; Li, P. A Meta-Analysis Comparing Endoscopic Ultrasound-guided Fine-needle Aspiration With Endoscopic Ultrasound-guided Fine-needle Biopsy. J. Clin. Gastroenterol. 2022, 56, 668–678. [Google Scholar] [CrossRef]
- van Riet, P.A.; Erler, N.S.; Bruno, M.J.; Cahen, D.L. Comparison of fine-needle aspiration and fine-needle biopsy devices for endoscopic ultrasound-guided sampling of solid lesions: A systemic review and meta-analysis. Endoscopy 2021, 53, 411–423. [Google Scholar] [CrossRef] [PubMed]
- Polkowski, M.; Jenssen, C.; Kaye, P.; Carrara, S.; Deprez, P.; Gines, A.; Fernández-Esparrach, G.; Eisendrath, P.; Aithal, G.P.; Arcidiacono, P.; et al. Technical aspects of endoscopic ultrasound (EUS)-guided sampling in gastroenterology: European Society of Gastrointestinal Endoscopy (ESGE) Technical Guideline—March 2017. Endoscopy 2017, 49, 989–1006. [Google Scholar] [CrossRef]
- Crinò, S.F.; Le Grazie, M.; Manfrin, E.; Conti Bellocchi, M.C.; Bernardoni, L.; Granato, A.; Locatelli, F.; Parisi, A.; Di Stefano, S.; Frulloni, L.; et al. Randomized trial comparing fork-tip and side-fenestrated needles for EUS-guided fine-needle biopsy of solid pancreatic lesions. Gastrointest. Endosc. 2020, 92, 648–658.e2. [Google Scholar] [CrossRef]
- Bang, J.Y.; Hebert-Magee, S.; Navaneethan, U.; Hasan, M.K.; Hawes, R.; Varadarajulu, S. Randomized trial comparing the Franseen and Fork-tip needles for EUS-guided fine-needle biopsy sampling of solid pancreatic mass lesions. Gastrointest. Endosc. 2018, 87, 1432–1438. [Google Scholar] [CrossRef]
- Ashat, M.; Klair, J.S.; Rooney, S.L.; Vishal, S.J.; Jensen, C.; Sahar, N.; Murali, A.R.; El-Abiad, R.; Gerke, H. Randomized controlled trial comparing the Franseen needle with the Fork-tip needle for EUS-guided fine-needle biopsy. Gastrointest. Endosc. 2021, 93, 140–150.e2. [Google Scholar] [CrossRef]
- Young Bang, J.; Krall, K.; Jhala, N.; Singh, C.; Tejani, M.; Arnoletti, J.P.; Navaneethan, U.; Hawes, R.; Varadarajulu, S. Comparing Needles and Methods of Endoscopic Ultrasound-Guided Fine-Needle Biopsy to Optimize Specimen Quality and Diagnostic Accuracy for Patients With Pancreatic Masses in a Randomized Trial. Clin. Gastroenterol. Hepatol. 2021, 19, 825–835.e7. [Google Scholar] [CrossRef] [PubMed]
- Karsenti, D.; Palazzo, L.; Perrot, B.; Zago, J.; Lemaistre, A.I.; Cros, J.; Napoléon, B. 22G Acquire vs. 20G Procore needle for endoscopic ultrasound-guided biopsy of pancreatic masses: A randomized study comparing histologic sample quantity and diagnostic accuracy. Endoscopy 2020, 52, 747–753. [Google Scholar] [CrossRef] [PubMed]
- Gkolfakis, P.; Crinò, S.F.; Tziatzios, G.; Ramai, D.; Papaefthymiou, A.; Papanikolaou, I.S.; Triantafyllou, K.; Arvanitakis, M.; Lisotti, A.; Fusaroli, P.; et al. Comparative diagnostic performance of end-cutting fine-needle biopsy needles for EUS tissue sampling of solid pancreatic masses: A network meta-analysis. Gastrointest. Endosc. 2022, 95, 1067–1077.e15. [Google Scholar] [CrossRef] [PubMed]
- Tomoda, T.; Kato, H.; Fujii, Y.; Yamazaki, T.; Matsumoto, K.; Horiguchi, S.; Tsutsumi, K.; Inoue, H.; Tanaka, T.; Mitsuhashi, T.; et al. Randomized trial comparing the 25G and 22G Franseen needles in endoscopic ultrasound-guided tissue acquisition from solid pancreatic masses for adequate histological assessment. Dig. Endosc. 2022, 34, 596–603. [Google Scholar] [CrossRef] [PubMed]
- Oh, D.; Kong, J.; Ko, S.W.; Hong, S.M.; So, H.; Hwang, J.S.; Song, T.J.; Lee, S.K.; Kim, M.H.; Lee, S.S. A comparison between 25-gauge and 22-gauge Franseen needles for endoscopic ultrasound-guided sampling of pancreatic and peripancreatic masses: A randomized non-inferiority study. Endoscopy 2021, 53, 1122–1129. [Google Scholar] [CrossRef] [PubMed]
- Bang, J.Y.; Navaneethan, U.; Hasan, M.K.; Hawes, R.; Varadarajulu, S. Endoscopic Ultrasound-guided Specimen Collection and Evaluation Techniques Affect Diagnostic Accuracy. Clin. Gastroenterol. Hepatol. 2018, 16, 1820–1828.e4. [Google Scholar] [CrossRef]
- Itonaga, M.; Ashida, R.; Kitano, M. Updated techniques and evidence for endoscopic ultrasound-guided tissue acquisition from solid pancreatic lesions. DEN Open 2024, 5, e399. [Google Scholar] [CrossRef]
- Bang, J.Y.; Magee, S.H.; Ramesh, J.; Trevino, J.M.; Varadarajulu, S. Randomized trial comparing fanning with standard technique for endoscopic ultrasound-guided fine-needle aspiration of solid pancreatic mass lesions. Endoscopy 2013, 45, 445–450. [Google Scholar] [CrossRef]
- Lee, J.M.; Lee, H.S.; Hyun, J.J.; Lee, J.M.; Yoo, I.K.; Kim, S.H.; Choi, H.S.; Kim, E.S.; Keum, B.; Seo, Y.S.; et al. Slow-Pull Using a Fanning Technique Is More Useful Than the Standard Suction Technique in EUS-Guided Fine Needle Aspiration in Pancreatic Masses. Gut Liver 2018, 12, 360–366. [Google Scholar] [CrossRef]
- Yang, M.J.; Park, S.W.; Lee, K.J.; Koh, D.H.; Lee, J.; Lee, Y.N.; Park, C.H.; Shin, E.; Kim, S. EUS-guided tissue acquisition using a novel torque technique is comparable with that of the fanning technique for solid pancreatic lesions: A multicenter randomized trial. J. Hepatobiliary Pancreat. Sci. 2023, 30, 693–703. [Google Scholar] [CrossRef]
- Park, S.W.; Lee, S.S.; Song, T.J.; Koh, D.H.; Hyun, B.; Chung, D.; Lee, J.; Shin, E.; Hong, S.M.; Park, C.H. The diagnostic performance of novel torque technique for endoscopic ultrasound-guided tissue acquisition in solid pancreatic lesions: A prospective randomized controlled trial. J. Gastroenterol. Hepatol. 2020, 35, 508–515. [Google Scholar] [CrossRef] [PubMed]
- Mukai, S.; Itoi, T.; Ashida, R.; Tsuchiya, T.; Ikeuchi, N.; Kamada, K.; Tanaka, R.; Umeda, J.; Tonozuka, R.; Fukutake, N.; et al. Multicenter, prospective, crossover trial comparing the door-knocking method with the conventional method for EUS-FNA of solid pancreatic masses (with videos). Gastrointest. Endosc. 2016, 83, 1210–1217. [Google Scholar] [CrossRef] [PubMed]
- Mendoza Ladd, A.; Casner, N.; Cherukuri, S.V.; Garcia, C.; Padilla, O.; Dwivedi, A.; Hakim, N. Fine Needle Biopsies of Solid Pancreatic Lesions: Tissue Acquisition Technique and Needle Design Do Not Impact Specimen Adequacy. Dig. Dis. Sci. 2022, 67, 4549–4556. [Google Scholar] [CrossRef] [PubMed]
- Crinò, S.F.; Conti Bellocchi, M.C.; Di Mitri, R.; Inzani, F.; Rimbaș, M.; Lisotti, A.; Manfredi, G.; Teoh, A.Y.B.; Mangiavillano, B.; Sendino, O.; et al. Wet-suction versus slow-pull technique for endoscopic ultrasound-guided fine-needle biopsy: A multicenter, randomized, crossover trial. Endoscopy 2023, 55, 225–234. [Google Scholar] [CrossRef]
- Thakur, R.; Samanta, J.; Gupta, V.; Sinha, S.; Tandup, C.; Satish, S.N.; Mandavdhare, H.; Srinivasan, R. A comparative study to assess tissue adequacy of wet suction versus slow-pull technique in endoscopic ultrasound-guided fine needle biopsy in solid lesions: A randomised cross over trial. Gastrointest. Endosc. 2023, 97, AB478. [Google Scholar] [CrossRef]
- Magahis, P.T.; Westerveld, D.; Simons, M.; Carr-Locke, D.L.; Sampath, K.; Sharaiha, R.Z.; Mahadev, S. Outcomes of Endoscopic Ultrasound-guided Fine Needle Biopsy Using a Novel Hydrostatic Stylet Tissue Acquisition Technique. J. Clin. Gastroenterol. 2024, 58, 407–414. [Google Scholar] [CrossRef]
- Facciorusso, A.; Crinò, S.F.; Ramai, D.; Madhu, D.; Fugazza, A.; Carrara, S.; Spadaccini, M.; Mangiavillano, B.; Gkolfakis, P.; Mohan, B.P.; et al. Comparative diagnostic performance of different techniques for EUS-guided fine-needle biopsy sampling of solid pancreatic masses: A network meta-analysis. Gastrointest. Endosc. 2023, 97, 839–848.e5. [Google Scholar] [CrossRef]
- Berzosa, M.; Villa, N.; Bartel, M.J.; Wallace, M.B.; Tau, J.A.; Trang, T.; Raijman, I. Mo1420 pilot study comparing hybrid vs. wet vs. dry suction techniques for EUS-FNA of solid lesions. Gastrointest. Endosc. 2014, 79, AB430. [Google Scholar] [CrossRef]
- Hu, X.; Yu, F.; Cao, T.; Chen, X.; Nie, H.; Zhang, Z.; Wang, F.; Wang, H.; Fang, J.; Zhao, Q. Twenty versus 40 back-and-forth needle movements for endoscopic ultrasound-guided fine-needle biopsy of solid pancreatic masses: A prospective, crossover, randomized study. Eur. J. Gastroenterol. Hepatol. 2023, 35, 836–842. [Google Scholar] [CrossRef]
- Paik, W.H.; Choi, J.H.; Park, Y.; Lee, J.B.; Park, D.H. Optimal Techniques for EUS-Guided Fine-Needle Aspiration of Pancreatic Solid Masses at Facilities without On-Site Cytopathology: Results from Two Prospective Randomised Trials. J. Clin. Med. 2021, 10, 4662. [Google Scholar] [CrossRef]
- Kataoka, K.; Ishikawa, T.; Ohno, E.; Yamao, K.; Mizutani, Y.; Iida, T.; Kato, K.; Kinoshita, F.; Yamamura, T.; Furukawa, K.; et al. Randomized trial comparing 15 vs. 5 actuations per pass during endoscopic ultrasound-guided fine-needle biopsy for specimen acquisition of solid pancreatic lesions. J. Gastroenterol. Hepatol. 2023, 38, 1647–1655. [Google Scholar] [CrossRef] [PubMed]
- Takahashi, K.; Yasuda, I.; Hayashi, N.; Iwashita, T.; Okuno, M.; Mukai, T.; Mabuchi, M.; Adachi, S.; Doi, S.; Imura, J.; et al. EUS-guided fine-needle biopsy sampling of solid pancreatic tumors with 3 versus 12 to-and-fro movements: A multicenter prospective randomized controlled study. Gastrointest. Endosc. 2023, 97, 1092–1099. [Google Scholar] [CrossRef] [PubMed]
- Lee, K.H.; Kim, E.Y.; Cho, J.; Kang, D.; Bang, S.; Kim, H.K.; Kim, G.H.; Choi, H.J.; Han, J.H.; Jeon, S.W.; et al. Risk factors associated with adverse events during endoscopic ultrasound-guided tissue sampling. PLoS ONE 2017, 12, e0189347. [Google Scholar] [CrossRef] [PubMed]
- Mangiavillano, B.; Crinò, S.F.; Facciorusso, A.; Di Matteo, F.; Barbera, C.; Larghi, A.; Rizzatti, G.; Carrara, S.; Spadaccini, M.; Auriemma, F.; et al. Endoscopic ultrasound-guided fine-needle biopsy with or without macroscopic on-site evaluation: A randomized controlled noninferiority trial. Endoscopy 2023, 55, 129–137. [Google Scholar] [CrossRef]
- Mohan, B.P.; Madhu, D.; Reddy, N.; Chara, B.S.; Khan, S.R.; Garg, G.; Kassab, L.L.; Muthusamy, A.K.; Singh, A.; Chandan, S.; et al. Diagnostic accuracy of EUS-guided fine-needle biopsy sampling by macroscopic on-site evaluation: A systematic review and meta-analysis. Gastrointest. Endosc. 2022, 96, 909–917.e11. [Google Scholar] [CrossRef]
- Wani, S.; Wallace, M.B.; Cohen, J.; Pike, I.M.; Adler, D.G.; Kochman, M.L.; Lieb, J.G., 2nd; Park, W.G.; Rizk, M.K.; Sawhney, M.S.; et al. Quality indicators for EUS. Gastrointest. Endosc. 2015, 81, 67–80. [Google Scholar] [CrossRef]
- Mangiavillano, B.; Facciorusso, A.; Di Matteo, F.M.; Barbera, C.; Larghi, A.; Rizzatti, G.; Carrara, S.; Lisotti, A.; Fusaroli, P.; De Luca, L.; et al. Establishing the optimal number of passes during EUS-FNB for diagnosis of pancreatic solid lesions: Prospective multicenter study. Endosc. Int. Open 2024, 12, E467–E473. [Google Scholar] [CrossRef]
- Chalhoub, J.M.; Hawa, F.; Grantham, T.; Lester, J.; Carpenter, E.S.; Mendoza-Ladd, A.; Wani, S.; Machicado, J.D. Effect of the number of passes on diagnostic performance of EUS fine-needle biopsy of solid pancreatic masses: A systematic review and meta-analysis. Gastrointest. Endosc. 2024, 100, 595–604.e8. [Google Scholar] [CrossRef]
- Bang, J.Y.; Jhala, N.; Seth, A.; Krall, K.; Navaneethan, U.; Hawes, R.; Wilcox, C.M.; Varadarajulu, S. Standardisation of EUS-guided FNB technique for molecular profiling in pancreatic cancer: Results of a randomised trial. Gut 2023, 72, 1255–1257. [Google Scholar] [CrossRef]
- Lee, J.K.; Choi, J.H.; Lee, K.H.; Kim, K.M.; Shin, J.U.; Lee, J.K.; Lee, K.T.; Jang, K.T. A prospective, comparative trial to optimize sampling techniques in EUS-guided FNA of solid pancreatic masses. Gastrointest. Endosc. 2013, 77, 745–751. [Google Scholar] [CrossRef]
- Harada, R.; Kato, H.; Fushimi, S.; Iwamuro, M.; Inoue, H.; Muro, S.; Sakakihara, I.; Noma, Y.; Yamamoto, N.; Horiguchi, S.; et al. An expanded training program for endosonographers improved self-diagnosed accuracy of endoscopic ultrasound-guided fine-needle aspiration cytology of the pancreas. Scand. J. Gastroenterol. 2014, 49, 1119–1123. [Google Scholar] [CrossRef] [PubMed]
- Yang, F.; Liu, E.; Sun, S. Rapid on-site evaluation (ROSE) with EUS-FNA: The ROSE looks beautiful. Endosc. Ultrasound 2019, 8, 283–287. [Google Scholar]
- Iglesias-Garcia, J.; Dominguez-Munoz, J.E.; Abdulkader, I.; Larino-Noia, J.; Eugenyeva, E.; Lozano-Leon, A.; Forteza-Vila, J. Influence of on-site cytopathology evaluation on the diagnostic accuracy of endoscopic ultrasound-guided fine needle aspiration (EUS-FNA) of solid pancreatic masses. Am. J. Gastroenterol. 2011, 106, 1705–1710. [Google Scholar] [CrossRef] [PubMed]
- Hébert-Magee, S.; Bae, S.; Varadarajulu, S.; Ramesh, J.; Frost, A.R.; Eloubeidi, M.A.; Eltoum, I.A. The presence of a cytopathologist increases the diagnostic accuracy of endoscopic ultrasound-guided fine needle aspiration cytology for pancreatic adenocarcinoma: A meta-analysis. Cytopathology 2013, 24, 159–171. [Google Scholar] [CrossRef]
- Matynia, A.P.; Schmidt, R.L.; Barraza, G.; Layfield, L.J.; Siddiqui, A.A.; Adler, D.G. Impact of rapid on-site evaluation on the adequacy of endoscopic-ultrasound guided fine-needle aspiration of solid pancreatic lesions: A systematic review and meta-analysis. J. Gastroenterol. Hepatol. 2014, 29, 697–705. [Google Scholar] [CrossRef]
- Wani, S.; Mullady, D.; Early, D.S.; Rastogi, A.; Collins, B.; Wang, J.F.; Marshall, C.; Sams, S.B.; Yen, R.; Rizeq, M.; et al. The clinical impact of immediate on-site cytopathology evaluation during endoscopic ultrasound-guided fine needle aspiration of pancreatic masses: A prospective multicenter randomized controlled trial. Am. J. Gastroenterol. 2015, 110, 1429–1439. [Google Scholar] [CrossRef] [PubMed]
- Lee, L.S.; Nieto, J.; Watson, R.R.; Hwang, A.L.; Muthusamy, V.R.; Walter, L.; Jajoo, K.; Ryou, M.K.; Saltzman, J.R.; Saunders, M.D.; et al. Randomized Noninferiority Trial Comparing Diagnostic Yield of Cytopathologist-guided versus 7 passes for EUS-FNA of Pancreatic Masses. Dig. Endosc. 2016, 28, 469–475. [Google Scholar] [CrossRef] [PubMed]
- Kong, F.; Zhu, J.; Kong, X.; Sun, T.; Deng, X.; Du, Y.; Li, Z. Rapid On-Site Evaluation Does Not Improve Endoscopic Ultrasound-Guided Fine Needle Aspiration Adequacy in Pancreatic Masses: A Meta-Analysis and Systematic Review. PLoS ONE 2016, 11, e0163056. [Google Scholar] [CrossRef]
- Nebel, J.A.; Soldan, M.; Dumonceau, J.M.; de Souza Carvalho, C.E.; Chagas, V.L.A.; de Assis, P.G.; Lapa ESilva, J.R.; Rezende, G.F.D.M. Rapid On-Site Evaluation by Endosonographer of Endoscopic Ultrasound Fine-Needle Aspiration of Solid Pancreatic Lesions: A Randomized Controlled Trial. Pancreas 2021, 50, 815–821. [Google Scholar] [CrossRef]
- Zhang, S.; Ni, M.; Wang, P.; Zheng, J.; Sun, Q.; Xu, G.; Peng, C.; Shen, S.; Zhang, W.; Huang, S.; et al. Diagnostic value of endoscopic ultrasound-guided fine needle aspiration with rapid on-site evaluation performed by endoscopists in solid pancreatic lesions: A prospective, randomized controlled trial. J. Gastroenterol. Hepatol. 2022, 37, 1975–1982. [Google Scholar] [CrossRef]
- Khurana, K.K.; Graber, B.; Wang, D.; Roy, A. Telecytopathology for on-site adequacy evaluation decreases the nondiagnostic rate in endoscopic ultrasound-guided fine-needle aspiration of pancreatic lesions. Telemed. J. E Health 2014, 20, 822–827. [Google Scholar] [CrossRef] [PubMed]
- Machado, R.S.; Richa, R.; Callegari, F.; Souza, G.B.; Tolentino, L.L.; Nakao, F.S.; Ferrari, A., Jr.; Libera, E. Instant messenger smartphone application for endosonographer/cytopathologist real-time interaction at a distance in EUS-FNA for solid pancreatic lesions. Endosc. Int. Open 2019, 7, E1027–E1030. [Google Scholar] [CrossRef] [PubMed]
- Crinò, S.F.; Di Mitri, R.; Nguyen, N.Q.; Tarantino, I.; de Nucci, G.; Deprez, P.H.; Carrara, S.; Kitano, M.; Shami, V.M.; Fernández-Esparrach, G.; et al. Endoscopic Ultrasound-guided Fine-needle Biopsy With or Without Rapid On-site Evaluation for Diagnosis of Solid Pancreatic Lesions: A Randomized Controlled Non-Inferiority Trial. Gastroenterology 2021, 161, 899–909.e5. [Google Scholar] [CrossRef]
- Facciorusso, A.; Gkolfakis, P.; Tziatzios, G.; Ramai, D.; Papanikolaou, I.S.; Triantafyllou, K.; Lisotti, A.; Fusaroli, P.; Mangiavillano, B.; Chandan, S.; et al. Comparison between EUS-guided fine-needle biopsy with or without rapid on-site evaluation for tissue sampling of solid pancreatic lesions: A systematic review and meta-analysis. Endosc. Ultrasound 2022, 11, 458–465. [Google Scholar] [CrossRef] [PubMed]
- De Lusong, M.A.A.; Pajes, A.N.N.I. Evaluation of Fine Needle Biopsy (FNB) for Endoscopic Ultrasound (EUS)-guided Tissue Acquisition of Pancreatic Masses to Negate the Need for Rapid On-site Evaluation: A Randomized Control Trial. Acta Med. Philipp. 2024, 58, 51–56. [Google Scholar]
- Chen, Y.I.; Chatterjee, A.; Berger, R.; Kanber, Y.; Wyse, J.; Lam, E.; Gan, I.; Auger, M.; Kenshil, S.; Telford, J.; et al. Endoscopic ultrasound (EUS)-guided fine needle biopsy alone vs. EUS-guided fine needle aspiration with rapid onsite evaluation in pancreatic lesions: A multicenter randomized trial. Endoscopy 2022, 54, 4–12. [Google Scholar] [CrossRef]
- de Moura, D.T.H.; McCarty, T.R.; Jirapinyo, P.; Ribeiro, I.B.; Hathorn, K.E.; Madruga-Neto, A.C.; Lee, L.S.; Thompson, C.C. Evaluation of endoscopic ultrasound fine-needle aspiration versus fine-needle biopsy and impact of rapid on-site evaluation for pancreatic masses. Endosc. Int. Open 2020, 8, E738–E747. [Google Scholar] [CrossRef] [PubMed]
- Khan, M.A.; Grimm, I.S.; Ali, B.; Nollan, R.; Tombazzi, C.; Ismail, M.K.; Baron, T.H. A meta-analysis of endoscopic ultrasound-fine-needle aspiration compared to endoscopic ultrasound-fine-needle biopsy: Diagnostic yield and the value of onsite cytopathological assessment. Endosc. Int. Open 2017, 5, E363–E375. [Google Scholar] [CrossRef]
- Sbeit, W.; Khoury, T. Endoscopic ultrasound fine needle biopsy was not more cost-effective than fine-needle aspiration with rapid on-site evaluation in gastrointestinal lesions diagnosis. Diagn. Cytopathol. 2021, 49, 944–947. [Google Scholar] [CrossRef]
- Lin, R.; Sheng, L.P.; Han, C.Q.; Guo, X.W.; Wei, R.G.; Ling, X.; Ding, Z. Application of artificial intelligence to digital-rapid on-site cytopathology evaluation during endoscopic ultrasound-guided fine needle aspiration: A proof-of-concept study. J. Gastroenterol. Hepatol. 2023, 38, 883–887. [Google Scholar] [CrossRef]
- Fujii, Y.; Uchida, D.; Sato, R.; Obata, T.; Akihiro, M.; Miyamoto, K.; Morimoto, K.; Terasawa, H.; Yamazaki, T.; Matsumoto, K.; et al. Effectiveness of data-augmentation on deep learning in evaluating rapid on-site cytopathology at endoscopic ultrasound-guided fine needle aspiration. Sci. Rep. 2024, 14, 22441. [Google Scholar] [CrossRef] [PubMed]
- Cai, Y.; Rao, X.; Zhang, J.; Liu, G.; Zheng, Y.; Yue, T.; Nian, W.; Rong, L. A Rapid On-Line Evaluation (ROLE) Protocol in the Diagnostic Performance Improvement in Endoscopic Ultrasound-Guided Tissue Acquisition for Solid Pancreatic Lesions. Diagnostics 2024, 14, 597. [Google Scholar] [CrossRef] [PubMed]
- van Riet, P.A.; Cahen, D.L.; Poley, J.W.; Bruno, M.J. Mapping international practice patterns in EUS-guided tissue sampling: Outcome of a global survey. Endosc. Int. Open 2016, 4, E360–E370. [Google Scholar] [CrossRef] [PubMed]
- Iwashita, T.; Yasuda, I.; Mukai, T.; Doi, S.; Nakashima, M.; Uemura, S.; Mabuchi, M.; Shimizu, M.; Hatano, Y.; Hara, A.; et al. Macroscopic on-site quality evaluation of biopsy specimens to improve the diagnostic accuracy during EUS-guided FNA using a 19-gauge needle for solid lesions: A single-center prospective pilot study (MOSE study). Gastrointest. Endosc. 2015, 81, 177–185. [Google Scholar] [CrossRef]
- Chong, C.C.N.; Lakhtakia, S.; Nguyen, N.; Hara, K.; Chan, W.K.; Puri, R.; Almadi, M.A.; Ang, T.L.; Kwek, A.; Yasuda, I.; et al. Endoscopic ultrasound-guided tissue acquisition with or without macroscopic on-site evaluation: Randomized controlled trial. Endoscopy 2020, 52, 856–863. [Google Scholar] [CrossRef] [PubMed]
- Kaneko, J.; Ishiwatari, H.; Sasaki, K.; Satoh, T.; Sato, J.; Matsubayashi, H.; Yabuuchi, Y.; Kishida, Y.; Yoshida, M.; Ito, S.; et al. Macroscopic on-site evaluation of biopsy specimens for accurate pathological diagnosis during EUS-guided fine needle biopsy using 22-G Franseen needle. Endosc. Ultrasound 2020, 9, 385–391. [Google Scholar]
- Mangiavillano, B.; Frazzoni, L.; Togliani, T.; Fabbri, C.; Tarantino, I.; De Luca, L.; Staiano, T.; Binda, C.; Signoretti, M.; Eusebi, L.H.; et al. Macroscopic on-site evaluation (MOSE) of specimens from solid lesions acquired during EUS-FNB: Multicenter study and comparison between needle gauges. Endosc. Int. Open 2021, 9, E901–E906. [Google Scholar] [CrossRef]
- Sonthalia, N.; Kumbar, V.; Tewari, A.; Roy, A.; Ghoshal, U.C.; Goenka, M.K. Endoscopic ultrasound-guided fine needle biopsy using macroscopic on-site evaluation technique reduces the number passes yet maintains a high diagnostic accuracy: A randomized study. J. Gastroenterol. Hepatol. 2024. [Google Scholar] [CrossRef]
- Sundaram, S.; Chhanchure, U.; Patil, P.; Seth, V.; Mahajan, A.; Bal, M.; Kaushal, R.K.; Ramadwar, M.; Prabhudesai, N.; Bhandare, M.; et al. Rapid on-site evaluation (ROSE) versus macroscopic on-site evaluation (MOSE) for endoscopic ultrasound-guided sampling of solid pancreatic lesions: A paired comparative analysis using newer-generation fine needle biopsy needles. Ann. Gastroenterol. 2023, 36, 340–346. [Google Scholar] [CrossRef]
- Lin, M.Y.; Su, Y.Y.; Yu, Y.T.; Huang, C.J.; Sheu, B.S.; Chang, W.L. Investigation into the content of red material in EUS-guided pancreatic cancer biopsies. Gastrointest. Endosc. 2023, 97, 1083–1091.e1. [Google Scholar] [CrossRef]
- Nakamura, K.; Notohara, K.; Nishizaki, R.; Ishida, E.; Sato, M.; Kodera, A.; Itakura, J.; Mizuno, M. Macroscopic qualitative evaluation of solid pancreatic lesion specimens from endoscopic ultrasound-guided fine needle aspiration/biopsies. Pancreatology 2023, 23, 1028–1035. [Google Scholar] [CrossRef] [PubMed]
- Ishikawa, T.; Hayakawa, M.; Suzuki, H.; Ohno, E.; Mizutani, Y.; Iida, T.; Fujishiro, M.; Kawashima, H.; Hotta, K. Development of a Novel Evaluation Method for Endoscopic Ultrasound-Guided Fine-Needle Biopsy in Pancreatic Diseases Using Artificial Intelligence. Diagnostics 2022, 12, 434. [Google Scholar] [CrossRef] [PubMed]
- Stigliano, S.; Balassone, V.; Biasutto, D.; Covotta, F.; Signoretti, M.; Di Matteo, F.M. Accuracy of visual on-site evaluation (Vose) In predicting the adequacy of Eus-guided fine needle biopsy: A single center prospective study. Pancreatology 2021, 21, 312–317. [Google Scholar] [CrossRef]
- Masutani, H.; Okuwaki, K.; Kida, M.; Yoshida, T.; Imaizumi, H.; Yamauchi, H.; Iwai, T.; Kaneko, T.; Hasegawa, R.; Miyata, E.; et al. On-site stereomicroscope quality evaluations to estimate white core cutoff lengths using EUS-FNA biopsy sampling with 22-gauge needles. Gastrointest. Endosc. 2019, 90, 947–956. [Google Scholar] [CrossRef] [PubMed]
- Watanabe, M.; Okuwaki, K.; Kida, M.; Imaizumi, H.; Matsumoto, T.; Iwai, T.; Hasegawa, R.; Masutani, H.; Kurosu, T.; Minato, N.; et al. Multicenter prospective study of the efficacy of stereomicroscopic on-site evaluation in endoscopic ultrasound-guided tissue acquisition in patients with pancreatic cancer. Pancreatology 2022, 22, 311–316. [Google Scholar] [CrossRef]
- Ieni, A.; Todaro, P.; Crino, S.F.; Barresi, V.; Tuccari, G. Endoscopic ultrasound-guided fine-needle aspiration cytology in pancreaticobiliary carcinomas: Diagnostic efficacy of cell-block immunocytochemistry. Hepatobiliary Pancreat. Dis. Int. 2015, 14, 305–312. [Google Scholar] [CrossRef]
- Di Leo, M.; Crinò, S.F.; Bernardoni, L.; Rahal, D.; Auriemma, F.; Correale, L.; Donato, G.; Massidda, M.; Anderloni, A.; Manfrin, E.; et al. EUS-guided core biopsies of pancreatic solid masses using a new fork-tip needle: A multicenter prospective study. Dig. Liver Dis. 2019, 51, 1275–1280. [Google Scholar] [CrossRef]
- Kim, H.; Jang, K.T. Pathologic interpretation of endoscopic ultrasound-guided fine needle aspiration cytology/biopsy for pancreatic lesions. J. Pathol. Transl. Med. 2020, 54, 367–377. [Google Scholar] [CrossRef]
- Facciorusso, A.; Barresi, L.; Cannizzaro, R.; Antonini, F.; Triantafyllou, K.; Tziatzios, G.; Muscatiello, N.; Hart, P.A.; Wani, S. Diagnostic yield of endoscopic ultrasound-guided tissue acquisition in autoimmune pancreatitis: A systematic review and meta-analysis. Endosc. Int. Open 2021, 9, E66–E75. [Google Scholar] [CrossRef]
- Kurita, A.; Yasukawa, S.; Zen, Y.; Yoshimura, K.; Ogura, T.; Ozawa, E.; Okabe, Y.; Asada, M.; Nebiki, H.; Shigekawa, M.; et al. Comparison of a 22-gauge Franseen-tip needle with a 20-gauge forward-bevel needle for the diagnosis of type 1 autoimmune pancreatitis: A prospective, randomized, controlled, multicenter study (COMPAS study). Gastrointest. Endosc. 2020, 91, 373–381.e2. [Google Scholar] [CrossRef]
- Bellocchi, M.C.; Crinò, S.F.; Bernardoni, L.; De Pretis, N.; Gabbrielli, A.; Frulloni, L. Utility of EUS-FNB with end-cutting needles in suspected focal/segmental autoimmune pancreatitis: Results from a prospective study. Endoscopy 2023, 55, OP046. [Google Scholar]
- Adsay, N.V.; Andea, A.; Basturk, O.; Kilinc, N.; Nassar, H.; Cheng, J.D. Secondary tumors of the pancreas: An analysis of a surgical and autopsy database and review of the literature. Virchows Arch. 2004, 444, 527–535. [Google Scholar] [CrossRef] [PubMed]
- Yang, Y.; Aruna Cheng, B.; Xiong, D.; Kuang, D.; Cui, H.; Xiong, S.; Mao, X.; Feng, Y.; Zhao, Y. Comparison of Fine-Needle Biopsy (FNB) versus Fine-Needle Aspiration (FNA) Combined with Flow Cytometry in the Diagnosis of Deep-Seated Lymphoma. Diagnostics 2023, 13, 2777. [Google Scholar] [CrossRef]
- Spadaccini, M.; Conti Bellocchi, M.C.; Mangiavillano, B.; Fantin, A.; Rahal, D.; Manfrin, E.; Gavazzi, F.; Bozzarelli, S.; Crinò, S.F.; Terrin, M.; et al. Secondary Tumors of the Pancreas: A Multicenter Analysis of Clinicopathological and Endosonographic Features. J. Clin. Med. 2023, 12, 2829. [Google Scholar] [CrossRef] [PubMed]
- Tian, G.; Ye, Z.; Zhao, Q.; Jiang, T. Complication incidence of EUS-guided pancreas biopsy: A systematic review and meta-analysis of 11 thousand population from 78 cohort studies. Asian J. Surg. 2020, 43, 1049–1055. [Google Scholar] [CrossRef]
- Veitch, A.M.; Radaelli, F.; Alikhan, R.; Dumonceau, J.M.; Eaton, D.; Jerrome, J.; Lester, W.; Nylander, D.; Thoufeeq, M.; Vanbiervliet, G.; et al. Endoscopy in patients on antiplatelet or anticoagulant therapy: British Society of Gastroenterology (BSG) and European Society of Gastrointestinal Endoscopy (ESGE) guideline update. Endoscopy 2021, 53, 947–969. [Google Scholar]
- Zhu, H.; Jiang, F.; Zhu, J.; Du, Y.; Jin, Z.; Li, Z. Assessment of morbidity and mortality associated with endoscopic ultrasound-guided fine-needle aspiration for pancreatic cystic lesions: A systematic review and meta-analysis. Dig. Endosc. 2017, 29, 667–675. [Google Scholar] [CrossRef]
- Magahis, P.T.; Chhoda, A.; Berzin, T.M.; Farrell, J.J.; Wright, D.N.; Rizvi, A.; Hanscom, M.; Carr-Locke, D.L.; Sampath, K.; Sharaiha, R.Z.; et al. Risk of Pancreatitis After Endoscopic Ultrasound-Guided Fine-Needle Aspiration of Pancreatic Cystic Lesions: A Systematic Review and Meta-Analysis. Am. J. Gastroenterol. 2024, 119, 2174–2186. [Google Scholar] [CrossRef] [PubMed]
- Bournet, B.; Migueres, I.; Delacroix, M.; Vigouroux, D.; Bornet, J.L.; Escourrou, J.; Buscail, L. Early morbidity of endoscopic ultrasound: 13 years’ experience at a referral center. Endoscopy 2006, 38, 349–354. [Google Scholar] [CrossRef]
- El Bacha, H.; Prat, F. Endoscopic management of iatrogenic EUS-related duodenal perforations with over-the-scope clips. Endosc. Int. Open 2020, 8, E59–E63. [Google Scholar] [CrossRef]
- Lee, J.H.; Kedia, P.; Stavropoulos, S.N.; Carr-Locke, D. AGA Clinical Practice Update on Endoscopic Management of Perforations in Gastrointestinal Tract: Expert Review. Clin. Gastroenterol. Hepatol. 2021, 19, 2252–2261.e2. [Google Scholar] [CrossRef] [PubMed]
- Iwashita, T.; Uemura, S.; Shimizu, M. Endoscopic ultrasound-guided fine-needle aspiration for pancreatic cystic lesions: A comprehensive review. J. Med. Ultrason. (2001) 2024, 51, 219–226. [Google Scholar] [CrossRef]
- Salvia, R.; Burelli, A.; Nepi, A.; Caravati, A.; Tomelleri, C.; Dall’Olio, T.; Casciani, F.; Crinò, S.F.; Perri, G.; Marchegiani, G. Pancreatic cystic neoplasms: Still high rates of preoperative misdiagnosis in the guidelines and endoscopic ultrasound era. Surgery 2023, 174, 1410–1415. [Google Scholar] [CrossRef]
- European Study Group on Cystic Tumours of the Pancreas. European evidence-based guidelines on pancreatic cystic neoplasms. Gut 2018, 67, 789–804. [Google Scholar] [CrossRef] [PubMed]
- Thosani, N.; Thosani, S.; Qiao, W.; Fleming, J.B.; Bhutani, M.S.; Guha, S. Role of EUS-FNA-based cytology in the diagnosis of mucinous pancreatic cystic lesions: A systematic review and meta-analysis. Dig. Dis. Sci. 2010, 55, 2756–2766. [Google Scholar] [CrossRef] [PubMed]
- Bick, B.L.; Enders, F.T.; Levy, M.J.; Zhang, L.; Henry, M.R.; Abu Dayyeh, B.K.; Chari, S.T.; Clain, J.E.; Farnell, M.B.; Gleeson, F.C.; et al. The string sign for diagnosis of mucinous pancreatic cysts. Endoscopy 2015, 47, 626–631. [Google Scholar] [CrossRef] [PubMed]
- van der Waaij, L.A.; van Dullemen, H.M.; Porte, R.J. Cyst fluid analysis in the differential diagnosis of pancreatic cystic lesions: A pooled analysis. Gastrointest. Endosc. 2005, 62, 383–389. [Google Scholar] [CrossRef]
- McCarty, T.R.; Garg, R.; Rustagi, T. Pancreatic cyst fluid glucose in differentiating mucinous from nonmucinous pancreatic cysts: A systematic review and meta-analysis. Gastrointest. Endosc. 2021, 94, 698–712.e6. [Google Scholar] [CrossRef]
- Faias, S.; Cravo, M.; Chaves, P.; Pereira, L. Comparative analysis of glucose and carcinoembryonic antigen in the diagnosis of pancreatic mucinous cysts: A systematic review and meta-analysis. Gastrointest. Endosc. 2021, 94, 235–247. [Google Scholar] [CrossRef]
- Mohan, B.P.; Madhu, D.; Khan, S.R.; Kassab, L.L.; Ponnada, S.; Chandan, S.; Facciorusso, A.; Crino, S.F.; Barresi, L.; McDonough, S.; et al. Intracystic Glucose Levels in Differentiating Mucinous From Nonmucinous Pancreatic Cysts: A Systematic Review and Meta-analysis. J. Clin. Gastroenterol. 2022, 56, e131–e136. [Google Scholar] [CrossRef]
- Guzmán-Calderón, E.; Md, B.M.; Casellas, J.A.; Aparicio, J.R. Intracystic Glucose Levels Appear Useful for Diagnosis of Pancreatic Cystic Lesions: A Systematic Review and Meta-Analysis. Dig. Dis. Sci. 2022, 67, 2562–2570. [Google Scholar] [CrossRef] [PubMed]
- Pflüger, M.J.; Jamouss, K.T.; Afghani, E.; Lim, S.J.; Rodriguez Franco, S.; Mayo, H.; Spann, M.; Wang, H.; Singhi, A.; Lennon, A.M.; et al. Predictive ability of pancreatic cyst fluid biomarkers: A systematic review and meta-analysis. Pancreatology 2023, 23, 868–877. [Google Scholar] [CrossRef] [PubMed]
- Paniccia, A.; Polanco, P.M.; Boone, B.A.; Wald, A.I.; McGrath, K.; Brand, R.E.; Khalid, A.; Kubiliun, N.; O’Broin-Lennon, A.M.; Park, W.G.; et al. Prospective, Multi-Institutional, Real-Time Next-Generation Sequencing of Pancreatic Cyst Fluid Reveals Diverse Genomic Alterations That Improve the Clinical Management of Pancreatic Cysts. Gastroenterology 2023, 164, 117–133.e7. [Google Scholar] [CrossRef] [PubMed]
- Facciorusso, A.; Mohan, B.P.; Tacelli, M.; Crinò, S.F.; Antonini, F.; Fantin, A.; Barresi, L. Use of antibiotic prophylaxis is not needed for endoscopic ultrasound-guided fine-needle aspiration of pancreatic cysts: A meta-analysis. Expert Rev. Gastroenterol. Hepatol. 2020, 14, 999–1005. [Google Scholar] [CrossRef] [PubMed]
- Ohtsuka, T.; Fernandez-Del Castillo, C.; Furukawa, T.; Hijioka, S.; Jang, J.Y.; Lennon, A.M.; Miyasaka, Y.; Ohno, E.; Salvia, R.; Wolfgang, C.L.; et al. International evidence-based Kyoto guidelines for the management of intraductal papillary mucinous neoplasm of the pancreas. Pancreatology 2024, 24, 255–270. [Google Scholar] [CrossRef]
- Aparicio, J.R.; Martínez, J.; Niveiro, M.; Cabezas, A.; Ruiz, F.; De Madaria, E.; Casellas, J.A. Direct intracystic biopsy and pancreatic cystoscopy through a 19-gauge needle EUS (with videos). Gastrointest. Endosc. 2010, 72, 1285–1288. [Google Scholar] [CrossRef]
- Melita, G.; Pallio, S.; Tortora, A.; Crinò, S.F.; Macrì, A.; Dionigi, G. Diagnostic and Interventional Role of Endoscopic Ultrasonography for the Management of Pancreatic Neuroendocrine Neoplasms. J. Clin. Med. 2021, 10, 2638. [Google Scholar] [CrossRef]
- Nakai, Y.; Koike, K. Pancreatic cysts: Is the answer on the wall? Dig. Endosc. 2018, 30, 739–740. [Google Scholar] [CrossRef]
- Barresi, L.; Crinò, S.F.; Fabbri, C.; Attili, F.; Poley, J.W.; Carrara, S.; Tarantino, I.; Bernardoni, L.; Giovanelli, S.; Di Leo, M.; et al. Endoscopic ultrasound-through-the-needle biopsy in pancreatic cystic lesions: A multicenter study. Dig. Endosc. 2018, 30, 760–770. [Google Scholar] [CrossRef]
- Crinò, S.F.; Bernardoni, L.; Brozzi, L.; Barresi, L.; Malleo, G.; Salvia, R.; Frulloni, L.; Sina, S.; Parisi, A.; Remo, A.; et al. Association between macroscopically visible tissue samples and diagnostic accuracy of EUS-guided through-the-needle microforceps biopsy sampling of pancreatic cystic lesions. Gastrointest. Endosc. 2019, 90, 933–943. [Google Scholar] [CrossRef]
- Facciorusso, A.; Arevalo-Mora, M.; Conti Bellocchi, M.C.; Bernardoni, L.; Ramai, D.; Gkolfakis, P.; Loizzi, D.; Muscatiello, N.; Ambrosi, A.; Tartaglia, N.; et al. Impact of Antibiotic Prophylaxis on Infection Rate after Endoscopic Ultrasound Through-the-Needle Biopsy of Pancreatic Cysts: A Propensity Score-Matched Study. Diagnostics 2022, 12, 211. [Google Scholar] [CrossRef] [PubMed]
- Facciorusso, A.; Kovacevic, B.; Yang, D.; Vilas-Boas, F.; Martínez-Moreno, B.; Stigliano, S.; Rizzatti, G.; Sacco, M.; Arevalo-Mora, M.; Villarreal-Sanchez, L.; et al. Predictors of adverse events after endoscopic ultrasound-guided through-the-needle biopsy of pancreatic cysts: A recursive partitioning analysis. Endoscopy 2022, 54, 1158–1168. [Google Scholar] [CrossRef] [PubMed]
- Li, S.Y.; Wang, Z.J.; Pan, C.Y.; Wu, C.; Li, Z.S.; Jin, Z.D.; Wang, K.X. Comparative Performance of Endoscopic Ultrasound-Based Techniques in Patients With Pancreatic Cystic Lesions: A Network Meta-Analysis. Am. J. Gastroenterol. 2023, 118, 243–255. [Google Scholar] [CrossRef] [PubMed]
- Larghi, A.; Manfrin, E.; Fabbri, C.; Crinò, S.F.; Correale, L.; Chiarello, G.; Barresi, L.; Van Velthuysen, M.L.; Poley, J.W.; Rahal, D.; et al. Interobserver agreement among expert pathologists on through-the-needle microforceps biopsy samples for evaluation of pancreatic cystic lesions. Gastrointest. Endosc. 2019, 90, 784–792.e4. [Google Scholar] [CrossRef]
- Facciorusso, A.; Chandan, S.; Gkolfakis, P.; Ramai, D.; Mohan, B.P.; Lisotti, A.; Conti Bellocchi, M.C.; Papanikolaou, I.S.; Mangiavillano, B.; Triantafyllou, K.; et al. Do Biliary Stents Affect EUS-Guided Tissue Acquisition (EUS-TA) in Solid Pancreatic Lesions Determining Biliary Obstruction? A Literature Review with Meta-Analysis. Cancers 2023, 15, 1789. [Google Scholar] [CrossRef]
- Jo, J.H.; Cho, C.M.; Jun, J.H.; Chung, M.J.; Kim, T.H.; Seo, D.W.; Kim, J.; Park, D.H.; Research Group for Endoscopic Ultrasonography in KSGE. Same-session endoscopic ultrasound-guided fine needle aspiration and endoscopic retrograde cholangiopancreatography-based tissue sampling in suspected malignant biliary obstruction: A multicenter experience. J. Gastroenterol. Hepatol. 2019, 34, 799–805. [Google Scholar] [CrossRef]
- Purnak, T.; El Hajj, I.I.; Sherman, S.; Fogel, E.L.; McHenry, L.; Lehman, G.; Gromski, M.A.; Al-Haddad, M.; DeWitt, J.; Watkins, J.L.; et al. Combined Versus Separate Sessions of Endoscopic Ultrasound and Endoscopic Retrograde Cholangiopancreatography for the Diagnosis and Management of Pancreatic Ductal Adenocarcinoma with Biliary Obstruction. Dig Dis Sci. 2021, 66, 2786–2794. [Google Scholar] [CrossRef]
- Crinò, S.F.; Zorzi, A.; Tavian, P.; De Pretis, N.; Facciorusso, A.; Dhar, J.; Samanta, J.; Sina, S.; Manfrin, E.; Frulloni, L.; et al. Same versus separate sessions of endoscopic ultrasound-guided fine-needle biopsy and endoscopic retrograde cholangiopancreatography for distal malignant biliary obstruction: A propensity score-matched study. Expert Rev. Gastroenterol. Hepatol. 2024, 18, 551–559. [Google Scholar] [CrossRef]
- Lisotti, A.; Cominardi, A.; Conti Bellocchi, M.C.; Crinò, S.F.; Larghi, A.; Facciorusso, A.; Arcidiacono, P.G.; De Angelis, C.; Di Matteo, F.M.; Fabbri, C.; et al. Repeated endoscopic ultrasound-guided fine-needle biopsy of solid pancreatic lesions after previous nondiagnostic or inconclusive sampling. Dig. Endosc. 2024, 36, 615–624. [Google Scholar] [CrossRef]
- Lisotti, A.; Frazzoni, L.; Fuccio, L.; Serrani, M.; Cominardi, A.; Bazzoli, F.; Fusaroli, P. Repeat EUS-FNA of pancreatic masses after nondiagnostic or inconclusive results: Systematic review and meta-analysis. Gastrointest. Endosc. 2020, 91, 1234–1241.e4. [Google Scholar] [CrossRef]
- Sun, L.; Li, Y.; Song, Q.; Peng, L.; Xing, Y.; Huang, H.; Jin, Z. The factors that influence the diagnostic accuracy and sample adequacy of EUS-guided tissue acquisition for the diagnosis of solid pancreatic lesions. Endosc Ultrasound. 2024, 13, 183–189. [Google Scholar] [CrossRef] [PubMed]
- Okuno, N.; Hara, K. Endoscopic ultrasound-guided tissue acquisition for comprehensive genomic profiling. J. Med. Ultrason. (2001) 2024, 51, 253–260. [Google Scholar] [CrossRef] [PubMed]
- Elhanafi, S.; Mahmud, N.; Vergara, N.; Kochman, M.L.; Das, K.K.; Ginsberg, G.G.; Rajala, M.; Chandrasekhara, V. Comparison of endoscopic ultrasound tissue acquisition methods for genomic analysis of pancreatic cancer. J. Gastroenterol. Hepatol. 2019, 34, 907–913. [Google Scholar] [CrossRef] [PubMed]
- Park, J.K.; Lee, J.H.; Noh, D.H.; Park, J.K.; Lee, K.T.; Lee, J.K.; Lee, K.H.; Jang, K.T.; Cho, J. Factors of Endoscopic Ultrasound-Guided Tissue Acquisition for Successful Next-Generation Sequencing in Pancreatic Ductal Adenocarcinoma. Gut Liver 2020, 14, 387–394. [Google Scholar] [CrossRef]
- Okuno, N.; Hara, K.; Mizuno, N.; Haba, S.; Kuwahara, T.; Kuraishi, Y.; Fumihara, D.; Yanaidani, T. Clinical utility of endoscopic ultrasound-guided tissue acquisition for comprehensive genomic profiling of pancreatic cancer. Clin. Endosc. 2023, 56, 221–228. [Google Scholar] [CrossRef]
- Wallace, M.B.; Kennedy, T.; Durkalski, V.; Eloubeidi, M.A.; Etamad, R.; Matsuda, K.; Lewin, D.; Van Velse, A.; Hennesey, W.; Hawes, R.H.; et al. Randomized controlled trial of EUS-guided fine needle aspiration techniques for the detection of malignant lymphadenopathy. Gastrointest. Endosc. 2001, 54, 441–447. [Google Scholar] [CrossRef]
- Wani, S.; Muthusamy, V.R.; Komanduri, S. EUS-guided tissue acquisition: An evidence-based approach (with videos). Gastrointest. Endosc. 2014, 80, 939–959.e7. [Google Scholar] [CrossRef]
- Facciorusso, A.; Crinò, S.F.; Muscatiello, N.; Gkolfakis, P.; Samanta, J.; Londoño Castillo, J.; Cotsoglou, C.; Ramai, D. Endoscopic Ultrasound Fine-Needle Biopsy versus Fine-Needle Aspiration for Tissue Sampling of Abdominal Lymph Nodes: A Propensity Score Matched Multicenter Comparative Study. Cancers 2021, 13, 4298. [Google Scholar] [CrossRef]
- Carrara, S.; Rahal, D.; Khalaf, K.; Rizkala, T.; Koleth, G.; Bonifacio, C.; Andreozzi, M.; Mangiavillano, B.; Auriemma, F.; Bossi, P.; et al. Diagnostic accuracy and safety of EUS-guided end-cutting fine-needle biopsy needles for tissue sampling of abdominal and mediastinal lymphadenopathies: A prospective multicenter series. Gastrointest. Endosc. 2023, 98, 191–198. [Google Scholar] [CrossRef]
- Facciorusso, A.; Crinò, S.F.; Gkolfakis, P.; Ramai, D.; Mangiavillano, B.; Londoño Castillo, J.; Chandan, S.; Mohan, B.P.; D’Errico, F.; Decembrino, F.; et al. Needle Tract Seeding after Endoscopic Ultrasound Tissue Acquisition of Pancreatic Lesions: A Systematic Review and Meta-Analysis. Diagnostics 2022, 12, 2113. [Google Scholar] [CrossRef]
- Yamashita, Y.; Ashida, R.; Kojima, F.; Okada, K.I.; Kawai, M.; Yamazaki, H.; Tamura, T.; Kawaji, Y.; Tamura, T.; Hatamaru, K.; et al. Utility of contrast-enhanced harmonic endoscopic ultrasonography for prediction of pathological response after neoadjuvant chemotherapy in patients with pancreatic cancer. Pancreatology 2023, 23, 1014–1019. [Google Scholar] [CrossRef] [PubMed]
- Dahel, Y.; Chanez, B.; Zemmour, C.; Piana, G.; Mitry, E.; Giovannini, M. Assessment of biological effect of nab-paclitaxel combined with gemcitabine, using contrast enhanced ultrasonography and elastography, in advanced pancreatic ductal carcinoma: A single-center pilot study. Endosc. Ultrasound 2023, 12, 273–276. [Google Scholar] [CrossRef] [PubMed]
- Emori, T.; Ashida, R.; Tamura, T.; Kawaji, Y.; Hatamaru, K.; Itonaga, M.; Yamashita, Y.; Shimokawa, T.; Higashino, N.; Ikoma, A.; et al. Contrast-enhanced harmonic endoscopic ultrasonography for predicting the efficacy of first-line gemcitabine and nab-paclitaxel chemotherapy in pancreatic cancer. Pancreatology 2022, 22, 525–533. [Google Scholar] [CrossRef]
- Tanaka, H.; Kamata, K.; Takenaka, M.; Yoshikawa, T.; Ishikawa, R.; Okamoto, A.; Yamazaki, T.; Nakai, A.; Omoto, S.; Minaga, K.; et al. Contrast-enhanced harmonic endoscopic ultrasonography for evaluating the response to chemotherapy in pancreatic cancer. Dig. Liver Dis. 2019, 51, 1130–1134. [Google Scholar] [CrossRef]
- Choi, J.H.; Seo, D.W.; Song, T.J.; Park, D.H.; Lee, S.S.; Lee, S.K.; Kim, M.H. Utility of Contrast-Enhanced Harmonic Endoscopic Ultrasound for the Guidance and Monitoring of Endoscopic Radiofrequency Ablation. Gut Liver 2020, 14, 826–832. [Google Scholar] [CrossRef]
- Mayerle, J.; Beyer, G.; Simon, P.; Dickson, E.J.; Carter, R.C.; Duthie, F.; Lerch, M.M.; McKay, C.J. Prospective cohort study comparing transient EUS guided elastography to EUS-FNA for the diagnosis of solid pancreatic mass lesions. Pancreatology 2016, 16, 110–114. [Google Scholar] [CrossRef]
- Kongkam, P.; Lakananurak, N.; Navicharern, P.; Chantarojanasiri, T.; Aye, K.; Ridtitid, W.; Kritisin, K.; Angsuwatcharakon, P.; Aniwan, S.; Pittayanon, R.; et al. Combination of EUS-FNA and elastography (strain ratio) to exclude malignant solid pancreatic lesions: A prospective single-blinded study. J. Gastroenterol. Hepatol. 2015, 30, 1683–1689. [Google Scholar] [CrossRef] [PubMed]
- Wang, J.; Xu, H.; Xu, C.; Feng, Y.; Zhang, X.; Zhao, S. Stylet Slow-pull Versus Standard Suction for Endoscopic Ultrasound-guided Fine-needle Aspiration/Biopsy of Pancreatic Solid Masses: A Meta-Analysis. J. Clin. Gastroenterol. 2021, 55, 103–109. [Google Scholar] [CrossRef]
- Nakai, Y.; Hamada, T.; Hakuta, R.; Sato, T.; Ishigaki, K.; Saito, K.; Saito, T.; Takahara, N.; Mizuno, S.; Kogure, H.; et al. A Meta-analysis of Slow Pull versus Suction for Endoscopic Ultrasound-Guided Tissue Acquisition. Gut Liver 2021, 15, 625–633. [Google Scholar] [CrossRef]
- Ramai, D.; Singh, J.; Kani, T.; Barakat, M.; Chandan, S.; Brooks, O.W.; Ofosu, A.; Khan, S.R.; Dhindsa, B.; Dhaliwal, A.; et al. Wet- versus dry-suction techniques for EUS-FNA of solid lesions: A systematic review and meta-analysis. Endosc. Ultrasound 2021, 10, 319–324. [Google Scholar]
- Giri, S.; Afzalpurkar, S.; Angadi, S.; Marikanty, A.; Sundaram, S. Comparison of suction techniques for EUS-guided tissue acquisition: Systematic review and network meta-analysis of randomized controlled trials. Endosc. Int. Open 2023, 11, E703–E711. [Google Scholar] [CrossRef] [PubMed]
- Capurso, G.; Archibugi, L.; Petrone, M.C.; Arcidiacono, P.G. Slow-pull compared to suction technique for EUS-guided sampling of pancreatic solid lesions: A meta-analysis of randomized controlled trials. Endosc. Int. Open 2020, 8, E636–E643. [Google Scholar] [CrossRef] [PubMed]
- Jung, J.G.; Lee, J.K.; Lee, K.H.; Lee, K.T.; Woo, Y.S.; Paik, W.H.; Park, D.H.; Lee, S.S.; Seo, D.W.; Lee, S.K.; et al. Comparison of endoscopic retrograde cholangiopancreatography with papillary biopsy and endoscopic ultrasound-guided pancreatic biopsy in the diagnosis of autoimmune pancreatitis. Pancreatology 2015, 15, 259–264. [Google Scholar] [CrossRef]
- Tsutsumi, K.; Ueki, T.; Noma, Y.; Omonishi, K.; Ohno, K.; Kawahara, S.; Oda, T.; Kato, H.; Okada, H. Utility of a 21-gauge Menghini-type biopsy needle with the rolling method for an endoscopic ultrasound-guided histological diagnosis of autoimmune pancreatitis: A retrospective study. BMC Gastroenterol. 2021, 21, 21. [Google Scholar] [CrossRef]
- Lee, S.S.; Oh, D.; Cho, D.H.; Song, T.J.; Park, D.H.; Seo, D.W.; Lee, S.K.; Kim, M.H. Su1379 Comparison of 19G Versus 22G Reverse Side-Bevel Needles for Endoscopic Ultrasound-Guided Pancreatic Core Biopsy of Autoimmune Pancreatitis. Gastrointest. Endosc. 2017, 85, AB357–AB358. [Google Scholar] [CrossRef]
- Zator, Z.A.; Zhu, H.; Cui, M.; Kumta, N.A.; Nagula, S.; DiMaio, C.J. Mo1343 small-caliber eus-guided core biopsy needles are a safe and effective means to diagnose autoimmune pancreatitis. Gastrointest. Endosc. 2018, 87, AB454–AB455. [Google Scholar] [CrossRef]
- Ishikawa, T.; Kawashima, H.; Ohno, E.; Suhara, H.; Hayashi, D.; Hiramatsu, T.; Matsubara, H.; Suzuki, T.; Kuwahara, T.; Ishikawa, E.; et al. Usefulness of endoscopic ultrasound-guided fine-needle biopsy for the diagnosis of autoimmune pancreatitis using a 22-gauge Franseen needle: A prospective multicenter study. Endoscopy 2020, 52, 978–985. [Google Scholar] [CrossRef]
- Oppong, K.W.; Maheshwari, P.; Nayar, M.K.; Darne, A.; Parkinson, D.; Leeds, J.S.; Haugk, B. Utility of endoscopic ultrasound-guided fine-needle biopsy in the diagnosis of type 1 autoimmune pancreatitis. Endosc. Int. Open 2020, 8, E1855–E1861. [Google Scholar] [CrossRef]
- Noguchi, K.; Nakai, Y.; Mizuno, S.; Hirano, K.; Kanai, S.; Suzuki, Y.; Inokuma, A.; Sato, T.; Hakuta, R.; Ishigaki, K.; et al. Role of Endoscopic Ultrasonography-Guided Fine Needle Aspiration/Biopsy in the Diagnosis of Autoimmune Pancreatitis. Diagnostics 2020, 10, 954. [Google Scholar] [CrossRef]
- Thomsen, M.M.; Larsen, M.H.; Di Caterino, T.; Hedegaard Jensen, G.; Mortensen, M.B.; Detlefsen, S. Accuracy and clinical outcomes of pancreatic EUS-guided fine-needle biopsy in a consecutive series of 852 specimens. Endosc. Ultrasound 2022, 11, 306–318. [Google Scholar] [CrossRef]
- Notohara, K.; Kamisawa, T.; Kanno, A.; Naitoh, I.; Iwasaki, E.; Shimizu, K.; Kuraishi, Y.; Motoya, M.; Kodama, Y.; Kasashima, S.; et al. Efficacy and limitations of the histological diagnosis of type 1 autoimmune pancreatitis with endoscopic ultrasound-guided fine needle biopsy with large tissue amounts. Pancreatology 2020, 20, 834–843. [Google Scholar] [CrossRef] [PubMed]
- Ishikawa, T.; Yamao, K.; Mizutani, Y.; Iida, T.; Uetsuki, K.; Shimoyama, Y.; Nakamura, M.; Furukawa, K.; Yamamura, T.; Kawashima, H. A prospective study on the histological evaluation of type 1 autoimmune pancreatitis using endoscopic ultrasound-guided fine needle biopsy with a 19-gauge Franseen needle. J. Hepatobiliary Pancreat. Sci. 2024, 31, 581–590. [Google Scholar] [CrossRef]
- Khan, I.; Baig, M.; Bandepalle, T.; Puli, S.R. Utility of Cyst Fluid Carcinoembryonic Antigen in Differentiating Mucinous and Non-mucinous Pancreatic Cysts: An Updated Meta-Analysis. Dig. Dis. Sci. 2022, 67, 4541–4548. [Google Scholar] [CrossRef]
- Gopakumar, H.; Puli, S.R. Value of Endoscopic Ultrasound-Guided Through-the-Needle Biopsy in Pancreatic Cystic Lesions. A Systematic Review and Meta-Analysis. J. Gastrointest. Cancer 2024, 55, 15–25. [Google Scholar] [CrossRef] [PubMed]
- Kovacevic, B.; Antonelli, G.; Klausen, P.; Hassan, C.; Larghi, A.; Vilmann, P.; Karstensen, J.G. EUS-guided biopsy versus confocal laser endomicroscopy in patients with pancreatic cystic lesions: A systematic review and meta-analysis. Endosc. Ultrasound 2021, 10, 270–279. [Google Scholar] [CrossRef]
- Rift, C.V.; Scheie, D.; Toxværd, A.; Kovacevic, B.; Klausen, P.; Vilmann, P.; Hansen, C.P.; Lund, E.L.; Hasselby, J.P. Diagnostic accuracy of EUS-guided through-the-needle-biopsies and simultaneously obtained fine needle aspiration for cytology from pancreatic cysts: A systematic review and meta-analysis. Pathol. Res. Pract. 2021, 220, 153368. [Google Scholar] [CrossRef]
- Westerveld, D.R.; Ponniah, S.A.; Draganov, P.V.; Yang, D. Diagnostic yield of EUS-guided through-the-needle microforceps biopsy versus EUS-FNA of pancreatic cystic lesions: A systematic review and meta-analysis. Endosc. Int. Open 2020, 8, E656–E667. [Google Scholar] [CrossRef] [PubMed]
- Tacelli, M.; Celsa, C.; Magro, B.; Barchiesi, M.; Barresi, L.; Capurso, G.; Arcidiacono, P.G.; Cammà, C.; Crinò, S.F. Diagnostic performance of endoscopic ultrasound through-the-needle microforceps biopsy of pancreatic cystic lesions: Systematic review with meta-analysis. Dig. Endosc. 2020, 32, 1018–1030. [Google Scholar] [CrossRef]
- McCarty, T.; Rustagi, T. Endoscopic ultrasound-guided through-the-needle microforceps biopsy improves diagnostic yield for pancreatic cystic lesions: A systematic review and meta-analysis. Endosc. Int. Open 2020, 8, E1280–E1290. [Google Scholar]
- Facciorusso, A.; Del Prete, V.; Antonino, M.; Buccino, V.R.; Wani, S. Diagnostic yield of EUS-guided through-the-needle biopsy in pancreatic cysts: A meta-analysis. Gastrointest. Endosc. 2020, 92, 1–8.e3. [Google Scholar] [CrossRef]
- Faias, S.; Pereira, L.; Luís, Â.; Chaves, P.; Cravo, M. Genetic testing vs. microforceps biopsy in pancreatic cysts: Systematic review and meta-analysis. World J. Gastroenterol. 2019, 25, 3450–3467. [Google Scholar] [CrossRef] [PubMed]
- Balaban, V.D.; Cazacu, I.M.; Pinte, L.; Jinga, M.; Bhutani, M.S.; Saftoiu, A. EUS-through-the-needle microbiopsy forceps in pancreatic cystic lesions: A systematic review. Endosc. Ultrasound. 2021, 10, 19–24. [Google Scholar] [PubMed]
- Guzmán-Calderón, E.; Martinez-Moreno, B.; Casellas, J.A.; de Madaria, E.; Aparicio, J.R. Endoscopic ultrasound-guided, through-the-needle forceps biopsy for diagnosis of pancreatic cystic lesions: A systematic review. Endosc. Int. Open 2020, 8, E1123–E1133. [Google Scholar] [CrossRef] [PubMed]









| Study (Author, Year) | Number of Studies | Primary Outcome | Sensitivity (%) | Specificity (%) | Accuracy (%) | Number of Needle Passes | Adverse Events |
|---|---|---|---|---|---|---|---|
| Meta-analysis | |||||||
| Esposto et al. (2024) [27] | 9 (4 RCTs) | diagnostic success | - | - | 90.9% vs. 88.3% (p = 0.14) | with 1 needle pass (accurate diagnosis 70.9% vs. 65.3%, p = 0.24) | 1% vs. 0.9% (p = 0.89) |
| Facciorusso et al. (2021) [28] | 6 (2 RCTs) | diagnostic sensitivity | 84.6% vs. 75.3% (p < 0.001) | 100% vs. 100% (p = 1.0) | 88.8% vs. 83.6% (p = 0.05) | mean difference −0.10 (p = 0.29) | 1 case in CH-EUS |
| Engh et al. (2024) [29] | 9 (4 RCTs) | diagnostic adequacy | pooled OR 1.494 | OR not feasible | pooled OR 1.326 | for first pass, OR for adequacy1.182; mean number of needle passes −0.54 | RR 1.0 |
| Randomized controlled trials | |||||||
| Sugimoto et al. (2015) [30] | 20 vs. 20 (FNA) | - | 90% vs. 85% (p = 0.5) | 100% vs. 100% (p = 0.59) | 90% vs. 85% (p = 0.5) | with 1 needle pass, accuracy (60% vs. 25%, p = 0.027) | 0 vs. 0 |
| Seicean et al. (2020) [31] | 75 vs. 75 (FNA) | - | 87.6% vs. 85.5% | 100% vs. 100% | 89.2% vs. 88.5% | - | - |
| Cho et al. (2021) [32] | 120 vs. 120 (FNA/B) | diagnostic sensitivity | 91.1% vs. 86.8% (p = 0.313) | - | - | with 1 needle pass, sensitivity 70% vs. 66.7% (p = 0.579) | 2.5% vs. 2.5% (p = 0.99) |
| Kuo et al. (2023) [33] | 59 vs. 59 (fanning FNB) | total number of passes needed to establish diagnosis | 100% vs. 100% | 66.7% vs. 100% | 98.3% vs. 100% | median 1 [1-1] vs. 1 [1-2], p = 0.629 | |
| Tang et al. (2024) (abstract) [34] | 64 vs. 64 (FNB); MOSE used in both arms | false negative rates of FNB technique | 94% vs. 92.1% (p > 0.99) | 100% vs. 100% | 95.3% vs. 92.2% (p = 0.718) | median 1 (1) vs. 1.5 (1) (p = 0.480); false negative rates 6% vs. 7.9% (p > 0.99) | 1 (1.6%) vs. 1 (1.6%) (p > 0.99) |
| Author (Year) | Studies (n) | Comparison | Diagnostic Accuracy % | Adverse Events % | Needle Passes |
|---|---|---|---|---|---|
| Hassan et al. (2022) [69] | 9 RCTs | EUS-FNA vs. EUS-FNB | OR (1.87; 95% CI 1.33–2.63) | - | - |
| Han et al. (2021) [67] | 29 RCTs | NMA of all EUS needles | SUCRA score 22G SharkCore FNB (0.9279); 22G EZ shot 3 FNB (0.893); 22G Acquire FNB (0.873); all higher than FNA needles | - | - |
| Renelus et al. (2021) [71] | 11 RCTs | EUS-FNA vs. EUS-FNB | 87% vs. 81% (p = 0.005) | 1.8% vs. 2.2% (p = 0.64) | 1.6 vs. 2.3 (p < 0.0001) |
| Facciorusso et al. (2019) [63] | 27 RCTs | NMA of all EUS needles | 22-G FNA vs. 22-G FNB (accuracy RR 1.03); vs. 25 FNB (RR 1.09) | - | - |
| Facciorusso et al. (2020) [57] | 11 RCTs | Only 22-G EUS-FNA vs. EUS-FNB | RR 1.02 (0.97–1.08; p = 0.46) | - | Mean difference −0.32 (p = 0.07) |
| Li et al. (2018) [72] | 11 RCTs | EUS-FNA vs. EUS-FNB | OR 1.62 (1.17–2.26) | OR 1.01 (0.27–3.78) | Mean difference 0.69 |
| Wang et al. (2017) [73] | 8 RCTs | EUS-FNA vs. EUS-FNB | OR 0.72 (0.49–1.07) | OR 0.49 (0.09–2.74) | OR 0.86 (0.45–1.26) |
| Yao et al. (2024) [74] | 12 studies (7 RCTs) | EUS-FNA vs. EUS-FNB | RD −0.08 | RD 0.00 (−0.01–0.02) | MD 0.42 |
| Li Zhiwang et al. (2022) [75] | 18 RCTs | EUS-FNA vs. EUS-FNB | RR 0.94 (0.92–0.97; p = 0.0002) | RR 1.04 (0.48–2.29; p = 0.92) | MD 0.54 (0.45–0.64; p < 0.00001) |
| van Riet et al. (2021) [76] | 18 RCTs | EUS-FNA vs. EUS-FNB | 87% vs. 80% (p = 0.02) | 0.9% vs. 1.1% | MD −0.54; p = 0.03 |
| Author (Year) | Design | Comparison | EUS-TA Method | Sample Size | Accuracy | Number of Passes | Diagnosis Formed in 1st Pass |
|---|---|---|---|---|---|---|---|
| Bang et al. (2013) [88] | RCT | fanning vs. standard | EUS-FNA | 28 vs. 26 | 96.4% vs. 76.9% (p = 0.05) | mean 1.2 vs. 1.7 (p = 0.02) | 85.7% vs. 57.7% (p = 0.02) |
| Kuo et al. (2023) [33] | RCT | CE-H-EUS guided TA versus fanning | EUS-FNB | 59 vs. 59 | 98.3% vs. 100% (p = 1) | median 1 [1-1] vs. 1 [1-2] (p = 0.629) | 76.3% vs. 72.9% (p = 0.833) |
| Park et al. (2020) [91] | RCT | torque vs. standard | EUS-FNB | 62 vs. 62 | 96.7% vs. 87.1% | - | - |
| Yang et al. (2023) [90] | RCT, crossover | torque vs. fanning vs. standard | EUS-FNB | 159 vs. 159 vs. 159 | 94.3% vs. 93.04% vs. 72.96% (p < 0.001) | 1 vs. 1 vs. 1 | - |
| Mukai et al. (2016) [92] | RCT, crossover | door-knocking vs. standard | EUS-FNA | 82 vs. 82 | 76.8% vs. 78% (p = 0.5) | - | - |
| Study (Year) | Study Design | Comparison | EUS Needle | Number of Cases | Accuracy | Adequacy | Needle Passes | Procedure Time (min) | Adverse Events |
|---|---|---|---|---|---|---|---|---|---|
| RCTs on use of ROSE for EUS-FNA/FNB | |||||||||
| Wani et al. (2015) [116] | RCT | EUS-FNA + ROSE vs. EUS-FNA alone | 22-G FNA | 121 vs. 120 | 88.4% vs. 89.1% | 75.2% vs. 71.6% | median 4 vs. 7 | median 23.7 vs. 19.3 | 2.5% vs. 1.7% |
| Lee et al. (2015) [117] | RCT | EUS-FNA + ROSE vs. EUS-FNA alone (7 passes group) | 22/26-G FNA | 73 vs. 69 | - | 78.1% vs. 78.3% | median 5 vs. 7 | median 29 vs. 32 | 5.8% vs. 2.9% |
| Nebel et al. (2021) [119] | RCT | EUS-FNA + ROSE vs. EUS-FNA alone | 22-G FNA | 33 vs. 32 | 90.9% vs. 81.2% | 81.8% vs. 84.3% | mean 2.6 vs. 3.5 | mean 30 vs. 37 | 0 vs. 12.5% |
| Zhang et al. (2022) [120] | RCT | EUS-FNA + ROSE vs. EUS-FNA alone | 19/22/26-G FNA | 97 vs. 97 | 94.8% vs. 70.1% | 87.6% vs. 55.7% | mean 3.38 vs. 3.22 | mean 19.31 vs. 17.13 | 0 vs. 0 |
| Crinò et al. (2021) [123] | RCT | EUS-FNB with ROSE vs. EUS-FNB alone | 22/20 G FNB | 385 vs. 386 | 96.4% vs. 97.4% | 98.4% vs. 98.7% | mean 2.88 vs. 2.95 | mean 17.9 vs. 11.7 | 2.1% vs. 1% |
| De Lusong et al. (2024) [125] | RCT | EUS-FNA with ROSE vs. EUS-FNB alone | 22-G FNA; 22-G FNB | 39 vs. 39 | 97% vs. 100% | 97.4% vs. 94.8% | mean 3.64 vs. 3.12 | mean 35.8 vs. 30.4 | 0 vs. 0 |
| Chen et al. (2022) [126] | RCT | EUS-FNA with ROSE vs. EUS-FNB alone | 22/25 FNA and FNB | 120 vs. 115 | 93.3% vs. 92.2% | 39.2% vs. 88.7% | mean 3 vs. 2.3 | mean 22.7 vs. 19.3 | - |
| RCTs on use of MOSE for EUS-FNA/FNB | |||||||||
| Chong et al. (2020) [135] | RCT | EUS-FNA + MOSE vs. EUS-FNA alone | 19-G FNA and FNB | 122 vs. 122 | 95.1% vs. 91% | 92.6% vs. 89.3% | median 2 vs. 3 | mean 22 vs. 24 | 0.8% vs. 0 |
| Mangiavillano et al. (2023) [104] | RCT | EUS-FNB + MOSE vs. EUS-FNB alone | 22-G FNB Franseen | 190 vs. 180 | 90% vs. 87.8% | 93.1% vs. 95.5% | median 1 vs. 3 | - | 2.6% vs. 1.1% |
| Sonthalia et al. (2024) [138] | RCT | EUS-FNB + MOSE vs. EUS-FNB alone | 22/26-G FNB Franseen | 48 vs. 48 | 95.8% vs. 91.6% | 97.9% vs. 95.8% | median 2 vs. 3 | mean 18.8 vs. 18.56 | 2.08% vs. 2.08% |
| VOSE for EUS-TA | |||||||||
| Stigliano et al. (2021) [143] | Prospective | EUS-FNB | 22/26-G FNB | 99 cases—102 lesions | 76.8% | 92.7% (22 vs. 26-G needle 96.5% vs. 89.2%) | median 4 (range 2–4) | - | - |
| SOSE for EUS-TA | |||||||||
| Masutani et al. (2019) [144] | Prospective | EUS-FNA | 22-G FNA | 118 cases | 90.7% | - | mean 3.05 | - | 1% |
| Watanabe et al. (2022) [145] | Prospective | EUS-FNB | 22-G Franseen | 70 cases | 98.6% | 96.6% | median 3 | median 47 sec (for SOSE only) | 0 |
Disclaimer/Publisher’s Note: The statements, opinions and data contained in all publications are solely those of the individual author(s) and contributor(s) and not of MDPI and/or the editor(s). MDPI and/or the editor(s) disclaim responsibility for any injury to people or property resulting from any ideas, methods, instructions or products referred to in the content. |
© 2024 by the authors. Published by MDPI on behalf of the Lithuanian University of Health Sciences. Licensee MDPI, Basel, Switzerland. This article is an open access article distributed under the terms and conditions of the Creative Commons Attribution (CC BY) license (https://creativecommons.org/licenses/by/4.0/).
Share and Cite
Dhar, J.; Samanta, J.; Nabi, Z.; Aggarwal, M.; Conti Bellocchi, M.C.; Facciorusso, A.; Frulloni, L.; Crinò, S.F. Endoscopic Ultrasound-Guided Pancreatic Tissue Sampling: Lesion Assessment, Needles, and Techniques. Medicina 2024, 60, 2021. https://doi.org/10.3390/medicina60122021
Dhar J, Samanta J, Nabi Z, Aggarwal M, Conti Bellocchi MC, Facciorusso A, Frulloni L, Crinò SF. Endoscopic Ultrasound-Guided Pancreatic Tissue Sampling: Lesion Assessment, Needles, and Techniques. Medicina. 2024; 60(12):2021. https://doi.org/10.3390/medicina60122021
Chicago/Turabian StyleDhar, Jahnvi, Jayanta Samanta, Zaheer Nabi, Manik Aggarwal, Maria Cristina Conti Bellocchi, Antonio Facciorusso, Luca Frulloni, and Stefano Francesco Crinò. 2024. "Endoscopic Ultrasound-Guided Pancreatic Tissue Sampling: Lesion Assessment, Needles, and Techniques" Medicina 60, no. 12: 2021. https://doi.org/10.3390/medicina60122021
APA StyleDhar, J., Samanta, J., Nabi, Z., Aggarwal, M., Conti Bellocchi, M. C., Facciorusso, A., Frulloni, L., & Crinò, S. F. (2024). Endoscopic Ultrasound-Guided Pancreatic Tissue Sampling: Lesion Assessment, Needles, and Techniques. Medicina, 60(12), 2021. https://doi.org/10.3390/medicina60122021

