Spontaneous Resolution of an Aggressive Direct Carotid Cavernous Fistula Following Partial Transvenous Embolization Treatment: A Case Report and Review of Literatures
Abstract
1. Introduction
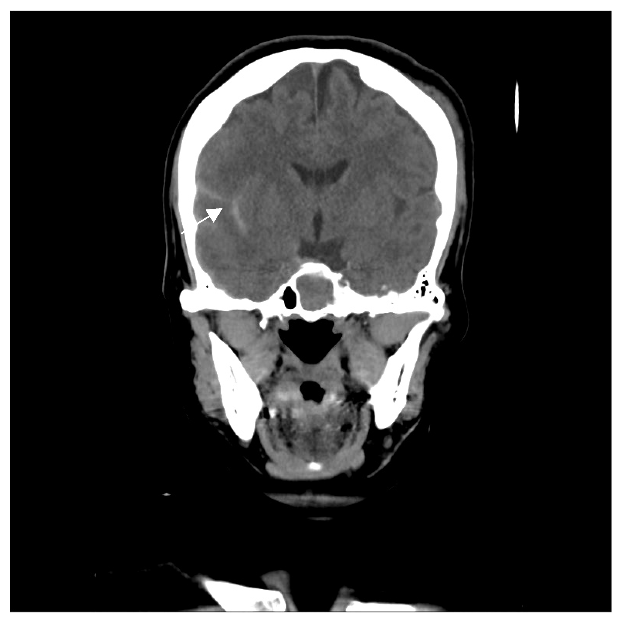
2. Case Report
3. Discussion
4. Conclusions
Author Contributions
Funding
Institutional Review Board Statement
Informed Consent Statement
Data Availability Statement
Conflicts of Interest
Abbreviations and Acronyms
| CCF | carotid cavernous fistula |
| ICA | internal carotid artery |
| ICH | intracranial hemorrhage |
| CT | computed tomography |
| MRI | magnetic resonance imaging |
| SOV | superior ophthalmic vein |
| IOV | inferior ophthalmic vein |
| SMCV | superficial middle cerebral vein |
| SPS | superior petrosal sinus |
| IPS | inferior petrosal sinus |
| DSA | Digital subtraction angiography |
| GDC | Guglielmi Detachable Coil |
| CVR | cortical vein reflux |
References
- Ringer, A.J.; Salud, L.; Tomsick, T.A. Carotid cavernous fistulas: Anatomy, classification, and treatment. Neurosurg. Clin. N. Am. 2005, 16, 279–295, viii. [Google Scholar] [CrossRef] [PubMed]
- Barrow, D.L.; Spector, R.H.; Braun, I.F.; Landman, J.A.; Tindall, S.C.; Tindall, G.T. Classification and treatment of spontaneous carotid-cavernous sinus fistulas. J. Neurosurg. 1985, 62, 248–256. [Google Scholar] [CrossRef] [PubMed]
- Thomas, A.J.; Chua, M.; Fusco, M.; Ogilvy, C.S.; Tubbs, R.S.; Harrigan, M.R.; Griessenauer, C.J. Proposal of Venous Drainage-Based Classification System for Carotid Cavernous Fistulae With Validity Assessment in a Multicenter Cohort. Neurosurgery 2015, 77, 380–385; discussion 385. [Google Scholar] [CrossRef] [PubMed]
- Fabian, T.S.; Woody, J.D.; Ciraulo, D.L.; Lett, E.D.; Phlegar, R.F.; Barker, D.E.; Burns, R.P. Posttraumatic carotid cavernous fistula: Frequency analysis of signs, symptoms, and disability outcomes after angiographic embolization. J. Trauma Acute Care Surg. 1999, 47, 275–281. [Google Scholar] [CrossRef]
- Henderson, A.D.; Miller, N.R. Carotid-cavernous fistula: Current concepts in aetiology, investigation, and management. Eye 2018, 32, 164–172. [Google Scholar] [CrossRef]
- Yu, J.; Guo, Y.; Zhao, S.; Xu, K. Brainstem edema caused by traumatic carotid-cavernous fistula: A case report and review of the literature. Exp. Ther. Med. 2015, 10, 445–450. [Google Scholar] [CrossRef]
- Chan, F.H.; Shen, C.-Y.; Liu, J.-T.; Li, C.-S. Brainstem hemorrhage caused by direct carotid-cavernous fistula. A case report and literature review. Interv. Neuroradiol. 2014, 20, 487–494. [Google Scholar] [CrossRef]
- Iampreechakul, P.; Tirakotai, W.; Tanpun, A.; Wattanasen, Y.; Lertbusayanukul, P.; Siriwimonmas, S. Spontaneous resolution of direct carotid-cavernous fistulas: Case series and literature review. Interv. Neuroradiol. 2019, 25, 71–89. [Google Scholar] [CrossRef]
- Tan, R.; Berg, R.v.D.; Brandsen, R.P.; Saeed, P. Likelihood of spontaneous closure of cavernous sinus dural arteriovenous fistulas based on clinical and radiological findings. Interv. Neuroradiol. 2023. ahead of print. [Google Scholar] [CrossRef]
- Halbach, V.V.; Hieshima, G.; Higashida, R.; Reicher, M. Carotid cavernous fistulae: Indications for urgent treatment. AJR Am. J. Roentgenol. 1987, 149, 587–593. [Google Scholar] [CrossRef]
- Peeters, F.L.; Kroger, R. Dural and direct cavernous sinus fistulas. AJR Am. J. Roentgenol. 1979, 132, 599–606. [Google Scholar] [CrossRef] [PubMed]
- Satomi, J.; Satoh, K.; Matsubara, S.; Nakajima, N.; Nagahiro, S. Angiographic changes in venous drainage of cavernous sinus dural arteriovenous fistulae after palliative transarterial embolization or observational management: A proposed stage classification. Neurosurgery 2005, 56, 494–502. [Google Scholar] [CrossRef] [PubMed]
- Fattahi, T.T.; Brandt, M.T.; Jenkins, W.S.; Steinberg, B. Traumatic carotid-cavernous fistula: Pathophysiology and treatment. J. Craniofac. Surg. 2003, 14, 240–246. [Google Scholar] [CrossRef]
- Ide, S.; Kiyosue, H.; Tokuyama, K.; Hori, Y.; Sagara, Y.; Kubo, T. Direct Carotid Cavernous Fistulas. J. Neuroendovasc. Ther. 2020, 14, 583–592. [Google Scholar] [CrossRef]
- Lewis, A.I.; Tomsick, T.A.; Tew, J.M., Jr. Management of 100 consecutive direct carotid-cavernous fistulas: Results of treatment with detachable balloons. Neurosurgery 1995, 36, 239–244; discussion 244–245. [Google Scholar] [CrossRef]
- Zhang, S.; Wang, J.; Liu, D.; Lv, M. Embolization of Cavernous Sinus Dural Arteriovenous Fistula (CSDAVF) via transvenous approaches: Practice, experience summary and literature review. J. Clin. Neurosci. 2021, 89, 283–291. [Google Scholar] [CrossRef]
- Luo, C.B.; Teng, M.; Chang, F.-C.; Chang, C.-Y. Transarterial balloon-assisted n-butyl-2-cyanoacrylate embolization of direct carotid cavernous fistulas. AJNR Am. J. Neuroradiol. 2006, 27, 1535–1540. [Google Scholar]
- Ohlsson, M.; Consoli, A.; Rodesch, G. Endovascular treatment of carotico-cavernous fistulas with acrylic glue: A series of nine cases. Neuroradiology 2016, 58, 1181–1188. [Google Scholar] [CrossRef]
- Hu, Y.C.; Newman, C.B.; Dashti, S.R.; Albuquerque, F.C.; McDougall, C.G. Cranial dural arteriovenous fistula: Transarterial Onyx embolization experience and technical nuances. J. Neurointerv. Surg. 2011, 3, 5–13. [Google Scholar] [CrossRef]
- Korkmazer, B.; Kocak, B.; Tureci, E.; Islak, C.; Kocer, N.; Kizilkilic, O. Endovascular treatment of carotid cavernous sinus fistula: A systematic review. World J. Radiol. 2013, 5, 143–155. [Google Scholar] [CrossRef]
- Yuan, J.; Yang, R.; Zhang, J.; Liu, H.; Ye, Z.; Chao, Q. Covered Stent Treatment for Direct Carotid-Cavernous Fistulas: A Meta-Analysis of Efficacy and Safety Outcomes. World Neurosurg. 2024, 187, e302–e312. [Google Scholar] [CrossRef] [PubMed]
- Stamatopoulos, T.; Anagnostou, E.; Plakas, S.; Papachristou, K.; Lagos, P.; Samelis, A.; Derakhshani, S.; Mitsos, A. Treatment of carotid cavernous sinus fistulas with flow diverters. A case report and systematic review. Interv. Neuroradiol. 2022, 28, 70–83. [Google Scholar] [CrossRef] [PubMed]
- Amuluru, K.; Al-Mufti, F.; Gandhi, C.D.; Prestigiacomo, C.J.; Singh, I.P. Direct carotid-cavernous fistula: A complication of, and treatment with, flow diversion. Interv. Neuroradiol. 2016, 22, 569–576. [Google Scholar] [CrossRef] [PubMed]
- Choi, B.S.; Park, J.W.; Kim, J.L.; Kim, S.Y.; Park, Y.S.; Kwon, H.-J.; Lee, D.H.; Suh, D.C. Treatment Strategy Based on Multimodal Management Outcome of Cavernous Sinus Dural Arteriovenous Fistula (CSDAVF). Neurointervention 2011, 6, 6–12. [Google Scholar] [CrossRef]
- Jung, K.H.; Kwon, B.J.; Chu, K.; Noh, Y.; Lee, S.-T.; Cho, Y.-D.; Han, M.H.; Roh, J.-K. Clinical and angiographic factors related to the prognosis of cavernous sinus dural arteriovenous fistula. Neuroradiology 2011, 53, 983–992. [Google Scholar] [CrossRef]
- Kim, D.J.; Kim, D.I.; Suh, S.; Kim, J.; Lee, S.; Kim, E.; Chung, T. Results of transvenous embolization of cavernous dural arteriovenous fistula: A single-center experience with emphasis on complications and management. AJNR Am. J. Neuroradiol. 2006, 27, 2078–2082. [Google Scholar]
- Mochizuki, Y.; Iihoshi, S.; Tsukagoshi, E.; Kasakura, S.; Kohyama, S.; Kurita, H. A rare brainstem hemorrhage due to incomplete transvenous embolization of the cavernous sinus dural arteriovenous fistula: A case report. Radiol. Case Rep. 2021, 16, 2526–2529. [Google Scholar] [CrossRef]
- Fok, K.F.; Agid, R.; Souza, M.P.S.; Terbrugge, K.G. Thrombosis of aggressive dural arteriovenous fistula after incomplete embolization. Neuroradiology 2004, 46, 1016–1021. [Google Scholar] [CrossRef]
- Voldrich, R.; Grygar, J.; Charvát, F.; Netuka, D. Natural course of partially embolized carotid-cavernous fistulas. J. Neuroimaging 2024, 34, 376–385. [Google Scholar] [CrossRef]
- Nishimuta, Y.; Awa, R.; Sugata, S.; Nagayama, T.; Makiuchi, T.; Tomosugi, T.; Hanaya, R.; Tokimura, H.; Hirano, H.; Moinuddin, F.M.; et al. Long-term outcome after endovascular treatment of cavernous sinus dural arteriovenous fistula and a literature review. Acta Neurochir. 2017, 159, 2113–2122. [Google Scholar] [CrossRef]
- Lee, R.J.; Chen, C.F.; Hsu, S.W.; Lui, C.C.; Kuo, Y.L. Cerebellar hemorrhage and subsequent venous infarction followed by incomplete transvenous embolization of dural carotid cavernous fistulas: A rare complication: Case report. J. Neurosurg. 2008, 108, 1245–1248. [Google Scholar] [CrossRef] [PubMed]
- Al-Afif, S.; Nakamura, M.; Götz, F.; Krauss, J.K. Spontaneous closure of a dural arteriovenous fistula. J. Neurointerv. Surg. 2015, 7, e28. [Google Scholar] [CrossRef]
- Ritchie, W.G.; Lynch, P.R.; Stewart, G.J. The effect of contrast media on normal and inflamed canine veins. A scanning and transmission electron microscopic study. Investig. Radiol. 1974, 9, 444–455. [Google Scholar] [CrossRef]
- Eloy, R.; Corot, C.; Belleville, J. Contrast media for angiography: Physicochemical properties, pharmacokinetics and biocompatibility. Clin. Mater. 1991, 7, 89–197. [Google Scholar] [CrossRef]
- Iampreechakul, P.; Wangtanaphat, K.; Chuntaroj, S.; Wattanasen, Y.; Hangsapruek, S.; Lertbutsayanukul, P.; Siriwimonmas, S. Spontaneous complete regression of malignant cavernous sinus dural arteriovenous fistula following partial transarterial embolization with liquid embolic material: Report of two cases. Surg. Neurol. Int. 2023, 14, 307. [Google Scholar] [CrossRef]







| OD (Right Eye) | OS (Left Eye) | |
|---|---|---|
| Pre-treatment VA | 0.04 | 0.8 |
| Post-treatment VA | 0.9 | 0.9 |
| Pre-treatment IOP | 31 mmHg | 13 mmHg |
| Post treatment IOP | 12 mmHg | 11 mmHg |
| Coronal cut: T2-weighted imaging Fast Recovery Fast Spin Echo (T2 frFSE) Axial cut: T2 frFSE, T1-weighted imaging Fluid-Attenuated Inversion Recovery (T1 FLAIR), T2-weighted imaging FLAIR Fat Saturation (T2 FLAIR fs) Diffusion-Weighted Imaging (DWI) b1000 3D TOF MRA: Three-dimensional Time of Flight Spoiled Gradient Recalled Echo Fat Saturation HyperSense ( 3D TOF SPGR FS HyperSense) Post-contrast: Contrast-Enhanced Fat Saturation Three-dimensional Sagittal T1-weighted imaging Cube (C+ fs 3D SAG T1 Cube), C+ AXI T1 SPGR, C+ SAG T1 SPGR CEMRA: Contrast-Enhanced Magnetic Resonance Angiography CEMRV: Contrast-Enhanced Magnetic Resonance Venography |
Disclaimer/Publisher’s Note: The statements, opinions and data contained in all publications are solely those of the individual author(s) and contributor(s) and not of MDPI and/or the editor(s). MDPI and/or the editor(s) disclaim responsibility for any injury to people or property resulting from any ideas, methods, instructions or products referred to in the content. |
© 2024 by the authors. Published by MDPI on behalf of the Lithuanian University of Health Sciences. Licensee MDPI, Basel, Switzerland. This article is an open access article distributed under the terms and conditions of the Creative Commons Attribution (CC BY) license (https://creativecommons.org/licenses/by/4.0/).
Share and Cite
Liao, W.-J.; Hsiao, C.-Y.; Chen, C.-H.; Tseng, Y.-Y.; Yang, T.-C. Spontaneous Resolution of an Aggressive Direct Carotid Cavernous Fistula Following Partial Transvenous Embolization Treatment: A Case Report and Review of Literatures. Medicina 2024, 60, 2011. https://doi.org/10.3390/medicina60122011
Liao W-J, Hsiao C-Y, Chen C-H, Tseng Y-Y, Yang T-C. Spontaneous Resolution of an Aggressive Direct Carotid Cavernous Fistula Following Partial Transvenous Embolization Treatment: A Case Report and Review of Literatures. Medicina. 2024; 60(12):2011. https://doi.org/10.3390/medicina60122011
Chicago/Turabian StyleLiao, Wen-Jui, Chun-Yuan Hsiao, Chin-Hsiu Chen, Yuan-Yun Tseng, and Tao-Chieh Yang. 2024. "Spontaneous Resolution of an Aggressive Direct Carotid Cavernous Fistula Following Partial Transvenous Embolization Treatment: A Case Report and Review of Literatures" Medicina 60, no. 12: 2011. https://doi.org/10.3390/medicina60122011
APA StyleLiao, W.-J., Hsiao, C.-Y., Chen, C.-H., Tseng, Y.-Y., & Yang, T.-C. (2024). Spontaneous Resolution of an Aggressive Direct Carotid Cavernous Fistula Following Partial Transvenous Embolization Treatment: A Case Report and Review of Literatures. Medicina, 60(12), 2011. https://doi.org/10.3390/medicina60122011

